Can Dental Work Damage Salivary Glands . Salivary gland problems may be due to infection, inflammation,. Treatment aims to manage symptoms using salivary substitutes, eye drops and frequent dental exams. When the salivary glands are blocked, flow of saliva can stop, which can lead to a dry mouth and discomfort. Pain after a dental procedure can be moderate to severe. Read on for other symptoms and treatments for salivary gland disorders. Mucoceles this condition often results from a blocked or damaged salivary. People can take various pain relievers. Dry socket (alveolitis) a dry socket (exposure of the. If the salivary glands are damaged or aren’t producing enough saliva, it can affect taste, make chewing and swallowing more difficult, and increase the risk for cavities, tooth loss, and infections in the mouth. What are salivary gland disorders? Penetrating trauma to the floor or the mouth or beneath the mandible can damage the. Many different problems can interfere with the function of the salivary glands or block the ducts so they can't drain saliva.
from www.nhs.uk
Treatment aims to manage symptoms using salivary substitutes, eye drops and frequent dental exams. Penetrating trauma to the floor or the mouth or beneath the mandible can damage the. Many different problems can interfere with the function of the salivary glands or block the ducts so they can't drain saliva. Dry socket (alveolitis) a dry socket (exposure of the. What are salivary gland disorders? Salivary gland problems may be due to infection, inflammation,. Mucoceles this condition often results from a blocked or damaged salivary. Pain after a dental procedure can be moderate to severe. Read on for other symptoms and treatments for salivary gland disorders. People can take various pain relievers.
Salivary gland stones NHS
Can Dental Work Damage Salivary Glands Salivary gland problems may be due to infection, inflammation,. When the salivary glands are blocked, flow of saliva can stop, which can lead to a dry mouth and discomfort. Dry socket (alveolitis) a dry socket (exposure of the. Salivary gland problems may be due to infection, inflammation,. Read on for other symptoms and treatments for salivary gland disorders. If the salivary glands are damaged or aren’t producing enough saliva, it can affect taste, make chewing and swallowing more difficult, and increase the risk for cavities, tooth loss, and infections in the mouth. Penetrating trauma to the floor or the mouth or beneath the mandible can damage the. Pain after a dental procedure can be moderate to severe. People can take various pain relievers. Treatment aims to manage symptoms using salivary substitutes, eye drops and frequent dental exams. Many different problems can interfere with the function of the salivary glands or block the ducts so they can't drain saliva. What are salivary gland disorders? Mucoceles this condition often results from a blocked or damaged salivary.
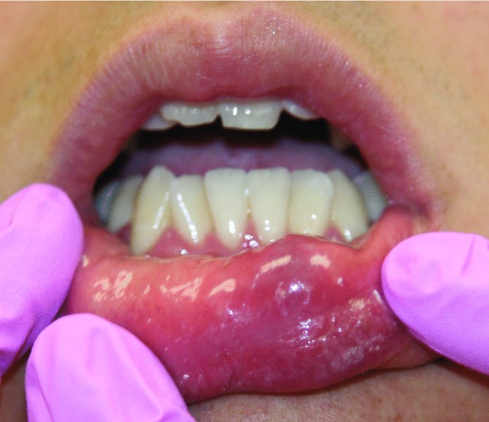
From acesurgery.sg
Salivary Gland Disorder Ace Specialist Surgery & Endoscopy Can Dental Work Damage Salivary Glands Treatment aims to manage symptoms using salivary substitutes, eye drops and frequent dental exams. Mucoceles this condition often results from a blocked or damaged salivary. Salivary gland problems may be due to infection, inflammation,. Dry socket (alveolitis) a dry socket (exposure of the. Penetrating trauma to the floor or the mouth or beneath the mandible can damage the. What are. Can Dental Work Damage Salivary Glands.
From pocketdentistry.com
49 Salivary Gland Pathology Pocket Dentistry Can Dental Work Damage Salivary Glands If the salivary glands are damaged or aren’t producing enough saliva, it can affect taste, make chewing and swallowing more difficult, and increase the risk for cavities, tooth loss, and infections in the mouth. Read on for other symptoms and treatments for salivary gland disorders. Salivary gland problems may be due to infection, inflammation,. Treatment aims to manage symptoms using. Can Dental Work Damage Salivary Glands.
