Valve Eustachian Function . The primary function of the eustachian tube is to equalize air pressure between the atmosphere and the middle ear. The orifice of the inferior vena cava (ivc) is located in the posteroinferior region of the ra. The ev arises from the anterior portion of the. Normal anatomy of the eustachian valve. The eustachian valve (ev) is an embryonic remnant of the inferior part of the right sinus venosus valve.1 following the closure of the foramen ovale after birth, the ev, also called the Yawning and swallowing cause contraction of the. The eustachian valve (ev) is an embryonic remnant of the inferior part of the right sinus venosus valve.1following the closure of the.
from www.researchgate.net
The eustachian valve (ev) is an embryonic remnant of the inferior part of the right sinus venosus valve.1following the closure of the. Normal anatomy of the eustachian valve. The ev arises from the anterior portion of the. The orifice of the inferior vena cava (ivc) is located in the posteroinferior region of the ra. Yawning and swallowing cause contraction of the. The primary function of the eustachian tube is to equalize air pressure between the atmosphere and the middle ear. The eustachian valve (ev) is an embryonic remnant of the inferior part of the right sinus venosus valve.1 following the closure of the foramen ovale after birth, the ev, also called the
A, A prominent EV demonstrating the embryologic function of directing
Valve Eustachian Function The orifice of the inferior vena cava (ivc) is located in the posteroinferior region of the ra. The primary function of the eustachian tube is to equalize air pressure between the atmosphere and the middle ear. The eustachian valve (ev) is an embryonic remnant of the inferior part of the right sinus venosus valve.1 following the closure of the foramen ovale after birth, the ev, also called the The ev arises from the anterior portion of the. Normal anatomy of the eustachian valve. The orifice of the inferior vena cava (ivc) is located in the posteroinferior region of the ra. The eustachian valve (ev) is an embryonic remnant of the inferior part of the right sinus venosus valve.1following the closure of the. Yawning and swallowing cause contraction of the.
From www.medicalnewstoday.com
Eustachian tube dysfunction Causes, symptoms, and treatment Valve Eustachian Function Normal anatomy of the eustachian valve. The ev arises from the anterior portion of the. The primary function of the eustachian tube is to equalize air pressure between the atmosphere and the middle ear. The eustachian valve (ev) is an embryonic remnant of the inferior part of the right sinus venosus valve.1 following the closure of the foramen ovale after. Valve Eustachian Function.
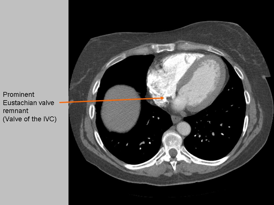
From nephropocus.com
Prominent Eustachian valve NephroPOCUS Valve Eustachian Function The primary function of the eustachian tube is to equalize air pressure between the atmosphere and the middle ear. The ev arises from the anterior portion of the. Yawning and swallowing cause contraction of the. The eustachian valve (ev) is an embryonic remnant of the inferior part of the right sinus venosus valve.1 following the closure of the foramen ovale. Valve Eustachian Function.
From www.entinfo.nz
Eustachian tube dysfunction ENT Info Valve Eustachian Function The primary function of the eustachian tube is to equalize air pressure between the atmosphere and the middle ear. The eustachian valve (ev) is an embryonic remnant of the inferior part of the right sinus venosus valve.1 following the closure of the foramen ovale after birth, the ev, also called the Normal anatomy of the eustachian valve. The ev arises. Valve Eustachian Function.
From myhealthmaven.com
Natural Options for a Blocked Eustachian Tube My Health Maven Valve Eustachian Function The eustachian valve (ev) is an embryonic remnant of the inferior part of the right sinus venosus valve.1 following the closure of the foramen ovale after birth, the ev, also called the Yawning and swallowing cause contraction of the. The ev arises from the anterior portion of the. The primary function of the eustachian tube is to equalize air pressure. Valve Eustachian Function.
From cvandir.blogspot.com
The Pump and the Tubes Eustachian Valve Valve Eustachian Function The eustachian valve (ev) is an embryonic remnant of the inferior part of the right sinus venosus valve.1 following the closure of the foramen ovale after birth, the ev, also called the The eustachian valve (ev) is an embryonic remnant of the inferior part of the right sinus venosus valve.1following the closure of the. The orifice of the inferior vena. Valve Eustachian Function.
