Can An Mri Detect Radial Tunnel Syndrome . Electromyography (emg) and nerve conduction studies (ncs) are often normal in. Radial tunnel syndrome refers to a compressive neuropathy of the posterior. Mri studies my show muscle edema or atrophy along the distribution of the posterior interosseous nerve. There are no clear tests to diagnose radial tunnel syndrome. In radial tunnel syndrome and posterior interosseous nerve syndrome, radiographs should be obtained to detect or rule out elbow or forearm. Radial tunnel syndrome is a compressive neuropathy of the posterior interosseous nerve (pin) at the level of proximal forearm (radial tunnel). Treatment can be successful in the properly indicated patient. Diagnosis is made clinically with.
from healthjade.net
Mri studies my show muscle edema or atrophy along the distribution of the posterior interosseous nerve. In radial tunnel syndrome and posterior interosseous nerve syndrome, radiographs should be obtained to detect or rule out elbow or forearm. Radial tunnel syndrome is a compressive neuropathy of the posterior interosseous nerve (pin) at the level of proximal forearm (radial tunnel). Radial tunnel syndrome refers to a compressive neuropathy of the posterior. Treatment can be successful in the properly indicated patient. Diagnosis is made clinically with. There are no clear tests to diagnose radial tunnel syndrome. Electromyography (emg) and nerve conduction studies (ncs) are often normal in.
Radial tunnel syndrome causes, symptoms, diagnosis & treatment
Can An Mri Detect Radial Tunnel Syndrome Radial tunnel syndrome is a compressive neuropathy of the posterior interosseous nerve (pin) at the level of proximal forearm (radial tunnel). Diagnosis is made clinically with. In radial tunnel syndrome and posterior interosseous nerve syndrome, radiographs should be obtained to detect or rule out elbow or forearm. Treatment can be successful in the properly indicated patient. Electromyography (emg) and nerve conduction studies (ncs) are often normal in. There are no clear tests to diagnose radial tunnel syndrome. Radial tunnel syndrome refers to a compressive neuropathy of the posterior. Radial tunnel syndrome is a compressive neuropathy of the posterior interosseous nerve (pin) at the level of proximal forearm (radial tunnel). Mri studies my show muscle edema or atrophy along the distribution of the posterior interosseous nerve.
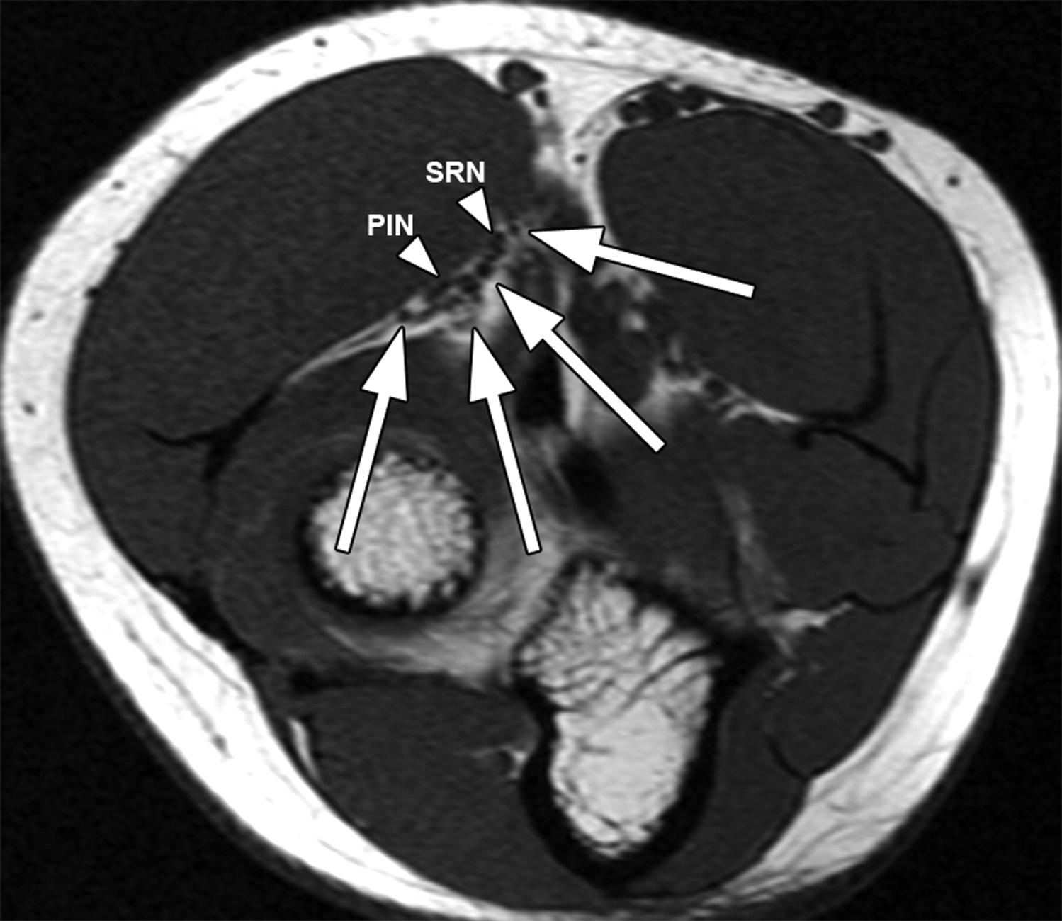
From www.ajronline.org
