Multidrug-Resistant Spinal Tuberculosis . It is multiresistant (mdr) if both isoniazid and rifampicin are not effective, and. Spinal tuberculosis (tb) is the most common extrapulmonary form of tuberculosis. In both developing and developed countries, tb has been on the rising trend due to factors such as increasing hiv coinfection, multidrug resistance of the organism, and global migration.
from www.slideserve.com
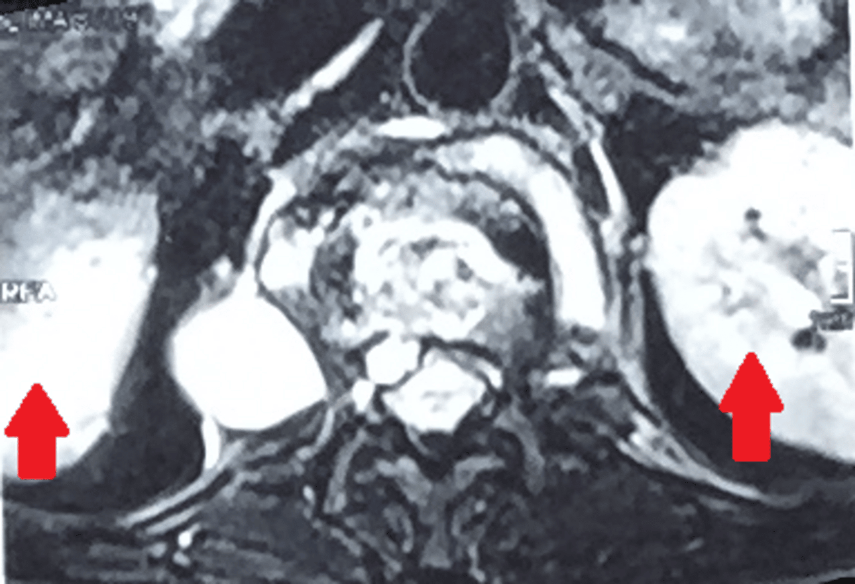
Spinal tuberculosis (tb) is the most common extrapulmonary form of tuberculosis. It is multiresistant (mdr) if both isoniazid and rifampicin are not effective, and. In both developing and developed countries, tb has been on the rising trend due to factors such as increasing hiv coinfection, multidrug resistance of the organism, and global migration.
PPT Multidrug resistant tuberculosis PowerPoint Presentation, free
Multidrug-Resistant Spinal Tuberculosis It is multiresistant (mdr) if both isoniazid and rifampicin are not effective, and. In both developing and developed countries, tb has been on the rising trend due to factors such as increasing hiv coinfection, multidrug resistance of the organism, and global migration. It is multiresistant (mdr) if both isoniazid and rifampicin are not effective, and. Spinal tuberculosis (tb) is the most common extrapulmonary form of tuberculosis.
From www.researchgate.net
(PDF) Use of bedaquiline in spinal osteomyelitis and soft tissue Multidrug-Resistant Spinal Tuberculosis In both developing and developed countries, tb has been on the rising trend due to factors such as increasing hiv coinfection, multidrug resistance of the organism, and global migration. Spinal tuberculosis (tb) is the most common extrapulmonary form of tuberculosis. It is multiresistant (mdr) if both isoniazid and rifampicin are not effective, and. Multidrug-Resistant Spinal Tuberculosis.
From www.reddit.com
38yo male with multidrug resistant tuberculosis. The largest abscess I Multidrug-Resistant Spinal Tuberculosis Spinal tuberculosis (tb) is the most common extrapulmonary form of tuberculosis. In both developing and developed countries, tb has been on the rising trend due to factors such as increasing hiv coinfection, multidrug resistance of the organism, and global migration. It is multiresistant (mdr) if both isoniazid and rifampicin are not effective, and. Multidrug-Resistant Spinal Tuberculosis.
From www.cureus.com
MultidrugResistant Tuberculosis of the Spine With Bilateral Psoas and Multidrug-Resistant Spinal Tuberculosis In both developing and developed countries, tb has been on the rising trend due to factors such as increasing hiv coinfection, multidrug resistance of the organism, and global migration. It is multiresistant (mdr) if both isoniazid and rifampicin are not effective, and. Spinal tuberculosis (tb) is the most common extrapulmonary form of tuberculosis. Multidrug-Resistant Spinal Tuberculosis.
