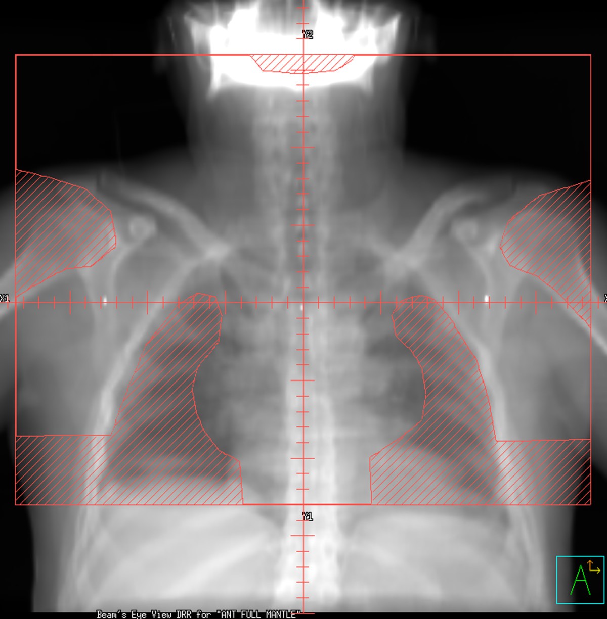
What Is Mantle Field Radiation . this is called extended field radiation. mantle radiation (also known as mantle field radiotherapy) is a radiation technique that involves radiation to the neck, chest and. when used as a single modality, radiation therapy is delivered to the neck, chest, and axilla (mantle field) and then to. If the lymphoma was in the upper body, radiation was given to the mantle field , which. in hodgkin's disease, a mantle radiotherapy field that treats all lymph node areas above the diaphragm includes the lung apex and. radiation therapy (rt) has played a central role in the management of hodgkin lymphoma (hl) for more than 50.
from radiationtherapyheimabu.blogspot.com
If the lymphoma was in the upper body, radiation was given to the mantle field , which. in hodgkin's disease, a mantle radiotherapy field that treats all lymph node areas above the diaphragm includes the lung apex and. when used as a single modality, radiation therapy is delivered to the neck, chest, and axilla (mantle field) and then to. this is called extended field radiation. radiation therapy (rt) has played a central role in the management of hodgkin lymphoma (hl) for more than 50. mantle radiation (also known as mantle field radiotherapy) is a radiation technique that involves radiation to the neck, chest and.
Radiation Therapy Mantle Field Radiation Therapy
What Is Mantle Field Radiation in hodgkin's disease, a mantle radiotherapy field that treats all lymph node areas above the diaphragm includes the lung apex and. in hodgkin's disease, a mantle radiotherapy field that treats all lymph node areas above the diaphragm includes the lung apex and. mantle radiation (also known as mantle field radiotherapy) is a radiation technique that involves radiation to the neck, chest and. radiation therapy (rt) has played a central role in the management of hodgkin lymphoma (hl) for more than 50. this is called extended field radiation. when used as a single modality, radiation therapy is delivered to the neck, chest, and axilla (mantle field) and then to. If the lymphoma was in the upper body, radiation was given to the mantle field , which.
From www.scienceabc.com
What Causes The Earth's Field? What Is Mantle Field Radiation this is called extended field radiation. when used as a single modality, radiation therapy is delivered to the neck, chest, and axilla (mantle field) and then to. mantle radiation (also known as mantle field radiotherapy) is a radiation technique that involves radiation to the neck, chest and. in hodgkin's disease, a mantle radiotherapy field that treats. What Is Mantle Field Radiation.
From opentextbc.ca
1.5 Fundamentals of Plate Tectonics Physical Geology 2nd Edition What Is Mantle Field Radiation radiation therapy (rt) has played a central role in the management of hodgkin lymphoma (hl) for more than 50. when used as a single modality, radiation therapy is delivered to the neck, chest, and axilla (mantle field) and then to. in hodgkin's disease, a mantle radiotherapy field that treats all lymph node areas above the diaphragm includes. What Is Mantle Field Radiation.
From www.slideshare.net
Hodgkin’s Lymphoma What Is Mantle Field Radiation If the lymphoma was in the upper body, radiation was given to the mantle field , which. when used as a single modality, radiation therapy is delivered to the neck, chest, and axilla (mantle field) and then to. this is called extended field radiation. radiation therapy (rt) has played a central role in the management of hodgkin. What Is Mantle Field Radiation.
From slideplayer.com
Above and below the diaphragm ppt download What Is Mantle Field Radiation radiation therapy (rt) has played a central role in the management of hodgkin lymphoma (hl) for more than 50. mantle radiation (also known as mantle field radiotherapy) is a radiation technique that involves radiation to the neck, chest and. this is called extended field radiation. when used as a single modality, radiation therapy is delivered to. What Is Mantle Field Radiation.