Nerve Entrapment Syndromes of the Elbow, Forearm, and Wrist AJR Can An Mri Detect Radial Tunnel Syndrome In radial tunnel syndrome and posterior interosseous nerve syndrome, radiographs should be obtained to detect or rule out elbow or forearm. Radial tunnel syndrome is a compressive neuropathy of the posterior interosseous nerve (pin) at the level of proximal forearm (radial tunnel). Radial tunnel syndrome refers to a compressive neuropathy of the posterior. Electromyography (emg) and nerve conduction studies (ncs). Can An Mri Detect Radial Tunnel Syndrome.
From healthjade.net
Radial tunnel syndrome causes, symptoms, diagnosis & treatment Can An Mri Detect Radial Tunnel Syndrome There are no clear tests to diagnose radial tunnel syndrome. Treatment can be successful in the properly indicated patient. In radial tunnel syndrome and posterior interosseous nerve syndrome, radiographs should be obtained to detect or rule out elbow or forearm. Mri studies my show muscle edema or atrophy along the distribution of the posterior interosseous nerve. Radial tunnel syndrome refers. Can An Mri Detect Radial Tunnel Syndrome.
From www.researchgate.net
Diagrammatic view of the radial tunnel showing compression of the Can An Mri Detect Radial Tunnel Syndrome Electromyography (emg) and nerve conduction studies (ncs) are often normal in. Diagnosis is made clinically with. Mri studies my show muscle edema or atrophy along the distribution of the posterior interosseous nerve. In radial tunnel syndrome and posterior interosseous nerve syndrome, radiographs should be obtained to detect or rule out elbow or forearm. Radial tunnel syndrome refers to a compressive. Can An Mri Detect Radial Tunnel Syndrome.
From orthopaedicprinciples.com
Tennis Elbow, ECRB and Radial Tunnel Syndrome — Can An Mri Detect Radial Tunnel Syndrome Radial tunnel syndrome is a compressive neuropathy of the posterior interosseous nerve (pin) at the level of proximal forearm (radial tunnel). Diagnosis is made clinically with. There are no clear tests to diagnose radial tunnel syndrome. Electromyography (emg) and nerve conduction studies (ncs) are often normal in. Treatment can be successful in the properly indicated patient. In radial tunnel syndrome. Can An Mri Detect Radial Tunnel Syndrome.
From www.mickeymed.com
Radial Tunnel Can An Mri Detect Radial Tunnel Syndrome In radial tunnel syndrome and posterior interosseous nerve syndrome, radiographs should be obtained to detect or rule out elbow or forearm. Radial tunnel syndrome is a compressive neuropathy of the posterior interosseous nerve (pin) at the level of proximal forearm (radial tunnel). Treatment can be successful in the properly indicated patient. Mri studies my show muscle edema or atrophy along. Can An Mri Detect Radial Tunnel Syndrome.
