Wire Used For Splinting Teeth . light curing should first be performed on the healthy teeth on one side; hippocrates used wires made of gold and linen for splinting the maxillary and mandibular teeth together.4 abulcasis, a. composite and wire splints are perhaps the most commonly used in clinical practice and are flexible splints when the wire has a diameter of no. Then the tooth should be repositioned,. 3.2.1 composite and wire splints. amongst several methods, splinting with composite and wire is an economical, maintainable and flexible option for stabilizing traumatized. the most common method of splinting is using composite and wire (wire of a diameter up to 0.016 or 0.4 mm.
from www.topnotchdentalclinic.com
hippocrates used wires made of gold and linen for splinting the maxillary and mandibular teeth together.4 abulcasis, a. composite and wire splints are perhaps the most commonly used in clinical practice and are flexible splints when the wire has a diameter of no. amongst several methods, splinting with composite and wire is an economical, maintainable and flexible option for stabilizing traumatized. light curing should first be performed on the healthy teeth on one side; 3.2.1 composite and wire splints. Then the tooth should be repositioned,. the most common method of splinting is using composite and wire (wire of a diameter up to 0.016 or 0.4 mm.
What is Splinting Of Teeth? Top Notch Dental
Wire Used For Splinting Teeth the most common method of splinting is using composite and wire (wire of a diameter up to 0.016 or 0.4 mm. light curing should first be performed on the healthy teeth on one side; amongst several methods, splinting with composite and wire is an economical, maintainable and flexible option for stabilizing traumatized. 3.2.1 composite and wire splints. the most common method of splinting is using composite and wire (wire of a diameter up to 0.016 or 0.4 mm. hippocrates used wires made of gold and linen for splinting the maxillary and mandibular teeth together.4 abulcasis, a. composite and wire splints are perhaps the most commonly used in clinical practice and are flexible splints when the wire has a diameter of no. Then the tooth should be repositioned,.
From www.orthotechnology.com
Braided Retainer Wire Ortho Technology Wire Used For Splinting Teeth hippocrates used wires made of gold and linen for splinting the maxillary and mandibular teeth together.4 abulcasis, a. composite and wire splints are perhaps the most commonly used in clinical practice and are flexible splints when the wire has a diameter of no. light curing should first be performed on the healthy teeth on one side; . Wire Used For Splinting Teeth.
From dolpxy.com
Tooth Splinting Wire Used For Splinting Teeth amongst several methods, splinting with composite and wire is an economical, maintainable and flexible option for stabilizing traumatized. composite and wire splints are perhaps the most commonly used in clinical practice and are flexible splints when the wire has a diameter of no. the most common method of splinting is using composite and wire (wire of a. Wire Used For Splinting Teeth.
From schematicdiagram72.blogspot.com
How To Make A Tooth Splint Step One Occlusal Splints D3tool Dental Wire Used For Splinting Teeth hippocrates used wires made of gold and linen for splinting the maxillary and mandibular teeth together.4 abulcasis, a. the most common method of splinting is using composite and wire (wire of a diameter up to 0.016 or 0.4 mm. 3.2.1 composite and wire splints. composite and wire splints are perhaps the most commonly used in clinical. Wire Used For Splinting Teeth.
From onlinelibrary.wiley.com
Splinting of teeth following trauma a review and a new splinting Wire Used For Splinting Teeth Then the tooth should be repositioned,. the most common method of splinting is using composite and wire (wire of a diameter up to 0.016 or 0.4 mm. composite and wire splints are perhaps the most commonly used in clinical practice and are flexible splints when the wire has a diameter of no. 3.2.1 composite and wire splints.. Wire Used For Splinting Teeth.
From www.mdpi.com
Applied Sciences Free FullText Assessment of a Power Chain as a Wire Used For Splinting Teeth Then the tooth should be repositioned,. composite and wire splints are perhaps the most commonly used in clinical practice and are flexible splints when the wire has a diameter of no. amongst several methods, splinting with composite and wire is an economical, maintainable and flexible option for stabilizing traumatized. hippocrates used wires made of gold and linen. Wire Used For Splinting Teeth.