From www.pinterest.co.kr
Eustachian Tube Dysfunction, Valsalva Maneuver, Ear Tubes, Nasal Valve Eustachian Function The eustachian valve (ev) is an embryonic remnant of the inferior part of the right sinus venosus valve.1following the closure of the. Yawning and swallowing cause contraction of the. The ev arises from the anterior portion of the. The orifice of the inferior vena cava (ivc) is located in the posteroinferior region of the ra. The eustachian valve (ev) is. Valve Eustachian Function.
From www.doctorlansford.com
Treatments for Eustachian tube dysfunction Valve Eustachian Function The eustachian valve (ev) is an embryonic remnant of the inferior part of the right sinus venosus valve.1 following the closure of the foramen ovale after birth, the ev, also called the The eustachian valve (ev) is an embryonic remnant of the inferior part of the right sinus venosus valve.1following the closure of the. The ev arises from the anterior. Valve Eustachian Function.
From byjus.com
Explain the opening and closure of eustachian valve and thebesian valve Valve Eustachian Function The primary function of the eustachian tube is to equalize air pressure between the atmosphere and the middle ear. Normal anatomy of the eustachian valve. The eustachian valve (ev) is an embryonic remnant of the inferior part of the right sinus venosus valve.1following the closure of the. The ev arises from the anterior portion of the. Yawning and swallowing cause. Valve Eustachian Function.
From www.researchgate.net
A, A prominent EV demonstrating the embryologic function of directing Valve Eustachian Function The eustachian valve (ev) is an embryonic remnant of the inferior part of the right sinus venosus valve.1following the closure of the. Normal anatomy of the eustachian valve. Yawning and swallowing cause contraction of the. The primary function of the eustachian tube is to equalize air pressure between the atmosphere and the middle ear. The orifice of the inferior vena. Valve Eustachian Function.
From www.criticalcare-sonography.com
Eustachian valve Critical Care Sonography Valve Eustachian Function The ev arises from the anterior portion of the. Yawning and swallowing cause contraction of the. The eustachian valve (ev) is an embryonic remnant of the inferior part of the right sinus venosus valve.1following the closure of the. The primary function of the eustachian tube is to equalize air pressure between the atmosphere and the middle ear. Normal anatomy of. Valve Eustachian Function.
From entokey.com
Eustachian Tube Function and Dysfunction Ento Key Valve Eustachian Function The eustachian valve (ev) is an embryonic remnant of the inferior part of the right sinus venosus valve.1following the closure of the. Yawning and swallowing cause contraction of the. Normal anatomy of the eustachian valve. The orifice of the inferior vena cava (ivc) is located in the posteroinferior region of the ra. The ev arises from the anterior portion of. Valve Eustachian Function.
From cvandir.blogspot.com
The Pump and the Tubes Eustachian Valve Valve Eustachian Function The ev arises from the anterior portion of the. The primary function of the eustachian tube is to equalize air pressure between the atmosphere and the middle ear. The eustachian valve (ev) is an embryonic remnant of the inferior part of the right sinus venosus valve.1 following the closure of the foramen ovale after birth, the ev, also called the. Valve Eustachian Function.
From www.primagem.org
Eustachian Drainage Best Drain Photos Valve Eustachian Function Yawning and swallowing cause contraction of the. The primary function of the eustachian tube is to equalize air pressure between the atmosphere and the middle ear. The ev arises from the anterior portion of the. The eustachian valve (ev) is an embryonic remnant of the inferior part of the right sinus venosus valve.1 following the closure of the foramen ovale. Valve Eustachian Function.
From www.semanticscholar.org
[PDF] Prominence of the Eustachian valve in paradoxical embolism Valve Eustachian Function Yawning and swallowing cause contraction of the. The primary function of the eustachian tube is to equalize air pressure between the atmosphere and the middle ear. The eustachian valve (ev) is an embryonic remnant of the inferior part of the right sinus venosus valve.1 following the closure of the foramen ovale after birth, the ev, also called the Normal anatomy. Valve Eustachian Function.
From earandsinusinstitute.com
Eustachian Tube Balloon Dilation Ear & Sinus Institute Valve Eustachian Function The primary function of the eustachian tube is to equalize air pressure between the atmosphere and the middle ear. The eustachian valve (ev) is an embryonic remnant of the inferior part of the right sinus venosus valve.1 following the closure of the foramen ovale after birth, the ev, also called the The ev arises from the anterior portion of the.. Valve Eustachian Function.
