Spiral Fracture Of The Distal Tibia . High association of posterior malleolus fractures with spiral distal tibia fractures A spiral fracture, also known as torsion fracture, is a type of complete fracture that occurs due to a rotational, or twisting, force. Pediatric tibial shaft fractures are the third most common long bone fracture in children. Tibia fractures can also be closed or. The long bones are the bones of the body that are longer than they are wide. Spiral fracture often caused by a twisting force, this break causes a spiraling line to appear on the bone and may become unstable over time. Diagnosis can be confirmed with plain radiographs of the tibia. A spiral fracture happens when a long bone is torn in half by a twisting force or impact. Spiral fractures are complete fractures of long bones that result from a rotational force applied to the bone.
from www.researchgate.net
Pediatric tibial shaft fractures are the third most common long bone fracture in children. Tibia fractures can also be closed or. High association of posterior malleolus fractures with spiral distal tibia fractures Diagnosis can be confirmed with plain radiographs of the tibia. Spiral fractures are complete fractures of long bones that result from a rotational force applied to the bone. The long bones are the bones of the body that are longer than they are wide. Spiral fracture often caused by a twisting force, this break causes a spiraling line to appear on the bone and may become unstable over time. A spiral fracture happens when a long bone is torn in half by a twisting force or impact. A spiral fracture, also known as torsion fracture, is a type of complete fracture that occurs due to a rotational, or twisting, force.
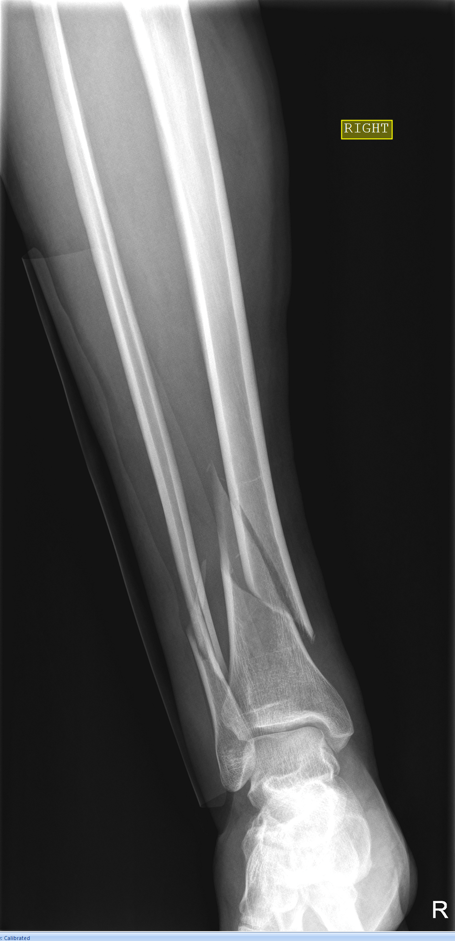
The spiral tibia fracture line was contiguous with the PMF in this
Spiral Fracture Of The Distal Tibia Pediatric tibial shaft fractures are the third most common long bone fracture in children. Tibia fractures can also be closed or. A spiral fracture, also known as torsion fracture, is a type of complete fracture that occurs due to a rotational, or twisting, force. A spiral fracture happens when a long bone is torn in half by a twisting force or impact. Pediatric tibial shaft fractures are the third most common long bone fracture in children. Spiral fractures are complete fractures of long bones that result from a rotational force applied to the bone. High association of posterior malleolus fractures with spiral distal tibia fractures The long bones are the bones of the body that are longer than they are wide. Diagnosis can be confirmed with plain radiographs of the tibia. Spiral fracture often caused by a twisting force, this break causes a spiraling line to appear on the bone and may become unstable over time.
From fracturetreatment.blogspot.ca
Spiral Fracture Of Tibia Fracture Treatment Spiral Fracture Of The Distal Tibia A spiral fracture happens when a long bone is torn in half by a twisting force or impact. High association of posterior malleolus fractures with spiral distal tibia fractures A spiral fracture, also known as torsion fracture, is a type of complete fracture that occurs due to a rotational, or twisting, force. Tibia fractures can also be closed or. Diagnosis. Spiral Fracture Of The Distal Tibia.
