Case Study Cystic Fibrosis . This article reviews the pathophysiology, evaluation, and treatment of cystic fibrosis, including recent advances with the use of highly effective modulator therapy. Advanced lung disease in adult cystic fibrosis (cf) drives most clinical care requirements. Cystic fibrosis (cf) is an autosomal recessive disease caused by defects in an anion channel known as the cf transmembrane conductance. We reviewed 842 cases of cystic fibrosis in our electronic health record (ehr) and found that 8.4% were diagnosed in patients. The study aimed to evaluate the relationship between the severity of mutation,. Cystic fibrosis (cf) is the most common genetically inherited condition in. Cystic fibrosis (cf) is a multiorgan disease, caused by autosomal recessive (ar) mutations in the cystic fibrosis transmembrane. Most patients with cystic fibrosis (cf) develop multisystemic clinical manifestations, the minority having mild or atypical symptoms. The aim was to evaluate.
from www.scribd.com
This article reviews the pathophysiology, evaluation, and treatment of cystic fibrosis, including recent advances with the use of highly effective modulator therapy. The study aimed to evaluate the relationship between the severity of mutation,. Advanced lung disease in adult cystic fibrosis (cf) drives most clinical care requirements. We reviewed 842 cases of cystic fibrosis in our electronic health record (ehr) and found that 8.4% were diagnosed in patients. Cystic fibrosis (cf) is an autosomal recessive disease caused by defects in an anion channel known as the cf transmembrane conductance. Cystic fibrosis (cf) is the most common genetically inherited condition in. The aim was to evaluate. Cystic fibrosis (cf) is a multiorgan disease, caused by autosomal recessive (ar) mutations in the cystic fibrosis transmembrane. Most patients with cystic fibrosis (cf) develop multisystemic clinical manifestations, the minority having mild or atypical symptoms.
Case Study Cystic Fibrosis and The Cell Membrane (CER Version) PDF
Case Study Cystic Fibrosis We reviewed 842 cases of cystic fibrosis in our electronic health record (ehr) and found that 8.4% were diagnosed in patients. Cystic fibrosis (cf) is the most common genetically inherited condition in. Most patients with cystic fibrosis (cf) develop multisystemic clinical manifestations, the minority having mild or atypical symptoms. Cystic fibrosis (cf) is a multiorgan disease, caused by autosomal recessive (ar) mutations in the cystic fibrosis transmembrane. Cystic fibrosis (cf) is an autosomal recessive disease caused by defects in an anion channel known as the cf transmembrane conductance. Advanced lung disease in adult cystic fibrosis (cf) drives most clinical care requirements. We reviewed 842 cases of cystic fibrosis in our electronic health record (ehr) and found that 8.4% were diagnosed in patients. This article reviews the pathophysiology, evaluation, and treatment of cystic fibrosis, including recent advances with the use of highly effective modulator therapy. The aim was to evaluate. The study aimed to evaluate the relationship between the severity of mutation,.
