Lanap Procedure Before And After . your periodontist will give you specific steps for the care of your mouth following your procedure, but there are some general guidelines. See the benefits of laser therapy and what to expect before and after your appointment. Learn how it works, who can. It treats gum disease—an infection of the gums that’s usually caused by poor oral hygiene—using periolase, a yag laser, to remove diseased tissue and kill bacteria while leaving healthy tissue intact. what is lanap® laser gum surgery? laser gum surgery is a minimally invasive procedure that, as the name suggests, uses a laser to remove bad bacteria and damaged gum tissue from the gum pockets in order to treat gum disease. learn how lanap® can stop the progression of gum disease without scalpels or stitches. the lanap protocol is a laser surgery that can reverse gum disease without cutting or stitching the gums.
from www.tennesseedentist.com
See the benefits of laser therapy and what to expect before and after your appointment. It treats gum disease—an infection of the gums that’s usually caused by poor oral hygiene—using periolase, a yag laser, to remove diseased tissue and kill bacteria while leaving healthy tissue intact. laser gum surgery is a minimally invasive procedure that, as the name suggests, uses a laser to remove bad bacteria and damaged gum tissue from the gum pockets in order to treat gum disease. your periodontist will give you specific steps for the care of your mouth following your procedure, but there are some general guidelines. Learn how it works, who can. learn how lanap® can stop the progression of gum disease without scalpels or stitches. the lanap protocol is a laser surgery that can reverse gum disease without cutting or stitching the gums. what is lanap® laser gum surgery?
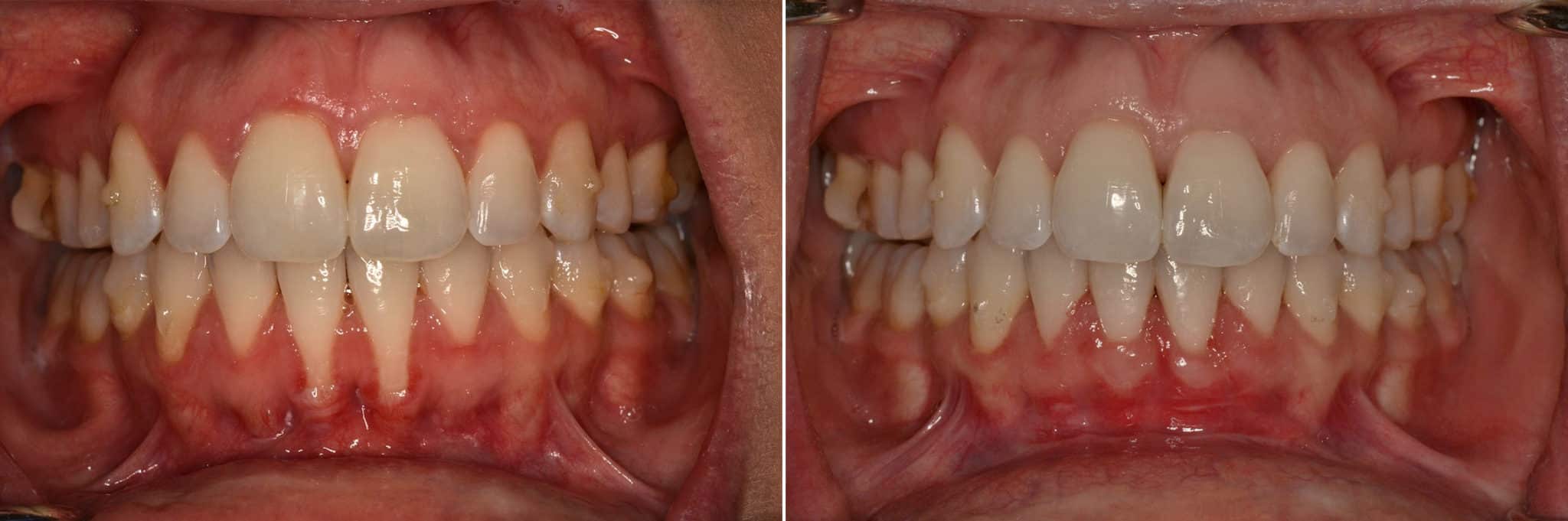
Invisalign & LANAP Before & After Photos Brentwood TN
Lanap Procedure Before And After It treats gum disease—an infection of the gums that’s usually caused by poor oral hygiene—using periolase, a yag laser, to remove diseased tissue and kill bacteria while leaving healthy tissue intact. It treats gum disease—an infection of the gums that’s usually caused by poor oral hygiene—using periolase, a yag laser, to remove diseased tissue and kill bacteria while leaving healthy tissue intact. what is lanap® laser gum surgery? laser gum surgery is a minimally invasive procedure that, as the name suggests, uses a laser to remove bad bacteria and damaged gum tissue from the gum pockets in order to treat gum disease. learn how lanap® can stop the progression of gum disease without scalpels or stitches. Learn how it works, who can. See the benefits of laser therapy and what to expect before and after your appointment. your periodontist will give you specific steps for the care of your mouth following your procedure, but there are some general guidelines. the lanap protocol is a laser surgery that can reverse gum disease without cutting or stitching the gums.
