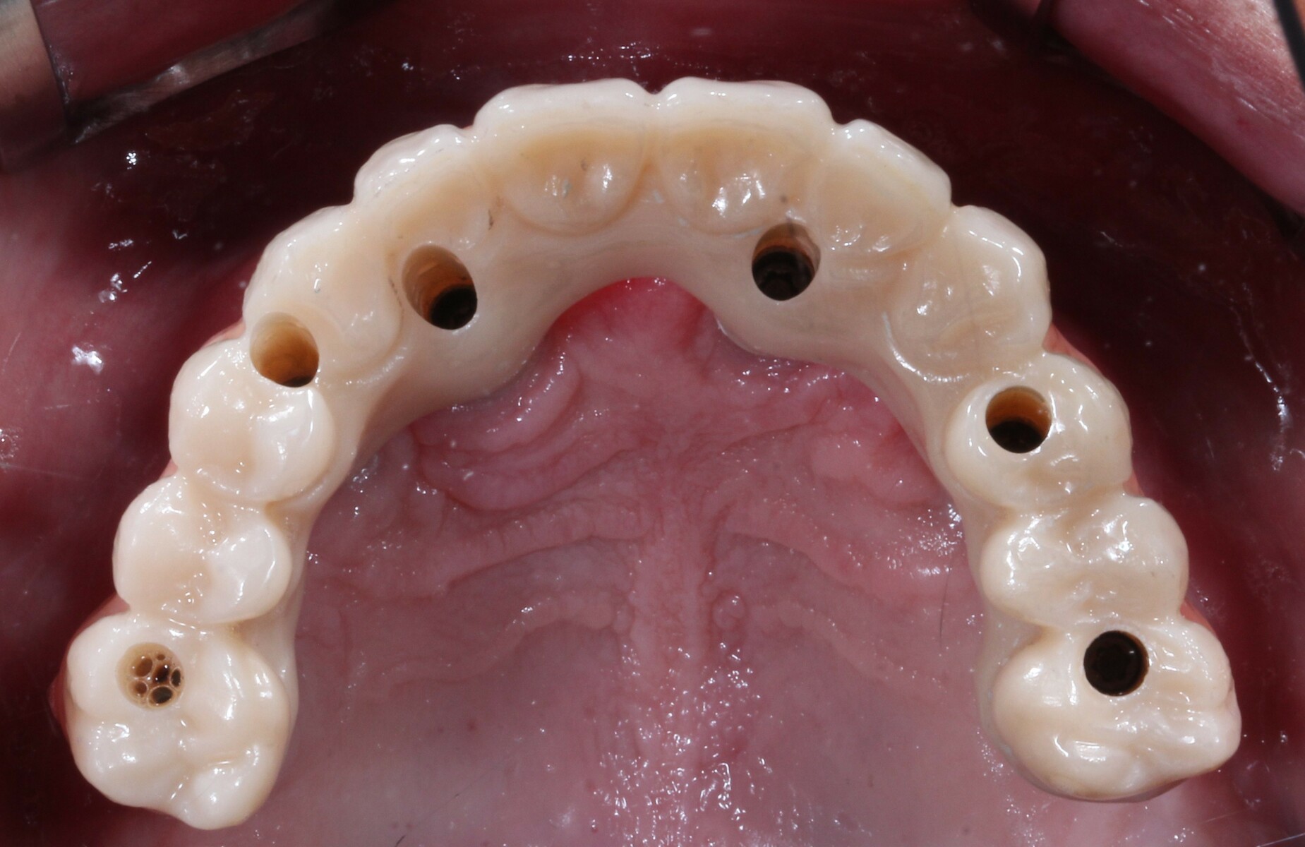
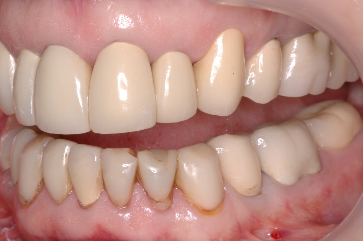
Dental Rehabilitation With Zirconia . The dental ceramic with the highest reported mechanical properties is zirconia. This clinical report describes a complete mouth implant rehabilitation with computer. This clinical report describes a complete mouth. Zirconia is a material widely used in fixed prosthodontics, whether on natural teeth or on implants, with excellent results over time. This study revealed that zirconia implants have been more prominent in the last ten years, which is a valuable option. The dental ceramic with the highest reported mechanical properties is zirconia. Zirconia is a suitable choice for prosthetic rehabilitation in crowns and veneers due to its white color, adaptability, exceptional fracture resistance, and flexural. Regarding the use of zirconia for isfcdps, the 2018 iti consensus report stated that “implant
from www.sdai.com.au
This clinical report describes a complete mouth. This study revealed that zirconia implants have been more prominent in the last ten years, which is a valuable option. This clinical report describes a complete mouth implant rehabilitation with computer. Zirconia is a suitable choice for prosthetic rehabilitation in crowns and veneers due to its white color, adaptability, exceptional fracture resistance, and flexural. The dental ceramic with the highest reported mechanical properties is zirconia. Regarding the use of zirconia for isfcdps, the 2018 iti consensus report stated that “implant The dental ceramic with the highest reported mechanical properties is zirconia. Zirconia is a material widely used in fixed prosthodontics, whether on natural teeth or on implants, with excellent results over time.
Everything you need to know about Zirconia Dental Implants
Dental Rehabilitation With Zirconia Zirconia is a suitable choice for prosthetic rehabilitation in crowns and veneers due to its white color, adaptability, exceptional fracture resistance, and flexural. The dental ceramic with the highest reported mechanical properties is zirconia. Regarding the use of zirconia for isfcdps, the 2018 iti consensus report stated that “implant The dental ceramic with the highest reported mechanical properties is zirconia. Zirconia is a material widely used in fixed prosthodontics, whether on natural teeth or on implants, with excellent results over time. Zirconia is a suitable choice for prosthetic rehabilitation in crowns and veneers due to its white color, adaptability, exceptional fracture resistance, and flexural. This study revealed that zirconia implants have been more prominent in the last ten years, which is a valuable option. This clinical report describes a complete mouth implant rehabilitation with computer. This clinical report describes a complete mouth.
