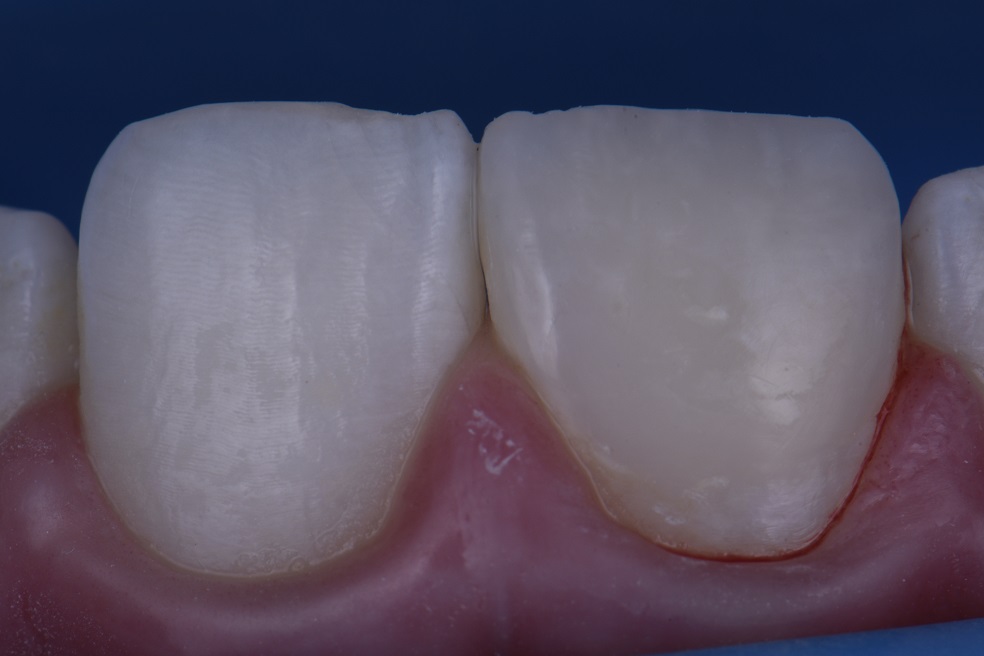
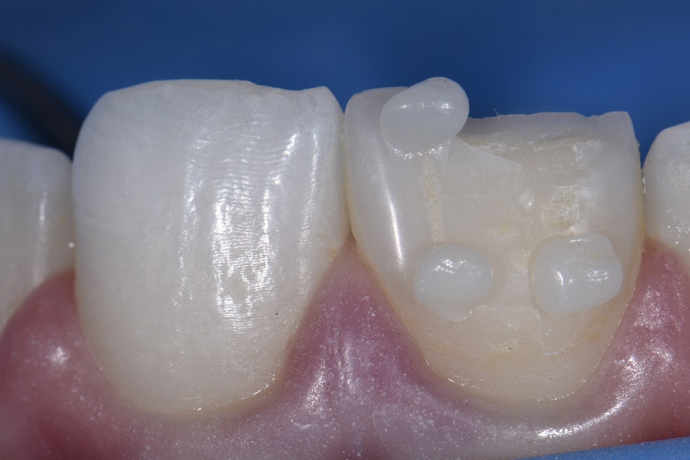
Composite Repair Dental Code . There are four cdt codes published in the cdt 2023 manual that address surface restorations involving anterior teeth. Bonded composite restorations are the safest, most biocompatible and conservative way of restoring decayed, fractured and/or worn teeth;. This paper provides an update on the aesthetic considerations involved in the restoration of anterior teeth with directly placed composite. The composite material was used to repair the fractured crown, restoring the crown to its original function and aesthetics. It’s appropriate to document the scenario.
from www.ukdentistry.co.uk
There are four cdt codes published in the cdt 2023 manual that address surface restorations involving anterior teeth. It’s appropriate to document the scenario. Bonded composite restorations are the safest, most biocompatible and conservative way of restoring decayed, fractured and/or worn teeth;. The composite material was used to repair the fractured crown, restoring the crown to its original function and aesthetics. This paper provides an update on the aesthetic considerations involved in the restoration of anterior teeth with directly placed composite.
