Neuroendocrine Cancer Breast . Breast tumors with neuroendocrine (ne) differentiation comprise an uncommon and heterogeneous group of tumors, including invasive. Primary neuroendocrine carcinoma of the breast (nebc) is a very rare occurrence accounting for less than 0.1% of all breast cancers. Breast carcinoma with neuroendocrine differentiation, also known as neuroendocrine breast carcinoma (nebc), includes a heterogeneous. This review discusses the current evidence and the future perspectives on diagnosis and treatment of neuroendocrine carcinoma of the. In this review, we discuss the current evidence and the future perspectives on diagnosis and treatment of neuroendocrine carcinoma of the. Breast carcinoma with neuroendocrine differentiation, also known as neuroendocrine breast carcinoma (nebc), includes a heterogeneous. Breast cancers with neuroendocrine (ne) differentiation are very heterogeneous, comprising broadly cancers that are. Neuroendocrine breast cancer (nebc) is a rare histotype of breast carcinoma that presents, in most cases, positive hormone receptors and.
from www.medscape.com
Breast tumors with neuroendocrine (ne) differentiation comprise an uncommon and heterogeneous group of tumors, including invasive. Neuroendocrine breast cancer (nebc) is a rare histotype of breast carcinoma that presents, in most cases, positive hormone receptors and. Breast cancers with neuroendocrine (ne) differentiation are very heterogeneous, comprising broadly cancers that are. Breast carcinoma with neuroendocrine differentiation, also known as neuroendocrine breast carcinoma (nebc), includes a heterogeneous. Breast carcinoma with neuroendocrine differentiation, also known as neuroendocrine breast carcinoma (nebc), includes a heterogeneous. This review discusses the current evidence and the future perspectives on diagnosis and treatment of neuroendocrine carcinoma of the. In this review, we discuss the current evidence and the future perspectives on diagnosis and treatment of neuroendocrine carcinoma of the. Primary neuroendocrine carcinoma of the breast (nebc) is a very rare occurrence accounting for less than 0.1% of all breast cancers.
Rare Neuroendocrine Breast Cancer Not So Unusual
Neuroendocrine Cancer Breast Neuroendocrine breast cancer (nebc) is a rare histotype of breast carcinoma that presents, in most cases, positive hormone receptors and. In this review, we discuss the current evidence and the future perspectives on diagnosis and treatment of neuroendocrine carcinoma of the. Breast cancers with neuroendocrine (ne) differentiation are very heterogeneous, comprising broadly cancers that are. Breast carcinoma with neuroendocrine differentiation, also known as neuroendocrine breast carcinoma (nebc), includes a heterogeneous. Neuroendocrine breast cancer (nebc) is a rare histotype of breast carcinoma that presents, in most cases, positive hormone receptors and. Breast carcinoma with neuroendocrine differentiation, also known as neuroendocrine breast carcinoma (nebc), includes a heterogeneous. Primary neuroendocrine carcinoma of the breast (nebc) is a very rare occurrence accounting for less than 0.1% of all breast cancers. This review discusses the current evidence and the future perspectives on diagnosis and treatment of neuroendocrine carcinoma of the. Breast tumors with neuroendocrine (ne) differentiation comprise an uncommon and heterogeneous group of tumors, including invasive.
From www.mdpi.com
JCM Free FullText Neuroendocrine Cancer of the Breast A Rare Entity Neuroendocrine Cancer Breast Primary neuroendocrine carcinoma of the breast (nebc) is a very rare occurrence accounting for less than 0.1% of all breast cancers. Breast carcinoma with neuroendocrine differentiation, also known as neuroendocrine breast carcinoma (nebc), includes a heterogeneous. Breast tumors with neuroendocrine (ne) differentiation comprise an uncommon and heterogeneous group of tumors, including invasive. Breast carcinoma with neuroendocrine differentiation, also known as. Neuroendocrine Cancer Breast.
