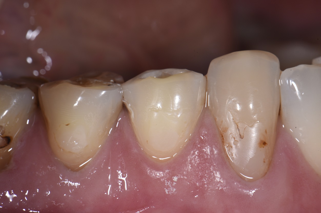
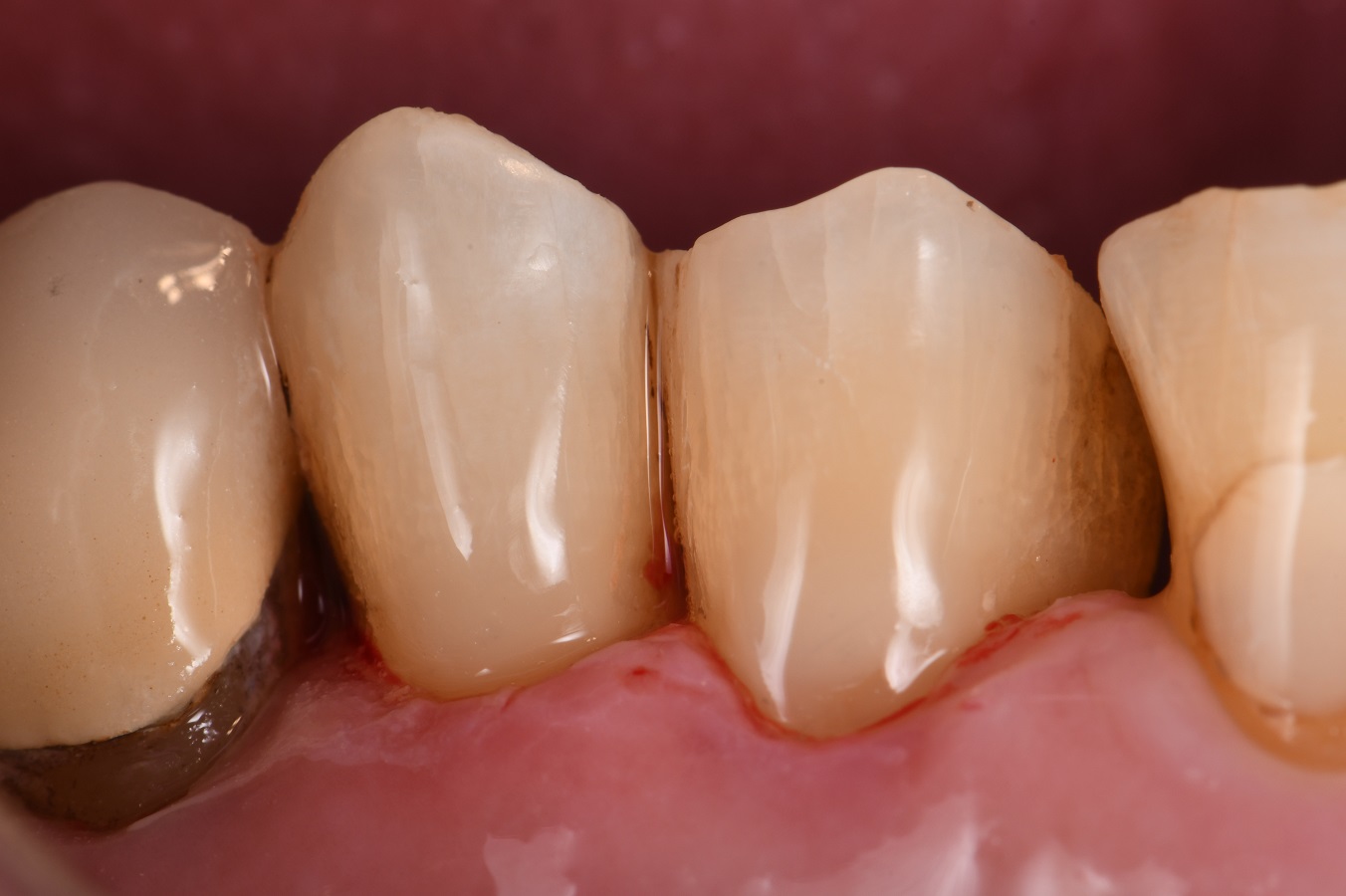
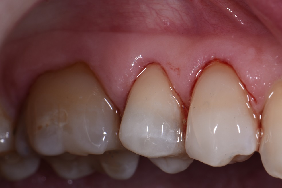
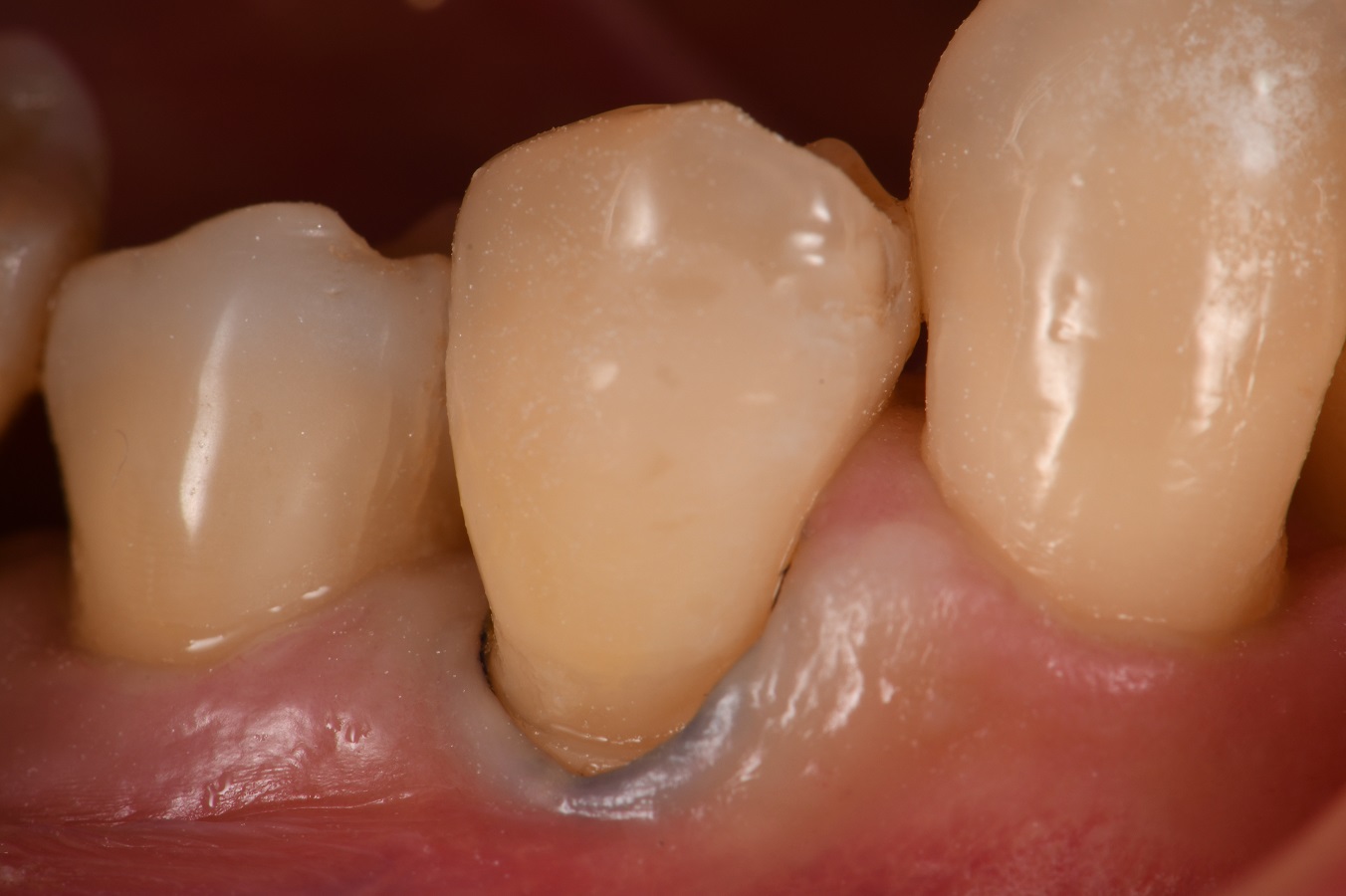
Dental Materials What Goes Where Class V Restorations . Successful class v restorations require strict adherence to proper adhesive protocols, material opacity. Find out the best preparation designs, materials, and techniques for. A large number of class v restorations are placed per annum to restore cervical lesions. Learn how to diagnose and treat different types of class v lesions with composite resin, based on their etiology and location. Dental update , 01 nov 2015, 42 (9): Class v cavities are multifactorial in origin. This paper evaluates the pathogenesis of these lesions,. Find out the indications, contraindications, advantages, disadvantages, and clinical techniques for each class of restoration. Practitioners are faced with a multitude of possible restorative materials and techniques. A large number of class v restorations are placed per annum to restore cervical lesions. This paper evaluates the pathogenesis of these lesions,. It is virtually impossible to see where the restoration ends and the tooth begins.
