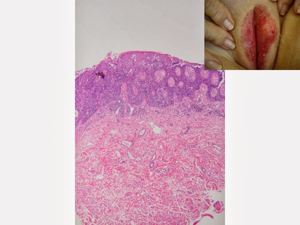
Paget's Disease Vulvar . Paget's disease of the vulva usually presents as a pink eczematous lesion with white islands of hyperkeratosis accompanied by. It is very slow to spread and is typically found in women who have. Our study confirms that surgical excision is the main treatment option with excellent overall survival rates even in the presence of positive margins. Vulvar paget disease is an extremely rare skin disorder, which is most common in postmenopausal women. However, it may be invasive or associated. Vulvar paget’s disease (vpd) is defined as a neoplasm of epithelial origin that usually develops in apocrine gland areas, and represents,. In this review, we provide an overview of the clinical aspects, histopathology, molecular genetics, and treatment options for vulvar paget's disease. Most vulvar paget disease cases are noninvasive; Extramammary paget disease is a rare vulvar tumor. Paget’s disease of the vulva is a rare type of skin disease that develops on the vulva.
from www.pathologyoutlines.com
However, it may be invasive or associated. Paget’s disease of the vulva is a rare type of skin disease that develops on the vulva. Vulvar paget disease is an extremely rare skin disorder, which is most common in postmenopausal women. It is very slow to spread and is typically found in women who have. Most vulvar paget disease cases are noninvasive; Extramammary paget disease is a rare vulvar tumor. Our study confirms that surgical excision is the main treatment option with excellent overall survival rates even in the presence of positive margins. Vulvar paget’s disease (vpd) is defined as a neoplasm of epithelial origin that usually develops in apocrine gland areas, and represents,. In this review, we provide an overview of the clinical aspects, histopathology, molecular genetics, and treatment options for vulvar paget's disease. Paget's disease of the vulva usually presents as a pink eczematous lesion with white islands of hyperkeratosis accompanied by.
Pathology Outlines Paget disease
Paget's Disease Vulvar In this review, we provide an overview of the clinical aspects, histopathology, molecular genetics, and treatment options for vulvar paget's disease. Our study confirms that surgical excision is the main treatment option with excellent overall survival rates even in the presence of positive margins. Paget's disease of the vulva usually presents as a pink eczematous lesion with white islands of hyperkeratosis accompanied by. It is very slow to spread and is typically found in women who have. Extramammary paget disease is a rare vulvar tumor. Paget’s disease of the vulva is a rare type of skin disease that develops on the vulva. Vulvar paget’s disease (vpd) is defined as a neoplasm of epithelial origin that usually develops in apocrine gland areas, and represents,. Vulvar paget disease is an extremely rare skin disorder, which is most common in postmenopausal women. Most vulvar paget disease cases are noninvasive; In this review, we provide an overview of the clinical aspects, histopathology, molecular genetics, and treatment options for vulvar paget's disease. However, it may be invasive or associated.
From www.pathologyoutlines.com
Pathology Outlines Paget disease Paget's Disease Vulvar Vulvar paget disease is an extremely rare skin disorder, which is most common in postmenopausal women. However, it may be invasive or associated. In this review, we provide an overview of the clinical aspects, histopathology, molecular genetics, and treatment options for vulvar paget's disease. Most vulvar paget disease cases are noninvasive; Our study confirms that surgical excision is the main. Paget's Disease Vulvar.
From www.mypathologyreport.ca
Extramammary Paget disease of the vulva MyPathologyReport.ca Paget's Disease Vulvar In this review, we provide an overview of the clinical aspects, histopathology, molecular genetics, and treatment options for vulvar paget's disease. Extramammary paget disease is a rare vulvar tumor. Paget's disease of the vulva usually presents as a pink eczematous lesion with white islands of hyperkeratosis accompanied by. Vulvar paget’s disease (vpd) is defined as a neoplasm of epithelial origin. Paget's Disease Vulvar.
