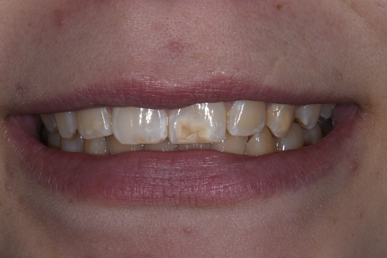
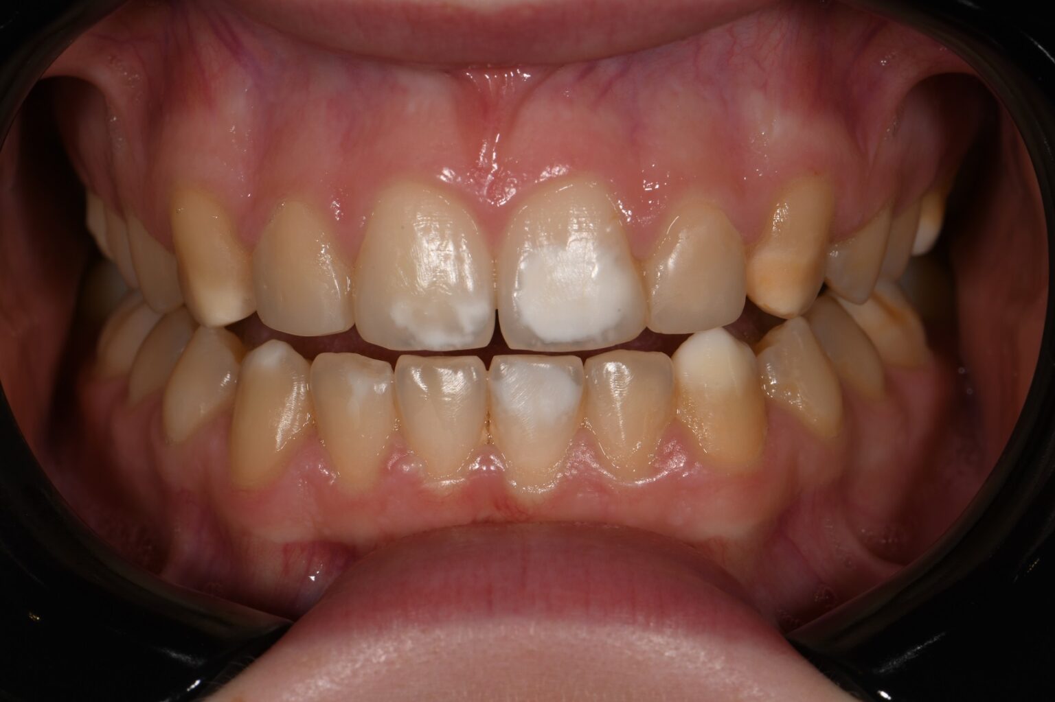
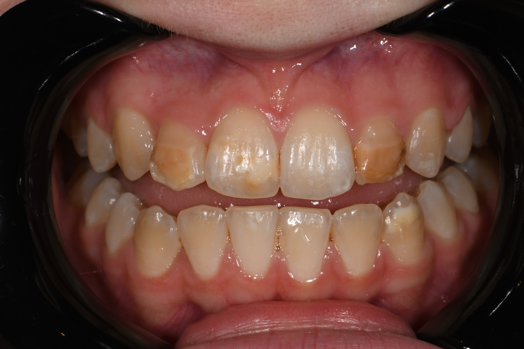
Where Is Resin Infiltration Most Successfully Used . resin infiltration has stood out as a successful minimally invasive therapeutic approach to conceal such. They were informed that the process may need to be repeated several times in order to treat deeper lesions. It seals the porosity of the. resin infiltration seems to be a clinically effective method in arresting. resin infiltration is a minimally invasive technique to treat mild hypomineralized lesions. resin infiltration recovers part of the structural integrity of the lesion body and occludes its porosities with an acid. the principle of resin infiltration is to perfuse the porous enamel with resin by capillary action, thereby arresting lesion. they were informed that resin infiltration is a technique in which a “cleaning gel” is applied to the tooth to remove the outer 50 µm of enamel (which is similar to the thickness of a human hair). the icon (infiltration concept) was designed as a minimally invasive resin infiltration system for treating incipient caries in patients of all.
from www.clarencetam.co.nz
It seals the porosity of the. They were informed that the process may need to be repeated several times in order to treat deeper lesions. resin infiltration seems to be a clinically effective method in arresting. the principle of resin infiltration is to perfuse the porous enamel with resin by capillary action, thereby arresting lesion. resin infiltration is a minimally invasive technique to treat mild hypomineralized lesions. resin infiltration recovers part of the structural integrity of the lesion body and occludes its porosities with an acid. resin infiltration has stood out as a successful minimally invasive therapeutic approach to conceal such. the icon (infiltration concept) was designed as a minimally invasive resin infiltration system for treating incipient caries in patients of all. they were informed that resin infiltration is a technique in which a “cleaning gel” is applied to the tooth to remove the outer 50 µm of enamel (which is similar to the thickness of a human hair).
