Space Between Teeth Braces . These spaces can form anywhere in the mouth, but are sometimes noticeable between the two upper front teeth. Spacing and gaps in teeth, or diastema, are noticeable spaces between two or more teeth, commonly between the upper front teeth. These are the most commonly used to create space for braces. This time is enough for the molars to move sufficiently far apart. Braces are orthodontics used to treat crooked teeth. Diastema refers to a gap or space between the teeth. In order to provide some extra space between teeth so that they can adjust correctly, your ortho might recommend a procedure. A diastema describes a gap between the teeth. Your orthodontist will determine which type to use based on your needs and the amount of space your teeth need. Typically, dental spacers are secured between teeth a week or two before braces are put in. Rubber spacers — small elastic loops resembling rubber bands that slide between two teeth. They are typically placed between the molars (back teeth), or between specific front or middle teeth, to create space before braces are fastened on. Orthodontic separators, commonly known as tooth spacers, are rubber bands or orthodontic metal bands measuring about a centimeter in diameter to make more room before getting braces. In children, the gap typically closes when their permanent teeth come through. Diastemas are not harmful, and appear in children and adults.
from jkaplanortho.com
These are the most commonly used to create space for braces. Diastema refers to a gap or space between the teeth. Braces are orthodontics used to treat crooked teeth. Spacing and gaps in teeth, or diastema, are noticeable spaces between two or more teeth, commonly between the upper front teeth. Your orthodontist will determine which type to use based on your needs and the amount of space your teeth need. A diastema describes a gap between the teeth. They are typically placed between the molars (back teeth), or between specific front or middle teeth, to create space before braces are fastened on. This time is enough for the molars to move sufficiently far apart. Rubber spacers — small elastic loops resembling rubber bands that slide between two teeth. These spaces can form anywhere in the mouth, but are sometimes noticeable between the two upper front teeth.
Do Gaps in the Teeth Always Mean Braces? Kaplan Orthodontics
Space Between Teeth Braces Rubber spacers — small elastic loops resembling rubber bands that slide between two teeth. Diastema refers to a gap or space between the teeth. Diastemas are not harmful, and appear in children and adults. A diastema describes a gap between the teeth. This time is enough for the molars to move sufficiently far apart. Orthodontic separators, commonly known as tooth spacers, are rubber bands or orthodontic metal bands measuring about a centimeter in diameter to make more room before getting braces. Rubber spacers — small elastic loops resembling rubber bands that slide between two teeth. Braces are orthodontics used to treat crooked teeth. In order to provide some extra space between teeth so that they can adjust correctly, your ortho might recommend a procedure. Your orthodontist will determine which type to use based on your needs and the amount of space your teeth need. Typically, dental spacers are secured between teeth a week or two before braces are put in. They are typically placed between the molars (back teeth), or between specific front or middle teeth, to create space before braces are fastened on. Spacing and gaps in teeth, or diastema, are noticeable spaces between two or more teeth, commonly between the upper front teeth. In children, the gap typically closes when their permanent teeth come through. These are the most commonly used to create space for braces. These spaces can form anywhere in the mouth, but are sometimes noticeable between the two upper front teeth.
From freytagortho.com
Different Parts of Braces Orthodontic Terminology Space Between Teeth Braces This time is enough for the molars to move sufficiently far apart. Diastemas are not harmful, and appear in children and adults. Diastema refers to a gap or space between the teeth. These are the most commonly used to create space for braces. In order to provide some extra space between teeth so that they can adjust correctly, your ortho. Space Between Teeth Braces.