From www.sparacinoperio.com
The LANAP® Procedure Sparacino Periodontics Lanap Procedure Before And After Learn how it works, who can. what is lanap® laser gum surgery? laser gum surgery is a minimally invasive procedure that, as the name suggests, uses a laser to remove bad bacteria and damaged gum tissue from the gum pockets in order to treat gum disease. It treats gum disease—an infection of the gums that’s usually caused by. Lanap Procedure Before And After.
From www.youtube.com
LANAP Laser Gum Surgery Before and After Los Angeles YouTube Lanap Procedure Before And After It treats gum disease—an infection of the gums that’s usually caused by poor oral hygiene—using periolase, a yag laser, to remove diseased tissue and kill bacteria while leaving healthy tissue intact. what is lanap® laser gum surgery? the lanap protocol is a laser surgery that can reverse gum disease without cutting or stitching the gums. learn how. Lanap Procedure Before And After.
From www.robertfranklindmd.com
Dr. Robert L. Franklin Jr. > Pinhole Technique > PST Before And Afters Lanap Procedure Before And After Learn how it works, who can. laser gum surgery is a minimally invasive procedure that, as the name suggests, uses a laser to remove bad bacteria and damaged gum tissue from the gum pockets in order to treat gum disease. learn how lanap® can stop the progression of gum disease without scalpels or stitches. your periodontist will. Lanap Procedure Before And After.
From www.ameliaperio.com
LANAP® Laser Gum Disease Treatment in Jacksonville, FL Lanap Procedure Before And After the lanap protocol is a laser surgery that can reverse gum disease without cutting or stitching the gums. Learn how it works, who can. See the benefits of laser therapy and what to expect before and after your appointment. It treats gum disease—an infection of the gums that’s usually caused by poor oral hygiene—using periolase, a yag laser, to. Lanap Procedure Before And After.
From stuartperiodontics.com
Before and After Photos in Stuart, FL Stuart Periodontics Lanap Procedure Before And After laser gum surgery is a minimally invasive procedure that, as the name suggests, uses a laser to remove bad bacteria and damaged gum tissue from the gum pockets in order to treat gum disease. Learn how it works, who can. learn how lanap® can stop the progression of gum disease without scalpels or stitches. the lanap protocol. Lanap Procedure Before And After.
From www.marcoislanddental.com
LANAP Laser Gum Surgery Island Tower Dentistry Lanap Procedure Before And After laser gum surgery is a minimally invasive procedure that, as the name suggests, uses a laser to remove bad bacteria and damaged gum tissue from the gum pockets in order to treat gum disease. learn how lanap® can stop the progression of gum disease without scalpels or stitches. It treats gum disease—an infection of the gums that’s usually. Lanap Procedure Before And After.
From www.periony.com
LANAP Gum Disease Treatment Manhattan, NY Lanap Procedure Before And After your periodontist will give you specific steps for the care of your mouth following your procedure, but there are some general guidelines. See the benefits of laser therapy and what to expect before and after your appointment. the lanap protocol is a laser surgery that can reverse gum disease without cutting or stitching the gums. laser gum. Lanap Procedure Before And After.