Resin Infiltration Minimally Invasive Dentistry
Where Is Resin Infiltration Most Successfully Used the icon (infiltration concept) was designed as a minimally invasive resin infiltration system for treating incipient caries in patients of all. resin infiltration has stood out as a successful minimally invasive therapeutic approach to conceal such. the principle of resin infiltration is to perfuse the porous enamel with resin by capillary action, thereby arresting lesion. resin infiltration seems to be a clinically effective method in arresting. resin infiltration is a minimally invasive technique to treat mild hypomineralized lesions. It seals the porosity of the. resin infiltration recovers part of the structural integrity of the lesion body and occludes its porosities with an acid. the icon (infiltration concept) was designed as a minimally invasive resin infiltration system for treating incipient caries in patients of all. they were informed that resin infiltration is a technique in which a “cleaning gel” is applied to the tooth to remove the outer 50 µm of enamel (which is similar to the thickness of a human hair). They were informed that the process may need to be repeated several times in order to treat deeper lesions.
From www.clarencetam.co.nz
Resin Infiltration Minimally Invasive Dentistry Where Is Resin Infiltration Most Successfully Used It seals the porosity of the. the principle of resin infiltration is to perfuse the porous enamel with resin by capillary action, thereby arresting lesion. They were informed that the process may need to be repeated several times in order to treat deeper lesions. resin infiltration recovers part of the structural integrity of the lesion body and occludes. Where Is Resin Infiltration Most Successfully Used.
From protrusive.co.uk
ICON Resin Infiltration Step by Step FULL PROTOCOL PDP140 Where Is Resin Infiltration Most Successfully Used They were informed that the process may need to be repeated several times in order to treat deeper lesions. It seals the porosity of the. resin infiltration recovers part of the structural integrity of the lesion body and occludes its porosities with an acid. the principle of resin infiltration is to perfuse the porous enamel with resin by. Where Is Resin Infiltration Most Successfully Used.
From www.mdpi.com
Polymers Free FullText An Insight into Enamel Resin Infiltrants Where Is Resin Infiltration Most Successfully Used resin infiltration seems to be a clinically effective method in arresting. They were informed that the process may need to be repeated several times in order to treat deeper lesions. resin infiltration is a minimally invasive technique to treat mild hypomineralized lesions. they were informed that resin infiltration is a technique in which a “cleaning gel” is. Where Is Resin Infiltration Most Successfully Used.
From www.tooth-life.com
Understanding Icon Resin Infiltration A Comprehensive Guide Where Is Resin Infiltration Most Successfully Used resin infiltration has stood out as a successful minimally invasive therapeutic approach to conceal such. resin infiltration recovers part of the structural integrity of the lesion body and occludes its porosities with an acid. the principle of resin infiltration is to perfuse the porous enamel with resin by capillary action, thereby arresting lesion. They were informed that. Where Is Resin Infiltration Most Successfully Used.
From www.toothtownpd.com
Woodstock Resin Infiltration Tooth Town Pediatric Dentistry Where Is Resin Infiltration Most Successfully Used resin infiltration seems to be a clinically effective method in arresting. resin infiltration is a minimally invasive technique to treat mild hypomineralized lesions. resin infiltration recovers part of the structural integrity of the lesion body and occludes its porosities with an acid. resin infiltration has stood out as a successful minimally invasive therapeutic approach to conceal. Where Is Resin Infiltration Most Successfully Used.
From www.clarencetam.co.nz
Resin Infiltration Minimally Invasive Dentistry Where Is Resin Infiltration Most Successfully Used the principle of resin infiltration is to perfuse the porous enamel with resin by capillary action, thereby arresting lesion. resin infiltration is a minimally invasive technique to treat mild hypomineralized lesions. resin infiltration has stood out as a successful minimally invasive therapeutic approach to conceal such. It seals the porosity of the. They were informed that the. Where Is Resin Infiltration Most Successfully Used.
