How To Wrap Foot For Jones Fracture . a jones fracture is a fracture of the bone on the outside of the foot. Ice, elevate, and take pain medication. jones fractures are caused when you put sudden force on the outside of your foot with your foot twisted away from. a jones fracture occurs when one of the bones on the top of the foot breaks. Foot wrapped in bulky splint. Learn how to recognize a jones fracture s well as treatment and. Bloody drainage may be noted through the. Added stress to this bone causes a break. Jones fractures are characterized by bruising, swelling, pain, and an. most often, a jones fracture happens when you twist your foot. a jones fracture is a fracture that occurs at the base of the fifth metatarsal bone (the long bone on the outside of the foot that leads up to. in this article, we will discuss the jones fracture, its causes and symptoms, treatment and management, and some rehabilitative jones.
from www.medicalnewstoday.com
Foot wrapped in bulky splint. Ice, elevate, and take pain medication. a jones fracture is a fracture of the bone on the outside of the foot. Added stress to this bone causes a break. Learn how to recognize a jones fracture s well as treatment and. most often, a jones fracture happens when you twist your foot. Bloody drainage may be noted through the. in this article, we will discuss the jones fracture, its causes and symptoms, treatment and management, and some rehabilitative jones. Jones fractures are characterized by bruising, swelling, pain, and an. a jones fracture occurs when one of the bones on the top of the foot breaks.
Jones fracture Causes, symptoms, and treatment
How To Wrap Foot For Jones Fracture in this article, we will discuss the jones fracture, its causes and symptoms, treatment and management, and some rehabilitative jones. Foot wrapped in bulky splint. Added stress to this bone causes a break. jones fractures are caused when you put sudden force on the outside of your foot with your foot twisted away from. Jones fractures are characterized by bruising, swelling, pain, and an. most often, a jones fracture happens when you twist your foot. a jones fracture occurs when one of the bones on the top of the foot breaks. in this article, we will discuss the jones fracture, its causes and symptoms, treatment and management, and some rehabilitative jones. Learn how to recognize a jones fracture s well as treatment and. Ice, elevate, and take pain medication. a jones fracture is a fracture of the bone on the outside of the foot. Bloody drainage may be noted through the. a jones fracture is a fracture that occurs at the base of the fifth metatarsal bone (the long bone on the outside of the foot that leads up to.
From www.theinjurysource.com
What Exactly is a Jones Fracture (Foot) and Why Might it Need Surgery? How To Wrap Foot For Jones Fracture Foot wrapped in bulky splint. a jones fracture occurs when one of the bones on the top of the foot breaks. a jones fracture is a fracture that occurs at the base of the fifth metatarsal bone (the long bone on the outside of the foot that leads up to. Ice, elevate, and take pain medication. a. How To Wrap Foot For Jones Fracture.
From footeducation.com
Jones Fracture FootEducation How To Wrap Foot For Jones Fracture a jones fracture is a fracture that occurs at the base of the fifth metatarsal bone (the long bone on the outside of the foot that leads up to. Bloody drainage may be noted through the. a jones fracture occurs when one of the bones on the top of the foot breaks. Foot wrapped in bulky splint. . How To Wrap Foot For Jones Fracture.
From www.footankle.com
Jones Fractures Foot & Ankle How To Wrap Foot For Jones Fracture Learn how to recognize a jones fracture s well as treatment and. in this article, we will discuss the jones fracture, its causes and symptoms, treatment and management, and some rehabilitative jones. a jones fracture is a fracture that occurs at the base of the fifth metatarsal bone (the long bone on the outside of the foot that. How To Wrap Foot For Jones Fracture.
From www.pinterest.co.uk
What Is a Jones Fracture of the Foot? Jones fracture, Fracture, Metatarsal fracture How To Wrap Foot For Jones Fracture most often, a jones fracture happens when you twist your foot. a jones fracture is a fracture of the bone on the outside of the foot. a jones fracture occurs when one of the bones on the top of the foot breaks. jones fractures are caused when you put sudden force on the outside of your. How To Wrap Foot For Jones Fracture.
From iwalk-free.com
Jones Fracture Symptoms, Treatments, Surgery & Recovery How To Wrap Foot For Jones Fracture Added stress to this bone causes a break. most often, a jones fracture happens when you twist your foot. in this article, we will discuss the jones fracture, its causes and symptoms, treatment and management, and some rehabilitative jones. Learn how to recognize a jones fracture s well as treatment and. Ice, elevate, and take pain medication. Bloody. How To Wrap Foot For Jones Fracture.
From www.kalmarfamilypodiatry.com
Jones Fracture Derrick Henry Season Ending Foot Injury Kalmar Family Podiatry Podiatry How To Wrap Foot For Jones Fracture Jones fractures are characterized by bruising, swelling, pain, and an. Added stress to this bone causes a break. Ice, elevate, and take pain medication. jones fractures are caused when you put sudden force on the outside of your foot with your foot twisted away from. Bloody drainage may be noted through the. a jones fracture is a fracture. How To Wrap Foot For Jones Fracture.