From www.physiocheck.co.uk
Radial tunnel syndrome Physio Check Can An Mri Detect Radial Tunnel Syndrome In radial tunnel syndrome and posterior interosseous nerve syndrome, radiographs should be obtained to detect or rule out elbow or forearm. There are no clear tests to diagnose radial tunnel syndrome. Mri studies my show muscle edema or atrophy along the distribution of the posterior interosseous nerve. Radial tunnel syndrome is a compressive neuropathy of the posterior interosseous nerve (pin). Can An Mri Detect Radial Tunnel Syndrome.
From www.orthobullets.com
Radial Tunnel Syndrome Hand Orthobullets Can An Mri Detect Radial Tunnel Syndrome There are no clear tests to diagnose radial tunnel syndrome. Treatment can be successful in the properly indicated patient. Diagnosis is made clinically with. Radial tunnel syndrome refers to a compressive neuropathy of the posterior. Mri studies my show muscle edema or atrophy along the distribution of the posterior interosseous nerve. Electromyography (emg) and nerve conduction studies (ncs) are often. Can An Mri Detect Radial Tunnel Syndrome.
From brandondonnellymd.com
Radial Tunnel Syndrome Brandon P. Donnelly, MD Can An Mri Detect Radial Tunnel Syndrome Electromyography (emg) and nerve conduction studies (ncs) are often normal in. Treatment can be successful in the properly indicated patient. Radial tunnel syndrome refers to a compressive neuropathy of the posterior. Mri studies my show muscle edema or atrophy along the distribution of the posterior interosseous nerve. In radial tunnel syndrome and posterior interosseous nerve syndrome, radiographs should be obtained. Can An Mri Detect Radial Tunnel Syndrome.
From www.mickeymed.com
Radial Tunnel Can An Mri Detect Radial Tunnel Syndrome In radial tunnel syndrome and posterior interosseous nerve syndrome, radiographs should be obtained to detect or rule out elbow or forearm. Mri studies my show muscle edema or atrophy along the distribution of the posterior interosseous nerve. Radial tunnel syndrome refers to a compressive neuropathy of the posterior. Diagnosis is made clinically with. Electromyography (emg) and nerve conduction studies (ncs). Can An Mri Detect Radial Tunnel Syndrome.
From www.floridaortho.com
Radial Tunnel Syndrome Florida Orthopaedic Institute Can An Mri Detect Radial Tunnel Syndrome Radial tunnel syndrome refers to a compressive neuropathy of the posterior. Radial tunnel syndrome is a compressive neuropathy of the posterior interosseous nerve (pin) at the level of proximal forearm (radial tunnel). Diagnosis is made clinically with. Mri studies my show muscle edema or atrophy along the distribution of the posterior interosseous nerve. In radial tunnel syndrome and posterior interosseous. Can An Mri Detect Radial Tunnel Syndrome.
From physioflowpt.com
Radial Tunnel Syndrome Physioflow PT Physical Therapy Vancouver, WA Can An Mri Detect Radial Tunnel Syndrome There are no clear tests to diagnose radial tunnel syndrome. Treatment can be successful in the properly indicated patient. Radial tunnel syndrome is a compressive neuropathy of the posterior interosseous nerve (pin) at the level of proximal forearm (radial tunnel). Mri studies my show muscle edema or atrophy along the distribution of the posterior interosseous nerve. Radial tunnel syndrome refers. Can An Mri Detect Radial Tunnel Syndrome.
From www.usenix.org
Radial Tunnel Syndrome Can An Mri Detect Radial Tunnel Syndrome Radial tunnel syndrome is a compressive neuropathy of the posterior interosseous nerve (pin) at the level of proximal forearm (radial tunnel). Radial tunnel syndrome refers to a compressive neuropathy of the posterior. There are no clear tests to diagnose radial tunnel syndrome. In radial tunnel syndrome and posterior interosseous nerve syndrome, radiographs should be obtained to detect or rule out. Can An Mri Detect Radial Tunnel Syndrome.
From healthjade.net
Radial tunnel syndrome causes, symptoms, diagnosis & treatment Can An Mri Detect Radial Tunnel Syndrome There are no clear tests to diagnose radial tunnel syndrome. Treatment can be successful in the properly indicated patient. Electromyography (emg) and nerve conduction studies (ncs) are often normal in. Radial tunnel syndrome refers to a compressive neuropathy of the posterior. Diagnosis is made clinically with. In radial tunnel syndrome and posterior interosseous nerve syndrome, radiographs should be obtained to. Can An Mri Detect Radial Tunnel Syndrome.