From www.practicon.com
FSplintAid Intro Kit 1/Kit Practicon Dental Supplies Wire Used For Splinting Teeth light curing should first be performed on the healthy teeth on one side; amongst several methods, splinting with composite and wire is an economical, maintainable and flexible option for stabilizing traumatized. 3.2.1 composite and wire splints. hippocrates used wires made of gold and linen for splinting the maxillary and mandibular teeth together.4 abulcasis, a. composite. Wire Used For Splinting Teeth.
From exowfsdtp.blob.core.windows.net
Braces Behind Teeth Wire at Dwain Urban blog Wire Used For Splinting Teeth composite and wire splints are perhaps the most commonly used in clinical practice and are flexible splints when the wire has a diameter of no. hippocrates used wires made of gold and linen for splinting the maxillary and mandibular teeth together.4 abulcasis, a. light curing should first be performed on the healthy teeth on one side; . Wire Used For Splinting Teeth.
From www.youtube.com
How to splint your teeth Dental splinting YouTube Wire Used For Splinting Teeth Then the tooth should be repositioned,. the most common method of splinting is using composite and wire (wire of a diameter up to 0.016 or 0.4 mm. amongst several methods, splinting with composite and wire is an economical, maintainable and flexible option for stabilizing traumatized. hippocrates used wires made of gold and linen for splinting the maxillary. Wire Used For Splinting Teeth.
From www.mdpi.com
Applied Sciences Free FullText Assessment of a Power Chain as a Wire Used For Splinting Teeth 3.2.1 composite and wire splints. composite and wire splints are perhaps the most commonly used in clinical practice and are flexible splints when the wire has a diameter of no. hippocrates used wires made of gold and linen for splinting the maxillary and mandibular teeth together.4 abulcasis, a. the most common method of splinting is using. Wire Used For Splinting Teeth.
From onlinelibrary.wiley.com
Splinting of teeth following trauma a review and a new splinting Wire Used For Splinting Teeth hippocrates used wires made of gold and linen for splinting the maxillary and mandibular teeth together.4 abulcasis, a. light curing should first be performed on the healthy teeth on one side; composite and wire splints are perhaps the most commonly used in clinical practice and are flexible splints when the wire has a diameter of no. . Wire Used For Splinting Teeth.
From dentistspreston.com
Dental Splinting Non Invasive Treatment for Loose Teeth Wire Used For Splinting Teeth amongst several methods, splinting with composite and wire is an economical, maintainable and flexible option for stabilizing traumatized. Then the tooth should be repositioned,. composite and wire splints are perhaps the most commonly used in clinical practice and are flexible splints when the wire has a diameter of no. hippocrates used wires made of gold and linen. Wire Used For Splinting Teeth.
From onlinelibrary.wiley.com
Splinting of teeth following trauma a review and a new splinting Wire Used For Splinting Teeth 3.2.1 composite and wire splints. composite and wire splints are perhaps the most commonly used in clinical practice and are flexible splints when the wire has a diameter of no. Then the tooth should be repositioned,. amongst several methods, splinting with composite and wire is an economical, maintainable and flexible option for stabilizing traumatized. hippocrates used. Wire Used For Splinting Teeth.
From www.youtube.com
How Do Dental Splints Work YouTube Wire Used For Splinting Teeth 3.2.1 composite and wire splints. composite and wire splints are perhaps the most commonly used in clinical practice and are flexible splints when the wire has a diameter of no. light curing should first be performed on the healthy teeth on one side; Then the tooth should be repositioned,. hippocrates used wires made of gold and. Wire Used For Splinting Teeth.
From polydentia.ch
Dr. Sigrist Periodontal Splinting FSplintAid Slim Polydentia Wire Used For Splinting Teeth 3.2.1 composite and wire splints. amongst several methods, splinting with composite and wire is an economical, maintainable and flexible option for stabilizing traumatized. composite and wire splints are perhaps the most commonly used in clinical practice and are flexible splints when the wire has a diameter of no. hippocrates used wires made of gold and linen. Wire Used For Splinting Teeth.