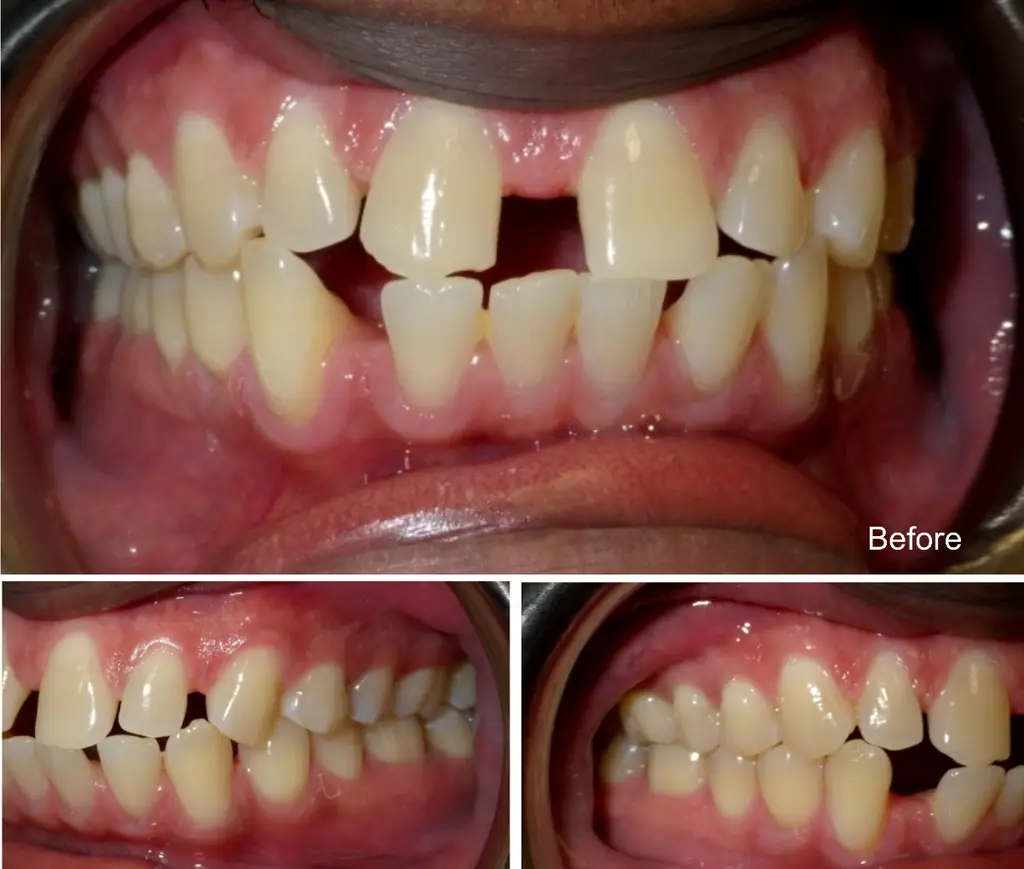
From www.artorthodontics.com
Orthodontic Brackets (Braces) How do They Work? ART Orthodontics Space Between Teeth Braces They are typically placed between the molars (back teeth), or between specific front or middle teeth, to create space before braces are fastened on. Your orthodontist will determine which type to use based on your needs and the amount of space your teeth need. These are the most commonly used to create space for braces. Orthodontic separators, commonly known as. Space Between Teeth Braces.
From braceshaven.com
Spacers for Teeth What They Are Do Pain (All You Need To Know) Space Between Teeth Braces Diastemas are not harmful, and appear in children and adults. This time is enough for the molars to move sufficiently far apart. These spaces can form anywhere in the mouth, but are sometimes noticeable between the two upper front teeth. Rubber spacers — small elastic loops resembling rubber bands that slide between two teeth. Spacing and gaps in teeth, or. Space Between Teeth Braces.
From silverhilldental.com
Space in Teeth Causes and Solution of Gaps Between the Teeth Space Between Teeth Braces In children, the gap typically closes when their permanent teeth come through. Spacing and gaps in teeth, or diastema, are noticeable spaces between two or more teeth, commonly between the upper front teeth. They are typically placed between the molars (back teeth), or between specific front or middle teeth, to create space before braces are fastened on. This time is. Space Between Teeth Braces.
From www.naperville.dental
Diastema (Gap Teeth) Causes and How to Fix Gap Teeth Living Well Space Between Teeth Braces In order to provide some extra space between teeth so that they can adjust correctly, your ortho might recommend a procedure. A diastema describes a gap between the teeth. This time is enough for the molars to move sufficiently far apart. Spacing and gaps in teeth, or diastema, are noticeable spaces between two or more teeth, commonly between the upper. Space Between Teeth Braces.
From www.animalia-life.club
Before And After Braces Gaps Space Between Teeth Braces Typically, dental spacers are secured between teeth a week or two before braces are put in. Your orthodontist will determine which type to use based on your needs and the amount of space your teeth need. A diastema describes a gap between the teeth. In order to provide some extra space between teeth so that they can adjust correctly, your. Space Between Teeth Braces.
