Wrexham Ruabon Road Dentist . Find ruabon road dental practice in wrexham, ll13. Find out more about the team at ruabon road dental practice in wrexham. Get contact details, videos, photos, opening times and map directions. Each independent dentist has their own area of special. The ruabon road dental experience offers: Read 1101 customer reviews of ruabon road dental practice, one of the best dental businesses at 96 ruabon rd, wrexham, wrexham ll13 7ph. At mydentist, kandy lodge, ruabon we can help you achieve straighter teeth safely and conveniently under the care of the uk’s largest.
from wingettssales.co.uk
At mydentist, kandy lodge, ruabon we can help you achieve straighter teeth safely and conveniently under the care of the uk’s largest. Each independent dentist has their own area of special. The ruabon road dental experience offers: Get contact details, videos, photos, opening times and map directions. Find out more about the team at ruabon road dental practice in wrexham. Read 1101 customer reviews of ruabon road dental practice, one of the best dental businesses at 96 ruabon rd, wrexham, wrexham ll13 7ph. Find ruabon road dental practice in wrexham, ll13.
Property Photos
Wrexham Ruabon Road Dentist Read 1101 customer reviews of ruabon road dental practice, one of the best dental businesses at 96 ruabon rd, wrexham, wrexham ll13 7ph. Get contact details, videos, photos, opening times and map directions. At mydentist, kandy lodge, ruabon we can help you achieve straighter teeth safely and conveniently under the care of the uk’s largest. Each independent dentist has their own area of special. Read 1101 customer reviews of ruabon road dental practice, one of the best dental businesses at 96 ruabon rd, wrexham, wrexham ll13 7ph. Find ruabon road dental practice in wrexham, ll13. Find out more about the team at ruabon road dental practice in wrexham. The ruabon road dental experience offers:
From www.openrent.co.uk
Wrexham Room in a Shared House, Ruabon Road, LL13 To Rent Now for £ Wrexham Ruabon Road Dentist Read 1101 customer reviews of ruabon road dental practice, one of the best dental businesses at 96 ruabon rd, wrexham, wrexham ll13 7ph. The ruabon road dental experience offers: Each independent dentist has their own area of special. At mydentist, kandy lodge, ruabon we can help you achieve straighter teeth safely and conveniently under the care of the uk’s largest.. Wrexham Ruabon Road Dentist.
From www.loopnet.co.uk
Ruabon Rd, Wrexham LL14 6PU UK Wrexham Ruabon Road Dentist The ruabon road dental experience offers: Find out more about the team at ruabon road dental practice in wrexham. Read 1101 customer reviews of ruabon road dental practice, one of the best dental businesses at 96 ruabon rd, wrexham, wrexham ll13 7ph. Find ruabon road dental practice in wrexham, ll13. Get contact details, videos, photos, opening times and map directions.. Wrexham Ruabon Road Dentist.
From www.wrexhamdentist.co.uk
Smile Makeover in Wrexham Wrexham Ruabon Road Dentist Find out more about the team at ruabon road dental practice in wrexham. Read 1101 customer reviews of ruabon road dental practice, one of the best dental businesses at 96 ruabon rd, wrexham, wrexham ll13 7ph. The ruabon road dental experience offers: Each independent dentist has their own area of special. Get contact details, videos, photos, opening times and map. Wrexham Ruabon Road Dentist.
From www.youtube.com
Why Choose Ruabon Road Dental Practice? YouTube Wrexham Ruabon Road Dentist At mydentist, kandy lodge, ruabon we can help you achieve straighter teeth safely and conveniently under the care of the uk’s largest. Each independent dentist has their own area of special. Find ruabon road dental practice in wrexham, ll13. The ruabon road dental experience offers: Get contact details, videos, photos, opening times and map directions. Read 1101 customer reviews of. Wrexham Ruabon Road Dentist.