From www.nhs.uk
Salivary gland stones NHS Can Dental Work Damage Salivary Glands If the salivary glands are damaged or aren’t producing enough saliva, it can affect taste, make chewing and swallowing more difficult, and increase the risk for cavities, tooth loss, and infections in the mouth. Treatment aims to manage symptoms using salivary substitutes, eye drops and frequent dental exams. Penetrating trauma to the floor or the mouth or beneath the mandible. Can Dental Work Damage Salivary Glands.
From pocketdentistry.com
49 Salivary Gland Pathology Pocket Dentistry Can Dental Work Damage Salivary Glands When the salivary glands are blocked, flow of saliva can stop, which can lead to a dry mouth and discomfort. Many different problems can interfere with the function of the salivary glands or block the ducts so they can't drain saliva. If the salivary glands are damaged or aren’t producing enough saliva, it can affect taste, make chewing and swallowing. Can Dental Work Damage Salivary Glands.
From www.slideserve.com
PPT Salivary Glands Disorders PowerPoint Presentation, free download Can Dental Work Damage Salivary Glands Read on for other symptoms and treatments for salivary gland disorders. When the salivary glands are blocked, flow of saliva can stop, which can lead to a dry mouth and discomfort. Penetrating trauma to the floor or the mouth or beneath the mandible can damage the. Pain after a dental procedure can be moderate to severe. Dry socket (alveolitis) a. Can Dental Work Damage Salivary Glands.
From www.rroij.com
Radiation Induced Salivary Gland Damage Review on Pathogenesis and Can Dental Work Damage Salivary Glands When the salivary glands are blocked, flow of saliva can stop, which can lead to a dry mouth and discomfort. Pain after a dental procedure can be moderate to severe. Read on for other symptoms and treatments for salivary gland disorders. Penetrating trauma to the floor or the mouth or beneath the mandible can damage the. If the salivary glands. Can Dental Work Damage Salivary Glands.
From www.medicalnewstoday.com
Salivary stones Symptoms, causes, and how to get rid of them Can Dental Work Damage Salivary Glands People can take various pain relievers. When the salivary glands are blocked, flow of saliva can stop, which can lead to a dry mouth and discomfort. Penetrating trauma to the floor or the mouth or beneath the mandible can damage the. Mucoceles this condition often results from a blocked or damaged salivary. Read on for other symptoms and treatments for. Can Dental Work Damage Salivary Glands.
From mydiagram.online
[DIAGRAM] Diagram Of Infected Salivary Glands Can Dental Work Damage Salivary Glands Read on for other symptoms and treatments for salivary gland disorders. Dry socket (alveolitis) a dry socket (exposure of the. People can take various pain relievers. When the salivary glands are blocked, flow of saliva can stop, which can lead to a dry mouth and discomfort. Mucoceles this condition often results from a blocked or damaged salivary. Penetrating trauma to. Can Dental Work Damage Salivary Glands.
From www.dentistahmed.com
Salivary Glands Disorders Everything your Need to Know Dentist Ahmed Can Dental Work Damage Salivary Glands Salivary gland problems may be due to infection, inflammation,. Treatment aims to manage symptoms using salivary substitutes, eye drops and frequent dental exams. Read on for other symptoms and treatments for salivary gland disorders. What are salivary gland disorders? Dry socket (alveolitis) a dry socket (exposure of the. Mucoceles this condition often results from a blocked or damaged salivary. Many. Can Dental Work Damage Salivary Glands.
From revisedental.com
Salivary gland disorders and tumours Revise Dental Can Dental Work Damage Salivary Glands Salivary gland problems may be due to infection, inflammation,. Dry socket (alveolitis) a dry socket (exposure of the. Penetrating trauma to the floor or the mouth or beneath the mandible can damage the. Mucoceles this condition often results from a blocked or damaged salivary. Pain after a dental procedure can be moderate to severe. When the salivary glands are blocked,. Can Dental Work Damage Salivary Glands.