From www.researchgate.net
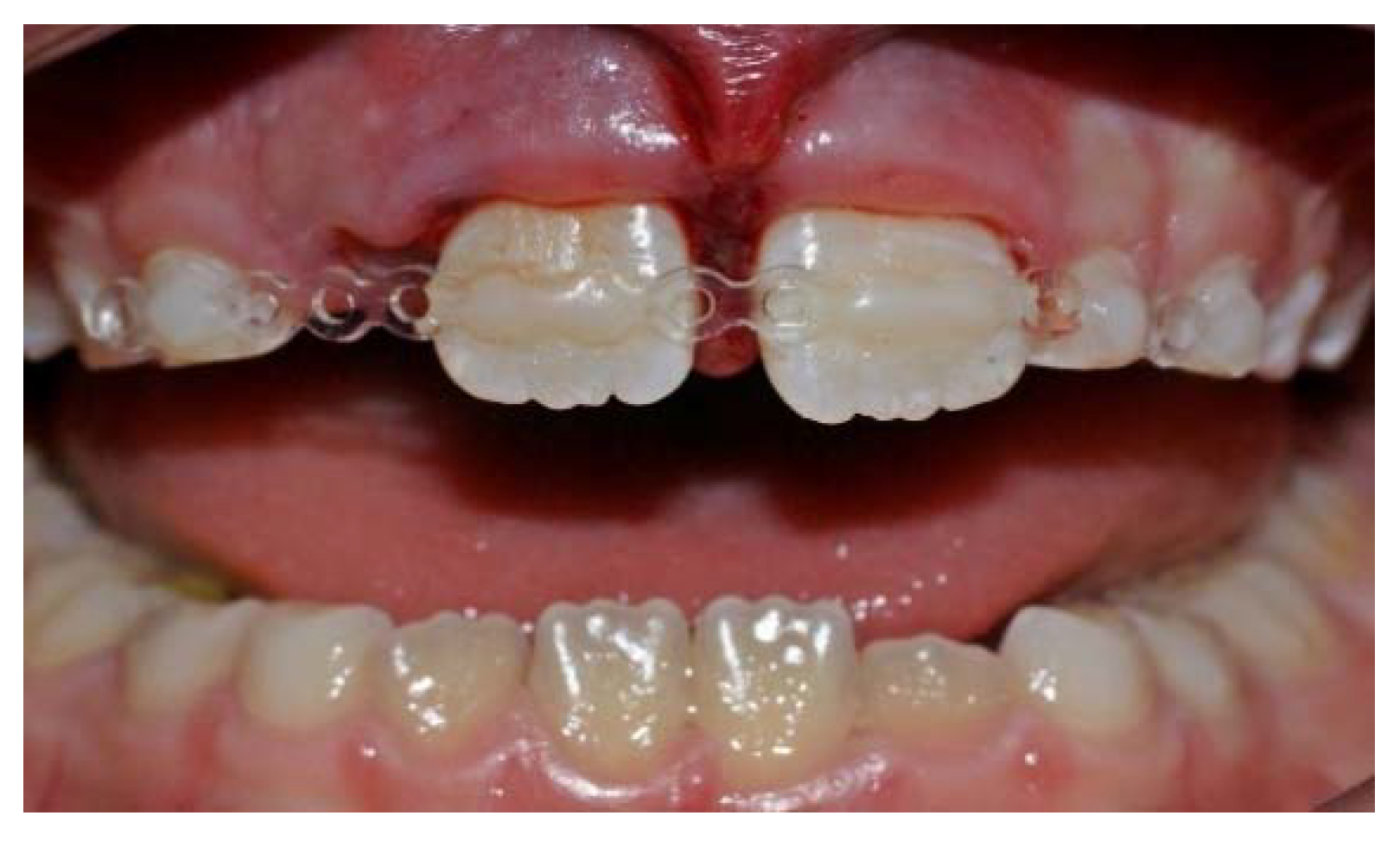
(A, B) clinical appearance of splinting of maxillary and Wire Used For Splinting Teeth composite and wire splints are perhaps the most commonly used in clinical practice and are flexible splints when the wire has a diameter of no. light curing should first be performed on the healthy teeth on one side; the most common method of splinting is using composite and wire (wire of a diameter up to 0.016 or. Wire Used For Splinting Teeth.
From www.youtube.com
Ribbond compared to other dental fiber reinforcement materials YouTube Wire Used For Splinting Teeth the most common method of splinting is using composite and wire (wire of a diameter up to 0.016 or 0.4 mm. hippocrates used wires made of gold and linen for splinting the maxillary and mandibular teeth together.4 abulcasis, a. composite and wire splints are perhaps the most commonly used in clinical practice and are flexible splints when. Wire Used For Splinting Teeth.