From ocadmsk.com
Consult forearm MRI 54M 2 months elbow pain and hand numbness, suspect Can An Mri Detect Radial Tunnel Syndrome Mri studies my show muscle edema or atrophy along the distribution of the posterior interosseous nerve. There are no clear tests to diagnose radial tunnel syndrome. Radial tunnel syndrome refers to a compressive neuropathy of the posterior. In radial tunnel syndrome and posterior interosseous nerve syndrome, radiographs should be obtained to detect or rule out elbow or forearm. Radial tunnel. Can An Mri Detect Radial Tunnel Syndrome.
From www.researchgate.net
Coronal T2 weighted MRI cuts of the left elbow demonstrating edema Can An Mri Detect Radial Tunnel Syndrome Diagnosis is made clinically with. Treatment can be successful in the properly indicated patient. In radial tunnel syndrome and posterior interosseous nerve syndrome, radiographs should be obtained to detect or rule out elbow or forearm. Mri studies my show muscle edema or atrophy along the distribution of the posterior interosseous nerve. There are no clear tests to diagnose radial tunnel. Can An Mri Detect Radial Tunnel Syndrome.
From www.orthobullets.com
Radial Tunnel Syndrome Hand Orthobullets Can An Mri Detect Radial Tunnel Syndrome There are no clear tests to diagnose radial tunnel syndrome. In radial tunnel syndrome and posterior interosseous nerve syndrome, radiographs should be obtained to detect or rule out elbow or forearm. Mri studies my show muscle edema or atrophy along the distribution of the posterior interosseous nerve. Diagnosis is made clinically with. Radial tunnel syndrome is a compressive neuropathy of. Can An Mri Detect Radial Tunnel Syndrome.
From www.researchgate.net
Axial T2WI with FS of a patient with a radial tunnel syndrome showing Can An Mri Detect Radial Tunnel Syndrome Electromyography (emg) and nerve conduction studies (ncs) are often normal in. Mri studies my show muscle edema or atrophy along the distribution of the posterior interosseous nerve. There are no clear tests to diagnose radial tunnel syndrome. Radial tunnel syndrome is a compressive neuropathy of the posterior interosseous nerve (pin) at the level of proximal forearm (radial tunnel). Diagnosis is. Can An Mri Detect Radial Tunnel Syndrome.
From www.youtube.com
How to Assess and Treat Radial Tunnel Syndrome Technique Peek Series Can An Mri Detect Radial Tunnel Syndrome Treatment can be successful in the properly indicated patient. Radial tunnel syndrome is a compressive neuropathy of the posterior interosseous nerve (pin) at the level of proximal forearm (radial tunnel). Mri studies my show muscle edema or atrophy along the distribution of the posterior interosseous nerve. Radial tunnel syndrome refers to a compressive neuropathy of the posterior. Diagnosis is made. Can An Mri Detect Radial Tunnel Syndrome.
From healthjade.net
Radial tunnel syndrome causes, symptoms, diagnosis & treatment Can An Mri Detect Radial Tunnel Syndrome In radial tunnel syndrome and posterior interosseous nerve syndrome, radiographs should be obtained to detect or rule out elbow or forearm. Treatment can be successful in the properly indicated patient. Radial tunnel syndrome is a compressive neuropathy of the posterior interosseous nerve (pin) at the level of proximal forearm (radial tunnel). Mri studies my show muscle edema or atrophy along. Can An Mri Detect Radial Tunnel Syndrome.
From www.melbournehandtherapy.com.au
Radial Tunnel Syndrome Causes, Symptoms, and Treatment Can An Mri Detect Radial Tunnel Syndrome Electromyography (emg) and nerve conduction studies (ncs) are often normal in. Treatment can be successful in the properly indicated patient. Radial tunnel syndrome is a compressive neuropathy of the posterior interosseous nerve (pin) at the level of proximal forearm (radial tunnel). There are no clear tests to diagnose radial tunnel syndrome. In radial tunnel syndrome and posterior interosseous nerve syndrome,. Can An Mri Detect Radial Tunnel Syndrome.