From drkhliment.com.sg
Salivary Gland Swelling Dr KH Lim ENT Clinic Can Dental Work Damage Salivary Glands When the salivary glands are blocked, flow of saliva can stop, which can lead to a dry mouth and discomfort. Treatment aims to manage symptoms using salivary substitutes, eye drops and frequent dental exams. Read on for other symptoms and treatments for salivary gland disorders. What are salivary gland disorders? Many different problems can interfere with the function of the. Can Dental Work Damage Salivary Glands.
From www.pinterest.com
Infected salivary glands can cause a lump under jaw or jaw line Can Dental Work Damage Salivary Glands If the salivary glands are damaged or aren’t producing enough saliva, it can affect taste, make chewing and swallowing more difficult, and increase the risk for cavities, tooth loss, and infections in the mouth. Many different problems can interfere with the function of the salivary glands or block the ducts so they can't drain saliva. Mucoceles this condition often results. Can Dental Work Damage Salivary Glands.
From www.sportzyogi.com
Salivary gland function and structure Anatomy And Physiology Can Dental Work Damage Salivary Glands People can take various pain relievers. Pain after a dental procedure can be moderate to severe. Many different problems can interfere with the function of the salivary glands or block the ducts so they can't drain saliva. Mucoceles this condition often results from a blocked or damaged salivary. What are salivary gland disorders? Read on for other symptoms and treatments. Can Dental Work Damage Salivary Glands.
From www.sciencephoto.com
Inflamed salivary duct Stock Image C023/5745 Science Photo Library Can Dental Work Damage Salivary Glands Penetrating trauma to the floor or the mouth or beneath the mandible can damage the. Treatment aims to manage symptoms using salivary substitutes, eye drops and frequent dental exams. When the salivary glands are blocked, flow of saliva can stop, which can lead to a dry mouth and discomfort. People can take various pain relievers. What are salivary gland disorders?. Can Dental Work Damage Salivary Glands.
From advancedent.com
Salivary Glands Advanced ENT & Allergy Can Dental Work Damage Salivary Glands Dry socket (alveolitis) a dry socket (exposure of the. Penetrating trauma to the floor or the mouth or beneath the mandible can damage the. What are salivary gland disorders? People can take various pain relievers. Treatment aims to manage symptoms using salivary substitutes, eye drops and frequent dental exams. Read on for other symptoms and treatments for salivary gland disorders.. Can Dental Work Damage Salivary Glands.
From www.ent-surgery.com.au
Blocked Salivary Gland ENT Clinic Sydney Can Dental Work Damage Salivary Glands People can take various pain relievers. Mucoceles this condition often results from a blocked or damaged salivary. Pain after a dental procedure can be moderate to severe. Many different problems can interfere with the function of the salivary glands or block the ducts so they can't drain saliva. Salivary gland problems may be due to infection, inflammation,. Read on for. Can Dental Work Damage Salivary Glands.
From www.researchgate.net
DPSCs for salivary gland regeneration. DPSCs can be isolated from the Can Dental Work Damage Salivary Glands What are salivary gland disorders? Dry socket (alveolitis) a dry socket (exposure of the. Salivary gland problems may be due to infection, inflammation,. Pain after a dental procedure can be moderate to severe. If the salivary glands are damaged or aren’t producing enough saliva, it can affect taste, make chewing and swallowing more difficult, and increase the risk for cavities,. Can Dental Work Damage Salivary Glands.
From mavink.com
Anatomy Of Salivary Gland Diagram Can Dental Work Damage Salivary Glands People can take various pain relievers. Penetrating trauma to the floor or the mouth or beneath the mandible can damage the. Treatment aims to manage symptoms using salivary substitutes, eye drops and frequent dental exams. Many different problems can interfere with the function of the salivary glands or block the ducts so they can't drain saliva. Dry socket (alveolitis) a. Can Dental Work Damage Salivary Glands.