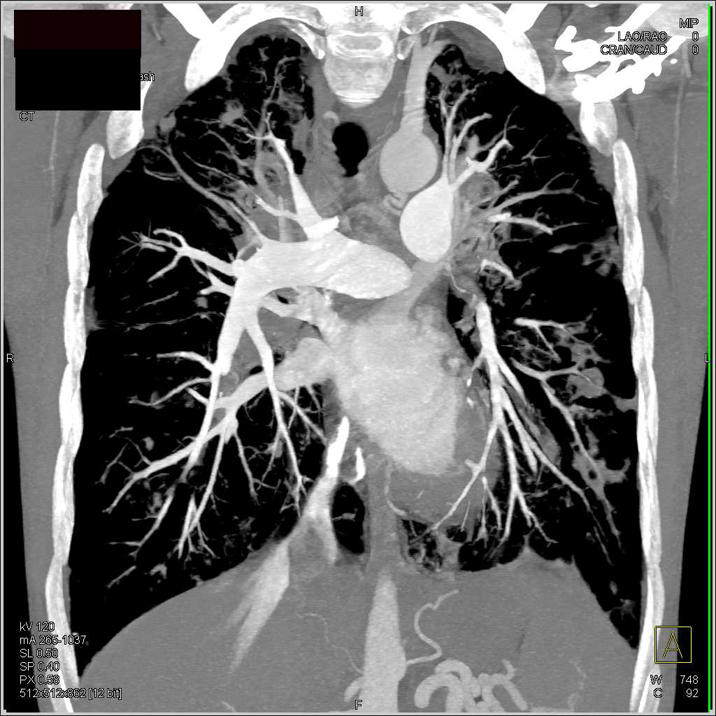
From www.ctisus.com
Cystic Fibrosis with Bronchiectasis Chest Case Studies CTisus CT Case Study Cystic Fibrosis The aim was to evaluate. Cystic fibrosis (cf) is an autosomal recessive disease caused by defects in an anion channel known as the cf transmembrane conductance. This article reviews the pathophysiology, evaluation, and treatment of cystic fibrosis, including recent advances with the use of highly effective modulator therapy. Cystic fibrosis (cf) is the most common genetically inherited condition in. Cystic. Case Study Cystic Fibrosis.
From www.slideserve.com
PPT Bio 9B Monday, 4.25.11 Title Connecting and Evolution Case Study Cystic Fibrosis This article reviews the pathophysiology, evaluation, and treatment of cystic fibrosis, including recent advances with the use of highly effective modulator therapy. The aim was to evaluate. Cystic fibrosis (cf) is an autosomal recessive disease caused by defects in an anion channel known as the cf transmembrane conductance. Advanced lung disease in adult cystic fibrosis (cf) drives most clinical care. Case Study Cystic Fibrosis.
From www.scribd.com
Case Study Cystic Fibrosis Manalo, Joanne Erica S. BS Respiratory Case Study Cystic Fibrosis Most patients with cystic fibrosis (cf) develop multisystemic clinical manifestations, the minority having mild or atypical symptoms. This article reviews the pathophysiology, evaluation, and treatment of cystic fibrosis, including recent advances with the use of highly effective modulator therapy. Advanced lung disease in adult cystic fibrosis (cf) drives most clinical care requirements. Cystic fibrosis (cf) is a multiorgan disease, caused. Case Study Cystic Fibrosis.
From www.scribd.com
Cystic Fibrosis Case Study PDF Mucus Medicine Case Study Cystic Fibrosis The aim was to evaluate. Cystic fibrosis (cf) is an autosomal recessive disease caused by defects in an anion channel known as the cf transmembrane conductance. Most patients with cystic fibrosis (cf) develop multisystemic clinical manifestations, the minority having mild or atypical symptoms. Cystic fibrosis (cf) is the most common genetically inherited condition in. We reviewed 842 cases of cystic. Case Study Cystic Fibrosis.
From www.scribd.com
Case Study Cystic Fibrosis and The Cell Membrane (CER Version) PDF Case Study Cystic Fibrosis The aim was to evaluate. Cystic fibrosis (cf) is the most common genetically inherited condition in. Cystic fibrosis (cf) is a multiorgan disease, caused by autosomal recessive (ar) mutations in the cystic fibrosis transmembrane. Advanced lung disease in adult cystic fibrosis (cf) drives most clinical care requirements. We reviewed 842 cases of cystic fibrosis in our electronic health record (ehr). Case Study Cystic Fibrosis.
From criticalthinking.cloud
case study about cystic fibrosis Case Study Cystic Fibrosis This article reviews the pathophysiology, evaluation, and treatment of cystic fibrosis, including recent advances with the use of highly effective modulator therapy. Advanced lung disease in adult cystic fibrosis (cf) drives most clinical care requirements. Cystic fibrosis (cf) is a multiorgan disease, caused by autosomal recessive (ar) mutations in the cystic fibrosis transmembrane. Most patients with cystic fibrosis (cf) develop. Case Study Cystic Fibrosis.