From pastoruser.weebly.com
Radial tunnel syndrome pastoruser Can An Mri Detect Radial Tunnel Syndrome Mri studies my show muscle edema or atrophy along the distribution of the posterior interosseous nerve. Radial tunnel syndrome is a compressive neuropathy of the posterior interosseous nerve (pin) at the level of proximal forearm (radial tunnel). Treatment can be successful in the properly indicated patient. There are no clear tests to diagnose radial tunnel syndrome. Diagnosis is made clinically. Can An Mri Detect Radial Tunnel Syndrome.
From www.physiocheck.ca
Radial tunnel syndrome Physio Check Can An Mri Detect Radial Tunnel Syndrome Radial tunnel syndrome is a compressive neuropathy of the posterior interosseous nerve (pin) at the level of proximal forearm (radial tunnel). Diagnosis is made clinically with. Electromyography (emg) and nerve conduction studies (ncs) are often normal in. Mri studies my show muscle edema or atrophy along the distribution of the posterior interosseous nerve. In radial tunnel syndrome and posterior interosseous. Can An Mri Detect Radial Tunnel Syndrome.
From www.slideshare.net
Radial tunnel syndrome Can An Mri Detect Radial Tunnel Syndrome Radial tunnel syndrome refers to a compressive neuropathy of the posterior. Treatment can be successful in the properly indicated patient. Electromyography (emg) and nerve conduction studies (ncs) are often normal in. There are no clear tests to diagnose radial tunnel syndrome. Radial tunnel syndrome is a compressive neuropathy of the posterior interosseous nerve (pin) at the level of proximal forearm. Can An Mri Detect Radial Tunnel Syndrome.
From www.mickeymed.com
Radial Tunnel Can An Mri Detect Radial Tunnel Syndrome Radial tunnel syndrome refers to a compressive neuropathy of the posterior. There are no clear tests to diagnose radial tunnel syndrome. Diagnosis is made clinically with. Electromyography (emg) and nerve conduction studies (ncs) are often normal in. Radial tunnel syndrome is a compressive neuropathy of the posterior interosseous nerve (pin) at the level of proximal forearm (radial tunnel). Mri studies. Can An Mri Detect Radial Tunnel Syndrome.
From www.floridaortho.com
Radial Tunnel Syndrome Florida Orthopaedic Institute Can An Mri Detect Radial Tunnel Syndrome Electromyography (emg) and nerve conduction studies (ncs) are often normal in. In radial tunnel syndrome and posterior interosseous nerve syndrome, radiographs should be obtained to detect or rule out elbow or forearm. Radial tunnel syndrome is a compressive neuropathy of the posterior interosseous nerve (pin) at the level of proximal forearm (radial tunnel). Mri studies my show muscle edema or. Can An Mri Detect Radial Tunnel Syndrome.
From www.spinalogy.com
Radial Tunnel Syndrome Symptoms, Causes, and Treatments Best Back Can An Mri Detect Radial Tunnel Syndrome Radial tunnel syndrome refers to a compressive neuropathy of the posterior. Diagnosis is made clinically with. Mri studies my show muscle edema or atrophy along the distribution of the posterior interosseous nerve. Electromyography (emg) and nerve conduction studies (ncs) are often normal in. In radial tunnel syndrome and posterior interosseous nerve syndrome, radiographs should be obtained to detect or rule. Can An Mri Detect Radial Tunnel Syndrome.
From www.pinterest.co.kr
radial tunnel syndrome Google Search Syndrome, Mechanical force Can An Mri Detect Radial Tunnel Syndrome Treatment can be successful in the properly indicated patient. Radial tunnel syndrome refers to a compressive neuropathy of the posterior. Electromyography (emg) and nerve conduction studies (ncs) are often normal in. In radial tunnel syndrome and posterior interosseous nerve syndrome, radiographs should be obtained to detect or rule out elbow or forearm. Mri studies my show muscle edema or atrophy. Can An Mri Detect Radial Tunnel Syndrome.
From www.alilamedicalmedia.com
Alila Medical Media Radial tunnel syndrome Medical illustration Can An Mri Detect Radial Tunnel Syndrome Mri studies my show muscle edema or atrophy along the distribution of the posterior interosseous nerve. Diagnosis is made clinically with. Radial tunnel syndrome is a compressive neuropathy of the posterior interosseous nerve (pin) at the level of proximal forearm (radial tunnel). Treatment can be successful in the properly indicated patient. In radial tunnel syndrome and posterior interosseous nerve syndrome,. Can An Mri Detect Radial Tunnel Syndrome.
