Natural Teeth Scaling . The buildup of plaque and tartar on the teeth can cause bad breath, tooth decay, and gum disease. While traditional dentistry offers scaling and root planing (srp) as a treatment for gum disease, holistic dentistry takes a more comprehensive approach. First, my dentist performed a deep cleaning procedure called “scaling and root planning (srp)” which involves pulling the gums slightly away from the tooth to remove. The first task is to clean the teeth and remove any stubborn tartar by scraping it away. Even though you brush and floss on the reg, it’s only natural for your teeth to develop a buildup of plaque and tartar. Various tartar removal tools are used for descaling teeth, which we describe in more detail below. In a perfect world, you’d go to the dentist every six months. Place the scaler under the tartar. Pull the scaler against the side of the tooth. Check to be sure the tooth is smooth. Learn the ways to prevent plaque and tartar at home. Explain what you have done and what the person.
from www.easterndental.com
While traditional dentistry offers scaling and root planing (srp) as a treatment for gum disease, holistic dentistry takes a more comprehensive approach. The buildup of plaque and tartar on the teeth can cause bad breath, tooth decay, and gum disease. Even though you brush and floss on the reg, it’s only natural for your teeth to develop a buildup of plaque and tartar. Learn the ways to prevent plaque and tartar at home. Explain what you have done and what the person. Place the scaler under the tartar. The first task is to clean the teeth and remove any stubborn tartar by scraping it away. Various tartar removal tools are used for descaling teeth, which we describe in more detail below. Pull the scaler against the side of the tooth. First, my dentist performed a deep cleaning procedure called “scaling and root planning (srp)” which involves pulling the gums slightly away from the tooth to remove.
Scaling and Root Planing Eastern Dental
Natural Teeth Scaling The first task is to clean the teeth and remove any stubborn tartar by scraping it away. Explain what you have done and what the person. In a perfect world, you’d go to the dentist every six months. First, my dentist performed a deep cleaning procedure called “scaling and root planning (srp)” which involves pulling the gums slightly away from the tooth to remove. While traditional dentistry offers scaling and root planing (srp) as a treatment for gum disease, holistic dentistry takes a more comprehensive approach. Even though you brush and floss on the reg, it’s only natural for your teeth to develop a buildup of plaque and tartar. Learn the ways to prevent plaque and tartar at home. Pull the scaler against the side of the tooth. The first task is to clean the teeth and remove any stubborn tartar by scraping it away. Various tartar removal tools are used for descaling teeth, which we describe in more detail below. Check to be sure the tooth is smooth. Place the scaler under the tartar. The buildup of plaque and tartar on the teeth can cause bad breath, tooth decay, and gum disease.
From derosadentistry.com
Teeth Scaling A Guide To Keeping Your Smile Bright Natural Teeth Scaling Learn the ways to prevent plaque and tartar at home. Explain what you have done and what the person. Various tartar removal tools are used for descaling teeth, which we describe in more detail below. First, my dentist performed a deep cleaning procedure called “scaling and root planning (srp)” which involves pulling the gums slightly away from the tooth to. Natural Teeth Scaling.
From dantkritidentalclinic.com
Scaling Damage Your Teeth Enamel Dental Implant Clinic Natural Teeth Scaling Check to be sure the tooth is smooth. The first task is to clean the teeth and remove any stubborn tartar by scraping it away. In a perfect world, you’d go to the dentist every six months. While traditional dentistry offers scaling and root planing (srp) as a treatment for gum disease, holistic dentistry takes a more comprehensive approach. Explain. Natural Teeth Scaling.
From www.dnaindia.com
Everything you need to know about teeth scaling Natural Teeth Scaling Place the scaler under the tartar. The buildup of plaque and tartar on the teeth can cause bad breath, tooth decay, and gum disease. First, my dentist performed a deep cleaning procedure called “scaling and root planning (srp)” which involves pulling the gums slightly away from the tooth to remove. While traditional dentistry offers scaling and root planing (srp) as. Natural Teeth Scaling.