Dentapreg advanced fibre reinforced light curing composites
Composite Repair Dental Code It’s appropriate to document the scenario. The composite material was used to repair the fractured crown, restoring the crown to its original function and aesthetics. Bonded composite restorations are the safest, most biocompatible and conservative way of restoring decayed, fractured and/or worn teeth;. There are four cdt codes published in the cdt 2023 manual that address surface restorations involving anterior teeth. It’s appropriate to document the scenario. This paper provides an update on the aesthetic considerations involved in the restoration of anterior teeth with directly placed composite.
From www.youtube.com
GC Composite Restorative Guide YouTube Composite Repair Dental Code There are four cdt codes published in the cdt 2023 manual that address surface restorations involving anterior teeth. Bonded composite restorations are the safest, most biocompatible and conservative way of restoring decayed, fractured and/or worn teeth;. It’s appropriate to document the scenario. The composite material was used to repair the fractured crown, restoring the crown to its original function and. Composite Repair Dental Code.
From www.clarencetam.co.nz
Partial Composite Repairs to Front Teeth Composite Repair Dental Code Bonded composite restorations are the safest, most biocompatible and conservative way of restoring decayed, fractured and/or worn teeth;. The composite material was used to repair the fractured crown, restoring the crown to its original function and aesthetics. This paper provides an update on the aesthetic considerations involved in the restoration of anterior teeth with directly placed composite. It’s appropriate to. Composite Repair Dental Code.
From www.croftondentalcare.co.uk
Composite Bonding Fareham Crofton Dental Care Composite Repair Dental Code There are four cdt codes published in the cdt 2023 manual that address surface restorations involving anterior teeth. Bonded composite restorations are the safest, most biocompatible and conservative way of restoring decayed, fractured and/or worn teeth;. The composite material was used to repair the fractured crown, restoring the crown to its original function and aesthetics. This paper provides an update. Composite Repair Dental Code.
From ar.inspiredpencil.com
Composite Dental Composite Repair Dental Code There are four cdt codes published in the cdt 2023 manual that address surface restorations involving anterior teeth. Bonded composite restorations are the safest, most biocompatible and conservative way of restoring decayed, fractured and/or worn teeth;. It’s appropriate to document the scenario. This paper provides an update on the aesthetic considerations involved in the restoration of anterior teeth with directly. Composite Repair Dental Code.
From localrevive.com
CDT Coding Guidelines for Dental Restoration Procedures (2022) Composite Repair Dental Code There are four cdt codes published in the cdt 2023 manual that address surface restorations involving anterior teeth. This paper provides an update on the aesthetic considerations involved in the restoration of anterior teeth with directly placed composite. The composite material was used to repair the fractured crown, restoring the crown to its original function and aesthetics. It’s appropriate to. Composite Repair Dental Code.
From www.youtube.com
COMPOSITE RESIN IN DENTISTRY PART 1 YouTube Composite Repair Dental Code The composite material was used to repair the fractured crown, restoring the crown to its original function and aesthetics. This paper provides an update on the aesthetic considerations involved in the restoration of anterior teeth with directly placed composite. Bonded composite restorations are the safest, most biocompatible and conservative way of restoring decayed, fractured and/or worn teeth;. There are four. Composite Repair Dental Code.
From www.paramountdentalsydney.com.au
Composite Veneers Dental Bonding Paramount Dental Sydney Composite Repair Dental Code There are four cdt codes published in the cdt 2023 manual that address surface restorations involving anterior teeth. Bonded composite restorations are the safest, most biocompatible and conservative way of restoring decayed, fractured and/or worn teeth;. This paper provides an update on the aesthetic considerations involved in the restoration of anterior teeth with directly placed composite. The composite material was. Composite Repair Dental Code.
From drvkdental.com
COMPOSITE DENTAL IMPLANT SPECIALITY CENTRE Composite Repair Dental Code It’s appropriate to document the scenario. There are four cdt codes published in the cdt 2023 manual that address surface restorations involving anterior teeth. This paper provides an update on the aesthetic considerations involved in the restoration of anterior teeth with directly placed composite. The composite material was used to repair the fractured crown, restoring the crown to its original. Composite Repair Dental Code.
