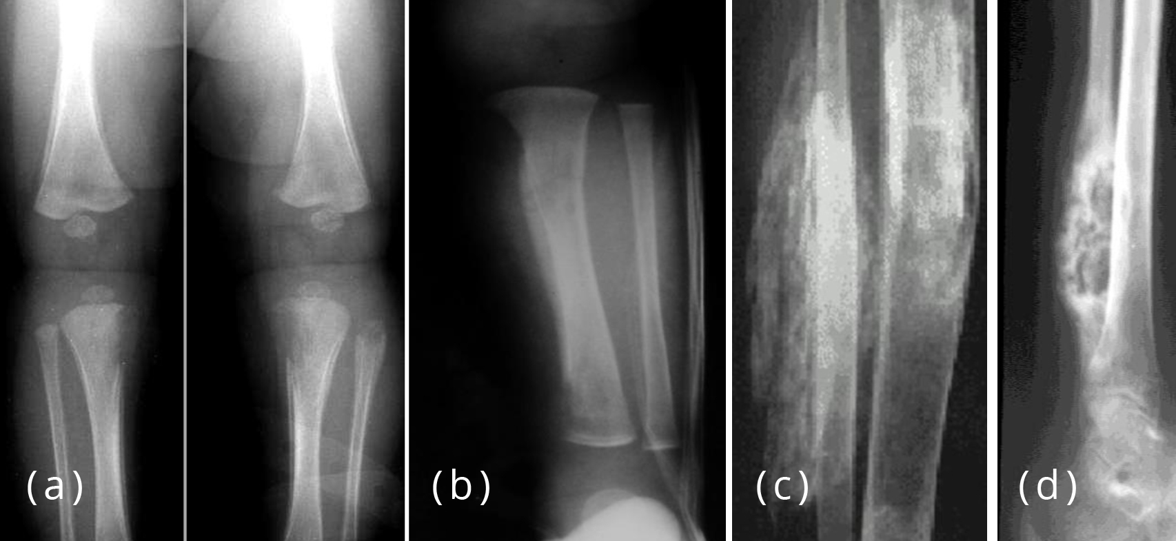
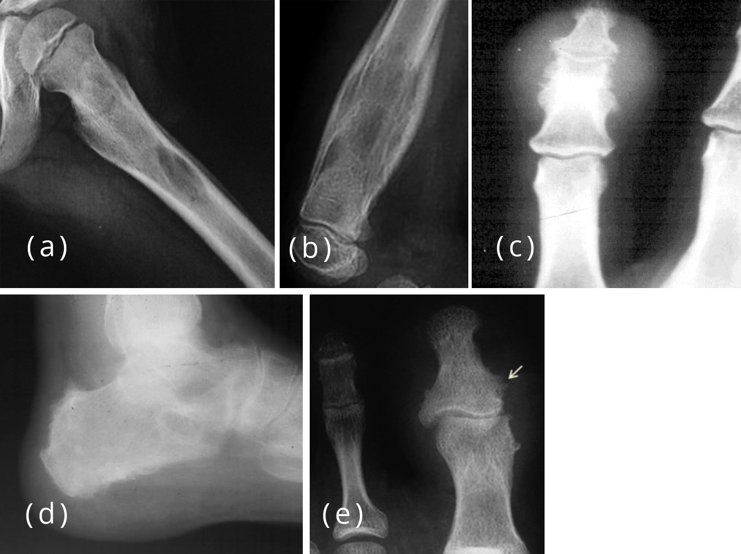
Periosteal Reaction Dental . The ultimate goal of any dental treatment is the regeneration of lost tissues. This poster will review the gross and cellular anatomy of the periosteal membrane and a range of periosteal responses. Proliferative periostitis is a rare disease, and represents new bone formation. Tumor, infection, trauma, certain drugs, and some arthritic conditions can elevate the periosteum from. The formation of new bone by periosteum due to an insult is called periosteal bone reaction (pbr). Periosteal reaction results when cortical bone reacts to one of many possible insults. Patterns of periosteal reaction, both in morphology and distribution, are key to distinguishing benign or physiologic periosteal reaction from types of periosteal.
from www.slideserve.com
Patterns of periosteal reaction, both in morphology and distribution, are key to distinguishing benign or physiologic periosteal reaction from types of periosteal. This poster will review the gross and cellular anatomy of the periosteal membrane and a range of periosteal responses. The ultimate goal of any dental treatment is the regeneration of lost tissues. Periosteal reaction results when cortical bone reacts to one of many possible insults. Proliferative periostitis is a rare disease, and represents new bone formation. Tumor, infection, trauma, certain drugs, and some arthritic conditions can elevate the periosteum from. The formation of new bone by periosteum due to an insult is called periosteal bone reaction (pbr).
