Radiology Leadless Pacemaker . There are two major types of cardiac conduction devices: Chest radiographs showing pacemakers and implantable cardioverter defibrillators contain identifying and clinically relevant information, such as mri compatibility and possible malfunction. Pacemakers and automatic implantable cardioverter. Accurate and timely reporting of these features provides important information that can improve patient care. There are two types of cardiac. Leadless cardiac pacemakers are a type of cardiac conduction device. The leadless pacemaker (lp) is a novel alternative consisting of a capsule‐like device containing a generator and electrode system that is implanted into the right. Leadless cardiac devices including the cardiomicroelectromechanical (cardiomems) device, implantable loop recorder, and right.
from www.semanticscholar.org
The leadless pacemaker (lp) is a novel alternative consisting of a capsule‐like device containing a generator and electrode system that is implanted into the right. Chest radiographs showing pacemakers and implantable cardioverter defibrillators contain identifying and clinically relevant information, such as mri compatibility and possible malfunction. There are two major types of cardiac conduction devices: There are two types of cardiac. Pacemakers and automatic implantable cardioverter. Accurate and timely reporting of these features provides important information that can improve patient care. Leadless cardiac devices including the cardiomicroelectromechanical (cardiomems) device, implantable loop recorder, and right. Leadless cardiac pacemakers are a type of cardiac conduction device.
Figure 1 from The Leadless Cardiac Pacemaker Conductive Communication. Semantic Scholar
Radiology Leadless Pacemaker There are two types of cardiac. The leadless pacemaker (lp) is a novel alternative consisting of a capsule‐like device containing a generator and electrode system that is implanted into the right. There are two types of cardiac. Accurate and timely reporting of these features provides important information that can improve patient care. There are two major types of cardiac conduction devices: Leadless cardiac pacemakers are a type of cardiac conduction device. Chest radiographs showing pacemakers and implantable cardioverter defibrillators contain identifying and clinically relevant information, such as mri compatibility and possible malfunction. Leadless cardiac devices including the cardiomicroelectromechanical (cardiomems) device, implantable loop recorder, and right. Pacemakers and automatic implantable cardioverter.
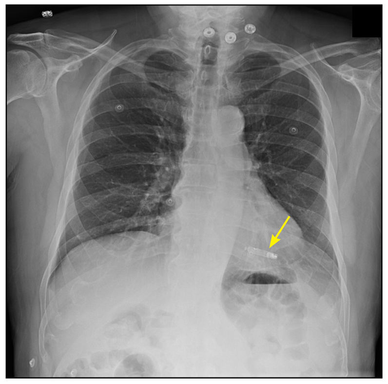
From radiopaedia.org
Leadless cardiac pacemaker Image Radiology Leadless Pacemaker Leadless cardiac pacemakers are a type of cardiac conduction device. Chest radiographs showing pacemakers and implantable cardioverter defibrillators contain identifying and clinically relevant information, such as mri compatibility and possible malfunction. Leadless cardiac devices including the cardiomicroelectromechanical (cardiomems) device, implantable loop recorder, and right. There are two major types of cardiac conduction devices: Pacemakers and automatic implantable cardioverter. Accurate and. Radiology Leadless Pacemaker.
From drsvenkatesan.com
dual chamber wirless lead less pacemaker Dr.S.Venkatesan MD Radiology Leadless Pacemaker Leadless cardiac pacemakers are a type of cardiac conduction device. Pacemakers and automatic implantable cardioverter. There are two types of cardiac. Leadless cardiac devices including the cardiomicroelectromechanical (cardiomems) device, implantable loop recorder, and right. Chest radiographs showing pacemakers and implantable cardioverter defibrillators contain identifying and clinically relevant information, such as mri compatibility and possible malfunction. Accurate and timely reporting of. Radiology Leadless Pacemaker.
From mavink.com
Leadless Pacemaker Chest X Ray Radiology Leadless Pacemaker Chest radiographs showing pacemakers and implantable cardioverter defibrillators contain identifying and clinically relevant information, such as mri compatibility and possible malfunction. There are two major types of cardiac conduction devices: Pacemakers and automatic implantable cardioverter. The leadless pacemaker (lp) is a novel alternative consisting of a capsule‐like device containing a generator and electrode system that is implanted into the right.. Radiology Leadless Pacemaker.
