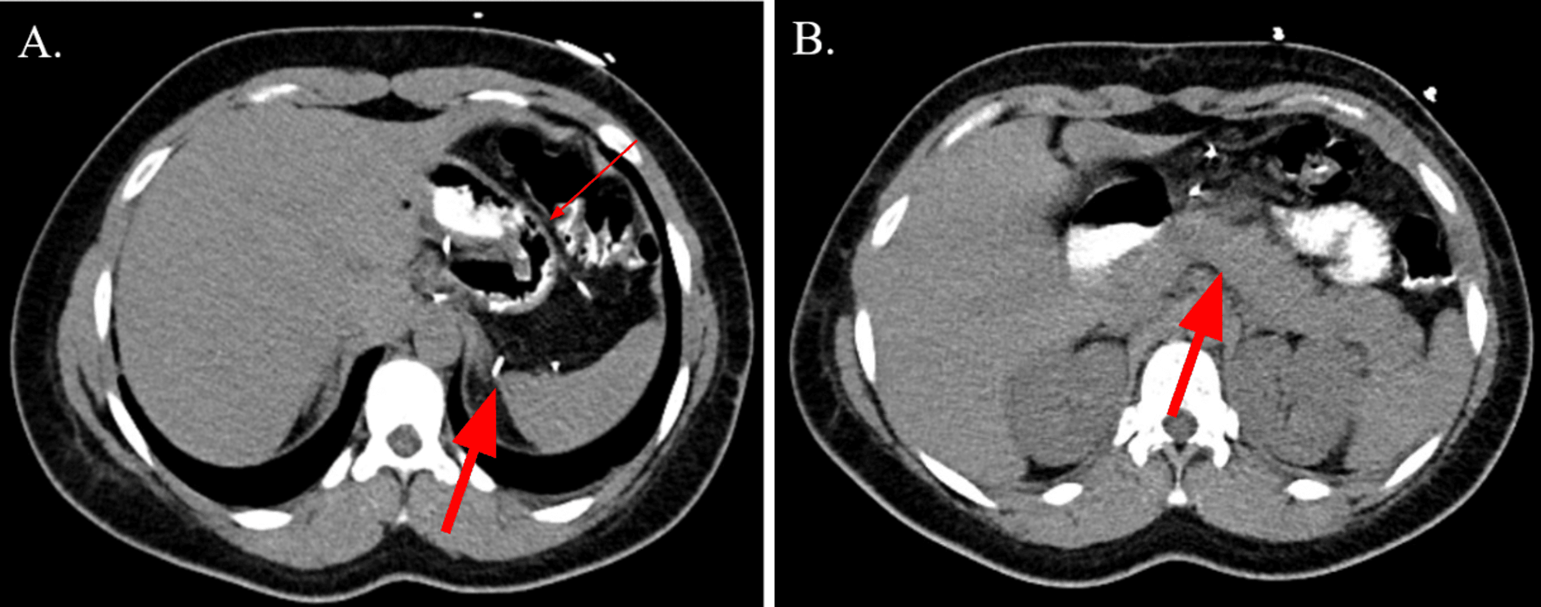
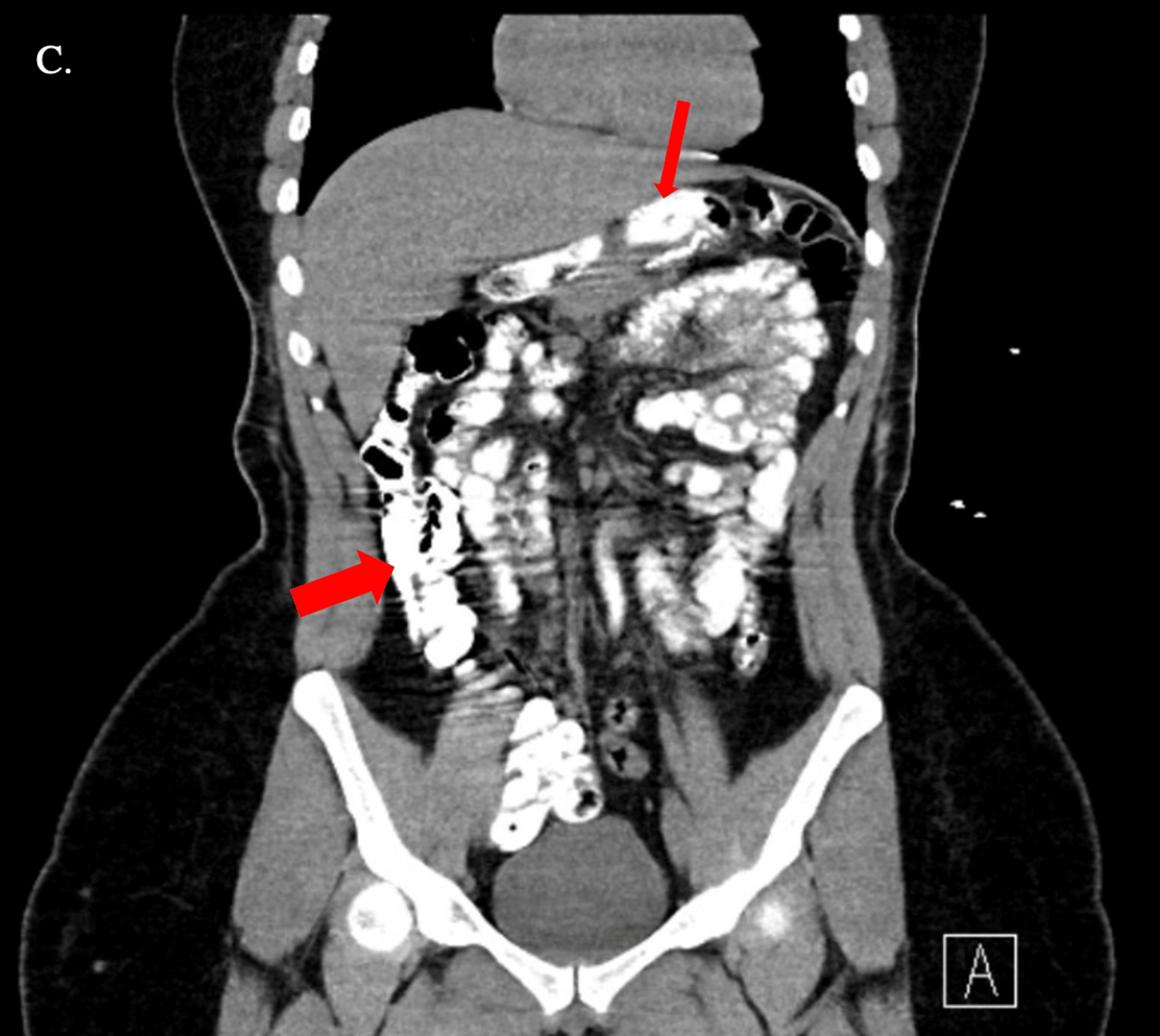
Gastric Volvulus Post Sleeve Gastrectomy . Gastric volvulus is characterized by rotation of the stomach along its long or short axis leading to variable degrees of gastric outlet. Gastric volvulus after sleeve gastrectomy is a rare entity presenting vague symptoms and signs and requires a high index of suspicion from the. Understanding these factors can help individuals identify the warning signs and seek prompt medical attention. We are reporting a case of gastric volvulus post laparoscopic sleeve gastrectomy, which was managed conservatively. Complications after lsg may be divided into early (acute), which develop within 30 days after the surgery, and late, that occur over. It is crucial to recognize both common and unusual complications of sleeve gastrectomy to properly diagnose and manage. After undergoing gastric sleeve surgery, it is important to be aware of the risk factors and potential causes that can lead to a twisted stomach, also known as gastric volvulus. We describe a rare case presenting with volvulus and stricture following lsg successfully treated with gastropexy and telescoping stents, respectively.
from www.dfwbariatricsurgery.com
Complications after lsg may be divided into early (acute), which develop within 30 days after the surgery, and late, that occur over. Gastric volvulus after sleeve gastrectomy is a rare entity presenting vague symptoms and signs and requires a high index of suspicion from the. It is crucial to recognize both common and unusual complications of sleeve gastrectomy to properly diagnose and manage. Gastric volvulus is characterized by rotation of the stomach along its long or short axis leading to variable degrees of gastric outlet. After undergoing gastric sleeve surgery, it is important to be aware of the risk factors and potential causes that can lead to a twisted stomach, also known as gastric volvulus. We are reporting a case of gastric volvulus post laparoscopic sleeve gastrectomy, which was managed conservatively. We describe a rare case presenting with volvulus and stricture following lsg successfully treated with gastropexy and telescoping stents, respectively. Understanding these factors can help individuals identify the warning signs and seek prompt medical attention.