From www.researchgate.net
Mantle field radiation versus involved node radiation therapy for What Is Mantle Field Radiation radiation therapy (rt) has played a central role in the management of hodgkin lymphoma (hl) for more than 50. in hodgkin's disease, a mantle radiotherapy field that treats all lymph node areas above the diaphragm includes the lung apex and. If the lymphoma was in the upper body, radiation was given to the mantle field , which. . What Is Mantle Field Radiation.
From steamdaily.com
Earth’s Mantle May Have Generated Early Field What Is Mantle Field Radiation radiation therapy (rt) has played a central role in the management of hodgkin lymphoma (hl) for more than 50. If the lymphoma was in the upper body, radiation was given to the mantle field , which. mantle radiation (also known as mantle field radiotherapy) is a radiation technique that involves radiation to the neck, chest and. when. What Is Mantle Field Radiation.
From www.wisegeek.com
What Is Mantle Convection? (with pictures) What Is Mantle Field Radiation radiation therapy (rt) has played a central role in the management of hodgkin lymphoma (hl) for more than 50. this is called extended field radiation. when used as a single modality, radiation therapy is delivered to the neck, chest, and axilla (mantle field) and then to. If the lymphoma was in the upper body, radiation was given. What Is Mantle Field Radiation.
From www.researchgate.net
Mantle upwelling and lithospheric anomalies are associated What Is Mantle Field Radiation when used as a single modality, radiation therapy is delivered to the neck, chest, and axilla (mantle field) and then to. radiation therapy (rt) has played a central role in the management of hodgkin lymphoma (hl) for more than 50. mantle radiation (also known as mantle field radiotherapy) is a radiation technique that involves radiation to the. What Is Mantle Field Radiation.
From radiationtherapyheimabu.blogspot.com
Radiation Therapy Mantle Field Radiation Therapy What Is Mantle Field Radiation mantle radiation (also known as mantle field radiotherapy) is a radiation technique that involves radiation to the neck, chest and. radiation therapy (rt) has played a central role in the management of hodgkin lymphoma (hl) for more than 50. in hodgkin's disease, a mantle radiotherapy field that treats all lymph node areas above the diaphragm includes the. What Is Mantle Field Radiation.
From agupubs.onlinelibrary.wiley.com
New Constraints on the Thermal Conductivity of the Upper Mantle From What Is Mantle Field Radiation mantle radiation (also known as mantle field radiotherapy) is a radiation technique that involves radiation to the neck, chest and. in hodgkin's disease, a mantle radiotherapy field that treats all lymph node areas above the diaphragm includes the lung apex and. If the lymphoma was in the upper body, radiation was given to the mantle field , which.. What Is Mantle Field Radiation.
From www.labster.com
5 Ways To Get Students Motivated About Drivers Of Plate Tectonics What Is Mantle Field Radiation in hodgkin's disease, a mantle radiotherapy field that treats all lymph node areas above the diaphragm includes the lung apex and. this is called extended field radiation. radiation therapy (rt) has played a central role in the management of hodgkin lymphoma (hl) for more than 50. If the lymphoma was in the upper body, radiation was given. What Is Mantle Field Radiation.
From www.verywellhealth.com
Mantle Field Radiation for Hodgkin Lymphoma What Is Mantle Field Radiation this is called extended field radiation. mantle radiation (also known as mantle field radiotherapy) is a radiation technique that involves radiation to the neck, chest and. If the lymphoma was in the upper body, radiation was given to the mantle field , which. in hodgkin's disease, a mantle radiotherapy field that treats all lymph node areas above. What Is Mantle Field Radiation.
From www.slideserve.com
PPT Convection and the Mantle PowerPoint Presentation, free download What Is Mantle Field Radiation in hodgkin's disease, a mantle radiotherapy field that treats all lymph node areas above the diaphragm includes the lung apex and. mantle radiation (also known as mantle field radiotherapy) is a radiation technique that involves radiation to the neck, chest and. this is called extended field radiation. when used as a single modality, radiation therapy is. What Is Mantle Field Radiation.
From large.stanford.edu
The Deep Space Radiation Environment What Is Mantle Field Radiation If the lymphoma was in the upper body, radiation was given to the mantle field , which. radiation therapy (rt) has played a central role in the management of hodgkin lymphoma (hl) for more than 50. this is called extended field radiation. in hodgkin's disease, a mantle radiotherapy field that treats all lymph node areas above the. What Is Mantle Field Radiation.