From www.bjid.org.br
Use of bedaquiline in spinal osteomyelitis and soft tissue abscess Multidrug-Resistant Spinal Tuberculosis Spinal tuberculosis (tb) is the most common extrapulmonary form of tuberculosis. It is multiresistant (mdr) if both isoniazid and rifampicin are not effective, and. In both developing and developed countries, tb has been on the rising trend due to factors such as increasing hiv coinfection, multidrug resistance of the organism, and global migration. Multidrug-Resistant Spinal Tuberculosis.
From www.cureus.com
Cureus MultidrugResistant Tuberculosis of the Spine With Bilateral Multidrug-Resistant Spinal Tuberculosis In both developing and developed countries, tb has been on the rising trend due to factors such as increasing hiv coinfection, multidrug resistance of the organism, and global migration. Spinal tuberculosis (tb) is the most common extrapulmonary form of tuberculosis. It is multiresistant (mdr) if both isoniazid and rifampicin are not effective, and. Multidrug-Resistant Spinal Tuberculosis.
From www.researchgate.net
(PDF) MultidrugResistant Tuberculosis of the Spine—Is it the Beginning Multidrug-Resistant Spinal Tuberculosis Spinal tuberculosis (tb) is the most common extrapulmonary form of tuberculosis. In both developing and developed countries, tb has been on the rising trend due to factors such as increasing hiv coinfection, multidrug resistance of the organism, and global migration. It is multiresistant (mdr) if both isoniazid and rifampicin are not effective, and. Multidrug-Resistant Spinal Tuberculosis.
From www.infectiousdiseaseadvisor.com
The Rise of MultidrugResistant Tuberculosis in HIV Patients Multidrug-Resistant Spinal Tuberculosis Spinal tuberculosis (tb) is the most common extrapulmonary form of tuberculosis. In both developing and developed countries, tb has been on the rising trend due to factors such as increasing hiv coinfection, multidrug resistance of the organism, and global migration. It is multiresistant (mdr) if both isoniazid and rifampicin are not effective, and. Multidrug-Resistant Spinal Tuberculosis.
From casereports.bmj.com
Multidrugresistant tuberculosis of lumbosacral spine producing Multidrug-Resistant Spinal Tuberculosis In both developing and developed countries, tb has been on the rising trend due to factors such as increasing hiv coinfection, multidrug resistance of the organism, and global migration. Spinal tuberculosis (tb) is the most common extrapulmonary form of tuberculosis. It is multiresistant (mdr) if both isoniazid and rifampicin are not effective, and. Multidrug-Resistant Spinal Tuberculosis.
From www.researchgate.net
(PDF) Rare huge cold abscess and paraplegia in a young man with Multidrug-Resistant Spinal Tuberculosis Spinal tuberculosis (tb) is the most common extrapulmonary form of tuberculosis. It is multiresistant (mdr) if both isoniazid and rifampicin are not effective, and. In both developing and developed countries, tb has been on the rising trend due to factors such as increasing hiv coinfection, multidrug resistance of the organism, and global migration. Multidrug-Resistant Spinal Tuberculosis.
From www.cureus.com
Cureus MultidrugResistant Tuberculosis of the Spine With Bilateral Multidrug-Resistant Spinal Tuberculosis In both developing and developed countries, tb has been on the rising trend due to factors such as increasing hiv coinfection, multidrug resistance of the organism, and global migration. It is multiresistant (mdr) if both isoniazid and rifampicin are not effective, and. Spinal tuberculosis (tb) is the most common extrapulmonary form of tuberculosis. Multidrug-Resistant Spinal Tuberculosis.
From www.youtube.com
Multidrugresistant Tuberculosis Epidemiology Pennan Barry, MD, MPH Multidrug-Resistant Spinal Tuberculosis Spinal tuberculosis (tb) is the most common extrapulmonary form of tuberculosis. It is multiresistant (mdr) if both isoniazid and rifampicin are not effective, and. In both developing and developed countries, tb has been on the rising trend due to factors such as increasing hiv coinfection, multidrug resistance of the organism, and global migration. Multidrug-Resistant Spinal Tuberculosis.