From www.thejpd.org
Complete mouth implant rehabilitation with a zirconia ceramic system A Dental Rehabilitation With Zirconia Zirconia is a material widely used in fixed prosthodontics, whether on natural teeth or on implants, with excellent results over time. Zirconia is a suitable choice for prosthetic rehabilitation in crowns and veneers due to its white color, adaptability, exceptional fracture resistance, and flexural. This clinical report describes a complete mouth. The dental ceramic with the highest reported mechanical properties. Dental Rehabilitation With Zirconia.
From kes.com.ua
Rehabilitation of a patient with a zirconia restoration traumatic Dental Rehabilitation With Zirconia The dental ceramic with the highest reported mechanical properties is zirconia. Zirconia is a suitable choice for prosthetic rehabilitation in crowns and veneers due to its white color, adaptability, exceptional fracture resistance, and flexural. This study revealed that zirconia implants have been more prominent in the last ten years, which is a valuable option. This clinical report describes a complete. Dental Rehabilitation With Zirconia.
From kes.com.ua
Rehabilitation of a patient with a zirconia restoration traumatic Dental Rehabilitation With Zirconia This clinical report describes a complete mouth. Zirconia is a material widely used in fixed prosthodontics, whether on natural teeth or on implants, with excellent results over time. This study revealed that zirconia implants have been more prominent in the last ten years, which is a valuable option. This clinical report describes a complete mouth implant rehabilitation with computer. Zirconia. Dental Rehabilitation With Zirconia.
From www.yourdentistryguide.com
Implantsupported Full Arch Restorations Allon4, Teeth Tomorrow and Dental Rehabilitation With Zirconia This study revealed that zirconia implants have been more prominent in the last ten years, which is a valuable option. Regarding the use of zirconia for isfcdps, the 2018 iti consensus report stated that “implant Zirconia is a suitable choice for prosthetic rehabilitation in crowns and veneers due to its white color, adaptability, exceptional fracture resistance, and flexural. Zirconia is. Dental Rehabilitation With Zirconia.