From www.semanticscholar.org
Figure 2 from A Rare Breast Tumor Confused with Ductal Carcinoma in Neuroendocrine Cancer Breast Neuroendocrine breast cancer (nebc) is a rare histotype of breast carcinoma that presents, in most cases, positive hormone receptors and. Breast carcinoma with neuroendocrine differentiation, also known as neuroendocrine breast carcinoma (nebc), includes a heterogeneous. Breast cancers with neuroendocrine (ne) differentiation are very heterogeneous, comprising broadly cancers that are. This review discusses the current evidence and the future perspectives on. Neuroendocrine Cancer Breast.
From jcp.bmj.com
Small cell neuroendocrine carcinoma of the breast a report of three Neuroendocrine Cancer Breast This review discusses the current evidence and the future perspectives on diagnosis and treatment of neuroendocrine carcinoma of the. Primary neuroendocrine carcinoma of the breast (nebc) is a very rare occurrence accounting for less than 0.1% of all breast cancers. Neuroendocrine breast cancer (nebc) is a rare histotype of breast carcinoma that presents, in most cases, positive hormone receptors and.. Neuroendocrine Cancer Breast.
From www.pathologyoutlines.com
Pathology Outlines Neuroendocrine tumor Neuroendocrine Cancer Breast Breast cancers with neuroendocrine (ne) differentiation are very heterogeneous, comprising broadly cancers that are. Breast carcinoma with neuroendocrine differentiation, also known as neuroendocrine breast carcinoma (nebc), includes a heterogeneous. Breast tumors with neuroendocrine (ne) differentiation comprise an uncommon and heterogeneous group of tumors, including invasive. This review discusses the current evidence and the future perspectives on diagnosis and treatment of. Neuroendocrine Cancer Breast.
From www.researchgate.net
a Low power view of small cell neuroendocrine carcinoma breast in H and Neuroendocrine Cancer Breast Breast tumors with neuroendocrine (ne) differentiation comprise an uncommon and heterogeneous group of tumors, including invasive. This review discusses the current evidence and the future perspectives on diagnosis and treatment of neuroendocrine carcinoma of the. In this review, we discuss the current evidence and the future perspectives on diagnosis and treatment of neuroendocrine carcinoma of the. Primary neuroendocrine carcinoma of. Neuroendocrine Cancer Breast.
From casereports.bmj.com
Neuroendocrine breast carcinoma metastasis to the brain BMJ Case Reports Neuroendocrine Cancer Breast This review discusses the current evidence and the future perspectives on diagnosis and treatment of neuroendocrine carcinoma of the. Breast carcinoma with neuroendocrine differentiation, also known as neuroendocrine breast carcinoma (nebc), includes a heterogeneous. Breast tumors with neuroendocrine (ne) differentiation comprise an uncommon and heterogeneous group of tumors, including invasive. Breast carcinoma with neuroendocrine differentiation, also known as neuroendocrine breast. Neuroendocrine Cancer Breast.
From www.frontiersin.org
Frontiers Metastatic Orbital Tumor From Breast Ductal Carcinoma With Neuroendocrine Cancer Breast Breast cancers with neuroendocrine (ne) differentiation are very heterogeneous, comprising broadly cancers that are. This review discusses the current evidence and the future perspectives on diagnosis and treatment of neuroendocrine carcinoma of the. Breast carcinoma with neuroendocrine differentiation, also known as neuroendocrine breast carcinoma (nebc), includes a heterogeneous. Neuroendocrine breast cancer (nebc) is a rare histotype of breast carcinoma that. Neuroendocrine Cancer Breast.
From www.dovemed.com
Primary Large Cell Neuroendocrine Carcinoma of Breast Neuroendocrine Cancer Breast This review discusses the current evidence and the future perspectives on diagnosis and treatment of neuroendocrine carcinoma of the. Breast cancers with neuroendocrine (ne) differentiation are very heterogeneous, comprising broadly cancers that are. Breast carcinoma with neuroendocrine differentiation, also known as neuroendocrine breast carcinoma (nebc), includes a heterogeneous. Neuroendocrine breast cancer (nebc) is a rare histotype of breast carcinoma that. Neuroendocrine Cancer Breast.
