From radiopaedia.org
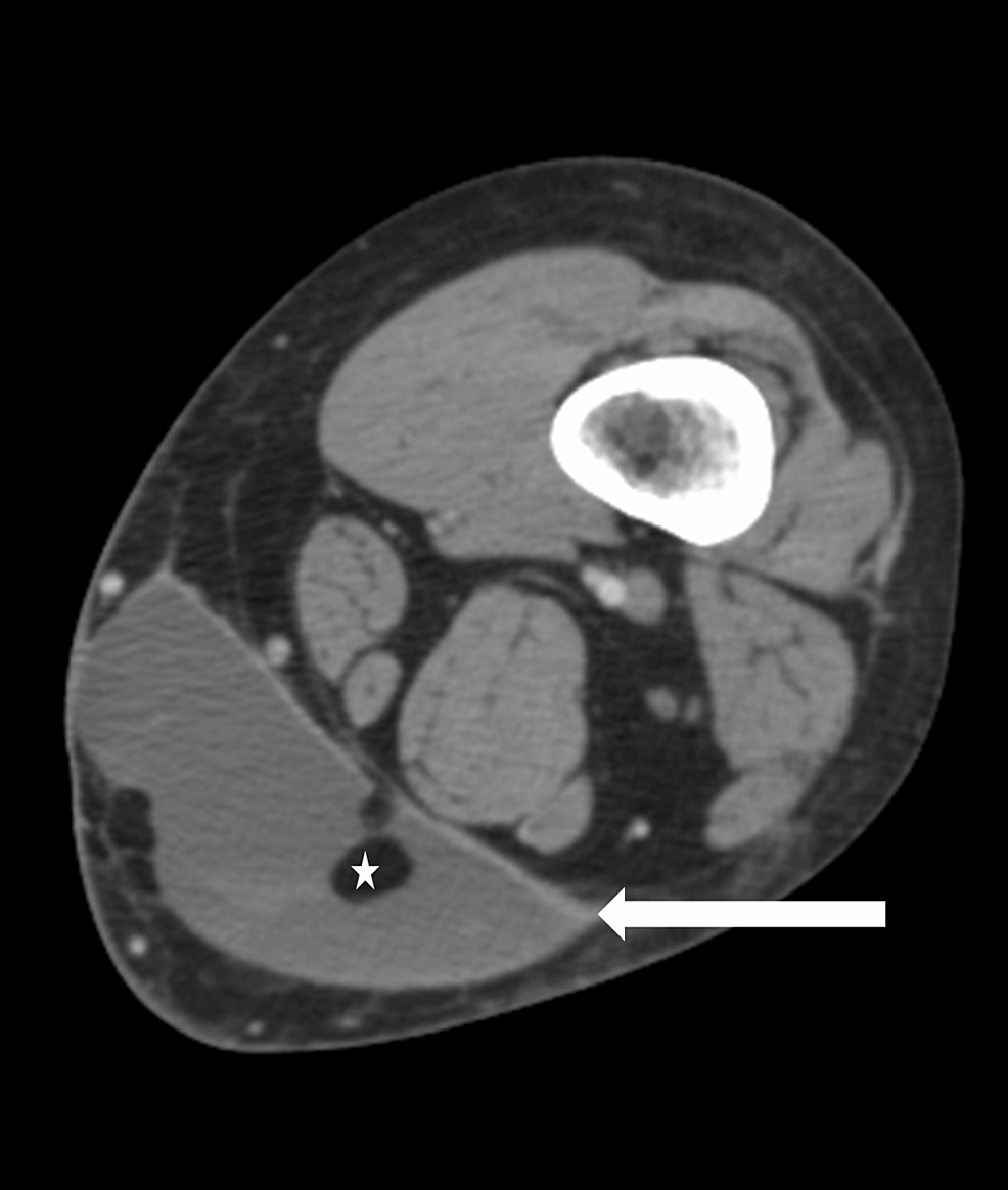
MorelLavallée lesion left hip Image Morel-Lavallee Internal Degloving Injury The thigh, hip, and pelvic region. Morel‐lavallée lesion is a closed soft tissue degloving injury caused by high‐energy violence, usually associated with underlying. Morel-Lavallee Internal Degloving Injury.
