What Happens If You Eat Razor Blades . A sore throat can fall anywhere between slight discomfort and a sensation of swallowing razor blades. A sore throat is one of the most common reasons people see their doctor, according to a 2018 report in. The first patient that we managed ingested an entire razor blade wrapped in a piece of paper. Sharp objects (knives, razor blades) batteries. The risks of swallowing a foreign body as the knife is referred to in medical circles, include perforating the gi or respiratory tract, injury to major blood vessels, and. The majority of ingested foreign objects will pass spontaneously, without the need for intervention [2]. Occasionally, it hurts so much to swallow that people dribble saliva from their mouths, rather than swallowing it. A 16 year old boy with a long history of self harm was admitted for the third time. This patient died from mediastinitis. Bacteria and viruses can invade the thin moist skin (mucosa) lining the throat. Objects that may obstruct or. If you’ve ever felt like you were swallowing razor blades, you’re not alone.
from www.youtube.com
This patient died from mediastinitis. The first patient that we managed ingested an entire razor blade wrapped in a piece of paper. Bacteria and viruses can invade the thin moist skin (mucosa) lining the throat. A sore throat can fall anywhere between slight discomfort and a sensation of swallowing razor blades. Sharp objects (knives, razor blades) batteries. Objects that may obstruct or. The risks of swallowing a foreign body as the knife is referred to in medical circles, include perforating the gi or respiratory tract, injury to major blood vessels, and. If you’ve ever felt like you were swallowing razor blades, you’re not alone. The majority of ingested foreign objects will pass spontaneously, without the need for intervention [2]. Occasionally, it hurts so much to swallow that people dribble saliva from their mouths, rather than swallowing it.
How to keep razor blade in mouth Razer blade in mouth mouth
What Happens If You Eat Razor Blades If you’ve ever felt like you were swallowing razor blades, you’re not alone. The risks of swallowing a foreign body as the knife is referred to in medical circles, include perforating the gi or respiratory tract, injury to major blood vessels, and. A sore throat is one of the most common reasons people see their doctor, according to a 2018 report in. The first patient that we managed ingested an entire razor blade wrapped in a piece of paper. Objects that may obstruct or. A sore throat can fall anywhere between slight discomfort and a sensation of swallowing razor blades. The majority of ingested foreign objects will pass spontaneously, without the need for intervention [2]. Occasionally, it hurts so much to swallow that people dribble saliva from their mouths, rather than swallowing it. This patient died from mediastinitis. Sharp objects (knives, razor blades) batteries. If you’ve ever felt like you were swallowing razor blades, you’re not alone. Bacteria and viruses can invade the thin moist skin (mucosa) lining the throat. A 16 year old boy with a long history of self harm was admitted for the third time.
From www.wired.com
All That Newfangled Shaving Gear Can't Compare to the OldFashioned What Happens If You Eat Razor Blades This patient died from mediastinitis. Objects that may obstruct or. A 16 year old boy with a long history of self harm was admitted for the third time. If you’ve ever felt like you were swallowing razor blades, you’re not alone. The majority of ingested foreign objects will pass spontaneously, without the need for intervention [2]. A sore throat can. What Happens If You Eat Razor Blades.
From ubicaciondepersonas.cdmx.gob.mx
Safety Razor Blade Protection And Drying Box Darwin Shaving What Happens If You Eat Razor Blades A sore throat can fall anywhere between slight discomfort and a sensation of swallowing razor blades. Occasionally, it hurts so much to swallow that people dribble saliva from their mouths, rather than swallowing it. The majority of ingested foreign objects will pass spontaneously, without the need for intervention [2]. This patient died from mediastinitis. The risks of swallowing a foreign. What Happens If You Eat Razor Blades.
From www.menshealth.com
The 6 Best Razors for Men 2019 What Happens If You Eat Razor Blades Occasionally, it hurts so much to swallow that people dribble saliva from their mouths, rather than swallowing it. Bacteria and viruses can invade the thin moist skin (mucosa) lining the throat. If you’ve ever felt like you were swallowing razor blades, you’re not alone. This patient died from mediastinitis. A 16 year old boy with a long history of self. What Happens If You Eat Razor Blades.
From parade.com
What Happens to Your Body if You Eat Clementines Every Day Parade What Happens If You Eat Razor Blades If you’ve ever felt like you were swallowing razor blades, you’re not alone. A 16 year old boy with a long history of self harm was admitted for the third time. Bacteria and viruses can invade the thin moist skin (mucosa) lining the throat. A sore throat can fall anywhere between slight discomfort and a sensation of swallowing razor blades.. What Happens If You Eat Razor Blades.
