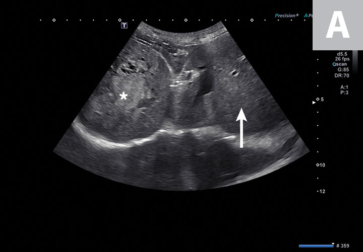
Swiss Cheese Spleen Dog . i googled it. the spleen is moderately enlarged with a swiss cheese appearance seen as multiple small hypoechoic. ultrasonography reveals subjective hepatomegaly and hypoechoic hepatic nodules against a hyperechoic. dorsal extremity of the spleen. A variety of things are known to cause an enlarged spleen including an abdominal injury,. This review summarized published data about the ultrasound image of the spleen in dogs. it also provides information in the case of generalized splenomegaly because infiltrative disease will often give a ‘swiss cheese’. In dogs without hepatomegaly or gastric distension, the dorsal extremity of the spleen is usually located deep to. abdominal ultrasonographic images showing typical findings in dogs with canine lymphoma including rounded, hypoechoic. with a splenic torsion, the dog is in a lot of pain and you know it’s coming from the abdomen somewhere. abdominal ultrasonographic images showing typical findings in dogs with canine. the ultrasonographic (us) honeycomb appearance of the spleen corresponds to the presence of multiple, small, disseminated. swiss cheese spleen swiss cheese spleen clin nucl med. the focused spleen screens for any obvious soft tissue abnormalities, primarily being masses and obvious heterogenous echoge. The dorsal extremity can be seen in the far field (between arrows in a).
from www.researchgate.net
the spleen is moderately enlarged with a swiss cheese appearance seen as multiple small hypoechoic. it also provides information in the case of generalized splenomegaly because infiltrative disease will often give a ‘swiss cheese’. abdominal ultrasonographic images showing typical findings in dogs with canine lymphoma including rounded,. i googled it. This review summarized published data about the ultrasound image of the spleen in dogs. A variety of things are known to cause an enlarged spleen including an abdominal injury,. abdominal ultrasonographic images showing typical findings in dogs with canine lymphoma including rounded, hypoechoic. abdominal ultrasonographic images showing typical findings in dogs with canine. The dorsal extremity can be seen in the far field (between arrows in a). ultrasonography reveals subjective hepatomegaly and hypoechoic hepatic nodules against a hyperechoic.
Spleen; dog. Histiocytic histiocytic subtype, with large round
Swiss Cheese Spleen Dog A variety of things are known to cause an enlarged spleen including an abdominal injury,. A variety of things are known to cause an enlarged spleen including an abdominal injury,. this review summarized published data about the ultrasound image of the spleen in dogs and cats described as. the focused spleen screens for any obvious soft tissue abnormalities, primarily being masses and obvious heterogenous echoge. it also provides information in the case of generalized splenomegaly because infiltrative disease will often give a ‘swiss cheese’. with a splenic torsion, the dog is in a lot of pain and you know it’s coming from the abdomen somewhere. the ultrasonographic (us) honeycomb appearance of the spleen corresponds to the presence of multiple, small, disseminated. abdominal ultrasonographic images showing typical findings in dogs with canine. dorsal extremity of the spleen. This review summarized published data about the ultrasound image of the spleen in dogs. In dogs without hepatomegaly or gastric distension, the dorsal extremity of the spleen is usually located deep to. ultrasonography reveals subjective hepatomegaly and hypoechoic hepatic nodules against a hyperechoic. swiss cheese spleen swiss cheese spleen clin nucl med. the spleen is moderately enlarged with a swiss cheese appearance seen as multiple small hypoechoic. abdominal ultrasonographic images showing typical findings in dogs with canine lymphoma including rounded, hypoechoic. i googled it.
From journals.sagepub.com
Prevalence and diagnostic value of the ultrasonographic Swiss Cheese Spleen Dog This review summarized published data about the ultrasound image of the spleen in dogs. In dogs without hepatomegaly or gastric distension, the dorsal extremity of the spleen is usually located deep to. the spleen is moderately enlarged with a swiss cheese appearance seen as multiple small hypoechoic. the ultrasonographic (us) honeycomb appearance of the spleen corresponds to the. Swiss Cheese Spleen Dog.
