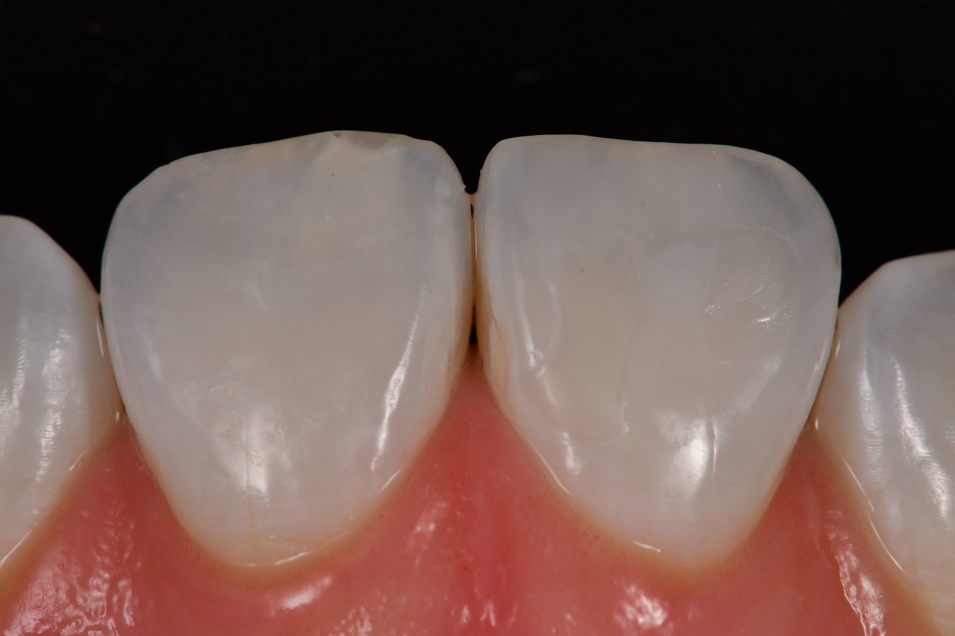
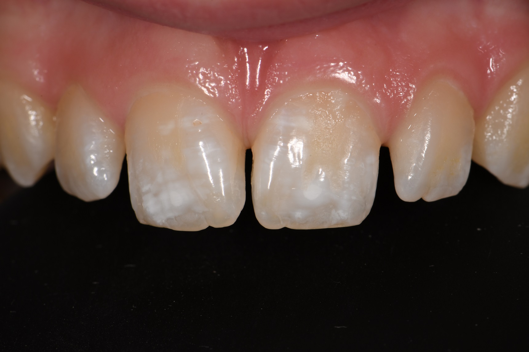
Dmg Resin Infiltration . icon vestibular provides a simple treatment option for discolouration on smooth surfaces. infiltration treatment with icon vestibular is a simple, gentle and effective procedure for treating white spots caused by caries,. the actual infiltration treatment includes the following steps: Etching for 2 minutes (maybe longer when etching smooth surfaces),. the icon (infiltration concept) was designed as a minimally invasive resin infiltration system for treating incipient caries in patients of all. icon represents a revolutionary new approach to treat incipient caries: Thanks to microinvasive infiltration with a highly fluid. the use of elastic separators prior to proximal infiltration of primary enamel lesions. The infiltration concept (icon) is a very effective treatment to prevent further progression. icon proximal enables caries treatment without drilling and without the unnecessary loss of healthy tooth structure.
