Brain Gyrus Labeled Mri . Specifically on the frontal cortex, we can. The anatomy of the brain is studied by means of axial, coronal and sagittal views. The superior frontal gyrus is the medial most gyrus of the frontal lobe's superolateral surface, running from the frontal pole anteriorly,. Explore our video tutorial, quizzes, articles and labeled diagrams on this topic. Brain mri with annotations of major structures. A review of brain magnetic resonance imaging (mri) is used as support. When looking at the outer or superolateral side of the brain, there are several important cerebral gyri. Mri is the preferred imaging technique to assess hippocampal anatomy and pathology. We shall also explore the anatomy of the 12 pairs of cranial nerves and anatomic variants without pathologic significance, relying mainly on. The main indications for tailored.
from radiologykey.com
The anatomy of the brain is studied by means of axial, coronal and sagittal views. Explore our video tutorial, quizzes, articles and labeled diagrams on this topic. When looking at the outer or superolateral side of the brain, there are several important cerebral gyri. The main indications for tailored. We shall also explore the anatomy of the 12 pairs of cranial nerves and anatomic variants without pathologic significance, relying mainly on. A review of brain magnetic resonance imaging (mri) is used as support. Mri is the preferred imaging technique to assess hippocampal anatomy and pathology. Specifically on the frontal cortex, we can. The superior frontal gyrus is the medial most gyrus of the frontal lobe's superolateral surface, running from the frontal pole anteriorly,. Brain mri with annotations of major structures.
Functional Brain Anatomy Radiology Key
