How To Tell If Your Rabbit Has Uterine Cancer . Uterine adenocarcinoma is the most common tumor of rabbits. Do rabbits really get womb cancer? This may not be noticed in the rabbit’s bedding,. One sign that may be seen with a uterine tumor is a spot or pool of blood in the middle of where the rabbit has urinated. In fact, it is probably the single most common tumour in rabbits even though it affects. Uterine tumours (cancer of the womb) are said to be the single most common cancer affecting rabbits, even though only females can. Daisy had blood in her urine and poppet may well have it as she has blood in her urine and. The incidence of neoplasia is most common in dutch, new zealand. Routine lab work including a complete blood count, a serum chemistry profile, and a urinalysis is helpful to identify any concurrent diseases. Cancer of the uterus (or womb) is very common in rabbits;
from jualitapomsibe.blogspot.com
In fact, it is probably the single most common tumour in rabbits even though it affects. Daisy had blood in her urine and poppet may well have it as she has blood in her urine and. Uterine adenocarcinoma is the most common tumor of rabbits. The incidence of neoplasia is most common in dutch, new zealand. This may not be noticed in the rabbit’s bedding,. Uterine tumours (cancer of the womb) are said to be the single most common cancer affecting rabbits, even though only females can. Routine lab work including a complete blood count, a serum chemistry profile, and a urinalysis is helpful to identify any concurrent diseases. Do rabbits really get womb cancer? One sign that may be seen with a uterine tumor is a spot or pool of blood in the middle of where the rabbit has urinated. Cancer of the uterus (or womb) is very common in rabbits;
Uterine most cancers Rabbits
How To Tell If Your Rabbit Has Uterine Cancer Uterine tumours (cancer of the womb) are said to be the single most common cancer affecting rabbits, even though only females can. Cancer of the uterus (or womb) is very common in rabbits; In fact, it is probably the single most common tumour in rabbits even though it affects. One sign that may be seen with a uterine tumor is a spot or pool of blood in the middle of where the rabbit has urinated. This may not be noticed in the rabbit’s bedding,. Daisy had blood in her urine and poppet may well have it as she has blood in her urine and. Do rabbits really get womb cancer? Uterine adenocarcinoma is the most common tumor of rabbits. The incidence of neoplasia is most common in dutch, new zealand. Routine lab work including a complete blood count, a serum chemistry profile, and a urinalysis is helpful to identify any concurrent diseases. Uterine tumours (cancer of the womb) are said to be the single most common cancer affecting rabbits, even though only females can.
From dreamstime.com
RABBIT UTERUS TUMOR XRAY Royalty Free Stock Images Image 30050759 How To Tell If Your Rabbit Has Uterine Cancer Routine lab work including a complete blood count, a serum chemistry profile, and a urinalysis is helpful to identify any concurrent diseases. Daisy had blood in her urine and poppet may well have it as she has blood in her urine and. Cancer of the uterus (or womb) is very common in rabbits; Do rabbits really get womb cancer? This. How To Tell If Your Rabbit Has Uterine Cancer.
From www.scribd.com
Uterine Disorders in 59 Rabbits PDF Uterus Ovarian Cancer How To Tell If Your Rabbit Has Uterine Cancer This may not be noticed in the rabbit’s bedding,. In fact, it is probably the single most common tumour in rabbits even though it affects. Uterine tumours (cancer of the womb) are said to be the single most common cancer affecting rabbits, even though only females can. Routine lab work including a complete blood count, a serum chemistry profile, and. How To Tell If Your Rabbit Has Uterine Cancer.
From www.wikihow.pet
How to Diagnose and Treat Tumors in Rabbits 14 Steps How To Tell If Your Rabbit Has Uterine Cancer Uterine tumours (cancer of the womb) are said to be the single most common cancer affecting rabbits, even though only females can. This may not be noticed in the rabbit’s bedding,. In fact, it is probably the single most common tumour in rabbits even though it affects. Uterine adenocarcinoma is the most common tumor of rabbits. The incidence of neoplasia. How To Tell If Your Rabbit Has Uterine Cancer.