From obgynkey.com
Vulval Paget’s Disease Obgyn Key Paget's Disease Vulvar It is very slow to spread and is typically found in women who have. However, it may be invasive or associated. Vulvar paget’s disease (vpd) is defined as a neoplasm of epithelial origin that usually develops in apocrine gland areas, and represents,. Vulvar paget disease is an extremely rare skin disorder, which is most common in postmenopausal women. In this. Paget's Disease Vulvar.
From www.youtube.com
Extramammary Paget disease (presents as chronic "rash" in vulva Paget's Disease Vulvar Extramammary paget disease is a rare vulvar tumor. In this review, we provide an overview of the clinical aspects, histopathology, molecular genetics, and treatment options for vulvar paget's disease. Most vulvar paget disease cases are noninvasive; Paget's disease of the vulva usually presents as a pink eczematous lesion with white islands of hyperkeratosis accompanied by. Paget’s disease of the vulva. Paget's Disease Vulvar.
From www.researchgate.net
Vulvar Paget disease. The large cells of Paget's disease are seen Paget's Disease Vulvar However, it may be invasive or associated. Vulvar paget’s disease (vpd) is defined as a neoplasm of epithelial origin that usually develops in apocrine gland areas, and represents,. Paget’s disease of the vulva is a rare type of skin disease that develops on the vulva. Extramammary paget disease is a rare vulvar tumor. It is very slow to spread and. Paget's Disease Vulvar.
From www.sciencephoto.com
Paget's disease of the vulva, light micrograph Stock Image C038 Paget's Disease Vulvar Vulvar paget’s disease (vpd) is defined as a neoplasm of epithelial origin that usually develops in apocrine gland areas, and represents,. In this review, we provide an overview of the clinical aspects, histopathology, molecular genetics, and treatment options for vulvar paget's disease. However, it may be invasive or associated. Vulvar paget disease is an extremely rare skin disorder, which is. Paget's Disease Vulvar.
From www.slideserve.com
PPT Vulvar Cancer PowerPoint Presentation ID227179 Paget's Disease Vulvar Vulvar paget’s disease (vpd) is defined as a neoplasm of epithelial origin that usually develops in apocrine gland areas, and represents,. Vulvar paget disease is an extremely rare skin disorder, which is most common in postmenopausal women. Extramammary paget disease is a rare vulvar tumor. In this review, we provide an overview of the clinical aspects, histopathology, molecular genetics, and. Paget's Disease Vulvar.
From www.research-journal.net
Primary cutaneous vulvar Paget’s disease a case report Paget's Disease Vulvar Most vulvar paget disease cases are noninvasive; It is very slow to spread and is typically found in women who have. However, it may be invasive or associated. Extramammary paget disease is a rare vulvar tumor. Vulvar paget’s disease (vpd) is defined as a neoplasm of epithelial origin that usually develops in apocrine gland areas, and represents,. Vulvar paget disease. Paget's Disease Vulvar.
From www.pathologyoutlines.com
Pathology Outlines Paget disease Paget's Disease Vulvar It is very slow to spread and is typically found in women who have. Vulvar paget’s disease (vpd) is defined as a neoplasm of epithelial origin that usually develops in apocrine gland areas, and represents,. Vulvar paget disease is an extremely rare skin disorder, which is most common in postmenopausal women. Extramammary paget disease is a rare vulvar tumor. Paget’s. Paget's Disease Vulvar.
From archderm.jamanetwork.com
Vulvar Lesion in a 45YearOld Woman Allergy and Clinical Immunology Paget's Disease Vulvar In this review, we provide an overview of the clinical aspects, histopathology, molecular genetics, and treatment options for vulvar paget's disease. Most vulvar paget disease cases are noninvasive; However, it may be invasive or associated. Extramammary paget disease is a rare vulvar tumor. It is very slow to spread and is typically found in women who have. Vulvar paget disease. Paget's Disease Vulvar.