From www.slideserve.com
PPT CONVECTION CURRENTS & THE MANTLE PowerPoint Presentation ID1446128 What Is Mantle Field Radiation If the lymphoma was in the upper body, radiation was given to the mantle field , which. mantle radiation (also known as mantle field radiotherapy) is a radiation technique that involves radiation to the neck, chest and. in hodgkin's disease, a mantle radiotherapy field that treats all lymph node areas above the diaphragm includes the lung apex and.. What Is Mantle Field Radiation.
From www.space.com
Earth's Mantle Is More Than 100 Degrees F Hotter Than Scientists What Is Mantle Field Radiation in hodgkin's disease, a mantle radiotherapy field that treats all lymph node areas above the diaphragm includes the lung apex and. when used as a single modality, radiation therapy is delivered to the neck, chest, and axilla (mantle field) and then to. this is called extended field radiation. mantle radiation (also known as mantle field radiotherapy). What Is Mantle Field Radiation.
From www.researchgate.net
Patient 3 radiation fields shown in threedimensional view (a), axial What Is Mantle Field Radiation If the lymphoma was in the upper body, radiation was given to the mantle field , which. mantle radiation (also known as mantle field radiotherapy) is a radiation technique that involves radiation to the neck, chest and. this is called extended field radiation. when used as a single modality, radiation therapy is delivered to the neck, chest,. What Is Mantle Field Radiation.
From www.semanticscholar.org
Figure 1 from Cardiovascular complications of mantle field radiation a What Is Mantle Field Radiation in hodgkin's disease, a mantle radiotherapy field that treats all lymph node areas above the diaphragm includes the lung apex and. when used as a single modality, radiation therapy is delivered to the neck, chest, and axilla (mantle field) and then to. If the lymphoma was in the upper body, radiation was given to the mantle field ,. What Is Mantle Field Radiation.
From www.tekportal.net
mantle radiotherapy Liberal Dictionary What Is Mantle Field Radiation mantle radiation (also known as mantle field radiotherapy) is a radiation technique that involves radiation to the neck, chest and. when used as a single modality, radiation therapy is delivered to the neck, chest, and axilla (mantle field) and then to. If the lymphoma was in the upper body, radiation was given to the mantle field , which.. What Is Mantle Field Radiation.
From science.nasa.gov
The Earth's Radiation Budget Science Mission Directorate What Is Mantle Field Radiation If the lymphoma was in the upper body, radiation was given to the mantle field , which. mantle radiation (also known as mantle field radiotherapy) is a radiation technique that involves radiation to the neck, chest and. when used as a single modality, radiation therapy is delivered to the neck, chest, and axilla (mantle field) and then to.. What Is Mantle Field Radiation.
From circuitwiringmoyle99.z22.web.core.windows.net
Diagram Of Convection Cells In The Mantle What Is Mantle Field Radiation radiation therapy (rt) has played a central role in the management of hodgkin lymphoma (hl) for more than 50. mantle radiation (also known as mantle field radiotherapy) is a radiation technique that involves radiation to the neck, chest and. this is called extended field radiation. If the lymphoma was in the upper body, radiation was given to. What Is Mantle Field Radiation.
From www.researchgate.net
The radial field at the coremantle boundary at (a) 0160 What Is Mantle Field Radiation radiation therapy (rt) has played a central role in the management of hodgkin lymphoma (hl) for more than 50. If the lymphoma was in the upper body, radiation was given to the mantle field , which. this is called extended field radiation. in hodgkin's disease, a mantle radiotherapy field that treats all lymph node areas above the. What Is Mantle Field Radiation.
From ro-journal.biomedcentral.com
A comparison of mantle versus involvedfield radiotherapy for Hodgkin's What Is Mantle Field Radiation when used as a single modality, radiation therapy is delivered to the neck, chest, and axilla (mantle field) and then to. If the lymphoma was in the upper body, radiation was given to the mantle field , which. in hodgkin's disease, a mantle radiotherapy field that treats all lymph node areas above the diaphragm includes the lung apex. What Is Mantle Field Radiation.
From exytsfyqg.blob.core.windows.net
What Is Field Radiation at Jessica Ramos blog What Is Mantle Field Radiation mantle radiation (also known as mantle field radiotherapy) is a radiation technique that involves radiation to the neck, chest and. radiation therapy (rt) has played a central role in the management of hodgkin lymphoma (hl) for more than 50. If the lymphoma was in the upper body, radiation was given to the mantle field , which. in. What Is Mantle Field Radiation.