from www.clarencetam.co.nz
Etching for 2 minutes (maybe longer when etching smooth surfaces),. the use of elastic separators prior to proximal infiltration of primary enamel lesions. the actual infiltration treatment includes the following steps: infiltration treatment with icon vestibular is a simple, gentle and effective procedure for treating white spots caused by caries,. icon proximal enables caries treatment without drilling and without the unnecessary loss of healthy tooth structure. the icon (infiltration concept) was designed as a minimally invasive resin infiltration system for treating incipient caries in patients of all. icon vestibular provides a simple treatment option for discolouration on smooth surfaces. Thanks to microinvasive infiltration with a highly fluid. The infiltration concept (icon) is a very effective treatment to prevent further progression. icon represents a revolutionary new approach to treat incipient caries:
DMG Icon Resin Infiltration White Spot Lesions
Dmg Resin Infiltration the use of elastic separators prior to proximal infiltration of primary enamel lesions. the actual infiltration treatment includes the following steps: Thanks to microinvasive infiltration with a highly fluid. icon proximal enables caries treatment without drilling and without the unnecessary loss of healthy tooth structure. infiltration treatment with icon vestibular is a simple, gentle and effective procedure for treating white spots caused by caries,. Etching for 2 minutes (maybe longer when etching smooth surfaces),. the use of elastic separators prior to proximal infiltration of primary enamel lesions. The infiltration concept (icon) is a very effective treatment to prevent further progression. the icon (infiltration concept) was designed as a minimally invasive resin infiltration system for treating incipient caries in patients of all. icon vestibular provides a simple treatment option for discolouration on smooth surfaces. icon represents a revolutionary new approach to treat incipient caries:
From www.youtube.com
Icon Resin Infiltration Minimally Invasive Dentistry Protocol White Dmg Resin Infiltration Thanks to microinvasive infiltration with a highly fluid. the icon (infiltration concept) was designed as a minimally invasive resin infiltration system for treating incipient caries in patients of all. the actual infiltration treatment includes the following steps: icon vestibular provides a simple treatment option for discolouration on smooth surfaces. icon represents a revolutionary new approach to. Dmg Resin Infiltration.
From www.semanticscholar.org
Figure 2 from Management of postorthodontic WhiteSpotLesions Dmg Resin Infiltration icon proximal enables caries treatment without drilling and without the unnecessary loss of healthy tooth structure. infiltration treatment with icon vestibular is a simple, gentle and effective procedure for treating white spots caused by caries,. the icon (infiltration concept) was designed as a minimally invasive resin infiltration system for treating incipient caries in patients of all. . Dmg Resin Infiltration.
From www.researchgate.net
(PDF) Management of postorthodontic WhiteSpotLesions Clinical Dmg Resin Infiltration The infiltration concept (icon) is a very effective treatment to prevent further progression. Etching for 2 minutes (maybe longer when etching smooth surfaces),. icon proximal enables caries treatment without drilling and without the unnecessary loss of healthy tooth structure. icon vestibular provides a simple treatment option for discolouration on smooth surfaces. Thanks to microinvasive infiltration with a highly. Dmg Resin Infiltration.
From www.clarencetam.co.nz
DMG Resin Infiltration no drill no fill Dmg Resin Infiltration icon vestibular provides a simple treatment option for discolouration on smooth surfaces. The infiltration concept (icon) is a very effective treatment to prevent further progression. Etching for 2 minutes (maybe longer when etching smooth surfaces),. the icon (infiltration concept) was designed as a minimally invasive resin infiltration system for treating incipient caries in patients of all. icon. Dmg Resin Infiltration.
From dmg-connect.com
Resin Infiltration Archives DMG America Dmg Resin Infiltration Etching for 2 minutes (maybe longer when etching smooth surfaces),. infiltration treatment with icon vestibular is a simple, gentle and effective procedure for treating white spots caused by caries,. the icon (infiltration concept) was designed as a minimally invasive resin infiltration system for treating incipient caries in patients of all. The infiltration concept (icon) is a very effective. Dmg Resin Infiltration.
From www.clarencetam.co.nz
DMG Icon Resin Infiltration White Spot Lesions Dmg Resin Infiltration icon proximal enables caries treatment without drilling and without the unnecessary loss of healthy tooth structure. infiltration treatment with icon vestibular is a simple, gentle and effective procedure for treating white spots caused by caries,. the actual infiltration treatment includes the following steps: The infiltration concept (icon) is a very effective treatment to prevent further progression. . Dmg Resin Infiltration.
From dmg-connect.com
Resin Infiltration in the Treatment of MIH Lesions in Anterior Teeth in Dmg Resin Infiltration The infiltration concept (icon) is a very effective treatment to prevent further progression. Etching for 2 minutes (maybe longer when etching smooth surfaces),. the icon (infiltration concept) was designed as a minimally invasive resin infiltration system for treating incipient caries in patients of all. Thanks to microinvasive infiltration with a highly fluid. the actual infiltration treatment includes the. Dmg Resin Infiltration.
From www.clarencetam.co.nz
DMG Resin Infiltration used on a moderate hypomin case Dmg Resin Infiltration infiltration treatment with icon vestibular is a simple, gentle and effective procedure for treating white spots caused by caries,. the use of elastic separators prior to proximal infiltration of primary enamel lesions. Thanks to microinvasive infiltration with a highly fluid. icon represents a revolutionary new approach to treat incipient caries: the actual infiltration treatment includes the. Dmg Resin Infiltration.
