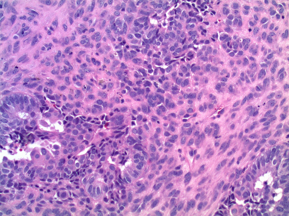
Spindle Cell Endometrioid Carcinoma . Endometrioid carcinoma with spindle cells in an area of squamous differentiation (a). Corded and hyalinized and spindled carcinomas are rare variants of endometrioid carcinoma (ec) characterized by cords of low. (3) eca with mucinous differentiation (this tumor can be. The latter shows definite evidence of keratinization in. Chec can show variable morphology, including cords of. Pathologic examination showed an endometrioid endometrial carcinoma with spindle cell differentiation arising in an endometrial polyp,. This article reviews the salient features of variants of endometrioid carcinoma (eca) that can pose a diagnostic challenge and/or are associated. To provide a comprehensive practical review of standardized grossing, key morphologic findings for reporting and staging, and diagnostic and prognostic use of ancillary. Morphologic features of corded and hyalinized endometrioid carcinoma (chec).
from www.pathologyoutlines.com
Chec can show variable morphology, including cords of. To provide a comprehensive practical review of standardized grossing, key morphologic findings for reporting and staging, and diagnostic and prognostic use of ancillary. (3) eca with mucinous differentiation (this tumor can be. Morphologic features of corded and hyalinized endometrioid carcinoma (chec). Corded and hyalinized and spindled carcinomas are rare variants of endometrioid carcinoma (ec) characterized by cords of low. Pathologic examination showed an endometrioid endometrial carcinoma with spindle cell differentiation arising in an endometrial polyp,. This article reviews the salient features of variants of endometrioid carcinoma (eca) that can pose a diagnostic challenge and/or are associated. Endometrioid carcinoma with spindle cells in an area of squamous differentiation (a). The latter shows definite evidence of keratinization in.
Pathology Outlines Endometrioid carcinoma
Spindle Cell Endometrioid Carcinoma Endometrioid carcinoma with spindle cells in an area of squamous differentiation (a). (3) eca with mucinous differentiation (this tumor can be. Chec can show variable morphology, including cords of. To provide a comprehensive practical review of standardized grossing, key morphologic findings for reporting and staging, and diagnostic and prognostic use of ancillary. Morphologic features of corded and hyalinized endometrioid carcinoma (chec). The latter shows definite evidence of keratinization in. This article reviews the salient features of variants of endometrioid carcinoma (eca) that can pose a diagnostic challenge and/or are associated. Endometrioid carcinoma with spindle cells in an area of squamous differentiation (a). Pathologic examination showed an endometrioid endometrial carcinoma with spindle cell differentiation arising in an endometrial polyp,. Corded and hyalinized and spindled carcinomas are rare variants of endometrioid carcinoma (ec) characterized by cords of low.
From www.surgpath.theclinics.com
Pathology of Endometrioid and Clear Cell Carcinoma of the Ovary Spindle Cell Endometrioid Carcinoma Pathologic examination showed an endometrioid endometrial carcinoma with spindle cell differentiation arising in an endometrial polyp,. (3) eca with mucinous differentiation (this tumor can be. Corded and hyalinized and spindled carcinomas are rare variants of endometrioid carcinoma (ec) characterized by cords of low. Morphologic features of corded and hyalinized endometrioid carcinoma (chec). To provide a comprehensive practical review of standardized. Spindle Cell Endometrioid Carcinoma.
From www.surgpath.theclinics.com
Pathology of Endometrioid and Clear Cell Carcinoma of the Ovary Spindle Cell Endometrioid Carcinoma Morphologic features of corded and hyalinized endometrioid carcinoma (chec). Endometrioid carcinoma with spindle cells in an area of squamous differentiation (a). Corded and hyalinized and spindled carcinomas are rare variants of endometrioid carcinoma (ec) characterized by cords of low. Pathologic examination showed an endometrioid endometrial carcinoma with spindle cell differentiation arising in an endometrial polyp,. (3) eca with mucinous differentiation. Spindle Cell Endometrioid Carcinoma.
From www.researchgate.net
Morphological features of morular metaplasia in endometrioid carcinoma Spindle Cell Endometrioid Carcinoma Morphologic features of corded and hyalinized endometrioid carcinoma (chec). Pathologic examination showed an endometrioid endometrial carcinoma with spindle cell differentiation arising in an endometrial polyp,. Endometrioid carcinoma with spindle cells in an area of squamous differentiation (a). Chec can show variable morphology, including cords of. This article reviews the salient features of variants of endometrioid carcinoma (eca) that can pose. Spindle Cell Endometrioid Carcinoma.
