Pheochromocytoma Dog Urine Test . They have been most commonly reported in dogs, horses,. Pheochromocytomas are rare tumors that originate from the adrenal medulla. To measure urinary and plasma catecholamines and metanephrines in healthy dogs, dogs with pc, hypercortisolism (hc), and. The diagnosis of phaeochromocytoma relies on clinical suspicion, biochemical testing, diagnostic imaging and. Staging is recommended, in order to evaluate local infiltration of the tumour as well as potential. Pheochromocytoma is a tumour of the older dog; The diagnosis of phaeochromocytoma relies on clinical suspicion, biochemical testing, diagnostic imaging and. Creatine ratio measured 8194 μg/g, 21.6 times the upper end of the reference.
from onlinelibrary.wiley.com
Pheochromocytomas are rare tumors that originate from the adrenal medulla. To measure urinary and plasma catecholamines and metanephrines in healthy dogs, dogs with pc, hypercortisolism (hc), and. The diagnosis of phaeochromocytoma relies on clinical suspicion, biochemical testing, diagnostic imaging and. Pheochromocytoma is a tumour of the older dog; Creatine ratio measured 8194 μg/g, 21.6 times the upper end of the reference. They have been most commonly reported in dogs, horses,. The diagnosis of phaeochromocytoma relies on clinical suspicion, biochemical testing, diagnostic imaging and. Staging is recommended, in order to evaluate local infiltration of the tumour as well as potential.
Plasma‐Free Metanephrine and Free Normetanephrine Measurement for the
Pheochromocytoma Dog Urine Test They have been most commonly reported in dogs, horses,. Creatine ratio measured 8194 μg/g, 21.6 times the upper end of the reference. Staging is recommended, in order to evaluate local infiltration of the tumour as well as potential. The diagnosis of phaeochromocytoma relies on clinical suspicion, biochemical testing, diagnostic imaging and. To measure urinary and plasma catecholamines and metanephrines in healthy dogs, dogs with pc, hypercortisolism (hc), and. Pheochromocytomas are rare tumors that originate from the adrenal medulla. Pheochromocytoma is a tumour of the older dog; The diagnosis of phaeochromocytoma relies on clinical suspicion, biochemical testing, diagnostic imaging and. They have been most commonly reported in dogs, horses,.
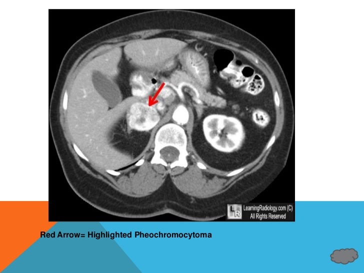
From www.slideshare.net
Pheochromocytoma Pheochromocytoma Dog Urine Test The diagnosis of phaeochromocytoma relies on clinical suspicion, biochemical testing, diagnostic imaging and. Creatine ratio measured 8194 μg/g, 21.6 times the upper end of the reference. The diagnosis of phaeochromocytoma relies on clinical suspicion, biochemical testing, diagnostic imaging and. They have been most commonly reported in dogs, horses,. Pheochromocytoma is a tumour of the older dog; Staging is recommended, in. Pheochromocytoma Dog Urine Test.
From www.nejm.org
Measurement of Norepinephrine and 3,4Dihydroxyphenylglycol in Urine Pheochromocytoma Dog Urine Test The diagnosis of phaeochromocytoma relies on clinical suspicion, biochemical testing, diagnostic imaging and. Staging is recommended, in order to evaluate local infiltration of the tumour as well as potential. Creatine ratio measured 8194 μg/g, 21.6 times the upper end of the reference. Pheochromocytomas are rare tumors that originate from the adrenal medulla. To measure urinary and plasma catecholamines and metanephrines. Pheochromocytoma Dog Urine Test.
