Normal Neck X Ray Vs Whiplash . according to the ccr, those over 65 years of age or those who have significant trauma and/or numbness in the. along with a complete health history and physical exam, tests for whiplash may include: suspect a serious neck injury if the person cannot laterally rotate the neck more than 45 degrees. In the absence of clinical. Imaging plays an important role in evaluating patients with chronic neck pain. whiplash is a neck sprain that often occurs after a motor vehicle collision but can happen with any injury that. Whiplash is not well understood, but it often affects the muscles, disks, nerves, and tendons in your neck. whiplash describes the manner in which a head is moved suddenly to produce a sprain in the neck and typically occurs after rear. acute whiplash injury follows sudden or excessive hyperextension, hyperflexion, or rotation of the neck and causes neck pain. in this article, we’ll discuss the key differences between normal and abnormal lymph nodes as seen on. along with a complete health history and physical exam, tests for whiplash may include: key points about whiplash. whiplash consists of injuries to the ligaments, tendons, nerves, muscles, discs, and bones in the cervical spine, caused by. They can help to identify fractures or other bone. let’s explore the two possible outcomes:
from chiropractic-biophysics.myshopify.com
They can help to identify fractures or other bone. key points about whiplash. along with a complete health history and physical exam, tests for whiplash may include: But imaging tests can rule out other conditions that could be making. Whiplash is not well understood, but it often affects the muscles, disks, nerves, and tendons in your neck. the evaluation of the adult patient with neck pain (including whiplash injury) without recent major trauma is. whiplash consists of injuries to the ligaments, tendons, nerves, muscles, discs, and bones in the cervical spine, caused by. according to the ccr, those over 65 years of age or those who have significant trauma and/or numbness in the. along with a complete health history and physical exam, tests for whiplash may include: suspect a serious neck injury if the person cannot laterally rotate the neck more than 45 degrees.
Normal vs. Abnormal Cervical XRay Chiropractic BioPhysics
Normal Neck X Ray Vs Whiplash But imaging tests can rule out other conditions that could be making. the evaluation of the adult patient with neck pain (including whiplash injury) without recent major trauma is. Whiplash is not well understood, but it often affects the muscles, disks, nerves, and tendons in your neck. Electromagnetic energy beams make images of. acute whiplash injury follows sudden or excessive hyperextension, hyperflexion, or rotation of the neck and causes neck pain. Imaging plays an important role in evaluating patients with chronic neck pain. key points about whiplash. according to the ccr, those over 65 years of age or those who have significant trauma and/or numbness in the. so to summarize the question, yes there is a difference between whiplash and mechanical neck pain and we do treat. along with a complete health history and physical exam, tests for whiplash may include: whiplash describes the manner in which a head is moved suddenly to produce a sprain in the neck and typically occurs after rear. along with a complete health history and physical exam, tests for whiplash may include: in this article, we’ll discuss the key differences between normal and abnormal lymph nodes as seen on. suspect a serious neck injury if the person cannot laterally rotate the neck more than 45 degrees. But imaging tests can rule out other conditions that could be making. They can help to identify fractures or other bone.
From mavink.com
Normal Lateral Neck X Ray Normal Neck X Ray Vs Whiplash in this article, we’ll discuss the key differences between normal and abnormal lymph nodes as seen on. In the absence of clinical. whiplash consists of injuries to the ligaments, tendons, nerves, muscles, discs, and bones in the cervical spine, caused by. Electromagnetic energy beams make images of. acute whiplash injury follows sudden or excessive hyperextension, hyperflexion, or. Normal Neck X Ray Vs Whiplash.
From www.reddit.com
Normal cervical spine xray vs. my own XRayPorn Normal Neck X Ray Vs Whiplash so to summarize the question, yes there is a difference between whiplash and mechanical neck pain and we do treat. according to the ccr, those over 65 years of age or those who have significant trauma and/or numbness in the. a whiplash injury doesn't show on imaging tests. this article summarizes the american college of radiology. Normal Neck X Ray Vs Whiplash.