From lawray-architects.co.uk
Ruabon Road Cemetery Lawray Wrexham Ruabon Road Dentist Read 1101 customer reviews of ruabon road dental practice, one of the best dental businesses at 96 ruabon rd, wrexham, wrexham ll13 7ph. Get contact details, videos, photos, opening times and map directions. Find out more about the team at ruabon road dental practice in wrexham. The ruabon road dental experience offers: At mydentist, kandy lodge, ruabon we can help. Wrexham Ruabon Road Dentist.
From www.zoopla.co.uk
4 bed terraced house for sale in Ruabon Road, Wrexham LL13 Zoopla Wrexham Ruabon Road Dentist Get contact details, videos, photos, opening times and map directions. Each independent dentist has their own area of special. The ruabon road dental experience offers: Find ruabon road dental practice in wrexham, ll13. Find out more about the team at ruabon road dental practice in wrexham. At mydentist, kandy lodge, ruabon we can help you achieve straighter teeth safely and. Wrexham Ruabon Road Dentist.
From www.wrexhamdentist.co.uk
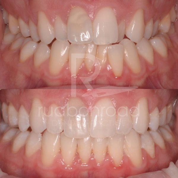
Invisalign® Treatment in Wrexham Wrexham Ruabon Road Dentist Find ruabon road dental practice in wrexham, ll13. Get contact details, videos, photos, opening times and map directions. The ruabon road dental experience offers: Find out more about the team at ruabon road dental practice in wrexham. At mydentist, kandy lodge, ruabon we can help you achieve straighter teeth safely and conveniently under the care of the uk’s largest. Read. Wrexham Ruabon Road Dentist.
From www.youtube.com
How to book an online dental consultation at Ruabon Road Dental Wrexham Ruabon Road Dentist At mydentist, kandy lodge, ruabon we can help you achieve straighter teeth safely and conveniently under the care of the uk’s largest. Each independent dentist has their own area of special. Find out more about the team at ruabon road dental practice in wrexham. Find ruabon road dental practice in wrexham, ll13. Read 1101 customer reviews of ruabon road dental. Wrexham Ruabon Road Dentist.
From www.uqwebdesign.com
design Wrexham & Chester Wrexham Ruabon Road Dentist At mydentist, kandy lodge, ruabon we can help you achieve straighter teeth safely and conveniently under the care of the uk’s largest. Find ruabon road dental practice in wrexham, ll13. Get contact details, videos, photos, opening times and map directions. Find out more about the team at ruabon road dental practice in wrexham. Each independent dentist has their own area. Wrexham Ruabon Road Dentist.
From www.youtube.com
Invisalign Treatment at Ruabon Road Dental Practice YouTube Wrexham Ruabon Road Dentist Each independent dentist has their own area of special. Find ruabon road dental practice in wrexham, ll13. Find out more about the team at ruabon road dental practice in wrexham. The ruabon road dental experience offers: At mydentist, kandy lodge, ruabon we can help you achieve straighter teeth safely and conveniently under the care of the uk’s largest. Get contact. Wrexham Ruabon Road Dentist.
From wingettssales.co.uk
Property Photos Wrexham Ruabon Road Dentist Get contact details, videos, photos, opening times and map directions. Each independent dentist has their own area of special. Read 1101 customer reviews of ruabon road dental practice, one of the best dental businesses at 96 ruabon rd, wrexham, wrexham ll13 7ph. The ruabon road dental experience offers: At mydentist, kandy lodge, ruabon we can help you achieve straighter teeth. Wrexham Ruabon Road Dentist.
From www.wrexhamdentist.co.uk
Invisalign® Treatment in Wrexham Wrexham Ruabon Road Dentist Read 1101 customer reviews of ruabon road dental practice, one of the best dental businesses at 96 ruabon rd, wrexham, wrexham ll13 7ph. Find out more about the team at ruabon road dental practice in wrexham. At mydentist, kandy lodge, ruabon we can help you achieve straighter teeth safely and conveniently under the care of the uk’s largest. Find ruabon. Wrexham Ruabon Road Dentist.