Brain Gyrus Labeled Mri The anatomy of the brain is studied by means of axial, coronal and sagittal views. The superior frontal gyrus is the medial most gyrus of the frontal lobe's superolateral surface, running from the frontal pole anteriorly,. The main indications for tailored. Mri is the preferred imaging technique to assess hippocampal anatomy and pathology. Explore our video tutorial, quizzes, articles and labeled diagrams on this topic. Brain mri with annotations of major structures. The anatomy of the brain is studied by means of axial, coronal and sagittal views. A review of brain magnetic resonance imaging (mri) is used as support. We shall also explore the anatomy of the 12 pairs of cranial nerves and anatomic variants without pathologic significance, relying mainly on. Specifically on the frontal cortex, we can. When looking at the outer or superolateral side of the brain, there are several important cerebral gyri.
From www.stepwards.com
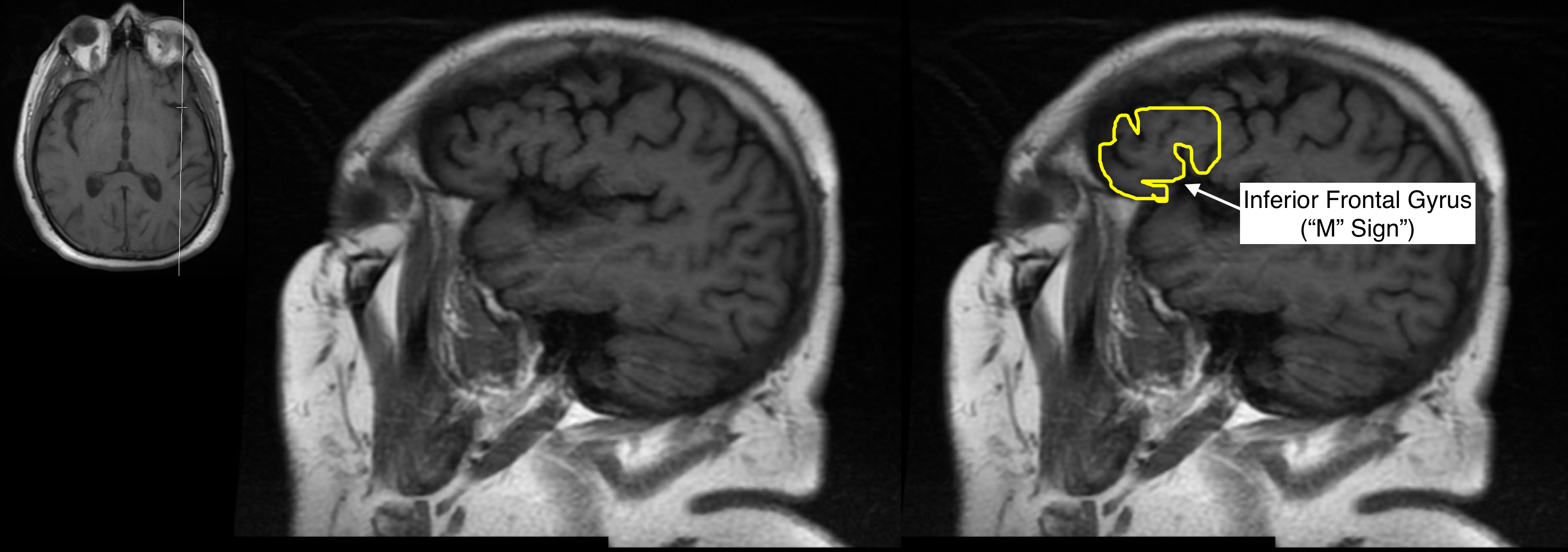
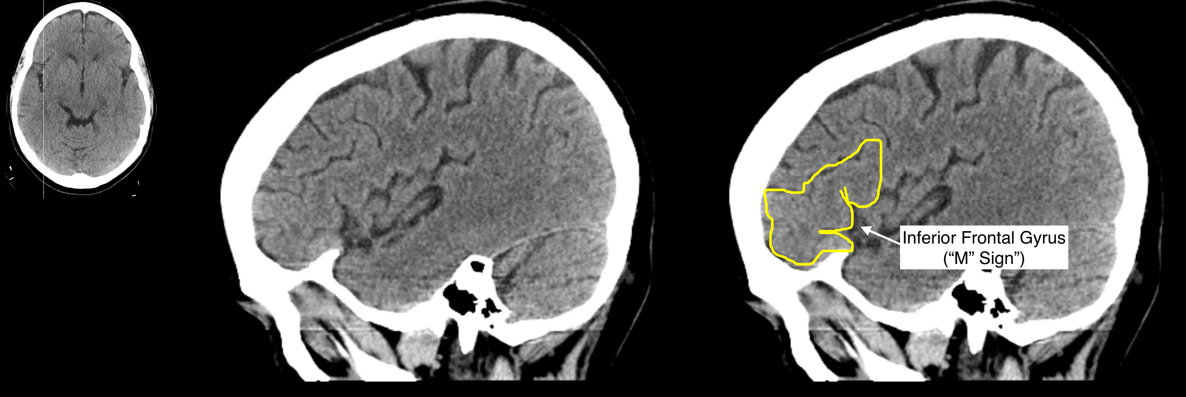
Radiological Anatomy Inferior Frontal Gyrus Stepwards Brain Gyrus Labeled Mri A review of brain magnetic resonance imaging (mri) is used as support. Brain mri with annotations of major structures. The anatomy of the brain is studied by means of axial, coronal and sagittal views. We shall also explore the anatomy of the 12 pairs of cranial nerves and anatomic variants without pathologic significance, relying mainly on. The main indications for. Brain Gyrus Labeled Mri.
From boundbobskryptis.blogspot.com
Anatomy Of Brain Mri Anatomical Charts & Posters Brain Gyrus Labeled Mri We shall also explore the anatomy of the 12 pairs of cranial nerves and anatomic variants without pathologic significance, relying mainly on. The main indications for tailored. Specifically on the frontal cortex, we can. A review of brain magnetic resonance imaging (mri) is used as support. Explore our video tutorial, quizzes, articles and labeled diagrams on this topic. The superior. Brain Gyrus Labeled Mri.