PPT Musculoskeletal Radiography PowerPoint Presentation, free
Periosteal Reaction Dental The ultimate goal of any dental treatment is the regeneration of lost tissues. Periosteal reaction results when cortical bone reacts to one of many possible insults. This poster will review the gross and cellular anatomy of the periosteal membrane and a range of periosteal responses. Patterns of periosteal reaction, both in morphology and distribution, are key to distinguishing benign or physiologic periosteal reaction from types of periosteal. The ultimate goal of any dental treatment is the regeneration of lost tissues. The formation of new bone by periosteum due to an insult is called periosteal bone reaction (pbr). Proliferative periostitis is a rare disease, and represents new bone formation. Tumor, infection, trauma, certain drugs, and some arthritic conditions can elevate the periosteum from.
From www.pinterest.com
Periosteal reaction, also known as a periostitis/periosteitis, is a non Periosteal Reaction Dental Patterns of periosteal reaction, both in morphology and distribution, are key to distinguishing benign or physiologic periosteal reaction from types of periosteal. Proliferative periostitis is a rare disease, and represents new bone formation. This poster will review the gross and cellular anatomy of the periosteal membrane and a range of periosteal responses. Tumor, infection, trauma, certain drugs, and some arthritic. Periosteal Reaction Dental.
From healthjade.net
Periosteal reaction & types of periosteal reaction Periosteal Reaction Dental Tumor, infection, trauma, certain drugs, and some arthritic conditions can elevate the periosteum from. Proliferative periostitis is a rare disease, and represents new bone formation. The ultimate goal of any dental treatment is the regeneration of lost tissues. The formation of new bone by periosteum due to an insult is called periosteal bone reaction (pbr). Periosteal reaction results when cortical. Periosteal Reaction Dental.
From www.jfas.org
Diagnosing Osteomyelitis A Histology Guide for Pathologists The Periosteal Reaction Dental Periosteal reaction results when cortical bone reacts to one of many possible insults. Patterns of periosteal reaction, both in morphology and distribution, are key to distinguishing benign or physiologic periosteal reaction from types of periosteal. The formation of new bone by periosteum due to an insult is called periosteal bone reaction (pbr). This poster will review the gross and cellular. Periosteal Reaction Dental.
From www.scielo.br
SciELO Brasil Diagnostic performance of resonance imaging Periosteal Reaction Dental Tumor, infection, trauma, certain drugs, and some arthritic conditions can elevate the periosteum from. Periosteal reaction results when cortical bone reacts to one of many possible insults. The ultimate goal of any dental treatment is the regeneration of lost tissues. Patterns of periosteal reaction, both in morphology and distribution, are key to distinguishing benign or physiologic periosteal reaction from types. Periosteal Reaction Dental.
From www.ajronline.org
Periosteal Reaction AJR Periosteal Reaction Dental Tumor, infection, trauma, certain drugs, and some arthritic conditions can elevate the periosteum from. Periosteal reaction results when cortical bone reacts to one of many possible insults. This poster will review the gross and cellular anatomy of the periosteal membrane and a range of periosteal responses. The formation of new bone by periosteum due to an insult is called periosteal. Periosteal Reaction Dental.
From jmsronline.com
JMSR Periosteal Reaction Dental Proliferative periostitis is a rare disease, and represents new bone formation. This poster will review the gross and cellular anatomy of the periosteal membrane and a range of periosteal responses. Patterns of periosteal reaction, both in morphology and distribution, are key to distinguishing benign or physiologic periosteal reaction from types of periosteal. Periosteal reaction results when cortical bone reacts to. Periosteal Reaction Dental.
From jmsronline.com
JMSR Periosteal Reaction Dental Periosteal reaction results when cortical bone reacts to one of many possible insults. Patterns of periosteal reaction, both in morphology and distribution, are key to distinguishing benign or physiologic periosteal reaction from types of periosteal. The formation of new bone by periosteum due to an insult is called periosteal bone reaction (pbr). Tumor, infection, trauma, certain drugs, and some arthritic. Periosteal Reaction Dental.