From healthjade.net
Spiral fracture definition, causes, symptoms, treatment & recovery time Spiral Fracture Of The Distal Tibia High association of posterior malleolus fractures with spiral distal tibia fractures Spiral fractures are complete fractures of long bones that result from a rotational force applied to the bone. The long bones are the bones of the body that are longer than they are wide. Pediatric tibial shaft fractures are the third most common long bone fracture in children. Tibia. Spiral Fracture Of The Distal Tibia.
From ar.inspiredpencil.com
Spiral Fracture Tibia Spiral Fracture Of The Distal Tibia Tibia fractures can also be closed or. Pediatric tibial shaft fractures are the third most common long bone fracture in children. A spiral fracture happens when a long bone is torn in half by a twisting force or impact. Spiral fractures are complete fractures of long bones that result from a rotational force applied to the bone. High association of. Spiral Fracture Of The Distal Tibia.
From www.pinterest.com
Spiral Fracture Healing Time, Tibia, and Fibula Spiral fracture Spiral Fracture Of The Distal Tibia The long bones are the bones of the body that are longer than they are wide. Spiral fracture often caused by a twisting force, this break causes a spiraling line to appear on the bone and may become unstable over time. Pediatric tibial shaft fractures are the third most common long bone fracture in children. A spiral fracture, also known. Spiral Fracture Of The Distal Tibia.
From mungfali.com
Proximal Tibial Fracture Spiral Fracture Of The Distal Tibia High association of posterior malleolus fractures with spiral distal tibia fractures Spiral fractures are complete fractures of long bones that result from a rotational force applied to the bone. Spiral fracture often caused by a twisting force, this break causes a spiraling line to appear on the bone and may become unstable over time. A spiral fracture, also known as. Spiral Fracture Of The Distal Tibia.
From healthjade.net
Spiral fracture definition, causes, symptoms, treatment & recovery time Spiral Fracture Of The Distal Tibia A spiral fracture happens when a long bone is torn in half by a twisting force or impact. Spiral fracture often caused by a twisting force, this break causes a spiraling line to appear on the bone and may become unstable over time. Tibia fractures can also be closed or. High association of posterior malleolus fractures with spiral distal tibia. Spiral Fracture Of The Distal Tibia.
From ar.inspiredpencil.com
Distal Tibia Fracture Classification Spiral Fracture Of The Distal Tibia Spiral fracture often caused by a twisting force, this break causes a spiraling line to appear on the bone and may become unstable over time. The long bones are the bones of the body that are longer than they are wide. Pediatric tibial shaft fractures are the third most common long bone fracture in children. High association of posterior malleolus. Spiral Fracture Of The Distal Tibia.
From musculoskeletalkey.com
Distal tibial fractures Musculoskeletal Key Spiral Fracture Of The Distal Tibia The long bones are the bones of the body that are longer than they are wide. Pediatric tibial shaft fractures are the third most common long bone fracture in children. Spiral fractures are complete fractures of long bones that result from a rotational force applied to the bone. Tibia fractures can also be closed or. A spiral fracture happens when. Spiral Fracture Of The Distal Tibia.
From radiologykey.com
It’s the way you (don’t) walk Fractures of the tibia and fibula Spiral Fracture Of The Distal Tibia Spiral fracture often caused by a twisting force, this break causes a spiraling line to appear on the bone and may become unstable over time. A spiral fracture, also known as torsion fracture, is a type of complete fracture that occurs due to a rotational, or twisting, force. Spiral fractures are complete fractures of long bones that result from a. Spiral Fracture Of The Distal Tibia.