From radiopaedia.org
MorelLavallée lesion left hip Image Morel-Lavallee Internal Degloving Injury The thigh, hip, and pelvic region. Morel‐lavallée lesion is a closed soft tissue degloving injury caused by high‐energy violence, usually associated with underlying. Morel-Lavallee Internal Degloving Injury.
From www.jenonline.org
A Closed Degloving Injury MorelLavallée Lesion Journal of Emergency Nursing Morel-Lavallee Internal Degloving Injury The thigh, hip, and pelvic region. Morel‐lavallée lesion is a closed soft tissue degloving injury caused by high‐energy violence, usually associated with underlying. Morel-Lavallee Internal Degloving Injury.
From www.injuryjournal.com
Endoscopic treatment of MorelLavallee lesion Injury Morel-Lavallee Internal Degloving Injury The thigh, hip, and pelvic region. Morel‐lavallée lesion is a closed soft tissue degloving injury caused by high‐energy violence, usually associated with underlying. Morel-Lavallee Internal Degloving Injury.
From pinterest.com
A Morel Lavallée lesion represents a closed degloving injury associated with severe trauma which Morel-Lavallee Internal Degloving Injury Morel‐lavallée lesion is a closed soft tissue degloving injury caused by high‐energy violence, usually associated with underlying. The thigh, hip, and pelvic region. Morel-Lavallee Internal Degloving Injury.
From www.semanticscholar.org
Figure 1 from The treatment of a MorelLavallée lesion of the thigh with incision and drainage Morel-Lavallee Internal Degloving Injury Morel‐lavallée lesion is a closed soft tissue degloving injury caused by high‐energy violence, usually associated with underlying. The thigh, hip, and pelvic region. Morel-Lavallee Internal Degloving Injury.
From www.researchgate.net
(PDF) Diagnosis and management of closed internal degloving injuries associated with pelvic and Morel-Lavallee Internal Degloving Injury Morel‐lavallée lesion is a closed soft tissue degloving injury caused by high‐energy violence, usually associated with underlying. The thigh, hip, and pelvic region. Morel-Lavallee Internal Degloving Injury.
From www.academicradiology.org
MorelLavallée Injuries Academic Radiology Morel-Lavallee Internal Degloving Injury Morel‐lavallée lesion is a closed soft tissue degloving injury caused by high‐energy violence, usually associated with underlying. The thigh, hip, and pelvic region. Morel-Lavallee Internal Degloving Injury.
From www.cureus.com
MorelLavallee Lesion A Case of Lower Extremity Internal Degloving Injury Cureus Morel-Lavallee Internal Degloving Injury Morel‐lavallée lesion is a closed soft tissue degloving injury caused by high‐energy violence, usually associated with underlying. The thigh, hip, and pelvic region. Morel-Lavallee Internal Degloving Injury.
From www.intljourtranur.com
A Closed Degloving Injury MorelLavallée Lesion Journal of Emergency Nursing Morel-Lavallee Internal Degloving Injury Morel‐lavallée lesion is a closed soft tissue degloving injury caused by high‐energy violence, usually associated with underlying. The thigh, hip, and pelvic region. Morel-Lavallee Internal Degloving Injury.
From www.researchgate.net
Illustration of MorelLavallée lesions. Tangential shearing force... Download Scientific Diagram Morel-Lavallee Internal Degloving Injury Morel‐lavallée lesion is a closed soft tissue degloving injury caused by high‐energy violence, usually associated with underlying. The thigh, hip, and pelvic region. Morel-Lavallee Internal Degloving Injury.
From www.researchgate.net
(PDF) A peculiar case of MorelLavelle lesion of upper limb Morel-Lavallee Internal Degloving Injury Morel‐lavallée lesion is a closed soft tissue degloving injury caused by high‐energy violence, usually associated with underlying. The thigh, hip, and pelvic region. Morel-Lavallee Internal Degloving Injury.