From www.stepwards.com
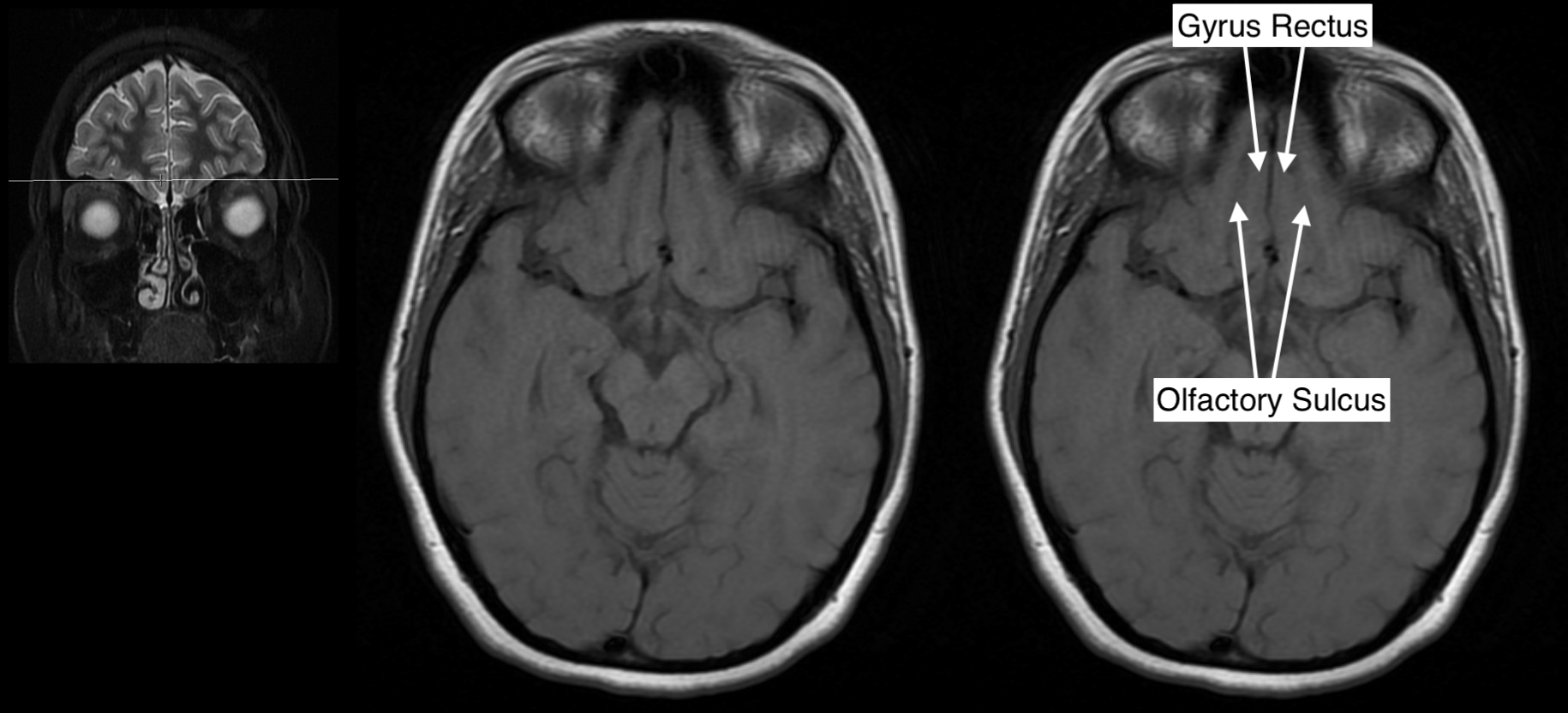
Radiological Anatomy Gyrus Rectus Stepwards Brain Gyrus Labeled Mri The main indications for tailored. We shall also explore the anatomy of the 12 pairs of cranial nerves and anatomic variants without pathologic significance, relying mainly on. Brain mri with annotations of major structures. The anatomy of the brain is studied by means of axial, coronal and sagittal views. A review of brain magnetic resonance imaging (mri) is used as. Brain Gyrus Labeled Mri.