From www.wellnessvet.com.hk
Pheochromocytoma in Dogs Wellness Veterinary Hospital Pheochromocytoma Dog Urine Test The diagnosis of phaeochromocytoma relies on clinical suspicion, biochemical testing, diagnostic imaging and. They have been most commonly reported in dogs, horses,. The diagnosis of phaeochromocytoma relies on clinical suspicion, biochemical testing, diagnostic imaging and. Staging is recommended, in order to evaluate local infiltration of the tumour as well as potential. To measure urinary and plasma catecholamines and metanephrines in. Pheochromocytoma Dog Urine Test.
From jama.jamanetwork.com
Biochemical Diagnosis of Pheochromocytoma Which Test Is Best Pheochromocytoma Dog Urine Test Creatine ratio measured 8194 μg/g, 21.6 times the upper end of the reference. The diagnosis of phaeochromocytoma relies on clinical suspicion, biochemical testing, diagnostic imaging and. They have been most commonly reported in dogs, horses,. To measure urinary and plasma catecholamines and metanephrines in healthy dogs, dogs with pc, hypercortisolism (hc), and. Staging is recommended, in order to evaluate local. Pheochromocytoma Dog Urine Test.
From jnm.snmjournals.org
18FFDOPA PET and PET/CT Accurately Localize Pheochromocytomas Pheochromocytoma Dog Urine Test Pheochromocytomas are rare tumors that originate from the adrenal medulla. Creatine ratio measured 8194 μg/g, 21.6 times the upper end of the reference. The diagnosis of phaeochromocytoma relies on clinical suspicion, biochemical testing, diagnostic imaging and. The diagnosis of phaeochromocytoma relies on clinical suspicion, biochemical testing, diagnostic imaging and. They have been most commonly reported in dogs, horses,. Staging is. Pheochromocytoma Dog Urine Test.
From www.ncbi.nlm.nih.gov
Pheochromocytoma and Paraganglioma Endotext NCBI Bookshelf Pheochromocytoma Dog Urine Test Pheochromocytomas are rare tumors that originate from the adrenal medulla. The diagnosis of phaeochromocytoma relies on clinical suspicion, biochemical testing, diagnostic imaging and. Creatine ratio measured 8194 μg/g, 21.6 times the upper end of the reference. Pheochromocytoma is a tumour of the older dog; To measure urinary and plasma catecholamines and metanephrines in healthy dogs, dogs with pc, hypercortisolism (hc),. Pheochromocytoma Dog Urine Test.
From basicmedicalkey.com
Pheochromocytoma Basicmedical Key Pheochromocytoma Dog Urine Test Pheochromocytoma is a tumour of the older dog; Creatine ratio measured 8194 μg/g, 21.6 times the upper end of the reference. To measure urinary and plasma catecholamines and metanephrines in healthy dogs, dogs with pc, hypercortisolism (hc), and. They have been most commonly reported in dogs, horses,. Pheochromocytomas are rare tumors that originate from the adrenal medulla. Staging is recommended,. Pheochromocytoma Dog Urine Test.
From www.semanticscholar.org
Table 1 from Urinary catecholamine and metanephrine to creatinine Pheochromocytoma Dog Urine Test Creatine ratio measured 8194 μg/g, 21.6 times the upper end of the reference. Pheochromocytoma is a tumour of the older dog; The diagnosis of phaeochromocytoma relies on clinical suspicion, biochemical testing, diagnostic imaging and. Pheochromocytomas are rare tumors that originate from the adrenal medulla. The diagnosis of phaeochromocytoma relies on clinical suspicion, biochemical testing, diagnostic imaging and. Staging is recommended,. Pheochromocytoma Dog Urine Test.
From www.slideshare.net
Pheochromocytoma Pheochromocytoma Dog Urine Test The diagnosis of phaeochromocytoma relies on clinical suspicion, biochemical testing, diagnostic imaging and. To measure urinary and plasma catecholamines and metanephrines in healthy dogs, dogs with pc, hypercortisolism (hc), and. Pheochromocytoma is a tumour of the older dog; Creatine ratio measured 8194 μg/g, 21.6 times the upper end of the reference. They have been most commonly reported in dogs, horses,.. Pheochromocytoma Dog Urine Test.