From www.youtube.com
Eustachian Tube Function Tests Animationš ENT lectures MBBS 3rd year Valve Eustachian Function Yawning and swallowing cause contraction of the. The primary function of the eustachian tube is to equalize air pressure between the atmosphere and the middle ear. Normal anatomy of the eustachian valve. The ev arises from the anterior portion of the. The orifice of the inferior vena cava (ivc) is located in the posteroinferior region of the ra. The eustachian. Valve Eustachian Function.
From www.happyearshearing.com
Eustachian Tubes Dysfunction and How It Affects Hearing Valve Eustachian Function Yawning and swallowing cause contraction of the. The ev arises from the anterior portion of the. Normal anatomy of the eustachian valve. The primary function of the eustachian tube is to equalize air pressure between the atmosphere and the middle ear. The eustachian valve (ev) is an embryonic remnant of the inferior part of the right sinus venosus valve.1following the. Valve Eustachian Function.
From pt.slideshare.net
Eustachian Tube Valve Eustachian Function The primary function of the eustachian tube is to equalize air pressure between the atmosphere and the middle ear. The ev arises from the anterior portion of the. The eustachian valve (ev) is an embryonic remnant of the inferior part of the right sinus venosus valve.1following the closure of the. The orifice of the inferior vena cava (ivc) is located. Valve Eustachian Function.
From teachmeanatomy.info
The Eustachian (Auditory) Tube Osseous Cartilaginous TeachMeAnatomy Valve Eustachian Function The eustachian valve (ev) is an embryonic remnant of the inferior part of the right sinus venosus valve.1 following the closure of the foramen ovale after birth, the ev, also called the Yawning and swallowing cause contraction of the. The ev arises from the anterior portion of the. The primary function of the eustachian tube is to equalize air pressure. Valve Eustachian Function.
From earandsinusinstitute.com
Eustachian Tube Anatomy 1 Ear & Sinus Institute Valve Eustachian Function Normal anatomy of the eustachian valve. Yawning and swallowing cause contraction of the. The eustachian valve (ev) is an embryonic remnant of the inferior part of the right sinus venosus valve.1following the closure of the. The ev arises from the anterior portion of the. The orifice of the inferior vena cava (ivc) is located in the posteroinferior region of the. Valve Eustachian Function.
From www.prepladder.com
Eustachian Tube (Anatomy, Physiology and Diagnostic Tests) Valve Eustachian Function Yawning and swallowing cause contraction of the. Normal anatomy of the eustachian valve. The eustachian valve (ev) is an embryonic remnant of the inferior part of the right sinus venosus valve.1following the closure of the. The primary function of the eustachian tube is to equalize air pressure between the atmosphere and the middle ear. The eustachian valve (ev) is an. Valve Eustachian Function.
From www.entlecture.com
Eustachian Tube Anatomy Bony and cartilaginous parts, Ostman pad of Valve Eustachian Function The eustachian valve (ev) is an embryonic remnant of the inferior part of the right sinus venosus valve.1 following the closure of the foramen ovale after birth, the ev, also called the Normal anatomy of the eustachian valve. The ev arises from the anterior portion of the. The eustachian valve (ev) is an embryonic remnant of the inferior part of. Valve Eustachian Function.
From mavink.com
Eustachian Valve Fetal Ultrasound Valve Eustachian Function Normal anatomy of the eustachian valve. The eustachian valve (ev) is an embryonic remnant of the inferior part of the right sinus venosus valve.1following the closure of the. The orifice of the inferior vena cava (ivc) is located in the posteroinferior region of the ra. The ev arises from the anterior portion of the. The eustachian valve (ev) is an. Valve Eustachian Function.
From www.sphearclinic.com
Eustachian Tube Function (EFT) Test in Delhi, Noida & Patna SpHear Clinic Valve Eustachian Function Normal anatomy of the eustachian valve. The orifice of the inferior vena cava (ivc) is located in the posteroinferior region of the ra. The ev arises from the anterior portion of the. The eustachian valve (ev) is an embryonic remnant of the inferior part of the right sinus venosus valve.1 following the closure of the foramen ovale after birth, the. Valve Eustachian Function.
From www.onlinejase.com
Unusual Eustachian Valve Function Journal of the American Society of Valve Eustachian Function Normal anatomy of the eustachian valve. The primary function of the eustachian tube is to equalize air pressure between the atmosphere and the middle ear. The ev arises from the anterior portion of the. Yawning and swallowing cause contraction of the. The eustachian valve (ev) is an embryonic remnant of the inferior part of the right sinus venosus valve.1 following. Valve Eustachian Function.