Features Of Sleeve Gastrectomy Surgery Dr. Sachin Kukreja Dallas, Fort Worth TX General
Gastric Volvulus Post Sleeve Gastrectomy It is crucial to recognize both common and unusual complications of sleeve gastrectomy to properly diagnose and manage. We describe a rare case presenting with volvulus and stricture following lsg successfully treated with gastropexy and telescoping stents, respectively. Complications after lsg may be divided into early (acute), which develop within 30 days after the surgery, and late, that occur over. We are reporting a case of gastric volvulus post laparoscopic sleeve gastrectomy, which was managed conservatively. It is crucial to recognize both common and unusual complications of sleeve gastrectomy to properly diagnose and manage. After undergoing gastric sleeve surgery, it is important to be aware of the risk factors and potential causes that can lead to a twisted stomach, also known as gastric volvulus. Understanding these factors can help individuals identify the warning signs and seek prompt medical attention. Gastric volvulus is characterized by rotation of the stomach along its long or short axis leading to variable degrees of gastric outlet. Gastric volvulus after sleeve gastrectomy is a rare entity presenting vague symptoms and signs and requires a high index of suspicion from the.
From www.advancesurgical.com.au
Sleeve Gastrectomy Gastric Sleeve Advance Surgical Perth Gastric Volvulus Post Sleeve Gastrectomy Gastric volvulus after sleeve gastrectomy is a rare entity presenting vague symptoms and signs and requires a high index of suspicion from the. Complications after lsg may be divided into early (acute), which develop within 30 days after the surgery, and late, that occur over. We describe a rare case presenting with volvulus and stricture following lsg successfully treated with. Gastric Volvulus Post Sleeve Gastrectomy.
From lasoemd.com
Louisiana Surgeons of Excellence Sleeve Gastrectomy Gastric Volvulus Post Sleeve Gastrectomy Understanding these factors can help individuals identify the warning signs and seek prompt medical attention. Gastric volvulus after sleeve gastrectomy is a rare entity presenting vague symptoms and signs and requires a high index of suspicion from the. Gastric volvulus is characterized by rotation of the stomach along its long or short axis leading to variable degrees of gastric outlet.. Gastric Volvulus Post Sleeve Gastrectomy.
From www.cureus.com
Postoperative Stomach Volvulus and Pancreatitis Following a Sleeve Gastrectomy Cureus Gastric Volvulus Post Sleeve Gastrectomy We describe a rare case presenting with volvulus and stricture following lsg successfully treated with gastropexy and telescoping stents, respectively. After undergoing gastric sleeve surgery, it is important to be aware of the risk factors and potential causes that can lead to a twisted stomach, also known as gastric volvulus. Gastric volvulus is characterized by rotation of the stomach along. Gastric Volvulus Post Sleeve Gastrectomy.
From bookingsurgery.com
Gastric Sleeve (Sleeve Gastrectomy) Surgery Booking Surgery Gastric Volvulus Post Sleeve Gastrectomy Gastric volvulus after sleeve gastrectomy is a rare entity presenting vague symptoms and signs and requires a high index of suspicion from the. We describe a rare case presenting with volvulus and stricture following lsg successfully treated with gastropexy and telescoping stents, respectively. Complications after lsg may be divided into early (acute), which develop within 30 days after the surgery,. Gastric Volvulus Post Sleeve Gastrectomy.
From www.ctisus.com
Gastric Bypass Surgery Laparoscopic Sleeve Gastrectomy Gastric Volvulus Post Sleeve Gastrectomy We describe a rare case presenting with volvulus and stricture following lsg successfully treated with gastropexy and telescoping stents, respectively. Complications after lsg may be divided into early (acute), which develop within 30 days after the surgery, and late, that occur over. Gastric volvulus after sleeve gastrectomy is a rare entity presenting vague symptoms and signs and requires a high. Gastric Volvulus Post Sleeve Gastrectomy.
