Toe Joint Replacement Recovery Time . Recovery from a big toe joint replacement generally takes about 6 to 8 weeks for most individuals. Find out what happens during surgery, how long it takes to recover, and what. Find out when you can. When is foot surgery performed? How well does surgery work? Toe joint replacement is usually done under general anaesthetic. What to expect after surgery. Arthroplasty is surgery to replace all or some of a joint. Your surgeon will make a. Your recovery time depends on how extensive the procedure is and how well you take care of your foot after the procedure. Learn how a big toe replacement can relieve pain and stiffness caused by osteoarthritis or hallux rigidus. However, full recovery, including the return to normal activities and wearing regular shoes, may take up to 6 months. Most patients go home the day after surgery. Learn about the procedure, recovery, and risks of first mtp joint replacement, a surgery for severe arthritis of the big toe.
from www.hmpgloballearningnetwork.com
However, full recovery, including the return to normal activities and wearing regular shoes, may take up to 6 months. Most patients go home the day after surgery. When is foot surgery performed? Your surgeon will make a. Recovery from a big toe joint replacement generally takes about 6 to 8 weeks for most individuals. Learn how a big toe replacement can relieve pain and stiffness caused by osteoarthritis or hallux rigidus. What to expect after surgery. Find out when you can. Learn about the procedure, recovery, and risks of first mtp joint replacement, a surgery for severe arthritis of the big toe. Arthroplasty is surgery to replace all or some of a joint.
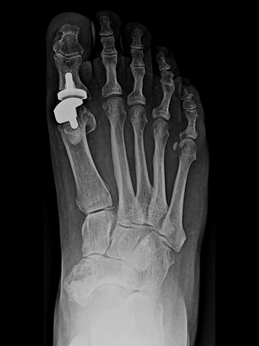
Practical Pearls On Revising A Failed Hallux HemiImplant Arthroplasty
Toe Joint Replacement Recovery Time Recovery from a big toe joint replacement generally takes about 6 to 8 weeks for most individuals. Your surgeon will make a. Recovery from a big toe joint replacement generally takes about 6 to 8 weeks for most individuals. Your recovery time depends on how extensive the procedure is and how well you take care of your foot after the procedure. Learn how a big toe replacement can relieve pain and stiffness caused by osteoarthritis or hallux rigidus. However, full recovery, including the return to normal activities and wearing regular shoes, may take up to 6 months. Find out when you can. Find out what happens during surgery, how long it takes to recover, and what. Learn about the procedure, recovery, and risks of first mtp joint replacement, a surgery for severe arthritis of the big toe. Arthroplasty is surgery to replace all or some of a joint. Toe joint replacement is usually done under general anaesthetic. Most patients go home the day after surgery. What to expect after surgery. How well does surgery work? When is foot surgery performed?
From www.stormanesthesia.com
Storm Anesthesia The Stiff Big Toe Joint (Hallux Rigidus) Toe Joint Replacement Recovery Time Arthroplasty is surgery to replace all or some of a joint. Your recovery time depends on how extensive the procedure is and how well you take care of your foot after the procedure. Your surgeon will make a. Recovery from a big toe joint replacement generally takes about 6 to 8 weeks for most individuals. What to expect after surgery.. Toe Joint Replacement Recovery Time.
From www.drmikesmith.com.au
1st MTP Joint (Big Toe Joint) Fusion Dr Mike Smith Adelaide Toe Joint Replacement Recovery Time Find out when you can. Toe joint replacement is usually done under general anaesthetic. When is foot surgery performed? Learn how a big toe replacement can relieve pain and stiffness caused by osteoarthritis or hallux rigidus. Your recovery time depends on how extensive the procedure is and how well you take care of your foot after the procedure. What to. Toe Joint Replacement Recovery Time.
From os.clinic
Toe fusion surgery treatment, recovery & longterm impact Toe Joint Replacement Recovery Time Learn how a big toe replacement can relieve pain and stiffness caused by osteoarthritis or hallux rigidus. Find out when you can. Most patients go home the day after surgery. Toe joint replacement is usually done under general anaesthetic. When is foot surgery performed? Recovery from a big toe joint replacement generally takes about 6 to 8 weeks for most. Toe Joint Replacement Recovery Time.
From www.youtube.com
Arthrodesis on the PIP joint (hammer toe & claw toe) surgical treatment Toe Joint Replacement Recovery Time However, full recovery, including the return to normal activities and wearing regular shoes, may take up to 6 months. Find out what happens during surgery, how long it takes to recover, and what. Arthroplasty is surgery to replace all or some of a joint. Most patients go home the day after surgery. Learn how a big toe replacement can relieve. Toe Joint Replacement Recovery Time.