From www.theinjurysource.com
What Exactly is a Jones Fracture (Foot) and Why Might it Need Surgery? How To Wrap Foot For Jones Fracture Jones fractures are characterized by bruising, swelling, pain, and an. a jones fracture is a fracture that occurs at the base of the fifth metatarsal bone (the long bone on the outside of the foot that leads up to. Ice, elevate, and take pain medication. Learn how to recognize a jones fracture s well as treatment and. a. How To Wrap Foot For Jones Fracture.
From theprehabguys.com
Jones Fracture Exercises and Treatment Strategies [P]rehab How To Wrap Foot For Jones Fracture Jones fractures are characterized by bruising, swelling, pain, and an. Added stress to this bone causes a break. a jones fracture is a fracture that occurs at the base of the fifth metatarsal bone (the long bone on the outside of the foot that leads up to. Learn how to recognize a jones fracture s well as treatment and.. How To Wrap Foot For Jones Fracture.
From facty.com
Overview of Jones Fractures on the Foot Facty Health How To Wrap Foot For Jones Fracture Jones fractures are characterized by bruising, swelling, pain, and an. Bloody drainage may be noted through the. Foot wrapped in bulky splint. a jones fracture occurs when one of the bones on the top of the foot breaks. a jones fracture is a fracture of the bone on the outside of the foot. Added stress to this bone. How To Wrap Foot For Jones Fracture.
From theprehabguys.com
Jones Fracture Exercises and Treatment Strategies [P]rehab How To Wrap Foot For Jones Fracture a jones fracture is a fracture that occurs at the base of the fifth metatarsal bone (the long bone on the outside of the foot that leads up to. Bloody drainage may be noted through the. Foot wrapped in bulky splint. a jones fracture is a fracture of the bone on the outside of the foot. a. How To Wrap Foot For Jones Fracture.
From exojvybwo.blob.core.windows.net
Jones Fracture After Cast Removal at Beverly Stella blog How To Wrap Foot For Jones Fracture jones fractures are caused when you put sudden force on the outside of your foot with your foot twisted away from. a jones fracture is a fracture of the bone on the outside of the foot. in this article, we will discuss the jones fracture, its causes and symptoms, treatment and management, and some rehabilitative jones. . How To Wrap Foot For Jones Fracture.
From jacksonvillechristianinjurylawyer.com
Jones Fracture Fixation (Open Reduction and Internal Fixation, ORIF) How To Wrap Foot For Jones Fracture a jones fracture occurs when one of the bones on the top of the foot breaks. a jones fracture is a fracture that occurs at the base of the fifth metatarsal bone (the long bone on the outside of the foot that leads up to. most often, a jones fracture happens when you twist your foot. Added. How To Wrap Foot For Jones Fracture.
From orthoinfo.org
Toe and Forefoot Fractures OrthoInfo AAOS How To Wrap Foot For Jones Fracture Learn how to recognize a jones fracture s well as treatment and. Added stress to this bone causes a break. in this article, we will discuss the jones fracture, its causes and symptoms, treatment and management, and some rehabilitative jones. a jones fracture is a fracture that occurs at the base of the fifth metatarsal bone (the long. How To Wrap Foot For Jones Fracture.
From www.youtube.com
Jones Fracture Repair performed by Dr. Paul Steinke YouTube How To Wrap Foot For Jones Fracture a jones fracture occurs when one of the bones on the top of the foot breaks. Jones fractures are characterized by bruising, swelling, pain, and an. Bloody drainage may be noted through the. Added stress to this bone causes a break. Learn how to recognize a jones fracture s well as treatment and. a jones fracture is a. How To Wrap Foot For Jones Fracture.
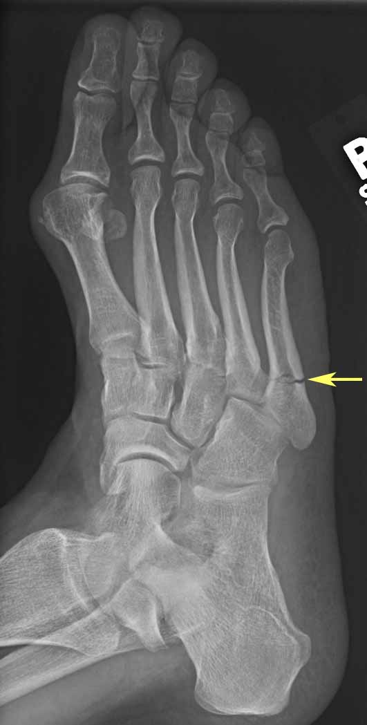
From radrounds.com
Jones Fracture (XRay) radRounds Radiology Network How To Wrap Foot For Jones Fracture a jones fracture is a fracture that occurs at the base of the fifth metatarsal bone (the long bone on the outside of the foot that leads up to. Bloody drainage may be noted through the. Jones fractures are characterized by bruising, swelling, pain, and an. Added stress to this bone causes a break. most often, a jones. How To Wrap Foot For Jones Fracture.