From www.bariatricdirect.com
Gastric Sleeves What They Are & How They Lead to Weight Loss Gastric Volvulus Post Sleeve Gastrectomy It is crucial to recognize both common and unusual complications of sleeve gastrectomy to properly diagnose and manage. After undergoing gastric sleeve surgery, it is important to be aware of the risk factors and potential causes that can lead to a twisted stomach, also known as gastric volvulus. Complications after lsg may be divided into early (acute), which develop within. Gastric Volvulus Post Sleeve Gastrectomy.
From www.cureus.com
Postoperative Stomach Volvulus and Pancreatitis Following a Sleeve Gastrectomy Cureus Gastric Volvulus Post Sleeve Gastrectomy Gastric volvulus after sleeve gastrectomy is a rare entity presenting vague symptoms and signs and requires a high index of suspicion from the. Understanding these factors can help individuals identify the warning signs and seek prompt medical attention. Gastric volvulus is characterized by rotation of the stomach along its long or short axis leading to variable degrees of gastric outlet.. Gastric Volvulus Post Sleeve Gastrectomy.
From www.healthgrades.com
Volvulus Definition, Causes, and Treatment Gastric Volvulus Post Sleeve Gastrectomy Gastric volvulus after sleeve gastrectomy is a rare entity presenting vague symptoms and signs and requires a high index of suspicion from the. It is crucial to recognize both common and unusual complications of sleeve gastrectomy to properly diagnose and manage. Understanding these factors can help individuals identify the warning signs and seek prompt medical attention. Gastric volvulus is characterized. Gastric Volvulus Post Sleeve Gastrectomy.
From www.semanticscholar.org
Figure 1 from Delayed Presentation of Gastric Volvulus with Gastric Outlet Obstruction after Gastric Volvulus Post Sleeve Gastrectomy Gastric volvulus after sleeve gastrectomy is a rare entity presenting vague symptoms and signs and requires a high index of suspicion from the. After undergoing gastric sleeve surgery, it is important to be aware of the risk factors and potential causes that can lead to a twisted stomach, also known as gastric volvulus. It is crucial to recognize both common. Gastric Volvulus Post Sleeve Gastrectomy.
From health.ucsd.edu
Sleeve Gastrectomy San Diego, Gastric Sleeve Procedure San Diego Gastric Volvulus Post Sleeve Gastrectomy We are reporting a case of gastric volvulus post laparoscopic sleeve gastrectomy, which was managed conservatively. Complications after lsg may be divided into early (acute), which develop within 30 days after the surgery, and late, that occur over. Gastric volvulus is characterized by rotation of the stomach along its long or short axis leading to variable degrees of gastric outlet.. Gastric Volvulus Post Sleeve Gastrectomy.
From tylerbariatrics.com
Sleeve Gastrectomy UT Health Tyler Bariatric Center Gastric Volvulus Post Sleeve Gastrectomy We are reporting a case of gastric volvulus post laparoscopic sleeve gastrectomy, which was managed conservatively. Complications after lsg may be divided into early (acute), which develop within 30 days after the surgery, and late, that occur over. We describe a rare case presenting with volvulus and stricture following lsg successfully treated with gastropexy and telescoping stents, respectively. It is. Gastric Volvulus Post Sleeve Gastrectomy.
From www.youtube.com
Live Gastric Sleeve Surgery.LAPAROSCOPIC SLEEVE GASTRECTOMY. YouTube Gastric Volvulus Post Sleeve Gastrectomy After undergoing gastric sleeve surgery, it is important to be aware of the risk factors and potential causes that can lead to a twisted stomach, also known as gastric volvulus. Understanding these factors can help individuals identify the warning signs and seek prompt medical attention. Complications after lsg may be divided into early (acute), which develop within 30 days after. Gastric Volvulus Post Sleeve Gastrectomy.