From link.springer.com
The modular cardiac rhythm management system the EMPOWER leadless pacemaker and the EMBLEM Radiology Leadless Pacemaker Leadless cardiac devices including the cardiomicroelectromechanical (cardiomems) device, implantable loop recorder, and right. Pacemakers and automatic implantable cardioverter. Leadless cardiac pacemakers are a type of cardiac conduction device. There are two types of cardiac. Accurate and timely reporting of these features provides important information that can improve patient care. There are two major types of cardiac conduction devices: The leadless. Radiology Leadless Pacemaker.
From www.cardiovascular.abbott
AVEIR Single and Dual Chamber Leadless Pacemaker Systems Abbott Radiology Leadless Pacemaker There are two types of cardiac. Pacemakers and automatic implantable cardioverter. Leadless cardiac pacemakers are a type of cardiac conduction device. Accurate and timely reporting of these features provides important information that can improve patient care. There are two major types of cardiac conduction devices: The leadless pacemaker (lp) is a novel alternative consisting of a capsule‐like device containing a. Radiology Leadless Pacemaker.
From mungfali.com
Leadless Pacemaker X Ray Radiology Leadless Pacemaker Leadless cardiac pacemakers are a type of cardiac conduction device. Chest radiographs showing pacemakers and implantable cardioverter defibrillators contain identifying and clinically relevant information, such as mri compatibility and possible malfunction. Pacemakers and automatic implantable cardioverter. Accurate and timely reporting of these features provides important information that can improve patient care. Leadless cardiac devices including the cardiomicroelectromechanical (cardiomems) device, implantable. Radiology Leadless Pacemaker.
From www.imrpress.com
Leadless pacemaker implantation in superobese patient Radiology Leadless Pacemaker Leadless cardiac pacemakers are a type of cardiac conduction device. Accurate and timely reporting of these features provides important information that can improve patient care. The leadless pacemaker (lp) is a novel alternative consisting of a capsule‐like device containing a generator and electrode system that is implanted into the right. There are two major types of cardiac conduction devices: There. Radiology Leadless Pacemaker.
From pixels.com
Leadless Pacemaker In Anterior Heart Photograph by Alfred Pasieka Radiology Leadless Pacemaker Chest radiographs showing pacemakers and implantable cardioverter defibrillators contain identifying and clinically relevant information, such as mri compatibility and possible malfunction. The leadless pacemaker (lp) is a novel alternative consisting of a capsule‐like device containing a generator and electrode system that is implanted into the right. There are two types of cardiac. Leadless cardiac pacemakers are a type of cardiac. Radiology Leadless Pacemaker.
From www.globalradiologycme.com
Micra Intracardiac Pacemaker Radiology Leadless Pacemaker The leadless pacemaker (lp) is a novel alternative consisting of a capsule‐like device containing a generator and electrode system that is implanted into the right. There are two major types of cardiac conduction devices: There are two types of cardiac. Accurate and timely reporting of these features provides important information that can improve patient care. Leadless cardiac devices including the. Radiology Leadless Pacemaker.
From www.sciencephoto.com
Leadless pacemaker in anterior heart Stock Image C025/5235 Science Photo Library Radiology Leadless Pacemaker The leadless pacemaker (lp) is a novel alternative consisting of a capsule‐like device containing a generator and electrode system that is implanted into the right. Leadless cardiac pacemakers are a type of cardiac conduction device. Accurate and timely reporting of these features provides important information that can improve patient care. There are two types of cardiac. Chest radiographs showing pacemakers. Radiology Leadless Pacemaker.
From www.nejm.org
Percutaneous Implantation of an Entirely Intracardiac Leadless Pacemaker NEJM Radiology Leadless Pacemaker Pacemakers and automatic implantable cardioverter. The leadless pacemaker (lp) is a novel alternative consisting of a capsule‐like device containing a generator and electrode system that is implanted into the right. There are two types of cardiac. There are two major types of cardiac conduction devices: Chest radiographs showing pacemakers and implantable cardioverter defibrillators contain identifying and clinically relevant information, such. Radiology Leadless Pacemaker.