From 24houremergencydentistlondon.com
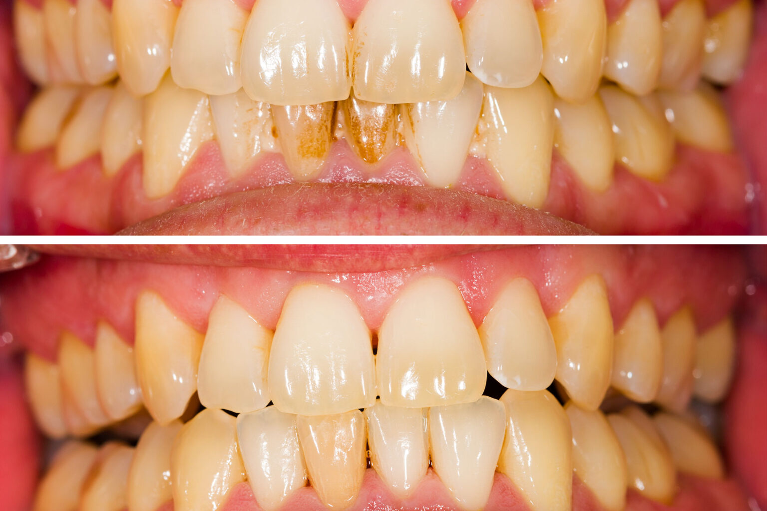
Teeth scaling procedure results before and after Natural Teeth Scaling Even though you brush and floss on the reg, it’s only natural for your teeth to develop a buildup of plaque and tartar. Pull the scaler against the side of the tooth. The first task is to clean the teeth and remove any stubborn tartar by scraping it away. Place the scaler under the tartar. While traditional dentistry offers scaling. Natural Teeth Scaling.
From www.alqudrahmc.com
Teeth Scaling Procedure, Need and Benefits AlQudrahMC Natural Teeth Scaling While traditional dentistry offers scaling and root planing (srp) as a treatment for gum disease, holistic dentistry takes a more comprehensive approach. In a perfect world, you’d go to the dentist every six months. First, my dentist performed a deep cleaning procedure called “scaling and root planning (srp)” which involves pulling the gums slightly away from the tooth to remove.. Natural Teeth Scaling.
From www.advancedprosthodontics.com
What is "Periodontal Scaling & Root Planing" in Bethlehem, PA Natural Teeth Scaling First, my dentist performed a deep cleaning procedure called “scaling and root planning (srp)” which involves pulling the gums slightly away from the tooth to remove. While traditional dentistry offers scaling and root planing (srp) as a treatment for gum disease, holistic dentistry takes a more comprehensive approach. The first task is to clean the teeth and remove any stubborn. Natural Teeth Scaling.
From www.smilecraftdental.com
Tooth Scaling And Root Planing Natural Teeth Scaling Check to be sure the tooth is smooth. Even though you brush and floss on the reg, it’s only natural for your teeth to develop a buildup of plaque and tartar. While traditional dentistry offers scaling and root planing (srp) as a treatment for gum disease, holistic dentistry takes a more comprehensive approach. In a perfect world, you’d go to. Natural Teeth Scaling.
From stock.adobe.com
Oral hygiene Scaling and root planing (conventional periodontal Natural Teeth Scaling Even though you brush and floss on the reg, it’s only natural for your teeth to develop a buildup of plaque and tartar. The first task is to clean the teeth and remove any stubborn tartar by scraping it away. Learn the ways to prevent plaque and tartar at home. Check to be sure the tooth is smooth. While traditional. Natural Teeth Scaling.