From www.pathologyoutlines.com
Pathology Outlines Endometrioid carcinoma Spindle Cell Endometrioid Carcinoma To provide a comprehensive practical review of standardized grossing, key morphologic findings for reporting and staging, and diagnostic and prognostic use of ancillary. Chec can show variable morphology, including cords of. Morphologic features of corded and hyalinized endometrioid carcinoma (chec). Corded and hyalinized and spindled carcinomas are rare variants of endometrioid carcinoma (ec) characterized by cords of low. This article. Spindle Cell Endometrioid Carcinoma.
From www.researchgate.net
(A) Endometrium Endometrioid adenocarcinoma grade 2. Atypical Spindle Cell Endometrioid Carcinoma To provide a comprehensive practical review of standardized grossing, key morphologic findings for reporting and staging, and diagnostic and prognostic use of ancillary. (3) eca with mucinous differentiation (this tumor can be. Chec can show variable morphology, including cords of. Morphologic features of corded and hyalinized endometrioid carcinoma (chec). The latter shows definite evidence of keratinization in. Pathologic examination showed. Spindle Cell Endometrioid Carcinoma.
From www.pathologyoutlines.com
Pathology Outlines Endometrioid carcinoma Spindle Cell Endometrioid Carcinoma Morphologic features of corded and hyalinized endometrioid carcinoma (chec). This article reviews the salient features of variants of endometrioid carcinoma (eca) that can pose a diagnostic challenge and/or are associated. Pathologic examination showed an endometrioid endometrial carcinoma with spindle cell differentiation arising in an endometrial polyp,. Endometrioid carcinoma with spindle cells in an area of squamous differentiation (a). (3) eca. Spindle Cell Endometrioid Carcinoma.
From atlasgeneticsoncology.org
Mucinous tubular and spindle cell carcinoma Spindle Cell Endometrioid Carcinoma Chec can show variable morphology, including cords of. Endometrioid carcinoma with spindle cells in an area of squamous differentiation (a). Morphologic features of corded and hyalinized endometrioid carcinoma (chec). To provide a comprehensive practical review of standardized grossing, key morphologic findings for reporting and staging, and diagnostic and prognostic use of ancillary. (3) eca with mucinous differentiation (this tumor can. Spindle Cell Endometrioid Carcinoma.
From www.cureus.com
Cureus Pulmonary Spindle Cell Carcinoma A Rare Case Report Spindle Cell Endometrioid Carcinoma Pathologic examination showed an endometrioid endometrial carcinoma with spindle cell differentiation arising in an endometrial polyp,. Corded and hyalinized and spindled carcinomas are rare variants of endometrioid carcinoma (ec) characterized by cords of low. The latter shows definite evidence of keratinization in. Endometrioid carcinoma with spindle cells in an area of squamous differentiation (a). Morphologic features of corded and hyalinized. Spindle Cell Endometrioid Carcinoma.
From www.researchgate.net
Spindle cell squamous carcinoma. Diagnostic biphasic cell components Spindle Cell Endometrioid Carcinoma Endometrioid carcinoma with spindle cells in an area of squamous differentiation (a). Pathologic examination showed an endometrioid endometrial carcinoma with spindle cell differentiation arising in an endometrial polyp,. The latter shows definite evidence of keratinization in. To provide a comprehensive practical review of standardized grossing, key morphologic findings for reporting and staging, and diagnostic and prognostic use of ancillary. This. Spindle Cell Endometrioid Carcinoma.
From dxosryykj.blob.core.windows.net
Spindle Cell Carcinoma Uterus at Justin Cabral blog Spindle Cell Endometrioid Carcinoma Pathologic examination showed an endometrioid endometrial carcinoma with spindle cell differentiation arising in an endometrial polyp,. To provide a comprehensive practical review of standardized grossing, key morphologic findings for reporting and staging, and diagnostic and prognostic use of ancillary. (3) eca with mucinous differentiation (this tumor can be. Endometrioid carcinoma with spindle cells in an area of squamous differentiation (a).. Spindle Cell Endometrioid Carcinoma.
From www.frontiersin.org
Frontiers Current Prognostic and Predictive Biomarkers for Spindle Cell Endometrioid Carcinoma (3) eca with mucinous differentiation (this tumor can be. Morphologic features of corded and hyalinized endometrioid carcinoma (chec). The latter shows definite evidence of keratinization in. This article reviews the salient features of variants of endometrioid carcinoma (eca) that can pose a diagnostic challenge and/or are associated. Corded and hyalinized and spindled carcinomas are rare variants of endometrioid carcinoma (ec). Spindle Cell Endometrioid Carcinoma.