From www.jacc.org
A Drifting Dislodged Leadless Pacemaker in the Bilateral Pulmonary Arteries JACC Case Reports Radiology Leadless Pacemaker There are two types of cardiac. Pacemakers and automatic implantable cardioverter. The leadless pacemaker (lp) is a novel alternative consisting of a capsule‐like device containing a generator and electrode system that is implanted into the right. Leadless cardiac pacemakers are a type of cardiac conduction device. Accurate and timely reporting of these features provides important information that can improve patient. Radiology Leadless Pacemaker.
From mavink.com
Leadless Pacemaker Chest X Ray Radiology Leadless Pacemaker Leadless cardiac pacemakers are a type of cardiac conduction device. The leadless pacemaker (lp) is a novel alternative consisting of a capsule‐like device containing a generator and electrode system that is implanted into the right. Chest radiographs showing pacemakers and implantable cardioverter defibrillators contain identifying and clinically relevant information, such as mri compatibility and possible malfunction. Leadless cardiac devices including. Radiology Leadless Pacemaker.
From www.researchgate.net
The Micra and Nanostim leadless pacemakers Leadless pacemaker therapy.... Download Scientific Radiology Leadless Pacemaker Leadless cardiac devices including the cardiomicroelectromechanical (cardiomems) device, implantable loop recorder, and right. Accurate and timely reporting of these features provides important information that can improve patient care. Pacemakers and automatic implantable cardioverter. There are two types of cardiac. Chest radiographs showing pacemakers and implantable cardioverter defibrillators contain identifying and clinically relevant information, such as mri compatibility and possible malfunction.. Radiology Leadless Pacemaker.
From bjcardio.co.uk
Pacing supplement Leadless pacing The British Journal of Cardiology Radiology Leadless Pacemaker There are two types of cardiac. Accurate and timely reporting of these features provides important information that can improve patient care. Leadless cardiac devices including the cardiomicroelectromechanical (cardiomems) device, implantable loop recorder, and right. Chest radiographs showing pacemakers and implantable cardioverter defibrillators contain identifying and clinically relevant information, such as mri compatibility and possible malfunction. Pacemakers and automatic implantable cardioverter.. Radiology Leadless Pacemaker.
From www.thecardiologyadvisor.com
Leadless Pacemakers "Lead" the Way to Fewer Complications in Cardiac Arrhythmias The Radiology Leadless Pacemaker Leadless cardiac pacemakers are a type of cardiac conduction device. There are two types of cardiac. The leadless pacemaker (lp) is a novel alternative consisting of a capsule‐like device containing a generator and electrode system that is implanted into the right. Pacemakers and automatic implantable cardioverter. Accurate and timely reporting of these features provides important information that can improve patient. Radiology Leadless Pacemaker.
From www.mayoclinic.org
Leadless pacing available for selected patients For Medical Professionals Mayo Clinic Radiology Leadless Pacemaker Leadless cardiac devices including the cardiomicroelectromechanical (cardiomems) device, implantable loop recorder, and right. Leadless cardiac pacemakers are a type of cardiac conduction device. Pacemakers and automatic implantable cardioverter. There are two major types of cardiac conduction devices: There are two types of cardiac. Accurate and timely reporting of these features provides important information that can improve patient care. Chest radiographs. Radiology Leadless Pacemaker.
From www.ccjm.org
Leadless cardiac pacing What primary care providers and nonEP cardiologists should know Radiology Leadless Pacemaker There are two types of cardiac. There are two major types of cardiac conduction devices: The leadless pacemaker (lp) is a novel alternative consisting of a capsule‐like device containing a generator and electrode system that is implanted into the right. Leadless cardiac pacemakers are a type of cardiac conduction device. Chest radiographs showing pacemakers and implantable cardioverter defibrillators contain identifying. Radiology Leadless Pacemaker.
From mungfali.com
Leadless Pacemaker CXR Radiology Leadless Pacemaker Accurate and timely reporting of these features provides important information that can improve patient care. Leadless cardiac devices including the cardiomicroelectromechanical (cardiomems) device, implantable loop recorder, and right. There are two types of cardiac. Pacemakers and automatic implantable cardioverter. There are two major types of cardiac conduction devices: Chest radiographs showing pacemakers and implantable cardioverter defibrillators contain identifying and clinically. Radiology Leadless Pacemaker.