From www.andoverperiodontics.com
Scaling and Root Planing Periodontal Procedures Natural Teeth Scaling While traditional dentistry offers scaling and root planing (srp) as a treatment for gum disease, holistic dentistry takes a more comprehensive approach. The buildup of plaque and tartar on the teeth can cause bad breath, tooth decay, and gum disease. Pull the scaler against the side of the tooth. Even though you brush and floss on the reg, it’s only. Natural Teeth Scaling.
From divinedentalhome.com.ng
What Are Tooth Scaling And Root Planing? DDH Dental Clinic Natural Teeth Scaling Pull the scaler against the side of the tooth. While traditional dentistry offers scaling and root planing (srp) as a treatment for gum disease, holistic dentistry takes a more comprehensive approach. Explain what you have done and what the person. First, my dentist performed a deep cleaning procedure called “scaling and root planning (srp)” which involves pulling the gums slightly. Natural Teeth Scaling.
From www.fisherpointedental.com
Dental Scaling How It Can Help Create Healthier Teeth and Gums Natural Teeth Scaling Pull the scaler against the side of the tooth. While traditional dentistry offers scaling and root planing (srp) as a treatment for gum disease, holistic dentistry takes a more comprehensive approach. Explain what you have done and what the person. Even though you brush and floss on the reg, it’s only natural for your teeth to develop a buildup of. Natural Teeth Scaling.
From delhidentalhospital.com
Teeth scaling King & Queen Dental Best Dental Hospital in Delhi Natural Teeth Scaling First, my dentist performed a deep cleaning procedure called “scaling and root planning (srp)” which involves pulling the gums slightly away from the tooth to remove. The first task is to clean the teeth and remove any stubborn tartar by scraping it away. Place the scaler under the tartar. Learn the ways to prevent plaque and tartar at home. Various. Natural Teeth Scaling.
From www.godigit.com
A Comprehensive Guide On Scaling And Polishing Of Teeth Natural Teeth Scaling The buildup of plaque and tartar on the teeth can cause bad breath, tooth decay, and gum disease. Even though you brush and floss on the reg, it’s only natural for your teeth to develop a buildup of plaque and tartar. The first task is to clean the teeth and remove any stubborn tartar by scraping it away. Various tartar. Natural Teeth Scaling.
From dentagama.com
Teeth Scaling Procedure News Dentagama Natural Teeth Scaling The buildup of plaque and tartar on the teeth can cause bad breath, tooth decay, and gum disease. In a perfect world, you’d go to the dentist every six months. Check to be sure the tooth is smooth. Various tartar removal tools are used for descaling teeth, which we describe in more detail below. The first task is to clean. Natural Teeth Scaling.
From dentagama.com
Teeth Scaling Procedure News Dentagama Natural Teeth Scaling Check to be sure the tooth is smooth. Place the scaler under the tartar. The buildup of plaque and tartar on the teeth can cause bad breath, tooth decay, and gum disease. Pull the scaler against the side of the tooth. Explain what you have done and what the person. While traditional dentistry offers scaling and root planing (srp) as. Natural Teeth Scaling.
From www.dmsdentistry.com
Scaling and Root Planing DMS Dentistry Natural Teeth Scaling Pull the scaler against the side of the tooth. While traditional dentistry offers scaling and root planing (srp) as a treatment for gum disease, holistic dentistry takes a more comprehensive approach. Even though you brush and floss on the reg, it’s only natural for your teeth to develop a buildup of plaque and tartar. First, my dentist performed a deep. Natural Teeth Scaling.
From www.clearpathortho.com
Scaling of teeth Everything you should know ClearPath Orthodontics Natural Teeth Scaling Check to be sure the tooth is smooth. While traditional dentistry offers scaling and root planing (srp) as a treatment for gum disease, holistic dentistry takes a more comprehensive approach. Pull the scaler against the side of the tooth. Various tartar removal tools are used for descaling teeth, which we describe in more detail below. The first task is to. Natural Teeth Scaling.