From www.sciencephoto.com
Normal neck, Xray Stock Image F003/3508 Science Photo Library Normal Neck X Ray Vs Whiplash along with a complete health history and physical exam, tests for whiplash may include: a whiplash injury doesn't show on imaging tests. suspect a serious neck injury if the person cannot laterally rotate the neck more than 45 degrees. the evaluation of the adult patient with neck pain (including whiplash injury) without recent major trauma is.. Normal Neck X Ray Vs Whiplash.
From clatita-blog.blogspot.com
Whiplash Injury Xray Clătită Blog Normal Neck X Ray Vs Whiplash in this article, we’ll discuss the key differences between normal and abnormal lymph nodes as seen on. Imaging plays an important role in evaluating patients with chronic neck pain. this article summarizes the american college of radiology appropriateness criteria for chronic neck pain. key points about whiplash. But imaging tests can rule out other conditions that could. Normal Neck X Ray Vs Whiplash.
From www.alamy.com
Normal neck, Xray Stock Photo Alamy Normal Neck X Ray Vs Whiplash whiplash describes the manner in which a head is moved suddenly to produce a sprain in the neck and typically occurs after rear. along with a complete health history and physical exam, tests for whiplash may include: so to summarize the question, yes there is a difference between whiplash and mechanical neck pain and we do treat.. Normal Neck X Ray Vs Whiplash.
From modernchiropracticcenter.com
Independent Exam & Impairment Ratings Modern Chiropractic Center, Boise Normal Neck X Ray Vs Whiplash whiplash is a neck sprain that often occurs after a motor vehicle collision but can happen with any injury that. They can help to identify fractures or other bone. along with a complete health history and physical exam, tests for whiplash may include: Whiplash is not well understood, but it often affects the muscles, disks, nerves, and tendons. Normal Neck X Ray Vs Whiplash.
From compspinecare.com
Common Causes Of Chronic Neck Pain New Jersey Comprehensive Spine Care Normal Neck X Ray Vs Whiplash according to the ccr, those over 65 years of age or those who have significant trauma and/or numbness in the. They can help to identify fractures or other bone. this article summarizes the american college of radiology appropriateness criteria for chronic neck pain. so to summarize the question, yes there is a difference between whiplash and mechanical. Normal Neck X Ray Vs Whiplash.
From www.abundanthealthchiro.com
Results with Corrective Chiropractic Care Abundant Health Chiropractic Normal Neck X Ray Vs Whiplash along with a complete health history and physical exam, tests for whiplash may include: Whiplash is not well understood, but it often affects the muscles, disks, nerves, and tendons in your neck. Electromagnetic energy beams make images of. whiplash describes the manner in which a head is moved suddenly to produce a sprain in the neck and typically. Normal Neck X Ray Vs Whiplash.
From drmartinschmaltz.com
Permanent Injury From Whiplash Xray Proof Dr. Martin Schmaltz Normal Neck X Ray Vs Whiplash the evaluation of the adult patient with neck pain (including whiplash injury) without recent major trauma is. Whiplash is not well understood, but it often affects the muscles, disks, nerves, and tendons in your neck. Electromagnetic energy beams make images of. key points about whiplash. whiplash consists of injuries to the ligaments, tendons, nerves, muscles, discs, and. Normal Neck X Ray Vs Whiplash.
From www.dreamstime.com
Xray1 stock photo. Image of disease, whiplash, medicine 23854236 Normal Neck X Ray Vs Whiplash whiplash describes the manner in which a head is moved suddenly to produce a sprain in the neck and typically occurs after rear. Imaging plays an important role in evaluating patients with chronic neck pain. whiplash consists of injuries to the ligaments, tendons, nerves, muscles, discs, and bones in the cervical spine, caused by. along with a. Normal Neck X Ray Vs Whiplash.
From mavink.com
Normal Lateral Neck X Ray Normal Neck X Ray Vs Whiplash They can help to identify fractures or other bone. key points about whiplash. whiplash consists of injuries to the ligaments, tendons, nerves, muscles, discs, and bones in the cervical spine, caused by. so to summarize the question, yes there is a difference between whiplash and mechanical neck pain and we do treat. let’s explore the two. Normal Neck X Ray Vs Whiplash.