From www.vedantu.com
Where are the valves located in the human heart? Write their names. Valve Eustachian Function Normal anatomy of the eustachian valve. The orifice of the inferior vena cava (ivc) is located in the posteroinferior region of the ra. The eustachian valve (ev) is an embryonic remnant of the inferior part of the right sinus venosus valve.1following the closure of the. The primary function of the eustachian tube is to equalize air pressure between the atmosphere. Valve Eustachian Function.
From ar.inspiredpencil.com
Prominent Eustachian Valve Valve Eustachian Function Normal anatomy of the eustachian valve. The primary function of the eustachian tube is to equalize air pressure between the atmosphere and the middle ear. The ev arises from the anterior portion of the. The eustachian valve (ev) is an embryonic remnant of the inferior part of the right sinus venosus valve.1following the closure of the. The orifice of the. Valve Eustachian Function.
From www.jcvaonline.com
The Anatomy of the Eustachian ValveāNavigating the Implications for Valve Eustachian Function Yawning and swallowing cause contraction of the. The orifice of the inferior vena cava (ivc) is located in the posteroinferior region of the ra. The eustachian valve (ev) is an embryonic remnant of the inferior part of the right sinus venosus valve.1 following the closure of the foramen ovale after birth, the ev, also called the The ev arises from. Valve Eustachian Function.
From mungfali.com
Eustachian Tube Ear Anatomy Valve Eustachian Function The primary function of the eustachian tube is to equalize air pressure between the atmosphere and the middle ear. The eustachian valve (ev) is an embryonic remnant of the inferior part of the right sinus venosus valve.1 following the closure of the foramen ovale after birth, the ev, also called the The eustachian valve (ev) is an embryonic remnant of. Valve Eustachian Function.
From earandsinusinstitute.com
Eustachian Tube Anatomy 3 Ear & Sinus Institute Valve Eustachian Function The eustachian valve (ev) is an embryonic remnant of the inferior part of the right sinus venosus valve.1 following the closure of the foramen ovale after birth, the ev, also called the The eustachian valve (ev) is an embryonic remnant of the inferior part of the right sinus venosus valve.1following the closure of the. Normal anatomy of the eustachian valve.. Valve Eustachian Function.
From www.mdpi.com
Diagnostics Free FullText Pitfalls of Using Imaging Technique in Valve Eustachian Function The orifice of the inferior vena cava (ivc) is located in the posteroinferior region of the ra. Normal anatomy of the eustachian valve. The eustachian valve (ev) is an embryonic remnant of the inferior part of the right sinus venosus valve.1following the closure of the. Yawning and swallowing cause contraction of the. The ev arises from the anterior portion of. Valve Eustachian Function.
From www.pinterest.com
Pin by Kimberly Volkman on lovecho Diagnostic medical sonography Valve Eustachian Function Yawning and swallowing cause contraction of the. The primary function of the eustachian tube is to equalize air pressure between the atmosphere and the middle ear. The eustachian valve (ev) is an embryonic remnant of the inferior part of the right sinus venosus valve.1following the closure of the. The orifice of the inferior vena cava (ivc) is located in the. Valve Eustachian Function.
From cousinyou14.gitlab.io
How To Improve Eustachian Tube Function Cousinyou14 Valve Eustachian Function The eustachian valve (ev) is an embryonic remnant of the inferior part of the right sinus venosus valve.1 following the closure of the foramen ovale after birth, the ev, also called the The eustachian valve (ev) is an embryonic remnant of the inferior part of the right sinus venosus valve.1following the closure of the. The orifice of the inferior vena. Valve Eustachian Function.
From www.slideserve.com
PPT Otitis Media and Eustachian Tube Dysfunction PowerPoint Valve Eustachian Function Yawning and swallowing cause contraction of the. Normal anatomy of the eustachian valve. The eustachian valve (ev) is an embryonic remnant of the inferior part of the right sinus venosus valve.1 following the closure of the foramen ovale after birth, the ev, also called the The orifice of the inferior vena cava (ivc) is located in the posteroinferior region of. Valve Eustachian Function.
From www.osmosis.org
Eustachian tube dysfunction Video & Anatomy Osmosis Valve Eustachian Function Yawning and swallowing cause contraction of the. The orifice of the inferior vena cava (ivc) is located in the posteroinferior region of the ra. The eustachian valve (ev) is an embryonic remnant of the inferior part of the right sinus venosus valve.1following the closure of the. The primary function of the eustachian tube is to equalize air pressure between the. Valve Eustachian Function.