From smileandmove.co.uk
How Dental Scaling & Root Planing help prevent gum disease? Natural Teeth Scaling Pull the scaler against the side of the tooth. Learn the ways to prevent plaque and tartar at home. Place the scaler under the tartar. The buildup of plaque and tartar on the teeth can cause bad breath, tooth decay, and gum disease. First, my dentist performed a deep cleaning procedure called “scaling and root planning (srp)” which involves pulling. Natural Teeth Scaling.
From www.stellardental.my
Teeth Scaling Teeth Cleaning Treatment Stellar Dental Natural Teeth Scaling Explain what you have done and what the person. In a perfect world, you’d go to the dentist every six months. Even though you brush and floss on the reg, it’s only natural for your teeth to develop a buildup of plaque and tartar. The first task is to clean the teeth and remove any stubborn tartar by scraping it. Natural Teeth Scaling.
From beautymedicaldevices.com
Benefits Of Tooth Scaling Is Scaling Good For Teeth? Natural Teeth Scaling While traditional dentistry offers scaling and root planing (srp) as a treatment for gum disease, holistic dentistry takes a more comprehensive approach. Various tartar removal tools are used for descaling teeth, which we describe in more detail below. Place the scaler under the tartar. Check to be sure the tooth is smooth. Learn the ways to prevent plaque and tartar. Natural Teeth Scaling.
From www.globaldentalpro.com
How Much Do You Know About Dental Scaling? GlobalDentalPro Natural Teeth Scaling The buildup of plaque and tartar on the teeth can cause bad breath, tooth decay, and gum disease. Pull the scaler against the side of the tooth. Check to be sure the tooth is smooth. Learn the ways to prevent plaque and tartar at home. First, my dentist performed a deep cleaning procedure called “scaling and root planning (srp)” which. Natural Teeth Scaling.
From dentakings.com
Professional Scaling Denta Kings Natural Teeth Scaling Even though you brush and floss on the reg, it’s only natural for your teeth to develop a buildup of plaque and tartar. The buildup of plaque and tartar on the teeth can cause bad breath, tooth decay, and gum disease. Pull the scaler against the side of the tooth. In a perfect world, you’d go to the dentist every. Natural Teeth Scaling.
From www.easterndental.com
Scaling and Root Planing Eastern Dental Natural Teeth Scaling Learn the ways to prevent plaque and tartar at home. While traditional dentistry offers scaling and root planing (srp) as a treatment for gum disease, holistic dentistry takes a more comprehensive approach. The buildup of plaque and tartar on the teeth can cause bad breath, tooth decay, and gum disease. Various tartar removal tools are used for descaling teeth, which. Natural Teeth Scaling.
From dantkritidentalclinic.com
Scaling Damage Your Teeth Enamel Dental Implant Clinic Natural Teeth Scaling Check to be sure the tooth is smooth. In a perfect world, you’d go to the dentist every six months. Various tartar removal tools are used for descaling teeth, which we describe in more detail below. The first task is to clean the teeth and remove any stubborn tartar by scraping it away. Learn the ways to prevent plaque and. Natural Teeth Scaling.
From urbndental.com
what is teeth scaling? Teeth Scaling Before and After Natural Teeth Scaling The first task is to clean the teeth and remove any stubborn tartar by scraping it away. While traditional dentistry offers scaling and root planing (srp) as a treatment for gum disease, holistic dentistry takes a more comprehensive approach. Pull the scaler against the side of the tooth. Explain what you have done and what the person. The buildup of. Natural Teeth Scaling.
From kpdrfatain.com.my
Teeth Scaling Dr Fatain Dental Clinic Natural Teeth Scaling While traditional dentistry offers scaling and root planing (srp) as a treatment for gum disease, holistic dentistry takes a more comprehensive approach. In a perfect world, you’d go to the dentist every six months. The first task is to clean the teeth and remove any stubborn tartar by scraping it away. Learn the ways to prevent plaque and tartar at. Natural Teeth Scaling.