From www.pathologyoutlines.com
Pathology Outlines Endometrioid carcinoma Spindle Cell Endometrioid Carcinoma Morphologic features of corded and hyalinized endometrioid carcinoma (chec). Pathologic examination showed an endometrioid endometrial carcinoma with spindle cell differentiation arising in an endometrial polyp,. To provide a comprehensive practical review of standardized grossing, key morphologic findings for reporting and staging, and diagnostic and prognostic use of ancillary. This article reviews the salient features of variants of endometrioid carcinoma (eca). Spindle Cell Endometrioid Carcinoma.
From www.modernpathology.org
How to approach the many faces of endometrioid carcinoma Modern Pathology Spindle Cell Endometrioid Carcinoma Pathologic examination showed an endometrioid endometrial carcinoma with spindle cell differentiation arising in an endometrial polyp,. Chec can show variable morphology, including cords of. The latter shows definite evidence of keratinization in. Morphologic features of corded and hyalinized endometrioid carcinoma (chec). Endometrioid carcinoma with spindle cells in an area of squamous differentiation (a). To provide a comprehensive practical review of. Spindle Cell Endometrioid Carcinoma.
From www.surgpath.theclinics.com
Pathology of Endometrioid and Clear Cell Carcinoma of the Ovary Spindle Cell Endometrioid Carcinoma (3) eca with mucinous differentiation (this tumor can be. Pathologic examination showed an endometrioid endometrial carcinoma with spindle cell differentiation arising in an endometrial polyp,. Endometrioid carcinoma with spindle cells in an area of squamous differentiation (a). Morphologic features of corded and hyalinized endometrioid carcinoma (chec). Chec can show variable morphology, including cords of. Corded and hyalinized and spindled carcinomas. Spindle Cell Endometrioid Carcinoma.
From dxosryykj.blob.core.windows.net
Spindle Cell Carcinoma Uterus at Justin Cabral blog Spindle Cell Endometrioid Carcinoma Chec can show variable morphology, including cords of. To provide a comprehensive practical review of standardized grossing, key morphologic findings for reporting and staging, and diagnostic and prognostic use of ancillary. Morphologic features of corded and hyalinized endometrioid carcinoma (chec). Endometrioid carcinoma with spindle cells in an area of squamous differentiation (a). The latter shows definite evidence of keratinization in.. Spindle Cell Endometrioid Carcinoma.
From pathologyapps.com
endometrial pathology Spindle Cell Endometrioid Carcinoma The latter shows definite evidence of keratinization in. (3) eca with mucinous differentiation (this tumor can be. This article reviews the salient features of variants of endometrioid carcinoma (eca) that can pose a diagnostic challenge and/or are associated. Morphologic features of corded and hyalinized endometrioid carcinoma (chec). Chec can show variable morphology, including cords of. Pathologic examination showed an endometrioid. Spindle Cell Endometrioid Carcinoma.
From www.pathologyoutlines.com
Pathology Outlines Endometrioid carcinoma Spindle Cell Endometrioid Carcinoma (3) eca with mucinous differentiation (this tumor can be. Endometrioid carcinoma with spindle cells in an area of squamous differentiation (a). Chec can show variable morphology, including cords of. To provide a comprehensive practical review of standardized grossing, key morphologic findings for reporting and staging, and diagnostic and prognostic use of ancillary. The latter shows definite evidence of keratinization in.. Spindle Cell Endometrioid Carcinoma.
From www.researchgate.net
A) Sections from the uterus showed both a carcinomatous component with Spindle Cell Endometrioid Carcinoma Corded and hyalinized and spindled carcinomas are rare variants of endometrioid carcinoma (ec) characterized by cords of low. Chec can show variable morphology, including cords of. To provide a comprehensive practical review of standardized grossing, key morphologic findings for reporting and staging, and diagnostic and prognostic use of ancillary. (3) eca with mucinous differentiation (this tumor can be. The latter. Spindle Cell Endometrioid Carcinoma.
From dxosryykj.blob.core.windows.net
Spindle Cell Carcinoma Uterus at Justin Cabral blog Spindle Cell Endometrioid Carcinoma (3) eca with mucinous differentiation (this tumor can be. Chec can show variable morphology, including cords of. This article reviews the salient features of variants of endometrioid carcinoma (eca) that can pose a diagnostic challenge and/or are associated. Morphologic features of corded and hyalinized endometrioid carcinoma (chec). To provide a comprehensive practical review of standardized grossing, key morphologic findings for. Spindle Cell Endometrioid Carcinoma.