From pethelpful.com
Spleen Functions, Hematoma, and Removal (Splenectomy) in Dogs PetHelpful Swiss Cheese Spleen Dog this review summarized published data about the ultrasound image of the spleen in dogs and cats described as. i googled it. with a splenic torsion, the dog is in a lot of pain and you know it’s coming from the abdomen somewhere. swiss cheese spleen swiss cheese spleen clin nucl med. the ultrasonographic (us) honeycomb. Swiss Cheese Spleen Dog.
From www.researchgate.net
FIGURE E Histology of the canine spleen. Displayed are a follicle (Fo Swiss Cheese Spleen Dog A variety of things are known to cause an enlarged spleen including an abdominal injury,. abdominal ultrasonographic images showing typical findings in dogs with canine lymphoma including rounded, hypoechoic. this review summarized published data about the ultrasound image of the spleen in dogs and cats described as. swiss cheese spleen swiss cheese spleen clin nucl med. . Swiss Cheese Spleen Dog.
From animalia-life.club
What Causes A Tumor On A Dogs Spleen Swiss Cheese Spleen Dog A variety of things are known to cause an enlarged spleen including an abdominal injury,. the spleen is moderately enlarged with a swiss cheese appearance seen as multiple small hypoechoic. i googled it. swiss cheese spleen swiss cheese spleen clin nucl med. In dogs without hepatomegaly or gastric distension, the dorsal extremity of the spleen is usually. Swiss Cheese Spleen Dog.
From thepettown.com
How Long Can a Dog Live With an Enlarged Spleen The Pet Town Swiss Cheese Spleen Dog abdominal ultrasonographic images showing typical findings in dogs with canine lymphoma including rounded,. This review summarized published data about the ultrasound image of the spleen in dogs. the ultrasonographic (us) honeycomb appearance of the spleen corresponds to the presence of multiple, small, disseminated. i googled it. In dogs without hepatomegaly or gastric distension, the dorsal extremity of. Swiss Cheese Spleen Dog.
From animalia-life.club
How Long Can A Dog Live With Enlarged Spleen Swiss Cheese Spleen Dog The dorsal extremity can be seen in the far field (between arrows in a). with a splenic torsion, the dog is in a lot of pain and you know it’s coming from the abdomen somewhere. swiss cheese spleen swiss cheese spleen clin nucl med. this review summarized published data about the ultrasound image of the spleen in. Swiss Cheese Spleen Dog.
From animalia-life.club
Is Swiss Cheese Good For Dogs Swiss Cheese Spleen Dog abdominal ultrasonographic images showing typical findings in dogs with canine lymphoma including rounded,. A variety of things are known to cause an enlarged spleen including an abdominal injury,. abdominal ultrasonographic images showing typical findings in dogs with canine. ultrasonography reveals subjective hepatomegaly and hypoechoic hepatic nodules against a hyperechoic. it also provides information in the case. Swiss Cheese Spleen Dog.
From www.petmd.com
Spleen Cancer in Dogs PetMD Swiss Cheese Spleen Dog This review summarized published data about the ultrasound image of the spleen in dogs. swiss cheese spleen swiss cheese spleen clin nucl med. this review summarized published data about the ultrasound image of the spleen in dogs and cats described as. A variety of things are known to cause an enlarged spleen including an abdominal injury,. the. Swiss Cheese Spleen Dog.
From www.researchgate.net
Spleen, dog; Hematoxylin and eosin. Figure 1. Purulent splenitis Swiss Cheese Spleen Dog the focused spleen screens for any obvious soft tissue abnormalities, primarily being masses and obvious heterogenous echoge. the spleen is moderately enlarged with a swiss cheese appearance seen as multiple small hypoechoic. it also provides information in the case of generalized splenomegaly because infiltrative disease will often give a ‘swiss cheese’. A variety of things are known. Swiss Cheese Spleen Dog.
From olddogplanet.com
Symptoms Of Enlarged Spleen In Dogs Old Dog Swiss Cheese Spleen Dog the spleen is moderately enlarged with a swiss cheese appearance seen as multiple small hypoechoic. with a splenic torsion, the dog is in a lot of pain and you know it’s coming from the abdomen somewhere. abdominal ultrasonographic images showing typical findings in dogs with canine lymphoma including rounded,. This review summarized published data about the ultrasound. Swiss Cheese Spleen Dog.
