Histiocytic Foam Cell Nodule . here we report the pathologic features of multiple lingual nodules in 7 miniature dachshunds. canine reactive histiocytic diseases, systemic histiocytosis (sh) and cutaneous histiocytosis, are complex inflammatory diseases with. here we report the pathologic features of multiple lingual nodules in 7 miniature dachshunds. findings indicate that the multiple lingual nodules in miniature dachshunds are an unusual, unique lesion. these nccn guidelines for histiocytic neoplasms include recommendations for diagnosis and. we have observed this histiocytic/foamy glomerular change on the kidney biopsy specimen in 5 different disease entities:. histologically, the lingual nodules were composed of aggregates of foam cells with clear vacuolated cytoplasm that were. histiocytes are a type of immune cell.
from www.pathologyoutlines.com
we have observed this histiocytic/foamy glomerular change on the kidney biopsy specimen in 5 different disease entities:. canine reactive histiocytic diseases, systemic histiocytosis (sh) and cutaneous histiocytosis, are complex inflammatory diseases with. histologically, the lingual nodules were composed of aggregates of foam cells with clear vacuolated cytoplasm that were. here we report the pathologic features of multiple lingual nodules in 7 miniature dachshunds. these nccn guidelines for histiocytic neoplasms include recommendations for diagnosis and. findings indicate that the multiple lingual nodules in miniature dachshunds are an unusual, unique lesion. here we report the pathologic features of multiple lingual nodules in 7 miniature dachshunds. histiocytes are a type of immune cell.
Pathology Outlines Histiocytic
Histiocytic Foam Cell Nodule canine reactive histiocytic diseases, systemic histiocytosis (sh) and cutaneous histiocytosis, are complex inflammatory diseases with. findings indicate that the multiple lingual nodules in miniature dachshunds are an unusual, unique lesion. histiocytes are a type of immune cell. canine reactive histiocytic diseases, systemic histiocytosis (sh) and cutaneous histiocytosis, are complex inflammatory diseases with. we have observed this histiocytic/foamy glomerular change on the kidney biopsy specimen in 5 different disease entities:. here we report the pathologic features of multiple lingual nodules in 7 miniature dachshunds. here we report the pathologic features of multiple lingual nodules in 7 miniature dachshunds. histologically, the lingual nodules were composed of aggregates of foam cells with clear vacuolated cytoplasm that were. these nccn guidelines for histiocytic neoplasms include recommendations for diagnosis and.
From www.researchgate.net
Sheets of foamy histiocytes admixed with lymphocytes and plasma cells Histiocytic Foam Cell Nodule these nccn guidelines for histiocytic neoplasms include recommendations for diagnosis and. here we report the pathologic features of multiple lingual nodules in 7 miniature dachshunds. findings indicate that the multiple lingual nodules in miniature dachshunds are an unusual, unique lesion. canine reactive histiocytic diseases, systemic histiocytosis (sh) and cutaneous histiocytosis, are complex inflammatory diseases with. . Histiocytic Foam Cell Nodule.
From www.researchgate.net
Foamy histiocytes, inflammatory cells. Inset show foamy cytoplasm of Histiocytic Foam Cell Nodule here we report the pathologic features of multiple lingual nodules in 7 miniature dachshunds. canine reactive histiocytic diseases, systemic histiocytosis (sh) and cutaneous histiocytosis, are complex inflammatory diseases with. histiocytes are a type of immune cell. histologically, the lingual nodules were composed of aggregates of foam cells with clear vacuolated cytoplasm that were. we have. Histiocytic Foam Cell Nodule.
From aspneph.org
Foam Cells American Society of Pediatric Nephrology (ASPN) Histiocytic Foam Cell Nodule here we report the pathologic features of multiple lingual nodules in 7 miniature dachshunds. histologically, the lingual nodules were composed of aggregates of foam cells with clear vacuolated cytoplasm that were. canine reactive histiocytic diseases, systemic histiocytosis (sh) and cutaneous histiocytosis, are complex inflammatory diseases with. we have observed this histiocytic/foamy glomerular change on the kidney. Histiocytic Foam Cell Nodule.
From www.researchgate.net
The pathologic finding shows numerous foamy histiocytes, scattered Histiocytic Foam Cell Nodule these nccn guidelines for histiocytic neoplasms include recommendations for diagnosis and. we have observed this histiocytic/foamy glomerular change on the kidney biopsy specimen in 5 different disease entities:. canine reactive histiocytic diseases, systemic histiocytosis (sh) and cutaneous histiocytosis, are complex inflammatory diseases with. histologically, the lingual nodules were composed of aggregates of foam cells with clear. Histiocytic Foam Cell Nodule.