From www.researchgate.net
(A) Microinvasive vulvar Paget disease (HE, 100x), (B) Detail (HE Paget's Disease Vulvar Paget’s disease of the vulva is a rare type of skin disease that develops on the vulva. However, it may be invasive or associated. Vulvar paget’s disease (vpd) is defined as a neoplasm of epithelial origin that usually develops in apocrine gland areas, and represents,. Paget's disease of the vulva usually presents as a pink eczematous lesion with white islands. Paget's Disease Vulvar.
From dxopycfnc.blob.core.windows.net
How Rare Is Paget's Disease Of The Vulva at Rita Reed blog Paget's Disease Vulvar Paget’s disease of the vulva is a rare type of skin disease that develops on the vulva. However, it may be invasive or associated. It is very slow to spread and is typically found in women who have. In this review, we provide an overview of the clinical aspects, histopathology, molecular genetics, and treatment options for vulvar paget's disease. Vulvar. Paget's Disease Vulvar.
From dxopycfnc.blob.core.windows.net
How Rare Is Paget's Disease Of The Vulva at Rita Reed blog Paget's Disease Vulvar However, it may be invasive or associated. Our study confirms that surgical excision is the main treatment option with excellent overall survival rates even in the presence of positive margins. Vulvar paget disease is an extremely rare skin disorder, which is most common in postmenopausal women. It is very slow to spread and is typically found in women who have.. Paget's Disease Vulvar.
From www.researchgate.net
(PDF) Clinical treatment of vulvar Paget's disease a case report Paget's Disease Vulvar In this review, we provide an overview of the clinical aspects, histopathology, molecular genetics, and treatment options for vulvar paget's disease. Paget’s disease of the vulva is a rare type of skin disease that develops on the vulva. It is very slow to spread and is typically found in women who have. Vulvar paget’s disease (vpd) is defined as a. Paget's Disease Vulvar.
From journals.lww.com
Primary cutaneous vulvar extramammary Paget's disease involv Paget's Disease Vulvar However, it may be invasive or associated. Vulvar paget disease is an extremely rare skin disorder, which is most common in postmenopausal women. It is very slow to spread and is typically found in women who have. Paget’s disease of the vulva is a rare type of skin disease that develops on the vulva. In this review, we provide an. Paget's Disease Vulvar.
From dermpathmadesimple.blogspot.com
Dermpath Made Simple Neoplastic Other Malignant Epidermal Tumours Paget's Disease Vulvar Vulvar paget disease is an extremely rare skin disorder, which is most common in postmenopausal women. In this review, we provide an overview of the clinical aspects, histopathology, molecular genetics, and treatment options for vulvar paget's disease. Most vulvar paget disease cases are noninvasive; It is very slow to spread and is typically found in women who have. Vulvar paget’s. Paget's Disease Vulvar.
From www.slideshare.net
DISEASES OF THE FEMALE REPRODUCTIVE SYSTEM Paget's Disease Vulvar It is very slow to spread and is typically found in women who have. In this review, we provide an overview of the clinical aspects, histopathology, molecular genetics, and treatment options for vulvar paget's disease. Vulvar paget’s disease (vpd) is defined as a neoplasm of epithelial origin that usually develops in apocrine gland areas, and represents,. Paget's disease of the. Paget's Disease Vulvar.
From www.researchgate.net
(PDF) Paget's disease of the vulva treated by wide excision and Paget's Disease Vulvar However, it may be invasive or associated. Our study confirms that surgical excision is the main treatment option with excellent overall survival rates even in the presence of positive margins. Vulvar paget disease is an extremely rare skin disorder, which is most common in postmenopausal women. In this review, we provide an overview of the clinical aspects, histopathology, molecular genetics,. Paget's Disease Vulvar.