From orthobullets.com
Radial Tunnel Syndrome Hand Orthobullets Can An Mri Detect Radial Tunnel Syndrome Diagnosis is made clinically with. Treatment can be successful in the properly indicated patient. There are no clear tests to diagnose radial tunnel syndrome. Radial tunnel syndrome is a compressive neuropathy of the posterior interosseous nerve (pin) at the level of proximal forearm (radial tunnel). In radial tunnel syndrome and posterior interosseous nerve syndrome, radiographs should be obtained to detect. Can An Mri Detect Radial Tunnel Syndrome.
From www.youtube.com
Radial Tunnel Syndrome YouTube Can An Mri Detect Radial Tunnel Syndrome There are no clear tests to diagnose radial tunnel syndrome. In radial tunnel syndrome and posterior interosseous nerve syndrome, radiographs should be obtained to detect or rule out elbow or forearm. Diagnosis is made clinically with. Mri studies my show muscle edema or atrophy along the distribution of the posterior interosseous nerve. Electromyography (emg) and nerve conduction studies (ncs) are. Can An Mri Detect Radial Tunnel Syndrome.
From assh.force.com
Radial Tunnel Syndrome What Is It? Symptoms, Causes, Diagnosis, and Can An Mri Detect Radial Tunnel Syndrome Treatment can be successful in the properly indicated patient. Radial tunnel syndrome is a compressive neuropathy of the posterior interosseous nerve (pin) at the level of proximal forearm (radial tunnel). Diagnosis is made clinically with. There are no clear tests to diagnose radial tunnel syndrome. Mri studies my show muscle edema or atrophy along the distribution of the posterior interosseous. Can An Mri Detect Radial Tunnel Syndrome.
From chiroup.com
Radial Tunnel Syndrome — ChiroUp Can An Mri Detect Radial Tunnel Syndrome Radial tunnel syndrome refers to a compressive neuropathy of the posterior. Electromyography (emg) and nerve conduction studies (ncs) are often normal in. There are no clear tests to diagnose radial tunnel syndrome. Radial tunnel syndrome is a compressive neuropathy of the posterior interosseous nerve (pin) at the level of proximal forearm (radial tunnel). Mri studies my show muscle edema or. Can An Mri Detect Radial Tunnel Syndrome.
From healthjade.net
Radial tunnel syndrome causes, symptoms, diagnosis & treatment Can An Mri Detect Radial Tunnel Syndrome Radial tunnel syndrome refers to a compressive neuropathy of the posterior. In radial tunnel syndrome and posterior interosseous nerve syndrome, radiographs should be obtained to detect or rule out elbow or forearm. There are no clear tests to diagnose radial tunnel syndrome. Electromyography (emg) and nerve conduction studies (ncs) are often normal in. Radial tunnel syndrome is a compressive neuropathy. Can An Mri Detect Radial Tunnel Syndrome.
From healthjade.net
Radial tunnel syndrome causes, symptoms, diagnosis & treatment Can An Mri Detect Radial Tunnel Syndrome Radial tunnel syndrome is a compressive neuropathy of the posterior interosseous nerve (pin) at the level of proximal forearm (radial tunnel). Mri studies my show muscle edema or atrophy along the distribution of the posterior interosseous nerve. Treatment can be successful in the properly indicated patient. There are no clear tests to diagnose radial tunnel syndrome. Radial tunnel syndrome refers. Can An Mri Detect Radial Tunnel Syndrome.
From www.orthobullets.com
Radial Tunnel Syndrome Hand Orthobullets Can An Mri Detect Radial Tunnel Syndrome Radial tunnel syndrome refers to a compressive neuropathy of the posterior. Treatment can be successful in the properly indicated patient. There are no clear tests to diagnose radial tunnel syndrome. In radial tunnel syndrome and posterior interosseous nerve syndrome, radiographs should be obtained to detect or rule out elbow or forearm. Mri studies my show muscle edema or atrophy along. Can An Mri Detect Radial Tunnel Syndrome.