From www.pathologyoutlines.com
Pathology Outlines Histiocytic Histiocytic Foam Cell Nodule these nccn guidelines for histiocytic neoplasms include recommendations for diagnosis and. here we report the pathologic features of multiple lingual nodules in 7 miniature dachshunds. histiocytes are a type of immune cell. here we report the pathologic features of multiple lingual nodules in 7 miniature dachshunds. canine reactive histiocytic diseases, systemic histiocytosis (sh) and cutaneous. Histiocytic Foam Cell Nodule.
From www.wjgnet.com
Characteristics of multiple nodules in a patient with pulmonary Histiocytic Foam Cell Nodule here we report the pathologic features of multiple lingual nodules in 7 miniature dachshunds. these nccn guidelines for histiocytic neoplasms include recommendations for diagnosis and. histologically, the lingual nodules were composed of aggregates of foam cells with clear vacuolated cytoplasm that were. findings indicate that the multiple lingual nodules in miniature dachshunds are an unusual, unique. Histiocytic Foam Cell Nodule.
From journal.chestnet.org
Pulmonary Langerhans Cell Histiocytosis CHEST Histiocytic Foam Cell Nodule these nccn guidelines for histiocytic neoplasms include recommendations for diagnosis and. here we report the pathologic features of multiple lingual nodules in 7 miniature dachshunds. here we report the pathologic features of multiple lingual nodules in 7 miniature dachshunds. histologically, the lingual nodules were composed of aggregates of foam cells with clear vacuolated cytoplasm that were.. Histiocytic Foam Cell Nodule.
From www.pathologyoutlines.com
Pathology Outlines Indeterminate cell histiocytosis / indeterminate Histiocytic Foam Cell Nodule findings indicate that the multiple lingual nodules in miniature dachshunds are an unusual, unique lesion. these nccn guidelines for histiocytic neoplasms include recommendations for diagnosis and. histiocytes are a type of immune cell. histologically, the lingual nodules were composed of aggregates of foam cells with clear vacuolated cytoplasm that were. here we report the pathologic. Histiocytic Foam Cell Nodule.
From www.semanticscholar.org
Figure 1 from Histiocytic and Nonhistiocytic Glomerular Lesions Foam Histiocytic Foam Cell Nodule here we report the pathologic features of multiple lingual nodules in 7 miniature dachshunds. we have observed this histiocytic/foamy glomerular change on the kidney biopsy specimen in 5 different disease entities:. canine reactive histiocytic diseases, systemic histiocytosis (sh) and cutaneous histiocytosis, are complex inflammatory diseases with. here we report the pathologic features of multiple lingual nodules. Histiocytic Foam Cell Nodule.
From jcp.bmj.com
Langerhans cell histiocytosis in sequential discordant lymphoma Histiocytic Foam Cell Nodule canine reactive histiocytic diseases, systemic histiocytosis (sh) and cutaneous histiocytosis, are complex inflammatory diseases with. these nccn guidelines for histiocytic neoplasms include recommendations for diagnosis and. here we report the pathologic features of multiple lingual nodules in 7 miniature dachshunds. here we report the pathologic features of multiple lingual nodules in 7 miniature dachshunds. histiocytes. Histiocytic Foam Cell Nodule.
From www.researchgate.net
Histological section of human coronary artery showing foam cells Histiocytic Foam Cell Nodule histologically, the lingual nodules were composed of aggregates of foam cells with clear vacuolated cytoplasm that were. findings indicate that the multiple lingual nodules in miniature dachshunds are an unusual, unique lesion. here we report the pathologic features of multiple lingual nodules in 7 miniature dachshunds. these nccn guidelines for histiocytic neoplasms include recommendations for diagnosis. Histiocytic Foam Cell Nodule.
From www.ajkd.org
Histiocytic and Nonhistiocytic Glomerular Lesions Foam Cells and Their Histiocytic Foam Cell Nodule these nccn guidelines for histiocytic neoplasms include recommendations for diagnosis and. canine reactive histiocytic diseases, systemic histiocytosis (sh) and cutaneous histiocytosis, are complex inflammatory diseases with. histiocytes are a type of immune cell. we have observed this histiocytic/foamy glomerular change on the kidney biopsy specimen in 5 different disease entities:. findings indicate that the multiple. Histiocytic Foam Cell Nodule.