From www.mspca.org
Radiographic Approach to Bone Imaging • MSPCAAngell Periosteal Reaction Dental The ultimate goal of any dental treatment is the regeneration of lost tissues. Patterns of periosteal reaction, both in morphology and distribution, are key to distinguishing benign or physiologic periosteal reaction from types of periosteal. Periosteal reaction results when cortical bone reacts to one of many possible insults. Proliferative periostitis is a rare disease, and represents new bone formation. The. Periosteal Reaction Dental.
From www.semanticscholar.org
Figure 1 from Periosteal Reaction A radiographic guide to disease Periosteal Reaction Dental The formation of new bone by periosteum due to an insult is called periosteal bone reaction (pbr). Periosteal reaction results when cortical bone reacts to one of many possible insults. Proliferative periostitis is a rare disease, and represents new bone formation. Patterns of periosteal reaction, both in morphology and distribution, are key to distinguishing benign or physiologic periosteal reaction from. Periosteal Reaction Dental.
From www.ajronline.org
Periosteal Reaction AJR Periosteal Reaction Dental The formation of new bone by periosteum due to an insult is called periosteal bone reaction (pbr). Patterns of periosteal reaction, both in morphology and distribution, are key to distinguishing benign or physiologic periosteal reaction from types of periosteal. Proliferative periostitis is a rare disease, and represents new bone formation. The ultimate goal of any dental treatment is the regeneration. Periosteal Reaction Dental.
From www.ajronline.org
Periosteal Reaction AJR Periosteal Reaction Dental Patterns of periosteal reaction, both in morphology and distribution, are key to distinguishing benign or physiologic periosteal reaction from types of periosteal. Tumor, infection, trauma, certain drugs, and some arthritic conditions can elevate the periosteum from. The formation of new bone by periosteum due to an insult is called periosteal bone reaction (pbr). Proliferative periostitis is a rare disease, and. Periosteal Reaction Dental.
From www.ajronline.org
Periosteal Reaction AJR Periosteal Reaction Dental The ultimate goal of any dental treatment is the regeneration of lost tissues. This poster will review the gross and cellular anatomy of the periosteal membrane and a range of periosteal responses. The formation of new bone by periosteum due to an insult is called periosteal bone reaction (pbr). Tumor, infection, trauma, certain drugs, and some arthritic conditions can elevate. Periosteal Reaction Dental.
From in.pinterest.com
periosteal reactions solid, lamellated, sunburts, codman's Radiology Periosteal Reaction Dental Tumor, infection, trauma, certain drugs, and some arthritic conditions can elevate the periosteum from. This poster will review the gross and cellular anatomy of the periosteal membrane and a range of periosteal responses. Patterns of periosteal reaction, both in morphology and distribution, are key to distinguishing benign or physiologic periosteal reaction from types of periosteal. Periosteal reaction results when cortical. Periosteal Reaction Dental.
From www.pinterest.co.uk
Schematic diagram of periosteal reactions. Surface reactions may delete Periosteal Reaction Dental Tumor, infection, trauma, certain drugs, and some arthritic conditions can elevate the periosteum from. Periosteal reaction results when cortical bone reacts to one of many possible insults. The ultimate goal of any dental treatment is the regeneration of lost tissues. Proliferative periostitis is a rare disease, and represents new bone formation. The formation of new bone by periosteum due to. Periosteal Reaction Dental.
From pubs.rsna.org
Periosteal Pathologic Conditions Imaging Findings and Pathophysiology Periosteal Reaction Dental The ultimate goal of any dental treatment is the regeneration of lost tissues. This poster will review the gross and cellular anatomy of the periosteal membrane and a range of periosteal responses. Tumor, infection, trauma, certain drugs, and some arthritic conditions can elevate the periosteum from. Periosteal reaction results when cortical bone reacts to one of many possible insults. Patterns. Periosteal Reaction Dental.
From geekymedics.com
Bone Tumours Ewing's Geeky Medics Periosteal Reaction Dental The formation of new bone by periosteum due to an insult is called periosteal bone reaction (pbr). Tumor, infection, trauma, certain drugs, and some arthritic conditions can elevate the periosteum from. This poster will review the gross and cellular anatomy of the periosteal membrane and a range of periosteal responses. The ultimate goal of any dental treatment is the regeneration. Periosteal Reaction Dental.
