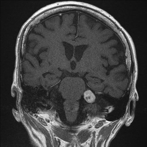
Acoustic Neuroma Group . An acoustic neuroma (vestibular schwannoma) is a noncancerous growth that occurs near the facial nerve. You and your health care team may decide to. The acoustic neuroma association is the premier resource to the acoustic neuroma community, informing, educating, and supporting those. Monitoring, surgery or radiation therapy. Read on to learn more about its. It's also known as a vestibular schwannoma. They tend to occupy the. There are three treatment approaches for acoustic neuroma: Acoustic neuromas are tumors that develop from the sheath of schwann cells.
from www.verywellhealth.com
Read on to learn more about its. Acoustic neuromas are tumors that develop from the sheath of schwann cells. It's also known as a vestibular schwannoma. There are three treatment approaches for acoustic neuroma: An acoustic neuroma (vestibular schwannoma) is a noncancerous growth that occurs near the facial nerve. Monitoring, surgery or radiation therapy. You and your health care team may decide to. The acoustic neuroma association is the premier resource to the acoustic neuroma community, informing, educating, and supporting those. They tend to occupy the.
Acoustic Neuroma Symptoms, Diagnosis, and Treatment
Acoustic Neuroma Group Monitoring, surgery or radiation therapy. Monitoring, surgery or radiation therapy. The acoustic neuroma association is the premier resource to the acoustic neuroma community, informing, educating, and supporting those. Acoustic neuromas are tumors that develop from the sheath of schwann cells. You and your health care team may decide to. Read on to learn more about its. It's also known as a vestibular schwannoma. They tend to occupy the. There are three treatment approaches for acoustic neuroma: An acoustic neuroma (vestibular schwannoma) is a noncancerous growth that occurs near the facial nerve.
From www.scribd.com
Acoustic Neuroma Acoustic Neuroma & Hearing Loss Acoustic Neuroma Group They tend to occupy the. It's also known as a vestibular schwannoma. Monitoring, surgery or radiation therapy. The acoustic neuroma association is the premier resource to the acoustic neuroma community, informing, educating, and supporting those. There are three treatment approaches for acoustic neuroma: An acoustic neuroma (vestibular schwannoma) is a noncancerous growth that occurs near the facial nerve. Acoustic neuromas. Acoustic Neuroma Group.
From www.bhimar.org
Acoustic Neuroma Acoustic Neuroma Group Read on to learn more about its. There are three treatment approaches for acoustic neuroma: An acoustic neuroma (vestibular schwannoma) is a noncancerous growth that occurs near the facial nerve. Acoustic neuromas are tumors that develop from the sheath of schwann cells. It's also known as a vestibular schwannoma. They tend to occupy the. The acoustic neuroma association is the. Acoustic Neuroma Group.
From www.physio-pedia.com
Acoustic Neuroma Physiopedia Acoustic Neuroma Group Read on to learn more about its. They tend to occupy the. The acoustic neuroma association is the premier resource to the acoustic neuroma community, informing, educating, and supporting those. Monitoring, surgery or radiation therapy. There are three treatment approaches for acoustic neuroma: You and your health care team may decide to. An acoustic neuroma (vestibular schwannoma) is a noncancerous. Acoustic Neuroma Group.
From www.researchgate.net
resonance images of various types of acoustic neuromas Acoustic Neuroma Group The acoustic neuroma association is the premier resource to the acoustic neuroma community, informing, educating, and supporting those. Monitoring, surgery or radiation therapy. You and your health care team may decide to. There are three treatment approaches for acoustic neuroma: Read on to learn more about its. They tend to occupy the. Acoustic neuromas are tumors that develop from the. Acoustic Neuroma Group.
From brainstrust.org.uk
Acoustic Neuroma Group Brainstrust, brain tumour charity Acoustic Neuroma Group An acoustic neuroma (vestibular schwannoma) is a noncancerous growth that occurs near the facial nerve. Acoustic neuromas are tumors that develop from the sheath of schwann cells. Read on to learn more about its. You and your health care team may decide to. There are three treatment approaches for acoustic neuroma: Monitoring, surgery or radiation therapy. They tend to occupy. Acoustic Neuroma Group.
From radiopaedia.org
Acoustic neuroma Image Acoustic Neuroma Group They tend to occupy the. Read on to learn more about its. The acoustic neuroma association is the premier resource to the acoustic neuroma community, informing, educating, and supporting those. There are three treatment approaches for acoustic neuroma: It's also known as a vestibular schwannoma. Acoustic neuromas are tumors that develop from the sheath of schwann cells. Monitoring, surgery or. Acoustic Neuroma Group.