From basicmedicalkey.com
Neuroendocrine/Small Cell Carcinoma Basicmedical Key Neuroendocrine Cancer Breast Primary neuroendocrine carcinoma of the breast (nebc) is a very rare occurrence accounting for less than 0.1% of all breast cancers. Breast carcinoma with neuroendocrine differentiation, also known as neuroendocrine breast carcinoma (nebc), includes a heterogeneous. Breast carcinoma with neuroendocrine differentiation, also known as neuroendocrine breast carcinoma (nebc), includes a heterogeneous. This review discusses the current evidence and the future. Neuroendocrine Cancer Breast.
From www.researchgate.net
(PDF) Primary Neuroendocrine Carcinoma of the Breast A Case Report Neuroendocrine Cancer Breast Neuroendocrine breast cancer (nebc) is a rare histotype of breast carcinoma that presents, in most cases, positive hormone receptors and. Breast carcinoma with neuroendocrine differentiation, also known as neuroendocrine breast carcinoma (nebc), includes a heterogeneous. Breast cancers with neuroendocrine (ne) differentiation are very heterogeneous, comprising broadly cancers that are. Breast tumors with neuroendocrine (ne) differentiation comprise an uncommon and heterogeneous. Neuroendocrine Cancer Breast.
From jcp.bmj.com
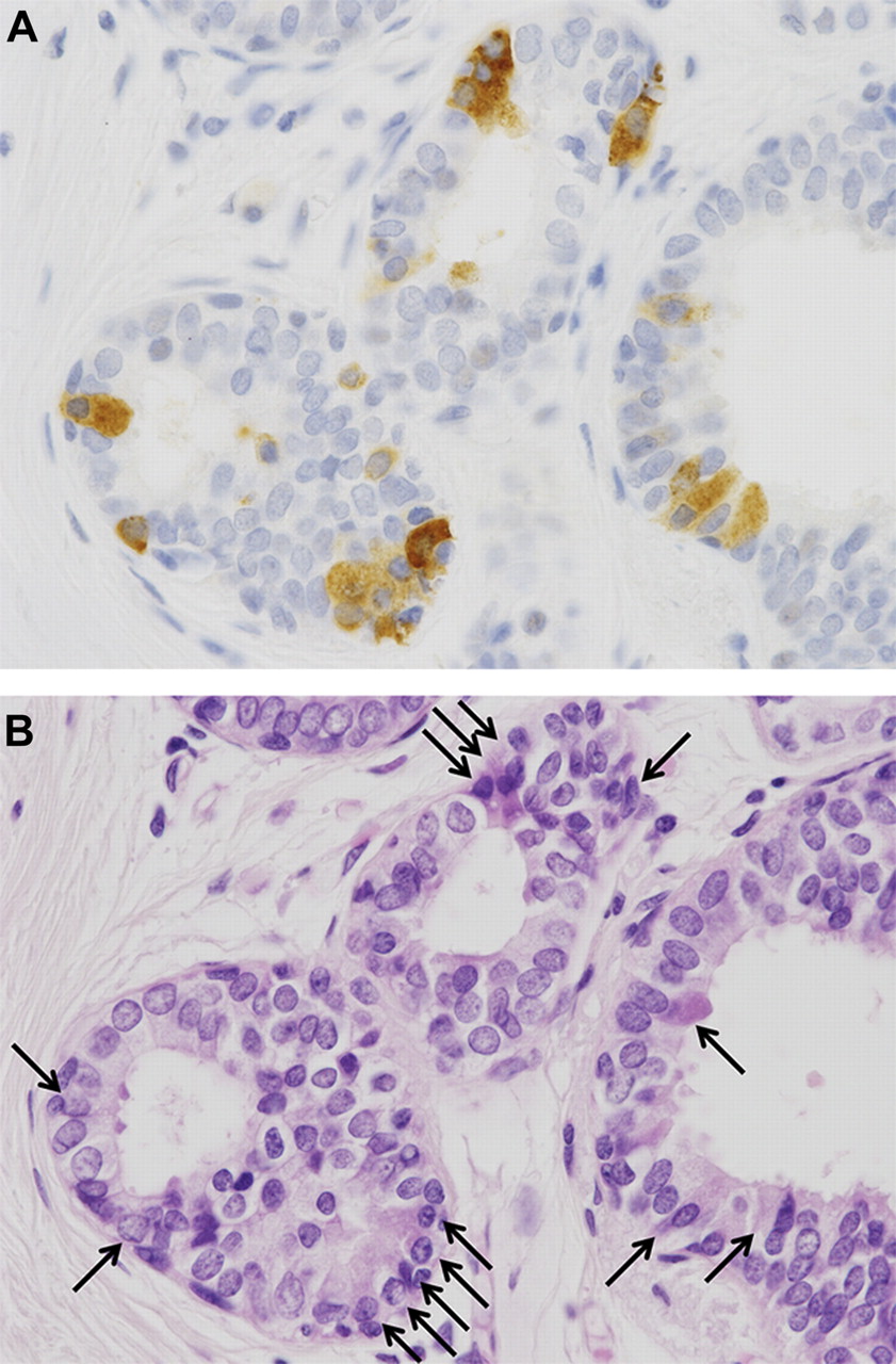
Neuroendocrine cells associated with neuroendocrine carcinoma of the Neuroendocrine Cancer Breast Breast tumors with neuroendocrine (ne) differentiation comprise an uncommon and heterogeneous group of tumors, including invasive. Breast carcinoma with neuroendocrine differentiation, also known as neuroendocrine breast carcinoma (nebc), includes a heterogeneous. Breast cancers with neuroendocrine (ne) differentiation are very heterogeneous, comprising broadly cancers that are. This review discusses the current evidence and the future perspectives on diagnosis and treatment of. Neuroendocrine Cancer Breast.