From orthopaedicprinciples.com
How to interpret a Periosteal Reaction? — Periosteal Reaction Dental The ultimate goal of any dental treatment is the regeneration of lost tissues. The formation of new bone by periosteum due to an insult is called periosteal bone reaction (pbr). Tumor, infection, trauma, certain drugs, and some arthritic conditions can elevate the periosteum from. This poster will review the gross and cellular anatomy of the periosteal membrane and a range. Periosteal Reaction Dental.
From jmsronline.com
JMSR Periosteal Reaction Dental Tumor, infection, trauma, certain drugs, and some arthritic conditions can elevate the periosteum from. Proliferative periostitis is a rare disease, and represents new bone formation. Patterns of periosteal reaction, both in morphology and distribution, are key to distinguishing benign or physiologic periosteal reaction from types of periosteal. The ultimate goal of any dental treatment is the regeneration of lost tissues.. Periosteal Reaction Dental.
From www.researchgate.net
a, b Linear periosteal reaction osteomyelitis, (a) sickle cell anemia Periosteal Reaction Dental This poster will review the gross and cellular anatomy of the periosteal membrane and a range of periosteal responses. The ultimate goal of any dental treatment is the regeneration of lost tissues. Tumor, infection, trauma, certain drugs, and some arthritic conditions can elevate the periosteum from. Periosteal reaction results when cortical bone reacts to one of many possible insults. Patterns. Periosteal Reaction Dental.
From pocketdentistry.com
20. Inflammatory Disease Pocket Dentistry Periosteal Reaction Dental The ultimate goal of any dental treatment is the regeneration of lost tissues. Periosteal reaction results when cortical bone reacts to one of many possible insults. The formation of new bone by periosteum due to an insult is called periosteal bone reaction (pbr). This poster will review the gross and cellular anatomy of the periosteal membrane and a range of. Periosteal Reaction Dental.
From jmsronline.com
JMSR Periosteal Reaction Dental This poster will review the gross and cellular anatomy of the periosteal membrane and a range of periosteal responses. The formation of new bone by periosteum due to an insult is called periosteal bone reaction (pbr). Patterns of periosteal reaction, both in morphology and distribution, are key to distinguishing benign or physiologic periosteal reaction from types of periosteal. Proliferative periostitis. Periosteal Reaction Dental.
From www.slideserve.com
PPT Musculoskeletal Radiography PowerPoint Presentation, free Periosteal Reaction Dental This poster will review the gross and cellular anatomy of the periosteal membrane and a range of periosteal responses. Periosteal reaction results when cortical bone reacts to one of many possible insults. The ultimate goal of any dental treatment is the regeneration of lost tissues. Tumor, infection, trauma, certain drugs, and some arthritic conditions can elevate the periosteum from. The. Periosteal Reaction Dental.
From pt.slideshare.net
8 localized periosteal reaction Periosteal Reaction Dental Proliferative periostitis is a rare disease, and represents new bone formation. The ultimate goal of any dental treatment is the regeneration of lost tissues. Periosteal reaction results when cortical bone reacts to one of many possible insults. Tumor, infection, trauma, certain drugs, and some arthritic conditions can elevate the periosteum from. Patterns of periosteal reaction, both in morphology and distribution,. Periosteal Reaction Dental.
From casereports.bmj.com
Periosteal desmoid tumour a rare finding in the oral cavity BMJ Case Periosteal Reaction Dental This poster will review the gross and cellular anatomy of the periosteal membrane and a range of periosteal responses. The formation of new bone by periosteum due to an insult is called periosteal bone reaction (pbr). Periosteal reaction results when cortical bone reacts to one of many possible insults. Tumor, infection, trauma, certain drugs, and some arthritic conditions can elevate. Periosteal Reaction Dental.
From www.slideshare.net
Periosteal reaction Periosteal Reaction Dental The formation of new bone by periosteum due to an insult is called periosteal bone reaction (pbr). This poster will review the gross and cellular anatomy of the periosteal membrane and a range of periosteal responses. Proliferative periostitis is a rare disease, and represents new bone formation. Tumor, infection, trauma, certain drugs, and some arthritic conditions can elevate the periosteum. Periosteal Reaction Dental.
From www.ehealthstar.com
Periosteum Definition, Location, Anatomy, Histology and Function Periosteal Reaction Dental Periosteal reaction results when cortical bone reacts to one of many possible insults. The formation of new bone by periosteum due to an insult is called periosteal bone reaction (pbr). Patterns of periosteal reaction, both in morphology and distribution, are key to distinguishing benign or physiologic periosteal reaction from types of periosteal. The ultimate goal of any dental treatment is. Periosteal Reaction Dental.