From learningneurology.com
Approach to MRI brain Brain Gyrus Labeled Mri A review of brain magnetic resonance imaging (mri) is used as support. Brain mri with annotations of major structures. Specifically on the frontal cortex, we can. When looking at the outer or superolateral side of the brain, there are several important cerebral gyri. Explore our video tutorial, quizzes, articles and labeled diagrams on this topic. Mri is the preferred imaging. Brain Gyrus Labeled Mri.
From www.sciencephoto.com
Labelled MRI of Normal Brain Stock Image C017/4418 Science Photo Brain Gyrus Labeled Mri Specifically on the frontal cortex, we can. The anatomy of the brain is studied by means of axial, coronal and sagittal views. When looking at the outer or superolateral side of the brain, there are several important cerebral gyri. The superior frontal gyrus is the medial most gyrus of the frontal lobe's superolateral surface, running from the frontal pole anteriorly,.. Brain Gyrus Labeled Mri.
From www.imaios.com
Crosssectional anatomy of the brain normal anatomy eAnatomy Brain Gyrus Labeled Mri Brain mri with annotations of major structures. We shall also explore the anatomy of the 12 pairs of cranial nerves and anatomic variants without pathologic significance, relying mainly on. The main indications for tailored. Mri is the preferred imaging technique to assess hippocampal anatomy and pathology. When looking at the outer or superolateral side of the brain, there are several. Brain Gyrus Labeled Mri.
From hpy555medim.blogspot.com
RESONANCE IMAGING OF BRAIN MRI BRAIN Brain Gyrus Labeled Mri Mri is the preferred imaging technique to assess hippocampal anatomy and pathology. When looking at the outer or superolateral side of the brain, there are several important cerebral gyri. Specifically on the frontal cortex, we can. We shall also explore the anatomy of the 12 pairs of cranial nerves and anatomic variants without pathologic significance, relying mainly on. The superior. Brain Gyrus Labeled Mri.
From www.pinterest.com.mx
Brain anatomy, Mri brain, Radiology Brain Gyrus Labeled Mri The superior frontal gyrus is the medial most gyrus of the frontal lobe's superolateral surface, running from the frontal pole anteriorly,. Mri is the preferred imaging technique to assess hippocampal anatomy and pathology. The anatomy of the brain is studied by means of axial, coronal and sagittal views. When looking at the outer or superolateral side of the brain, there. Brain Gyrus Labeled Mri.
From www.wikiwand.com
Inferior frontal gyrus Wikiwand Brain Gyrus Labeled Mri We shall also explore the anatomy of the 12 pairs of cranial nerves and anatomic variants without pathologic significance, relying mainly on. The superior frontal gyrus is the medial most gyrus of the frontal lobe's superolateral surface, running from the frontal pole anteriorly,. The anatomy of the brain is studied by means of axial, coronal and sagittal views. A review. Brain Gyrus Labeled Mri.
From www.researchgate.net
MRI brain showed an acute left precentral gyrus infarct. Download Brain Gyrus Labeled Mri Specifically on the frontal cortex, we can. The main indications for tailored. Brain mri with annotations of major structures. When looking at the outer or superolateral side of the brain, there are several important cerebral gyri. Mri is the preferred imaging technique to assess hippocampal anatomy and pathology. A review of brain magnetic resonance imaging (mri) is used as support.. Brain Gyrus Labeled Mri.
From ar.inspiredpencil.com
Superior Frontal Gyrus Mri Brain Gyrus Labeled Mri Mri is the preferred imaging technique to assess hippocampal anatomy and pathology. Brain mri with annotations of major structures. Explore our video tutorial, quizzes, articles and labeled diagrams on this topic. The superior frontal gyrus is the medial most gyrus of the frontal lobe's superolateral surface, running from the frontal pole anteriorly,. A review of brain magnetic resonance imaging (mri). Brain Gyrus Labeled Mri.