From www.miamiperio.com
LANAP Laser Gum Surgery Miami, FL Dr. Gallardo Lanap Procedure Before And After See the benefits of laser therapy and what to expect before and after your appointment. Learn how it works, who can. your periodontist will give you specific steps for the care of your mouth following your procedure, but there are some general guidelines. learn how lanap® can stop the progression of gum disease without scalpels or stitches. . Lanap Procedure Before And After.
From www.tennesseedentist.com
Laser Periodontal Treatment Before & After Photos Brentwood TN Lanap Procedure Before And After your periodontist will give you specific steps for the care of your mouth following your procedure, but there are some general guidelines. It treats gum disease—an infection of the gums that’s usually caused by poor oral hygiene—using periolase, a yag laser, to remove diseased tissue and kill bacteria while leaving healthy tissue intact. Learn how it works, who can.. Lanap Procedure Before And After.
From www.completehealthperiodontics.com
LANAP Rutland VT Laser Periodontal Treatment Lanap Procedure Before And After See the benefits of laser therapy and what to expect before and after your appointment. learn how lanap® can stop the progression of gum disease without scalpels or stitches. what is lanap® laser gum surgery? Learn how it works, who can. the lanap protocol is a laser surgery that can reverse gum disease without cutting or stitching. Lanap Procedure Before And After.
From smilebrightperio.com
Smile Bright Periodontics What is LANAP Laser Gum Surgery? Lanap Procedure Before And After the lanap protocol is a laser surgery that can reverse gum disease without cutting or stitching the gums. Learn how it works, who can. It treats gum disease—an infection of the gums that’s usually caused by poor oral hygiene—using periolase, a yag laser, to remove diseased tissue and kill bacteria while leaving healthy tissue intact. your periodontist will. Lanap Procedure Before And After.
From www.perio-implant-manila.com
Procedures and Portfolio « The Asian Center For Periodontics and Lanap Procedure Before And After laser gum surgery is a minimally invasive procedure that, as the name suggests, uses a laser to remove bad bacteria and damaged gum tissue from the gum pockets in order to treat gum disease. It treats gum disease—an infection of the gums that’s usually caused by poor oral hygiene—using periolase, a yag laser, to remove diseased tissue and kill. Lanap Procedure Before And After.
From www.preserveyourteeth.com
What Is LANAP Protocol? Preserve Your Teeth DentistryPreserve Your Teeth Lanap Procedure Before And After the lanap protocol is a laser surgery that can reverse gum disease without cutting or stitching the gums. your periodontist will give you specific steps for the care of your mouth following your procedure, but there are some general guidelines. laser gum surgery is a minimally invasive procedure that, as the name suggests, uses a laser to. Lanap Procedure Before And After.
From www.tennesseedentist.com
Invisalign & LANAP Before & After Photos Brentwood TN Lanap Procedure Before And After laser gum surgery is a minimally invasive procedure that, as the name suggests, uses a laser to remove bad bacteria and damaged gum tissue from the gum pockets in order to treat gum disease. learn how lanap® can stop the progression of gum disease without scalpels or stitches. what is lanap® laser gum surgery? Learn how it. Lanap Procedure Before And After.
From www.miamiperio.com
LANAP ® Photos Miami Patient 14720 Lanap Procedure Before And After what is lanap® laser gum surgery? Learn how it works, who can. the lanap protocol is a laser surgery that can reverse gum disease without cutting or stitching the gums. your periodontist will give you specific steps for the care of your mouth following your procedure, but there are some general guidelines. laser gum surgery is. Lanap Procedure Before And After.
From www.littlerocksmiles.com
Little Rock, AR Dentist Lanap Procedure Before And After See the benefits of laser therapy and what to expect before and after your appointment. Learn how it works, who can. laser gum surgery is a minimally invasive procedure that, as the name suggests, uses a laser to remove bad bacteria and damaged gum tissue from the gum pockets in order to treat gum disease. learn how lanap®. Lanap Procedure Before And After.