From www.youtube.com
Invisalign treatment at Ruabon Road Dental Practice YouTube Wrexham Ruabon Road Dentist Get contact details, videos, photos, opening times and map directions. Each independent dentist has their own area of special. Read 1101 customer reviews of ruabon road dental practice, one of the best dental businesses at 96 ruabon rd, wrexham, wrexham ll13 7ph. Find out more about the team at ruabon road dental practice in wrexham. Find ruabon road dental practice. Wrexham Ruabon Road Dentist.
From www.wrexhamdentist.co.uk
Smile Makeover in Wrexham Wrexham Ruabon Road Dentist The ruabon road dental experience offers: Read 1101 customer reviews of ruabon road dental practice, one of the best dental businesses at 96 ruabon rd, wrexham, wrexham ll13 7ph. At mydentist, kandy lodge, ruabon we can help you achieve straighter teeth safely and conveniently under the care of the uk’s largest. Each independent dentist has their own area of special.. Wrexham Ruabon Road Dentist.
From www.wrexhamdentist.co.uk
Smile Makeover in Wrexham Wrexham Ruabon Road Dentist Read 1101 customer reviews of ruabon road dental practice, one of the best dental businesses at 96 ruabon rd, wrexham, wrexham ll13 7ph. Get contact details, videos, photos, opening times and map directions. At mydentist, kandy lodge, ruabon we can help you achieve straighter teeth safely and conveniently under the care of the uk’s largest. Each independent dentist has their. Wrexham Ruabon Road Dentist.
From www.wrexhamdentist.co.uk
Smile Makeover in Wrexham Wrexham Ruabon Road Dentist The ruabon road dental experience offers: Find out more about the team at ruabon road dental practice in wrexham. Read 1101 customer reviews of ruabon road dental practice, one of the best dental businesses at 96 ruabon rd, wrexham, wrexham ll13 7ph. Get contact details, videos, photos, opening times and map directions. Find ruabon road dental practice in wrexham, ll13.. Wrexham Ruabon Road Dentist.
From www.rhosdentalpractice.co.uk
RHOS Dental Practice Rhos Dental Practice in Wrexham Wrexham Ruabon Road Dentist Find ruabon road dental practice in wrexham, ll13. Get contact details, videos, photos, opening times and map directions. Find out more about the team at ruabon road dental practice in wrexham. At mydentist, kandy lodge, ruabon we can help you achieve straighter teeth safely and conveniently under the care of the uk’s largest. Read 1101 customer reviews of ruabon road. Wrexham Ruabon Road Dentist.
From www.zoopla.co.uk
4 bed semidetached house for sale in Ruabon Road, Wrexham LL13 Zoopla Wrexham Ruabon Road Dentist At mydentist, kandy lodge, ruabon we can help you achieve straighter teeth safely and conveniently under the care of the uk’s largest. Read 1101 customer reviews of ruabon road dental practice, one of the best dental businesses at 96 ruabon rd, wrexham, wrexham ll13 7ph. Each independent dentist has their own area of special. Find out more about the team. Wrexham Ruabon Road Dentist.
From cosmeticdentistwrexham.co.uk
Dentist Wrexham Cosmetic Dentistry Wrexham Coach House Dental Care Wrexham Ruabon Road Dentist Get contact details, videos, photos, opening times and map directions. Each independent dentist has their own area of special. Find ruabon road dental practice in wrexham, ll13. At mydentist, kandy lodge, ruabon we can help you achieve straighter teeth safely and conveniently under the care of the uk’s largest. Read 1101 customer reviews of ruabon road dental practice, one of. Wrexham Ruabon Road Dentist.