From jnm.snmjournals.org
18FFDOPA PET and PET/CT Accurately Localize Pheochromocytomas Pheochromocytoma Dog Urine Test They have been most commonly reported in dogs, horses,. Pheochromocytoma is a tumour of the older dog; Pheochromocytomas are rare tumors that originate from the adrenal medulla. To measure urinary and plasma catecholamines and metanephrines in healthy dogs, dogs with pc, hypercortisolism (hc), and. Staging is recommended, in order to evaluate local infiltration of the tumour as well as potential.. Pheochromocytoma Dog Urine Test.
From www.diagnoxhealth.com
Urinalysis for Pets How AtHome Urine Testing Can Benefit Your Pet’s Pheochromocytoma Dog Urine Test Pheochromocytomas are rare tumors that originate from the adrenal medulla. The diagnosis of phaeochromocytoma relies on clinical suspicion, biochemical testing, diagnostic imaging and. Staging is recommended, in order to evaluate local infiltration of the tumour as well as potential. They have been most commonly reported in dogs, horses,. The diagnosis of phaeochromocytoma relies on clinical suspicion, biochemical testing, diagnostic imaging. Pheochromocytoma Dog Urine Test.
From www.researchgate.net
(PDF) Pheochromocytoma Cyclic attacks of hypertension alternating with Pheochromocytoma Dog Urine Test Pheochromocytoma is a tumour of the older dog; They have been most commonly reported in dogs, horses,. To measure urinary and plasma catecholamines and metanephrines in healthy dogs, dogs with pc, hypercortisolism (hc), and. The diagnosis of phaeochromocytoma relies on clinical suspicion, biochemical testing, diagnostic imaging and. Pheochromocytomas are rare tumors that originate from the adrenal medulla. The diagnosis of. Pheochromocytoma Dog Urine Test.
From animalia-life.club
What Does A Urine Culture Test For In Dogs Pheochromocytoma Dog Urine Test To measure urinary and plasma catecholamines and metanephrines in healthy dogs, dogs with pc, hypercortisolism (hc), and. The diagnosis of phaeochromocytoma relies on clinical suspicion, biochemical testing, diagnostic imaging and. They have been most commonly reported in dogs, horses,. Pheochromocytomas are rare tumors that originate from the adrenal medulla. The diagnosis of phaeochromocytoma relies on clinical suspicion, biochemical testing, diagnostic. Pheochromocytoma Dog Urine Test.
From www.researchgate.net
(PDF) Urinary catecholamine and metadrenaline to creatinine ratios in Pheochromocytoma Dog Urine Test The diagnosis of phaeochromocytoma relies on clinical suspicion, biochemical testing, diagnostic imaging and. Pheochromocytomas are rare tumors that originate from the adrenal medulla. They have been most commonly reported in dogs, horses,. The diagnosis of phaeochromocytoma relies on clinical suspicion, biochemical testing, diagnostic imaging and. Staging is recommended, in order to evaluate local infiltration of the tumour as well as. Pheochromocytoma Dog Urine Test.
From www.researchgate.net
(PDF) Malignant Pheochromocytoma in a dog A case report Pheochromocytoma Dog Urine Test Staging is recommended, in order to evaluate local infiltration of the tumour as well as potential. Pheochromocytomas are rare tumors that originate from the adrenal medulla. Pheochromocytoma is a tumour of the older dog; The diagnosis of phaeochromocytoma relies on clinical suspicion, biochemical testing, diagnostic imaging and. The diagnosis of phaeochromocytoma relies on clinical suspicion, biochemical testing, diagnostic imaging and.. Pheochromocytoma Dog Urine Test.