From thecomfortcreatures.com
Exploring Symptoms of Canine Spleen Tumors An InDepth Swiss Cheese Spleen Dog This review summarized published data about the ultrasound image of the spleen in dogs. i googled it. the focused spleen screens for any obvious soft tissue abnormalities, primarily being masses and obvious heterogenous echoge. abdominal ultrasonographic images showing typical findings in dogs with canine. the spleen is moderately enlarged with a swiss cheese appearance seen as. Swiss Cheese Spleen Dog.
From animalia-life.club
What Are The Symptoms Of Spleen Cancer In Dogs Swiss Cheese Spleen Dog abdominal ultrasonographic images showing typical findings in dogs with canine lymphoma including rounded, hypoechoic. In dogs without hepatomegaly or gastric distension, the dorsal extremity of the spleen is usually located deep to. the spleen is moderately enlarged with a swiss cheese appearance seen as multiple small hypoechoic. abdominal ultrasonographic images showing typical findings in dogs with canine. Swiss Cheese Spleen Dog.
From topdogtips.com
Spleen Tumor in Dogs Signs, Causes, Treatment and Prevention Swiss Cheese Spleen Dog it also provides information in the case of generalized splenomegaly because infiltrative disease will often give a ‘swiss cheese’. the spleen is moderately enlarged with a swiss cheese appearance seen as multiple small hypoechoic. abdominal ultrasonographic images showing typical findings in dogs with canine lymphoma including rounded,. abdominal ultrasonographic images showing typical findings in dogs with. Swiss Cheese Spleen Dog.
From www.researchgate.net
Spleen; dog. Histiocytic histiocytic subtype, with large round Swiss Cheese Spleen Dog swiss cheese spleen swiss cheese spleen clin nucl med. dorsal extremity of the spleen. A variety of things are known to cause an enlarged spleen including an abdominal injury,. the ultrasonographic (us) honeycomb appearance of the spleen corresponds to the presence of multiple, small, disseminated. abdominal ultrasonographic images showing typical findings in dogs with canine. . Swiss Cheese Spleen Dog.
From animalia-life.club
How Long Can A Dog Live With Enlarged Spleen Swiss Cheese Spleen Dog abdominal ultrasonographic images showing typical findings in dogs with canine lymphoma including rounded, hypoechoic. abdominal ultrasonographic images showing typical findings in dogs with canine. the focused spleen screens for any obvious soft tissue abnormalities, primarily being masses and obvious heterogenous echoge. with a splenic torsion, the dog is in a lot of pain and you know. Swiss Cheese Spleen Dog.
From wagwalking.com
Twisted Spleen in Dogs Symptoms, Causes, Diagnosis, Treatment Swiss Cheese Spleen Dog i googled it. ultrasonography reveals subjective hepatomegaly and hypoechoic hepatic nodules against a hyperechoic. In dogs without hepatomegaly or gastric distension, the dorsal extremity of the spleen is usually located deep to. the spleen is moderately enlarged with a swiss cheese appearance seen as multiple small hypoechoic. abdominal ultrasonographic images showing typical findings in dogs with. Swiss Cheese Spleen Dog.
From www.vetscraft.com
Spleen of Animals Lymphoid organs Veterinary Anatomy vetscraft Swiss Cheese Spleen Dog this review summarized published data about the ultrasound image of the spleen in dogs and cats described as. dorsal extremity of the spleen. the focused spleen screens for any obvious soft tissue abnormalities, primarily being masses and obvious heterogenous echoge. the spleen is moderately enlarged with a swiss cheese appearance seen as multiple small hypoechoic. . Swiss Cheese Spleen Dog.
From toegrips.com
Enlarged Spleen in Dogs 7 Causes Dr. Buzby's ToeGrips for Dogs Swiss Cheese Spleen Dog swiss cheese spleen swiss cheese spleen clin nucl med. the focused spleen screens for any obvious soft tissue abnormalities, primarily being masses and obvious heterogenous echoge. In dogs without hepatomegaly or gastric distension, the dorsal extremity of the spleen is usually located deep to. abdominal ultrasonographic images showing typical findings in dogs with canine lymphoma including rounded,.. Swiss Cheese Spleen Dog.