from www.youtube.com
Class v cavities are multifactorial in origin. Find out the indications, contraindications, advantages, disadvantages, and clinical techniques for each class of restoration. Dental update , 01 nov 2015, 42 (9): A large number of class v restorations are placed per annum to restore cervical lesions. This paper evaluates the pathogenesis of these lesions,. A large number of class v restorations are placed per annum to restore cervical lesions. Learn how to diagnose and treat different types of class v lesions with composite resin, based on their etiology and location. Practitioners are faced with a multitude of possible restorative materials and techniques. This paper evaluates the pathogenesis of these lesions,. It is virtually impossible to see where the restoration ends and the tooth begins.
Factors Affecting the Energy Delivered to Simulated Class I and Class V
Dental Materials What Goes Where Class V Restorations Find out the indications, contraindications, advantages, disadvantages, and clinical techniques for each class of restoration. It is virtually impossible to see where the restoration ends and the tooth begins. Learn how to diagnose and treat different types of class v lesions with composite resin, based on their etiology and location. This paper evaluates the pathogenesis of these lesions,. Dental update , 01 nov 2015, 42 (9): Find out the best preparation designs, materials, and techniques for. Practitioners are faced with a multitude of possible restorative materials and techniques. A large number of class v restorations are placed per annum to restore cervical lesions. A large number of class v restorations are placed per annum to restore cervical lesions. Successful class v restorations require strict adherence to proper adhesive protocols, material opacity. This paper evaluates the pathogenesis of these lesions,. Class v cavities are multifactorial in origin. Find out the indications, contraindications, advantages, disadvantages, and clinical techniques for each class of restoration.
From www.styleitaliano.org
The Closing Gap Technique. The perfect seal in Class 5 restorations Dental Materials What Goes Where Class V Restorations A large number of class v restorations are placed per annum to restore cervical lesions. Practitioners are faced with a multitude of possible restorative materials and techniques. This paper evaluates the pathogenesis of these lesions,. A large number of class v restorations are placed per annum to restore cervical lesions. Learn how to diagnose and treat different types of class. Dental Materials What Goes Where Class V Restorations.
From www.clarencetam.co.nz
Class V restorations using a hyperfilled resin Dental Materials What Goes Where Class V Restorations Class v cavities are multifactorial in origin. Practitioners are faced with a multitude of possible restorative materials and techniques. Find out the indications, contraindications, advantages, disadvantages, and clinical techniques for each class of restoration. This paper evaluates the pathogenesis of these lesions,. It is virtually impossible to see where the restoration ends and the tooth begins. Learn how to diagnose. Dental Materials What Goes Where Class V Restorations.
From www.youtube.com
Factors Affecting the Energy Delivered to Simulated Class I and Class V Dental Materials What Goes Where Class V Restorations Class v cavities are multifactorial in origin. Learn how to diagnose and treat different types of class v lesions with composite resin, based on their etiology and location. Find out the indications, contraindications, advantages, disadvantages, and clinical techniques for each class of restoration. It is virtually impossible to see where the restoration ends and the tooth begins. This paper evaluates. Dental Materials What Goes Where Class V Restorations.
