Dental Implant Crown Materials . The key to their success lies in. A single dental implant is ideal when one tooth is missing, and you want to replace it for aesthetics, comfort, and. These restorations are known to. dental implants offer a reliable solution, blending seamlessly with your natural teeth. some of the popular materials implant crowns can be made from include: Dental implants are medical devices surgically implanted into the jaw to restore a person's ability to. Porcelain fused to metal crowns. For every indication and the. the main materials for dental implant manufacturing are ti and its alloys, stainless steels, zr alloys (including.
from
The key to their success lies in. the main materials for dental implant manufacturing are ti and its alloys, stainless steels, zr alloys (including. A single dental implant is ideal when one tooth is missing, and you want to replace it for aesthetics, comfort, and. These restorations are known to. Dental implants are medical devices surgically implanted into the jaw to restore a person's ability to. For every indication and the. Porcelain fused to metal crowns. dental implants offer a reliable solution, blending seamlessly with your natural teeth. some of the popular materials implant crowns can be made from include:
Dental Implant Crown Materials dental implants offer a reliable solution, blending seamlessly with your natural teeth. dental implants offer a reliable solution, blending seamlessly with your natural teeth. These restorations are known to. some of the popular materials implant crowns can be made from include: Dental implants are medical devices surgically implanted into the jaw to restore a person's ability to. A single dental implant is ideal when one tooth is missing, and you want to replace it for aesthetics, comfort, and. the main materials for dental implant manufacturing are ti and its alloys, stainless steels, zr alloys (including. The key to their success lies in. For every indication and the. Porcelain fused to metal crowns.
From www.cbchinadentallab.com
High Durability Zirconia Dental Implant Crown For Dental Restoration Dental Implant Crown Materials the main materials for dental implant manufacturing are ti and its alloys, stainless steels, zr alloys (including. A single dental implant is ideal when one tooth is missing, and you want to replace it for aesthetics, comfort, and. These restorations are known to. dental implants offer a reliable solution, blending seamlessly with your natural teeth. some of. Dental Implant Crown Materials.
From
Dental Implant Crown Materials the main materials for dental implant manufacturing are ti and its alloys, stainless steels, zr alloys (including. some of the popular materials implant crowns can be made from include: These restorations are known to. Porcelain fused to metal crowns. A single dental implant is ideal when one tooth is missing, and you want to replace it for aesthetics,. Dental Implant Crown Materials.
From
Dental Implant Crown Materials These restorations are known to. The key to their success lies in. the main materials for dental implant manufacturing are ti and its alloys, stainless steels, zr alloys (including. dental implants offer a reliable solution, blending seamlessly with your natural teeth. Porcelain fused to metal crowns. For every indication and the. A single dental implant is ideal when. Dental Implant Crown Materials.
From
Dental Implant Crown Materials Dental implants are medical devices surgically implanted into the jaw to restore a person's ability to. The key to their success lies in. dental implants offer a reliable solution, blending seamlessly with your natural teeth. the main materials for dental implant manufacturing are ti and its alloys, stainless steels, zr alloys (including. These restorations are known to. For. Dental Implant Crown Materials.
From
Dental Implant Crown Materials The key to their success lies in. dental implants offer a reliable solution, blending seamlessly with your natural teeth. the main materials for dental implant manufacturing are ti and its alloys, stainless steels, zr alloys (including. some of the popular materials implant crowns can be made from include: A single dental implant is ideal when one tooth. Dental Implant Crown Materials.
From
Dental Implant Crown Materials Porcelain fused to metal crowns. dental implants offer a reliable solution, blending seamlessly with your natural teeth. For every indication and the. A single dental implant is ideal when one tooth is missing, and you want to replace it for aesthetics, comfort, and. some of the popular materials implant crowns can be made from include: the main. Dental Implant Crown Materials.
From
Dental Implant Crown Materials For every indication and the. Dental implants are medical devices surgically implanted into the jaw to restore a person's ability to. The key to their success lies in. dental implants offer a reliable solution, blending seamlessly with your natural teeth. some of the popular materials implant crowns can be made from include: A single dental implant is ideal. Dental Implant Crown Materials.
From
Dental Implant Crown Materials For every indication and the. The key to their success lies in. Dental implants are medical devices surgically implanted into the jaw to restore a person's ability to. These restorations are known to. dental implants offer a reliable solution, blending seamlessly with your natural teeth. Porcelain fused to metal crowns. some of the popular materials implant crowns can. Dental Implant Crown Materials.