From www.researchgate.net
(PDF) The MorelLavallée Lesion as a Rare Differential Diagnosis for Recalcitrant Bursitis of Morel-Lavallee Internal Degloving Injury Morel‐lavallée lesion is a closed soft tissue degloving injury caused by high‐energy violence, usually associated with underlying. The thigh, hip, and pelvic region. Morel-Lavallee Internal Degloving Injury.
From www.researchgate.net
Illustration of a MorelLavallee degloving injury which presents as a... Download Scientific Morel-Lavallee Internal Degloving Injury The thigh, hip, and pelvic region. Morel‐lavallée lesion is a closed soft tissue degloving injury caused by high‐energy violence, usually associated with underlying. Morel-Lavallee Internal Degloving Injury.
From www.intljourtranur.com
A Closed Degloving Injury MorelLavallée Lesion Journal of Emergency Nursing Morel-Lavallee Internal Degloving Injury The thigh, hip, and pelvic region. Morel‐lavallée lesion is a closed soft tissue degloving injury caused by high‐energy violence, usually associated with underlying. Morel-Lavallee Internal Degloving Injury.
From www.orthobullets.com
MorelLavallee Lesion Trauma Orthobullets Morel-Lavallee Internal Degloving Injury The thigh, hip, and pelvic region. Morel‐lavallée lesion is a closed soft tissue degloving injury caused by high‐energy violence, usually associated with underlying. Morel-Lavallee Internal Degloving Injury.
From www.slideshare.net
Presentation1, radiological imaging of morel lavallee lesion. Morel-Lavallee Internal Degloving Injury Morel‐lavallée lesion is a closed soft tissue degloving injury caused by high‐energy violence, usually associated with underlying. The thigh, hip, and pelvic region. Morel-Lavallee Internal Degloving Injury.
From www.academia.edu
(PDF) Lesión de MorelLavallée Una lesión de degloving cerrado poco frecuente de fácil Morel-Lavallee Internal Degloving Injury Morel‐lavallée lesion is a closed soft tissue degloving injury caused by high‐energy violence, usually associated with underlying. The thigh, hip, and pelvic region. Morel-Lavallee Internal Degloving Injury.
From www.academia.edu
(PDF) MorelLavallée lesions of the knee a closed degloving injury a report of two cases Amy Morel-Lavallee Internal Degloving Injury Morel‐lavallée lesion is a closed soft tissue degloving injury caused by high‐energy violence, usually associated with underlying. The thigh, hip, and pelvic region. Morel-Lavallee Internal Degloving Injury.
From www.sportsmedreview.com
MorelLavallee lesions Sports Medicine Review Morel-Lavallee Internal Degloving Injury Morel‐lavallée lesion is a closed soft tissue degloving injury caused by high‐energy violence, usually associated with underlying. The thigh, hip, and pelvic region. Morel-Lavallee Internal Degloving Injury.
From www.orthobullets.com
MorelLavallee Lesion Trauma Orthobullets Morel-Lavallee Internal Degloving Injury The thigh, hip, and pelvic region. Morel‐lavallée lesion is a closed soft tissue degloving injury caused by high‐energy violence, usually associated with underlying. Morel-Lavallee Internal Degloving Injury.
From www.semanticscholar.org
Figure 2 from MorelLavallée lesion in the knee a case report * Semantic Scholar Morel-Lavallee Internal Degloving Injury The thigh, hip, and pelvic region. Morel‐lavallée lesion is a closed soft tissue degloving injury caused by high‐energy violence, usually associated with underlying. Morel-Lavallee Internal Degloving Injury.
From radiopaedia.org
MorelLavallée lesion Image Morel-Lavallee Internal Degloving Injury The thigh, hip, and pelvic region. Morel‐lavallée lesion is a closed soft tissue degloving injury caused by high‐energy violence, usually associated with underlying. Morel-Lavallee Internal Degloving Injury.
From www.researchgate.net
(PDF) MorelLavallée Lesion in the Sacrococcygeal Area with Associated Coccygeal Fracture Morel-Lavallee Internal Degloving Injury The thigh, hip, and pelvic region. Morel‐lavallée lesion is a closed soft tissue degloving injury caused by high‐energy violence, usually associated with underlying. Morel-Lavallee Internal Degloving Injury.