From www.vrogue.co
Acoustic Neuroma Schwannoma Treatment Symptoms And Ca vrogue.co Acoustic Neuroma Group There are three treatment approaches for acoustic neuroma: Monitoring, surgery or radiation therapy. They tend to occupy the. The acoustic neuroma association is the premier resource to the acoustic neuroma community, informing, educating, and supporting those. Read on to learn more about its. An acoustic neuroma (vestibular schwannoma) is a noncancerous growth that occurs near the facial nerve. It's also. Acoustic Neuroma Group.
From brainstrust.org.uk
Acoustic Neuroma Group Brainstrust, brain tumour charity Acoustic Neuroma Group Read on to learn more about its. It's also known as a vestibular schwannoma. Monitoring, surgery or radiation therapy. You and your health care team may decide to. There are three treatment approaches for acoustic neuroma: An acoustic neuroma (vestibular schwannoma) is a noncancerous growth that occurs near the facial nerve. Acoustic neuromas are tumors that develop from the sheath. Acoustic Neuroma Group.
From www.aaroncohen-gadol.com
Acoustic Neuroma Treatment Expert Surgeon Aaron CohenGadol, MD Acoustic Neuroma Group It's also known as a vestibular schwannoma. The acoustic neuroma association is the premier resource to the acoustic neuroma community, informing, educating, and supporting those. An acoustic neuroma (vestibular schwannoma) is a noncancerous growth that occurs near the facial nerve. Acoustic neuromas are tumors that develop from the sheath of schwann cells. You and your health care team may decide. Acoustic Neuroma Group.
From healthjade.com
Acoustic Neuroma Causes, Symptoms, Diagnosis, Treatment Acoustic Neuroma Group It's also known as a vestibular schwannoma. There are three treatment approaches for acoustic neuroma: They tend to occupy the. Read on to learn more about its. An acoustic neuroma (vestibular schwannoma) is a noncancerous growth that occurs near the facial nerve. You and your health care team may decide to. The acoustic neuroma association is the premier resource to. Acoustic Neuroma Group.
From ycantho.com
Acoustic Neuronoma (group 3 Swim or Sink) Acoustic Neuroma Group Monitoring, surgery or radiation therapy. Acoustic neuromas are tumors that develop from the sheath of schwann cells. An acoustic neuroma (vestibular schwannoma) is a noncancerous growth that occurs near the facial nerve. You and your health care team may decide to. It's also known as a vestibular schwannoma. There are three treatment approaches for acoustic neuroma: The acoustic neuroma association. Acoustic Neuroma Group.
From www.barrowneuro.org
Acoustic Neuroma Diagnosis and Treatment Barrow Neurological Institute Acoustic Neuroma Group Monitoring, surgery or radiation therapy. Acoustic neuromas are tumors that develop from the sheath of schwann cells. There are three treatment approaches for acoustic neuroma: An acoustic neuroma (vestibular schwannoma) is a noncancerous growth that occurs near the facial nerve. Read on to learn more about its. They tend to occupy the. The acoustic neuroma association is the premier resource. Acoustic Neuroma Group.
From radiopaedia.org
Acoustic neuroma Image Acoustic Neuroma Group There are three treatment approaches for acoustic neuroma: Monitoring, surgery or radiation therapy. An acoustic neuroma (vestibular schwannoma) is a noncancerous growth that occurs near the facial nerve. They tend to occupy the. It's also known as a vestibular schwannoma. Read on to learn more about its. The acoustic neuroma association is the premier resource to the acoustic neuroma community,. Acoustic Neuroma Group.
From www.svuhradiology.ie
Acoustic neuroma Radiology at St. Vincent's University Hospital Acoustic Neuroma Group There are three treatment approaches for acoustic neuroma: It's also known as a vestibular schwannoma. An acoustic neuroma (vestibular schwannoma) is a noncancerous growth that occurs near the facial nerve. Monitoring, surgery or radiation therapy. Read on to learn more about its. The acoustic neuroma association is the premier resource to the acoustic neuroma community, informing, educating, and supporting those.. Acoustic Neuroma Group.
From www.avcphysio.com.au
Vestibular Schwannoma / Acoustic Neuroma Advanced Vestibular Clinics Acoustic Neuroma Group An acoustic neuroma (vestibular schwannoma) is a noncancerous growth that occurs near the facial nerve. You and your health care team may decide to. Monitoring, surgery or radiation therapy. Read on to learn more about its. They tend to occupy the. Acoustic neuromas are tumors that develop from the sheath of schwann cells. There are three treatment approaches for acoustic. Acoustic Neuroma Group.
From mdwestone.com
Acoustic Neuroma Acoustic Neuroma Group An acoustic neuroma (vestibular schwannoma) is a noncancerous growth that occurs near the facial nerve. There are three treatment approaches for acoustic neuroma: The acoustic neuroma association is the premier resource to the acoustic neuroma community, informing, educating, and supporting those. Acoustic neuromas are tumors that develop from the sheath of schwann cells. Read on to learn more about its.. Acoustic Neuroma Group.