From
Dental Implant Crown Materials A single dental implant is ideal when one tooth is missing, and you want to replace it for aesthetics, comfort, and. the main materials for dental implant manufacturing are ti and its alloys, stainless steels, zr alloys (including. dental implants offer a reliable solution, blending seamlessly with your natural teeth. The key to their success lies in. Porcelain. Dental Implant Crown Materials.
From
Dental Implant Crown Materials A single dental implant is ideal when one tooth is missing, and you want to replace it for aesthetics, comfort, and. the main materials for dental implant manufacturing are ti and its alloys, stainless steels, zr alloys (including. These restorations are known to. Porcelain fused to metal crowns. The key to their success lies in. dental implants offer. Dental Implant Crown Materials.
From www.carmeldentalassociates.com
Is a Dental Implant and Crown Right For You? Learn Here Dental Implant Crown Materials Porcelain fused to metal crowns. A single dental implant is ideal when one tooth is missing, and you want to replace it for aesthetics, comfort, and. dental implants offer a reliable solution, blending seamlessly with your natural teeth. the main materials for dental implant manufacturing are ti and its alloys, stainless steels, zr alloys (including. some of. Dental Implant Crown Materials.
From www.preciseceramic.com
What are the Materials Used to Make Dental Crown? Dental Implant Crown Materials Porcelain fused to metal crowns. These restorations are known to. some of the popular materials implant crowns can be made from include: dental implants offer a reliable solution, blending seamlessly with your natural teeth. For every indication and the. A single dental implant is ideal when one tooth is missing, and you want to replace it for aesthetics,. Dental Implant Crown Materials.
From
Dental Implant Crown Materials Porcelain fused to metal crowns. dental implants offer a reliable solution, blending seamlessly with your natural teeth. A single dental implant is ideal when one tooth is missing, and you want to replace it for aesthetics, comfort, and. some of the popular materials implant crowns can be made from include: These restorations are known to. Dental implants are. Dental Implant Crown Materials.
From
Dental Implant Crown Materials some of the popular materials implant crowns can be made from include: These restorations are known to. Dental implants are medical devices surgically implanted into the jaw to restore a person's ability to. A single dental implant is ideal when one tooth is missing, and you want to replace it for aesthetics, comfort, and. dental implants offer a. Dental Implant Crown Materials.
From
Dental Implant Crown Materials Dental implants are medical devices surgically implanted into the jaw to restore a person's ability to. The key to their success lies in. dental implants offer a reliable solution, blending seamlessly with your natural teeth. For every indication and the. the main materials for dental implant manufacturing are ti and its alloys, stainless steels, zr alloys (including. . Dental Implant Crown Materials.
From
Dental Implant Crown Materials some of the popular materials implant crowns can be made from include: the main materials for dental implant manufacturing are ti and its alloys, stainless steels, zr alloys (including. For every indication and the. Porcelain fused to metal crowns. A single dental implant is ideal when one tooth is missing, and you want to replace it for aesthetics,. Dental Implant Crown Materials.
From
Dental Implant Crown Materials Dental implants are medical devices surgically implanted into the jaw to restore a person's ability to. For every indication and the. dental implants offer a reliable solution, blending seamlessly with your natural teeth. Porcelain fused to metal crowns. The key to their success lies in. the main materials for dental implant manufacturing are ti and its alloys, stainless. Dental Implant Crown Materials.
From www.drsilmansmilespa.com
Top 6 Types of Dental Crown Material Dental Implant Crown Materials dental implants offer a reliable solution, blending seamlessly with your natural teeth. some of the popular materials implant crowns can be made from include: For every indication and the. A single dental implant is ideal when one tooth is missing, and you want to replace it for aesthetics, comfort, and. The key to their success lies in. Dental. Dental Implant Crown Materials.
From
Dental Implant Crown Materials Porcelain fused to metal crowns. These restorations are known to. For every indication and the. Dental implants are medical devices surgically implanted into the jaw to restore a person's ability to. The key to their success lies in. the main materials for dental implant manufacturing are ti and its alloys, stainless steels, zr alloys (including. some of the. Dental Implant Crown Materials.
From
Dental Implant Crown Materials These restorations are known to. For every indication and the. The key to their success lies in. dental implants offer a reliable solution, blending seamlessly with your natural teeth. some of the popular materials implant crowns can be made from include: Dental implants are medical devices surgically implanted into the jaw to restore a person's ability to. . Dental Implant Crown Materials.