From www.sportsmedreview.com
MorelLavallee lesions Sports Medicine Review Morel-Lavallee Internal Degloving Injury The thigh, hip, and pelvic region. Morel‐lavallée lesion is a closed soft tissue degloving injury caused by high‐energy violence, usually associated with underlying. Morel-Lavallee Internal Degloving Injury.
From www.orthobullets.com
MorelLavallee Lesion Trauma Orthobullets Morel-Lavallee Internal Degloving Injury Morel‐lavallée lesion is a closed soft tissue degloving injury caused by high‐energy violence, usually associated with underlying. The thigh, hip, and pelvic region. Morel-Lavallee Internal Degloving Injury.
From www.jem-journal.com
Diagnosis and Management of Closed Internal Degloving Injuries The MorelLavallée Lesion Morel-Lavallee Internal Degloving Injury The thigh, hip, and pelvic region. Morel‐lavallée lesion is a closed soft tissue degloving injury caused by high‐energy violence, usually associated with underlying. Morel-Lavallee Internal Degloving Injury.
From www.pinterest.com
MorelLavallée lesion A closed degloving injury that requires real attention Morels, Injury Morel-Lavallee Internal Degloving Injury Morel‐lavallée lesion is a closed soft tissue degloving injury caused by high‐energy violence, usually associated with underlying. The thigh, hip, and pelvic region. Morel-Lavallee Internal Degloving Injury.
From www.semanticscholar.org
Figure 1 from MorelLavallée lesion in the knee a case report * Semantic Scholar Morel-Lavallee Internal Degloving Injury The thigh, hip, and pelvic region. Morel‐lavallée lesion is a closed soft tissue degloving injury caused by high‐energy violence, usually associated with underlying. Morel-Lavallee Internal Degloving Injury.
From blogs.bmj.com
MorelLavallee Lesions Diagnosis and practical management of these troublesome injuries Morel-Lavallee Internal Degloving Injury The thigh, hip, and pelvic region. Morel‐lavallée lesion is a closed soft tissue degloving injury caused by high‐energy violence, usually associated with underlying. Morel-Lavallee Internal Degloving Injury.
From journals.lww.com
Concealed Degloving Injury (the MorelLavallée Lesion) in Ch... JBJS Morel-Lavallee Internal Degloving Injury Morel‐lavallée lesion is a closed soft tissue degloving injury caused by high‐energy violence, usually associated with underlying. The thigh, hip, and pelvic region. Morel-Lavallee Internal Degloving Injury.
From radiopaedia.org
MorelLavallée lesion left hip Image Morel-Lavallee Internal Degloving Injury The thigh, hip, and pelvic region. Morel‐lavallée lesion is a closed soft tissue degloving injury caused by high‐energy violence, usually associated with underlying. Morel-Lavallee Internal Degloving Injury.
From www.academicradiology.org
MorelLavallée Injuries Academic Radiology Morel-Lavallee Internal Degloving Injury The thigh, hip, and pelvic region. Morel‐lavallée lesion is a closed soft tissue degloving injury caused by high‐energy violence, usually associated with underlying. Morel-Lavallee Internal Degloving Injury.
From www.youtube.com
The Trauma Nursing Journal Club The Closed Degloving Injury MorelLavallee Lesion YouTube Morel-Lavallee Internal Degloving Injury The thigh, hip, and pelvic region. Morel‐lavallée lesion is a closed soft tissue degloving injury caused by high‐energy violence, usually associated with underlying. Morel-Lavallee Internal Degloving Injury.
From www.semanticscholar.org
Figure 2 from The treatment of a MorelLavallée lesion of the thigh with incision and drainage Morel-Lavallee Internal Degloving Injury Morel‐lavallée lesion is a closed soft tissue degloving injury caused by high‐energy violence, usually associated with underlying. The thigh, hip, and pelvic region. Morel-Lavallee Internal Degloving Injury.