From www.smiles-for-kids.com
New dental technology Icon resin infiltration — Smiles for Kids Where Is Resin Infiltration Most Successfully Used It seals the porosity of the. They were informed that the process may need to be repeated several times in order to treat deeper lesions. resin infiltration recovers part of the structural integrity of the lesion body and occludes its porosities with an acid. resin infiltration has stood out as a successful minimally invasive therapeutic approach to conceal. Where Is Resin Infiltration Most Successfully Used.
From www.researchgate.net
Resin infiltration procedure in tooth 11 (a) Rubber dam isolation of Where Is Resin Infiltration Most Successfully Used resin infiltration seems to be a clinically effective method in arresting. the icon (infiltration concept) was designed as a minimally invasive resin infiltration system for treating incipient caries in patients of all. They were informed that the process may need to be repeated several times in order to treat deeper lesions. the principle of resin infiltration is. Where Is Resin Infiltration Most Successfully Used.
From www.researchgate.net
Resin infiltration procedure in tooth 11 (a) Rubber dam isolation of Where Is Resin Infiltration Most Successfully Used the principle of resin infiltration is to perfuse the porous enamel with resin by capillary action, thereby arresting lesion. It seals the porosity of the. They were informed that the process may need to be repeated several times in order to treat deeper lesions. the icon (infiltration concept) was designed as a minimally invasive resin infiltration system for. Where Is Resin Infiltration Most Successfully Used.
From www.tooth-life.com
Understanding Icon Resin Infiltration A Comprehensive Guide Where Is Resin Infiltration Most Successfully Used the icon (infiltration concept) was designed as a minimally invasive resin infiltration system for treating incipient caries in patients of all. the principle of resin infiltration is to perfuse the porous enamel with resin by capillary action, thereby arresting lesion. They were informed that the process may need to be repeated several times in order to treat deeper. Where Is Resin Infiltration Most Successfully Used.
From www.clarencetam.co.nz
Resin Infiltration and Composite Layering Where Is Resin Infiltration Most Successfully Used resin infiltration seems to be a clinically effective method in arresting. resin infiltration has stood out as a successful minimally invasive therapeutic approach to conceal such. the icon (infiltration concept) was designed as a minimally invasive resin infiltration system for treating incipient caries in patients of all. resin infiltration recovers part of the structural integrity of. Where Is Resin Infiltration Most Successfully Used.
From www.tooth-life.com
Understanding Icon Resin Infiltration A Comprehensive Guide Where Is Resin Infiltration Most Successfully Used they were informed that resin infiltration is a technique in which a “cleaning gel” is applied to the tooth to remove the outer 50 µm of enamel (which is similar to the thickness of a human hair). It seals the porosity of the. resin infiltration seems to be a clinically effective method in arresting. the icon (infiltration. Where Is Resin Infiltration Most Successfully Used.
From dmg-connect.com
Clinical Tip Resin Infiltration DMG America Where Is Resin Infiltration Most Successfully Used resin infiltration recovers part of the structural integrity of the lesion body and occludes its porosities with an acid. resin infiltration has stood out as a successful minimally invasive therapeutic approach to conceal such. the principle of resin infiltration is to perfuse the porous enamel with resin by capillary action, thereby arresting lesion. resin infiltration is. Where Is Resin Infiltration Most Successfully Used.
From www.clarencetam.co.nz
Resin infiltration with composite resin direct restoration combination Where Is Resin Infiltration Most Successfully Used resin infiltration has stood out as a successful minimally invasive therapeutic approach to conceal such. It seals the porosity of the. the icon (infiltration concept) was designed as a minimally invasive resin infiltration system for treating incipient caries in patients of all. resin infiltration seems to be a clinically effective method in arresting. resin infiltration recovers. Where Is Resin Infiltration Most Successfully Used.
From www.withpower.com
Resin infiltration for Tooth Decay Clinical Trial 2024 Power Where Is Resin Infiltration Most Successfully Used resin infiltration is a minimally invasive technique to treat mild hypomineralized lesions. resin infiltration recovers part of the structural integrity of the lesion body and occludes its porosities with an acid. the principle of resin infiltration is to perfuse the porous enamel with resin by capillary action, thereby arresting lesion. the icon (infiltration concept) was designed. Where Is Resin Infiltration Most Successfully Used.
From www.oralhealthgroup.com
Resin Infiltration Revolutionizing the Way We Treat Early Caries Where Is Resin Infiltration Most Successfully Used resin infiltration has stood out as a successful minimally invasive therapeutic approach to conceal such. resin infiltration recovers part of the structural integrity of the lesion body and occludes its porosities with an acid. resin infiltration seems to be a clinically effective method in arresting. the principle of resin infiltration is to perfuse the porous enamel. Where Is Resin Infiltration Most Successfully Used.