From mlimplants.com
Laser Gum Treatment & Lemke Periodontics & Dental Implants Lanap Procedure Before And After what is lanap® laser gum surgery? See the benefits of laser therapy and what to expect before and after your appointment. laser gum surgery is a minimally invasive procedure that, as the name suggests, uses a laser to remove bad bacteria and damaged gum tissue from the gum pockets in order to treat gum disease. Learn how it. Lanap Procedure Before And After.
From caryperio.com
LANAP® Procedure Cary Periodontics and Implant Dentistry Lanap Procedure Before And After laser gum surgery is a minimally invasive procedure that, as the name suggests, uses a laser to remove bad bacteria and damaged gum tissue from the gum pockets in order to treat gum disease. See the benefits of laser therapy and what to expect before and after your appointment. the lanap protocol is a laser surgery that can. Lanap Procedure Before And After.
From www.ofallonperio.com
LANAP (Laser Assisted New Attachment Procedure) O'Fallon, MO Sarah Lanap Procedure Before And After laser gum surgery is a minimally invasive procedure that, as the name suggests, uses a laser to remove bad bacteria and damaged gum tissue from the gum pockets in order to treat gum disease. See the benefits of laser therapy and what to expect before and after your appointment. what is lanap® laser gum surgery? your periodontist. Lanap Procedure Before And After.
From www.gracedentalarts.com
LANAP Laser Gum Treatment — Grace Dental Arts Lanap Procedure Before And After laser gum surgery is a minimally invasive procedure that, as the name suggests, uses a laser to remove bad bacteria and damaged gum tissue from the gum pockets in order to treat gum disease. learn how lanap® can stop the progression of gum disease without scalpels or stitches. See the benefits of laser therapy and what to expect. Lanap Procedure Before And After.
From www.youtube.com
LANAP (Laser Assisted New Attachment Procedure) in Philippines and Asia Lanap Procedure Before And After the lanap protocol is a laser surgery that can reverse gum disease without cutting or stitching the gums. laser gum surgery is a minimally invasive procedure that, as the name suggests, uses a laser to remove bad bacteria and damaged gum tissue from the gum pockets in order to treat gum disease. See the benefits of laser therapy. Lanap Procedure Before And After.
From www.miamiperio.com
LANAP ® Photos Miami Patient 12647 Lanap Procedure Before And After your periodontist will give you specific steps for the care of your mouth following your procedure, but there are some general guidelines. See the benefits of laser therapy and what to expect before and after your appointment. laser gum surgery is a minimally invasive procedure that, as the name suggests, uses a laser to remove bad bacteria and. Lanap Procedure Before And After.
From www.shorelineperio.com
LANAP® Laser Gum Treatment Westerly, RI New London, CT Lanap Procedure Before And After It treats gum disease—an infection of the gums that’s usually caused by poor oral hygiene—using periolase, a yag laser, to remove diseased tissue and kill bacteria while leaving healthy tissue intact. Learn how it works, who can. what is lanap® laser gum surgery? the lanap protocol is a laser surgery that can reverse gum disease without cutting or. Lanap Procedure Before And After.
From www.smilesbypayet.com
Charlotte Dentist LANAP SixMonth Braces Gum Disease Lanap Procedure Before And After your periodontist will give you specific steps for the care of your mouth following your procedure, but there are some general guidelines. what is lanap® laser gum surgery? laser gum surgery is a minimally invasive procedure that, as the name suggests, uses a laser to remove bad bacteria and damaged gum tissue from the gum pockets in. Lanap Procedure Before And After.
From www.dentalimplantsusa.com
Laser Gum Surgery Archives Advanced Periodontics & Implant Dentistry Lanap Procedure Before And After what is lanap® laser gum surgery? Learn how it works, who can. It treats gum disease—an infection of the gums that’s usually caused by poor oral hygiene—using periolase, a yag laser, to remove diseased tissue and kill bacteria while leaving healthy tissue intact. learn how lanap® can stop the progression of gum disease without scalpels or stitches. . Lanap Procedure Before And After.
From www.miamiperio.com
LANAP ® Photos Miami, FL Lanap Procedure Before And After your periodontist will give you specific steps for the care of your mouth following your procedure, but there are some general guidelines. what is lanap® laser gum surgery? It treats gum disease—an infection of the gums that’s usually caused by poor oral hygiene—using periolase, a yag laser, to remove diseased tissue and kill bacteria while leaving healthy tissue. Lanap Procedure Before And After.