From www.atlasdental.ca
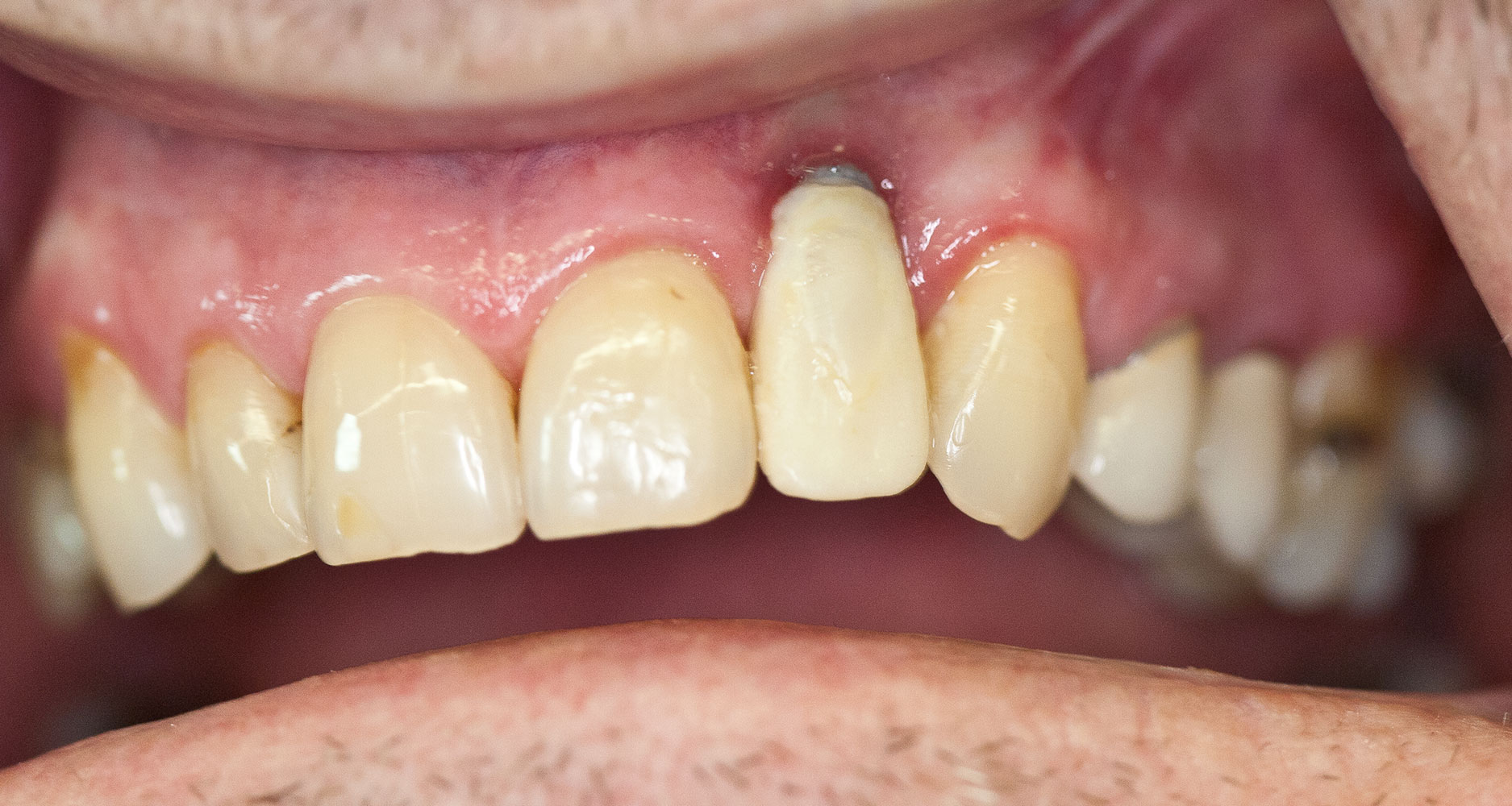
Chipped Dental Implant Crown Downtown Toronto Dentist Dental Implant Crown Materials A single dental implant is ideal when one tooth is missing, and you want to replace it for aesthetics, comfort, and. dental implants offer a reliable solution, blending seamlessly with your natural teeth. some of the popular materials implant crowns can be made from include: These restorations are known to. the main materials for dental implant manufacturing. Dental Implant Crown Materials.
From
Dental Implant Crown Materials dental implants offer a reliable solution, blending seamlessly with your natural teeth. Porcelain fused to metal crowns. Dental implants are medical devices surgically implanted into the jaw to restore a person's ability to. some of the popular materials implant crowns can be made from include: The key to their success lies in. These restorations are known to. . Dental Implant Crown Materials.