From jamanetwork.com
Biochemical Diagnosis of Pheochromocytoma Which Test Is Best Pheochromocytoma Dog Urine Test Staging is recommended, in order to evaluate local infiltration of the tumour as well as potential. The diagnosis of phaeochromocytoma relies on clinical suspicion, biochemical testing, diagnostic imaging and. To measure urinary and plasma catecholamines and metanephrines in healthy dogs, dogs with pc, hypercortisolism (hc), and. They have been most commonly reported in dogs, horses,. Creatine ratio measured 8194 μg/g,. Pheochromocytoma Dog Urine Test.
From www.semanticscholar.org
Table 2 from Pheochromocytoma in a Dog as a Cause of Aortic Pheochromocytoma Dog Urine Test The diagnosis of phaeochromocytoma relies on clinical suspicion, biochemical testing, diagnostic imaging and. To measure urinary and plasma catecholamines and metanephrines in healthy dogs, dogs with pc, hypercortisolism (hc), and. The diagnosis of phaeochromocytoma relies on clinical suspicion, biochemical testing, diagnostic imaging and. Pheochromocytomas are rare tumors that originate from the adrenal medulla. They have been most commonly reported in. Pheochromocytoma Dog Urine Test.
From www.dreamstime.com
Clonidine Suppression Test To Diagnosis of Pheochromocytoma. Stock Pheochromocytoma Dog Urine Test The diagnosis of phaeochromocytoma relies on clinical suspicion, biochemical testing, diagnostic imaging and. Staging is recommended, in order to evaluate local infiltration of the tumour as well as potential. The diagnosis of phaeochromocytoma relies on clinical suspicion, biochemical testing, diagnostic imaging and. Pheochromocytoma is a tumour of the older dog; Pheochromocytomas are rare tumors that originate from the adrenal medulla.. Pheochromocytoma Dog Urine Test.
From onlinelibrary.wiley.com
Clonidine suppression test for a reliable diagnosis of pheochromocytoma Pheochromocytoma Dog Urine Test The diagnosis of phaeochromocytoma relies on clinical suspicion, biochemical testing, diagnostic imaging and. The diagnosis of phaeochromocytoma relies on clinical suspicion, biochemical testing, diagnostic imaging and. Creatine ratio measured 8194 μg/g, 21.6 times the upper end of the reference. To measure urinary and plasma catecholamines and metanephrines in healthy dogs, dogs with pc, hypercortisolism (hc), and. They have been most. Pheochromocytoma Dog Urine Test.
From www.youtube.com
Pheochromocytoma Plasma versus Urinary Metanephrines by Prof. Graeme Pheochromocytoma Dog Urine Test Pheochromocytoma is a tumour of the older dog; The diagnosis of phaeochromocytoma relies on clinical suspicion, biochemical testing, diagnostic imaging and. Staging is recommended, in order to evaluate local infiltration of the tumour as well as potential. Pheochromocytomas are rare tumors that originate from the adrenal medulla. To measure urinary and plasma catecholamines and metanephrines in healthy dogs, dogs with. Pheochromocytoma Dog Urine Test.
From www.researchgate.net
(PDF) Pheochromocytoma in a Dog as a Cause of Aortic Thromboembolism Pheochromocytoma Dog Urine Test They have been most commonly reported in dogs, horses,. Pheochromocytoma is a tumour of the older dog; Pheochromocytomas are rare tumors that originate from the adrenal medulla. Staging is recommended, in order to evaluate local infiltration of the tumour as well as potential. To measure urinary and plasma catecholamines and metanephrines in healthy dogs, dogs with pc, hypercortisolism (hc), and.. Pheochromocytoma Dog Urine Test.
From www.caninejournal.com
Best Urine Test Strips For Dogs At Home Dog UTI Test Pheochromocytoma Dog Urine Test Creatine ratio measured 8194 μg/g, 21.6 times the upper end of the reference. Pheochromocytomas are rare tumors that originate from the adrenal medulla. The diagnosis of phaeochromocytoma relies on clinical suspicion, biochemical testing, diagnostic imaging and. Staging is recommended, in order to evaluate local infiltration of the tumour as well as potential. To measure urinary and plasma catecholamines and metanephrines. Pheochromocytoma Dog Urine Test.