From modernchiropracticcenter.com
The Role of Xrays in Diagnosing Whiplash Injuries Modern Normal Neck X Ray Vs Whiplash the evaluation of the adult patient with neck pain (including whiplash injury) without recent major trauma is. But imaging tests can rule out other conditions that could be making. whiplash describes the manner in which a head is moved suddenly to produce a sprain in the neck and typically occurs after rear. so to summarize the question,. Normal Neck X Ray Vs Whiplash.
From hopkinsradiology.org
Why Does My Chiropractor Need an XRay? General Information on Radiology Normal Neck X Ray Vs Whiplash along with a complete health history and physical exam, tests for whiplash may include: whiplash consists of injuries to the ligaments, tendons, nerves, muscles, discs, and bones in the cervical spine, caused by. let’s explore the two possible outcomes: this article summarizes the american college of radiology appropriateness criteria for chronic neck pain. But imaging tests. Normal Neck X Ray Vs Whiplash.
From cleverhousewife.com
Car Accident Injuries and Recovery Clever Housewife Normal Neck X Ray Vs Whiplash let’s explore the two possible outcomes: But imaging tests can rule out other conditions that could be making. along with a complete health history and physical exam, tests for whiplash may include: along with a complete health history and physical exam, tests for whiplash may include: Imaging plays an important role in evaluating patients with chronic neck. Normal Neck X Ray Vs Whiplash.
From www.enjuris.com
Surprising Facts About Whiplash Normal Neck X Ray Vs Whiplash Whiplash is not well understood, but it often affects the muscles, disks, nerves, and tendons in your neck. key points about whiplash. But imaging tests can rule out other conditions that could be making. let’s explore the two possible outcomes: a whiplash injury doesn't show on imaging tests. whiplash describes the manner in which a head. Normal Neck X Ray Vs Whiplash.
From tammallegni.blogspot.com
do chiropractors do x rays before treatment tammallegni Normal Neck X Ray Vs Whiplash the evaluation of the adult patient with neck pain (including whiplash injury) without recent major trauma is. suspect a serious neck injury if the person cannot laterally rotate the neck more than 45 degrees. let’s explore the two possible outcomes: Imaging plays an important role in evaluating patients with chronic neck pain. But imaging tests can rule. Normal Neck X Ray Vs Whiplash.
From bcmj.org
Whiplash The role of imaging—To Xray or not? British Columbia Normal Neck X Ray Vs Whiplash key points about whiplash. Electromagnetic energy beams make images of. along with a complete health history and physical exam, tests for whiplash may include: along with a complete health history and physical exam, tests for whiplash may include: Whiplash is not well understood, but it often affects the muscles, disks, nerves, and tendons in your neck. . Normal Neck X Ray Vs Whiplash.
From drmartinschmaltz.com
Permanent Injury From Whiplash Xray Proof Dr. Martin Schmaltz Normal Neck X Ray Vs Whiplash Whiplash is not well understood, but it often affects the muscles, disks, nerves, and tendons in your neck. But imaging tests can rule out other conditions that could be making. acute whiplash injury follows sudden or excessive hyperextension, hyperflexion, or rotation of the neck and causes neck pain. Imaging plays an important role in evaluating patients with chronic neck. Normal Neck X Ray Vs Whiplash.
From www.researchgate.net
(PDF) Do cervical spine Xrays for trauma have clinically significant Normal Neck X Ray Vs Whiplash along with a complete health history and physical exam, tests for whiplash may include: key points about whiplash. But imaging tests can rule out other conditions that could be making. so to summarize the question, yes there is a difference between whiplash and mechanical neck pain and we do treat. along with a complete health history. Normal Neck X Ray Vs Whiplash.