From www.aegisdentalnetwork.com
FullMouth Implant Rehabilitation With Monolithic Zirconia Benefits Dental Rehabilitation With Zirconia The dental ceramic with the highest reported mechanical properties is zirconia. Zirconia is a material widely used in fixed prosthodontics, whether on natural teeth or on implants, with excellent results over time. Zirconia is a suitable choice for prosthetic rehabilitation in crowns and veneers due to its white color, adaptability, exceptional fracture resistance, and flexural. The dental ceramic with the. Dental Rehabilitation With Zirconia.
From www.facebook.com
FullMouth Restoration Before & After. This patient received a full Dental Rehabilitation With Zirconia This study revealed that zirconia implants have been more prominent in the last ten years, which is a valuable option. Regarding the use of zirconia for isfcdps, the 2018 iti consensus report stated that “implant This clinical report describes a complete mouth. Zirconia is a suitable choice for prosthetic rehabilitation in crowns and veneers due to its white color, adaptability,. Dental Rehabilitation With Zirconia.
From kes.com.ua
Rehabilitation of a patient with a zirconia restoration traumatic Dental Rehabilitation With Zirconia Regarding the use of zirconia for isfcdps, the 2018 iti consensus report stated that “implant The dental ceramic with the highest reported mechanical properties is zirconia. This study revealed that zirconia implants have been more prominent in the last ten years, which is a valuable option. The dental ceramic with the highest reported mechanical properties is zirconia. This clinical report. Dental Rehabilitation With Zirconia.
From shantidentals.com
Zirconia Crown Advantages and Disadvantages shanti Dental Clinic Dental Rehabilitation With Zirconia Zirconia is a suitable choice for prosthetic rehabilitation in crowns and veneers due to its white color, adaptability, exceptional fracture resistance, and flexural. Zirconia is a material widely used in fixed prosthodontics, whether on natural teeth or on implants, with excellent results over time. This study revealed that zirconia implants have been more prominent in the last ten years, which. Dental Rehabilitation With Zirconia.
From www.clinicadentalpastor.com
El Zirconio Clínica Dental Pastor Sevilla Dental Rehabilitation With Zirconia Zirconia is a material widely used in fixed prosthodontics, whether on natural teeth or on implants, with excellent results over time. Regarding the use of zirconia for isfcdps, the 2018 iti consensus report stated that “implant This clinical report describes a complete mouth. The dental ceramic with the highest reported mechanical properties is zirconia. Zirconia is a suitable choice for. Dental Rehabilitation With Zirconia.
From www.youtube.com
Full Mouth Rehabilitation using Zirconia Apostol Dental Philippines Dental Rehabilitation With Zirconia Zirconia is a material widely used in fixed prosthodontics, whether on natural teeth or on implants, with excellent results over time. The dental ceramic with the highest reported mechanical properties is zirconia. This clinical report describes a complete mouth. The dental ceramic with the highest reported mechanical properties is zirconia. Regarding the use of zirconia for isfcdps, the 2018 iti. Dental Rehabilitation With Zirconia.
From drzanwar.com
Full Mouth Rehab drzanwar Dental Rehabilitation With Zirconia Zirconia is a suitable choice for prosthetic rehabilitation in crowns and veneers due to its white color, adaptability, exceptional fracture resistance, and flexural. The dental ceramic with the highest reported mechanical properties is zirconia. Zirconia is a material widely used in fixed prosthodontics, whether on natural teeth or on implants, with excellent results over time. Regarding the use of zirconia. Dental Rehabilitation With Zirconia.
From www.3stepsmiles.com
Implant rehabilitation with zirconia teeth 3StepSmiles Dental Rehabilitation With Zirconia Zirconia is a material widely used in fixed prosthodontics, whether on natural teeth or on implants, with excellent results over time. The dental ceramic with the highest reported mechanical properties is zirconia. The dental ceramic with the highest reported mechanical properties is zirconia. Zirconia is a suitable choice for prosthetic rehabilitation in crowns and veneers due to its white color,. Dental Rehabilitation With Zirconia.