From www.abckiddentist.com
Common Orthodontic Problems Chicago, IL Space Between Teeth Braces Spacing and gaps in teeth, or diastema, are noticeable spaces between two or more teeth, commonly between the upper front teeth. Rubber spacers — small elastic loops resembling rubber bands that slide between two teeth. These spaces can form anywhere in the mouth, but are sometimes noticeable between the two upper front teeth. Diastema refers to a gap or space. Space Between Teeth Braces.
From www.belmarorthodontics.com
Space Maintainers and Permanent Teeth Belmar Orthodontics Space Between Teeth Braces In children, the gap typically closes when their permanent teeth come through. These spaces can form anywhere in the mouth, but are sometimes noticeable between the two upper front teeth. Braces are orthodontics used to treat crooked teeth. These are the most commonly used to create space for braces. A diastema describes a gap between the teeth. Typically, dental spacers. Space Between Teeth Braces.
From www.animalia-life.club
Before And After Braces Gaps Space Between Teeth Braces Diastemas are not harmful, and appear in children and adults. These are the most commonly used to create space for braces. Typically, dental spacers are secured between teeth a week or two before braces are put in. This time is enough for the molars to move sufficiently far apart. They are typically placed between the molars (back teeth), or between. Space Between Teeth Braces.
From www.youtube.com
How Do Braces Close Gaps Between Teeth 2018 YouTube Space Between Teeth Braces This time is enough for the molars to move sufficiently far apart. In order to provide some extra space between teeth so that they can adjust correctly, your ortho might recommend a procedure. They are typically placed between the molars (back teeth), or between specific front or middle teeth, to create space before braces are fastened on. Orthodontic separators, commonly. Space Between Teeth Braces.
From nanti-aku-fikir.blogspot.com
How To Close Gap In Teeth With Braces How Long Do You Think It Will Space Between Teeth Braces In children, the gap typically closes when their permanent teeth come through. They are typically placed between the molars (back teeth), or between specific front or middle teeth, to create space before braces are fastened on. A diastema describes a gap between the teeth. Diastemas are not harmful, and appear in children and adults. Your orthodontist will determine which type. Space Between Teeth Braces.
From www.smileconcepts.com.au
Gaps & Spaces Between Teeth Dental Solutions Smile Concepts Space Between Teeth Braces These are the most commonly used to create space for braces. These spaces can form anywhere in the mouth, but are sometimes noticeable between the two upper front teeth. They are typically placed between the molars (back teeth), or between specific front or middle teeth, to create space before braces are fastened on. Typically, dental spacers are secured between teeth. Space Between Teeth Braces.
From www.pinterest.ph
Generalized spaces between teeth treated orthodonticaly by braces...to Space Between Teeth Braces This time is enough for the molars to move sufficiently far apart. Orthodontic separators, commonly known as tooth spacers, are rubber bands or orthodontic metal bands measuring about a centimeter in diameter to make more room before getting braces. These spaces can form anywhere in the mouth, but are sometimes noticeable between the two upper front teeth. In order to. Space Between Teeth Braces.
From www.youtube.com
PARTS OF BRACES /How They Work YouTube Space Between Teeth Braces In children, the gap typically closes when their permanent teeth come through. Diastemas are not harmful, and appear in children and adults. In order to provide some extra space between teeth so that they can adjust correctly, your ortho might recommend a procedure. Orthodontic separators, commonly known as tooth spacers, are rubber bands or orthodontic metal bands measuring about a. Space Between Teeth Braces.
From www.researchgate.net
Тhe space between teeth 21 and 24 after the orthodontic treatment Space Between Teeth Braces These are the most commonly used to create space for braces. In order to provide some extra space between teeth so that they can adjust correctly, your ortho might recommend a procedure. They are typically placed between the molars (back teeth), or between specific front or middle teeth, to create space before braces are fastened on. Braces are orthodontics used. Space Between Teeth Braces.
From bracesorinvisalign.com
How Do Braces Work? Braces or Invisalign Space Between Teeth Braces In order to provide some extra space between teeth so that they can adjust correctly, your ortho might recommend a procedure. In children, the gap typically closes when their permanent teeth come through. Your orthodontist will determine which type to use based on your needs and the amount of space your teeth need. This time is enough for the molars. Space Between Teeth Braces.