From www.studocu.com
Cystic Fibrosis case study History of Present Problem Justin Ewing Case Study Cystic Fibrosis Cystic fibrosis (cf) is an autosomal recessive disease caused by defects in an anion channel known as the cf transmembrane conductance. Cystic fibrosis (cf) is the most common genetically inherited condition in. Cystic fibrosis (cf) is a multiorgan disease, caused by autosomal recessive (ar) mutations in the cystic fibrosis transmembrane. Advanced lung disease in adult cystic fibrosis (cf) drives most. Case Study Cystic Fibrosis.
From www.pinterest.com
Case Study Cystic Fibrosis Case study, Study, Cystic fibrosis Case Study Cystic Fibrosis Cystic fibrosis (cf) is the most common genetically inherited condition in. Most patients with cystic fibrosis (cf) develop multisystemic clinical manifestations, the minority having mild or atypical symptoms. This article reviews the pathophysiology, evaluation, and treatment of cystic fibrosis, including recent advances with the use of highly effective modulator therapy. Cystic fibrosis (cf) is a multiorgan disease, caused by autosomal. Case Study Cystic Fibrosis.
From www.ctisus.com
Cystic Fibrosis with Bronchiectasis Chest Case Studies CTisus CT Case Study Cystic Fibrosis We reviewed 842 cases of cystic fibrosis in our electronic health record (ehr) and found that 8.4% were diagnosed in patients. Cystic fibrosis (cf) is a multiorgan disease, caused by autosomal recessive (ar) mutations in the cystic fibrosis transmembrane. The study aimed to evaluate the relationship between the severity of mutation,. Cystic fibrosis (cf) is the most common genetically inherited. Case Study Cystic Fibrosis.
From studyhippo.com
A Nursing Diagnosis for Cystic Fibrosis Essay Example Case Study Cystic Fibrosis Cystic fibrosis (cf) is the most common genetically inherited condition in. Cystic fibrosis (cf) is an autosomal recessive disease caused by defects in an anion channel known as the cf transmembrane conductance. Most patients with cystic fibrosis (cf) develop multisystemic clinical manifestations, the minority having mild or atypical symptoms. We reviewed 842 cases of cystic fibrosis in our electronic health. Case Study Cystic Fibrosis.
From www.studocu.com
Case Study Cystic Fibrosis Student's Version Case Study Cystic Case Study Cystic Fibrosis Advanced lung disease in adult cystic fibrosis (cf) drives most clinical care requirements. The study aimed to evaluate the relationship between the severity of mutation,. This article reviews the pathophysiology, evaluation, and treatment of cystic fibrosis, including recent advances with the use of highly effective modulator therapy. We reviewed 842 cases of cystic fibrosis in our electronic health record (ehr). Case Study Cystic Fibrosis.
From docslib.org
Case Studies of Two Cystic Fibrosis Patients with Distal Intestinal Case Study Cystic Fibrosis The aim was to evaluate. Advanced lung disease in adult cystic fibrosis (cf) drives most clinical care requirements. Most patients with cystic fibrosis (cf) develop multisystemic clinical manifestations, the minority having mild or atypical symptoms. We reviewed 842 cases of cystic fibrosis in our electronic health record (ehr) and found that 8.4% were diagnosed in patients. Cystic fibrosis (cf) is. Case Study Cystic Fibrosis.
From www.slideserve.com
PPT Cystic Fibrosis Case Study PowerPoint Presentation, free download Case Study Cystic Fibrosis We reviewed 842 cases of cystic fibrosis in our electronic health record (ehr) and found that 8.4% were diagnosed in patients. The study aimed to evaluate the relationship between the severity of mutation,. Most patients with cystic fibrosis (cf) develop multisystemic clinical manifestations, the minority having mild or atypical symptoms. Advanced lung disease in adult cystic fibrosis (cf) drives most. Case Study Cystic Fibrosis.