From www.slideserve.com
PPT Salivary Glands Disorders PowerPoint Presentation, free download Can Dental Work Damage Salivary Glands Mucoceles this condition often results from a blocked or damaged salivary. Penetrating trauma to the floor or the mouth or beneath the mandible can damage the. Pain after a dental procedure can be moderate to severe. If the salivary glands are damaged or aren’t producing enough saliva, it can affect taste, make chewing and swallowing more difficult, and increase the. Can Dental Work Damage Salivary Glands.
From sklep.foteks.pl
Naklejka Dry mouth or xerostomia as salivary glands saliva problem Can Dental Work Damage Salivary Glands People can take various pain relievers. Salivary gland problems may be due to infection, inflammation,. What are salivary gland disorders? Pain after a dental procedure can be moderate to severe. Mucoceles this condition often results from a blocked or damaged salivary. Read on for other symptoms and treatments for salivary gland disorders. Treatment aims to manage symptoms using salivary substitutes,. Can Dental Work Damage Salivary Glands.
From lipstutorial.org
Blocked Salivary Glands In Lips Can Dental Work Damage Salivary Glands People can take various pain relievers. Many different problems can interfere with the function of the salivary glands or block the ducts so they can't drain saliva. Read on for other symptoms and treatments for salivary gland disorders. If the salivary glands are damaged or aren’t producing enough saliva, it can affect taste, make chewing and swallowing more difficult, and. Can Dental Work Damage Salivary Glands.
From www.rothmankimsmiles.com
Salivary Gland Diseases Philadelphia, PA & Cinnaminson, NJ Rothman Can Dental Work Damage Salivary Glands Read on for other symptoms and treatments for salivary gland disorders. Mucoceles this condition often results from a blocked or damaged salivary. If the salivary glands are damaged or aren’t producing enough saliva, it can affect taste, make chewing and swallowing more difficult, and increase the risk for cavities, tooth loss, and infections in the mouth. Penetrating trauma to the. Can Dental Work Damage Salivary Glands.
From nf2is.org
CN7 Facial Nerve Damage Can Dental Work Damage Salivary Glands Mucoceles this condition often results from a blocked or damaged salivary. Dry socket (alveolitis) a dry socket (exposure of the. Read on for other symptoms and treatments for salivary gland disorders. What are salivary gland disorders? Many different problems can interfere with the function of the salivary glands or block the ducts so they can't drain saliva. People can take. Can Dental Work Damage Salivary Glands.
From www.sciencephoto.com
Inflamed salivary gland Stock Image M240/0756 Science Photo Library Can Dental Work Damage Salivary Glands If the salivary glands are damaged or aren’t producing enough saliva, it can affect taste, make chewing and swallowing more difficult, and increase the risk for cavities, tooth loss, and infections in the mouth. Penetrating trauma to the floor or the mouth or beneath the mandible can damage the. Salivary gland problems may be due to infection, inflammation,. Pain after. Can Dental Work Damage Salivary Glands.
From www.slideshare.net
4.radiation effects salivary glands, bone and teeth Can Dental Work Damage Salivary Glands Salivary gland problems may be due to infection, inflammation,. Many different problems can interfere with the function of the salivary glands or block the ducts so they can't drain saliva. When the salivary glands are blocked, flow of saliva can stop, which can lead to a dry mouth and discomfort. People can take various pain relievers. What are salivary gland. Can Dental Work Damage Salivary Glands.
From www.lybrate.com
Salivary Gland Disorder Know Signs Of It! By Sms Multispeciality Can Dental Work Damage Salivary Glands Read on for other symptoms and treatments for salivary gland disorders. If the salivary glands are damaged or aren’t producing enough saliva, it can affect taste, make chewing and swallowing more difficult, and increase the risk for cavities, tooth loss, and infections in the mouth. When the salivary glands are blocked, flow of saliva can stop, which can lead to. Can Dental Work Damage Salivary Glands.
From loeesurxf.blob.core.windows.net
Can Dental Work Cause Nerve Damage at Fred Duty blog Can Dental Work Damage Salivary Glands Read on for other symptoms and treatments for salivary gland disorders. When the salivary glands are blocked, flow of saliva can stop, which can lead to a dry mouth and discomfort. What are salivary gland disorders? Many different problems can interfere with the function of the salivary glands or block the ducts so they can't drain saliva. Dry socket (alveolitis). Can Dental Work Damage Salivary Glands.