From www.portlandbraces.com
Tooth Gaps Why Your Braces Are Not Closing The Spaces Between Your Teeth Space Between Teeth Braces In order to provide some extra space between teeth so that they can adjust correctly, your ortho might recommend a procedure. They are typically placed between the molars (back teeth), or between specific front or middle teeth, to create space before braces are fastened on. These spaces can form anywhere in the mouth, but are sometimes noticeable between the two. Space Between Teeth Braces.
From www.jorgensenorthodontics.com
Why Are My Braces Having Trouble Closing the Spaces Between My Teeth Space Between Teeth Braces Braces are orthodontics used to treat crooked teeth. Diastemas are not harmful, and appear in children and adults. Your orthodontist will determine which type to use based on your needs and the amount of space your teeth need. Typically, dental spacers are secured between teeth a week or two before braces are put in. Orthodontic separators, commonly known as tooth. Space Between Teeth Braces.
From www.animalia-life.club
Before And After Braces Gaps Space Between Teeth Braces Typically, dental spacers are secured between teeth a week or two before braces are put in. Braces are orthodontics used to treat crooked teeth. In children, the gap typically closes when their permanent teeth come through. Diastema refers to a gap or space between the teeth. These are the most commonly used to create space for braces. This time is. Space Between Teeth Braces.
From sherwaydentalcentre.com
Orthotreatment with Space Maintainers Sherway Gardens Dental Centre Space Between Teeth Braces In order to provide some extra space between teeth so that they can adjust correctly, your ortho might recommend a procedure. A diastema describes a gap between the teeth. Orthodontic separators, commonly known as tooth spacers, are rubber bands or orthodontic metal bands measuring about a centimeter in diameter to make more room before getting braces. Braces are orthodontics used. Space Between Teeth Braces.
From shawneedentistryandbraces.com
Closing Gaps in Teeth with Braces Shawnee Dentistry and Braces Space Between Teeth Braces Orthodontic separators, commonly known as tooth spacers, are rubber bands or orthodontic metal bands measuring about a centimeter in diameter to make more room before getting braces. A diastema describes a gap between the teeth. Diastema refers to a gap or space between the teeth. In order to provide some extra space between teeth so that they can adjust correctly,. Space Between Teeth Braces.
From pvpd.com
The benefits of space maintainers and clear braces in preventing dental Space Between Teeth Braces Braces are orthodontics used to treat crooked teeth. Orthodontic separators, commonly known as tooth spacers, are rubber bands or orthodontic metal bands measuring about a centimeter in diameter to make more room before getting braces. These spaces can form anywhere in the mouth, but are sometimes noticeable between the two upper front teeth. Diastema refers to a gap or space. Space Between Teeth Braces.
From jkaplanortho.com
Do Gaps in the Teeth Always Mean Braces? Kaplan Orthodontics Space Between Teeth Braces Diastemas are not harmful, and appear in children and adults. These spaces can form anywhere in the mouth, but are sometimes noticeable between the two upper front teeth. They are typically placed between the molars (back teeth), or between specific front or middle teeth, to create space before braces are fastened on. A diastema describes a gap between the teeth.. Space Between Teeth Braces.
From www.smilelogicortho.com
Spaces between teeth closed with braces · South Brunswick NJ Space Between Teeth Braces These spaces can form anywhere in the mouth, but are sometimes noticeable between the two upper front teeth. A diastema describes a gap between the teeth. In children, the gap typically closes when their permanent teeth come through. Diastemas are not harmful, and appear in children and adults. They are typically placed between the molars (back teeth), or between specific. Space Between Teeth Braces.
From www.diamondbraces.com
Everything You Need to Know About Spaces/Gaps Between Teeth Space Between Teeth Braces Spacing and gaps in teeth, or diastema, are noticeable spaces between two or more teeth, commonly between the upper front teeth. Orthodontic separators, commonly known as tooth spacers, are rubber bands or orthodontic metal bands measuring about a centimeter in diameter to make more room before getting braces. Your orthodontist will determine which type to use based on your needs. Space Between Teeth Braces.