From dentistry.co.uk
The injectionmould technique for composite veneers Dentistry Composite Repair Dental Code There are four cdt codes published in the cdt 2023 manual that address surface restorations involving anterior teeth. It’s appropriate to document the scenario. The composite material was used to repair the fractured crown, restoring the crown to its original function and aesthetics. This paper provides an update on the aesthetic considerations involved in the restoration of anterior teeth with. Composite Repair Dental Code.
From www.mdpi.com
Dentistry Journal Free FullText Resin Composites in Posterior Composite Repair Dental Code The composite material was used to repair the fractured crown, restoring the crown to its original function and aesthetics. This paper provides an update on the aesthetic considerations involved in the restoration of anterior teeth with directly placed composite. It’s appropriate to document the scenario. There are four cdt codes published in the cdt 2023 manual that address surface restorations. Composite Repair Dental Code.
From www.youtube.com
Composite Dental Filling Procedure YouTube Composite Repair Dental Code Bonded composite restorations are the safest, most biocompatible and conservative way of restoring decayed, fractured and/or worn teeth;. The composite material was used to repair the fractured crown, restoring the crown to its original function and aesthetics. This paper provides an update on the aesthetic considerations involved in the restoration of anterior teeth with directly placed composite. There are four. Composite Repair Dental Code.
From ruhdental.com
How Composite Bonding can fix crooked teeth Ruh Dental Composite Repair Dental Code The composite material was used to repair the fractured crown, restoring the crown to its original function and aesthetics. There are four cdt codes published in the cdt 2023 manual that address surface restorations involving anterior teeth. Bonded composite restorations are the safest, most biocompatible and conservative way of restoring decayed, fractured and/or worn teeth;. It’s appropriate to document the. Composite Repair Dental Code.
From www.leedervilledental.com.au
Composite Bonding To Repair Smile Leederville Dental Composite Repair Dental Code The composite material was used to repair the fractured crown, restoring the crown to its original function and aesthetics. There are four cdt codes published in the cdt 2023 manual that address surface restorations involving anterior teeth. Bonded composite restorations are the safest, most biocompatible and conservative way of restoring decayed, fractured and/or worn teeth;. It’s appropriate to document the. Composite Repair Dental Code.
From www.mdpi.com
Dentistry Journal Free FullText Resin Composites in Posterior Composite Repair Dental Code The composite material was used to repair the fractured crown, restoring the crown to its original function and aesthetics. Bonded composite restorations are the safest, most biocompatible and conservative way of restoring decayed, fractured and/or worn teeth;. It’s appropriate to document the scenario. There are four cdt codes published in the cdt 2023 manual that address surface restorations involving anterior. Composite Repair Dental Code.
From www.maltepedentalclinic.com
Composite Inlays and Onlays A Durable and Affordable Option Maltepe Composite Repair Dental Code This paper provides an update on the aesthetic considerations involved in the restoration of anterior teeth with directly placed composite. There are four cdt codes published in the cdt 2023 manual that address surface restorations involving anterior teeth. Bonded composite restorations are the safest, most biocompatible and conservative way of restoring decayed, fractured and/or worn teeth;. The composite material was. Composite Repair Dental Code.
From www.dmsdentistry.com
Bonded Composites DMS Dentistry Composite Repair Dental Code This paper provides an update on the aesthetic considerations involved in the restoration of anterior teeth with directly placed composite. There are four cdt codes published in the cdt 2023 manual that address surface restorations involving anterior teeth. Bonded composite restorations are the safest, most biocompatible and conservative way of restoring decayed, fractured and/or worn teeth;. It’s appropriate to document. Composite Repair Dental Code.
From duthie.dental
What is Composite Bonding? Before & After Teeth Examples Composite Repair Dental Code This paper provides an update on the aesthetic considerations involved in the restoration of anterior teeth with directly placed composite. There are four cdt codes published in the cdt 2023 manual that address surface restorations involving anterior teeth. The composite material was used to repair the fractured crown, restoring the crown to its original function and aesthetics. It’s appropriate to. Composite Repair Dental Code.