From www.wjgnet.com
Characteristics of multiple nodules in a patient with pulmonary Histiocytic Foam Cell Nodule canine reactive histiocytic diseases, systemic histiocytosis (sh) and cutaneous histiocytosis, are complex inflammatory diseases with. histologically, the lingual nodules were composed of aggregates of foam cells with clear vacuolated cytoplasm that were. here we report the pathologic features of multiple lingual nodules in 7 miniature dachshunds. findings indicate that the multiple lingual nodules in miniature dachshunds. Histiocytic Foam Cell Nodule.
From www.pathologyoutlines.com
Pathology Outlines Dermatofibroma (cutaneous fibrous histiocytoma) Histiocytic Foam Cell Nodule here we report the pathologic features of multiple lingual nodules in 7 miniature dachshunds. here we report the pathologic features of multiple lingual nodules in 7 miniature dachshunds. canine reactive histiocytic diseases, systemic histiocytosis (sh) and cutaneous histiocytosis, are complex inflammatory diseases with. histiocytes are a type of immune cell. we have observed this histiocytic/foamy. Histiocytic Foam Cell Nodule.
From www.researchgate.net
Macroscopic features of the mucosal nodules in a ShihTzu with multiple Histiocytic Foam Cell Nodule here we report the pathologic features of multiple lingual nodules in 7 miniature dachshunds. histiocytes are a type of immune cell. here we report the pathologic features of multiple lingual nodules in 7 miniature dachshunds. findings indicate that the multiple lingual nodules in miniature dachshunds are an unusual, unique lesion. canine reactive histiocytic diseases, systemic. Histiocytic Foam Cell Nodule.
From imagebank.hematology.org
Foamy Histiocytes 1. Histiocytic Foam Cell Nodule these nccn guidelines for histiocytic neoplasms include recommendations for diagnosis and. here we report the pathologic features of multiple lingual nodules in 7 miniature dachshunds. findings indicate that the multiple lingual nodules in miniature dachshunds are an unusual, unique lesion. we have observed this histiocytic/foamy glomerular change on the kidney biopsy specimen in 5 different disease. Histiocytic Foam Cell Nodule.
From www.researchgate.net
Detail offg I showing typical palisades of histiocytic cells Histiocytic Foam Cell Nodule canine reactive histiocytic diseases, systemic histiocytosis (sh) and cutaneous histiocytosis, are complex inflammatory diseases with. these nccn guidelines for histiocytic neoplasms include recommendations for diagnosis and. histologically, the lingual nodules were composed of aggregates of foam cells with clear vacuolated cytoplasm that were. histiocytes are a type of immune cell. here we report the pathologic. Histiocytic Foam Cell Nodule.
From www.ajkd.org
Histiocytic and Nonhistiocytic Glomerular Lesions Foam Cells and Their Histiocytic Foam Cell Nodule histiocytes are a type of immune cell. histologically, the lingual nodules were composed of aggregates of foam cells with clear vacuolated cytoplasm that were. here we report the pathologic features of multiple lingual nodules in 7 miniature dachshunds. we have observed this histiocytic/foamy glomerular change on the kidney biopsy specimen in 5 different disease entities:. . Histiocytic Foam Cell Nodule.
From www.pathologyoutlines.com
Pathology Outlines Indeterminate cell histiocytosis / indeterminate Histiocytic Foam Cell Nodule here we report the pathologic features of multiple lingual nodules in 7 miniature dachshunds. here we report the pathologic features of multiple lingual nodules in 7 miniature dachshunds. histiocytes are a type of immune cell. findings indicate that the multiple lingual nodules in miniature dachshunds are an unusual, unique lesion. these nccn guidelines for histiocytic. Histiocytic Foam Cell Nodule.
From www.frontiersin.org
Frontiers The cell origins of foam cell and lipid metabolism Histiocytic Foam Cell Nodule histologically, the lingual nodules were composed of aggregates of foam cells with clear vacuolated cytoplasm that were. findings indicate that the multiple lingual nodules in miniature dachshunds are an unusual, unique lesion. here we report the pathologic features of multiple lingual nodules in 7 miniature dachshunds. we have observed this histiocytic/foamy glomerular change on the kidney. Histiocytic Foam Cell Nodule.
From www.clinmedjournals.org
A Unique Presentation of Pulmonary Langerhans Cell Histiocytosis Histiocytic Foam Cell Nodule canine reactive histiocytic diseases, systemic histiocytosis (sh) and cutaneous histiocytosis, are complex inflammatory diseases with. findings indicate that the multiple lingual nodules in miniature dachshunds are an unusual, unique lesion. here we report the pathologic features of multiple lingual nodules in 7 miniature dachshunds. histologically, the lingual nodules were composed of aggregates of foam cells with. Histiocytic Foam Cell Nodule.
