Arias Stella Reaksiyonu Ne Demek . The epithelial cells lining the glands undergo a characteristic morphological change during early pregnancy, referred to as the arias. Benign atypical endometrial changes associated with chorionic tissue. [1] may be seen in a.
from www.dovemed.com
Benign atypical endometrial changes associated with chorionic tissue. [1] may be seen in a. The epithelial cells lining the glands undergo a characteristic morphological change during early pregnancy, referred to as the arias.
AriasStella Phenomenon of Uterine Corpus
Arias Stella Reaksiyonu Ne Demek The epithelial cells lining the glands undergo a characteristic morphological change during early pregnancy, referred to as the arias. Benign atypical endometrial changes associated with chorionic tissue. The epithelial cells lining the glands undergo a characteristic morphological change during early pregnancy, referred to as the arias. [1] may be seen in a.
From repositorio.upch.edu.pe
Dr. Javier Arias Stella Arias Stella Reaksiyonu Ne Demek [1] may be seen in a. Benign atypical endometrial changes associated with chorionic tissue. The epithelial cells lining the glands undergo a characteristic morphological change during early pregnancy, referred to as the arias. Arias Stella Reaksiyonu Ne Demek.
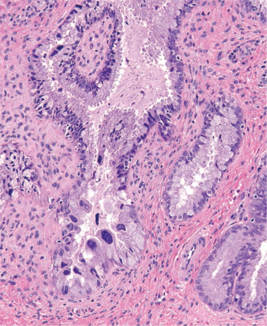
From www.semanticscholar.org
Table 1 from AriasStella Reaction With RingLike Cell Arias Stella Reaksiyonu Ne Demek Benign atypical endometrial changes associated with chorionic tissue. The epithelial cells lining the glands undergo a characteristic morphological change during early pregnancy, referred to as the arias. [1] may be seen in a. Arias Stella Reaksiyonu Ne Demek.
From www.pathologyoutlines.com
Pathology Outlines Arias Stella reaction Arias Stella Reaksiyonu Ne Demek Benign atypical endometrial changes associated with chorionic tissue. [1] may be seen in a. The epithelial cells lining the glands undergo a characteristic morphological change during early pregnancy, referred to as the arias. Arias Stella Reaksiyonu Ne Demek.
From www.pathologyoutlines.com
Pathology Outlines AriasStella reaction Arias Stella Reaksiyonu Ne Demek The epithelial cells lining the glands undergo a characteristic morphological change during early pregnancy, referred to as the arias. [1] may be seen in a. Benign atypical endometrial changes associated with chorionic tissue. Arias Stella Reaksiyonu Ne Demek.
From www.pathologyoutlines.com
Pathology Outlines AriasStella reaction Arias Stella Reaksiyonu Ne Demek The epithelial cells lining the glands undergo a characteristic morphological change during early pregnancy, referred to as the arias. Benign atypical endometrial changes associated with chorionic tissue. [1] may be seen in a. Arias Stella Reaksiyonu Ne Demek.
From www.slideserve.com
PPT EKTOPİK GEBELİK PowerPoint Presentation, free download ID5576916 Arias Stella Reaksiyonu Ne Demek [1] may be seen in a. Benign atypical endometrial changes associated with chorionic tissue. The epithelial cells lining the glands undergo a characteristic morphological change during early pregnancy, referred to as the arias. Arias Stella Reaksiyonu Ne Demek.
From www.slideserve.com
PPT EKTOPİK GEBELİK PowerPoint Presentation, free download ID5576916 Arias Stella Reaksiyonu Ne Demek The epithelial cells lining the glands undergo a characteristic morphological change during early pregnancy, referred to as the arias. Benign atypical endometrial changes associated with chorionic tissue. [1] may be seen in a. Arias Stella Reaksiyonu Ne Demek.
From www.facebook.com
Arias Stella Huancayo Arias Stella Reaksiyonu Ne Demek Benign atypical endometrial changes associated with chorionic tissue. The epithelial cells lining the glands undergo a characteristic morphological change during early pregnancy, referred to as the arias. [1] may be seen in a. Arias Stella Reaksiyonu Ne Demek.
From vdocuments.mx
Reacción de AriasStella CIDBIMENAcidbimena.desastres.hn/RMH/pdf/1975 Arias Stella Reaksiyonu Ne Demek The epithelial cells lining the glands undergo a characteristic morphological change during early pregnancy, referred to as the arias. Benign atypical endometrial changes associated with chorionic tissue. [1] may be seen in a. Arias Stella Reaksiyonu Ne Demek.
From www.slideserve.com
PPT Ectopic Pregnancy PowerPoint Presentation, free download ID2176500 Arias Stella Reaksiyonu Ne Demek Benign atypical endometrial changes associated with chorionic tissue. The epithelial cells lining the glands undergo a characteristic morphological change during early pregnancy, referred to as the arias. [1] may be seen in a. Arias Stella Reaksiyonu Ne Demek.