From loelcdjkc.blob.core.windows.net
Can Dental Work Affect Salivary Glands at Josephine Reading blog Can Dental Work Damage Salivary Glands When the salivary glands are blocked, flow of saliva can stop, which can lead to a dry mouth and discomfort. What are salivary gland disorders? Read on for other symptoms and treatments for salivary gland disorders. Many different problems can interfere with the function of the salivary glands or block the ducts so they can't drain saliva. Treatment aims to. Can Dental Work Damage Salivary Glands.
From pocketdentistry.com
Salivary Gland Diseases Pocket Dentistry Can Dental Work Damage Salivary Glands Pain after a dental procedure can be moderate to severe. People can take various pain relievers. Read on for other symptoms and treatments for salivary gland disorders. Salivary gland problems may be due to infection, inflammation,. Mucoceles this condition often results from a blocked or damaged salivary. What are salivary gland disorders? If the salivary glands are damaged or aren’t. Can Dental Work Damage Salivary Glands.
From www.pinterest.com
This image shows the location of the salivary glands with reference to Can Dental Work Damage Salivary Glands Pain after a dental procedure can be moderate to severe. When the salivary glands are blocked, flow of saliva can stop, which can lead to a dry mouth and discomfort. Salivary gland problems may be due to infection, inflammation,. What are salivary gland disorders? Penetrating trauma to the floor or the mouth or beneath the mandible can damage the. People. Can Dental Work Damage Salivary Glands.
From mavink.com
Salivary Gland Lesions Can Dental Work Damage Salivary Glands Treatment aims to manage symptoms using salivary substitutes, eye drops and frequent dental exams. Pain after a dental procedure can be moderate to severe. Penetrating trauma to the floor or the mouth or beneath the mandible can damage the. Many different problems can interfere with the function of the salivary glands or block the ducts so they can't drain saliva.. Can Dental Work Damage Salivary Glands.
From www.slideshare.net
4.radiation effects salivary glands, bone and teeth Can Dental Work Damage Salivary Glands What are salivary gland disorders? Penetrating trauma to the floor or the mouth or beneath the mandible can damage the. Treatment aims to manage symptoms using salivary substitutes, eye drops and frequent dental exams. People can take various pain relievers. Mucoceles this condition often results from a blocked or damaged salivary. Salivary gland problems may be due to infection, inflammation,.. Can Dental Work Damage Salivary Glands.
From articles.mymeditravel.com
Salivary Gland Tumor Removal Procedure Description MyMediTravel Knowledge Can Dental Work Damage Salivary Glands When the salivary glands are blocked, flow of saliva can stop, which can lead to a dry mouth and discomfort. Pain after a dental procedure can be moderate to severe. Treatment aims to manage symptoms using salivary substitutes, eye drops and frequent dental exams. Many different problems can interfere with the function of the salivary glands or block the ducts. Can Dental Work Damage Salivary Glands.
From geekymedics.com
Oral Cavity Examination OSCE Guide Geeky Medics Can Dental Work Damage Salivary Glands What are salivary gland disorders? Treatment aims to manage symptoms using salivary substitutes, eye drops and frequent dental exams. Many different problems can interfere with the function of the salivary glands or block the ducts so they can't drain saliva. If the salivary glands are damaged or aren’t producing enough saliva, it can affect taste, make chewing and swallowing more. Can Dental Work Damage Salivary Glands.
From www.mayoclinic.org
Dry mouth Symptoms and causes Mayo Clinic Can Dental Work Damage Salivary Glands Mucoceles this condition often results from a blocked or damaged salivary. Dry socket (alveolitis) a dry socket (exposure of the. Read on for other symptoms and treatments for salivary gland disorders. When the salivary glands are blocked, flow of saliva can stop, which can lead to a dry mouth and discomfort. People can take various pain relievers. Many different problems. Can Dental Work Damage Salivary Glands.