From www.ankitparakh.com
Multi Drug Resistant Tuberculosis in Children Early Diagnosis is the Multidrug-Resistant Spinal Tuberculosis In both developing and developed countries, tb has been on the rising trend due to factors such as increasing hiv coinfection, multidrug resistance of the organism, and global migration. Spinal tuberculosis (tb) is the most common extrapulmonary form of tuberculosis. It is multiresistant (mdr) if both isoniazid and rifampicin are not effective, and. Multidrug-Resistant Spinal Tuberculosis.
From www.researchgate.net
(PDF) of linezolid into bone tissue 24 h after Multidrug-Resistant Spinal Tuberculosis Spinal tuberculosis (tb) is the most common extrapulmonary form of tuberculosis. It is multiresistant (mdr) if both isoniazid and rifampicin are not effective, and. In both developing and developed countries, tb has been on the rising trend due to factors such as increasing hiv coinfection, multidrug resistance of the organism, and global migration. Multidrug-Resistant Spinal Tuberculosis.
From www.researchgate.net
Schematic presentation of multidrugresistant TB and extensively Multidrug-Resistant Spinal Tuberculosis Spinal tuberculosis (tb) is the most common extrapulmonary form of tuberculosis. It is multiresistant (mdr) if both isoniazid and rifampicin are not effective, and. In both developing and developed countries, tb has been on the rising trend due to factors such as increasing hiv coinfection, multidrug resistance of the organism, and global migration. Multidrug-Resistant Spinal Tuberculosis.
From nccid.ca
Multidrug Resistant Tuberculosis National Collaborating Centre for Multidrug-Resistant Spinal Tuberculosis In both developing and developed countries, tb has been on the rising trend due to factors such as increasing hiv coinfection, multidrug resistance of the organism, and global migration. Spinal tuberculosis (tb) is the most common extrapulmonary form of tuberculosis. It is multiresistant (mdr) if both isoniazid and rifampicin are not effective, and. Multidrug-Resistant Spinal Tuberculosis.
From www.researchgate.net
(PDF) Multidrug resistant spinal tuberculosisepidemiological Multidrug-Resistant Spinal Tuberculosis Spinal tuberculosis (tb) is the most common extrapulmonary form of tuberculosis. In both developing and developed countries, tb has been on the rising trend due to factors such as increasing hiv coinfection, multidrug resistance of the organism, and global migration. It is multiresistant (mdr) if both isoniazid and rifampicin are not effective, and. Multidrug-Resistant Spinal Tuberculosis.
From ppt-online.org
Multi drug resistant tuberculosis. MDRTB. (Lecture 6) презентация онлайн Multidrug-Resistant Spinal Tuberculosis It is multiresistant (mdr) if both isoniazid and rifampicin are not effective, and. Spinal tuberculosis (tb) is the most common extrapulmonary form of tuberculosis. In both developing and developed countries, tb has been on the rising trend due to factors such as increasing hiv coinfection, multidrug resistance of the organism, and global migration. Multidrug-Resistant Spinal Tuberculosis.
From www.youtube.com
MultidrugResistant Tuberculosis (MDRTB) Mycobacterium tuberculosis Multidrug-Resistant Spinal Tuberculosis It is multiresistant (mdr) if both isoniazid and rifampicin are not effective, and. Spinal tuberculosis (tb) is the most common extrapulmonary form of tuberculosis. In both developing and developed countries, tb has been on the rising trend due to factors such as increasing hiv coinfection, multidrug resistance of the organism, and global migration. Multidrug-Resistant Spinal Tuberculosis.
From www.frontiersin.org
Frontiers Drug resistant tuberculosis Implications for transmission Multidrug-Resistant Spinal Tuberculosis Spinal tuberculosis (tb) is the most common extrapulmonary form of tuberculosis. In both developing and developed countries, tb has been on the rising trend due to factors such as increasing hiv coinfection, multidrug resistance of the organism, and global migration. It is multiresistant (mdr) if both isoniazid and rifampicin are not effective, and. Multidrug-Resistant Spinal Tuberculosis.