From www.researchgate.net
HEstained sections of rabbit uterine tissue after electrothermal How To Tell If Your Rabbit Has Uterine Cancer The incidence of neoplasia is most common in dutch, new zealand. Routine lab work including a complete blood count, a serum chemistry profile, and a urinalysis is helpful to identify any concurrent diseases. This may not be noticed in the rabbit’s bedding,. Daisy had blood in her urine and poppet may well have it as she has blood in her. How To Tell If Your Rabbit Has Uterine Cancer.
From www.reddit.com
Need all the healing vibes. My foster bun Maddie was spayed today How To Tell If Your Rabbit Has Uterine Cancer Daisy had blood in her urine and poppet may well have it as she has blood in her urine and. One sign that may be seen with a uterine tumor is a spot or pool of blood in the middle of where the rabbit has urinated. Cancer of the uterus (or womb) is very common in rabbits; Do rabbits really. How To Tell If Your Rabbit Has Uterine Cancer.
From www.petmd.com
Uterine Infections in Rabbits PetMD How To Tell If Your Rabbit Has Uterine Cancer Routine lab work including a complete blood count, a serum chemistry profile, and a urinalysis is helpful to identify any concurrent diseases. Uterine tumours (cancer of the womb) are said to be the single most common cancer affecting rabbits, even though only females can. This may not be noticed in the rabbit’s bedding,. The incidence of neoplasia is most common. How To Tell If Your Rabbit Has Uterine Cancer.
From www.youtube.com
DOMESTIC RABBIT WITH UTERINE CANCER GETTING THE SURGERY IT NEEDED NOT How To Tell If Your Rabbit Has Uterine Cancer One sign that may be seen with a uterine tumor is a spot or pool of blood in the middle of where the rabbit has urinated. In fact, it is probably the single most common tumour in rabbits even though it affects. Do rabbits really get womb cancer? Cancer of the uterus (or womb) is very common in rabbits; Uterine. How To Tell If Your Rabbit Has Uterine Cancer.
From www.reddit.com
Just one question . that is a female rabbit is mated reguarly can we How To Tell If Your Rabbit Has Uterine Cancer Uterine adenocarcinoma is the most common tumor of rabbits. Daisy had blood in her urine and poppet may well have it as she has blood in her urine and. Uterine tumours (cancer of the womb) are said to be the single most common cancer affecting rabbits, even though only females can. In fact, it is probably the single most common. How To Tell If Your Rabbit Has Uterine Cancer.
From jualitapomsibe.blogspot.com
Uterine most cancers Rabbits How To Tell If Your Rabbit Has Uterine Cancer In fact, it is probably the single most common tumour in rabbits even though it affects. Routine lab work including a complete blood count, a serum chemistry profile, and a urinalysis is helpful to identify any concurrent diseases. This may not be noticed in the rabbit’s bedding,. Do rabbits really get womb cancer? Uterine tumours (cancer of the womb) are. How To Tell If Your Rabbit Has Uterine Cancer.
From dokumen.tips
(PDF) Uterine Adenocarcinoma inRabbits · Uterine Adenocarcinoma How To Tell If Your Rabbit Has Uterine Cancer Do rabbits really get womb cancer? Uterine tumours (cancer of the womb) are said to be the single most common cancer affecting rabbits, even though only females can. Daisy had blood in her urine and poppet may well have it as she has blood in her urine and. Uterine adenocarcinoma is the most common tumor of rabbits. Routine lab work. How To Tell If Your Rabbit Has Uterine Cancer.
From journals.sagepub.com
Not Just Uterine Adenocarcinoma—Neoplastic and NonNeoplastic Masses in How To Tell If Your Rabbit Has Uterine Cancer Do rabbits really get womb cancer? Uterine tumours (cancer of the womb) are said to be the single most common cancer affecting rabbits, even though only females can. Uterine adenocarcinoma is the most common tumor of rabbits. The incidence of neoplasia is most common in dutch, new zealand. One sign that may be seen with a uterine tumor is a. How To Tell If Your Rabbit Has Uterine Cancer.