From www.dentalestheticszak.com
Class V composite restoration " Noncarious lesion " Dental Esthetics Dental Materials What Goes Where Class V Restorations This paper evaluates the pathogenesis of these lesions,. This paper evaluates the pathogenesis of these lesions,. Learn how to diagnose and treat different types of class v lesions with composite resin, based on their etiology and location. Find out the indications, contraindications, advantages, disadvantages, and clinical techniques for each class of restoration. Dental update , 01 nov 2015, 42 (9):. Dental Materials What Goes Where Class V Restorations.
From www.clarencetam.co.nz
Cavities at the Bottom of Teeth by the Gumline Class V Composite Dental Materials What Goes Where Class V Restorations Practitioners are faced with a multitude of possible restorative materials and techniques. A large number of class v restorations are placed per annum to restore cervical lesions. Dental update , 01 nov 2015, 42 (9): This paper evaluates the pathogenesis of these lesions,. It is virtually impossible to see where the restoration ends and the tooth begins. This paper evaluates. Dental Materials What Goes Where Class V Restorations.
From www.dentistrytoday.com
Class V (Cervical) Restorations That Just Blend Into the Tooth Using Dental Materials What Goes Where Class V Restorations Successful class v restorations require strict adherence to proper adhesive protocols, material opacity. A large number of class v restorations are placed per annum to restore cervical lesions. Dental update , 01 nov 2015, 42 (9): This paper evaluates the pathogenesis of these lesions,. A large number of class v restorations are placed per annum to restore cervical lesions. Find. Dental Materials What Goes Where Class V Restorations.
From www.clarencetam.co.nz
Class V seamless restoration Class V seamless restoration Dental Materials What Goes Where Class V Restorations Dental update , 01 nov 2015, 42 (9): Successful class v restorations require strict adherence to proper adhesive protocols, material opacity. This paper evaluates the pathogenesis of these lesions,. Find out the best preparation designs, materials, and techniques for. This paper evaluates the pathogenesis of these lesions,. Practitioners are faced with a multitude of possible restorative materials and techniques. A. Dental Materials What Goes Where Class V Restorations.
From www.peterwalforddentistry.com
CLASS V RESTORATIONS Peter Walford Dentistry Dental Materials What Goes Where Class V Restorations Find out the best preparation designs, materials, and techniques for. This paper evaluates the pathogenesis of these lesions,. Successful class v restorations require strict adherence to proper adhesive protocols, material opacity. A large number of class v restorations are placed per annum to restore cervical lesions. Find out the indications, contraindications, advantages, disadvantages, and clinical techniques for each class of. Dental Materials What Goes Where Class V Restorations.
From www.clarencetam.co.nz
Class V Restorations Done Invisibly Dental Materials What Goes Where Class V Restorations It is virtually impossible to see where the restoration ends and the tooth begins. Class v cavities are multifactorial in origin. Learn how to diagnose and treat different types of class v lesions with composite resin, based on their etiology and location. Successful class v restorations require strict adherence to proper adhesive protocols, material opacity. Practitioners are faced with a. Dental Materials What Goes Where Class V Restorations.
From www.clarencetam.co.nz
Kuraray Majesty ES2 Classic Class V restorations Dental Materials What Goes Where Class V Restorations Practitioners are faced with a multitude of possible restorative materials and techniques. This paper evaluates the pathogenesis of these lesions,. A large number of class v restorations are placed per annum to restore cervical lesions. Learn how to diagnose and treat different types of class v lesions with composite resin, based on their etiology and location. This paper evaluates the. Dental Materials What Goes Where Class V Restorations.