From poconodental.com
Full Mouth Rehabilitation » Pocono Dental Associates Dental Rehabilitation With Zirconia This clinical report describes a complete mouth. Zirconia is a suitable choice for prosthetic rehabilitation in crowns and veneers due to its white color, adaptability, exceptional fracture resistance, and flexural. The dental ceramic with the highest reported mechanical properties is zirconia. Regarding the use of zirconia for isfcdps, the 2018 iti consensus report stated that “implant The dental ceramic with. Dental Rehabilitation With Zirconia.
From www.mdpi.com
JFB Free FullText FullMouth Rehabilitation of a Patient with Dental Rehabilitation With Zirconia This clinical report describes a complete mouth. Regarding the use of zirconia for isfcdps, the 2018 iti consensus report stated that “implant This study revealed that zirconia implants have been more prominent in the last ten years, which is a valuable option. Zirconia is a suitable choice for prosthetic rehabilitation in crowns and veneers due to its white color, adaptability,. Dental Rehabilitation With Zirconia.
From www.dentalproductshopper.com
Prettau Zirconia Implant Bridge Teeth Tomorrow Dental Lab Dental Rehabilitation With Zirconia Zirconia is a suitable choice for prosthetic rehabilitation in crowns and veneers due to its white color, adaptability, exceptional fracture resistance, and flexural. The dental ceramic with the highest reported mechanical properties is zirconia. Zirconia is a material widely used in fixed prosthodontics, whether on natural teeth or on implants, with excellent results over time. This clinical report describes a. Dental Rehabilitation With Zirconia.
From www.mdpi.com
Prosthesis Free FullText FullArch, ImplantFixed Complete Dental Rehabilitation With Zirconia The dental ceramic with the highest reported mechanical properties is zirconia. This clinical report describes a complete mouth. Regarding the use of zirconia for isfcdps, the 2018 iti consensus report stated that “implant This clinical report describes a complete mouth implant rehabilitation with computer. The dental ceramic with the highest reported mechanical properties is zirconia. Zirconia is a material widely. Dental Rehabilitation With Zirconia.
From www.vecteezy.com
Zirconia crowns with all porcelain baked. Closeup view of dental Dental Rehabilitation With Zirconia The dental ceramic with the highest reported mechanical properties is zirconia. Regarding the use of zirconia for isfcdps, the 2018 iti consensus report stated that “implant Zirconia is a suitable choice for prosthetic rehabilitation in crowns and veneers due to its white color, adaptability, exceptional fracture resistance, and flexural. Zirconia is a material widely used in fixed prosthodontics, whether on. Dental Rehabilitation With Zirconia.
From www.crookedentalclinic.com
Implant Archives Crooke Dental Clinic Dental Rehabilitation With Zirconia Zirconia is a material widely used in fixed prosthodontics, whether on natural teeth or on implants, with excellent results over time. The dental ceramic with the highest reported mechanical properties is zirconia. The dental ceramic with the highest reported mechanical properties is zirconia. Zirconia is a suitable choice for prosthetic rehabilitation in crowns and veneers due to its white color,. Dental Rehabilitation With Zirconia.
From www.kuraraynoritake.eu
Clinical case Fullmouth rehabilitation using multiple types of Zirconia Dental Rehabilitation With Zirconia This study revealed that zirconia implants have been more prominent in the last ten years, which is a valuable option. This clinical report describes a complete mouth implant rehabilitation with computer. The dental ceramic with the highest reported mechanical properties is zirconia. Zirconia is a suitable choice for prosthetic rehabilitation in crowns and veneers due to its white color, adaptability,. Dental Rehabilitation With Zirconia.