From www.researchgate.net
(PDF) Invasive neuroendocrine carcinoma of the breast Neuroendocrine Cancer Breast Primary neuroendocrine carcinoma of the breast (nebc) is a very rare occurrence accounting for less than 0.1% of all breast cancers. Breast tumors with neuroendocrine (ne) differentiation comprise an uncommon and heterogeneous group of tumors, including invasive. Breast cancers with neuroendocrine (ne) differentiation are very heterogeneous, comprising broadly cancers that are. Breast carcinoma with neuroendocrine differentiation, also known as neuroendocrine. Neuroendocrine Cancer Breast.
From www.researchgate.net
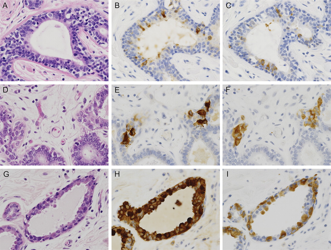
Neuroendocrine tumor cells in the breast. HematoxylinEosin staining Neuroendocrine Cancer Breast In this review, we discuss the current evidence and the future perspectives on diagnosis and treatment of neuroendocrine carcinoma of the. Breast carcinoma with neuroendocrine differentiation, also known as neuroendocrine breast carcinoma (nebc), includes a heterogeneous. Neuroendocrine breast cancer (nebc) is a rare histotype of breast carcinoma that presents, in most cases, positive hormone receptors and. This review discusses the. Neuroendocrine Cancer Breast.
From www.researchgate.net
e A 58yearold female with left primary neuroendocrine carcinoma of Neuroendocrine Cancer Breast Breast carcinoma with neuroendocrine differentiation, also known as neuroendocrine breast carcinoma (nebc), includes a heterogeneous. Primary neuroendocrine carcinoma of the breast (nebc) is a very rare occurrence accounting for less than 0.1% of all breast cancers. In this review, we discuss the current evidence and the future perspectives on diagnosis and treatment of neuroendocrine carcinoma of the. Neuroendocrine breast cancer. Neuroendocrine Cancer Breast.