From www.styleitaliano.org
Minimally invasive repair of old direct anterior composite veneers Composite Repair Dental Code This paper provides an update on the aesthetic considerations involved in the restoration of anterior teeth with directly placed composite. It’s appropriate to document the scenario. Bonded composite restorations are the safest, most biocompatible and conservative way of restoring decayed, fractured and/or worn teeth;. The composite material was used to repair the fractured crown, restoring the crown to its original. Composite Repair Dental Code.
From kiranvanama.blogspot.com
DOs and DONTs in DENTISTRY HOW TO SELECT THE CORRECT SHADE OF Composite Repair Dental Code Bonded composite restorations are the safest, most biocompatible and conservative way of restoring decayed, fractured and/or worn teeth;. The composite material was used to repair the fractured crown, restoring the crown to its original function and aesthetics. It’s appropriate to document the scenario. There are four cdt codes published in the cdt 2023 manual that address surface restorations involving anterior. Composite Repair Dental Code.
From www.odontologiavirtual.com
PDF Beginnings of the dental composite revolution Composite Repair Dental Code This paper provides an update on the aesthetic considerations involved in the restoration of anterior teeth with directly placed composite. Bonded composite restorations are the safest, most biocompatible and conservative way of restoring decayed, fractured and/or worn teeth;. There are four cdt codes published in the cdt 2023 manual that address surface restorations involving anterior teeth. The composite material was. Composite Repair Dental Code.
From www.tv.odontologiavirtual.com
OPERATIVE DENTISTRY Direct composite restoration of frontal teeth Composite Repair Dental Code It’s appropriate to document the scenario. Bonded composite restorations are the safest, most biocompatible and conservative way of restoring decayed, fractured and/or worn teeth;. This paper provides an update on the aesthetic considerations involved in the restoration of anterior teeth with directly placed composite. The composite material was used to repair the fractured crown, restoring the crown to its original. Composite Repair Dental Code.
From www.fortedent.com
Composite tooth coloured fillings ForteDent Dental Clinic Sliema Composite Repair Dental Code This paper provides an update on the aesthetic considerations involved in the restoration of anterior teeth with directly placed composite. The composite material was used to repair the fractured crown, restoring the crown to its original function and aesthetics. It’s appropriate to document the scenario. There are four cdt codes published in the cdt 2023 manual that address surface restorations. Composite Repair Dental Code.
From www.youtube.com
Anterior Composite Layering And Injection Moulding YouTube Composite Repair Dental Code It’s appropriate to document the scenario. There are four cdt codes published in the cdt 2023 manual that address surface restorations involving anterior teeth. Bonded composite restorations are the safest, most biocompatible and conservative way of restoring decayed, fractured and/or worn teeth;. This paper provides an update on the aesthetic considerations involved in the restoration of anterior teeth with directly. Composite Repair Dental Code.
From www.ukdentistry.co.uk
Dentapreg advanced fibre reinforced light curing composites Composite Repair Dental Code It’s appropriate to document the scenario. This paper provides an update on the aesthetic considerations involved in the restoration of anterior teeth with directly placed composite. There are four cdt codes published in the cdt 2023 manual that address surface restorations involving anterior teeth. Bonded composite restorations are the safest, most biocompatible and conservative way of restoring decayed, fractured and/or. Composite Repair Dental Code.
From infinitydentalclinic.co.uk
Composite repair Infinity Dental Clinic Composite Repair Dental Code It’s appropriate to document the scenario. The composite material was used to repair the fractured crown, restoring the crown to its original function and aesthetics. Bonded composite restorations are the safest, most biocompatible and conservative way of restoring decayed, fractured and/or worn teeth;. This paper provides an update on the aesthetic considerations involved in the restoration of anterior teeth with. Composite Repair Dental Code.
From www.orozen.com
Restorations in Composite Orozen Dental Clinics Composite Repair Dental Code The composite material was used to repair the fractured crown, restoring the crown to its original function and aesthetics. It’s appropriate to document the scenario. Bonded composite restorations are the safest, most biocompatible and conservative way of restoring decayed, fractured and/or worn teeth;. There are four cdt codes published in the cdt 2023 manual that address surface restorations involving anterior. Composite Repair Dental Code.