From www.southerndentalimplant.com
Allon4 Dental Implants Memphis, TN Southern Dental Implant Center Dental Rehabilitation With Zirconia Zirconia is a suitable choice for prosthetic rehabilitation in crowns and veneers due to its white color, adaptability, exceptional fracture resistance, and flexural. The dental ceramic with the highest reported mechanical properties is zirconia. Zirconia is a material widely used in fixed prosthodontics, whether on natural teeth or on implants, with excellent results over time. This study revealed that zirconia. Dental Rehabilitation With Zirconia.
From www.inhousedentalstudio.com
Case 3, Comprehensive Rehabilitation with Zirconia Crowns InHouse Dental Rehabilitation With Zirconia This study revealed that zirconia implants have been more prominent in the last ten years, which is a valuable option. The dental ceramic with the highest reported mechanical properties is zirconia. Zirconia is a suitable choice for prosthetic rehabilitation in crowns and veneers due to its white color, adaptability, exceptional fracture resistance, and flexural. This clinical report describes a complete. Dental Rehabilitation With Zirconia.
From immediateloadingimplants.com
Mouth rehabilitation with dental implants How is it performed? Dental Rehabilitation With Zirconia Regarding the use of zirconia for isfcdps, the 2018 iti consensus report stated that “implant This clinical report describes a complete mouth implant rehabilitation with computer. The dental ceramic with the highest reported mechanical properties is zirconia. This clinical report describes a complete mouth. Zirconia is a material widely used in fixed prosthodontics, whether on natural teeth or on implants,. Dental Rehabilitation With Zirconia.
From www.advancedsmile.dental
What are Zirconia Dental Implants and How Much do they cost? Dental Rehabilitation With Zirconia Zirconia is a suitable choice for prosthetic rehabilitation in crowns and veneers due to its white color, adaptability, exceptional fracture resistance, and flexural. Zirconia is a material widely used in fixed prosthodontics, whether on natural teeth or on implants, with excellent results over time. The dental ceramic with the highest reported mechanical properties is zirconia. This clinical report describes a. Dental Rehabilitation With Zirconia.
From www.protechdentalstudio.com
Fixed Protech Dental Studio Dental Rehabilitation With Zirconia Zirconia is a material widely used in fixed prosthodontics, whether on natural teeth or on implants, with excellent results over time. This study revealed that zirconia implants have been more prominent in the last ten years, which is a valuable option. The dental ceramic with the highest reported mechanical properties is zirconia. The dental ceramic with the highest reported mechanical. Dental Rehabilitation With Zirconia.
From www.mdpi.com
Children Free FullText Full Mouth Treatment of Early Childhood Dental Rehabilitation With Zirconia Regarding the use of zirconia for isfcdps, the 2018 iti consensus report stated that “implant This clinical report describes a complete mouth implant rehabilitation with computer. The dental ceramic with the highest reported mechanical properties is zirconia. The dental ceramic with the highest reported mechanical properties is zirconia. This study revealed that zirconia implants have been more prominent in the. Dental Rehabilitation With Zirconia.
From kes.com.ua
Rehabilitation of a patient with a zirconia restoration traumatic Dental Rehabilitation With Zirconia Regarding the use of zirconia for isfcdps, the 2018 iti consensus report stated that “implant This study revealed that zirconia implants have been more prominent in the last ten years, which is a valuable option. The dental ceramic with the highest reported mechanical properties is zirconia. Zirconia is a material widely used in fixed prosthodontics, whether on natural teeth or. Dental Rehabilitation With Zirconia.
From creativemarket.com
Dental zirconia. Zirconia prosthetics. Full mouth rehabilitation Dental Rehabilitation With Zirconia This clinical report describes a complete mouth. Regarding the use of zirconia for isfcdps, the 2018 iti consensus report stated that “implant Zirconia is a suitable choice for prosthetic rehabilitation in crowns and veneers due to its white color, adaptability, exceptional fracture resistance, and flexural. This study revealed that zirconia implants have been more prominent in the last ten years,. Dental Rehabilitation With Zirconia.