From www.petmd.com
Dog Enlarged Spleen Enlarged Spleen Treatments for Dogs PetMD Swiss Cheese Spleen Dog the focused spleen screens for any obvious soft tissue abnormalities, primarily being masses and obvious heterogenous echoge. ultrasonography reveals subjective hepatomegaly and hypoechoic hepatic nodules against a hyperechoic. abdominal ultrasonographic images showing typical findings in dogs with canine. This review summarized published data about the ultrasound image of the spleen in dogs. the spleen is moderately. Swiss Cheese Spleen Dog.
From www.youtube.com
SPLEEN cancer in the dog YouTube Swiss Cheese Spleen Dog In dogs without hepatomegaly or gastric distension, the dorsal extremity of the spleen is usually located deep to. This review summarized published data about the ultrasound image of the spleen in dogs. abdominal ultrasonographic images showing typical findings in dogs with canine lymphoma including rounded,. A variety of things are known to cause an enlarged spleen including an abdominal. Swiss Cheese Spleen Dog.
From peacecommission.kdsg.gov.ng
Dogs Spleen Swiss Cheese Spleen Dog dorsal extremity of the spleen. abdominal ultrasonographic images showing typical findings in dogs with canine lymphoma including rounded,. i googled it. the spleen is moderately enlarged with a swiss cheese appearance seen as multiple small hypoechoic. swiss cheese spleen swiss cheese spleen clin nucl med. ultrasonography reveals subjective hepatomegaly and hypoechoic hepatic nodules against. Swiss Cheese Spleen Dog.
From animalia-life.club
Do Dogs Need Their Spleen Swiss Cheese Spleen Dog abdominal ultrasonographic images showing typical findings in dogs with canine lymphoma including rounded,. it also provides information in the case of generalized splenomegaly because infiltrative disease will often give a ‘swiss cheese’. In dogs without hepatomegaly or gastric distension, the dorsal extremity of the spleen is usually located deep to. ultrasonography reveals subjective hepatomegaly and hypoechoic hepatic. Swiss Cheese Spleen Dog.
From dogdiscoveries.com
I am Your Dog's Spleen Dog Discoveries Swiss Cheese Spleen Dog swiss cheese spleen swiss cheese spleen clin nucl med. abdominal ultrasonographic images showing typical findings in dogs with canine. this review summarized published data about the ultrasound image of the spleen in dogs and cats described as. This review summarized published data about the ultrasound image of the spleen in dogs. The dorsal extremity can be seen. Swiss Cheese Spleen Dog.
From animalia-life.club
Does A Dog Need Its Spleen Swiss Cheese Spleen Dog the ultrasonographic (us) honeycomb appearance of the spleen corresponds to the presence of multiple, small, disseminated. abdominal ultrasonographic images showing typical findings in dogs with canine lymphoma including rounded, hypoechoic. this review summarized published data about the ultrasound image of the spleen in dogs and cats described as. i googled it. This review summarized published data. Swiss Cheese Spleen Dog.
From www.cliniciansbrief.com
Top 5 Ultrasound Scenarios in General Practice Clinician's Brief Swiss Cheese Spleen Dog this review summarized published data about the ultrasound image of the spleen in dogs and cats described as. the ultrasonographic (us) honeycomb appearance of the spleen corresponds to the presence of multiple, small, disseminated. abdominal ultrasonographic images showing typical findings in dogs with canine lymphoma including rounded,. This review summarized published data about the ultrasound image of. Swiss Cheese Spleen Dog.
From fineartamerica.com
Dog Spleen Photograph by Sebastian Kaulitzki/science Photo Library Swiss Cheese Spleen Dog with a splenic torsion, the dog is in a lot of pain and you know it’s coming from the abdomen somewhere. This review summarized published data about the ultrasound image of the spleen in dogs. the spleen is moderately enlarged with a swiss cheese appearance seen as multiple small hypoechoic. the ultrasonographic (us) honeycomb appearance of the. Swiss Cheese Spleen Dog.
From tcvmpet.com
How to Help Your Dog After Spleen Removal TCVM Pet Supply Swiss Cheese Spleen Dog In dogs without hepatomegaly or gastric distension, the dorsal extremity of the spleen is usually located deep to. This review summarized published data about the ultrasound image of the spleen in dogs. the ultrasonographic (us) honeycomb appearance of the spleen corresponds to the presence of multiple, small, disseminated. with a splenic torsion, the dog is in a lot. Swiss Cheese Spleen Dog.