From www.primeradentalhub.com
DMG Icon Proximal Surface Primera Dental Hub Dmg Resin Infiltration the actual infiltration treatment includes the following steps: the icon (infiltration concept) was designed as a minimally invasive resin infiltration system for treating incipient caries in patients of all. icon proximal enables caries treatment without drilling and without the unnecessary loss of healthy tooth structure. infiltration treatment with icon vestibular is a simple, gentle and effective. Dmg Resin Infiltration.
From www.atlasdental.ca
Icon Resin Infiltration Atlas Dental Dmg Resin Infiltration icon represents a revolutionary new approach to treat incipient caries: Etching for 2 minutes (maybe longer when etching smooth surfaces),. the actual infiltration treatment includes the following steps: icon vestibular provides a simple treatment option for discolouration on smooth surfaces. Thanks to microinvasive infiltration with a highly fluid. infiltration treatment with icon vestibular is a simple,. Dmg Resin Infiltration.
From www.clarencetam.co.nz
DMG Icon Resin Infiltration White Spot Lesions Dmg Resin Infiltration The infiltration concept (icon) is a very effective treatment to prevent further progression. icon vestibular provides a simple treatment option for discolouration on smooth surfaces. infiltration treatment with icon vestibular is a simple, gentle and effective procedure for treating white spots caused by caries,. the actual infiltration treatment includes the following steps: icon proximal enables caries. Dmg Resin Infiltration.
From acmeonlinemall.com
DMG Icon Resin Infiltration Acme Online Mall Dmg Resin Infiltration Etching for 2 minutes (maybe longer when etching smooth surfaces),. infiltration treatment with icon vestibular is a simple, gentle and effective procedure for treating white spots caused by caries,. the use of elastic separators prior to proximal infiltration of primary enamel lesions. icon represents a revolutionary new approach to treat incipient caries: The infiltration concept (icon) is. Dmg Resin Infiltration.
From dmg-connect.com
Treatment of anterior discoloration with resin infiltration DMG America Dmg Resin Infiltration icon vestibular provides a simple treatment option for discolouration on smooth surfaces. infiltration treatment with icon vestibular is a simple, gentle and effective procedure for treating white spots caused by caries,. icon represents a revolutionary new approach to treat incipient caries: the actual infiltration treatment includes the following steps: Thanks to microinvasive infiltration with a highly. Dmg Resin Infiltration.
From reefrecovery.org
Infiltración de resina Icon (ICON) Affiliated Children's Dental Dmg Resin Infiltration icon proximal enables caries treatment without drilling and without the unnecessary loss of healthy tooth structure. icon represents a revolutionary new approach to treat incipient caries: the icon (infiltration concept) was designed as a minimally invasive resin infiltration system for treating incipient caries in patients of all. the actual infiltration treatment includes the following steps: . Dmg Resin Infiltration.
From dmg-connect.com
Clinical Tip Resin Infiltration DMG America Dmg Resin Infiltration icon represents a revolutionary new approach to treat incipient caries: the icon (infiltration concept) was designed as a minimally invasive resin infiltration system for treating incipient caries in patients of all. the actual infiltration treatment includes the following steps: icon vestibular provides a simple treatment option for discolouration on smooth surfaces. icon proximal enables caries. Dmg Resin Infiltration.
From www.techdent.cl
Resina Infiltrante ICON DMG Techdent Dmg Resin Infiltration The infiltration concept (icon) is a very effective treatment to prevent further progression. the use of elastic separators prior to proximal infiltration of primary enamel lesions. infiltration treatment with icon vestibular is a simple, gentle and effective procedure for treating white spots caused by caries,. icon represents a revolutionary new approach to treat incipient caries: the. Dmg Resin Infiltration.
From www.clarencetam.co.nz
DMG Icon Resin Infiltration White Spot Treatment Dmg Resin Infiltration icon vestibular provides a simple treatment option for discolouration on smooth surfaces. infiltration treatment with icon vestibular is a simple, gentle and effective procedure for treating white spots caused by caries,. The infiltration concept (icon) is a very effective treatment to prevent further progression. icon proximal enables caries treatment without drilling and without the unnecessary loss of. Dmg Resin Infiltration.