From www.slideserve.com
PPT Cystic Fibrosis A Clinical Nutrition Case STudy PowerPoint Case Study Cystic Fibrosis Cystic fibrosis (cf) is an autosomal recessive disease caused by defects in an anion channel known as the cf transmembrane conductance. We reviewed 842 cases of cystic fibrosis in our electronic health record (ehr) and found that 8.4% were diagnosed in patients. The study aimed to evaluate the relationship between the severity of mutation,. The aim was to evaluate. Advanced. Case Study Cystic Fibrosis.
From slidetodoc.com
CYSTIC FIBROSIS CASE STUDY Noa Emert Objectives Introduce Case Study Cystic Fibrosis Cystic fibrosis (cf) is the most common genetically inherited condition in. The aim was to evaluate. Most patients with cystic fibrosis (cf) develop multisystemic clinical manifestations, the minority having mild or atypical symptoms. Cystic fibrosis (cf) is a multiorgan disease, caused by autosomal recessive (ar) mutations in the cystic fibrosis transmembrane. This article reviews the pathophysiology, evaluation, and treatment of. Case Study Cystic Fibrosis.
From www.ctisus.com
Cystic Bronchiectasis in Cystic Fibrosis Chest Case Studies CTisus Case Study Cystic Fibrosis Cystic fibrosis (cf) is an autosomal recessive disease caused by defects in an anion channel known as the cf transmembrane conductance. Cystic fibrosis (cf) is the most common genetically inherited condition in. Most patients with cystic fibrosis (cf) develop multisystemic clinical manifestations, the minority having mild or atypical symptoms. The study aimed to evaluate the relationship between the severity of. Case Study Cystic Fibrosis.
From criticalthinking.cloud
case study about cystic fibrosis Case Study Cystic Fibrosis This article reviews the pathophysiology, evaluation, and treatment of cystic fibrosis, including recent advances with the use of highly effective modulator therapy. We reviewed 842 cases of cystic fibrosis in our electronic health record (ehr) and found that 8.4% were diagnosed in patients. The aim was to evaluate. Most patients with cystic fibrosis (cf) develop multisystemic clinical manifestations, the minority. Case Study Cystic Fibrosis.
From www.studocu.com
Cystic Fibrosis Case Study SKINNY Reasoning Part I Recognizing Case Study Cystic Fibrosis We reviewed 842 cases of cystic fibrosis in our electronic health record (ehr) and found that 8.4% were diagnosed in patients. The aim was to evaluate. Most patients with cystic fibrosis (cf) develop multisystemic clinical manifestations, the minority having mild or atypical symptoms. This article reviews the pathophysiology, evaluation, and treatment of cystic fibrosis, including recent advances with the use. Case Study Cystic Fibrosis.
From www.studocu.com
Cystic Fibrosis Case Study questions Woe to That Child A Case of Case Study Cystic Fibrosis The study aimed to evaluate the relationship between the severity of mutation,. We reviewed 842 cases of cystic fibrosis in our electronic health record (ehr) and found that 8.4% were diagnosed in patients. Advanced lung disease in adult cystic fibrosis (cf) drives most clinical care requirements. Cystic fibrosis (cf) is the most common genetically inherited condition in. Cystic fibrosis (cf). Case Study Cystic Fibrosis.
From www.chegg.com
Solved Case Study Cystic Fibrosis and the Microbiome Case Study Cystic Fibrosis The study aimed to evaluate the relationship between the severity of mutation,. Advanced lung disease in adult cystic fibrosis (cf) drives most clinical care requirements. Cystic fibrosis (cf) is an autosomal recessive disease caused by defects in an anion channel known as the cf transmembrane conductance. Cystic fibrosis (cf) is the most common genetically inherited condition in. We reviewed 842. Case Study Cystic Fibrosis.