From www.bandeenorthodontics.com
Case Study 68 Spaces between teeth (Invisalign) Bandeen Space Between Teeth Braces In children, the gap typically closes when their permanent teeth come through. Diastema refers to a gap or space between the teeth. Spacing and gaps in teeth, or diastema, are noticeable spaces between two or more teeth, commonly between the upper front teeth. Your orthodontist will determine which type to use based on your needs and the amount of space. Space Between Teeth Braces.
From www.parrockdental.co.uk
Spaced Teeth Fixed with Braces Before & After Photos Space Between Teeth Braces They are typically placed between the molars (back teeth), or between specific front or middle teeth, to create space before braces are fastened on. These are the most commonly used to create space for braces. Orthodontic separators, commonly known as tooth spacers, are rubber bands or orthodontic metal bands measuring about a centimeter in diameter to make more room before. Space Between Teeth Braces.
From kladztgtq.blob.core.windows.net
The Difference Between Curly Braces And Brackets at Russell Clary blog Space Between Teeth Braces A diastema describes a gap between the teeth. These spaces can form anywhere in the mouth, but are sometimes noticeable between the two upper front teeth. Your orthodontist will determine which type to use based on your needs and the amount of space your teeth need. In children, the gap typically closes when their permanent teeth come through. Diastemas are. Space Between Teeth Braces.
From www.sachardental.com
Dentist NYC Invisalign for gapped teeth Sachar Dental NYC Space Between Teeth Braces They are typically placed between the molars (back teeth), or between specific front or middle teeth, to create space before braces are fastened on. A diastema describes a gap between the teeth. These are the most commonly used to create space for braces. Orthodontic separators, commonly known as tooth spacers, are rubber bands or orthodontic metal bands measuring about a. Space Between Teeth Braces.
From www.parrockdental.co.uk
Spaced Teeth Fixed with Braces Before & After Photos Space Between Teeth Braces Your orthodontist will determine which type to use based on your needs and the amount of space your teeth need. In children, the gap typically closes when their permanent teeth come through. Braces are orthodontics used to treat crooked teeth. In order to provide some extra space between teeth so that they can adjust correctly, your ortho might recommend a. Space Between Teeth Braces.
From ceyxqluh.blob.core.windows.net
Gap Closing Bands at Misty Rawls blog Space Between Teeth Braces Diastema refers to a gap or space between the teeth. Typically, dental spacers are secured between teeth a week or two before braces are put in. A diastema describes a gap between the teeth. These are the most commonly used to create space for braces. Your orthodontist will determine which type to use based on your needs and the amount. Space Between Teeth Braces.
From www.clarencetam.co.nz
Closing Spaces Between Teeth Microdontia Cosmetic Dentist AACD Space Between Teeth Braces Diastemas are not harmful, and appear in children and adults. This time is enough for the molars to move sufficiently far apart. Diastema refers to a gap or space between the teeth. A diastema describes a gap between the teeth. Rubber spacers — small elastic loops resembling rubber bands that slide between two teeth. These are the most commonly used. Space Between Teeth Braces.
From icondentalcenter.com
5 Dental Conditions Braces Are Most Effective for Treating Space Between Teeth Braces A diastema describes a gap between the teeth. Spacing and gaps in teeth, or diastema, are noticeable spaces between two or more teeth, commonly between the upper front teeth. This time is enough for the molars to move sufficiently far apart. Diastemas are not harmful, and appear in children and adults. Typically, dental spacers are secured between teeth a week. Space Between Teeth Braces.
From exofjdopk.blob.core.windows.net
Space Between Teeth Food Stuck at Benjamin Saunders blog Space Between Teeth Braces A diastema describes a gap between the teeth. These spaces can form anywhere in the mouth, but are sometimes noticeable between the two upper front teeth. These are the most commonly used to create space for braces. This time is enough for the molars to move sufficiently far apart. Diastemas are not harmful, and appear in children and adults. Orthodontic. Space Between Teeth Braces.
From www.smilelogicortho.com
Spaces between teeth closed with braces · South Brunswick NJ Space Between Teeth Braces In order to provide some extra space between teeth so that they can adjust correctly, your ortho might recommend a procedure. These spaces can form anywhere in the mouth, but are sometimes noticeable between the two upper front teeth. They are typically placed between the molars (back teeth), or between specific front or middle teeth, to create space before braces. Space Between Teeth Braces.