From joaodospneus.blogspot.com
Spiral Fracture Tibia Xray / Stress fracture of tibia Radiology at St Spiral Fracture Of The Distal Tibia Spiral fracture often caused by a twisting force, this break causes a spiraling line to appear on the bone and may become unstable over time. Tibia fractures can also be closed or. High association of posterior malleolus fractures with spiral distal tibia fractures Pediatric tibial shaft fractures are the third most common long bone fracture in children. The long bones. Spiral Fracture Of The Distal Tibia.
From www.orthobullets.com
Tibia Shaft Fractures Trauma Spiral Fracture Of The Distal Tibia Tibia fractures can also be closed or. High association of posterior malleolus fractures with spiral distal tibia fractures The long bones are the bones of the body that are longer than they are wide. Pediatric tibial shaft fractures are the third most common long bone fracture in children. A spiral fracture, also known as torsion fracture, is a type of. Spiral Fracture Of The Distal Tibia.
From mavink.com
Distal Third Tibia Fracture Spiral Fracture Of The Distal Tibia A spiral fracture, also known as torsion fracture, is a type of complete fracture that occurs due to a rotational, or twisting, force. Diagnosis can be confirmed with plain radiographs of the tibia. Spiral fractures are complete fractures of long bones that result from a rotational force applied to the bone. High association of posterior malleolus fractures with spiral distal. Spiral Fracture Of The Distal Tibia.
From www.researchgate.net
Spiral fracture of the distal tibia treated with a metaphyseal locking Spiral Fracture Of The Distal Tibia Tibia fractures can also be closed or. Diagnosis can be confirmed with plain radiographs of the tibia. Spiral fractures are complete fractures of long bones that result from a rotational force applied to the bone. The long bones are the bones of the body that are longer than they are wide. High association of posterior malleolus fractures with spiral distal. Spiral Fracture Of The Distal Tibia.
From www.ncbi.nlm.nih.gov
[Figure, Tibial Fracture Spiral fracture of the distal tibia Spiral Fracture Of The Distal Tibia The long bones are the bones of the body that are longer than they are wide. Tibia fractures can also be closed or. A spiral fracture, also known as torsion fracture, is a type of complete fracture that occurs due to a rotational, or twisting, force. A spiral fracture happens when a long bone is torn in half by a. Spiral Fracture Of The Distal Tibia.
From healthjade.net
Tibial shaft fracture causes, types, symptoms, diagnosis, treatment Spiral Fracture Of The Distal Tibia High association of posterior malleolus fractures with spiral distal tibia fractures Spiral fractures are complete fractures of long bones that result from a rotational force applied to the bone. Diagnosis can be confirmed with plain radiographs of the tibia. The long bones are the bones of the body that are longer than they are wide. A spiral fracture, also known. Spiral Fracture Of The Distal Tibia.
From practiss.ca
Practiss Spiral Fracture Of The Distal Tibia Spiral fracture often caused by a twisting force, this break causes a spiraling line to appear on the bone and may become unstable over time. High association of posterior malleolus fractures with spiral distal tibia fractures Diagnosis can be confirmed with plain radiographs of the tibia. The long bones are the bones of the body that are longer than they. Spiral Fracture Of The Distal Tibia.
From healthjade.net
Tibial shaft fracture causes, types, symptoms, diagnosis, treatment Spiral Fracture Of The Distal Tibia A spiral fracture, also known as torsion fracture, is a type of complete fracture that occurs due to a rotational, or twisting, force. Pediatric tibial shaft fractures are the third most common long bone fracture in children. Spiral fractures are complete fractures of long bones that result from a rotational force applied to the bone. Diagnosis can be confirmed with. Spiral Fracture Of The Distal Tibia.
From www.orthobullets.com
Tibial Shaft Fractures Trauma Orthobullets Spiral Fracture Of The Distal Tibia The long bones are the bones of the body that are longer than they are wide. High association of posterior malleolus fractures with spiral distal tibia fractures A spiral fracture happens when a long bone is torn in half by a twisting force or impact. Tibia fractures can also be closed or. Pediatric tibial shaft fractures are the third most. Spiral Fracture Of The Distal Tibia.