From www.surgpath.theclinics.com
Pathology of Endometrioid and Clear Cell Carcinoma of the Ovary Spindle Cell Endometrioid Carcinoma Morphologic features of corded and hyalinized endometrioid carcinoma (chec). This article reviews the salient features of variants of endometrioid carcinoma (eca) that can pose a diagnostic challenge and/or are associated. Corded and hyalinized and spindled carcinomas are rare variants of endometrioid carcinoma (ec) characterized by cords of low. The latter shows definite evidence of keratinization in. (3) eca with mucinous. Spindle Cell Endometrioid Carcinoma.
From europepmc.org
Second Primary Spindle Cell Carcinoma of the Tongue A Rare Histology Spindle Cell Endometrioid Carcinoma (3) eca with mucinous differentiation (this tumor can be. To provide a comprehensive practical review of standardized grossing, key morphologic findings for reporting and staging, and diagnostic and prognostic use of ancillary. Morphologic features of corded and hyalinized endometrioid carcinoma (chec). Endometrioid carcinoma with spindle cells in an area of squamous differentiation (a). Pathologic examination showed an endometrioid endometrial carcinoma. Spindle Cell Endometrioid Carcinoma.
From www.pathologyoutlines.com
Pathology Outlines Endometrioid carcinoma Spindle Cell Endometrioid Carcinoma To provide a comprehensive practical review of standardized grossing, key morphologic findings for reporting and staging, and diagnostic and prognostic use of ancillary. Chec can show variable morphology, including cords of. This article reviews the salient features of variants of endometrioid carcinoma (eca) that can pose a diagnostic challenge and/or are associated. The latter shows definite evidence of keratinization in.. Spindle Cell Endometrioid Carcinoma.
From www.pathologyoutlines.com
Pathology Outlines Endometrioid carcinoma Spindle Cell Endometrioid Carcinoma Pathologic examination showed an endometrioid endometrial carcinoma with spindle cell differentiation arising in an endometrial polyp,. Chec can show variable morphology, including cords of. (3) eca with mucinous differentiation (this tumor can be. To provide a comprehensive practical review of standardized grossing, key morphologic findings for reporting and staging, and diagnostic and prognostic use of ancillary. The latter shows definite. Spindle Cell Endometrioid Carcinoma.
From www.surgpath.theclinics.com
Spindle Cell Lesions of the Breast Surgical Pathology Clinics Spindle Cell Endometrioid Carcinoma Corded and hyalinized and spindled carcinomas are rare variants of endometrioid carcinoma (ec) characterized by cords of low. Pathologic examination showed an endometrioid endometrial carcinoma with spindle cell differentiation arising in an endometrial polyp,. (3) eca with mucinous differentiation (this tumor can be. To provide a comprehensive practical review of standardized grossing, key morphologic findings for reporting and staging, and. Spindle Cell Endometrioid Carcinoma.
From www.researchgate.net
(ae) Metastatic endometrioid carcinoma (a) Infiltrating tubular Spindle Cell Endometrioid Carcinoma Endometrioid carcinoma with spindle cells in an area of squamous differentiation (a). Corded and hyalinized and spindled carcinomas are rare variants of endometrioid carcinoma (ec) characterized by cords of low. This article reviews the salient features of variants of endometrioid carcinoma (eca) that can pose a diagnostic challenge and/or are associated. Chec can show variable morphology, including cords of. Pathologic. Spindle Cell Endometrioid Carcinoma.
From www.researchgate.net
HE of carcinoma. a Giant cell carcinoma (HE, 400 ×). b Spindle Cell Endometrioid Carcinoma Chec can show variable morphology, including cords of. (3) eca with mucinous differentiation (this tumor can be. The latter shows definite evidence of keratinization in. Pathologic examination showed an endometrioid endometrial carcinoma with spindle cell differentiation arising in an endometrial polyp,. To provide a comprehensive practical review of standardized grossing, key morphologic findings for reporting and staging, and diagnostic and. Spindle Cell Endometrioid Carcinoma.
From www.pathologyoutlines.com
Pathology Outlines Endometrioid carcinoma Spindle Cell Endometrioid Carcinoma Chec can show variable morphology, including cords of. (3) eca with mucinous differentiation (this tumor can be. This article reviews the salient features of variants of endometrioid carcinoma (eca) that can pose a diagnostic challenge and/or are associated. Endometrioid carcinoma with spindle cells in an area of squamous differentiation (a). To provide a comprehensive practical review of standardized grossing, key. Spindle Cell Endometrioid Carcinoma.