From www.trialexhibitsinc.com
Progression of Gastric Volvulus TrialQuest Inc. Gastric Volvulus Post Sleeve Gastrectomy Understanding these factors can help individuals identify the warning signs and seek prompt medical attention. Gastric volvulus is characterized by rotation of the stomach along its long or short axis leading to variable degrees of gastric outlet. We are reporting a case of gastric volvulus post laparoscopic sleeve gastrectomy, which was managed conservatively. Complications after lsg may be divided into. Gastric Volvulus Post Sleeve Gastrectomy.
From www.inspirahealthnetwork.org
Sleeve Gastrectomy (Laparoscopic Gastric Sleeve) Inspira Health Gastric Volvulus Post Sleeve Gastrectomy It is crucial to recognize both common and unusual complications of sleeve gastrectomy to properly diagnose and manage. After undergoing gastric sleeve surgery, it is important to be aware of the risk factors and potential causes that can lead to a twisted stomach, also known as gastric volvulus. We describe a rare case presenting with volvulus and stricture following lsg. Gastric Volvulus Post Sleeve Gastrectomy.
From www.surgical.theclinics.com
Laparoscopic Vertical Sleeve Gastrectomy Surgical Clinics Gastric Volvulus Post Sleeve Gastrectomy Complications after lsg may be divided into early (acute), which develop within 30 days after the surgery, and late, that occur over. Gastric volvulus after sleeve gastrectomy is a rare entity presenting vague symptoms and signs and requires a high index of suspicion from the. Gastric volvulus is characterized by rotation of the stomach along its long or short axis. Gastric Volvulus Post Sleeve Gastrectomy.
From www.trialexhibitsinc.com
Arterial Supply and Venous Drainage of the Spinal Cord Trial Ex... Gastric Volvulus Post Sleeve Gastrectomy Gastric volvulus is characterized by rotation of the stomach along its long or short axis leading to variable degrees of gastric outlet. We are reporting a case of gastric volvulus post laparoscopic sleeve gastrectomy, which was managed conservatively. After undergoing gastric sleeve surgery, it is important to be aware of the risk factors and potential causes that can lead to. Gastric Volvulus Post Sleeve Gastrectomy.
From www.certifiedbariatricsurgeons.com
Gastric Sleeve Surgery Certified Bariatric Surgeons Gastric Volvulus Post Sleeve Gastrectomy Complications after lsg may be divided into early (acute), which develop within 30 days after the surgery, and late, that occur over. We are reporting a case of gastric volvulus post laparoscopic sleeve gastrectomy, which was managed conservatively. Gastric volvulus after sleeve gastrectomy is a rare entity presenting vague symptoms and signs and requires a high index of suspicion from. Gastric Volvulus Post Sleeve Gastrectomy.
From www.ibihealthcare.com
Laparoscopic Sleeve Gastrectomy LSG Or VSG IBI Healthcare Gastric Volvulus Post Sleeve Gastrectomy After undergoing gastric sleeve surgery, it is important to be aware of the risk factors and potential causes that can lead to a twisted stomach, also known as gastric volvulus. We describe a rare case presenting with volvulus and stricture following lsg successfully treated with gastropexy and telescoping stents, respectively. We are reporting a case of gastric volvulus post laparoscopic. Gastric Volvulus Post Sleeve Gastrectomy.
From 44.228.157.87
Gastric Sleeve (Vertical Sleeve Gastrectomy) in Mexico Dr. Christian Rodriguez Lopez Gastric Volvulus Post Sleeve Gastrectomy It is crucial to recognize both common and unusual complications of sleeve gastrectomy to properly diagnose and manage. Complications after lsg may be divided into early (acute), which develop within 30 days after the surgery, and late, that occur over. We describe a rare case presenting with volvulus and stricture following lsg successfully treated with gastropexy and telescoping stents, respectively.. Gastric Volvulus Post Sleeve Gastrectomy.
From www.surgjournal.com
Gastric volvulus after sleeve gastrectomy for morbid obesity Surgery Gastric Volvulus Post Sleeve Gastrectomy It is crucial to recognize both common and unusual complications of sleeve gastrectomy to properly diagnose and manage. We are reporting a case of gastric volvulus post laparoscopic sleeve gastrectomy, which was managed conservatively. Gastric volvulus is characterized by rotation of the stomach along its long or short axis leading to variable degrees of gastric outlet. Understanding these factors can. Gastric Volvulus Post Sleeve Gastrectomy.