From www.youtube.com
Class II Composite Restoration 5 DO Natural Tooth YouTube Composite Repair Dental Code Bonded composite restorations are the safest, most biocompatible and conservative way of restoring decayed, fractured and/or worn teeth;. There are four cdt codes published in the cdt 2023 manual that address surface restorations involving anterior teeth. It’s appropriate to document the scenario. This paper provides an update on the aesthetic considerations involved in the restoration of anterior teeth with directly. Composite Repair Dental Code.
From leeannbrady.com
Class Four Composite Restoration Lee Ann Brady DMD Composite Repair Dental Code This paper provides an update on the aesthetic considerations involved in the restoration of anterior teeth with directly placed composite. There are four cdt codes published in the cdt 2023 manual that address surface restorations involving anterior teeth. The composite material was used to repair the fractured crown, restoring the crown to its original function and aesthetics. It’s appropriate to. Composite Repair Dental Code.
From www.youtube.com
5 Tooth Preparation Designs For COMPOSITES Operative Dentistry YouTube Composite Repair Dental Code The composite material was used to repair the fractured crown, restoring the crown to its original function and aesthetics. Bonded composite restorations are the safest, most biocompatible and conservative way of restoring decayed, fractured and/or worn teeth;. There are four cdt codes published in the cdt 2023 manual that address surface restorations involving anterior teeth. This paper provides an update. Composite Repair Dental Code.
From www.dentaleconomics.com
10 years of clinical success with composite resin technology Case Composite Repair Dental Code This paper provides an update on the aesthetic considerations involved in the restoration of anterior teeth with directly placed composite. The composite material was used to repair the fractured crown, restoring the crown to its original function and aesthetics. It’s appropriate to document the scenario. Bonded composite restorations are the safest, most biocompatible and conservative way of restoring decayed, fractured. Composite Repair Dental Code.
From www.hovedentalclinic.co.uk
Composite Fillings All You Need to Know About Materials and Treatment Composite Repair Dental Code This paper provides an update on the aesthetic considerations involved in the restoration of anterior teeth with directly placed composite. The composite material was used to repair the fractured crown, restoring the crown to its original function and aesthetics. Bonded composite restorations are the safest, most biocompatible and conservative way of restoring decayed, fractured and/or worn teeth;. It’s appropriate to. Composite Repair Dental Code.
From openi.nlm.nih.gov
Schematicrepresentation of the composite resindentin interface.Resin Composite Repair Dental Code The composite material was used to repair the fractured crown, restoring the crown to its original function and aesthetics. There are four cdt codes published in the cdt 2023 manual that address surface restorations involving anterior teeth. It’s appropriate to document the scenario. This paper provides an update on the aesthetic considerations involved in the restoration of anterior teeth with. Composite Repair Dental Code.
From www.youtube.com
Chip Repair with Composite Resin by Dr. Newton Fahl YouTube Composite Repair Dental Code This paper provides an update on the aesthetic considerations involved in the restoration of anterior teeth with directly placed composite. There are four cdt codes published in the cdt 2023 manual that address surface restorations involving anterior teeth. Bonded composite restorations are the safest, most biocompatible and conservative way of restoring decayed, fractured and/or worn teeth;. It’s appropriate to document. Composite Repair Dental Code.
From www.youtube.com
Dental Composite Part {2/4} YouTube Composite Repair Dental Code The composite material was used to repair the fractured crown, restoring the crown to its original function and aesthetics. There are four cdt codes published in the cdt 2023 manual that address surface restorations involving anterior teeth. This paper provides an update on the aesthetic considerations involved in the restoration of anterior teeth with directly placed composite. It’s appropriate to. Composite Repair Dental Code.
From www.clarencetam.co.nz
Partial Composite Repairs to Front Teeth Composite Repair Dental Code There are four cdt codes published in the cdt 2023 manual that address surface restorations involving anterior teeth. It’s appropriate to document the scenario. Bonded composite restorations are the safest, most biocompatible and conservative way of restoring decayed, fractured and/or worn teeth;. This paper provides an update on the aesthetic considerations involved in the restoration of anterior teeth with directly. Composite Repair Dental Code.