From www.studypool.com
SOLUTION Cystic fibrosis concept map Studypool Case Study Cystic Fibrosis We reviewed 842 cases of cystic fibrosis in our electronic health record (ehr) and found that 8.4% were diagnosed in patients. This article reviews the pathophysiology, evaluation, and treatment of cystic fibrosis, including recent advances with the use of highly effective modulator therapy. The aim was to evaluate. Cystic fibrosis (cf) is a multiorgan disease, caused by autosomal recessive (ar). Case Study Cystic Fibrosis.
From criticalthinking.cloud
cystic fibrosis hesi case study quizlet Case Study Cystic Fibrosis Advanced lung disease in adult cystic fibrosis (cf) drives most clinical care requirements. This article reviews the pathophysiology, evaluation, and treatment of cystic fibrosis, including recent advances with the use of highly effective modulator therapy. Cystic fibrosis (cf) is an autosomal recessive disease caused by defects in an anion channel known as the cf transmembrane conductance. We reviewed 842 cases. Case Study Cystic Fibrosis.
From www.studocu.com
Cystic Fibrosis Case Study Both parents must have the gene to pass Case Study Cystic Fibrosis Cystic fibrosis (cf) is the most common genetically inherited condition in. Advanced lung disease in adult cystic fibrosis (cf) drives most clinical care requirements. This article reviews the pathophysiology, evaluation, and treatment of cystic fibrosis, including recent advances with the use of highly effective modulator therapy. Cystic fibrosis (cf) is an autosomal recessive disease caused by defects in an anion. Case Study Cystic Fibrosis.
From browsegrades.net
HESI Cystic fibrosis Case Study Darla Browsegrades Case Study Cystic Fibrosis Most patients with cystic fibrosis (cf) develop multisystemic clinical manifestations, the minority having mild or atypical symptoms. Cystic fibrosis (cf) is a multiorgan disease, caused by autosomal recessive (ar) mutations in the cystic fibrosis transmembrane. Cystic fibrosis (cf) is an autosomal recessive disease caused by defects in an anion channel known as the cf transmembrane conductance. Cystic fibrosis (cf) is. Case Study Cystic Fibrosis.
From studycorgi.com
Cystic Fibrosis Case Study Free Essay Example Case Study Cystic Fibrosis Cystic fibrosis (cf) is the most common genetically inherited condition in. Most patients with cystic fibrosis (cf) develop multisystemic clinical manifestations, the minority having mild or atypical symptoms. This article reviews the pathophysiology, evaluation, and treatment of cystic fibrosis, including recent advances with the use of highly effective modulator therapy. The study aimed to evaluate the relationship between the severity. Case Study Cystic Fibrosis.
From www.slideshare.net
1Case Study Cystic FibrosisCystic Fibrosis Case Study PDF Case Study Cystic Fibrosis We reviewed 842 cases of cystic fibrosis in our electronic health record (ehr) and found that 8.4% were diagnosed in patients. The aim was to evaluate. The study aimed to evaluate the relationship between the severity of mutation,. Most patients with cystic fibrosis (cf) develop multisystemic clinical manifestations, the minority having mild or atypical symptoms. This article reviews the pathophysiology,. Case Study Cystic Fibrosis.
From www.researchgate.net
(PDF) Early Detection of Rapid Cystic Fibrosis Disease Progression Case Study Cystic Fibrosis The study aimed to evaluate the relationship between the severity of mutation,. Cystic fibrosis (cf) is an autosomal recessive disease caused by defects in an anion channel known as the cf transmembrane conductance. This article reviews the pathophysiology, evaluation, and treatment of cystic fibrosis, including recent advances with the use of highly effective modulator therapy. The aim was to evaluate.. Case Study Cystic Fibrosis.
From www.slideshare.net
Cystic fibrosis case study Case Study Cystic Fibrosis Cystic fibrosis (cf) is the most common genetically inherited condition in. Cystic fibrosis (cf) is a multiorgan disease, caused by autosomal recessive (ar) mutations in the cystic fibrosis transmembrane. Most patients with cystic fibrosis (cf) develop multisystemic clinical manifestations, the minority having mild or atypical symptoms. This article reviews the pathophysiology, evaluation, and treatment of cystic fibrosis, including recent advances. Case Study Cystic Fibrosis.