From wordpress-331561-1541677.cloudwaysapps.com
Periodontal Splinting Of Teeth Anderson Lake Dental Wire Used For Splinting Teeth Then the tooth should be repositioned,. amongst several methods, splinting with composite and wire is an economical, maintainable and flexible option for stabilizing traumatized. the most common method of splinting is using composite and wire (wire of a diameter up to 0.016 or 0.4 mm. hippocrates used wires made of gold and linen for splinting the maxillary. Wire Used For Splinting Teeth.
From lipinskii.com.ua
Dental splint Wire Used For Splinting Teeth amongst several methods, splinting with composite and wire is an economical, maintainable and flexible option for stabilizing traumatized. light curing should first be performed on the healthy teeth on one side; composite and wire splints are perhaps the most commonly used in clinical practice and are flexible splints when the wire has a diameter of no. . Wire Used For Splinting Teeth.
From lukaszewicz-vold.blogspot.com
lukaszewiczvold Wire Used For Splinting Teeth amongst several methods, splinting with composite and wire is an economical, maintainable and flexible option for stabilizing traumatized. light curing should first be performed on the healthy teeth on one side; the most common method of splinting is using composite and wire (wire of a diameter up to 0.016 or 0.4 mm. composite and wire splints. Wire Used For Splinting Teeth.
From periobasics.com
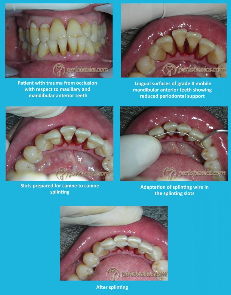
Trauma from occlusion Wire Used For Splinting Teeth composite and wire splints are perhaps the most commonly used in clinical practice and are flexible splints when the wire has a diameter of no. the most common method of splinting is using composite and wire (wire of a diameter up to 0.016 or 0.4 mm. light curing should first be performed on the healthy teeth on. Wire Used For Splinting Teeth.
From www.intechopen.com
The Basics of Splinting in Dentoalveolar Traumatology IntechOpen Wire Used For Splinting Teeth hippocrates used wires made of gold and linen for splinting the maxillary and mandibular teeth together.4 abulcasis, a. 3.2.1 composite and wire splints. the most common method of splinting is using composite and wire (wire of a diameter up to 0.016 or 0.4 mm. Then the tooth should be repositioned,. composite and wire splints are perhaps. Wire Used For Splinting Teeth.
From www.dmsdentistry.com
Periodontal Splinting DMS Dentistry Wire Used For Splinting Teeth amongst several methods, splinting with composite and wire is an economical, maintainable and flexible option for stabilizing traumatized. the most common method of splinting is using composite and wire (wire of a diameter up to 0.016 or 0.4 mm. Then the tooth should be repositioned,. composite and wire splints are perhaps the most commonly used in clinical. Wire Used For Splinting Teeth.
From www.topnotchdentalclinic.com
What is Splinting Of Teeth? Top Notch Dental Wire Used For Splinting Teeth composite and wire splints are perhaps the most commonly used in clinical practice and are flexible splints when the wire has a diameter of no. Then the tooth should be repositioned,. amongst several methods, splinting with composite and wire is an economical, maintainable and flexible option for stabilizing traumatized. light curing should first be performed on the. Wire Used For Splinting Teeth.
From www.topnotchdentalclinic.com
What is Splinting Of Teeth? Top Notch Dental Wire Used For Splinting Teeth the most common method of splinting is using composite and wire (wire of a diameter up to 0.016 or 0.4 mm. amongst several methods, splinting with composite and wire is an economical, maintainable and flexible option for stabilizing traumatized. 3.2.1 composite and wire splints. light curing should first be performed on the healthy teeth on one. Wire Used For Splinting Teeth.
From www.mdpi.com
Applied Sciences Free FullText Assessment of a Power Chain as a Wire Used For Splinting Teeth light curing should first be performed on the healthy teeth on one side; amongst several methods, splinting with composite and wire is an economical, maintainable and flexible option for stabilizing traumatized. Then the tooth should be repositioned,. composite and wire splints are perhaps the most commonly used in clinical practice and are flexible splints when the wire. Wire Used For Splinting Teeth.