From ar.inspiredpencil.com
Periosteal Reaction Causes Periosteal Reaction Dental Proliferative periostitis is a rare disease, and represents new bone formation. The ultimate goal of any dental treatment is the regeneration of lost tissues. Patterns of periosteal reaction, both in morphology and distribution, are key to distinguishing benign or physiologic periosteal reaction from types of periosteal. The formation of new bone by periosteum due to an insult is called periosteal. Periosteal Reaction Dental.
From medicoapps.org
PERIOSTEAL REACTION New Periosteal Reaction Dental The ultimate goal of any dental treatment is the regeneration of lost tissues. This poster will review the gross and cellular anatomy of the periosteal membrane and a range of periosteal responses. Tumor, infection, trauma, certain drugs, and some arthritic conditions can elevate the periosteum from. Proliferative periostitis is a rare disease, and represents new bone formation. The formation of. Periosteal Reaction Dental.
From www.dreamstime.com
Periostitis Tooth Lump on Gum Above Tooth. Medically Accurate Dental Periosteal Reaction Dental The ultimate goal of any dental treatment is the regeneration of lost tissues. Proliferative periostitis is a rare disease, and represents new bone formation. This poster will review the gross and cellular anatomy of the periosteal membrane and a range of periosteal responses. Periosteal reaction results when cortical bone reacts to one of many possible insults. Tumor, infection, trauma, certain. Periosteal Reaction Dental.
From www.slideshare.net
Periosteal reaction Periosteal Reaction Dental Patterns of periosteal reaction, both in morphology and distribution, are key to distinguishing benign or physiologic periosteal reaction from types of periosteal. The ultimate goal of any dental treatment is the regeneration of lost tissues. Proliferative periostitis is a rare disease, and represents new bone formation. Periosteal reaction results when cortical bone reacts to one of many possible insults. The. Periosteal Reaction Dental.
From www.semanticscholar.org
Malignant causes of periosteal reaction in paediatrics part 2 Periosteal Reaction Dental The formation of new bone by periosteum due to an insult is called periosteal bone reaction (pbr). Periosteal reaction results when cortical bone reacts to one of many possible insults. Patterns of periosteal reaction, both in morphology and distribution, are key to distinguishing benign or physiologic periosteal reaction from types of periosteal. Proliferative periostitis is a rare disease, and represents. Periosteal Reaction Dental.
From www.clinicalradiologyonline.net
Imaging of periosteal reactions associated with focal lesions of bone Periosteal Reaction Dental The ultimate goal of any dental treatment is the regeneration of lost tissues. This poster will review the gross and cellular anatomy of the periosteal membrane and a range of periosteal responses. Periosteal reaction results when cortical bone reacts to one of many possible insults. Patterns of periosteal reaction, both in morphology and distribution, are key to distinguishing benign or. Periosteal Reaction Dental.
From www.researchgate.net
MicroCT assessment of periosteal reaction after tooth extraction in Periosteal Reaction Dental The formation of new bone by periosteum due to an insult is called periosteal bone reaction (pbr). Proliferative periostitis is a rare disease, and represents new bone formation. The ultimate goal of any dental treatment is the regeneration of lost tissues. Periosteal reaction results when cortical bone reacts to one of many possible insults. Tumor, infection, trauma, certain drugs, and. Periosteal Reaction Dental.
From exoyxexaz.blob.core.windows.net
Periosteal Injection at Joseph Goode blog Periosteal Reaction Dental The formation of new bone by periosteum due to an insult is called periosteal bone reaction (pbr). Periosteal reaction results when cortical bone reacts to one of many possible insults. The ultimate goal of any dental treatment is the regeneration of lost tissues. Proliferative periostitis is a rare disease, and represents new bone formation. Tumor, infection, trauma, certain drugs, and. Periosteal Reaction Dental.
From onradiology.blogspot.com
ON RADIOLOGY What is Periosteal reaction? it`s types? And how it is Periosteal Reaction Dental Tumor, infection, trauma, certain drugs, and some arthritic conditions can elevate the periosteum from. Proliferative periostitis is a rare disease, and represents new bone formation. Patterns of periosteal reaction, both in morphology and distribution, are key to distinguishing benign or physiologic periosteal reaction from types of periosteal. The formation of new bone by periosteum due to an insult is called. Periosteal Reaction Dental.