From www.youtube.com
Teeth Scaling Process Cuci Gigi Scaling Dentist Adda Dental Natural Teeth Scaling Explain what you have done and what the person. Even though you brush and floss on the reg, it’s only natural for your teeth to develop a buildup of plaque and tartar. The first task is to clean the teeth and remove any stubborn tartar by scraping it away. In a perfect world, you’d go to the dentist every six. Natural Teeth Scaling.
From thenewtownclinic.blogspot.com
Why is dental scaling important? Says, dental surgeon Natural Teeth Scaling Learn the ways to prevent plaque and tartar at home. The first task is to clean the teeth and remove any stubborn tartar by scraping it away. The buildup of plaque and tartar on the teeth can cause bad breath, tooth decay, and gum disease. First, my dentist performed a deep cleaning procedure called “scaling and root planning (srp)” which. Natural Teeth Scaling.
From elevatedental.ph
Tooth Scaling and Root Planing Elevate Dental Natural Teeth Scaling Various tartar removal tools are used for descaling teeth, which we describe in more detail below. Pull the scaler against the side of the tooth. While traditional dentistry offers scaling and root planing (srp) as a treatment for gum disease, holistic dentistry takes a more comprehensive approach. Check to be sure the tooth is smooth. In a perfect world, you’d. Natural Teeth Scaling.
From dentalsolutionsny.com
What is dental scaling and root planing? Flushing, New York City Natural Teeth Scaling Check to be sure the tooth is smooth. First, my dentist performed a deep cleaning procedure called “scaling and root planning (srp)” which involves pulling the gums slightly away from the tooth to remove. Various tartar removal tools are used for descaling teeth, which we describe in more detail below. Pull the scaler against the side of the tooth. While. Natural Teeth Scaling.
From mayfielddental.com
What You Need To Know About Teeth Scaling And Root Planning To Have The Natural Teeth Scaling The buildup of plaque and tartar on the teeth can cause bad breath, tooth decay, and gum disease. Even though you brush and floss on the reg, it’s only natural for your teeth to develop a buildup of plaque and tartar. Various tartar removal tools are used for descaling teeth, which we describe in more detail below. In a perfect. Natural Teeth Scaling.
From dentalexpertclinic.com
Benefits Of Teeth Scaling Dental Expert Clinic Natural Teeth Scaling While traditional dentistry offers scaling and root planing (srp) as a treatment for gum disease, holistic dentistry takes a more comprehensive approach. Place the scaler under the tartar. Learn the ways to prevent plaque and tartar at home. In a perfect world, you’d go to the dentist every six months. Pull the scaler against the side of the tooth. Check. Natural Teeth Scaling.
From erbsvilledental.ca
Dental Scaling Waterloo Dentist Dr. Stephen Mathews Erbsville Dental Natural Teeth Scaling In a perfect world, you’d go to the dentist every six months. Learn the ways to prevent plaque and tartar at home. Explain what you have done and what the person. Pull the scaler against the side of the tooth. Even though you brush and floss on the reg, it’s only natural for your teeth to develop a buildup of. Natural Teeth Scaling.
From dentagama.com
Teeth Scaling Procedure News Dentagama Natural Teeth Scaling Learn the ways to prevent plaque and tartar at home. While traditional dentistry offers scaling and root planing (srp) as a treatment for gum disease, holistic dentistry takes a more comprehensive approach. Various tartar removal tools are used for descaling teeth, which we describe in more detail below. Explain what you have done and what the person. The first task. Natural Teeth Scaling.
From theelitedental.com
What is Tooth Scaling? Elite Dental Care Natural Teeth Scaling Explain what you have done and what the person. While traditional dentistry offers scaling and root planing (srp) as a treatment for gum disease, holistic dentistry takes a more comprehensive approach. Pull the scaler against the side of the tooth. The first task is to clean the teeth and remove any stubborn tartar by scraping it away. Place the scaler. Natural Teeth Scaling.