From www.mdpi.com
Cancers Free FullText Primary Neuroendocrine Neoplasms of the Neuroendocrine Cancer Breast In this review, we discuss the current evidence and the future perspectives on diagnosis and treatment of neuroendocrine carcinoma of the. Breast carcinoma with neuroendocrine differentiation, also known as neuroendocrine breast carcinoma (nebc), includes a heterogeneous. Breast carcinoma with neuroendocrine differentiation, also known as neuroendocrine breast carcinoma (nebc), includes a heterogeneous. This review discusses the current evidence and the future. Neuroendocrine Cancer Breast.
From www.researchgate.net
(PDF) Mixed neuroendocrine carcinoma consisting of small cell Neuroendocrine Cancer Breast Primary neuroendocrine carcinoma of the breast (nebc) is a very rare occurrence accounting for less than 0.1% of all breast cancers. Breast tumors with neuroendocrine (ne) differentiation comprise an uncommon and heterogeneous group of tumors, including invasive. Neuroendocrine breast cancer (nebc) is a rare histotype of breast carcinoma that presents, in most cases, positive hormone receptors and. Breast carcinoma with. Neuroendocrine Cancer Breast.
From www.pathologyoutlines.com
Pathology Outlines Neuroendocrine carcinoma general Neuroendocrine Cancer Breast Breast carcinoma with neuroendocrine differentiation, also known as neuroendocrine breast carcinoma (nebc), includes a heterogeneous. Breast carcinoma with neuroendocrine differentiation, also known as neuroendocrine breast carcinoma (nebc), includes a heterogeneous. Neuroendocrine breast cancer (nebc) is a rare histotype of breast carcinoma that presents, in most cases, positive hormone receptors and. Breast cancers with neuroendocrine (ne) differentiation are very heterogeneous, comprising. Neuroendocrine Cancer Breast.
From medshun.com
Understanding The Treatment Options For Neuroendocrine Breast Cancer Neuroendocrine Cancer Breast Primary neuroendocrine carcinoma of the breast (nebc) is a very rare occurrence accounting for less than 0.1% of all breast cancers. Neuroendocrine breast cancer (nebc) is a rare histotype of breast carcinoma that presents, in most cases, positive hormone receptors and. Breast tumors with neuroendocrine (ne) differentiation comprise an uncommon and heterogeneous group of tumors, including invasive. Breast cancers with. Neuroendocrine Cancer Breast.
From www.researchgate.net
Clinical features of five patients with neuroendocrine carcinoma of the Neuroendocrine Cancer Breast Neuroendocrine breast cancer (nebc) is a rare histotype of breast carcinoma that presents, in most cases, positive hormone receptors and. Breast cancers with neuroendocrine (ne) differentiation are very heterogeneous, comprising broadly cancers that are. Breast carcinoma with neuroendocrine differentiation, also known as neuroendocrine breast carcinoma (nebc), includes a heterogeneous. In this review, we discuss the current evidence and the future. Neuroendocrine Cancer Breast.
From www.spandidos-publications.com
Neuroendocrine carcinoma of the breast with a mucinous carcinoma Neuroendocrine Cancer Breast Breast tumors with neuroendocrine (ne) differentiation comprise an uncommon and heterogeneous group of tumors, including invasive. In this review, we discuss the current evidence and the future perspectives on diagnosis and treatment of neuroendocrine carcinoma of the. Primary neuroendocrine carcinoma of the breast (nebc) is a very rare occurrence accounting for less than 0.1% of all breast cancers. This review. Neuroendocrine Cancer Breast.
From www.clinical-breast-cancer.com
Neuroendocrine Carcinoma of the Breast With Endobronchial Metastases Neuroendocrine Cancer Breast In this review, we discuss the current evidence and the future perspectives on diagnosis and treatment of neuroendocrine carcinoma of the. This review discusses the current evidence and the future perspectives on diagnosis and treatment of neuroendocrine carcinoma of the. Primary neuroendocrine carcinoma of the breast (nebc) is a very rare occurrence accounting for less than 0.1% of all breast. Neuroendocrine Cancer Breast.
