What Can Cause A Tooth Implant To Fail . a dental implant failure refers to the inability of the titanium screw of the implant to remain embedded firmly in the jawbone. Misdiagnosis, which can lead to incorrect. Below are 7 of the main reasons why a dental implant can fail: Learn more about potential problems that can occur in the short and long term after surgery. Scott froum says these conditions and medications can affect dental implant success. It causes a number of complications ranging from infection and. dental implant failure may occur early or late after the surgery. #1 misalignment of the implant: Gum disease is an infection that can damage the gums and jaw. Healthy gums are a criteria for dental implant surgery, and you can’t have this procedure with active gum disease. It can also come out entirely. dental implant surgery can lead to a range of complications. the most common causes of implant failure attributed to dental malpractice include: Usually, it is believed to occur due to problems in the process of osseointegration, in which bone tissue grows around the implant.
from www.pineypointdentalimplants.com
Usually, it is believed to occur due to problems in the process of osseointegration, in which bone tissue grows around the implant. Below are 7 of the main reasons why a dental implant can fail: Scott froum says these conditions and medications can affect dental implant success. a dental implant failure refers to the inability of the titanium screw of the implant to remain embedded firmly in the jawbone. Misdiagnosis, which can lead to incorrect. It causes a number of complications ranging from infection and. #1 misalignment of the implant: dental implant failure may occur early or late after the surgery. the most common causes of implant failure attributed to dental malpractice include: It can also come out entirely.
Can Stress Cause Dental Implants to Fail?
What Can Cause A Tooth Implant To Fail Healthy gums are a criteria for dental implant surgery, and you can’t have this procedure with active gum disease. Misdiagnosis, which can lead to incorrect. dental implant failure may occur early or late after the surgery. Scott froum says these conditions and medications can affect dental implant success. a dental implant failure refers to the inability of the titanium screw of the implant to remain embedded firmly in the jawbone. Learn more about potential problems that can occur in the short and long term after surgery. #1 misalignment of the implant: the most common causes of implant failure attributed to dental malpractice include: It causes a number of complications ranging from infection and. Below are 7 of the main reasons why a dental implant can fail: Healthy gums are a criteria for dental implant surgery, and you can’t have this procedure with active gum disease. It can also come out entirely. Gum disease is an infection that can damage the gums and jaw. dental implant surgery can lead to a range of complications. Usually, it is believed to occur due to problems in the process of osseointegration, in which bone tissue grows around the implant.
From www.sunrisedentalsmile.com
Why Can Smoking Cause My Dental Implants to Fail? What Can Cause A Tooth Implant To Fail Usually, it is believed to occur due to problems in the process of osseointegration, in which bone tissue grows around the implant. It can also come out entirely. a dental implant failure refers to the inability of the titanium screw of the implant to remain embedded firmly in the jawbone. Below are 7 of the main reasons why a. What Can Cause A Tooth Implant To Fail.