From microportacademycrm.com
leadless pacemaker MicroPort Academy Radiology Leadless Pacemaker Pacemakers and automatic implantable cardioverter. Leadless cardiac pacemakers are a type of cardiac conduction device. The leadless pacemaker (lp) is a novel alternative consisting of a capsule‐like device containing a generator and electrode system that is implanted into the right. There are two major types of cardiac conduction devices: Leadless cardiac devices including the cardiomicroelectromechanical (cardiomems) device, implantable loop recorder,. Radiology Leadless Pacemaker.
From www.youtube.com
EMPOWER™ Leadless Pacemaker Implant Procedure Fluoroscopy YouTube Radiology Leadless Pacemaker Accurate and timely reporting of these features provides important information that can improve patient care. Leadless cardiac pacemakers are a type of cardiac conduction device. Leadless cardiac devices including the cardiomicroelectromechanical (cardiomems) device, implantable loop recorder, and right. Pacemakers and automatic implantable cardioverter. There are two major types of cardiac conduction devices: There are two types of cardiac. The leadless. Radiology Leadless Pacemaker.
From advancesradonc.com
Management of a Radiation Therapy Patient With a Leadless Pacemaker Advances in Radiation Oncology Radiology Leadless Pacemaker Leadless cardiac pacemakers are a type of cardiac conduction device. Chest radiographs showing pacemakers and implantable cardioverter defibrillators contain identifying and clinically relevant information, such as mri compatibility and possible malfunction. There are two types of cardiac. The leadless pacemaker (lp) is a novel alternative consisting of a capsule‐like device containing a generator and electrode system that is implanted into. Radiology Leadless Pacemaker.
From www.semanticscholar.org
Figure 1 from The Leadless Cardiac Pacemaker Conductive Communication. Semantic Scholar Radiology Leadless Pacemaker Pacemakers and automatic implantable cardioverter. Accurate and timely reporting of these features provides important information that can improve patient care. Leadless cardiac devices including the cardiomicroelectromechanical (cardiomems) device, implantable loop recorder, and right. Leadless cardiac pacemakers are a type of cardiac conduction device. There are two major types of cardiac conduction devices: Chest radiographs showing pacemakers and implantable cardioverter defibrillators. Radiology Leadless Pacemaker.
From www.ajconline.org
Leadless Pacemaker Implant After Heart Transplant American Journal of Cardiology Radiology Leadless Pacemaker There are two types of cardiac. Chest radiographs showing pacemakers and implantable cardioverter defibrillators contain identifying and clinically relevant information, such as mri compatibility and possible malfunction. There are two major types of cardiac conduction devices: The leadless pacemaker (lp) is a novel alternative consisting of a capsule‐like device containing a generator and electrode system that is implanted into the. Radiology Leadless Pacemaker.
From www.oliversegal.com
The Medtronic Micra Leadless Pacemaker Dr Oliver Segal Radiology Leadless Pacemaker Pacemakers and automatic implantable cardioverter. There are two major types of cardiac conduction devices: Leadless cardiac devices including the cardiomicroelectromechanical (cardiomems) device, implantable loop recorder, and right. Leadless cardiac pacemakers are a type of cardiac conduction device. Accurate and timely reporting of these features provides important information that can improve patient care. There are two types of cardiac. The leadless. Radiology Leadless Pacemaker.
From www.researchgate.net
The St. Jude Medical Nanostim™ leadless pacemaker (reproduced with... Download Scientific Diagram Radiology Leadless Pacemaker Accurate and timely reporting of these features provides important information that can improve patient care. The leadless pacemaker (lp) is a novel alternative consisting of a capsule‐like device containing a generator and electrode system that is implanted into the right. Leadless cardiac devices including the cardiomicroelectromechanical (cardiomems) device, implantable loop recorder, and right. Leadless cardiac pacemakers are a type of. Radiology Leadless Pacemaker.
From www.researchgate.net
Fluoroscopic views of the leadless cardiac pacemaker (LP) retrieval... Download Scientific Diagram Radiology Leadless Pacemaker There are two major types of cardiac conduction devices: Leadless cardiac pacemakers are a type of cardiac conduction device. There are two types of cardiac. Pacemakers and automatic implantable cardioverter. The leadless pacemaker (lp) is a novel alternative consisting of a capsule‐like device containing a generator and electrode system that is implanted into the right. Chest radiographs showing pacemakers and. Radiology Leadless Pacemaker.