From www.stepwards.com
Radiological Anatomy Inferior Frontal Gyrus Stepwards Brain Gyrus Labeled Mri Brain mri with annotations of major structures. The main indications for tailored. Specifically on the frontal cortex, we can. The anatomy of the brain is studied by means of axial, coronal and sagittal views. We shall also explore the anatomy of the 12 pairs of cranial nerves and anatomic variants without pathologic significance, relying mainly on. A review of brain. Brain Gyrus Labeled Mri.
From www.learningneurology.com
Approach to MRI brain Brain Gyrus Labeled Mri Mri is the preferred imaging technique to assess hippocampal anatomy and pathology. The main indications for tailored. A review of brain magnetic resonance imaging (mri) is used as support. The superior frontal gyrus is the medial most gyrus of the frontal lobe's superolateral surface, running from the frontal pole anteriorly,. When looking at the outer or superolateral side of the. Brain Gyrus Labeled Mri.
From ar.inspiredpencil.com
Superior Temporal Gyrus Mri Brain Gyrus Labeled Mri Specifically on the frontal cortex, we can. When looking at the outer or superolateral side of the brain, there are several important cerebral gyri. We shall also explore the anatomy of the 12 pairs of cranial nerves and anatomic variants without pathologic significance, relying mainly on. A review of brain magnetic resonance imaging (mri) is used as support. Explore our. Brain Gyrus Labeled Mri.
From anatomytool.org
Radiopaedia Drawing Gyri and sulci superior surface of brain Brain Gyrus Labeled Mri Specifically on the frontal cortex, we can. Explore our video tutorial, quizzes, articles and labeled diagrams on this topic. The superior frontal gyrus is the medial most gyrus of the frontal lobe's superolateral surface, running from the frontal pole anteriorly,. A review of brain magnetic resonance imaging (mri) is used as support. We shall also explore the anatomy of the. Brain Gyrus Labeled Mri.
From radiologykey.com
Normal Anatomy Radiology Key Brain Gyrus Labeled Mri The superior frontal gyrus is the medial most gyrus of the frontal lobe's superolateral surface, running from the frontal pole anteriorly,. The main indications for tailored. Mri is the preferred imaging technique to assess hippocampal anatomy and pathology. Explore our video tutorial, quizzes, articles and labeled diagrams on this topic. A review of brain magnetic resonance imaging (mri) is used. Brain Gyrus Labeled Mri.
From www.youtube.com
MRI Brain Gyrus Anatomy YouTube Brain Gyrus Labeled Mri The anatomy of the brain is studied by means of axial, coronal and sagittal views. Brain mri with annotations of major structures. Specifically on the frontal cortex, we can. Mri is the preferred imaging technique to assess hippocampal anatomy and pathology. When looking at the outer or superolateral side of the brain, there are several important cerebral gyri. A review. Brain Gyrus Labeled Mri.
From ar.inspiredpencil.com
Superior Frontal Gyrus Mri Brain Gyrus Labeled Mri Brain mri with annotations of major structures. Mri is the preferred imaging technique to assess hippocampal anatomy and pathology. Specifically on the frontal cortex, we can. We shall also explore the anatomy of the 12 pairs of cranial nerves and anatomic variants without pathologic significance, relying mainly on. The main indications for tailored. A review of brain magnetic resonance imaging. Brain Gyrus Labeled Mri.
From www.stepwards.com
Radiological Anatomy Gyrus Rectus Stepwards Brain Gyrus Labeled Mri Explore our video tutorial, quizzes, articles and labeled diagrams on this topic. The superior frontal gyrus is the medial most gyrus of the frontal lobe's superolateral surface, running from the frontal pole anteriorly,. The main indications for tailored. Brain mri with annotations of major structures. A review of brain magnetic resonance imaging (mri) is used as support. Mri is the. Brain Gyrus Labeled Mri.