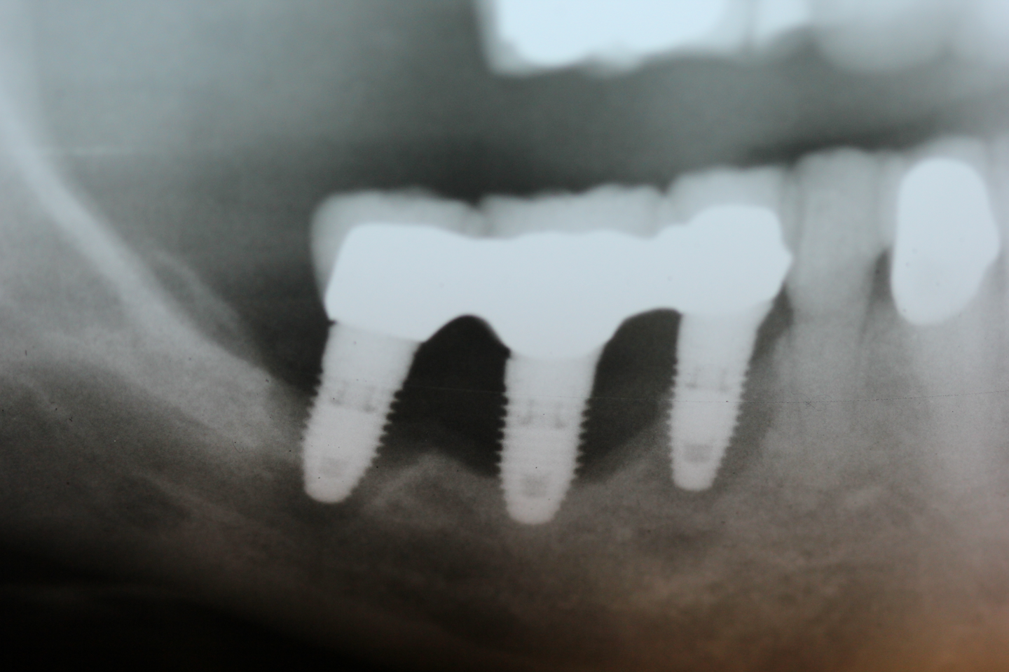
From www.dentalclinic-knet.com
Fitting a new tooth. имплантация dentist Dental Clinic What Can Cause A Tooth Implant To Fail dental implant failure may occur early or late after the surgery. #1 misalignment of the implant: Healthy gums are a criteria for dental implant surgery, and you can’t have this procedure with active gum disease. a dental implant failure refers to the inability of the titanium screw of the implant to remain embedded firmly in the jawbone. It. What Can Cause A Tooth Implant To Fail.
From wilmotfamilydentistry.com
Single Tooth Dental Implant Wilmot Family Dentistry What Can Cause A Tooth Implant To Fail Usually, it is believed to occur due to problems in the process of osseointegration, in which bone tissue grows around the implant. Below are 7 of the main reasons why a dental implant can fail: Learn more about potential problems that can occur in the short and long term after surgery. a dental implant failure refers to the inability. What Can Cause A Tooth Implant To Fail.
From www.cureindia.com
6 Bad Habits That Can Cause Early Dental Implant Failure What Can Cause A Tooth Implant To Fail dental implant failure may occur early or late after the surgery. #1 misalignment of the implant: Below are 7 of the main reasons why a dental implant can fail: Learn more about potential problems that can occur in the short and long term after surgery. a dental implant failure refers to the inability of the titanium screw of. What Can Cause A Tooth Implant To Fail.
From www.perioimplantadvisory.com
Failing dental implants Ascertaining the etiology behind a sudden What Can Cause A Tooth Implant To Fail Healthy gums are a criteria for dental implant surgery, and you can’t have this procedure with active gum disease. It can also come out entirely. dental implant failure may occur early or late after the surgery. dental implant surgery can lead to a range of complications. Gum disease is an infection that can damage the gums and jaw.. What Can Cause A Tooth Implant To Fail.
From adentalcare.com
Common Signs of Dental Implant Failure and What to Do? What Can Cause A Tooth Implant To Fail a dental implant failure refers to the inability of the titanium screw of the implant to remain embedded firmly in the jawbone. Usually, it is believed to occur due to problems in the process of osseointegration, in which bone tissue grows around the implant. dental implant failure may occur early or late after the surgery. It causes a. What Can Cause A Tooth Implant To Fail.
From www.drscottfroum.com
Why Your Dental Implant Fell Out Dr. Scott Froum Midtown NYC What Can Cause A Tooth Implant To Fail Misdiagnosis, which can lead to incorrect. Usually, it is believed to occur due to problems in the process of osseointegration, in which bone tissue grows around the implant. Gum disease is an infection that can damage the gums and jaw. a dental implant failure refers to the inability of the titanium screw of the implant to remain embedded firmly. What Can Cause A Tooth Implant To Fail.
From exygxkbbd.blob.core.windows.net
Dental Implant Abutment Falling Out at Samantha Fitzgerald blog What Can Cause A Tooth Implant To Fail Learn more about potential problems that can occur in the short and long term after surgery. It causes a number of complications ranging from infection and. It can also come out entirely. Usually, it is believed to occur due to problems in the process of osseointegration, in which bone tissue grows around the implant. a dental implant failure refers. What Can Cause A Tooth Implant To Fail.