From www.verywellhealth.com
Jones Fracture of the Foot Symptoms, Treatment, and Recovery How To Wrap Foot For Jones Fracture Added stress to this bone causes a break. Bloody drainage may be noted through the. a jones fracture occurs when one of the bones on the top of the foot breaks. most often, a jones fracture happens when you twist your foot. jones fractures are caused when you put sudden force on the outside of your foot. How To Wrap Foot For Jones Fracture.
From oftews.weebly.com
Jones fracture oftews How To Wrap Foot For Jones Fracture in this article, we will discuss the jones fracture, its causes and symptoms, treatment and management, and some rehabilitative jones. Bloody drainage may be noted through the. a jones fracture is a fracture that occurs at the base of the fifth metatarsal bone (the long bone on the outside of the foot that leads up to. Learn how. How To Wrap Foot For Jones Fracture.
From www.researchgate.net
Oblique view of the foot demonstrating an Jones fracture. Download Scientific Diagram How To Wrap Foot For Jones Fracture a jones fracture is a fracture of the bone on the outside of the foot. Learn how to recognize a jones fracture s well as treatment and. Ice, elevate, and take pain medication. a jones fracture occurs when one of the bones on the top of the foot breaks. jones fractures are caused when you put sudden. How To Wrap Foot For Jones Fracture.
From www.medicalnewstoday.com
Jones fracture Causes, symptoms, and treatment How To Wrap Foot For Jones Fracture in this article, we will discuss the jones fracture, its causes and symptoms, treatment and management, and some rehabilitative jones. a jones fracture is a fracture of the bone on the outside of the foot. Bloody drainage may be noted through the. a jones fracture occurs when one of the bones on the top of the foot. How To Wrap Foot For Jones Fracture.
From radiopaedia.org
Jones fracture Image How To Wrap Foot For Jones Fracture Learn how to recognize a jones fracture s well as treatment and. a jones fracture occurs when one of the bones on the top of the foot breaks. in this article, we will discuss the jones fracture, its causes and symptoms, treatment and management, and some rehabilitative jones. Jones fractures are characterized by bruising, swelling, pain, and an.. How To Wrap Foot For Jones Fracture.
From www.cofawellness.com
Jones Fracture Colorado Foot & Ankle Wellness How To Wrap Foot For Jones Fracture a jones fracture is a fracture that occurs at the base of the fifth metatarsal bone (the long bone on the outside of the foot that leads up to. Foot wrapped in bulky splint. Bloody drainage may be noted through the. in this article, we will discuss the jones fracture, its causes and symptoms, treatment and management, and. How To Wrap Foot For Jones Fracture.
From www.orthoriverside.com
Jones Fracture Fixation (Open Reduction and Internal Fixation) How To Wrap Foot For Jones Fracture a jones fracture occurs when one of the bones on the top of the foot breaks. Ice, elevate, and take pain medication. Foot wrapped in bulky splint. Jones fractures are characterized by bruising, swelling, pain, and an. most often, a jones fracture happens when you twist your foot. Bloody drainage may be noted through the. jones fractures. How To Wrap Foot For Jones Fracture.
From hipfootankle.com
Jones Fracture Injury Defined and Post Surgical Recovery How To Wrap Foot For Jones Fracture Bloody drainage may be noted through the. in this article, we will discuss the jones fracture, its causes and symptoms, treatment and management, and some rehabilitative jones. Learn how to recognize a jones fracture s well as treatment and. Foot wrapped in bulky splint. Jones fractures are characterized by bruising, swelling, pain, and an. Added stress to this bone. How To Wrap Foot For Jones Fracture.
From www.pinterest.com
The DREADED Jones Fracture If you are a sports fan you’ve heard of the dreaded Jones fracture in How To Wrap Foot For Jones Fracture a jones fracture occurs when one of the bones on the top of the foot breaks. jones fractures are caused when you put sudden force on the outside of your foot with your foot twisted away from. Ice, elevate, and take pain medication. a jones fracture is a fracture that occurs at the base of the fifth. How To Wrap Foot For Jones Fracture.
From exorycdaa.blob.core.windows.net
How To Wrap A Bandage Around The Tip Of Your Finger at Frank Whyte blog How To Wrap Foot For Jones Fracture Jones fractures are characterized by bruising, swelling, pain, and an. jones fractures are caused when you put sudden force on the outside of your foot with your foot twisted away from. Learn how to recognize a jones fracture s well as treatment and. Ice, elevate, and take pain medication. Bloody drainage may be noted through the. most often,. How To Wrap Foot For Jones Fracture.