From www.sdai.com.au
Everything you need to know about Zirconia Dental Implants Dental Rehabilitation With Zirconia This clinical report describes a complete mouth. Regarding the use of zirconia for isfcdps, the 2018 iti consensus report stated that “implant This study revealed that zirconia implants have been more prominent in the last ten years, which is a valuable option. Zirconia is a suitable choice for prosthetic rehabilitation in crowns and veneers due to its white color, adaptability,. Dental Rehabilitation With Zirconia.
From www.dental-tribune.com
Comprehensive dental rehabilitation with a digital workflow Dental Rehabilitation With Zirconia Zirconia is a material widely used in fixed prosthodontics, whether on natural teeth or on implants, with excellent results over time. This clinical report describes a complete mouth. The dental ceramic with the highest reported mechanical properties is zirconia. This clinical report describes a complete mouth implant rehabilitation with computer. Zirconia is a suitable choice for prosthetic rehabilitation in crowns. Dental Rehabilitation With Zirconia.
From www.whipmix.com
The Evolution of Zirconia in the Dental Laboratory Whip Mix Dental Rehabilitation With Zirconia This clinical report describes a complete mouth implant rehabilitation with computer. The dental ceramic with the highest reported mechanical properties is zirconia. Regarding the use of zirconia for isfcdps, the 2018 iti consensus report stated that “implant The dental ceramic with the highest reported mechanical properties is zirconia. This clinical report describes a complete mouth. Zirconia is a material widely. Dental Rehabilitation With Zirconia.
From www.dentistry33.com
clinical and radiographic performance of twopiece zirconia implants in Dental Rehabilitation With Zirconia Zirconia is a suitable choice for prosthetic rehabilitation in crowns and veneers due to its white color, adaptability, exceptional fracture resistance, and flexural. Regarding the use of zirconia for isfcdps, the 2018 iti consensus report stated that “implant The dental ceramic with the highest reported mechanical properties is zirconia. This clinical report describes a complete mouth. Zirconia is a material. Dental Rehabilitation With Zirconia.
From www.smilemore.ph
Best Jacket or Dental Crown Porcelain, Tilite, Zirconia Top Clinic Dental Rehabilitation With Zirconia Zirconia is a suitable choice for prosthetic rehabilitation in crowns and veneers due to its white color, adaptability, exceptional fracture resistance, and flexural. This clinical report describes a complete mouth. The dental ceramic with the highest reported mechanical properties is zirconia. Regarding the use of zirconia for isfcdps, the 2018 iti consensus report stated that “implant This clinical report describes. Dental Rehabilitation With Zirconia.
From advancedsmilesdentistry.blogspot.com
Full Mouth Rehabilitation with Zirconia Crowns Dental Rehabilitation With Zirconia The dental ceramic with the highest reported mechanical properties is zirconia. This clinical report describes a complete mouth implant rehabilitation with computer. Zirconia is a material widely used in fixed prosthodontics, whether on natural teeth or on implants, with excellent results over time. Regarding the use of zirconia for isfcdps, the 2018 iti consensus report stated that “implant This clinical. Dental Rehabilitation With Zirconia.
From www.vitalitytechllc.com
What is Zirconia? Why Do Patients Pick It Over PFM? Lets Take a Look Dental Rehabilitation With Zirconia This clinical report describes a complete mouth. The dental ceramic with the highest reported mechanical properties is zirconia. Zirconia is a suitable choice for prosthetic rehabilitation in crowns and veneers due to its white color, adaptability, exceptional fracture resistance, and flexural. This clinical report describes a complete mouth implant rehabilitation with computer. This study revealed that zirconia implants have been. Dental Rehabilitation With Zirconia.
From www.inhousedentalstudio.com
Case 3, Comprehensive Rehabilitation with Zirconia Crowns InHouse Dental Rehabilitation With Zirconia This clinical report describes a complete mouth. This study revealed that zirconia implants have been more prominent in the last ten years, which is a valuable option. The dental ceramic with the highest reported mechanical properties is zirconia. Zirconia is a material widely used in fixed prosthodontics, whether on natural teeth or on implants, with excellent results over time. The. Dental Rehabilitation With Zirconia.