From www.pathologyoutlines.com
Pathology Outlines Endometrioid carcinoma Spindle Cell Endometrioid Carcinoma This article reviews the salient features of variants of endometrioid carcinoma (eca) that can pose a diagnostic challenge and/or are associated. Chec can show variable morphology, including cords of. Morphologic features of corded and hyalinized endometrioid carcinoma (chec). The latter shows definite evidence of keratinization in. Endometrioid carcinoma with spindle cells in an area of squamous differentiation (a). Corded and. Spindle Cell Endometrioid Carcinoma.
From www.pathologyoutlines.com
Pathology Outlines Endometrioid carcinoma Spindle Cell Endometrioid Carcinoma To provide a comprehensive practical review of standardized grossing, key morphologic findings for reporting and staging, and diagnostic and prognostic use of ancillary. Pathologic examination showed an endometrioid endometrial carcinoma with spindle cell differentiation arising in an endometrial polyp,. Morphologic features of corded and hyalinized endometrioid carcinoma (chec). (3) eca with mucinous differentiation (this tumor can be. Endometrioid carcinoma with. Spindle Cell Endometrioid Carcinoma.
From www.pathologyoutlines.com
Pathology Outlines Endometrioid carcinoma Spindle Cell Endometrioid Carcinoma (3) eca with mucinous differentiation (this tumor can be. Endometrioid carcinoma with spindle cells in an area of squamous differentiation (a). Morphologic features of corded and hyalinized endometrioid carcinoma (chec). Chec can show variable morphology, including cords of. Pathologic examination showed an endometrioid endometrial carcinoma with spindle cell differentiation arising in an endometrial polyp,. To provide a comprehensive practical review. Spindle Cell Endometrioid Carcinoma.
From www.pathologyoutlines.com
Pathology Outlines Endometrioid carcinoma Spindle Cell Endometrioid Carcinoma Corded and hyalinized and spindled carcinomas are rare variants of endometrioid carcinoma (ec) characterized by cords of low. To provide a comprehensive practical review of standardized grossing, key morphologic findings for reporting and staging, and diagnostic and prognostic use of ancillary. (3) eca with mucinous differentiation (this tumor can be. The latter shows definite evidence of keratinization in. Chec can. Spindle Cell Endometrioid Carcinoma.
From www.surgpath.theclinics.com
Pathology of Endometrioid and Clear Cell Carcinoma of the Ovary Spindle Cell Endometrioid Carcinoma Corded and hyalinized and spindled carcinomas are rare variants of endometrioid carcinoma (ec) characterized by cords of low. Endometrioid carcinoma with spindle cells in an area of squamous differentiation (a). Morphologic features of corded and hyalinized endometrioid carcinoma (chec). Chec can show variable morphology, including cords of. This article reviews the salient features of variants of endometrioid carcinoma (eca) that. Spindle Cell Endometrioid Carcinoma.
From www.pathologyoutlines.com
Pathology Outlines Endometrioid carcinoma Spindle Cell Endometrioid Carcinoma Corded and hyalinized and spindled carcinomas are rare variants of endometrioid carcinoma (ec) characterized by cords of low. This article reviews the salient features of variants of endometrioid carcinoma (eca) that can pose a diagnostic challenge and/or are associated. Chec can show variable morphology, including cords of. Morphologic features of corded and hyalinized endometrioid carcinoma (chec). Pathologic examination showed an. Spindle Cell Endometrioid Carcinoma.
From www.researchgate.net
The glandular pattern of endometrial serous carcinoma may mimic the Spindle Cell Endometrioid Carcinoma Morphologic features of corded and hyalinized endometrioid carcinoma (chec). (3) eca with mucinous differentiation (this tumor can be. Pathologic examination showed an endometrioid endometrial carcinoma with spindle cell differentiation arising in an endometrial polyp,. The latter shows definite evidence of keratinization in. This article reviews the salient features of variants of endometrioid carcinoma (eca) that can pose a diagnostic challenge. Spindle Cell Endometrioid Carcinoma.
From www.researchgate.net
Corded and hyalinized endometrioid carcinoma (AD). Spindled and oval Spindle Cell Endometrioid Carcinoma Morphologic features of corded and hyalinized endometrioid carcinoma (chec). To provide a comprehensive practical review of standardized grossing, key morphologic findings for reporting and staging, and diagnostic and prognostic use of ancillary. (3) eca with mucinous differentiation (this tumor can be. This article reviews the salient features of variants of endometrioid carcinoma (eca) that can pose a diagnostic challenge and/or. Spindle Cell Endometrioid Carcinoma.