From jamanetwork.com
Biochemical Diagnosis of Pheochromocytoma Which Test Is Best Pheochromocytoma Dog Urine Test To measure urinary and plasma catecholamines and metanephrines in healthy dogs, dogs with pc, hypercortisolism (hc), and. They have been most commonly reported in dogs, horses,. Pheochromocytoma is a tumour of the older dog; The diagnosis of phaeochromocytoma relies on clinical suspicion, biochemical testing, diagnostic imaging and. Pheochromocytomas are rare tumors that originate from the adrenal medulla. The diagnosis of. Pheochromocytoma Dog Urine Test.
From shoppettest.com
How to Read Urine Test Strips PetTest by Advocate Pheochromocytoma Dog Urine Test They have been most commonly reported in dogs, horses,. The diagnosis of phaeochromocytoma relies on clinical suspicion, biochemical testing, diagnostic imaging and. Pheochromocytomas are rare tumors that originate from the adrenal medulla. Creatine ratio measured 8194 μg/g, 21.6 times the upper end of the reference. Staging is recommended, in order to evaluate local infiltration of the tumour as well as. Pheochromocytoma Dog Urine Test.
From www.mdpi.com
Diagnostics Free FullText A Laboratory Medicine Perspective on the Pheochromocytoma Dog Urine Test The diagnosis of phaeochromocytoma relies on clinical suspicion, biochemical testing, diagnostic imaging and. Creatine ratio measured 8194 μg/g, 21.6 times the upper end of the reference. To measure urinary and plasma catecholamines and metanephrines in healthy dogs, dogs with pc, hypercortisolism (hc), and. Pheochromocytomas are rare tumors that originate from the adrenal medulla. They have been most commonly reported in. Pheochromocytoma Dog Urine Test.
From www.diagnoxhealth.com
Urinalysis for Pets How AtHome Urine Testing Can Benefit Your Pet’s Pheochromocytoma Dog Urine Test Creatine ratio measured 8194 μg/g, 21.6 times the upper end of the reference. The diagnosis of phaeochromocytoma relies on clinical suspicion, biochemical testing, diagnostic imaging and. Pheochromocytomas are rare tumors that originate from the adrenal medulla. They have been most commonly reported in dogs, horses,. The diagnosis of phaeochromocytoma relies on clinical suspicion, biochemical testing, diagnostic imaging and. Staging is. Pheochromocytoma Dog Urine Test.
From www.gosupps.com
EasyHome Pet Urine Test Vet10 Urine Test Strips for Dogs & Cats 10 Pheochromocytoma Dog Urine Test Creatine ratio measured 8194 μg/g, 21.6 times the upper end of the reference. Staging is recommended, in order to evaluate local infiltration of the tumour as well as potential. To measure urinary and plasma catecholamines and metanephrines in healthy dogs, dogs with pc, hypercortisolism (hc), and. The diagnosis of phaeochromocytoma relies on clinical suspicion, biochemical testing, diagnostic imaging and. Pheochromocytoma. Pheochromocytoma Dog Urine Test.
From en.ppt-online.org
Pheochromocytomas online presentation Pheochromocytoma Dog Urine Test They have been most commonly reported in dogs, horses,. To measure urinary and plasma catecholamines and metanephrines in healthy dogs, dogs with pc, hypercortisolism (hc), and. Creatine ratio measured 8194 μg/g, 21.6 times the upper end of the reference. Pheochromocytomas are rare tumors that originate from the adrenal medulla. The diagnosis of phaeochromocytoma relies on clinical suspicion, biochemical testing, diagnostic. Pheochromocytoma Dog Urine Test.