From www.slideserve.com
PPT EKTOPİK GEBELİK PowerPoint Presentation, free download ID5576916 Arias Stella Reaksiyonu Ne Demek Benign atypical endometrial changes associated with chorionic tissue. The epithelial cells lining the glands undergo a characteristic morphological change during early pregnancy, referred to as the arias. [1] may be seen in a. Arias Stella Reaksiyonu Ne Demek.
From obgyn.onlinelibrary.wiley.com
THE ARIAS STELLA REACTION Charles 1962 BJOG An International Arias Stella Reaksiyonu Ne Demek Benign atypical endometrial changes associated with chorionic tissue. The epithelial cells lining the glands undergo a characteristic morphological change during early pregnancy, referred to as the arias. [1] may be seen in a. Arias Stella Reaksiyonu Ne Demek.
From www.slideserve.com
PPT EKTOPİK GEBELİK PowerPoint Presentation, free download ID5576916 Arias Stella Reaksiyonu Ne Demek [1] may be seen in a. Benign atypical endometrial changes associated with chorionic tissue. The epithelial cells lining the glands undergo a characteristic morphological change during early pregnancy, referred to as the arias. Arias Stella Reaksiyonu Ne Demek.
From www.dovemed.com
AriasStella Phenomenon of Uterine Corpus Arias Stella Reaksiyonu Ne Demek Benign atypical endometrial changes associated with chorionic tissue. The epithelial cells lining the glands undergo a characteristic morphological change during early pregnancy, referred to as the arias. [1] may be seen in a. Arias Stella Reaksiyonu Ne Demek.
From teknovudu.com
Füzyon Nedir, Nasıl gerçekleşir? Dünyada Füzyon Arias Stella Reaksiyonu Ne Demek Benign atypical endometrial changes associated with chorionic tissue. [1] may be seen in a. The epithelial cells lining the glands undergo a characteristic morphological change during early pregnancy, referred to as the arias. Arias Stella Reaksiyonu Ne Demek.
From www.cnnturk.com
Yunan Survivor 2022 yarışmacıları! Stella kimdir, ne demek? Son Arias Stella Reaksiyonu Ne Demek [1] may be seen in a. The epithelial cells lining the glands undergo a characteristic morphological change during early pregnancy, referred to as the arias. Benign atypical endometrial changes associated with chorionic tissue. Arias Stella Reaksiyonu Ne Demek.
From www.dovemed.com
AriasStella Reaction of Uterine Corpus in Normal Pregnancy Arias Stella Reaksiyonu Ne Demek The epithelial cells lining the glands undergo a characteristic morphological change during early pregnancy, referred to as the arias. Benign atypical endometrial changes associated with chorionic tissue. [1] may be seen in a. Arias Stella Reaksiyonu Ne Demek.
From www.udocz.com
Laboratorio 8 Endometrio con fenómeno Arias Stella LiquidOH uDocz Arias Stella Reaksiyonu Ne Demek The epithelial cells lining the glands undergo a characteristic morphological change during early pregnancy, referred to as the arias. Benign atypical endometrial changes associated with chorionic tissue. [1] may be seen in a. Arias Stella Reaksiyonu Ne Demek.
From www.pathologyoutlines.com
Pathology Outlines Arias Stella reaction Arias Stella Reaksiyonu Ne Demek Benign atypical endometrial changes associated with chorionic tissue. [1] may be seen in a. The epithelial cells lining the glands undergo a characteristic morphological change during early pregnancy, referred to as the arias. Arias Stella Reaksiyonu Ne Demek.
From www.pathologyoutlines.com
Pathology Outlines AriasStella reaction Arias Stella Reaksiyonu Ne Demek Benign atypical endometrial changes associated with chorionic tissue. The epithelial cells lining the glands undergo a characteristic morphological change during early pregnancy, referred to as the arias. [1] may be seen in a. Arias Stella Reaksiyonu Ne Demek.
From akademiksunum.com
Akademik Sunum Arias Stella Reaksiyonu Ne Demek [1] may be seen in a. The epithelial cells lining the glands undergo a characteristic morphological change during early pregnancy, referred to as the arias. Benign atypical endometrial changes associated with chorionic tissue. Arias Stella Reaksiyonu Ne Demek.
From www.shutterstock.com
Arias Stella Phenomenon Editorial Stock Photo Stock Image Shutterstock Arias Stella Reaksiyonu Ne Demek [1] may be seen in a. Benign atypical endometrial changes associated with chorionic tissue. The epithelial cells lining the glands undergo a characteristic morphological change during early pregnancy, referred to as the arias. Arias Stella Reaksiyonu Ne Demek.