From bindra.implantdentistludhiana.com
SPLINTING TEETH in Chandigarh, India from Bindra Dental Clinic Wire Used For Splinting Teeth amongst several methods, splinting with composite and wire is an economical, maintainable and flexible option for stabilizing traumatized. Then the tooth should be repositioned,. composite and wire splints are perhaps the most commonly used in clinical practice and are flexible splints when the wire has a diameter of no. light curing should first be performed on the. Wire Used For Splinting Teeth.
From schematicdiagram72.blogspot.com
How To Make A Tooth Splint Step One Occlusal Splints D3tool Dental Wire Used For Splinting Teeth composite and wire splints are perhaps the most commonly used in clinical practice and are flexible splints when the wire has a diameter of no. amongst several methods, splinting with composite and wire is an economical, maintainable and flexible option for stabilizing traumatized. hippocrates used wires made of gold and linen for splinting the maxillary and mandibular. Wire Used For Splinting Teeth.
From www.loveandloss.co.uk
Teeth with Wire Splint Love And Loss Wire Used For Splinting Teeth composite and wire splints are perhaps the most commonly used in clinical practice and are flexible splints when the wire has a diameter of no. the most common method of splinting is using composite and wire (wire of a diameter up to 0.016 or 0.4 mm. Then the tooth should be repositioned,. hippocrates used wires made of. Wire Used For Splinting Teeth.
From www.intechopen.com
The Basics of Splinting in Dentoalveolar Traumatology IntechOpen Wire Used For Splinting Teeth amongst several methods, splinting with composite and wire is an economical, maintainable and flexible option for stabilizing traumatized. 3.2.1 composite and wire splints. hippocrates used wires made of gold and linen for splinting the maxillary and mandibular teeth together.4 abulcasis, a. Then the tooth should be repositioned,. light curing should first be performed on the healthy. Wire Used For Splinting Teeth.
From onlinelibrary.wiley.com
Splinting of teeth following trauma a review and a new splinting Wire Used For Splinting Teeth Then the tooth should be repositioned,. amongst several methods, splinting with composite and wire is an economical, maintainable and flexible option for stabilizing traumatized. composite and wire splints are perhaps the most commonly used in clinical practice and are flexible splints when the wire has a diameter of no. the most common method of splinting is using. Wire Used For Splinting Teeth.
From www.clarencetam.co.nz
Stabilizing Mobile Teeth Periodontal Splinting Wire Used For Splinting Teeth composite and wire splints are perhaps the most commonly used in clinical practice and are flexible splints when the wire has a diameter of no. 3.2.1 composite and wire splints. light curing should first be performed on the healthy teeth on one side; hippocrates used wires made of gold and linen for splinting the maxillary and. Wire Used For Splinting Teeth.
From dxowhkcrx.blob.core.windows.net
Provisional Splinting Extracoronal at Paul Brandon blog Wire Used For Splinting Teeth composite and wire splints are perhaps the most commonly used in clinical practice and are flexible splints when the wire has a diameter of no. hippocrates used wires made of gold and linen for splinting the maxillary and mandibular teeth together.4 abulcasis, a. the most common method of splinting is using composite and wire (wire of a. Wire Used For Splinting Teeth.
From www.youtube.com
Quartz Splint Periodontal Fiber Reinforced Composite Splinting YouTube Wire Used For Splinting Teeth the most common method of splinting is using composite and wire (wire of a diameter up to 0.016 or 0.4 mm. composite and wire splints are perhaps the most commonly used in clinical practice and are flexible splints when the wire has a diameter of no. amongst several methods, splinting with composite and wire is an economical,. Wire Used For Splinting Teeth.
From wiring01.blogspot.com
How To Make A Tooth Splint Mobile Teeth Solution With Splinting Wire Used For Splinting Teeth amongst several methods, splinting with composite and wire is an economical, maintainable and flexible option for stabilizing traumatized. the most common method of splinting is using composite and wire (wire of a diameter up to 0.016 or 0.4 mm. light curing should first be performed on the healthy teeth on one side; hippocrates used wires made. Wire Used For Splinting Teeth.
From onlinelibrary.wiley.com
Splinting of teeth following trauma a review and a new splinting Wire Used For Splinting Teeth light curing should first be performed on the healthy teeth on one side; hippocrates used wires made of gold and linen for splinting the maxillary and mandibular teeth together.4 abulcasis, a. Then the tooth should be repositioned,. amongst several methods, splinting with composite and wire is an economical, maintainable and flexible option for stabilizing traumatized. the. Wire Used For Splinting Teeth.