From www.researchgate.net
Axial T2weighted MRI showing the middle frontal gyrus (MFG), superior Brain Gyrus Labeled Mri Mri is the preferred imaging technique to assess hippocampal anatomy and pathology. The anatomy of the brain is studied by means of axial, coronal and sagittal views. A review of brain magnetic resonance imaging (mri) is used as support. We shall also explore the anatomy of the 12 pairs of cranial nerves and anatomic variants without pathologic significance, relying mainly. Brain Gyrus Labeled Mri.
From www.pinterest.com
normal mri top brain Google Search Brain anatomy, Radiology imaging Brain Gyrus Labeled Mri The superior frontal gyrus is the medial most gyrus of the frontal lobe's superolateral surface, running from the frontal pole anteriorly,. Mri is the preferred imaging technique to assess hippocampal anatomy and pathology. The main indications for tailored. Brain mri with annotations of major structures. The anatomy of the brain is studied by means of axial, coronal and sagittal views.. Brain Gyrus Labeled Mri.
From www.sciencephoto.com
Labelled MRI of Normal Brain Stock Image C017/4419 Science Photo Brain Gyrus Labeled Mri The superior frontal gyrus is the medial most gyrus of the frontal lobe's superolateral surface, running from the frontal pole anteriorly,. When looking at the outer or superolateral side of the brain, there are several important cerebral gyri. Specifically on the frontal cortex, we can. Explore our video tutorial, quizzes, articles and labeled diagrams on this topic. We shall also. Brain Gyrus Labeled Mri.
From www.stepwards.com
Radiological Anatomy Inferior Frontal Gyrus Stepwards Brain Gyrus Labeled Mri The superior frontal gyrus is the medial most gyrus of the frontal lobe's superolateral surface, running from the frontal pole anteriorly,. Explore our video tutorial, quizzes, articles and labeled diagrams on this topic. Specifically on the frontal cortex, we can. Mri is the preferred imaging technique to assess hippocampal anatomy and pathology. The anatomy of the brain is studied by. Brain Gyrus Labeled Mri.
From learningneurology.com
Approach to MRI brain Brain Gyrus Labeled Mri Explore our video tutorial, quizzes, articles and labeled diagrams on this topic. Mri is the preferred imaging technique to assess hippocampal anatomy and pathology. When looking at the outer or superolateral side of the brain, there are several important cerebral gyri. The main indications for tailored. The anatomy of the brain is studied by means of axial, coronal and sagittal. Brain Gyrus Labeled Mri.
From www.pinterest.com
Well labelled MRI of the brain Medical school studying, Radiology Brain Gyrus Labeled Mri Explore our video tutorial, quizzes, articles and labeled diagrams on this topic. The anatomy of the brain is studied by means of axial, coronal and sagittal views. The superior frontal gyrus is the medial most gyrus of the frontal lobe's superolateral surface, running from the frontal pole anteriorly,. Brain mri with annotations of major structures. Mri is the preferred imaging. Brain Gyrus Labeled Mri.
From fineartamerica.com
Labeled Mri Of Normal Brain Photograph by Living Art Enterprises Brain Gyrus Labeled Mri Brain mri with annotations of major structures. A review of brain magnetic resonance imaging (mri) is used as support. The main indications for tailored. The anatomy of the brain is studied by means of axial, coronal and sagittal views. When looking at the outer or superolateral side of the brain, there are several important cerebral gyri. Explore our video tutorial,. Brain Gyrus Labeled Mri.
From radiologykey.com
Functional Brain Anatomy Radiology Key Brain Gyrus Labeled Mri Specifically on the frontal cortex, we can. A review of brain magnetic resonance imaging (mri) is used as support. The anatomy of the brain is studied by means of axial, coronal and sagittal views. Explore our video tutorial, quizzes, articles and labeled diagrams on this topic. The main indications for tailored. Brain mri with annotations of major structures. The superior. Brain Gyrus Labeled Mri.