From casereports.bmj.com
Multidrugresistant tuberculosis of lumbosacral spine producing Multidrug-Resistant Spinal Tuberculosis Spinal tuberculosis (tb) is the most common extrapulmonary form of tuberculosis. It is multiresistant (mdr) if both isoniazid and rifampicin are not effective, and. In both developing and developed countries, tb has been on the rising trend due to factors such as increasing hiv coinfection, multidrug resistance of the organism, and global migration. Multidrug-Resistant Spinal Tuberculosis.
From www.ecdc.europa.eu
Multidrugresistant (MDR) tuberculosis in the EU/EEA, 2019 Multidrug-Resistant Spinal Tuberculosis Spinal tuberculosis (tb) is the most common extrapulmonary form of tuberculosis. In both developing and developed countries, tb has been on the rising trend due to factors such as increasing hiv coinfection, multidrug resistance of the organism, and global migration. It is multiresistant (mdr) if both isoniazid and rifampicin are not effective, and. Multidrug-Resistant Spinal Tuberculosis.
From www.slideserve.com
PPT Exogenous Reinfection with MultidrugResistant Mycobacterium Multidrug-Resistant Spinal Tuberculosis In both developing and developed countries, tb has been on the rising trend due to factors such as increasing hiv coinfection, multidrug resistance of the organism, and global migration. Spinal tuberculosis (tb) is the most common extrapulmonary form of tuberculosis. It is multiresistant (mdr) if both isoniazid and rifampicin are not effective, and. Multidrug-Resistant Spinal Tuberculosis.
From www.researchgate.net
(PDF) Multidrug Resistant Tuberculosis involving the Clavicle, Spine Multidrug-Resistant Spinal Tuberculosis Spinal tuberculosis (tb) is the most common extrapulmonary form of tuberculosis. It is multiresistant (mdr) if both isoniazid and rifampicin are not effective, and. In both developing and developed countries, tb has been on the rising trend due to factors such as increasing hiv coinfection, multidrug resistance of the organism, and global migration. Multidrug-Resistant Spinal Tuberculosis.
From www.slideserve.com
PPT MULTIDRUGRESISTANT TUBERCULOSIS What Nurses Should Know Multidrug-Resistant Spinal Tuberculosis Spinal tuberculosis (tb) is the most common extrapulmonary form of tuberculosis. In both developing and developed countries, tb has been on the rising trend due to factors such as increasing hiv coinfection, multidrug resistance of the organism, and global migration. It is multiresistant (mdr) if both isoniazid and rifampicin are not effective, and. Multidrug-Resistant Spinal Tuberculosis.
From casereports.bmj.com
Multidrugresistant tuberculosis of lumbosacral spine producing Multidrug-Resistant Spinal Tuberculosis It is multiresistant (mdr) if both isoniazid and rifampicin are not effective, and. In both developing and developed countries, tb has been on the rising trend due to factors such as increasing hiv coinfection, multidrug resistance of the organism, and global migration. Spinal tuberculosis (tb) is the most common extrapulmonary form of tuberculosis. Multidrug-Resistant Spinal Tuberculosis.
From www.slideserve.com
PPT Multidrug resistant tuberculosis PowerPoint Presentation, free Multidrug-Resistant Spinal Tuberculosis It is multiresistant (mdr) if both isoniazid and rifampicin are not effective, and. Spinal tuberculosis (tb) is the most common extrapulmonary form of tuberculosis. In both developing and developed countries, tb has been on the rising trend due to factors such as increasing hiv coinfection, multidrug resistance of the organism, and global migration. Multidrug-Resistant Spinal Tuberculosis.
From www.bjid.org.br
Use of bedaquiline in spinal osteomyelitis and soft tissue abscess Multidrug-Resistant Spinal Tuberculosis In both developing and developed countries, tb has been on the rising trend due to factors such as increasing hiv coinfection, multidrug resistance of the organism, and global migration. Spinal tuberculosis (tb) is the most common extrapulmonary form of tuberculosis. It is multiresistant (mdr) if both isoniazid and rifampicin are not effective, and. Multidrug-Resistant Spinal Tuberculosis.