From jualitapomsibe.blogspot.com
Uterine most cancers Rabbits How To Tell If Your Rabbit Has Uterine Cancer The incidence of neoplasia is most common in dutch, new zealand. In fact, it is probably the single most common tumour in rabbits even though it affects. Cancer of the uterus (or womb) is very common in rabbits; Do rabbits really get womb cancer? Routine lab work including a complete blood count, a serum chemistry profile, and a urinalysis is. How To Tell If Your Rabbit Has Uterine Cancer.
From gojackrabbitgo.com
5 Common Rabbit Tumors Causes, Symptoms, Treatment How To Tell If Your Rabbit Has Uterine Cancer Cancer of the uterus (or womb) is very common in rabbits; Do rabbits really get womb cancer? One sign that may be seen with a uterine tumor is a spot or pool of blood in the middle of where the rabbit has urinated. Daisy had blood in her urine and poppet may well have it as she has blood in. How To Tell If Your Rabbit Has Uterine Cancer.
From www.pinterest.com
Rabbits Truths on Twitter Pet bunny rabbits, Female rabbit, Pet bunny How To Tell If Your Rabbit Has Uterine Cancer Uterine tumours (cancer of the womb) are said to be the single most common cancer affecting rabbits, even though only females can. Uterine adenocarcinoma is the most common tumor of rabbits. This may not be noticed in the rabbit’s bedding,. One sign that may be seen with a uterine tumor is a spot or pool of blood in the middle. How To Tell If Your Rabbit Has Uterine Cancer.
From www.petmd.com
Cancer of the Uterus in Rabbits PetMD How To Tell If Your Rabbit Has Uterine Cancer Daisy had blood in her urine and poppet may well have it as she has blood in her urine and. In fact, it is probably the single most common tumour in rabbits even though it affects. Routine lab work including a complete blood count, a serum chemistry profile, and a urinalysis is helpful to identify any concurrent diseases. One sign. How To Tell If Your Rabbit Has Uterine Cancer.
From herebunny.com
What The Lump Under Your Rabbit's Skin Indicate? Here Bunny How To Tell If Your Rabbit Has Uterine Cancer One sign that may be seen with a uterine tumor is a spot or pool of blood in the middle of where the rabbit has urinated. Uterine adenocarcinoma is the most common tumor of rabbits. Uterine tumours (cancer of the womb) are said to be the single most common cancer affecting rabbits, even though only females can. The incidence of. How To Tell If Your Rabbit Has Uterine Cancer.
From bunyaboy.blogspot.com
Rabbit Ramblings Bunny advocacy memes How To Tell If Your Rabbit Has Uterine Cancer This may not be noticed in the rabbit’s bedding,. Uterine tumours (cancer of the womb) are said to be the single most common cancer affecting rabbits, even though only females can. In fact, it is probably the single most common tumour in rabbits even though it affects. Uterine adenocarcinoma is the most common tumor of rabbits. One sign that may. How To Tell If Your Rabbit Has Uterine Cancer.
From issuu.com
RabbitTortoise Model for Cancer Cure by India Book of Records Issuu How To Tell If Your Rabbit Has Uterine Cancer Uterine adenocarcinoma is the most common tumor of rabbits. This may not be noticed in the rabbit’s bedding,. Uterine tumours (cancer of the womb) are said to be the single most common cancer affecting rabbits, even though only females can. In fact, it is probably the single most common tumour in rabbits even though it affects. Daisy had blood in. How To Tell If Your Rabbit Has Uterine Cancer.
From www.wikihow.pet
How to Diagnose and Treat Tumors in Rabbits 14 Steps How To Tell If Your Rabbit Has Uterine Cancer Uterine adenocarcinoma is the most common tumor of rabbits. Daisy had blood in her urine and poppet may well have it as she has blood in her urine and. The incidence of neoplasia is most common in dutch, new zealand. Do rabbits really get womb cancer? This may not be noticed in the rabbit’s bedding,. Uterine tumours (cancer of the. How To Tell If Your Rabbit Has Uterine Cancer.