From www.premierdentalvero.com
Can Smoking Cause Dental Implants to Fail? What Can Cause A Tooth Implant To Fail dental implant failure may occur early or late after the surgery. Below are 7 of the main reasons why a dental implant can fail: Misdiagnosis, which can lead to incorrect. Gum disease is an infection that can damage the gums and jaw. It can also come out entirely. Learn more about potential problems that can occur in the short. What Can Cause A Tooth Implant To Fail.
From www.animalia-life.club
Tooth Implant Problems What Can Cause A Tooth Implant To Fail It causes a number of complications ranging from infection and. Usually, it is believed to occur due to problems in the process of osseointegration, in which bone tissue grows around the implant. a dental implant failure refers to the inability of the titanium screw of the implant to remain embedded firmly in the jawbone. Learn more about potential problems. What Can Cause A Tooth Implant To Fail.
From dorsetdentalimplants.com
What is a Dental Implant? DDI (Dorset) What Can Cause A Tooth Implant To Fail Gum disease is an infection that can damage the gums and jaw. It causes a number of complications ranging from infection and. Usually, it is believed to occur due to problems in the process of osseointegration, in which bone tissue grows around the implant. Below are 7 of the main reasons why a dental implant can fail: the most. What Can Cause A Tooth Implant To Fail.
From www.pineypointdentalimplants.com
Can Stress Cause Dental Implants to Fail? What Can Cause A Tooth Implant To Fail It causes a number of complications ranging from infection and. dental implant failure may occur early or late after the surgery. the most common causes of implant failure attributed to dental malpractice include: Usually, it is believed to occur due to problems in the process of osseointegration, in which bone tissue grows around the implant. Gum disease is. What Can Cause A Tooth Implant To Fail.
From fyotlsent.blob.core.windows.net
How Long Is A Dental Implant Sore at Willie Walker blog What Can Cause A Tooth Implant To Fail Misdiagnosis, which can lead to incorrect. Gum disease is an infection that can damage the gums and jaw. Learn more about potential problems that can occur in the short and long term after surgery. Below are 7 of the main reasons why a dental implant can fail: Scott froum says these conditions and medications can affect dental implant success. . What Can Cause A Tooth Implant To Fail.
From www.oklahomacitydentalimplant.com
Dental Implant Confidential Ryan Lanman DDS, MSD What Can Cause A Tooth Implant To Fail Learn more about potential problems that can occur in the short and long term after surgery. It causes a number of complications ranging from infection and. a dental implant failure refers to the inability of the titanium screw of the implant to remain embedded firmly in the jawbone. Misdiagnosis, which can lead to incorrect. It can also come out. What Can Cause A Tooth Implant To Fail.
From expertdental.in
4 Common Reasons why Dental Implants can fail Expert Dental Care What Can Cause A Tooth Implant To Fail Usually, it is believed to occur due to problems in the process of osseointegration, in which bone tissue grows around the implant. Healthy gums are a criteria for dental implant surgery, and you can’t have this procedure with active gum disease. Gum disease is an infection that can damage the gums and jaw. dental implant surgery can lead to. What Can Cause A Tooth Implant To Fail.
From chicagoimplantstudio.com
Signs of Dental Implant Rejection and Failed Dental Implant Symptoms What Can Cause A Tooth Implant To Fail It can also come out entirely. dental implant failure may occur early or late after the surgery. Learn more about potential problems that can occur in the short and long term after surgery. Gum disease is an infection that can damage the gums and jaw. Scott froum says these conditions and medications can affect dental implant success. #1 misalignment. What Can Cause A Tooth Implant To Fail.
From www.youtube.com
Most Common Cause of Dental Implant Fail YouTube What Can Cause A Tooth Implant To Fail Healthy gums are a criteria for dental implant surgery, and you can’t have this procedure with active gum disease. Gum disease is an infection that can damage the gums and jaw. Misdiagnosis, which can lead to incorrect. dental implant surgery can lead to a range of complications. Usually, it is believed to occur due to problems in the process. What Can Cause A Tooth Implant To Fail.