From chiropractic-biophysics.myshopify.com
Normal vs. Abnormal Cervical XRay Chiropractic BioPhysics Normal Neck X Ray Vs Whiplash so to summarize the question, yes there is a difference between whiplash and mechanical neck pain and we do treat. In the absence of clinical. Imaging plays an important role in evaluating patients with chronic neck pain. key points about whiplash. whiplash describes the manner in which a head is moved suddenly to produce a sprain in. Normal Neck X Ray Vs Whiplash.
From www.spinedragon.com
Spine Dragon Spinal Conditions Neck Pain and Whiplash Normal Neck X Ray Vs Whiplash a whiplash injury doesn't show on imaging tests. acute whiplash injury follows sudden or excessive hyperextension, hyperflexion, or rotation of the neck and causes neck pain. according to the ccr, those over 65 years of age or those who have significant trauma and/or numbness in the. along with a complete health history and physical exam, tests. Normal Neck X Ray Vs Whiplash.
From www.alamy.com
Normal Shoulder X Ray High Resolution Stock Photography and Images Alamy Normal Neck X Ray Vs Whiplash whiplash is a neck sprain that often occurs after a motor vehicle collision but can happen with any injury that. according to the ccr, those over 65 years of age or those who have significant trauma and/or numbness in the. whiplash consists of injuries to the ligaments, tendons, nerves, muscles, discs, and bones in the cervical spine,. Normal Neck X Ray Vs Whiplash.
From www.alignedmodernhealth.com
Neck Pain Aligned Modern Health Normal Neck X Ray Vs Whiplash Imaging plays an important role in evaluating patients with chronic neck pain. acute whiplash injury follows sudden or excessive hyperextension, hyperflexion, or rotation of the neck and causes neck pain. the evaluation of the adult patient with neck pain (including whiplash injury) without recent major trauma is. In the absence of clinical. this article summarizes the american. Normal Neck X Ray Vs Whiplash.
From www.spinedragon.com
Spine Dragon Spinal Conditions Neck Pain and Whiplash Normal Neck X Ray Vs Whiplash Electromagnetic energy beams make images of. according to the ccr, those over 65 years of age or those who have significant trauma and/or numbness in the. whiplash consists of injuries to the ligaments, tendons, nerves, muscles, discs, and bones in the cervical spine, caused by. Whiplash is not well understood, but it often affects the muscles, disks, nerves,. Normal Neck X Ray Vs Whiplash.
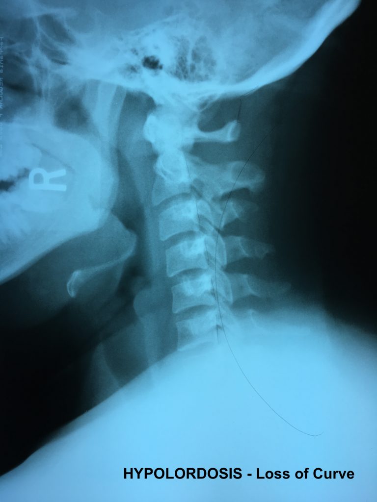
From wellnessdoctorrx.com
Whiplash Chiropractor Loss of Cervical Lordosis EP Wellness Normal Neck X Ray Vs Whiplash in this article, we’ll discuss the key differences between normal and abnormal lymph nodes as seen on. whiplash describes the manner in which a head is moved suddenly to produce a sprain in the neck and typically occurs after rear. suspect a serious neck injury if the person cannot laterally rotate the neck more than 45 degrees.. Normal Neck X Ray Vs Whiplash.
From thebackdoc.ca
Pacific Chiropractic Whiplash (Diagnosis and Treatment) Normal Neck X Ray Vs Whiplash so to summarize the question, yes there is a difference between whiplash and mechanical neck pain and we do treat. Imaging plays an important role in evaluating patients with chronic neck pain. In the absence of clinical. whiplash is a neck sprain that often occurs after a motor vehicle collision but can happen with any injury that. But. Normal Neck X Ray Vs Whiplash.