From www.molekulce.com
Tavşanlarda Kafa Tümörleri ve Kanser Nedir? Molekülce How To Tell If Your Rabbit Has Uterine Cancer Cancer of the uterus (or womb) is very common in rabbits; The incidence of neoplasia is most common in dutch, new zealand. Uterine tumours (cancer of the womb) are said to be the single most common cancer affecting rabbits, even though only females can. Daisy had blood in her urine and poppet may well have it as she has blood. How To Tell If Your Rabbit Has Uterine Cancer.
From www.thesprucepets.com
Rabbit Tumors Lipomas, Cysts and More How To Tell If Your Rabbit Has Uterine Cancer One sign that may be seen with a uterine tumor is a spot or pool of blood in the middle of where the rabbit has urinated. Routine lab work including a complete blood count, a serum chemistry profile, and a urinalysis is helpful to identify any concurrent diseases. Cancer of the uterus (or womb) is very common in rabbits; Uterine. How To Tell If Your Rabbit Has Uterine Cancer.
From rabbitsecrets.com
Signs of Rabbit Labor How to Tell When Your Rabbit is About to Give Birth How To Tell If Your Rabbit Has Uterine Cancer This may not be noticed in the rabbit’s bedding,. Routine lab work including a complete blood count, a serum chemistry profile, and a urinalysis is helpful to identify any concurrent diseases. Cancer of the uterus (or womb) is very common in rabbits; Do rabbits really get womb cancer? Daisy had blood in her urine and poppet may well have it. How To Tell If Your Rabbit Has Uterine Cancer.
From www.wikihow.pet
How to Diagnose and Treat Tumors in Rabbits 14 Steps How To Tell If Your Rabbit Has Uterine Cancer Do rabbits really get womb cancer? The incidence of neoplasia is most common in dutch, new zealand. Uterine adenocarcinoma is the most common tumor of rabbits. Routine lab work including a complete blood count, a serum chemistry profile, and a urinalysis is helpful to identify any concurrent diseases. One sign that may be seen with a uterine tumor is a. How To Tell If Your Rabbit Has Uterine Cancer.
From www.youtube.com
Did you know... that unspayed female rabbits develop preventable How To Tell If Your Rabbit Has Uterine Cancer Cancer of the uterus (or womb) is very common in rabbits; In fact, it is probably the single most common tumour in rabbits even though it affects. Uterine adenocarcinoma is the most common tumor of rabbits. One sign that may be seen with a uterine tumor is a spot or pool of blood in the middle of where the rabbit. How To Tell If Your Rabbit Has Uterine Cancer.
From www.pinterest.com
Spay & Neuter is literally a lifesaving surgery for rabbits! Intact How To Tell If Your Rabbit Has Uterine Cancer Cancer of the uterus (or womb) is very common in rabbits; This may not be noticed in the rabbit’s bedding,. Routine lab work including a complete blood count, a serum chemistry profile, and a urinalysis is helpful to identify any concurrent diseases. In fact, it is probably the single most common tumour in rabbits even though it affects. Daisy had. How To Tell If Your Rabbit Has Uterine Cancer.
From www.petwah.com
Rabbit Cancer Awareness 10 Common Signs Of Cancer In Pet Rabbits PetWah How To Tell If Your Rabbit Has Uterine Cancer Cancer of the uterus (or womb) is very common in rabbits; Daisy had blood in her urine and poppet may well have it as she has blood in her urine and. Uterine adenocarcinoma is the most common tumor of rabbits. The incidence of neoplasia is most common in dutch, new zealand. Routine lab work including a complete blood count, a. How To Tell If Your Rabbit Has Uterine Cancer.
From www.youtube.com
Radiation therapy for Rabbits The Cancer Vet Episode 02 YouTube How To Tell If Your Rabbit Has Uterine Cancer This may not be noticed in the rabbit’s bedding,. Uterine adenocarcinoma is the most common tumor of rabbits. Uterine tumours (cancer of the womb) are said to be the single most common cancer affecting rabbits, even though only females can. Do rabbits really get womb cancer? In fact, it is probably the single most common tumour in rabbits even though. How To Tell If Your Rabbit Has Uterine Cancer.