From www.onthemarket.com
Ruabon Road, Wrexham Property for sale £175,000 Wrexham Ruabon Road Dentist Find ruabon road dental practice in wrexham, ll13. At mydentist, kandy lodge, ruabon we can help you achieve straighter teeth safely and conveniently under the care of the uk’s largest. Each independent dentist has their own area of special. Get contact details, videos, photos, opening times and map directions. Find out more about the team at ruabon road dental practice. Wrexham Ruabon Road Dentist.
From wingettssales.co.uk
For Sale 3 Bed House semidetached Wrexham Ruabon Road Dentist Get contact details, videos, photos, opening times and map directions. Find out more about the team at ruabon road dental practice in wrexham. Read 1101 customer reviews of ruabon road dental practice, one of the best dental businesses at 96 ruabon rd, wrexham, wrexham ll13 7ph. At mydentist, kandy lodge, ruabon we can help you achieve straighter teeth safely and. Wrexham Ruabon Road Dentist.
From www.toothtalk.uk
Practice Gallery Tooth Talk Dentist in Bolton, Staffordshire Wrexham Ruabon Road Dentist Read 1101 customer reviews of ruabon road dental practice, one of the best dental businesses at 96 ruabon rd, wrexham, wrexham ll13 7ph. The ruabon road dental experience offers: Each independent dentist has their own area of special. Find ruabon road dental practice in wrexham, ll13. Find out more about the team at ruabon road dental practice in wrexham. Get. Wrexham Ruabon Road Dentist.
From www.wrexhamdentist.co.uk
Invisalign® Treatment in Wrexham Wrexham Ruabon Road Dentist At mydentist, kandy lodge, ruabon we can help you achieve straighter teeth safely and conveniently under the care of the uk’s largest. Get contact details, videos, photos, opening times and map directions. Each independent dentist has their own area of special. Read 1101 customer reviews of ruabon road dental practice, one of the best dental businesses at 96 ruabon rd,. Wrexham Ruabon Road Dentist.
From www.rhosdentalpractice.co.uk
RHOS Dental Practice NHS Dental Services & Fees in Wrexham Wrexham Ruabon Road Dentist Find out more about the team at ruabon road dental practice in wrexham. Get contact details, videos, photos, opening times and map directions. Each independent dentist has their own area of special. Read 1101 customer reviews of ruabon road dental practice, one of the best dental businesses at 96 ruabon rd, wrexham, wrexham ll13 7ph. At mydentist, kandy lodge, ruabon. Wrexham Ruabon Road Dentist.
From www.wrexham.com
Wrexham dental practice cleans up at the Dentistry Awards Wrexham Ruabon Road Dentist Find out more about the team at ruabon road dental practice in wrexham. Get contact details, videos, photos, opening times and map directions. Find ruabon road dental practice in wrexham, ll13. Read 1101 customer reviews of ruabon road dental practice, one of the best dental businesses at 96 ruabon rd, wrexham, wrexham ll13 7ph. Each independent dentist has their own. Wrexham Ruabon Road Dentist.
From www.primelocation.com
Photos of Unit 1A, Puleston Industrial Estate, Ruabon Road, Wrexham Wrexham Ruabon Road Dentist The ruabon road dental experience offers: Each independent dentist has their own area of special. Find out more about the team at ruabon road dental practice in wrexham. Find ruabon road dental practice in wrexham, ll13. Get contact details, videos, photos, opening times and map directions. Read 1101 customer reviews of ruabon road dental practice, one of the best dental. Wrexham Ruabon Road Dentist.
From finder.coop.co.uk
Wrexham Johnstown Coop, Ruabon Road, Wrexham, LL14 6PU Coop Wrexham Ruabon Road Dentist Find ruabon road dental practice in wrexham, ll13. At mydentist, kandy lodge, ruabon we can help you achieve straighter teeth safely and conveniently under the care of the uk’s largest. Each independent dentist has their own area of special. Find out more about the team at ruabon road dental practice in wrexham. Read 1101 customer reviews of ruabon road dental. Wrexham Ruabon Road Dentist.