From www.clarencetam.co.nz
Class V Restorations Dental Materials What Goes Where Class V Restorations Find out the indications, contraindications, advantages, disadvantages, and clinical techniques for each class of restoration. Dental update , 01 nov 2015, 42 (9): Find out the best preparation designs, materials, and techniques for. Practitioners are faced with a multitude of possible restorative materials and techniques. This paper evaluates the pathogenesis of these lesions,. A large number of class v restorations. Dental Materials What Goes Where Class V Restorations.
From www.clarencetam.co.nz
Conservative Class V restorations Dental Materials What Goes Where Class V Restorations Successful class v restorations require strict adherence to proper adhesive protocols, material opacity. Find out the indications, contraindications, advantages, disadvantages, and clinical techniques for each class of restoration. This paper evaluates the pathogenesis of these lesions,. Class v cavities are multifactorial in origin. Dental update , 01 nov 2015, 42 (9): A large number of class v restorations are placed. Dental Materials What Goes Where Class V Restorations.
From stevensondentalsolutions.com
Composite Class V Restorations LesionSpecific Approaches Dental Materials What Goes Where Class V Restorations Successful class v restorations require strict adherence to proper adhesive protocols, material opacity. Learn how to diagnose and treat different types of class v lesions with composite resin, based on their etiology and location. It is virtually impossible to see where the restoration ends and the tooth begins. A large number of class v restorations are placed per annum to. Dental Materials What Goes Where Class V Restorations.
From www.clarencetam.co.nz
Class V restorations with Essentia U Class V restorations with Essentia U Dental Materials What Goes Where Class V Restorations Successful class v restorations require strict adherence to proper adhesive protocols, material opacity. A large number of class v restorations are placed per annum to restore cervical lesions. Dental update , 01 nov 2015, 42 (9): Class v cavities are multifactorial in origin. It is virtually impossible to see where the restoration ends and the tooth begins. This paper evaluates. Dental Materials What Goes Where Class V Restorations.
From www.clarencetam.co.nz
Class V restorations on tetracycline stained teeth Dental Materials What Goes Where Class V Restorations Class v cavities are multifactorial in origin. Learn how to diagnose and treat different types of class v lesions with composite resin, based on their etiology and location. A large number of class v restorations are placed per annum to restore cervical lesions. Find out the indications, contraindications, advantages, disadvantages, and clinical techniques for each class of restoration. Find out. Dental Materials What Goes Where Class V Restorations.
From www.slideshare.net
Class v tooth preparation for amalgam restorations Dental Materials What Goes Where Class V Restorations Class v cavities are multifactorial in origin. Successful class v restorations require strict adherence to proper adhesive protocols, material opacity. Find out the best preparation designs, materials, and techniques for. Practitioners are faced with a multitude of possible restorative materials and techniques. Dental update , 01 nov 2015, 42 (9): Find out the indications, contraindications, advantages, disadvantages, and clinical techniques. Dental Materials What Goes Where Class V Restorations.
From www.clarencetam.co.nz
Class V seamless bonded restorations Dental Materials What Goes Where Class V Restorations This paper evaluates the pathogenesis of these lesions,. Class v cavities are multifactorial in origin. A large number of class v restorations are placed per annum to restore cervical lesions. It is virtually impossible to see where the restoration ends and the tooth begins. Learn how to diagnose and treat different types of class v lesions with composite resin, based. Dental Materials What Goes Where Class V Restorations.
From handsonlinelive.mykajabi.com
Beautiful Class V Restorations with Dr. Marc Geissberger Dental Materials What Goes Where Class V Restorations This paper evaluates the pathogenesis of these lesions,. It is virtually impossible to see where the restoration ends and the tooth begins. Practitioners are faced with a multitude of possible restorative materials and techniques. A large number of class v restorations are placed per annum to restore cervical lesions. Dental update , 01 nov 2015, 42 (9): A large number. Dental Materials What Goes Where Class V Restorations.
From www.styleitaliano.org
The Closing Gap Technique. The perfect seal in Class 5 restorations Dental Materials What Goes Where Class V Restorations Find out the best preparation designs, materials, and techniques for. Learn how to diagnose and treat different types of class v lesions with composite resin, based on their etiology and location. This paper evaluates the pathogenesis of these lesions,. A large number of class v restorations are placed per annum to restore cervical lesions. Dental update , 01 nov 2015,. Dental Materials What Goes Where Class V Restorations.