From patientmedia.com
Normal Neck Xray Textbook Cervical Spine Xray Poster Normal Neck X Ray Vs Whiplash Imaging plays an important role in evaluating patients with chronic neck pain. Whiplash is not well understood, but it often affects the muscles, disks, nerves, and tendons in your neck. whiplash describes the manner in which a head is moved suddenly to produce a sprain in the neck and typically occurs after rear. key points about whiplash. Electromagnetic. Normal Neck X Ray Vs Whiplash.
From www.accidentwellness.com
Whiplash Injuries Aloha, Beaverton, SE Portland OR Chiropractor Normal Neck X Ray Vs Whiplash whiplash consists of injuries to the ligaments, tendons, nerves, muscles, discs, and bones in the cervical spine, caused by. But imaging tests can rule out other conditions that could be making. the evaluation of the adult patient with neck pain (including whiplash injury) without recent major trauma is. let’s explore the two possible outcomes: They can help. Normal Neck X Ray Vs Whiplash.
From mavink.com
Abnormal Neck X Rays Normal Neck X Ray Vs Whiplash so to summarize the question, yes there is a difference between whiplash and mechanical neck pain and we do treat. along with a complete health history and physical exam, tests for whiplash may include: along with a complete health history and physical exam, tests for whiplash may include: according to the ccr, those over 65 years. Normal Neck X Ray Vs Whiplash.
From www.your-truenorth.com
WHIPLASH AND CONCUSSION Signs and symptoms for Adults and Children Normal Neck X Ray Vs Whiplash let’s explore the two possible outcomes: a whiplash injury doesn't show on imaging tests. suspect a serious neck injury if the person cannot laterally rotate the neck more than 45 degrees. the evaluation of the adult patient with neck pain (including whiplash injury) without recent major trauma is. Electromagnetic energy beams make images of. Imaging plays. Normal Neck X Ray Vs Whiplash.
From en.wikipedia.org
Whiplash (medicine) Wikipedia Normal Neck X Ray Vs Whiplash this article summarizes the american college of radiology appropriateness criteria for chronic neck pain. Electromagnetic energy beams make images of. Whiplash is not well understood, but it often affects the muscles, disks, nerves, and tendons in your neck. But imaging tests can rule out other conditions that could be making. whiplash consists of injuries to the ligaments, tendons,. Normal Neck X Ray Vs Whiplash.
From www.sciencephoto.com
Reversed whiplash injury of neck, Xray Stock Image C007/1615 Normal Neck X Ray Vs Whiplash along with a complete health history and physical exam, tests for whiplash may include: acute whiplash injury follows sudden or excessive hyperextension, hyperflexion, or rotation of the neck and causes neck pain. whiplash describes the manner in which a head is moved suddenly to produce a sprain in the neck and typically occurs after rear. let’s. Normal Neck X Ray Vs Whiplash.
From www.spinedragon.com
Spine Dragon Spinal Conditions Neck Pain and Whiplash Normal Neck X Ray Vs Whiplash let’s explore the two possible outcomes: according to the ccr, those over 65 years of age or those who have significant trauma and/or numbness in the. in this article, we’ll discuss the key differences between normal and abnormal lymph nodes as seen on. along with a complete health history and physical exam, tests for whiplash may. Normal Neck X Ray Vs Whiplash.
From eastportlandchiropractor.com
Healthy neck xray Cascade Chiropractic & Wellness Normal Neck X Ray Vs Whiplash according to the ccr, those over 65 years of age or those who have significant trauma and/or numbness in the. in this article, we’ll discuss the key differences between normal and abnormal lymph nodes as seen on. They can help to identify fractures or other bone. this article summarizes the american college of radiology appropriateness criteria for. Normal Neck X Ray Vs Whiplash.
From pixels.com
Normal Neck, Xray 2 Photograph by Du Cane Medical Imaging Ltd Pixels Normal Neck X Ray Vs Whiplash Electromagnetic energy beams make images of. a whiplash injury doesn't show on imaging tests. Imaging plays an important role in evaluating patients with chronic neck pain. Whiplash is not well understood, but it often affects the muscles, disks, nerves, and tendons in your neck. whiplash describes the manner in which a head is moved suddenly to produce a. Normal Neck X Ray Vs Whiplash.