From www.modernpathology.org
Breast cancer with neuroendocrine differentiation an update based on Neuroendocrine Cancer Breast Breast cancers with neuroendocrine (ne) differentiation are very heterogeneous, comprising broadly cancers that are. Breast carcinoma with neuroendocrine differentiation, also known as neuroendocrine breast carcinoma (nebc), includes a heterogeneous. This review discusses the current evidence and the future perspectives on diagnosis and treatment of neuroendocrine carcinoma of the. Primary neuroendocrine carcinoma of the breast (nebc) is a very rare occurrence. Neuroendocrine Cancer Breast.
From www.pathologyoutlines.com
Pathology Outlines Neuroendocrine tumor Neuroendocrine Cancer Breast Breast carcinoma with neuroendocrine differentiation, also known as neuroendocrine breast carcinoma (nebc), includes a heterogeneous. In this review, we discuss the current evidence and the future perspectives on diagnosis and treatment of neuroendocrine carcinoma of the. Primary neuroendocrine carcinoma of the breast (nebc) is a very rare occurrence accounting for less than 0.1% of all breast cancers. This review discusses. Neuroendocrine Cancer Breast.
From jcp.bmj.com
Neuroendocrine cells associated with neuroendocrine carcinoma of the Neuroendocrine Cancer Breast In this review, we discuss the current evidence and the future perspectives on diagnosis and treatment of neuroendocrine carcinoma of the. Primary neuroendocrine carcinoma of the breast (nebc) is a very rare occurrence accounting for less than 0.1% of all breast cancers. Breast tumors with neuroendocrine (ne) differentiation comprise an uncommon and heterogeneous group of tumors, including invasive. Breast cancers. Neuroendocrine Cancer Breast.
From www.researchgate.net
(PDF) Small cell neuroendocrine carcinoma of the breast case series Neuroendocrine Cancer Breast Breast carcinoma with neuroendocrine differentiation, also known as neuroendocrine breast carcinoma (nebc), includes a heterogeneous. Neuroendocrine breast cancer (nebc) is a rare histotype of breast carcinoma that presents, in most cases, positive hormone receptors and. In this review, we discuss the current evidence and the future perspectives on diagnosis and treatment of neuroendocrine carcinoma of the. Breast carcinoma with neuroendocrine. Neuroendocrine Cancer Breast.
From jcp.bmj.com
Small cell neuroendocrine carcinoma of the breast a report of three Neuroendocrine Cancer Breast Breast carcinoma with neuroendocrine differentiation, also known as neuroendocrine breast carcinoma (nebc), includes a heterogeneous. Neuroendocrine breast cancer (nebc) is a rare histotype of breast carcinoma that presents, in most cases, positive hormone receptors and. Breast carcinoma with neuroendocrine differentiation, also known as neuroendocrine breast carcinoma (nebc), includes a heterogeneous. In this review, we discuss the current evidence and the. Neuroendocrine Cancer Breast.
From www.researchgate.net
Hematoxylineosin (HE) neuroendocrine tumor of the breast. The cells Neuroendocrine Cancer Breast Neuroendocrine breast cancer (nebc) is a rare histotype of breast carcinoma that presents, in most cases, positive hormone receptors and. In this review, we discuss the current evidence and the future perspectives on diagnosis and treatment of neuroendocrine carcinoma of the. Breast carcinoma with neuroendocrine differentiation, also known as neuroendocrine breast carcinoma (nebc), includes a heterogeneous. Breast tumors with neuroendocrine. Neuroendocrine Cancer Breast.
From www.medscape.com
Rare Neuroendocrine Breast Cancer Not So Unusual Neuroendocrine Cancer Breast This review discusses the current evidence and the future perspectives on diagnosis and treatment of neuroendocrine carcinoma of the. Primary neuroendocrine carcinoma of the breast (nebc) is a very rare occurrence accounting for less than 0.1% of all breast cancers. In this review, we discuss the current evidence and the future perspectives on diagnosis and treatment of neuroendocrine carcinoma of. Neuroendocrine Cancer Breast.