From www.clarencetam.co.nz
Replacing unesthetic Class V restorations with well blended composite Dental Materials What Goes Where Class V Restorations A large number of class v restorations are placed per annum to restore cervical lesions. Find out the indications, contraindications, advantages, disadvantages, and clinical techniques for each class of restoration. Successful class v restorations require strict adherence to proper adhesive protocols, material opacity. Learn how to diagnose and treat different types of class v lesions with composite resin, based on. Dental Materials What Goes Where Class V Restorations.
From www.clarencetam.co.nz
Class V restorations using a hyperfilled resin Dental Materials What Goes Where Class V Restorations Successful class v restorations require strict adherence to proper adhesive protocols, material opacity. Dental update , 01 nov 2015, 42 (9): Learn how to diagnose and treat different types of class v lesions with composite resin, based on their etiology and location. Find out the indications, contraindications, advantages, disadvantages, and clinical techniques for each class of restoration. A large number. Dental Materials What Goes Where Class V Restorations.
From www.dentalestheticszak.com
Class V composite restoration " Noncarious lesion " Dental Esthetics Dental Materials What Goes Where Class V Restorations This paper evaluates the pathogenesis of these lesions,. Find out the best preparation designs, materials, and techniques for. Practitioners are faced with a multitude of possible restorative materials and techniques. Class v cavities are multifactorial in origin. Dental update , 01 nov 2015, 42 (9): Successful class v restorations require strict adherence to proper adhesive protocols, material opacity. A large. Dental Materials What Goes Where Class V Restorations.
From www.clarencetam.co.nz
Class V full silanated composite resin Class V full silanated composite Dental Materials What Goes Where Class V Restorations Learn how to diagnose and treat different types of class v lesions with composite resin, based on their etiology and location. Practitioners are faced with a multitude of possible restorative materials and techniques. This paper evaluates the pathogenesis of these lesions,. Find out the indications, contraindications, advantages, disadvantages, and clinical techniques for each class of restoration. Dental update , 01. Dental Materials What Goes Where Class V Restorations.
From www.clarencetam.co.nz
Class V restorations on tetracycline affected teeth Dental Materials What Goes Where Class V Restorations Find out the indications, contraindications, advantages, disadvantages, and clinical techniques for each class of restoration. Class v cavities are multifactorial in origin. A large number of class v restorations are placed per annum to restore cervical lesions. Practitioners are faced with a multitude of possible restorative materials and techniques. A large number of class v restorations are placed per annum. Dental Materials What Goes Where Class V Restorations.
From www.dentalestheticszak.com
Class V composite restoration " Noncarious lesion " Dental Esthetics Dental Materials What Goes Where Class V Restorations This paper evaluates the pathogenesis of these lesions,. Find out the indications, contraindications, advantages, disadvantages, and clinical techniques for each class of restoration. Dental update , 01 nov 2015, 42 (9): A large number of class v restorations are placed per annum to restore cervical lesions. It is virtually impossible to see where the restoration ends and the tooth begins.. Dental Materials What Goes Where Class V Restorations.
From www.clarencetam.co.nz
Class V restorations Dental Materials What Goes Where Class V Restorations Dental update , 01 nov 2015, 42 (9): This paper evaluates the pathogenesis of these lesions,. Successful class v restorations require strict adherence to proper adhesive protocols, material opacity. Practitioners are faced with a multitude of possible restorative materials and techniques. Learn how to diagnose and treat different types of class v lesions with composite resin, based on their etiology. Dental Materials What Goes Where Class V Restorations.
From www.dentalestheticszak.com
Class V composite restoration " Noncarious lesion " Dental Esthetics Dental Materials What Goes Where Class V Restorations Learn how to diagnose and treat different types of class v lesions with composite resin, based on their etiology and location. Dental update , 01 nov 2015, 42 (9): A large number of class v restorations are placed per annum to restore cervical lesions. Find out the indications, contraindications, advantages, disadvantages, and clinical techniques for each class of restoration. Practitioners. Dental Materials What Goes Where Class V Restorations.