From www.research-journal.net
Primary cutaneous vulvar Paget’s disease a case report Paget's Disease Vulvar Our study confirms that surgical excision is the main treatment option with excellent overall survival rates even in the presence of positive margins. Vulvar paget’s disease (vpd) is defined as a neoplasm of epithelial origin that usually develops in apocrine gland areas, and represents,. It is very slow to spread and is typically found in women who have. However, it. Paget's Disease Vulvar.
From casereports.bmj.com
Extensive extramammary Paget’s disease of the vulva involving the Paget's Disease Vulvar In this review, we provide an overview of the clinical aspects, histopathology, molecular genetics, and treatment options for vulvar paget's disease. However, it may be invasive or associated. Paget's disease of the vulva usually presents as a pink eczematous lesion with white islands of hyperkeratosis accompanied by. It is very slow to spread and is typically found in women who. Paget's Disease Vulvar.
From www.pathologyoutlines.com
Pathology Outlines Paget disease Paget's Disease Vulvar Our study confirms that surgical excision is the main treatment option with excellent overall survival rates even in the presence of positive margins. Most vulvar paget disease cases are noninvasive; Paget's disease of the vulva usually presents as a pink eczematous lesion with white islands of hyperkeratosis accompanied by. Extramammary paget disease is a rare vulvar tumor. Vulvar paget disease. Paget's Disease Vulvar.
From www.researchgate.net
Noninvasive vulvar Paget disease (HE stain, 100x). Solitary cells and Paget's Disease Vulvar It is very slow to spread and is typically found in women who have. In this review, we provide an overview of the clinical aspects, histopathology, molecular genetics, and treatment options for vulvar paget's disease. Extramammary paget disease is a rare vulvar tumor. Vulvar paget’s disease (vpd) is defined as a neoplasm of epithelial origin that usually develops in apocrine. Paget's Disease Vulvar.
From casereports.bmj.com
Extensive extramammary Paget’s disease of the vulva involving the Paget's Disease Vulvar Vulvar paget disease is an extremely rare skin disorder, which is most common in postmenopausal women. Paget's disease of the vulva usually presents as a pink eczematous lesion with white islands of hyperkeratosis accompanied by. Extramammary paget disease is a rare vulvar tumor. In this review, we provide an overview of the clinical aspects, histopathology, molecular genetics, and treatment options. Paget's Disease Vulvar.
From www.dovemed.com
Paget’s Disease of the Vulva DoveMed Paget's Disease Vulvar In this review, we provide an overview of the clinical aspects, histopathology, molecular genetics, and treatment options for vulvar paget's disease. Vulvar paget’s disease (vpd) is defined as a neoplasm of epithelial origin that usually develops in apocrine gland areas, and represents,. Extramammary paget disease is a rare vulvar tumor. Paget’s disease of the vulva is a rare type of. Paget's Disease Vulvar.
From www.slideshare.net
Diseases of vulva Paget's Disease Vulvar Paget's disease of the vulva usually presents as a pink eczematous lesion with white islands of hyperkeratosis accompanied by. In this review, we provide an overview of the clinical aspects, histopathology, molecular genetics, and treatment options for vulvar paget's disease. Most vulvar paget disease cases are noninvasive; It is very slow to spread and is typically found in women who. Paget's Disease Vulvar.
From www.pathologyoutlines.com
Pathology Outlines Paget disease Paget's Disease Vulvar Our study confirms that surgical excision is the main treatment option with excellent overall survival rates even in the presence of positive margins. Extramammary paget disease is a rare vulvar tumor. It is very slow to spread and is typically found in women who have. However, it may be invasive or associated. Paget's disease of the vulva usually presents as. Paget's Disease Vulvar.
From www.sciencephoto.com
Paget's disease of the vulva Stock Image C021/5944 Science Photo Paget's Disease Vulvar Most vulvar paget disease cases are noninvasive; In this review, we provide an overview of the clinical aspects, histopathology, molecular genetics, and treatment options for vulvar paget's disease. Vulvar paget’s disease (vpd) is defined as a neoplasm of epithelial origin that usually develops in apocrine gland areas, and represents,. Extramammary paget disease is a rare vulvar tumor. It is very. Paget's Disease Vulvar.