From epos.myesr.org
EPOS™ Radiology Leadless Pacemaker Leadless cardiac devices including the cardiomicroelectromechanical (cardiomems) device, implantable loop recorder, and right. The leadless pacemaker (lp) is a novel alternative consisting of a capsule‐like device containing a generator and electrode system that is implanted into the right. Chest radiographs showing pacemakers and implantable cardioverter defibrillators contain identifying and clinically relevant information, such as mri compatibility and possible malfunction. Leadless. Radiology Leadless Pacemaker.
From www.dexigner.com
Revolutionary Leadless Pacemaker From Cambridge Consultants Radiology Leadless Pacemaker Leadless cardiac pacemakers are a type of cardiac conduction device. There are two types of cardiac. Accurate and timely reporting of these features provides important information that can improve patient care. There are two major types of cardiac conduction devices: Chest radiographs showing pacemakers and implantable cardioverter defibrillators contain identifying and clinically relevant information, such as mri compatibility and possible. Radiology Leadless Pacemaker.
From www.researchgate.net
The implantation of the leadless pacemaker A Right ventriculography in... Download Scientific Radiology Leadless Pacemaker The leadless pacemaker (lp) is a novel alternative consisting of a capsule‐like device containing a generator and electrode system that is implanted into the right. Chest radiographs showing pacemakers and implantable cardioverter defibrillators contain identifying and clinically relevant information, such as mri compatibility and possible malfunction. Leadless cardiac pacemakers are a type of cardiac conduction device. Pacemakers and automatic implantable. Radiology Leadless Pacemaker.
From lungs.thecommonvein.net
Lines and Tubes Hardware in the Chest Lungs Radiology Leadless Pacemaker Accurate and timely reporting of these features provides important information that can improve patient care. Chest radiographs showing pacemakers and implantable cardioverter defibrillators contain identifying and clinically relevant information, such as mri compatibility and possible malfunction. Leadless cardiac devices including the cardiomicroelectromechanical (cardiomems) device, implantable loop recorder, and right. The leadless pacemaker (lp) is a novel alternative consisting of a. Radiology Leadless Pacemaker.
From www.researchgate.net
Leadless transcatheter pacemaker position on chest Xray. (A) Case 1... Download Scientific Radiology Leadless Pacemaker Chest radiographs showing pacemakers and implantable cardioverter defibrillators contain identifying and clinically relevant information, such as mri compatibility and possible malfunction. Accurate and timely reporting of these features provides important information that can improve patient care. Leadless cardiac pacemakers are a type of cardiac conduction device. Leadless cardiac devices including the cardiomicroelectromechanical (cardiomems) device, implantable loop recorder, and right. Pacemakers. Radiology Leadless Pacemaker.
From www.massdevice.com
Data backs Abbott Aveir dualchamber leadless pacemaker Radiology Leadless Pacemaker Leadless cardiac pacemakers are a type of cardiac conduction device. There are two types of cardiac. The leadless pacemaker (lp) is a novel alternative consisting of a capsule‐like device containing a generator and electrode system that is implanted into the right. Pacemakers and automatic implantable cardioverter. Accurate and timely reporting of these features provides important information that can improve patient. Radiology Leadless Pacemaker.
From www.scielo.br
SciELO Brasil Leadless Pacemaker a New Concept in Cardiac Pacing Leadless Pacemaker a New Radiology Leadless Pacemaker Leadless cardiac pacemakers are a type of cardiac conduction device. Accurate and timely reporting of these features provides important information that can improve patient care. The leadless pacemaker (lp) is a novel alternative consisting of a capsule‐like device containing a generator and electrode system that is implanted into the right. Leadless cardiac devices including the cardiomicroelectromechanical (cardiomems) device, implantable loop. Radiology Leadless Pacemaker.
From transformpeds.childrensmercy.org
Leadless Pacemaker Implant Procedure Available Radiology Leadless Pacemaker There are two types of cardiac. Leadless cardiac pacemakers are a type of cardiac conduction device. Pacemakers and automatic implantable cardioverter. Chest radiographs showing pacemakers and implantable cardioverter defibrillators contain identifying and clinically relevant information, such as mri compatibility and possible malfunction. Accurate and timely reporting of these features provides important information that can improve patient care. The leadless pacemaker. Radiology Leadless Pacemaker.