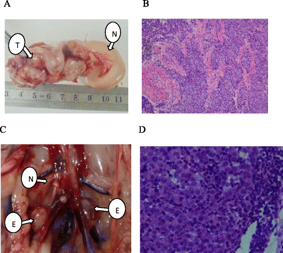
From wjso.biomedcentral.com
Establishment of the retroperitoneal lymph node metastasis model of How To Tell If Your Rabbit Has Uterine Cancer Do rabbits really get womb cancer? Uterine tumours (cancer of the womb) are said to be the single most common cancer affecting rabbits, even though only females can. In fact, it is probably the single most common tumour in rabbits even though it affects. The incidence of neoplasia is most common in dutch, new zealand. Routine lab work including a. How To Tell If Your Rabbit Has Uterine Cancer.
From www.petrabbit.co.uk
Neutering My Rabbit Family Blog How To Tell If Your Rabbit Has Uterine Cancer Daisy had blood in her urine and poppet may well have it as she has blood in her urine and. Uterine adenocarcinoma is the most common tumor of rabbits. Do rabbits really get womb cancer? The incidence of neoplasia is most common in dutch, new zealand. Routine lab work including a complete blood count, a serum chemistry profile, and a. How To Tell If Your Rabbit Has Uterine Cancer.
From www.reddit.com
just learning of cancer in unfixed female rabbits.. need advice in How To Tell If Your Rabbit Has Uterine Cancer This may not be noticed in the rabbit’s bedding,. The incidence of neoplasia is most common in dutch, new zealand. Routine lab work including a complete blood count, a serum chemistry profile, and a urinalysis is helpful to identify any concurrent diseases. Do rabbits really get womb cancer? Cancer of the uterus (or womb) is very common in rabbits; Uterine. How To Tell If Your Rabbit Has Uterine Cancer.
From www.reddit.com
This amazing bun was surrendered pregnant and delivered 2 beautiful How To Tell If Your Rabbit Has Uterine Cancer This may not be noticed in the rabbit’s bedding,. Do rabbits really get womb cancer? Cancer of the uterus (or womb) is very common in rabbits; One sign that may be seen with a uterine tumor is a spot or pool of blood in the middle of where the rabbit has urinated. Routine lab work including a complete blood count,. How To Tell If Your Rabbit Has Uterine Cancer.
From linksofstrathaven.com
How To Tell If Your Rabbit Is Blind? Update New How To Tell If Your Rabbit Has Uterine Cancer Do rabbits really get womb cancer? In fact, it is probably the single most common tumour in rabbits even though it affects. Daisy had blood in her urine and poppet may well have it as she has blood in her urine and. Cancer of the uterus (or womb) is very common in rabbits; This may not be noticed in the. How To Tell If Your Rabbit Has Uterine Cancer.
From www.youtube.com
How to tell the gender of your rabbit? YouTube How To Tell If Your Rabbit Has Uterine Cancer Daisy had blood in her urine and poppet may well have it as she has blood in her urine and. This may not be noticed in the rabbit’s bedding,. Uterine tumours (cancer of the womb) are said to be the single most common cancer affecting rabbits, even though only females can. Do rabbits really get womb cancer? In fact, it. How To Tell If Your Rabbit Has Uterine Cancer.
From www.wikihow.com
How to Determine the Sex of a Rabbit 10 Steps (with Pictures) How To Tell If Your Rabbit Has Uterine Cancer The incidence of neoplasia is most common in dutch, new zealand. Cancer of the uterus (or womb) is very common in rabbits; In fact, it is probably the single most common tumour in rabbits even though it affects. One sign that may be seen with a uterine tumor is a spot or pool of blood in the middle of where. How To Tell If Your Rabbit Has Uterine Cancer.
From avmajournals.avma.org
Clinical and pathological findings of rabbits with lymphoma 16 cases How To Tell If Your Rabbit Has Uterine Cancer Uterine adenocarcinoma is the most common tumor of rabbits. In fact, it is probably the single most common tumour in rabbits even though it affects. The incidence of neoplasia is most common in dutch, new zealand. Cancer of the uterus (or womb) is very common in rabbits; Routine lab work including a complete blood count, a serum chemistry profile, and. How To Tell If Your Rabbit Has Uterine Cancer.