From www.yelp.com
THE MORETON INN Ruabon Road, Wrexham, United Kingdom Pubs Phone Wrexham Ruabon Road Dentist Each independent dentist has their own area of special. At mydentist, kandy lodge, ruabon we can help you achieve straighter teeth safely and conveniently under the care of the uk’s largest. The ruabon road dental experience offers: Get contact details, videos, photos, opening times and map directions. Find ruabon road dental practice in wrexham, ll13. Read 1101 customer reviews of. Wrexham Ruabon Road Dentist.
From www.wrexhamdentist.co.uk
Monthly Newsletters from Ruabon Road Dental Practice Wrexham Ruabon Road Dentist The ruabon road dental experience offers: Each independent dentist has their own area of special. Read 1101 customer reviews of ruabon road dental practice, one of the best dental businesses at 96 ruabon rd, wrexham, wrexham ll13 7ph. Find ruabon road dental practice in wrexham, ll13. Get contact details, videos, photos, opening times and map directions. Find out more about. Wrexham Ruabon Road Dentist.
From wingettssales.co.uk
Property Photos Wrexham Ruabon Road Dentist Find out more about the team at ruabon road dental practice in wrexham. The ruabon road dental experience offers: Find ruabon road dental practice in wrexham, ll13. Read 1101 customer reviews of ruabon road dental practice, one of the best dental businesses at 96 ruabon rd, wrexham, wrexham ll13 7ph. Each independent dentist has their own area of special. Get. Wrexham Ruabon Road Dentist.
From www.loopnet.com
Ruabon Rd, Wrexham, LL13 7RF Wrexham Ruabon Road Dentist The ruabon road dental experience offers: At mydentist, kandy lodge, ruabon we can help you achieve straighter teeth safely and conveniently under the care of the uk’s largest. Each independent dentist has their own area of special. Find out more about the team at ruabon road dental practice in wrexham. Find ruabon road dental practice in wrexham, ll13. Get contact. Wrexham Ruabon Road Dentist.
From www.dailypost.co.uk
North Wales dentist offers private plans to 3,000 discarded NHS Wrexham Ruabon Road Dentist The ruabon road dental experience offers: At mydentist, kandy lodge, ruabon we can help you achieve straighter teeth safely and conveniently under the care of the uk’s largest. Find out more about the team at ruabon road dental practice in wrexham. Get contact details, videos, photos, opening times and map directions. Find ruabon road dental practice in wrexham, ll13. Each. Wrexham Ruabon Road Dentist.
From wingettssales.co.uk
Property Photos Wrexham Ruabon Road Dentist Find out more about the team at ruabon road dental practice in wrexham. Each independent dentist has their own area of special. Read 1101 customer reviews of ruabon road dental practice, one of the best dental businesses at 96 ruabon rd, wrexham, wrexham ll13 7ph. Find ruabon road dental practice in wrexham, ll13. The ruabon road dental experience offers: Get. Wrexham Ruabon Road Dentist.
From www.zoopla.co.uk
2 bed terraced house for sale in Afon Terrace, Ruabon Road, Ruabon Wrexham Ruabon Road Dentist Get contact details, videos, photos, opening times and map directions. Find ruabon road dental practice in wrexham, ll13. Find out more about the team at ruabon road dental practice in wrexham. At mydentist, kandy lodge, ruabon we can help you achieve straighter teeth safely and conveniently under the care of the uk’s largest. The ruabon road dental experience offers: Read. Wrexham Ruabon Road Dentist.
From www.zoopla.co.uk
Industrial to let in Unit 1A, Puleston Industrial Estate, Ruabon Road Wrexham Ruabon Road Dentist The ruabon road dental experience offers: Each independent dentist has their own area of special. Get contact details, videos, photos, opening times and map directions. Find ruabon road dental practice in wrexham, ll13. Find out more about the team at ruabon road dental practice in wrexham. At mydentist, kandy lodge, ruabon we can help you achieve straighter teeth safely and. Wrexham Ruabon Road Dentist.