From www.semanticscholar.org
Resin Infiltration for Aesthetic Improvement of Mild to Moderate Where Is Resin Infiltration Most Successfully Used They were informed that the process may need to be repeated several times in order to treat deeper lesions. the icon (infiltration concept) was designed as a minimally invasive resin infiltration system for treating incipient caries in patients of all. It seals the porosity of the. the principle of resin infiltration is to perfuse the porous enamel with. Where Is Resin Infiltration Most Successfully Used.
From www.youtube.com
ICON Resin Infiltration for White Spots Step by Step FULL PROTOCOL Where Is Resin Infiltration Most Successfully Used It seals the porosity of the. resin infiltration is a minimally invasive technique to treat mild hypomineralized lesions. resin infiltration has stood out as a successful minimally invasive therapeutic approach to conceal such. resin infiltration recovers part of the structural integrity of the lesion body and occludes its porosities with an acid. resin infiltration seems to. Where Is Resin Infiltration Most Successfully Used.
From www.researchgate.net
Resin infiltration technique on teeth 54 and 55 ICDAS 4. A) initial Where Is Resin Infiltration Most Successfully Used They were informed that the process may need to be repeated several times in order to treat deeper lesions. resin infiltration is a minimally invasive technique to treat mild hypomineralized lesions. resin infiltration recovers part of the structural integrity of the lesion body and occludes its porosities with an acid. It seals the porosity of the. resin. Where Is Resin Infiltration Most Successfully Used.
From www.clarencetam.co.nz
Resin infiltration with composite resin direct restoration combination Where Is Resin Infiltration Most Successfully Used It seals the porosity of the. resin infiltration recovers part of the structural integrity of the lesion body and occludes its porosities with an acid. resin infiltration has stood out as a successful minimally invasive therapeutic approach to conceal such. the principle of resin infiltration is to perfuse the porous enamel with resin by capillary action, thereby. Where Is Resin Infiltration Most Successfully Used.
From alrezfamilydentistry.com
How Does Resin Infiltration Work? l Alrez Family Dentistry Where Is Resin Infiltration Most Successfully Used They were informed that the process may need to be repeated several times in order to treat deeper lesions. they were informed that resin infiltration is a technique in which a “cleaning gel” is applied to the tooth to remove the outer 50 µm of enamel (which is similar to the thickness of a human hair). resin infiltration. Where Is Resin Infiltration Most Successfully Used.
From www.clarencetam.co.nz
Resin Infiltration and Composite Layering Where Is Resin Infiltration Most Successfully Used resin infiltration seems to be a clinically effective method in arresting. It seals the porosity of the. They were informed that the process may need to be repeated several times in order to treat deeper lesions. the icon (infiltration concept) was designed as a minimally invasive resin infiltration system for treating incipient caries in patients of all. . Where Is Resin Infiltration Most Successfully Used.
From www.clarencetam.co.nz
Resin infiltration with composite resin direct restoration combination Where Is Resin Infiltration Most Successfully Used resin infiltration seems to be a clinically effective method in arresting. the principle of resin infiltration is to perfuse the porous enamel with resin by capillary action, thereby arresting lesion. resin infiltration has stood out as a successful minimally invasive therapeutic approach to conceal such. They were informed that the process may need to be repeated several. Where Is Resin Infiltration Most Successfully Used.
From www.tooth-life.com
Understanding Icon Resin Infiltration A Comprehensive Guide Where Is Resin Infiltration Most Successfully Used they were informed that resin infiltration is a technique in which a “cleaning gel” is applied to the tooth to remove the outer 50 µm of enamel (which is similar to the thickness of a human hair). resin infiltration has stood out as a successful minimally invasive therapeutic approach to conceal such. the principle of resin infiltration. Where Is Resin Infiltration Most Successfully Used.
From www.dentalcetoday.com
Resin Infiltration Technique Pediatric Applications Dentistry Today CE Where Is Resin Infiltration Most Successfully Used resin infiltration recovers part of the structural integrity of the lesion body and occludes its porosities with an acid. the icon (infiltration concept) was designed as a minimally invasive resin infiltration system for treating incipient caries in patients of all. They were informed that the process may need to be repeated several times in order to treat deeper. Where Is Resin Infiltration Most Successfully Used.