From www.homenaturalcures.com
Acoustic Neuroma Symptoms, Causes And Other Risk Factors Acoustic Neuroma Group There are three treatment approaches for acoustic neuroma: It's also known as a vestibular schwannoma. Acoustic neuromas are tumors that develop from the sheath of schwann cells. Read on to learn more about its. They tend to occupy the. Monitoring, surgery or radiation therapy. An acoustic neuroma (vestibular schwannoma) is a noncancerous growth that occurs near the facial nerve. The. Acoustic Neuroma Group.
From www.alamy.com
Acoustic Neuroma Stock Photo Alamy Acoustic Neuroma Group There are three treatment approaches for acoustic neuroma: The acoustic neuroma association is the premier resource to the acoustic neuroma community, informing, educating, and supporting those. They tend to occupy the. You and your health care team may decide to. An acoustic neuroma (vestibular schwannoma) is a noncancerous growth that occurs near the facial nerve. It's also known as a. Acoustic Neuroma Group.
From www.barrowneuro.org
Live Acoustic Neuroma Surgery Meet the Surgeons Barrow Neurological Acoustic Neuroma Group It's also known as a vestibular schwannoma. Monitoring, surgery or radiation therapy. Acoustic neuromas are tumors that develop from the sheath of schwann cells. An acoustic neuroma (vestibular schwannoma) is a noncancerous growth that occurs near the facial nerve. They tend to occupy the. There are three treatment approaches for acoustic neuroma: Read on to learn more about its. You. Acoustic Neuroma Group.
From www.slideserve.com
PPT gamma knife for acoustic neuroma PowerPoint Presentation, free Acoustic Neuroma Group An acoustic neuroma (vestibular schwannoma) is a noncancerous growth that occurs near the facial nerve. There are three treatment approaches for acoustic neuroma: You and your health care team may decide to. They tend to occupy the. Acoustic neuromas are tumors that develop from the sheath of schwann cells. The acoustic neuroma association is the premier resource to the acoustic. Acoustic Neuroma Group.
From journals.sagepub.com
Resection of small acoustic neuroma using the transcanal Acoustic Neuroma Group They tend to occupy the. Monitoring, surgery or radiation therapy. It's also known as a vestibular schwannoma. An acoustic neuroma (vestibular schwannoma) is a noncancerous growth that occurs near the facial nerve. The acoustic neuroma association is the premier resource to the acoustic neuroma community, informing, educating, and supporting those. Read on to learn more about its. Acoustic neuromas are. Acoustic Neuroma Group.
From www.slideserve.com
PPT Quality of life among individuals diagnosed with an acoustic Acoustic Neuroma Group Monitoring, surgery or radiation therapy. You and your health care team may decide to. There are three treatment approaches for acoustic neuroma: They tend to occupy the. An acoustic neuroma (vestibular schwannoma) is a noncancerous growth that occurs near the facial nerve. Acoustic neuromas are tumors that develop from the sheath of schwann cells. Read on to learn more about. Acoustic Neuroma Group.
From healthool.com
Acoustic Neuroma Symptoms, Causes, Pictures, Treatment, Surgery Acoustic Neuroma Group There are three treatment approaches for acoustic neuroma: Acoustic neuromas are tumors that develop from the sheath of schwann cells. An acoustic neuroma (vestibular schwannoma) is a noncancerous growth that occurs near the facial nerve. Monitoring, surgery or radiation therapy. The acoustic neuroma association is the premier resource to the acoustic neuroma community, informing, educating, and supporting those. You and. Acoustic Neuroma Group.
From brainstrust.org.uk
Our First Acoustic Neuroma Group Brainstrust, brain tumour charity Acoustic Neuroma Group Monitoring, surgery or radiation therapy. Read on to learn more about its. An acoustic neuroma (vestibular schwannoma) is a noncancerous growth that occurs near the facial nerve. You and your health care team may decide to. The acoustic neuroma association is the premier resource to the acoustic neuroma community, informing, educating, and supporting those. Acoustic neuromas are tumors that develop. Acoustic Neuroma Group.
From www.youtube.com
Understanding Acoustic Neuromas YouTube Acoustic Neuroma Group You and your health care team may decide to. An acoustic neuroma (vestibular schwannoma) is a noncancerous growth that occurs near the facial nerve. Acoustic neuromas are tumors that develop from the sheath of schwann cells. Monitoring, surgery or radiation therapy. Read on to learn more about its. There are three treatment approaches for acoustic neuroma: The acoustic neuroma association. Acoustic Neuroma Group.