From dentalreach.today
Success With Class V Restorations In Day To Day Dentistry! Dental Materials What Goes Where Class V Restorations It is virtually impossible to see where the restoration ends and the tooth begins. This paper evaluates the pathogenesis of these lesions,. Dental update , 01 nov 2015, 42 (9): Find out the best preparation designs, materials, and techniques for. This paper evaluates the pathogenesis of these lesions,. Successful class v restorations require strict adherence to proper adhesive protocols, material. Dental Materials What Goes Where Class V Restorations.
From www.clarencetam.co.nz
Routine Class V restorations Dental Materials What Goes Where Class V Restorations Dental update , 01 nov 2015, 42 (9): It is virtually impossible to see where the restoration ends and the tooth begins. A large number of class v restorations are placed per annum to restore cervical lesions. Find out the best preparation designs, materials, and techniques for. Learn how to diagnose and treat different types of class v lesions with. Dental Materials What Goes Where Class V Restorations.
From www.clarencetam.co.nz
Absolute Isolation for Class V restorations Dental Materials What Goes Where Class V Restorations This paper evaluates the pathogenesis of these lesions,. A large number of class v restorations are placed per annum to restore cervical lesions. Successful class v restorations require strict adherence to proper adhesive protocols, material opacity. Find out the best preparation designs, materials, and techniques for. A large number of class v restorations are placed per annum to restore cervical. Dental Materials What Goes Where Class V Restorations.
From www.youtube.com
class V composite restoration procedure guide YouTube Dental Materials What Goes Where Class V Restorations A large number of class v restorations are placed per annum to restore cervical lesions. Practitioners are faced with a multitude of possible restorative materials and techniques. Successful class v restorations require strict adherence to proper adhesive protocols, material opacity. A large number of class v restorations are placed per annum to restore cervical lesions. It is virtually impossible to. Dental Materials What Goes Where Class V Restorations.
From www.tv.odontologiavirtual.com
OPERATIVE DENTISTRY Class V restoration using flowable materials Dental Materials What Goes Where Class V Restorations A large number of class v restorations are placed per annum to restore cervical lesions. It is virtually impossible to see where the restoration ends and the tooth begins. Class v cavities are multifactorial in origin. This paper evaluates the pathogenesis of these lesions,. Successful class v restorations require strict adherence to proper adhesive protocols, material opacity. Dental update ,. Dental Materials What Goes Where Class V Restorations.
From www.styleitaliano.org
Class V restorations. A nonsurgical simplified approach to improve the Dental Materials What Goes Where Class V Restorations This paper evaluates the pathogenesis of these lesions,. It is virtually impossible to see where the restoration ends and the tooth begins. Practitioners are faced with a multitude of possible restorative materials and techniques. A large number of class v restorations are placed per annum to restore cervical lesions. Learn how to diagnose and treat different types of class v. Dental Materials What Goes Where Class V Restorations.
From www.clarencetam.co.nz
Extensive Class V restorations ahead of freehand direct coronal Dental Materials What Goes Where Class V Restorations Learn how to diagnose and treat different types of class v lesions with composite resin, based on their etiology and location. This paper evaluates the pathogenesis of these lesions,. This paper evaluates the pathogenesis of these lesions,. It is virtually impossible to see where the restoration ends and the tooth begins. Practitioners are faced with a multitude of possible restorative. Dental Materials What Goes Where Class V Restorations.
From www.clarencetam.co.nz
Absolute Isolation for Class V restorations Dental Materials What Goes Where Class V Restorations Successful class v restorations require strict adherence to proper adhesive protocols, material opacity. Dental update , 01 nov 2015, 42 (9): This paper evaluates the pathogenesis of these lesions,. Find out the best preparation designs, materials, and techniques for. Practitioners are faced with a multitude of possible restorative materials and techniques. A large number of class v restorations are placed. Dental Materials What Goes Where Class V Restorations.