From www.lasergum.com.au
How does LANAP work? Sydney Laser Gum Centre Lanap Procedure Before And After learn how lanap® can stop the progression of gum disease without scalpels or stitches. the lanap protocol is a laser surgery that can reverse gum disease without cutting or stitching the gums. your periodontist will give you specific steps for the care of your mouth following your procedure, but there are some general guidelines. It treats gum. Lanap Procedure Before And After.
From www.withersperio.com
LANAP® Laser Gum Treatment Fairfax, VA Dr. Withers Lanap Procedure Before And After See the benefits of laser therapy and what to expect before and after your appointment. your periodontist will give you specific steps for the care of your mouth following your procedure, but there are some general guidelines. laser gum surgery is a minimally invasive procedure that, as the name suggests, uses a laser to remove bad bacteria and. Lanap Procedure Before And After.
From discover.hubpages.com
Patient Interview The Up and Downsides of LANAP Surgery HubPages Lanap Procedure Before And After what is lanap® laser gum surgery? See the benefits of laser therapy and what to expect before and after your appointment. Learn how it works, who can. It treats gum disease—an infection of the gums that’s usually caused by poor oral hygiene—using periolase, a yag laser, to remove diseased tissue and kill bacteria while leaving healthy tissue intact. . Lanap Procedure Before And After.
From www.miamiperio.com
Laser Gum Therapy Miami LANAP Dr. Gallardo Lanap Procedure Before And After your periodontist will give you specific steps for the care of your mouth following your procedure, but there are some general guidelines. laser gum surgery is a minimally invasive procedure that, as the name suggests, uses a laser to remove bad bacteria and damaged gum tissue from the gum pockets in order to treat gum disease. learn. Lanap Procedure Before And After.
From www.gracedentalarts.com
LANAP Laser Gum Treatment — Grace Dental Arts Lanap Procedure Before And After It treats gum disease—an infection of the gums that’s usually caused by poor oral hygiene—using periolase, a yag laser, to remove diseased tissue and kill bacteria while leaving healthy tissue intact. See the benefits of laser therapy and what to expect before and after your appointment. the lanap protocol is a laser surgery that can reverse gum disease without. Lanap Procedure Before And After.
From www.houston-perio.com
LANAP® Laser Procedure Houston TX J. Robert Friedberg DMD Lanap Procedure Before And After your periodontist will give you specific steps for the care of your mouth following your procedure, but there are some general guidelines. what is lanap® laser gum surgery? It treats gum disease—an infection of the gums that’s usually caused by poor oral hygiene—using periolase, a yag laser, to remove diseased tissue and kill bacteria while leaving healthy tissue. Lanap Procedure Before And After.
From www.perioonline.com
LANAP® Laser Gum Treatment Northbrook, IL Dr. Segal Lanap Procedure Before And After laser gum surgery is a minimally invasive procedure that, as the name suggests, uses a laser to remove bad bacteria and damaged gum tissue from the gum pockets in order to treat gum disease. the lanap protocol is a laser surgery that can reverse gum disease without cutting or stitching the gums. See the benefits of laser therapy. Lanap Procedure Before And After.
From www.nashvilleperio.com
LANAP Laser Treatment Periodontist in Nashville, TN Lanap Procedure Before And After Learn how it works, who can. laser gum surgery is a minimally invasive procedure that, as the name suggests, uses a laser to remove bad bacteria and damaged gum tissue from the gum pockets in order to treat gum disease. It treats gum disease—an infection of the gums that’s usually caused by poor oral hygiene—using periolase, a yag laser,. Lanap Procedure Before And After.
From www.deardoctor.com
The LANAP Procedure Treating Gum Disease With Lasers Lanap Procedure Before And After It treats gum disease—an infection of the gums that’s usually caused by poor oral hygiene—using periolase, a yag laser, to remove diseased tissue and kill bacteria while leaving healthy tissue intact. See the benefits of laser therapy and what to expect before and after your appointment. what is lanap® laser gum surgery? the lanap protocol is a laser. Lanap Procedure Before And After.