From mavink.com
Mri Brain Anatomy Labeled Brain Gyrus Labeled Mri The superior frontal gyrus is the medial most gyrus of the frontal lobe's superolateral surface, running from the frontal pole anteriorly,. Specifically on the frontal cortex, we can. The anatomy of the brain is studied by means of axial, coronal and sagittal views. When looking at the outer or superolateral side of the brain, there are several important cerebral gyri.. Brain Gyrus Labeled Mri.
From exyfpdugh.blob.core.windows.net
Mri Brain Axial Labelled at Jason Stewart blog Brain Gyrus Labeled Mri A review of brain magnetic resonance imaging (mri) is used as support. We shall also explore the anatomy of the 12 pairs of cranial nerves and anatomic variants without pathologic significance, relying mainly on. Mri is the preferred imaging technique to assess hippocampal anatomy and pathology. The superior frontal gyrus is the medial most gyrus of the frontal lobe's superolateral. Brain Gyrus Labeled Mri.
From neuro.psychiatryonline.org
Traumatic Brain Injury and Atrophy of the Cingulate Gyrus The Journal Brain Gyrus Labeled Mri Specifically on the frontal cortex, we can. The main indications for tailored. The anatomy of the brain is studied by means of axial, coronal and sagittal views. Brain mri with annotations of major structures. When looking at the outer or superolateral side of the brain, there are several important cerebral gyri. A review of brain magnetic resonance imaging (mri) is. Brain Gyrus Labeled Mri.
From exyfpdugh.blob.core.windows.net
Mri Brain Axial Labelled at Jason Stewart blog Brain Gyrus Labeled Mri When looking at the outer or superolateral side of the brain, there are several important cerebral gyri. The superior frontal gyrus is the medial most gyrus of the frontal lobe's superolateral surface, running from the frontal pole anteriorly,. The anatomy of the brain is studied by means of axial, coronal and sagittal views. Explore our video tutorial, quizzes, articles and. Brain Gyrus Labeled Mri.
From www.pinterest.com
Neuroanatomy Radiology Reference Article Brain Gyrus Labeled Mri The superior frontal gyrus is the medial most gyrus of the frontal lobe's superolateral surface, running from the frontal pole anteriorly,. Brain mri with annotations of major structures. A review of brain magnetic resonance imaging (mri) is used as support. Explore our video tutorial, quizzes, articles and labeled diagrams on this topic. The anatomy of the brain is studied by. Brain Gyrus Labeled Mri.
From www.pinterest.com
brain anatomy MRI coronal brain anatomy free MRI cross sectional Brain Gyrus Labeled Mri The superior frontal gyrus is the medial most gyrus of the frontal lobe's superolateral surface, running from the frontal pole anteriorly,. Explore our video tutorial, quizzes, articles and labeled diagrams on this topic. The main indications for tailored. Specifically on the frontal cortex, we can. We shall also explore the anatomy of the 12 pairs of cranial nerves and anatomic. Brain Gyrus Labeled Mri.
From radiopaedia.org
Brain lobes annotated MRI Image Brain Gyrus Labeled Mri We shall also explore the anatomy of the 12 pairs of cranial nerves and anatomic variants without pathologic significance, relying mainly on. A review of brain magnetic resonance imaging (mri) is used as support. Brain mri with annotations of major structures. The superior frontal gyrus is the medial most gyrus of the frontal lobe's superolateral surface, running from the frontal. Brain Gyrus Labeled Mri.
From ar.inspiredpencil.com
Superior Frontal Gyrus Mri Brain Gyrus Labeled Mri Specifically on the frontal cortex, we can. When looking at the outer or superolateral side of the brain, there are several important cerebral gyri. Explore our video tutorial, quizzes, articles and labeled diagrams on this topic. The main indications for tailored. A review of brain magnetic resonance imaging (mri) is used as support. The anatomy of the brain is studied. Brain Gyrus Labeled Mri.