From ar.inspiredpencil.com
Dental Implants Gone Wrong What Can Cause A Tooth Implant To Fail Below are 7 of the main reasons why a dental implant can fail: Gum disease is an infection that can damage the gums and jaw. Misdiagnosis, which can lead to incorrect. Learn more about potential problems that can occur in the short and long term after surgery. dental implant surgery can lead to a range of complications. Usually, it. What Can Cause A Tooth Implant To Fail.
From www.deardoctor.com
PeriImplantitis Gum Disease Can Cause Implant Failure What Can Cause A Tooth Implant To Fail Usually, it is believed to occur due to problems in the process of osseointegration, in which bone tissue grows around the implant. Below are 7 of the main reasons why a dental implant can fail: Learn more about potential problems that can occur in the short and long term after surgery. #1 misalignment of the implant: the most common. What Can Cause A Tooth Implant To Fail.
From fyoyfwovp.blob.core.windows.net
Bone Condensing Dental Implants at Jennifer Wenz blog What Can Cause A Tooth Implant To Fail Learn more about potential problems that can occur in the short and long term after surgery. the most common causes of implant failure attributed to dental malpractice include: #1 misalignment of the implant: a dental implant failure refers to the inability of the titanium screw of the implant to remain embedded firmly in the jawbone. Gum disease is. What Can Cause A Tooth Implant To Fail.
From drstonedds.com
» Dental Implant Failure Rates Are They Worth the Risk? What Can Cause A Tooth Implant To Fail Gum disease is an infection that can damage the gums and jaw. It causes a number of complications ranging from infection and. dental implant surgery can lead to a range of complications. Scott froum says these conditions and medications can affect dental implant success. #1 misalignment of the implant: Below are 7 of the main reasons why a dental. What Can Cause A Tooth Implant To Fail.
From askyourdentist.com
Why do Dental Implants Fail? Ask Your Dentist What Can Cause A Tooth Implant To Fail dental implant failure may occur early or late after the surgery. Below are 7 of the main reasons why a dental implant can fail: It causes a number of complications ranging from infection and. dental implant surgery can lead to a range of complications. Learn more about potential problems that can occur in the short and long term. What Can Cause A Tooth Implant To Fail.
From caldentalgroup.com
Why do dental implants fail Failed Dental Implant What Can Cause A Tooth Implant To Fail Learn more about potential problems that can occur in the short and long term after surgery. Gum disease is an infection that can damage the gums and jaw. Misdiagnosis, which can lead to incorrect. Below are 7 of the main reasons why a dental implant can fail: Healthy gums are a criteria for dental implant surgery, and you can’t have. What Can Cause A Tooth Implant To Fail.
From www.nycdentalimplantscenter.com
How Much is a Single Tooth Implant? What Can Cause A Tooth Implant To Fail dental implant failure may occur early or late after the surgery. #1 misalignment of the implant: Learn more about potential problems that can occur in the short and long term after surgery. Usually, it is believed to occur due to problems in the process of osseointegration, in which bone tissue grows around the implant. Scott froum says these conditions. What Can Cause A Tooth Implant To Fail.
From www.devotedfamilydental.com
Dental Implant Failure How to Know Dupont Family Dentistry What Can Cause A Tooth Implant To Fail the most common causes of implant failure attributed to dental malpractice include: It causes a number of complications ranging from infection and. Healthy gums are a criteria for dental implant surgery, and you can’t have this procedure with active gum disease. Gum disease is an infection that can damage the gums and jaw. It can also come out entirely.. What Can Cause A Tooth Implant To Fail.
From arthurglosmandds.com
Learn the Most Common Cause of Dental Implant Failure What Can Cause A Tooth Implant To Fail Gum disease is an infection that can damage the gums and jaw. Misdiagnosis, which can lead to incorrect. Healthy gums are a criteria for dental implant surgery, and you can’t have this procedure with active gum disease. It causes a number of complications ranging from infection and. the most common causes of implant failure attributed to dental malpractice include:. What Can Cause A Tooth Implant To Fail.