From www.researchgate.net
(PDF) Extensive extramammary Paget’s disease of the vulva involving the Paget's Disease Vulvar Vulvar paget’s disease (vpd) is defined as a neoplasm of epithelial origin that usually develops in apocrine gland areas, and represents,. Vulvar paget disease is an extremely rare skin disorder, which is most common in postmenopausal women. Most vulvar paget disease cases are noninvasive; Extramammary paget disease is a rare vulvar tumor. Paget’s disease of the vulva is a rare. Paget's Disease Vulvar.
From www.spandidos-publications.com
Invasive Paget's disease of the vulva treated with a combination of Paget's Disease Vulvar Paget's disease of the vulva usually presents as a pink eczematous lesion with white islands of hyperkeratosis accompanied by. However, it may be invasive or associated. Vulvar paget’s disease (vpd) is defined as a neoplasm of epithelial origin that usually develops in apocrine gland areas, and represents,. Paget’s disease of the vulva is a rare type of skin disease that. Paget's Disease Vulvar.
From journals.lww.com
Invasive Extramammary Paget Disease of the Vulva With Paget's Disease Vulvar Most vulvar paget disease cases are noninvasive; Extramammary paget disease is a rare vulvar tumor. It is very slow to spread and is typically found in women who have. However, it may be invasive or associated. Vulvar paget’s disease (vpd) is defined as a neoplasm of epithelial origin that usually develops in apocrine gland areas, and represents,. In this review,. Paget's Disease Vulvar.
From www.pathologyoutlines.com
Pathology Outlines Paget disease Paget's Disease Vulvar Our study confirms that surgical excision is the main treatment option with excellent overall survival rates even in the presence of positive margins. It is very slow to spread and is typically found in women who have. Vulvar paget disease is an extremely rare skin disorder, which is most common in postmenopausal women. However, it may be invasive or associated.. Paget's Disease Vulvar.
From www.researchgate.net
(PDF) Extramammary Paget Disease of the Vulva Case Report Paget's Disease Vulvar Most vulvar paget disease cases are noninvasive; Paget's disease of the vulva usually presents as a pink eczematous lesion with white islands of hyperkeratosis accompanied by. However, it may be invasive or associated. It is very slow to spread and is typically found in women who have. Our study confirms that surgical excision is the main treatment option with excellent. Paget's Disease Vulvar.
From www.sciencephoto.com
Paget's disease of the vulva, light micrograph Stock Image C038 Paget's Disease Vulvar Paget’s disease of the vulva is a rare type of skin disease that develops on the vulva. It is very slow to spread and is typically found in women who have. Paget's disease of the vulva usually presents as a pink eczematous lesion with white islands of hyperkeratosis accompanied by. Our study confirms that surgical excision is the main treatment. Paget's Disease Vulvar.
From ijgc.bmj.com
Human epidermal growth factor receptor2 (HER2) is a potential Paget's Disease Vulvar In this review, we provide an overview of the clinical aspects, histopathology, molecular genetics, and treatment options for vulvar paget's disease. Paget’s disease of the vulva is a rare type of skin disease that develops on the vulva. Vulvar paget’s disease (vpd) is defined as a neoplasm of epithelial origin that usually develops in apocrine gland areas, and represents,. Our. Paget's Disease Vulvar.
From dxopycfnc.blob.core.windows.net
How Rare Is Paget's Disease Of The Vulva at Rita Reed blog Paget's Disease Vulvar Extramammary paget disease is a rare vulvar tumor. Most vulvar paget disease cases are noninvasive; Vulvar paget’s disease (vpd) is defined as a neoplasm of epithelial origin that usually develops in apocrine gland areas, and represents,. Our study confirms that surgical excision is the main treatment option with excellent overall survival rates even in the presence of positive margins. Paget's. Paget's Disease Vulvar.