From wexnermedical.osu.edu
Sleeve Gastrectomy Ohio State Bariatric Surgery Gastric Volvulus Post Sleeve Gastrectomy Gastric volvulus after sleeve gastrectomy is a rare entity presenting vague symptoms and signs and requires a high index of suspicion from the. It is crucial to recognize both common and unusual complications of sleeve gastrectomy to properly diagnose and manage. We describe a rare case presenting with volvulus and stricture following lsg successfully treated with gastropexy and telescoping stents,. Gastric Volvulus Post Sleeve Gastrectomy.
From www.dfwbariatricsurgery.com
Features Of Sleeve Gastrectomy Surgery Dr. Sachin Kukreja Dallas, Fort Worth TX General Gastric Volvulus Post Sleeve Gastrectomy It is crucial to recognize both common and unusual complications of sleeve gastrectomy to properly diagnose and manage. We are reporting a case of gastric volvulus post laparoscopic sleeve gastrectomy, which was managed conservatively. Understanding these factors can help individuals identify the warning signs and seek prompt medical attention. After undergoing gastric sleeve surgery, it is important to be aware. Gastric Volvulus Post Sleeve Gastrectomy.
From www.physiciansweekly.com
Sleeve Gastrectomy Safer Than Gastric Bypass at 5 Years, But Is It Better? Physician's Weekly Gastric Volvulus Post Sleeve Gastrectomy Gastric volvulus is characterized by rotation of the stomach along its long or short axis leading to variable degrees of gastric outlet. It is crucial to recognize both common and unusual complications of sleeve gastrectomy to properly diagnose and manage. After undergoing gastric sleeve surgery, it is important to be aware of the risk factors and potential causes that can. Gastric Volvulus Post Sleeve Gastrectomy.
From drmarkmagdy.com.au
Gastric Sleeve Surgery Sydney Dr. Mark Magdy Gastric Volvulus Post Sleeve Gastrectomy Gastric volvulus after sleeve gastrectomy is a rare entity presenting vague symptoms and signs and requires a high index of suspicion from the. We describe a rare case presenting with volvulus and stricture following lsg successfully treated with gastropexy and telescoping stents, respectively. It is crucial to recognize both common and unusual complications of sleeve gastrectomy to properly diagnose and. Gastric Volvulus Post Sleeve Gastrectomy.
From healthjade.net
Gastrectomy types, post gastrectomy diet and life after total gastrectomy Gastric Volvulus Post Sleeve Gastrectomy Understanding these factors can help individuals identify the warning signs and seek prompt medical attention. We describe a rare case presenting with volvulus and stricture following lsg successfully treated with gastropexy and telescoping stents, respectively. Gastric volvulus is characterized by rotation of the stomach along its long or short axis leading to variable degrees of gastric outlet. Complications after lsg. Gastric Volvulus Post Sleeve Gastrectomy.
From www.semanticscholar.org
Figure 25 from Imaging of bariatric surgery normal anatomy and postoperative complications Gastric Volvulus Post Sleeve Gastrectomy Gastric volvulus is characterized by rotation of the stomach along its long or short axis leading to variable degrees of gastric outlet. Gastric volvulus after sleeve gastrectomy is a rare entity presenting vague symptoms and signs and requires a high index of suspicion from the. After undergoing gastric sleeve surgery, it is important to be aware of the risk factors. Gastric Volvulus Post Sleeve Gastrectomy.
From www.uclahealth.org
Reflux After Sleeve Gastrectomy Bariatric Surgery UCLA Health Gastric Volvulus Post Sleeve Gastrectomy Complications after lsg may be divided into early (acute), which develop within 30 days after the surgery, and late, that occur over. We are reporting a case of gastric volvulus post laparoscopic sleeve gastrectomy, which was managed conservatively. After undergoing gastric sleeve surgery, it is important to be aware of the risk factors and potential causes that can lead to. Gastric Volvulus Post Sleeve Gastrectomy.