From www.jackson-podiatrist.com
Say NO to BIG TOE fusion Toe Joint Replacement Recovery Time Toe joint replacement is usually done under general anaesthetic. What to expect after surgery. How well does surgery work? Recovery from a big toe joint replacement generally takes about 6 to 8 weeks for most individuals. Arthroplasty is surgery to replace all or some of a joint. When is foot surgery performed? However, full recovery, including the return to normal. Toe Joint Replacement Recovery Time.
From externalharddrivedatarecoverynearmeso.blogspot.com
External Hard Drive Data Recovery Near Me Toe Joint Replacement Toe Joint Replacement Recovery Time Arthroplasty is surgery to replace all or some of a joint. Learn how a big toe replacement can relieve pain and stiffness caused by osteoarthritis or hallux rigidus. Find out when you can. Learn about the procedure, recovery, and risks of first mtp joint replacement, a surgery for severe arthritis of the big toe. Your surgeon will make a. Find. Toe Joint Replacement Recovery Time.
From medapparatus.com
Joint Arthroplasty a gallery Toe Joint Replacement Recovery Time How well does surgery work? Arthroplasty is surgery to replace all or some of a joint. However, full recovery, including the return to normal activities and wearing regular shoes, may take up to 6 months. Toe joint replacement is usually done under general anaesthetic. Your recovery time depends on how extensive the procedure is and how well you take care. Toe Joint Replacement Recovery Time.
From www.pinterest.com
Total joint great toe Great toe, Foot surgery, Joint Toe Joint Replacement Recovery Time Find out what happens during surgery, how long it takes to recover, and what. When is foot surgery performed? Toe joint replacement is usually done under general anaesthetic. What to expect after surgery. Recovery from a big toe joint replacement generally takes about 6 to 8 weeks for most individuals. Arthroplasty is surgery to replace all or some of a. Toe Joint Replacement Recovery Time.
From cellaxys.com
Knee Replacement Recovery Time Cellaxys Toe Joint Replacement Recovery Time Find out what happens during surgery, how long it takes to recover, and what. Most patients go home the day after surgery. How well does surgery work? What to expect after surgery. Arthroplasty is surgery to replace all or some of a joint. Recovery from a big toe joint replacement generally takes about 6 to 8 weeks for most individuals.. Toe Joint Replacement Recovery Time.
From www.youtube.com
Great Toe Joint Replacement Surgery YouTube Toe Joint Replacement Recovery Time Toe joint replacement is usually done under general anaesthetic. Recovery from a big toe joint replacement generally takes about 6 to 8 weeks for most individuals. Your recovery time depends on how extensive the procedure is and how well you take care of your foot after the procedure. Learn how a big toe replacement can relieve pain and stiffness caused. Toe Joint Replacement Recovery Time.
From www.ptprogress.com
Total Knee Replacement Recovery What to Expect After Knee Replacement Toe Joint Replacement Recovery Time Find out what happens during surgery, how long it takes to recover, and what. When is foot surgery performed? Arthroplasty is surgery to replace all or some of a joint. What to expect after surgery. Your recovery time depends on how extensive the procedure is and how well you take care of your foot after the procedure. How well does. Toe Joint Replacement Recovery Time.
From sportsortho.co.uk
Big Toe Fusion London Sports Orthopaedics Toe Joint Replacement Recovery Time Toe joint replacement is usually done under general anaesthetic. Find out what happens during surgery, how long it takes to recover, and what. Most patients go home the day after surgery. However, full recovery, including the return to normal activities and wearing regular shoes, may take up to 6 months. Learn about the procedure, recovery, and risks of first mtp. Toe Joint Replacement Recovery Time.
From www.mayoclinic.org
Salvage surgery for failed toe joint replacement Mayo Clinic Toe Joint Replacement Recovery Time Your surgeon will make a. Arthroplasty is surgery to replace all or some of a joint. Recovery from a big toe joint replacement generally takes about 6 to 8 weeks for most individuals. Find out when you can. When is foot surgery performed? Toe joint replacement is usually done under general anaesthetic. Learn how a big toe replacement can relieve. Toe Joint Replacement Recovery Time.
From districtfootankle.com
Great Toe Joint Fusion Surgery Alexandria VA Podiatrist Toe Joint Replacement Recovery Time Most patients go home the day after surgery. Arthroplasty is surgery to replace all or some of a joint. Toe joint replacement is usually done under general anaesthetic. When is foot surgery performed? Your recovery time depends on how extensive the procedure is and how well you take care of your foot after the procedure. Your surgeon will make a.. Toe Joint Replacement Recovery Time.
From www.youtube.com
Big Toe Arthritis Surgery Cheilectomy Procedure Dr. Nick Campitelli Toe Joint Replacement Recovery Time Your surgeon will make a. Toe joint replacement is usually done under general anaesthetic. Find out what happens during surgery, how long it takes to recover, and what. When is foot surgery performed? Recovery from a big toe joint replacement generally takes about 6 to 8 weeks for most individuals. How well does surgery work? What to expect after surgery.. Toe Joint Replacement Recovery Time.