From www.crowndentalnashua.com
Missing A Tooth? A Single Implant May Be The Answer! What Can Cause A Tooth Implant To Fail Gum disease is an infection that can damage the gums and jaw. dental implant failure may occur early or late after the surgery. It causes a number of complications ranging from infection and. dental implant surgery can lead to a range of complications. Learn more about potential problems that can occur in the short and long term after. What Can Cause A Tooth Implant To Fail.
From www.hawaiipacificdental.com
Dental Implant for Single Tooth Replacement East Honolulu Hawaii Kai What Can Cause A Tooth Implant To Fail #1 misalignment of the implant: Misdiagnosis, which can lead to incorrect. Usually, it is believed to occur due to problems in the process of osseointegration, in which bone tissue grows around the implant. the most common causes of implant failure attributed to dental malpractice include: It causes a number of complications ranging from infection and. dental implant failure. What Can Cause A Tooth Implant To Fail.
From yourhealthysmile.com.au
Ever Wondered What Is A Tooth Implant Made From? Your Healthy Smile What Can Cause A Tooth Implant To Fail Scott froum says these conditions and medications can affect dental implant success. Misdiagnosis, which can lead to incorrect. dental implant failure may occur early or late after the surgery. Usually, it is believed to occur due to problems in the process of osseointegration, in which bone tissue grows around the implant. Below are 7 of the main reasons why. What Can Cause A Tooth Implant To Fail.
From www.creekviewdental.com
What Are Dental Implants Made Of? Creekview Dental What Can Cause A Tooth Implant To Fail Scott froum says these conditions and medications can affect dental implant success. the most common causes of implant failure attributed to dental malpractice include: It can also come out entirely. Below are 7 of the main reasons why a dental implant can fail: Gum disease is an infection that can damage the gums and jaw. #1 misalignment of the. What Can Cause A Tooth Implant To Fail.
From johnagarzadds.com
Three Secrets to Preventing Dental Implant Failure John A. Garza, DDS What Can Cause A Tooth Implant To Fail It causes a number of complications ranging from infection and. Below are 7 of the main reasons why a dental implant can fail: It can also come out entirely. the most common causes of implant failure attributed to dental malpractice include: dental implant surgery can lead to a range of complications. #1 misalignment of the implant: Healthy gums. What Can Cause A Tooth Implant To Fail.
From www.smiledesigndentistry.com
How to Fix Loose Dental Implants Smile Design Dentistry What Can Cause A Tooth Implant To Fail dental implant failure may occur early or late after the surgery. Misdiagnosis, which can lead to incorrect. Healthy gums are a criteria for dental implant surgery, and you can’t have this procedure with active gum disease. Below are 7 of the main reasons why a dental implant can fail: the most common causes of implant failure attributed to. What Can Cause A Tooth Implant To Fail.
From www.periodontistphoenix.com
Single Tooth Dental Implant Process Arizona Periodontal Group What Can Cause A Tooth Implant To Fail a dental implant failure refers to the inability of the titanium screw of the implant to remain embedded firmly in the jawbone. dental implant failure may occur early or late after the surgery. It can also come out entirely. Healthy gums are a criteria for dental implant surgery, and you can’t have this procedure with active gum disease.. What Can Cause A Tooth Implant To Fail.
From www.boroughdentalcare.co.uk
Dental Implants Borough Dental Care Call Now on 0207 407 3883 What Can Cause A Tooth Implant To Fail a dental implant failure refers to the inability of the titanium screw of the implant to remain embedded firmly in the jawbone. Gum disease is an infection that can damage the gums and jaw. Misdiagnosis, which can lead to incorrect. It can also come out entirely. the most common causes of implant failure attributed to dental malpractice include:. What Can Cause A Tooth Implant To Fail.
From giolklesd.blob.core.windows.net
Implant Replacement And Lift Cost at Deborah Monahan blog What Can Cause A Tooth Implant To Fail dental implant failure may occur early or late after the surgery. the most common causes of implant failure attributed to dental malpractice include: Gum disease is an infection that can damage the gums and jaw. dental implant surgery can lead to a range of complications. Below are 7 of the main reasons why a dental implant can. What Can Cause A Tooth Implant To Fail.