From www.researchgate.net
(PDF) AriasStella reaction and frightening cytological changes in Arias Stella Reaksiyonu Ne Demek [1] may be seen in a. The epithelial cells lining the glands undergo a characteristic morphological change during early pregnancy, referred to as the arias. Benign atypical endometrial changes associated with chorionic tissue. Arias Stella Reaksiyonu Ne Demek.
From www.youtube.com
ARIAS STELLA YouTube Arias Stella Reaksiyonu Ne Demek The epithelial cells lining the glands undergo a characteristic morphological change during early pregnancy, referred to as the arias. Benign atypical endometrial changes associated with chorionic tissue. [1] may be seen in a. Arias Stella Reaksiyonu Ne Demek.
From obgyn.onlinelibrary.wiley.com
THE ARIAS‐STELLA REACTION AS AN AID IN THE DIAGNOSIS OF ECTOPIC Arias Stella Reaksiyonu Ne Demek [1] may be seen in a. Benign atypical endometrial changes associated with chorionic tissue. The epithelial cells lining the glands undergo a characteristic morphological change during early pregnancy, referred to as the arias. Arias Stella Reaksiyonu Ne Demek.
From www.slideshare.net
Rosai 2015 javier ariasstella and his famous reaction Arias Stella Reaksiyonu Ne Demek [1] may be seen in a. The epithelial cells lining the glands undergo a characteristic morphological change during early pregnancy, referred to as the arias. Benign atypical endometrial changes associated with chorionic tissue. Arias Stella Reaksiyonu Ne Demek.
From xaydungso.vn
Phản Ứng Arthus Triệu Chứng, Chẩn Đoán và Điều Trị Hiệu Quả Arias Stella Reaksiyonu Ne Demek [1] may be seen in a. Benign atypical endometrial changes associated with chorionic tissue. The epithelial cells lining the glands undergo a characteristic morphological change during early pregnancy, referred to as the arias. Arias Stella Reaksiyonu Ne Demek.
From www.studocu.com
Tarea fenomeno de arias stella Universidad Autónoma del Estado de Arias Stella Reaksiyonu Ne Demek The epithelial cells lining the glands undergo a characteristic morphological change during early pregnancy, referred to as the arias. Benign atypical endometrial changes associated with chorionic tissue. [1] may be seen in a. Arias Stella Reaksiyonu Ne Demek.
From www.chimicamo.org
AriasStella_Reaction_in_Endometrium_(45966643982) Arias Stella Reaksiyonu Ne Demek The epithelial cells lining the glands undergo a characteristic morphological change during early pregnancy, referred to as the arias. [1] may be seen in a. Benign atypical endometrial changes associated with chorionic tissue. Arias Stella Reaksiyonu Ne Demek.
From www.youtube.com
AriasStella Reaction YouTube Arias Stella Reaksiyonu Ne Demek Benign atypical endometrial changes associated with chorionic tissue. [1] may be seen in a. The epithelial cells lining the glands undergo a characteristic morphological change during early pregnancy, referred to as the arias. Arias Stella Reaksiyonu Ne Demek.
From www.semanticscholar.org
Figure 1 from THE ARIASSTELLA REACTION A NONSPECIFIC INVOLUTIONAL Arias Stella Reaksiyonu Ne Demek The epithelial cells lining the glands undergo a characteristic morphological change during early pregnancy, referred to as the arias. Benign atypical endometrial changes associated with chorionic tissue. [1] may be seen in a. Arias Stella Reaksiyonu Ne Demek.
From www.slideserve.com
PPT EKTOPİK GEBELİK PowerPoint Presentation, free download ID5576916 Arias Stella Reaksiyonu Ne Demek Benign atypical endometrial changes associated with chorionic tissue. [1] may be seen in a. The epithelial cells lining the glands undergo a characteristic morphological change during early pregnancy, referred to as the arias. Arias Stella Reaksiyonu Ne Demek.
From twitter.com
ARP Press on Twitter "Cervix AriasStella reaction (ASR) isn't just Arias Stella Reaksiyonu Ne Demek [1] may be seen in a. The epithelial cells lining the glands undergo a characteristic morphological change during early pregnancy, referred to as the arias. Benign atypical endometrial changes associated with chorionic tissue. Arias Stella Reaksiyonu Ne Demek.
From pathology.osu.edu
OSU Case of the Week Arias Stella Reaksiyonu Ne Demek The epithelial cells lining the glands undergo a characteristic morphological change during early pregnancy, referred to as the arias. Benign atypical endometrial changes associated with chorionic tissue. [1] may be seen in a. Arias Stella Reaksiyonu Ne Demek.
From journals.lww.com
AriasStella Reaction of the Endocervix A Report of 18 Case... The Arias Stella Reaksiyonu Ne Demek Benign atypical endometrial changes associated with chorionic tissue. [1] may be seen in a. The epithelial cells lining the glands undergo a characteristic morphological change during early pregnancy, referred to as the arias. Arias Stella Reaksiyonu Ne Demek.