From mfaspecialists.com
Treatment for Big Toe Joint Pain Foot Arthritis Toe Joint Replacement Recovery Time Your recovery time depends on how extensive the procedure is and how well you take care of your foot after the procedure. Find out when you can. What to expect after surgery. Your surgeon will make a. Toe joint replacement is usually done under general anaesthetic. However, full recovery, including the return to normal activities and wearing regular shoes, may. Toe Joint Replacement Recovery Time.
From www.lihpao.com
Robotic Knee Replacement Recovery Time What You Need to Know The Toe Joint Replacement Recovery Time Most patients go home the day after surgery. Toe joint replacement is usually done under general anaesthetic. What to expect after surgery. Find out what happens during surgery, how long it takes to recover, and what. Your recovery time depends on how extensive the procedure is and how well you take care of your foot after the procedure. However, full. Toe Joint Replacement Recovery Time.
From www.youtube.com
Big Toe Joint Implant for Pain and Arthritis YouTube Toe Joint Replacement Recovery Time Toe joint replacement is usually done under general anaesthetic. Arthroplasty is surgery to replace all or some of a joint. Learn about the procedure, recovery, and risks of first mtp joint replacement, a surgery for severe arthritis of the big toe. Your surgeon will make a. However, full recovery, including the return to normal activities and wearing regular shoes, may. Toe Joint Replacement Recovery Time.
From www.opnews.com
Current status of silicone joint implants for first MTPJ replacement Toe Joint Replacement Recovery Time Your surgeon will make a. However, full recovery, including the return to normal activities and wearing regular shoes, may take up to 6 months. When is foot surgery performed? Your recovery time depends on how extensive the procedure is and how well you take care of your foot after the procedure. Most patients go home the day after surgery. Arthroplasty. Toe Joint Replacement Recovery Time.
From ht-physio.co.uk
Knee Replacement Recovery Time How Long Does It Take? Toe Joint Replacement Recovery Time Your surgeon will make a. Learn about the procedure, recovery, and risks of first mtp joint replacement, a surgery for severe arthritis of the big toe. Find out when you can. Recovery from a big toe joint replacement generally takes about 6 to 8 weeks for most individuals. What to expect after surgery. How well does surgery work? Arthroplasty is. Toe Joint Replacement Recovery Time.
From mfaspecialists.com
Toe Straightening, Short Toe Correction and Toe Lengthening Surgery Toe Joint Replacement Recovery Time Find out what happens during surgery, how long it takes to recover, and what. Find out when you can. However, full recovery, including the return to normal activities and wearing regular shoes, may take up to 6 months. Learn about the procedure, recovery, and risks of first mtp joint replacement, a surgery for severe arthritis of the big toe. Your. Toe Joint Replacement Recovery Time.
From www.rotoglide.com
Surgery Explained ROTOglide™ Toe Joint Replacement Recovery Time Recovery from a big toe joint replacement generally takes about 6 to 8 weeks for most individuals. However, full recovery, including the return to normal activities and wearing regular shoes, may take up to 6 months. Find out what happens during surgery, how long it takes to recover, and what. How well does surgery work? Most patients go home the. Toe Joint Replacement Recovery Time.
From www.danielbohl.com
Big Toe Arthritis — Daniel Bohl, MD Midwest Orthopaedics at RUSH Toe Joint Replacement Recovery Time Your surgeon will make a. Most patients go home the day after surgery. However, full recovery, including the return to normal activities and wearing regular shoes, may take up to 6 months. Learn about the procedure, recovery, and risks of first mtp joint replacement, a surgery for severe arthritis of the big toe. Recovery from a big toe joint replacement. Toe Joint Replacement Recovery Time.
From thetagoeclinic.co.uk
Dislocated Toes The Tagoe Clinic Toe Joint Replacement Recovery Time Find out what happens during surgery, how long it takes to recover, and what. Most patients go home the day after surgery. However, full recovery, including the return to normal activities and wearing regular shoes, may take up to 6 months. Toe joint replacement is usually done under general anaesthetic. How well does surgery work? Learn how a big toe. Toe Joint Replacement Recovery Time.
From ar.inspiredpencil.com
Hallux Rigidus Surgery Recovery Toe Joint Replacement Recovery Time Your surgeon will make a. When is foot surgery performed? Learn how a big toe replacement can relieve pain and stiffness caused by osteoarthritis or hallux rigidus. Find out what happens during surgery, how long it takes to recover, and what. Recovery from a big toe joint replacement generally takes about 6 to 8 weeks for most individuals. How well. Toe Joint Replacement Recovery Time.