From www.sysmedtechint.com
Types of tibia fracture to SYS MEDTECH INTERNATIONAL PRIVATE Spiral Fracture Of The Distal Tibia Spiral fracture often caused by a twisting force, this break causes a spiraling line to appear on the bone and may become unstable over time. Diagnosis can be confirmed with plain radiographs of the tibia. A spiral fracture happens when a long bone is torn in half by a twisting force or impact. Spiral fractures are complete fractures of long. Spiral Fracture Of The Distal Tibia.
From www.researchgate.net
(PDF) Fractures of the tibial shaft in adults Spiral Fracture Of The Distal Tibia A spiral fracture happens when a long bone is torn in half by a twisting force or impact. Spiral fracture often caused by a twisting force, this break causes a spiraling line to appear on the bone and may become unstable over time. Spiral fractures are complete fractures of long bones that result from a rotational force applied to the. Spiral Fracture Of The Distal Tibia.
From www.ctisus.com
Spiral Fracture of the Distal Tibia and Fibula Musculoskeletal Case Spiral Fracture Of The Distal Tibia Spiral fracture often caused by a twisting force, this break causes a spiraling line to appear on the bone and may become unstable over time. The long bones are the bones of the body that are longer than they are wide. A spiral fracture happens when a long bone is torn in half by a twisting force or impact. Diagnosis. Spiral Fracture Of The Distal Tibia.
From www.researchgate.net
The spiral tibia fracture line was contiguous with the PMF in this Spiral Fracture Of The Distal Tibia High association of posterior malleolus fractures with spiral distal tibia fractures Tibia fractures can also be closed or. Spiral fracture often caused by a twisting force, this break causes a spiraling line to appear on the bone and may become unstable over time. Pediatric tibial shaft fractures are the third most common long bone fracture in children. Spiral fractures are. Spiral Fracture Of The Distal Tibia.
From healthjade.net
Tibial shaft fracture causes, types, symptoms, diagnosis, treatment Spiral Fracture Of The Distal Tibia A spiral fracture, also known as torsion fracture, is a type of complete fracture that occurs due to a rotational, or twisting, force. A spiral fracture happens when a long bone is torn in half by a twisting force or impact. Pediatric tibial shaft fractures are the third most common long bone fracture in children. Spiral fracture often caused by. Spiral Fracture Of The Distal Tibia.
From www.pinnaxis.com
Spiral Distal Tibial Fracture Radiology Case, 51 OFF Spiral Fracture Of The Distal Tibia Spiral fractures are complete fractures of long bones that result from a rotational force applied to the bone. High association of posterior malleolus fractures with spiral distal tibia fractures Spiral fracture often caused by a twisting force, this break causes a spiraling line to appear on the bone and may become unstable over time. A spiral fracture happens when a. Spiral Fracture Of The Distal Tibia.
From enak.heroinewarrior.com
Spiral Fracture Healing Time, Tibia, and Fibula Spiral Fracture Of The Distal Tibia The long bones are the bones of the body that are longer than they are wide. A spiral fracture happens when a long bone is torn in half by a twisting force or impact. Pediatric tibial shaft fractures are the third most common long bone fracture in children. High association of posterior malleolus fractures with spiral distal tibia fractures A. Spiral Fracture Of The Distal Tibia.
From lookfordiagnosis.com
Tibial Fractures Spiral Fracture Of The Distal Tibia Spiral fracture often caused by a twisting force, this break causes a spiraling line to appear on the bone and may become unstable over time. The long bones are the bones of the body that are longer than they are wide. Tibia fractures can also be closed or. A spiral fracture, also known as torsion fracture, is a type of. Spiral Fracture Of The Distal Tibia.