From www.ijidonline.com
Analysis of efficacy and safety of linezolidbased chemotherapeutic Multidrug-Resistant Spinal Tuberculosis Spinal tuberculosis (tb) is the most common extrapulmonary form of tuberculosis. In both developing and developed countries, tb has been on the rising trend due to factors such as increasing hiv coinfection, multidrug resistance of the organism, and global migration. It is multiresistant (mdr) if both isoniazid and rifampicin are not effective, and. Multidrug-Resistant Spinal Tuberculosis.
From www.slideserve.com
PPT Multidrug resistant tuberculosis PowerPoint Presentation ID220006 Multidrug-Resistant Spinal Tuberculosis In both developing and developed countries, tb has been on the rising trend due to factors such as increasing hiv coinfection, multidrug resistance of the organism, and global migration. It is multiresistant (mdr) if both isoniazid and rifampicin are not effective, and. Spinal tuberculosis (tb) is the most common extrapulmonary form of tuberculosis. Multidrug-Resistant Spinal Tuberculosis.
From www.slideserve.com
PPT Multidrug resistant tuberculosis PowerPoint Presentation, free Multidrug-Resistant Spinal Tuberculosis Spinal tuberculosis (tb) is the most common extrapulmonary form of tuberculosis. In both developing and developed countries, tb has been on the rising trend due to factors such as increasing hiv coinfection, multidrug resistance of the organism, and global migration. It is multiresistant (mdr) if both isoniazid and rifampicin are not effective, and. Multidrug-Resistant Spinal Tuberculosis.
From www.academia.edu
(PDF) Multidrugresistant tuberculosis of lumbosacral spine producing Multidrug-Resistant Spinal Tuberculosis It is multiresistant (mdr) if both isoniazid and rifampicin are not effective, and. Spinal tuberculosis (tb) is the most common extrapulmonary form of tuberculosis. In both developing and developed countries, tb has been on the rising trend due to factors such as increasing hiv coinfection, multidrug resistance of the organism, and global migration. Multidrug-Resistant Spinal Tuberculosis.
From www.thelancet.com
Multidrugresistant and extensively drugresistant tuberculosis a Multidrug-Resistant Spinal Tuberculosis Spinal tuberculosis (tb) is the most common extrapulmonary form of tuberculosis. In both developing and developed countries, tb has been on the rising trend due to factors such as increasing hiv coinfection, multidrug resistance of the organism, and global migration. It is multiresistant (mdr) if both isoniazid and rifampicin are not effective, and. Multidrug-Resistant Spinal Tuberculosis.
From www.thelancet.com
Multidrugresistant and extensively drugresistant tuberculosis a Multidrug-Resistant Spinal Tuberculosis In both developing and developed countries, tb has been on the rising trend due to factors such as increasing hiv coinfection, multidrug resistance of the organism, and global migration. It is multiresistant (mdr) if both isoniazid and rifampicin are not effective, and. Spinal tuberculosis (tb) is the most common extrapulmonary form of tuberculosis. Multidrug-Resistant Spinal Tuberculosis.
From www.slideserve.com
PPT Multidrug resistant tuberculosis PowerPoint Presentation ID220006 Multidrug-Resistant Spinal Tuberculosis In both developing and developed countries, tb has been on the rising trend due to factors such as increasing hiv coinfection, multidrug resistance of the organism, and global migration. Spinal tuberculosis (tb) is the most common extrapulmonary form of tuberculosis. It is multiresistant (mdr) if both isoniazid and rifampicin are not effective, and. Multidrug-Resistant Spinal Tuberculosis.
From www.researchgate.net
(PDF) Rare huge cold abscess and paraplegia in a young man with Multidrug-Resistant Spinal Tuberculosis It is multiresistant (mdr) if both isoniazid and rifampicin are not effective, and. Spinal tuberculosis (tb) is the most common extrapulmonary form of tuberculosis. In both developing and developed countries, tb has been on the rising trend due to factors such as increasing hiv coinfection, multidrug resistance of the organism, and global migration. Multidrug-Resistant Spinal Tuberculosis.