From www.researchgate.net
The diagnostic process in neuroendocrine breast cancer Download Neuroendocrine Cancer Breast Primary neuroendocrine carcinoma of the breast (nebc) is a very rare occurrence accounting for less than 0.1% of all breast cancers. In this review, we discuss the current evidence and the future perspectives on diagnosis and treatment of neuroendocrine carcinoma of the. Breast cancers with neuroendocrine (ne) differentiation are very heterogeneous, comprising broadly cancers that are. Neuroendocrine breast cancer (nebc). Neuroendocrine Cancer Breast.
From wjso.biomedcentral.com
Locallyadvanced primary neuroendocrine carcinoma of the breast case Neuroendocrine Cancer Breast This review discusses the current evidence and the future perspectives on diagnosis and treatment of neuroendocrine carcinoma of the. Neuroendocrine breast cancer (nebc) is a rare histotype of breast carcinoma that presents, in most cases, positive hormone receptors and. Breast carcinoma with neuroendocrine differentiation, also known as neuroendocrine breast carcinoma (nebc), includes a heterogeneous. In this review, we discuss the. Neuroendocrine Cancer Breast.
From casereports.bmj.com
Neuroendocrine breast carcinoma metastasis to the brain BMJ Case Reports Neuroendocrine Cancer Breast Breast carcinoma with neuroendocrine differentiation, also known as neuroendocrine breast carcinoma (nebc), includes a heterogeneous. This review discusses the current evidence and the future perspectives on diagnosis and treatment of neuroendocrine carcinoma of the. Neuroendocrine breast cancer (nebc) is a rare histotype of breast carcinoma that presents, in most cases, positive hormone receptors and. Primary neuroendocrine carcinoma of the breast. Neuroendocrine Cancer Breast.
From www.researchgate.net
Neuroendocrine tumor cells in the breast. HematoxylinEosin staining Neuroendocrine Cancer Breast Breast tumors with neuroendocrine (ne) differentiation comprise an uncommon and heterogeneous group of tumors, including invasive. Breast carcinoma with neuroendocrine differentiation, also known as neuroendocrine breast carcinoma (nebc), includes a heterogeneous. Primary neuroendocrine carcinoma of the breast (nebc) is a very rare occurrence accounting for less than 0.1% of all breast cancers. Breast cancers with neuroendocrine (ne) differentiation are very. Neuroendocrine Cancer Breast.
From casereports.bmj.com
Rare case of primary smallcell neuroendocrine breast carcinoma BMJ Neuroendocrine Cancer Breast Breast carcinoma with neuroendocrine differentiation, also known as neuroendocrine breast carcinoma (nebc), includes a heterogeneous. In this review, we discuss the current evidence and the future perspectives on diagnosis and treatment of neuroendocrine carcinoma of the. Breast cancers with neuroendocrine (ne) differentiation are very heterogeneous, comprising broadly cancers that are. Primary neuroendocrine carcinoma of the breast (nebc) is a very. Neuroendocrine Cancer Breast.
From www.dovemed.com
HighGrade SmallCell Neuroendocrine Carcinoma of Breast Neuroendocrine Cancer Breast This review discusses the current evidence and the future perspectives on diagnosis and treatment of neuroendocrine carcinoma of the. Neuroendocrine breast cancer (nebc) is a rare histotype of breast carcinoma that presents, in most cases, positive hormone receptors and. Breast cancers with neuroendocrine (ne) differentiation are very heterogeneous, comprising broadly cancers that are. In this review, we discuss the current. Neuroendocrine Cancer Breast.
From www.spandidos-publications.com
Neuroendocrine carcinoma of the breast with a mucinous carcinoma Neuroendocrine Cancer Breast Breast carcinoma with neuroendocrine differentiation, also known as neuroendocrine breast carcinoma (nebc), includes a heterogeneous. Breast tumors with neuroendocrine (ne) differentiation comprise an uncommon and heterogeneous group of tumors, including invasive. Breast cancers with neuroendocrine (ne) differentiation are very heterogeneous, comprising broadly cancers that are. Neuroendocrine breast cancer (nebc) is a rare histotype of breast carcinoma that presents, in most. Neuroendocrine Cancer Breast.