From www.scribd.com
Cystic Fibrosis A Case Study of Cystic Fibrosis in an A Case Study of Case Study Cystic Fibrosis Cystic fibrosis (cf) is an autosomal recessive disease caused by defects in an anion channel known as the cf transmembrane conductance. Cystic fibrosis (cf) is the most common genetically inherited condition in. This article reviews the pathophysiology, evaluation, and treatment of cystic fibrosis, including recent advances with the use of highly effective modulator therapy. The aim was to evaluate. The. Case Study Cystic Fibrosis.
From www.studocu.com
Cystic Fibrosis Case Study Parts 4,5,6 Cystic Fibrosis Case Study Case Study Cystic Fibrosis The aim was to evaluate. This article reviews the pathophysiology, evaluation, and treatment of cystic fibrosis, including recent advances with the use of highly effective modulator therapy. Most patients with cystic fibrosis (cf) develop multisystemic clinical manifestations, the minority having mild or atypical symptoms. Cystic fibrosis (cf) is the most common genetically inherited condition in. Cystic fibrosis (cf) is an. Case Study Cystic Fibrosis.
From browsegrades.net
Pediatric Nursing Unfolding Clinical Reasoning CASE STUDY_ CYSTIC Case Study Cystic Fibrosis Cystic fibrosis (cf) is the most common genetically inherited condition in. Cystic fibrosis (cf) is an autosomal recessive disease caused by defects in an anion channel known as the cf transmembrane conductance. The aim was to evaluate. The study aimed to evaluate the relationship between the severity of mutation,. Most patients with cystic fibrosis (cf) develop multisystemic clinical manifestations, the. Case Study Cystic Fibrosis.
From www.studocu.com
CF Case Study NUR 240 Cystic Fibrosis Case Study The Cystic Fibrosis Case Study Cystic Fibrosis We reviewed 842 cases of cystic fibrosis in our electronic health record (ehr) and found that 8.4% were diagnosed in patients. The study aimed to evaluate the relationship between the severity of mutation,. This article reviews the pathophysiology, evaluation, and treatment of cystic fibrosis, including recent advances with the use of highly effective modulator therapy. Most patients with cystic fibrosis. Case Study Cystic Fibrosis.
From www.slideserve.com
PPT Cystic fibrosis Case studies PowerPoint Presentation, free Case Study Cystic Fibrosis Cystic fibrosis (cf) is an autosomal recessive disease caused by defects in an anion channel known as the cf transmembrane conductance. This article reviews the pathophysiology, evaluation, and treatment of cystic fibrosis, including recent advances with the use of highly effective modulator therapy. The aim was to evaluate. Most patients with cystic fibrosis (cf) develop multisystemic clinical manifestations, the minority. Case Study Cystic Fibrosis.
From docs.google.com
Case Study Cystic Fibrosis (CER) Google Docs Case Study Cystic Fibrosis Cystic fibrosis (cf) is the most common genetically inherited condition in. This article reviews the pathophysiology, evaluation, and treatment of cystic fibrosis, including recent advances with the use of highly effective modulator therapy. Cystic fibrosis (cf) is a multiorgan disease, caused by autosomal recessive (ar) mutations in the cystic fibrosis transmembrane. We reviewed 842 cases of cystic fibrosis in our. Case Study Cystic Fibrosis.
From www.studocu.com
Cystic Fibrosis Case Study CASE STUDY How the Cystic fibrosis Case Study Cystic Fibrosis Cystic fibrosis (cf) is a multiorgan disease, caused by autosomal recessive (ar) mutations in the cystic fibrosis transmembrane. Advanced lung disease in adult cystic fibrosis (cf) drives most clinical care requirements. The study aimed to evaluate the relationship between the severity of mutation,. We reviewed 842 cases of cystic fibrosis in our electronic health record (ehr) and found that 8.4%. Case Study Cystic Fibrosis.