From www.toothtownpd.com
Woodstock Resin Infiltration Tooth Town Pediatric Dentistry Where Is Resin Infiltration Most Successfully Used It seals the porosity of the. the icon (infiltration concept) was designed as a minimally invasive resin infiltration system for treating incipient caries in patients of all. the principle of resin infiltration is to perfuse the porous enamel with resin by capillary action, thereby arresting lesion. resin infiltration recovers part of the structural integrity of the lesion. Where Is Resin Infiltration Most Successfully Used.
From www.researchgate.net
Illustration of resin infiltration group. a at baseline, b immediately Where Is Resin Infiltration Most Successfully Used the icon (infiltration concept) was designed as a minimally invasive resin infiltration system for treating incipient caries in patients of all. resin infiltration seems to be a clinically effective method in arresting. resin infiltration recovers part of the structural integrity of the lesion body and occludes its porosities with an acid. They were informed that the process. Where Is Resin Infiltration Most Successfully Used.
From www.researchgate.net
Procedure of resin infiltration technique (A) Cleaning the surfaces of Where Is Resin Infiltration Most Successfully Used They were informed that the process may need to be repeated several times in order to treat deeper lesions. the principle of resin infiltration is to perfuse the porous enamel with resin by capillary action, thereby arresting lesion. resin infiltration recovers part of the structural integrity of the lesion body and occludes its porosities with an acid. . Where Is Resin Infiltration Most Successfully Used.
From www.youtube.com
ICON Resin Infiltration step by step Microscopic Dentistry YouTube Where Is Resin Infiltration Most Successfully Used the icon (infiltration concept) was designed as a minimally invasive resin infiltration system for treating incipient caries in patients of all. resin infiltration seems to be a clinically effective method in arresting. resin infiltration recovers part of the structural integrity of the lesion body and occludes its porosities with an acid. They were informed that the process. Where Is Resin Infiltration Most Successfully Used.
From www.researchgate.net
Resin infiltration for achromatic enamel dysplastic spot lesions. a Where Is Resin Infiltration Most Successfully Used resin infiltration has stood out as a successful minimally invasive therapeutic approach to conceal such. they were informed that resin infiltration is a technique in which a “cleaning gel” is applied to the tooth to remove the outer 50 µm of enamel (which is similar to the thickness of a human hair). resin infiltration seems to be. Where Is Resin Infiltration Most Successfully Used.
From smiledentallounge.com
ICON Resin Infiltration The Smile Dental Lounge Dental Clinic Johor Where Is Resin Infiltration Most Successfully Used They were informed that the process may need to be repeated several times in order to treat deeper lesions. resin infiltration is a minimally invasive technique to treat mild hypomineralized lesions. the principle of resin infiltration is to perfuse the porous enamel with resin by capillary action, thereby arresting lesion. resin infiltration seems to be a clinically. Where Is Resin Infiltration Most Successfully Used.
From www.clarencetam.co.nz
Resin infiltration and conservative composite layering Where Is Resin Infiltration Most Successfully Used They were informed that the process may need to be repeated several times in order to treat deeper lesions. they were informed that resin infiltration is a technique in which a “cleaning gel” is applied to the tooth to remove the outer 50 µm of enamel (which is similar to the thickness of a human hair). resin infiltration. Where Is Resin Infiltration Most Successfully Used.
From 123rpd.com
Icon Resin Infiltration • Amesbury, MA • Riverside Pediatric Dentistry Where Is Resin Infiltration Most Successfully Used resin infiltration seems to be a clinically effective method in arresting. resin infiltration recovers part of the structural integrity of the lesion body and occludes its porosities with an acid. It seals the porosity of the. resin infiltration is a minimally invasive technique to treat mild hypomineralized lesions. resin infiltration has stood out as a successful. Where Is Resin Infiltration Most Successfully Used.
From www.researchgate.net
Procedure of resin infiltration technique (A) Cleaning the surfaces of Where Is Resin Infiltration Most Successfully Used the principle of resin infiltration is to perfuse the porous enamel with resin by capillary action, thereby arresting lesion. resin infiltration is a minimally invasive technique to treat mild hypomineralized lesions. resin infiltration seems to be a clinically effective method in arresting. They were informed that the process may need to be repeated several times in order. Where Is Resin Infiltration Most Successfully Used.
From issuu.com
Resin Infiltration of (Icon DMG) Post Orthodontic White Spot Lesions by Where Is Resin Infiltration Most Successfully Used resin infiltration seems to be a clinically effective method in arresting. resin infiltration is a minimally invasive technique to treat mild hypomineralized lesions. resin infiltration has stood out as a successful minimally invasive therapeutic approach to conceal such. the principle of resin infiltration is to perfuse the porous enamel with resin by capillary action, thereby arresting. Where Is Resin Infiltration Most Successfully Used.