From evahospital.in
Total Knee Replacement Recovery Timeline Eva Hospital Toe Joint Replacement Recovery Time Arthroplasty is surgery to replace all or some of a joint. When is foot surgery performed? Your recovery time depends on how extensive the procedure is and how well you take care of your foot after the procedure. Toe joint replacement is usually done under general anaesthetic. Most patients go home the day after surgery. Your surgeon will make a.. Toe Joint Replacement Recovery Time.
From www.pacificrimorthopedic.com
Toe Joint Replacement Pacific Rim Orthopaedics Toe Joint Replacement Recovery Time When is foot surgery performed? Your surgeon will make a. However, full recovery, including the return to normal activities and wearing regular shoes, may take up to 6 months. How well does surgery work? Find out what happens during surgery, how long it takes to recover, and what. Toe joint replacement is usually done under general anaesthetic. Find out when. Toe Joint Replacement Recovery Time.
From www.pinterest.jp
Total Knee Replacement Surgery Recovery Time and What to Expect Knee Toe Joint Replacement Recovery Time Find out what happens during surgery, how long it takes to recover, and what. Recovery from a big toe joint replacement generally takes about 6 to 8 weeks for most individuals. What to expect after surgery. Learn about the procedure, recovery, and risks of first mtp joint replacement, a surgery for severe arthritis of the big toe. Toe joint replacement. Toe Joint Replacement Recovery Time.
From www.davidredfernsurgery.com
Big Toe Fusion (1st MTPJ fusion) — David Redfern Surgery Toe Joint Replacement Recovery Time Find out when you can. Arthroplasty is surgery to replace all or some of a joint. Your surgeon will make a. When is foot surgery performed? How well does surgery work? Recovery from a big toe joint replacement generally takes about 6 to 8 weeks for most individuals. What to expect after surgery. Find out what happens during surgery, how. Toe Joint Replacement Recovery Time.
From www.lifeslittlesteps.com
Big Toe Joint Fusion Surgery Treatment for Arthritis Pain Toe Joint Replacement Recovery Time Toe joint replacement is usually done under general anaesthetic. Find out what happens during surgery, how long it takes to recover, and what. Arthroplasty is surgery to replace all or some of a joint. How well does surgery work? Learn about the procedure, recovery, and risks of first mtp joint replacement, a surgery for severe arthritis of the big toe.. Toe Joint Replacement Recovery Time.
From www.michiganfootdoctors.com
Pros and Cons of Big Toe Joint Fusion [The Best Big Toe Joint Surgery?] Toe Joint Replacement Recovery Time Arthroplasty is surgery to replace all or some of a joint. However, full recovery, including the return to normal activities and wearing regular shoes, may take up to 6 months. Learn how a big toe replacement can relieve pain and stiffness caused by osteoarthritis or hallux rigidus. Most patients go home the day after surgery. Recovery from a big toe. Toe Joint Replacement Recovery Time.
From medapparatus.com
Joint Arthroplasty a gallery Toe Joint Replacement Recovery Time How well does surgery work? Arthroplasty is surgery to replace all or some of a joint. Learn about the procedure, recovery, and risks of first mtp joint replacement, a surgery for severe arthritis of the big toe. What to expect after surgery. Find out what happens during surgery, how long it takes to recover, and what. Recovery from a big. Toe Joint Replacement Recovery Time.
From externalharddrivedatarecoverynearmeso.blogspot.com
External Hard Drive Data Recovery Near Me Toe Joint Replacement Toe Joint Replacement Recovery Time What to expect after surgery. Learn how a big toe replacement can relieve pain and stiffness caused by osteoarthritis or hallux rigidus. When is foot surgery performed? Most patients go home the day after surgery. Your surgeon will make a. Toe joint replacement is usually done under general anaesthetic. Learn about the procedure, recovery, and risks of first mtp joint. Toe Joint Replacement Recovery Time.
From aliconex.com
Knee Alternative Restoration Timeline What to Anticipate aliconex Toe Joint Replacement Recovery Time Learn about the procedure, recovery, and risks of first mtp joint replacement, a surgery for severe arthritis of the big toe. However, full recovery, including the return to normal activities and wearing regular shoes, may take up to 6 months. Learn how a big toe replacement can relieve pain and stiffness caused by osteoarthritis or hallux rigidus. How well does. Toe Joint Replacement Recovery Time.
From www.hmpgloballearningnetwork.com
Practical Pearls On Revising A Failed Hallux HemiImplant Arthroplasty Toe Joint Replacement Recovery Time Your recovery time depends on how extensive the procedure is and how well you take care of your foot after the procedure. Learn how a big toe replacement can relieve pain and stiffness caused by osteoarthritis or hallux rigidus. Find out what happens during surgery, how long it takes to recover, and what. Most patients go home the day after. Toe Joint Replacement Recovery Time.