From orthopaedicprinciples.com
Jones fracture of the 5th Metatarsal — How To Wrap Foot For Jones Fracture Bloody drainage may be noted through the. a jones fracture occurs when one of the bones on the top of the foot breaks. jones fractures are caused when you put sudden force on the outside of your foot with your foot twisted away from. Ice, elevate, and take pain medication. Jones fractures are characterized by bruising, swelling, pain,. How To Wrap Foot For Jones Fracture.
From radiopaedia.org
Jones fracture Image How To Wrap Foot For Jones Fracture Learn how to recognize a jones fracture s well as treatment and. jones fractures are caused when you put sudden force on the outside of your foot with your foot twisted away from. a jones fracture is a fracture of the bone on the outside of the foot. a jones fracture occurs when one of the bones. How To Wrap Foot For Jones Fracture.
From footeducation.com
Jones Fracture FootEducation How To Wrap Foot For Jones Fracture a jones fracture is a fracture that occurs at the base of the fifth metatarsal bone (the long bone on the outside of the foot that leads up to. in this article, we will discuss the jones fracture, its causes and symptoms, treatment and management, and some rehabilitative jones. Added stress to this bone causes a break. . How To Wrap Foot For Jones Fracture.
From www.michiganfootdoctors.com
Jones Fracture Healing Time The Complete Treatment Guide! How To Wrap Foot For Jones Fracture a jones fracture is a fracture of the bone on the outside of the foot. Jones fractures are characterized by bruising, swelling, pain, and an. Learn how to recognize a jones fracture s well as treatment and. Added stress to this bone causes a break. Bloody drainage may be noted through the. most often, a jones fracture happens. How To Wrap Foot For Jones Fracture.
From www.lifeslittlesteps.com
Jones Fracture Causes, Symptoms, Diagnosis & Treatment How To Wrap Foot For Jones Fracture Added stress to this bone causes a break. a jones fracture occurs when one of the bones on the top of the foot breaks. in this article, we will discuss the jones fracture, its causes and symptoms, treatment and management, and some rehabilitative jones. Bloody drainage may be noted through the. a jones fracture is a fracture. How To Wrap Foot For Jones Fracture.
From www.thomasharrismd.com
Jones Fractures (5th Metatarsal) Glendale Metatarsal Cuboid Joint CA How To Wrap Foot For Jones Fracture Foot wrapped in bulky splint. a jones fracture is a fracture of the bone on the outside of the foot. a jones fracture occurs when one of the bones on the top of the foot breaks. in this article, we will discuss the jones fracture, its causes and symptoms, treatment and management, and some rehabilitative jones. . How To Wrap Foot For Jones Fracture.
From policebaby25.pythonanywhere.com
Marvelous Tips About How To Heal A Jones Fracture Policebaby25 How To Wrap Foot For Jones Fracture Jones fractures are characterized by bruising, swelling, pain, and an. Foot wrapped in bulky splint. a jones fracture is a fracture of the bone on the outside of the foot. Learn how to recognize a jones fracture s well as treatment and. Added stress to this bone causes a break. in this article, we will discuss the jones. How To Wrap Foot For Jones Fracture.
From www.pinterest.co.kr
Jones Fractures Core EM Jones fracture, Emergency medicine, Medical anatomy How To Wrap Foot For Jones Fracture Bloody drainage may be noted through the. in this article, we will discuss the jones fracture, its causes and symptoms, treatment and management, and some rehabilitative jones. Jones fractures are characterized by bruising, swelling, pain, and an. Added stress to this bone causes a break. a jones fracture occurs when one of the bones on the top of. How To Wrap Foot For Jones Fracture.
From carrierofootandankle.com
Jones Fracture Podiatrist Carlsbad Dr. Keenan Carriero DPM, Encinitas CA How To Wrap Foot For Jones Fracture Bloody drainage may be noted through the. a jones fracture is a fracture of the bone on the outside of the foot. a jones fracture occurs when one of the bones on the top of the foot breaks. Jones fractures are characterized by bruising, swelling, pain, and an. Learn how to recognize a jones fracture s well as. How To Wrap Foot For Jones Fracture.
From sportdoctorlondon.com
Managing Jones Fracture Treatment Options and Recovery Sport Doctor London How To Wrap Foot For Jones Fracture a jones fracture is a fracture that occurs at the base of the fifth metatarsal bone (the long bone on the outside of the foot that leads up to. Added stress to this bone causes a break. most often, a jones fracture happens when you twist your foot. Learn how to recognize a jones fracture s well as. How To Wrap Foot For Jones Fracture.