From mavink.com
Gastric Volvulus Hiatal Hernia Gastric Volvulus Post Sleeve Gastrectomy We are reporting a case of gastric volvulus post laparoscopic sleeve gastrectomy, which was managed conservatively. Gastric volvulus is characterized by rotation of the stomach along its long or short axis leading to variable degrees of gastric outlet. Gastric volvulus after sleeve gastrectomy is a rare entity presenting vague symptoms and signs and requires a high index of suspicion from. Gastric Volvulus Post Sleeve Gastrectomy.
From unihealthturkey.com
Gastric Sleeve Surgery UniHealth Turkey Gastric Volvulus Post Sleeve Gastrectomy It is crucial to recognize both common and unusual complications of sleeve gastrectomy to properly diagnose and manage. Gastric volvulus is characterized by rotation of the stomach along its long or short axis leading to variable degrees of gastric outlet. We are reporting a case of gastric volvulus post laparoscopic sleeve gastrectomy, which was managed conservatively. Understanding these factors can. Gastric Volvulus Post Sleeve Gastrectomy.
From www.alamy.com
Gastrectomy illustration Stock Vector Images Alamy Gastric Volvulus Post Sleeve Gastrectomy Complications after lsg may be divided into early (acute), which develop within 30 days after the surgery, and late, that occur over. Gastric volvulus is characterized by rotation of the stomach along its long or short axis leading to variable degrees of gastric outlet. After undergoing gastric sleeve surgery, it is important to be aware of the risk factors and. Gastric Volvulus Post Sleeve Gastrectomy.
From sleeveclinic.ca
Gastric Sleeves How They Work, Surgery, And Who Should Have It Gastric Volvulus Post Sleeve Gastrectomy It is crucial to recognize both common and unusual complications of sleeve gastrectomy to properly diagnose and manage. We describe a rare case presenting with volvulus and stricture following lsg successfully treated with gastropexy and telescoping stents, respectively. After undergoing gastric sleeve surgery, it is important to be aware of the risk factors and potential causes that can lead to. Gastric Volvulus Post Sleeve Gastrectomy.
From www.semanticscholar.org
Figure 1 from Intrathoracic sleeve gastrectomy migration with gastric volvulus treated with Gastric Volvulus Post Sleeve Gastrectomy Gastric volvulus after sleeve gastrectomy is a rare entity presenting vague symptoms and signs and requires a high index of suspicion from the. We are reporting a case of gastric volvulus post laparoscopic sleeve gastrectomy, which was managed conservatively. After undergoing gastric sleeve surgery, it is important to be aware of the risk factors and potential causes that can lead. Gastric Volvulus Post Sleeve Gastrectomy.
From www.researchgate.net
(PDF) Intrathoracic sleeve gastrectomy migration with gastric volvulus treated with laparoscopic Gastric Volvulus Post Sleeve Gastrectomy It is crucial to recognize both common and unusual complications of sleeve gastrectomy to properly diagnose and manage. After undergoing gastric sleeve surgery, it is important to be aware of the risk factors and potential causes that can lead to a twisted stomach, also known as gastric volvulus. Gastric volvulus after sleeve gastrectomy is a rare entity presenting vague symptoms. Gastric Volvulus Post Sleeve Gastrectomy.
From drmariocamelo.com
Gastric Band to Sleeve Gastrectomy Dr. Mario Camelo Gastric Volvulus Post Sleeve Gastrectomy Understanding these factors can help individuals identify the warning signs and seek prompt medical attention. After undergoing gastric sleeve surgery, it is important to be aware of the risk factors and potential causes that can lead to a twisted stomach, also known as gastric volvulus. Gastric volvulus is characterized by rotation of the stomach along its long or short axis. Gastric Volvulus Post Sleeve Gastrectomy.
From www.researchgate.net
(PDF) Gastric volvulus post sleeve gastrectomy converted to gastric bypass in pregnancy a case Gastric Volvulus Post Sleeve Gastrectomy Complications after lsg may be divided into early (acute), which develop within 30 days after the surgery, and late, that occur over. Gastric volvulus after sleeve gastrectomy is a rare entity presenting vague symptoms and signs and requires a high index of suspicion from the. Gastric volvulus is characterized by rotation of the stomach along its long or short axis. Gastric Volvulus Post Sleeve Gastrectomy.