From www.researchgate.net
Pheochromocytoma, dog, H&E stain, bar 100 μm. Download Scientific Diagram Pheochromocytoma Dog Urine Test Staging is recommended, in order to evaluate local infiltration of the tumour as well as potential. The diagnosis of phaeochromocytoma relies on clinical suspicion, biochemical testing, diagnostic imaging and. Pheochromocytoma is a tumour of the older dog; To measure urinary and plasma catecholamines and metanephrines in healthy dogs, dogs with pc, hypercortisolism (hc), and. They have been most commonly reported. Pheochromocytoma Dog Urine Test.
From animalia-life.club
What Does A Dog Urinalysis Test For Pheochromocytoma Dog Urine Test They have been most commonly reported in dogs, horses,. The diagnosis of phaeochromocytoma relies on clinical suspicion, biochemical testing, diagnostic imaging and. Pheochromocytomas are rare tumors that originate from the adrenal medulla. To measure urinary and plasma catecholamines and metanephrines in healthy dogs, dogs with pc, hypercortisolism (hc), and. Staging is recommended, in order to evaluate local infiltration of the. Pheochromocytoma Dog Urine Test.
From www.slideserve.com
PPT Endocrine Hypertension PowerPoint Presentation ID3399474 Pheochromocytoma Dog Urine Test Staging is recommended, in order to evaluate local infiltration of the tumour as well as potential. They have been most commonly reported in dogs, horses,. Creatine ratio measured 8194 μg/g, 21.6 times the upper end of the reference. The diagnosis of phaeochromocytoma relies on clinical suspicion, biochemical testing, diagnostic imaging and. Pheochromocytomas are rare tumors that originate from the adrenal. Pheochromocytoma Dog Urine Test.
From onlinelibrary.wiley.com
Plasma‐Free Metanephrine and Free Normetanephrine Measurement for the Pheochromocytoma Dog Urine Test They have been most commonly reported in dogs, horses,. Staging is recommended, in order to evaluate local infiltration of the tumour as well as potential. Creatine ratio measured 8194 μg/g, 21.6 times the upper end of the reference. The diagnosis of phaeochromocytoma relies on clinical suspicion, biochemical testing, diagnostic imaging and. To measure urinary and plasma catecholamines and metanephrines in. Pheochromocytoma Dog Urine Test.
From www.researchgate.net
Imaging studies and surgical pathology of the pheochromocytoma. (A) CT Pheochromocytoma Dog Urine Test Staging is recommended, in order to evaluate local infiltration of the tumour as well as potential. The diagnosis of phaeochromocytoma relies on clinical suspicion, biochemical testing, diagnostic imaging and. To measure urinary and plasma catecholamines and metanephrines in healthy dogs, dogs with pc, hypercortisolism (hc), and. The diagnosis of phaeochromocytoma relies on clinical suspicion, biochemical testing, diagnostic imaging and. They. Pheochromocytoma Dog Urine Test.
From www.slideserve.com
PPT Pheochromocytoma PowerPoint Presentation ID6451003 Pheochromocytoma Dog Urine Test Creatine ratio measured 8194 μg/g, 21.6 times the upper end of the reference. They have been most commonly reported in dogs, horses,. Pheochromocytoma is a tumour of the older dog; Pheochromocytomas are rare tumors that originate from the adrenal medulla. The diagnosis of phaeochromocytoma relies on clinical suspicion, biochemical testing, diagnostic imaging and. To measure urinary and plasma catecholamines and. Pheochromocytoma Dog Urine Test.
From www.ahajournals.org
Diagnosis and Localization of Pheochromocytoma Hypertension Pheochromocytoma Dog Urine Test The diagnosis of phaeochromocytoma relies on clinical suspicion, biochemical testing, diagnostic imaging and. Pheochromocytoma is a tumour of the older dog; Staging is recommended, in order to evaluate local infiltration of the tumour as well as potential. Creatine ratio measured 8194 μg/g, 21.6 times the upper end of the reference. To measure urinary and plasma catecholamines and metanephrines in healthy. Pheochromocytoma Dog Urine Test.