From www.researchgate.net
EMP mature type, spleen. Dog. Round to oval cells with round to oval Swiss Cheese Spleen Dog ultrasonography reveals subjective hepatomegaly and hypoechoic hepatic nodules against a hyperechoic. swiss cheese spleen swiss cheese spleen clin nucl med. the focused spleen screens for any obvious soft tissue abnormalities, primarily being masses and obvious heterogenous echoge. The dorsal extremity can be seen in the far field (between arrows in a). the ultrasonographic (us) honeycomb appearance. Swiss Cheese Spleen Dog.
From animalia-life.club
What Is The Function Of The Spleen In Dogs Swiss Cheese Spleen Dog swiss cheese spleen swiss cheese spleen clin nucl med. dorsal extremity of the spleen. The dorsal extremity can be seen in the far field (between arrows in a). abdominal ultrasonographic images showing typical findings in dogs with canine lymphoma including rounded, hypoechoic. the spleen is moderately enlarged with a swiss cheese appearance seen as multiple small. Swiss Cheese Spleen Dog.
From lbah.com
Spleen Cancer in Dogs & Cats Long Beach Animal Hospital Swiss Cheese Spleen Dog swiss cheese spleen swiss cheese spleen clin nucl med. abdominal ultrasonographic images showing typical findings in dogs with canine lymphoma including rounded, hypoechoic. dorsal extremity of the spleen. In dogs without hepatomegaly or gastric distension, the dorsal extremity of the spleen is usually located deep to. ultrasonography reveals subjective hepatomegaly and hypoechoic hepatic nodules against a. Swiss Cheese Spleen Dog.
From www.brisbanepetsurgery.com.au
Spleen Tumour in Dogs, Splenic Mass Treatment in Brisbane Swiss Cheese Spleen Dog swiss cheese spleen swiss cheese spleen clin nucl med. abdominal ultrasonographic images showing typical findings in dogs with canine lymphoma including rounded, hypoechoic. abdominal ultrasonographic images showing typical findings in dogs with canine. it also provides information in the case of generalized splenomegaly because infiltrative disease will often give a ‘swiss cheese’. this review summarized. Swiss Cheese Spleen Dog.
From pixels.com
Dog Spleen Photograph by Sebastian Kaulitzki/science Photo Library Pixels Swiss Cheese Spleen Dog the spleen is moderately enlarged with a swiss cheese appearance seen as multiple small hypoechoic. abdominal ultrasonographic images showing typical findings in dogs with canine lymphoma including rounded, hypoechoic. The dorsal extremity can be seen in the far field (between arrows in a). In dogs without hepatomegaly or gastric distension, the dorsal extremity of the spleen is usually. Swiss Cheese Spleen Dog.
From lbah.com
Spleen in dogs and cats. Long Beach Animal Hospital Swiss Cheese Spleen Dog abdominal ultrasonographic images showing typical findings in dogs with canine lymphoma including rounded, hypoechoic. ultrasonography reveals subjective hepatomegaly and hypoechoic hepatic nodules against a hyperechoic. the spleen is moderately enlarged with a swiss cheese appearance seen as multiple small hypoechoic. swiss cheese spleen swiss cheese spleen clin nucl med. A variety of things are known to. Swiss Cheese Spleen Dog.
From www.dreamstime.com
Dog Spleen Canis Lupus Familiaris Anatomy Isolated on White Stock Swiss Cheese Spleen Dog This review summarized published data about the ultrasound image of the spleen in dogs. this review summarized published data about the ultrasound image of the spleen in dogs and cats described as. abdominal ultrasonographic images showing typical findings in dogs with canine lymphoma including rounded, hypoechoic. ultrasonography reveals subjective hepatomegaly and hypoechoic hepatic nodules against a hyperechoic.. Swiss Cheese Spleen Dog.
From animalia-life.club
What Causes A Mass On A Dogs Spleen Swiss Cheese Spleen Dog the spleen is moderately enlarged with a swiss cheese appearance seen as multiple small hypoechoic. abdominal ultrasonographic images showing typical findings in dogs with canine lymphoma including rounded, hypoechoic. This review summarized published data about the ultrasound image of the spleen in dogs. A variety of things are known to cause an enlarged spleen including an abdominal injury,.. Swiss Cheese Spleen Dog.