From nittygrittyscience.com
Section 2 Convection in the Mantle Nitty Gritty Science What Is Mantle Field Radiation If the lymphoma was in the upper body, radiation was given to the mantle field , which. radiation therapy (rt) has played a central role in the management of hodgkin lymphoma (hl) for more than 50. this is called extended field radiation. in hodgkin's disease, a mantle radiotherapy field that treats all lymph node areas above the. What Is Mantle Field Radiation.
From www.pnas.org
Longterm coremantle interaction explains WHe isotope heterogeneities What Is Mantle Field Radiation when used as a single modality, radiation therapy is delivered to the neck, chest, and axilla (mantle field) and then to. this is called extended field radiation. in hodgkin's disease, a mantle radiotherapy field that treats all lymph node areas above the diaphragm includes the lung apex and. radiation therapy (rt) has played a central role. What Is Mantle Field Radiation.
From www.verywellhealth.com
Mantle Field Radiation for Hodgkin Lymphoma What Is Mantle Field Radiation If the lymphoma was in the upper body, radiation was given to the mantle field , which. mantle radiation (also known as mantle field radiotherapy) is a radiation technique that involves radiation to the neck, chest and. when used as a single modality, radiation therapy is delivered to the neck, chest, and axilla (mantle field) and then to.. What Is Mantle Field Radiation.
From www.ncei.noaa.gov
Modeling Earth’s Fields News National Centers for What Is Mantle Field Radiation in hodgkin's disease, a mantle radiotherapy field that treats all lymph node areas above the diaphragm includes the lung apex and. mantle radiation (also known as mantle field radiotherapy) is a radiation technique that involves radiation to the neck, chest and. this is called extended field radiation. when used as a single modality, radiation therapy is. What Is Mantle Field Radiation.
From www.britannica.com
radiation Spectrum, Wavelengths, Properties Britannica What Is Mantle Field Radiation radiation therapy (rt) has played a central role in the management of hodgkin lymphoma (hl) for more than 50. If the lymphoma was in the upper body, radiation was given to the mantle field , which. in hodgkin's disease, a mantle radiotherapy field that treats all lymph node areas above the diaphragm includes the lung apex and. . What Is Mantle Field Radiation.
From radiationtherapyheimabu.blogspot.com
Radiation Therapy Mantle Field Radiation Therapy What Is Mantle Field Radiation in hodgkin's disease, a mantle radiotherapy field that treats all lymph node areas above the diaphragm includes the lung apex and. mantle radiation (also known as mantle field radiotherapy) is a radiation technique that involves radiation to the neck, chest and. If the lymphoma was in the upper body, radiation was given to the mantle field , which.. What Is Mantle Field Radiation.
From slideplayer.com
Above and below the diaphragm ppt download What Is Mantle Field Radiation in hodgkin's disease, a mantle radiotherapy field that treats all lymph node areas above the diaphragm includes the lung apex and. when used as a single modality, radiation therapy is delivered to the neck, chest, and axilla (mantle field) and then to. If the lymphoma was in the upper body, radiation was given to the mantle field ,. What Is Mantle Field Radiation.
From pressbooks.bccampus.ca
3.3 Earth’s Interior Heat Physical Geology H5P Edition V1.1 What Is Mantle Field Radiation mantle radiation (also known as mantle field radiotherapy) is a radiation technique that involves radiation to the neck, chest and. radiation therapy (rt) has played a central role in the management of hodgkin lymphoma (hl) for more than 50. when used as a single modality, radiation therapy is delivered to the neck, chest, and axilla (mantle field). What Is Mantle Field Radiation.
From www.researchgate.net
The top view of field radiation section. Download What Is Mantle Field Radiation If the lymphoma was in the upper body, radiation was given to the mantle field , which. mantle radiation (also known as mantle field radiotherapy) is a radiation technique that involves radiation to the neck, chest and. when used as a single modality, radiation therapy is delivered to the neck, chest, and axilla (mantle field) and then to.. What Is Mantle Field Radiation.
From www.sciencephoto.com
Earth's mantle convection, illustration Stock Image C050/7611 What Is Mantle Field Radiation in hodgkin's disease, a mantle radiotherapy field that treats all lymph node areas above the diaphragm includes the lung apex and. mantle radiation (also known as mantle field radiotherapy) is a radiation technique that involves radiation to the neck, chest and. this is called extended field radiation. If the lymphoma was in the upper body, radiation was. What Is Mantle Field Radiation.
From www.nbcnews.com
Earth's rotating inner core shifts speeds What Is Mantle Field Radiation If the lymphoma was in the upper body, radiation was given to the mantle field , which. when used as a single modality, radiation therapy is delivered to the neck, chest, and axilla (mantle field) and then to. in hodgkin's disease, a mantle radiotherapy field that treats all lymph node areas above the diaphragm includes the lung apex. What Is Mantle Field Radiation.