From www.frontiersin.org
Frontiers Clinicopathologic features and biologic behavior of canine Histiocytic Foam Cell Nodule we have observed this histiocytic/foamy glomerular change on the kidney biopsy specimen in 5 different disease entities:. canine reactive histiocytic diseases, systemic histiocytosis (sh) and cutaneous histiocytosis, are complex inflammatory diseases with. these nccn guidelines for histiocytic neoplasms include recommendations for diagnosis and. histologically, the lingual nodules were composed of aggregates of foam cells with clear. Histiocytic Foam Cell Nodule.
From www.researchgate.net
Morphologic features of pulmonary Langerhans cell histiocytosis (PLCH Histiocytic Foam Cell Nodule findings indicate that the multiple lingual nodules in miniature dachshunds are an unusual, unique lesion. here we report the pathologic features of multiple lingual nodules in 7 miniature dachshunds. we have observed this histiocytic/foamy glomerular change on the kidney biopsy specimen in 5 different disease entities:. these nccn guidelines for histiocytic neoplasms include recommendations for diagnosis. Histiocytic Foam Cell Nodule.
From jcp.bmj.com
My approach to oncocytic tumours of the thyroid Journal of Clinical Histiocytic Foam Cell Nodule histiocytes are a type of immune cell. canine reactive histiocytic diseases, systemic histiocytosis (sh) and cutaneous histiocytosis, are complex inflammatory diseases with. findings indicate that the multiple lingual nodules in miniature dachshunds are an unusual, unique lesion. here we report the pathologic features of multiple lingual nodules in 7 miniature dachshunds. histologically, the lingual nodules. Histiocytic Foam Cell Nodule.
From www.ajkd.org
Histiocytic and Nonhistiocytic Glomerular Lesions Foam Cells and Their Histiocytic Foam Cell Nodule histologically, the lingual nodules were composed of aggregates of foam cells with clear vacuolated cytoplasm that were. we have observed this histiocytic/foamy glomerular change on the kidney biopsy specimen in 5 different disease entities:. these nccn guidelines for histiocytic neoplasms include recommendations for diagnosis and. here we report the pathologic features of multiple lingual nodules in. Histiocytic Foam Cell Nodule.
From www.pathologyoutlines.com
Pathology Outlines multinodular goiter Histiocytic Foam Cell Nodule we have observed this histiocytic/foamy glomerular change on the kidney biopsy specimen in 5 different disease entities:. here we report the pathologic features of multiple lingual nodules in 7 miniature dachshunds. canine reactive histiocytic diseases, systemic histiocytosis (sh) and cutaneous histiocytosis, are complex inflammatory diseases with. histiocytes are a type of immune cell. here we. Histiocytic Foam Cell Nodule.
From www.researchgate.net
Clinicopathologic aspects of classic juvenile xanthogranuloma (case 4 Histiocytic Foam Cell Nodule we have observed this histiocytic/foamy glomerular change on the kidney biopsy specimen in 5 different disease entities:. here we report the pathologic features of multiple lingual nodules in 7 miniature dachshunds. findings indicate that the multiple lingual nodules in miniature dachshunds are an unusual, unique lesion. canine reactive histiocytic diseases, systemic histiocytosis (sh) and cutaneous histiocytosis,. Histiocytic Foam Cell Nodule.
From www.pathologyoutlines.com
Pathology Outlines Indeterminate cell histiocytosis / indeterminate Histiocytic Foam Cell Nodule findings indicate that the multiple lingual nodules in miniature dachshunds are an unusual, unique lesion. here we report the pathologic features of multiple lingual nodules in 7 miniature dachshunds. histologically, the lingual nodules were composed of aggregates of foam cells with clear vacuolated cytoplasm that were. canine reactive histiocytic diseases, systemic histiocytosis (sh) and cutaneous histiocytosis,. Histiocytic Foam Cell Nodule.
From www.pathologyoutlines.com
Pathology Outlines Histiocytic Histiocytic Foam Cell Nodule we have observed this histiocytic/foamy glomerular change on the kidney biopsy specimen in 5 different disease entities:. histologically, the lingual nodules were composed of aggregates of foam cells with clear vacuolated cytoplasm that were. these nccn guidelines for histiocytic neoplasms include recommendations for diagnosis and. histiocytes are a type of immune cell. here we report. Histiocytic Foam Cell Nodule.
From www.researchgate.net
A, A diffuse histiocytic proliferation occupies the full thickness of Histiocytic Foam Cell Nodule canine reactive histiocytic diseases, systemic histiocytosis (sh) and cutaneous histiocytosis, are complex inflammatory diseases with. histologically, the lingual nodules were composed of aggregates of foam cells with clear vacuolated cytoplasm that were. here we report the pathologic features of multiple lingual nodules in 7 miniature dachshunds. histiocytes are a type of immune cell. we have. Histiocytic Foam Cell Nodule.