From healthjade.net
Tibial shaft fracture causes, types, symptoms, diagnosis, treatment Spiral Fracture Of The Distal Tibia A spiral fracture, also known as torsion fracture, is a type of complete fracture that occurs due to a rotational, or twisting, force. Tibia fractures can also be closed or. Pediatric tibial shaft fractures are the third most common long bone fracture in children. Spiral fracture often caused by a twisting force, this break causes a spiraling line to appear. Spiral Fracture Of The Distal Tibia.
From www.researchgate.net
Right distal third spiral tibia fracture (a) with normal appearing Spiral Fracture Of The Distal Tibia Pediatric tibial shaft fractures are the third most common long bone fracture in children. Diagnosis can be confirmed with plain radiographs of the tibia. High association of posterior malleolus fractures with spiral distal tibia fractures Tibia fractures can also be closed or. The long bones are the bones of the body that are longer than they are wide. Spiral fracture. Spiral Fracture Of The Distal Tibia.
From www.boneschool.com
Distal Tibial Fractures The Bone School Spiral Fracture Of The Distal Tibia The long bones are the bones of the body that are longer than they are wide. Diagnosis can be confirmed with plain radiographs of the tibia. Spiral fracture often caused by a twisting force, this break causes a spiraling line to appear on the bone and may become unstable over time. Pediatric tibial shaft fractures are the third most common. Spiral Fracture Of The Distal Tibia.
From www.medicalnewstoday.com
Tibia fracture Types, symptoms, and treatment Spiral Fracture Of The Distal Tibia High association of posterior malleolus fractures with spiral distal tibia fractures Spiral fracture often caused by a twisting force, this break causes a spiraling line to appear on the bone and may become unstable over time. Spiral fractures are complete fractures of long bones that result from a rotational force applied to the bone. The long bones are the bones. Spiral Fracture Of The Distal Tibia.
From www.istockphoto.com
Spiral Fracture Of Tibia X Ray Image Stock Photo Download Image Now Spiral Fracture Of The Distal Tibia Spiral fractures are complete fractures of long bones that result from a rotational force applied to the bone. A spiral fracture, also known as torsion fracture, is a type of complete fracture that occurs due to a rotational, or twisting, force. High association of posterior malleolus fractures with spiral distal tibia fractures The long bones are the bones of the. Spiral Fracture Of The Distal Tibia.
From healthjade.net
Spiral fracture definition, causes, symptoms, treatment & recovery time Spiral Fracture Of The Distal Tibia Tibia fractures can also be closed or. Spiral fractures are complete fractures of long bones that result from a rotational force applied to the bone. A spiral fracture happens when a long bone is torn in half by a twisting force or impact. The long bones are the bones of the body that are longer than they are wide. High. Spiral Fracture Of The Distal Tibia.
From klatldjjv.blob.core.windows.net
Spiral Fracture XRay at Christine Lynch blog Spiral Fracture Of The Distal Tibia The long bones are the bones of the body that are longer than they are wide. A spiral fracture, also known as torsion fracture, is a type of complete fracture that occurs due to a rotational, or twisting, force. High association of posterior malleolus fractures with spiral distal tibia fractures A spiral fracture happens when a long bone is torn. Spiral Fracture Of The Distal Tibia.
From www.semanticscholar.org
Figure 3 from Triplane fracture of the distal tibial epiphysis and Spiral Fracture Of The Distal Tibia A spiral fracture happens when a long bone is torn in half by a twisting force or impact. The long bones are the bones of the body that are longer than they are wide. A spiral fracture, also known as torsion fracture, is a type of complete fracture that occurs due to a rotational, or twisting, force. Pediatric tibial shaft. Spiral Fracture Of The Distal Tibia.
From www.researchgate.net
A 54yearold female patient who suffered a distal tibial shaft spiral Spiral Fracture Of The Distal Tibia High association of posterior malleolus fractures with spiral distal tibia fractures A spiral fracture, also known as torsion fracture, is a type of complete fracture that occurs due to a rotational, or twisting, force. Tibia fractures can also be closed or. Spiral fractures are complete fractures of long bones that result from a rotational force applied to the bone. Diagnosis. Spiral Fracture Of The Distal Tibia.