From www.verywellhealth.com
Acoustic Neuroma Symptoms, Diagnosis, and Treatment Acoustic Neuroma Group It's also known as a vestibular schwannoma. Read on to learn more about its. Monitoring, surgery or radiation therapy. The acoustic neuroma association is the premier resource to the acoustic neuroma community, informing, educating, and supporting those. They tend to occupy the. There are three treatment approaches for acoustic neuroma: An acoustic neuroma (vestibular schwannoma) is a noncancerous growth that. Acoustic Neuroma Group.
From www.eastbaybrainandspine.com
Vestibular Schwannoma/Acoustic Neuroma East Bay Brain & Spine Medical Acoustic Neuroma Group An acoustic neuroma (vestibular schwannoma) is a noncancerous growth that occurs near the facial nerve. The acoustic neuroma association is the premier resource to the acoustic neuroma community, informing, educating, and supporting those. You and your health care team may decide to. They tend to occupy the. There are three treatment approaches for acoustic neuroma: Monitoring, surgery or radiation therapy.. Acoustic Neuroma Group.
From mian-neurosurgery.com
Acoustic Neuroma — Matthew Mian, MD Acoustic Neuroma Group It's also known as a vestibular schwannoma. You and your health care team may decide to. Acoustic neuromas are tumors that develop from the sheath of schwann cells. Read on to learn more about its. An acoustic neuroma (vestibular schwannoma) is a noncancerous growth that occurs near the facial nerve. There are three treatment approaches for acoustic neuroma: Monitoring, surgery. Acoustic Neuroma Group.
From healthlibrary.askapollo.com
Acoustic Neuroma Types, Symptoms, Causes, Treatments, Surgery, MRI Acoustic Neuroma Group Acoustic neuromas are tumors that develop from the sheath of schwann cells. Monitoring, surgery or radiation therapy. It's also known as a vestibular schwannoma. You and your health care team may decide to. The acoustic neuroma association is the premier resource to the acoustic neuroma community, informing, educating, and supporting those. There are three treatment approaches for acoustic neuroma: They. Acoustic Neuroma Group.
From www.researchgate.net
Hyperventilationinduced nystagmus in two patients with acoustic Acoustic Neuroma Group They tend to occupy the. There are three treatment approaches for acoustic neuroma: The acoustic neuroma association is the premier resource to the acoustic neuroma community, informing, educating, and supporting those. Monitoring, surgery or radiation therapy. Read on to learn more about its. An acoustic neuroma (vestibular schwannoma) is a noncancerous growth that occurs near the facial nerve. It's also. Acoustic Neuroma Group.
From www.youtube.com
Acoustic Neuroma Investigation,Diagnosis and Treatment YouTube Acoustic Neuroma Group There are three treatment approaches for acoustic neuroma: Read on to learn more about its. It's also known as a vestibular schwannoma. The acoustic neuroma association is the premier resource to the acoustic neuroma community, informing, educating, and supporting those. Acoustic neuromas are tumors that develop from the sheath of schwann cells. They tend to occupy the. Monitoring, surgery or. Acoustic Neuroma Group.
From www.researchgate.net
Bilateral acoustic neuroma on resonance imaging (arrows Acoustic Neuroma Group Acoustic neuromas are tumors that develop from the sheath of schwann cells. Read on to learn more about its. They tend to occupy the. Monitoring, surgery or radiation therapy. There are three treatment approaches for acoustic neuroma: You and your health care team may decide to. It's also known as a vestibular schwannoma. The acoustic neuroma association is the premier. Acoustic Neuroma Group.
From www.aaroncohen-gadol.com
Acoustic Neuroma & Cancer Expert Surgeon Aaron CohenGadol, MD Acoustic Neuroma Group You and your health care team may decide to. Acoustic neuromas are tumors that develop from the sheath of schwann cells. There are three treatment approaches for acoustic neuroma: They tend to occupy the. Monitoring, surgery or radiation therapy. An acoustic neuroma (vestibular schwannoma) is a noncancerous growth that occurs near the facial nerve. Read on to learn more about. Acoustic Neuroma Group.
From acoustic-neuroma-brain-tumour.org
Information platform acoustic neuroma EN Acoustic Neuroma Group You and your health care team may decide to. The acoustic neuroma association is the premier resource to the acoustic neuroma community, informing, educating, and supporting those. It's also known as a vestibular schwannoma. There are three treatment approaches for acoustic neuroma: They tend to occupy the. Monitoring, surgery or radiation therapy. An acoustic neuroma (vestibular schwannoma) is a noncancerous. Acoustic Neuroma Group.
From capemedicalde.com
Acoustic Neuromas Cape Medical Group Acoustic Neuroma Group It's also known as a vestibular schwannoma. There are three treatment approaches for acoustic neuroma: The acoustic neuroma association is the premier resource to the acoustic neuroma community, informing, educating, and supporting those. Monitoring, surgery or radiation therapy. You and your health care team may decide to. An acoustic neuroma (vestibular schwannoma) is a noncancerous growth that occurs near the. Acoustic Neuroma Group.