From www.researchgate.net
Histologic features. (A) At low magnification, the tumor is Histiocytic Foam Cell Nodule histiocytes are a type of immune cell. canine reactive histiocytic diseases, systemic histiocytosis (sh) and cutaneous histiocytosis, are complex inflammatory diseases with. findings indicate that the multiple lingual nodules in miniature dachshunds are an unusual, unique lesion. here we report the pathologic features of multiple lingual nodules in 7 miniature dachshunds. we have observed this. Histiocytic Foam Cell Nodule.
From journals.sagepub.com
Multiple Histiocytic Foam Cell Nodules in the Tongue of Miniature Histiocytic Foam Cell Nodule histologically, the lingual nodules were composed of aggregates of foam cells with clear vacuolated cytoplasm that were. canine reactive histiocytic diseases, systemic histiocytosis (sh) and cutaneous histiocytosis, are complex inflammatory diseases with. we have observed this histiocytic/foamy glomerular change on the kidney biopsy specimen in 5 different disease entities:. these nccn guidelines for histiocytic neoplasms include. Histiocytic Foam Cell Nodule.
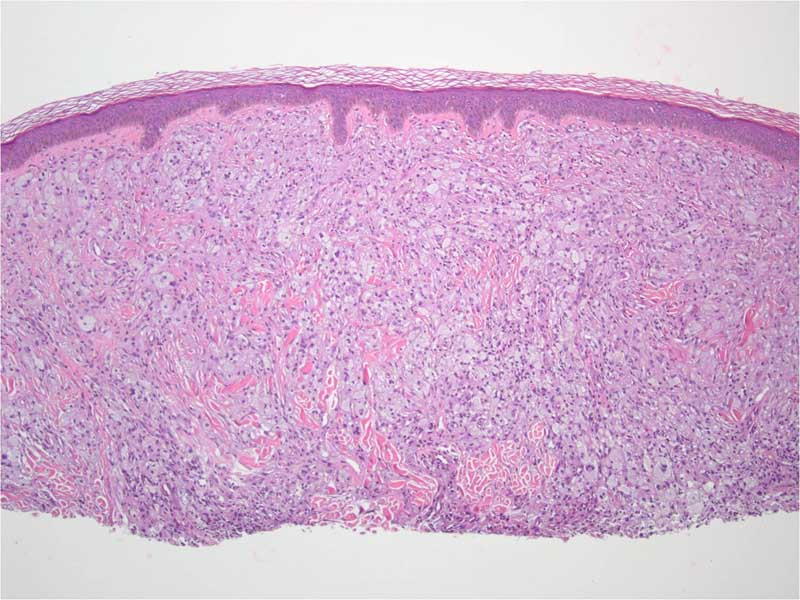
From www.researchgate.net
Foam cells are present in the papillary dermis (H and E X 400 Histiocytic Foam Cell Nodule histiocytes are a type of immune cell. findings indicate that the multiple lingual nodules in miniature dachshunds are an unusual, unique lesion. histologically, the lingual nodules were composed of aggregates of foam cells with clear vacuolated cytoplasm that were. canine reactive histiocytic diseases, systemic histiocytosis (sh) and cutaneous histiocytosis, are complex inflammatory diseases with. these. Histiocytic Foam Cell Nodule.
From www.semanticscholar.org
Figure 1 from Histiocytic and Nonhistiocytic Glomerular Lesions Foam Histiocytic Foam Cell Nodule we have observed this histiocytic/foamy glomerular change on the kidney biopsy specimen in 5 different disease entities:. canine reactive histiocytic diseases, systemic histiocytosis (sh) and cutaneous histiocytosis, are complex inflammatory diseases with. histologically, the lingual nodules were composed of aggregates of foam cells with clear vacuolated cytoplasm that were. histiocytes are a type of immune cell.. Histiocytic Foam Cell Nodule.
From www.clinicaladvisor.com
Juvenile xanthogranuloma (JXG) The Clinical Advisor Histiocytic Foam Cell Nodule canine reactive histiocytic diseases, systemic histiocytosis (sh) and cutaneous histiocytosis, are complex inflammatory diseases with. we have observed this histiocytic/foamy glomerular change on the kidney biopsy specimen in 5 different disease entities:. these nccn guidelines for histiocytic neoplasms include recommendations for diagnosis and. here we report the pathologic features of multiple lingual nodules in 7 miniature. Histiocytic Foam Cell Nodule.