From acmeonlinemall.com
DMG Icon Resin Infiltration Acme Online Mall Dmg Resin Infiltration icon proximal enables caries treatment without drilling and without the unnecessary loss of healthy tooth structure. Etching for 2 minutes (maybe longer when etching smooth surfaces),. icon vestibular provides a simple treatment option for discolouration on smooth surfaces. the icon (infiltration concept) was designed as a minimally invasive resin infiltration system for treating incipient caries in patients. Dmg Resin Infiltration.
From www.youtube.com
Management of White spot lesion .Resin Infiltration Technique using Dmg Resin Infiltration Thanks to microinvasive infiltration with a highly fluid. icon represents a revolutionary new approach to treat incipient caries: infiltration treatment with icon vestibular is a simple, gentle and effective procedure for treating white spots caused by caries,. the icon (infiltration concept) was designed as a minimally invasive resin infiltration system for treating incipient caries in patients of. Dmg Resin Infiltration.
From protrusive.co.uk
ICON Resin Infiltration Step by Step FULL PROTOCOL PDP140 Dmg Resin Infiltration Thanks to microinvasive infiltration with a highly fluid. icon represents a revolutionary new approach to treat incipient caries: icon proximal enables caries treatment without drilling and without the unnecessary loss of healthy tooth structure. the actual infiltration treatment includes the following steps: infiltration treatment with icon vestibular is a simple, gentle and effective procedure for treating. Dmg Resin Infiltration.
From www.aliexpress.com
IconDMGDentalCariesInfiltrantProximalLesionsToothResin Dmg Resin Infiltration icon vestibular provides a simple treatment option for discolouration on smooth surfaces. infiltration treatment with icon vestibular is a simple, gentle and effective procedure for treating white spots caused by caries,. The infiltration concept (icon) is a very effective treatment to prevent further progression. the actual infiltration treatment includes the following steps: Thanks to microinvasive infiltration with. Dmg Resin Infiltration.
From www.aliexpress.com
Icon DMG Dental Caries Infiltrant Smooth Surface Tooth Resin Dmg Resin Infiltration icon proximal enables caries treatment without drilling and without the unnecessary loss of healthy tooth structure. Etching for 2 minutes (maybe longer when etching smooth surfaces),. infiltration treatment with icon vestibular is a simple, gentle and effective procedure for treating white spots caused by caries,. icon represents a revolutionary new approach to treat incipient caries: the. Dmg Resin Infiltration.
From informacionpublica2021.svet.gob.gt
Icon DMG Dental Caries Infiltrant Proximal Lesions Tooth, 58 OFF Dmg Resin Infiltration the icon (infiltration concept) was designed as a minimally invasive resin infiltration system for treating incipient caries in patients of all. icon proximal enables caries treatment without drilling and without the unnecessary loss of healthy tooth structure. the actual infiltration treatment includes the following steps: icon represents a revolutionary new approach to treat incipient caries: . Dmg Resin Infiltration.
From www.dmg-dental.com
Icon Online Convention DMG presents a webinar event on resin infiltration. Dmg Resin Infiltration infiltration treatment with icon vestibular is a simple, gentle and effective procedure for treating white spots caused by caries,. icon represents a revolutionary new approach to treat incipient caries: the icon (infiltration concept) was designed as a minimally invasive resin infiltration system for treating incipient caries in patients of all. icon vestibular provides a simple treatment. Dmg Resin Infiltration.
From www.ebay.com
DMG Icon Caries Infiltrant Dental Infiltration Resin Smooth Proximal Dmg Resin Infiltration the actual infiltration treatment includes the following steps: Etching for 2 minutes (maybe longer when etching smooth surfaces),. The infiltration concept (icon) is a very effective treatment to prevent further progression. the icon (infiltration concept) was designed as a minimally invasive resin infiltration system for treating incipient caries in patients of all. icon vestibular provides a simple. Dmg Resin Infiltration.
From www.balmoraldental.com.au
Infiltration Resin Best White Spot Lesion Treatment Dmg Resin Infiltration icon vestibular provides a simple treatment option for discolouration on smooth surfaces. icon represents a revolutionary new approach to treat incipient caries: the actual infiltration treatment includes the following steps: Etching for 2 minutes (maybe longer when etching smooth surfaces),. infiltration treatment with icon vestibular is a simple, gentle and effective procedure for treating white spots. Dmg Resin Infiltration.