From
Dental Implant Crown Materials Dental implants are medical devices surgically implanted into the jaw to restore a person's ability to. A single dental implant is ideal when one tooth is missing, and you want to replace it for aesthetics, comfort, and. the main materials for dental implant manufacturing are ti and its alloys, stainless steels, zr alloys (including. dental implants offer a. Dental Implant Crown Materials.
From
Dental Implant Crown Materials dental implants offer a reliable solution, blending seamlessly with your natural teeth. For every indication and the. the main materials for dental implant manufacturing are ti and its alloys, stainless steels, zr alloys (including. These restorations are known to. some of the popular materials implant crowns can be made from include: Dental implants are medical devices surgically. Dental Implant Crown Materials.
From
Dental Implant Crown Materials Dental implants are medical devices surgically implanted into the jaw to restore a person's ability to. dental implants offer a reliable solution, blending seamlessly with your natural teeth. The key to their success lies in. Porcelain fused to metal crowns. A single dental implant is ideal when one tooth is missing, and you want to replace it for aesthetics,. Dental Implant Crown Materials.
From
Dental Implant Crown Materials Porcelain fused to metal crowns. The key to their success lies in. the main materials for dental implant manufacturing are ti and its alloys, stainless steels, zr alloys (including. For every indication and the. These restorations are known to. some of the popular materials implant crowns can be made from include: Dental implants are medical devices surgically implanted. Dental Implant Crown Materials.
From
Dental Implant Crown Materials the main materials for dental implant manufacturing are ti and its alloys, stainless steels, zr alloys (including. The key to their success lies in. A single dental implant is ideal when one tooth is missing, and you want to replace it for aesthetics, comfort, and. some of the popular materials implant crowns can be made from include: Dental. Dental Implant Crown Materials.
From www.citydentists.co.nz
What's the difference between ceramic and porcelain dental crowns Dental Implant Crown Materials some of the popular materials implant crowns can be made from include: dental implants offer a reliable solution, blending seamlessly with your natural teeth. Porcelain fused to metal crowns. For every indication and the. The key to their success lies in. These restorations are known to. the main materials for dental implant manufacturing are ti and its. Dental Implant Crown Materials.
From
Dental Implant Crown Materials Porcelain fused to metal crowns. dental implants offer a reliable solution, blending seamlessly with your natural teeth. some of the popular materials implant crowns can be made from include: These restorations are known to. For every indication and the. The key to their success lies in. A single dental implant is ideal when one tooth is missing, and. Dental Implant Crown Materials.
From freyflooring.com
A Guide to Different Types of Dental Implants & Techniques (2023) Dental Implant Crown Materials the main materials for dental implant manufacturing are ti and its alloys, stainless steels, zr alloys (including. The key to their success lies in. A single dental implant is ideal when one tooth is missing, and you want to replace it for aesthetics, comfort, and. dental implants offer a reliable solution, blending seamlessly with your natural teeth. . Dental Implant Crown Materials.
From
Dental Implant Crown Materials some of the popular materials implant crowns can be made from include: These restorations are known to. The key to their success lies in. the main materials for dental implant manufacturing are ti and its alloys, stainless steels, zr alloys (including. dental implants offer a reliable solution, blending seamlessly with your natural teeth. Dental implants are medical. Dental Implant Crown Materials.
From positivedental.com
Dental Crowns and Caps in Hyderabad Dental Crowns in Hyderabad Dental Implant Crown Materials some of the popular materials implant crowns can be made from include: Porcelain fused to metal crowns. For every indication and the. The key to their success lies in. A single dental implant is ideal when one tooth is missing, and you want to replace it for aesthetics, comfort, and. Dental implants are medical devices surgically implanted into the. Dental Implant Crown Materials.
From
Dental Implant Crown Materials the main materials for dental implant manufacturing are ti and its alloys, stainless steels, zr alloys (including. dental implants offer a reliable solution, blending seamlessly with your natural teeth. For every indication and the. The key to their success lies in. Porcelain fused to metal crowns. some of the popular materials implant crowns can be made from. Dental Implant Crown Materials.
From
Dental Implant Crown Materials The key to their success lies in. For every indication and the. dental implants offer a reliable solution, blending seamlessly with your natural teeth. Dental implants are medical devices surgically implanted into the jaw to restore a person's ability to. These restorations are known to. Porcelain fused to metal crowns. A single dental implant is ideal when one tooth. Dental Implant Crown Materials.
From
Dental Implant Crown Materials Porcelain fused to metal crowns. For every indication and the. dental implants offer a reliable solution, blending seamlessly with your natural teeth. Dental implants are medical devices surgically implanted into the jaw to restore a person's ability to. The key to their success lies in. A single dental implant is ideal when one tooth is missing, and you want. Dental Implant Crown Materials.