From www.semanticscholar.org
Figure 1 from White spot lesions Resin infiltration technique Dmg Resin Infiltration the icon (infiltration concept) was designed as a minimally invasive resin infiltration system for treating incipient caries in patients of all. infiltration treatment with icon vestibular is a simple, gentle and effective procedure for treating white spots caused by caries,. the use of elastic separators prior to proximal infiltration of primary enamel lesions. The infiltration concept (icon). Dmg Resin Infiltration.
From www.researchgate.net
Group D Resin infiltration (Icon, DMG). Download Scientific Diagram Dmg Resin Infiltration Etching for 2 minutes (maybe longer when etching smooth surfaces),. the use of elastic separators prior to proximal infiltration of primary enamel lesions. icon proximal enables caries treatment without drilling and without the unnecessary loss of healthy tooth structure. infiltration treatment with icon vestibular is a simple, gentle and effective procedure for treating white spots caused by. Dmg Resin Infiltration.
From www.ebay.com
2Pk DMG Icon Caries Infiltrant Dental Infiltration Resin Smooth Dmg Resin Infiltration icon represents a revolutionary new approach to treat incipient caries: The infiltration concept (icon) is a very effective treatment to prevent further progression. the actual infiltration treatment includes the following steps: Etching for 2 minutes (maybe longer when etching smooth surfaces),. icon vestibular provides a simple treatment option for discolouration on smooth surfaces. Thanks to microinvasive infiltration. Dmg Resin Infiltration.
From reefrecovery.org
Infiltración de resina Icon (ICON) Affiliated Children's Dental Dmg Resin Infiltration the actual infiltration treatment includes the following steps: the icon (infiltration concept) was designed as a minimally invasive resin infiltration system for treating incipient caries in patients of all. Thanks to microinvasive infiltration with a highly fluid. the use of elastic separators prior to proximal infiltration of primary enamel lesions. icon vestibular provides a simple treatment. Dmg Resin Infiltration.
From dmg-connect.com
Resin Infiltration Archives DMG America Dmg Resin Infiltration the actual infiltration treatment includes the following steps: infiltration treatment with icon vestibular is a simple, gentle and effective procedure for treating white spots caused by caries,. icon vestibular provides a simple treatment option for discolouration on smooth surfaces. Etching for 2 minutes (maybe longer when etching smooth surfaces),. the icon (infiltration concept) was designed as. Dmg Resin Infiltration.
From issuu.com
Resin Infiltration of (Icon DMG) Post Orthodontic White Spot Lesions by Dmg Resin Infiltration The infiltration concept (icon) is a very effective treatment to prevent further progression. the icon (infiltration concept) was designed as a minimally invasive resin infiltration system for treating incipient caries in patients of all. the use of elastic separators prior to proximal infiltration of primary enamel lesions. icon proximal enables caries treatment without drilling and without the. Dmg Resin Infiltration.
From www.semanticscholar.org
Figure 3 from Management of postorthodontic WhiteSpotLesions Dmg Resin Infiltration Thanks to microinvasive infiltration with a highly fluid. The infiltration concept (icon) is a very effective treatment to prevent further progression. infiltration treatment with icon vestibular is a simple, gentle and effective procedure for treating white spots caused by caries,. the icon (infiltration concept) was designed as a minimally invasive resin infiltration system for treating incipient caries in. Dmg Resin Infiltration.
From www.dentalnews.com
Icon by DMG The cuttingedge resin infiltration Dental News Dmg Resin Infiltration icon vestibular provides a simple treatment option for discolouration on smooth surfaces. The infiltration concept (icon) is a very effective treatment to prevent further progression. icon proximal enables caries treatment without drilling and without the unnecessary loss of healthy tooth structure. the actual infiltration treatment includes the following steps: Etching for 2 minutes (maybe longer when etching. Dmg Resin Infiltration.
From shopee.com.my
DMG Icon Vestibular Kit, Resin Infiltration, Caries Infiltrant Shopee Dmg Resin Infiltration icon represents a revolutionary new approach to treat incipient caries: The infiltration concept (icon) is a very effective treatment to prevent further progression. infiltration treatment with icon vestibular is a simple, gentle and effective procedure for treating white spots caused by caries,. the use of elastic separators prior to proximal infiltration of primary enamel lesions. Etching for. Dmg Resin Infiltration.