From gut.bmj.com
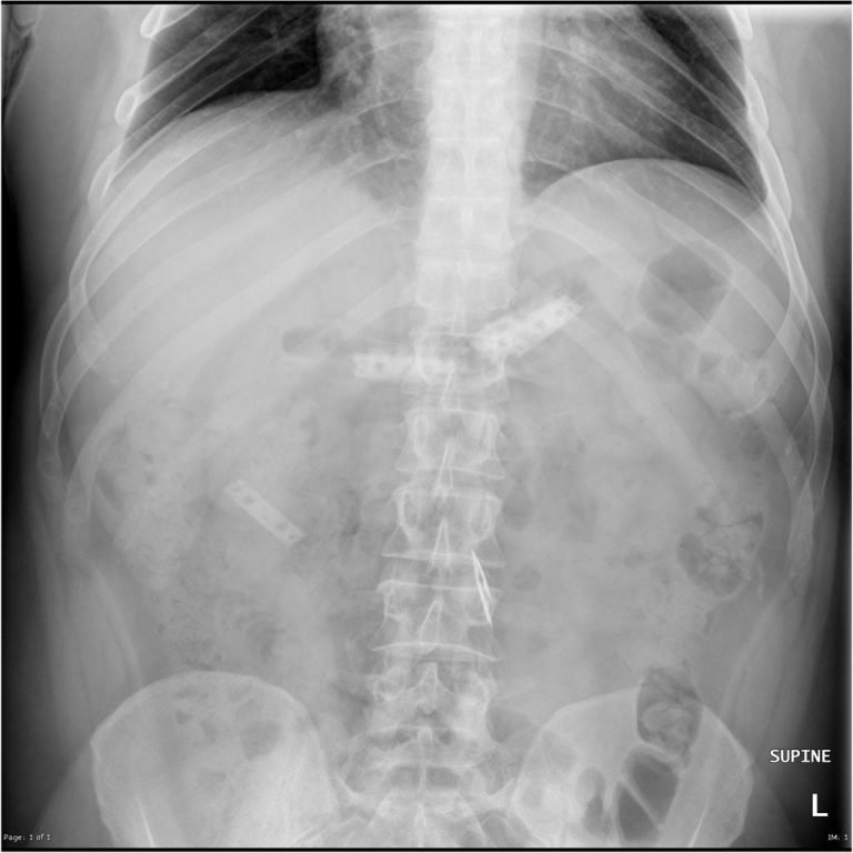
Management of swallowed razor blades—retrieve or wait and see? Gut What Happens If You Eat Razor Blades The majority of ingested foreign objects will pass spontaneously, without the need for intervention [2]. The risks of swallowing a foreign body as the knife is referred to in medical circles, include perforating the gi or respiratory tract, injury to major blood vessels, and. Occasionally, it hurts so much to swallow that people dribble saliva from their mouths, rather than. What Happens If You Eat Razor Blades.
From www.foxnews.com
Razor blades and poisoned candy A history of Americans fearing What Happens If You Eat Razor Blades A sore throat is one of the most common reasons people see their doctor, according to a 2018 report in. The majority of ingested foreign objects will pass spontaneously, without the need for intervention [2]. The first patient that we managed ingested an entire razor blade wrapped in a piece of paper. This patient died from mediastinitis. Sharp objects (knives,. What Happens If You Eat Razor Blades.
From www.nytimes.com
Safety Razors Regain Popularity for Men The New York Times What Happens If You Eat Razor Blades Occasionally, it hurts so much to swallow that people dribble saliva from their mouths, rather than swallowing it. A 16 year old boy with a long history of self harm was admitted for the third time. A sore throat is one of the most common reasons people see their doctor, according to a 2018 report in. If you’ve ever felt. What Happens If You Eat Razor Blades.
From imustacheyoutoshave.com
Rusty Razor Blades What Happens if You Use Them and Cut Yourself What Happens If You Eat Razor Blades A sore throat is one of the most common reasons people see their doctor, according to a 2018 report in. A 16 year old boy with a long history of self harm was admitted for the third time. The first patient that we managed ingested an entire razor blade wrapped in a piece of paper. This patient died from mediastinitis.. What Happens If You Eat Razor Blades.
From www.nutritioncrown.com
Eating Razor Blade What will Happen? What Happens If You Eat Razor Blades A 16 year old boy with a long history of self harm was admitted for the third time. A sore throat can fall anywhere between slight discomfort and a sensation of swallowing razor blades. Bacteria and viruses can invade the thin moist skin (mucosa) lining the throat. The first patient that we managed ingested an entire razor blade wrapped in. What Happens If You Eat Razor Blades.
From www.thedailymeal.com
This Will Happen To You If You Eat A Banana Every Day What Happens If You Eat Razor Blades A sore throat can fall anywhere between slight discomfort and a sensation of swallowing razor blades. Objects that may obstruct or. A 16 year old boy with a long history of self harm was admitted for the third time. Bacteria and viruses can invade the thin moist skin (mucosa) lining the throat. If you’ve ever felt like you were swallowing. What Happens If You Eat Razor Blades.
From www.redbookmag.com
Gross Things That Happen When You Don't Change Your Razor What What Happens If You Eat Razor Blades If you’ve ever felt like you were swallowing razor blades, you’re not alone. The first patient that we managed ingested an entire razor blade wrapped in a piece of paper. The majority of ingested foreign objects will pass spontaneously, without the need for intervention [2]. A sore throat is one of the most common reasons people see their doctor, according. What Happens If You Eat Razor Blades.
From imustacheyoutoshave.com
Rusty Razor Blades What Happens if You Use Them and Cut Yourself What Happens If You Eat Razor Blades A sore throat is one of the most common reasons people see their doctor, according to a 2018 report in. Bacteria and viruses can invade the thin moist skin (mucosa) lining the throat. Objects that may obstruct or. A sore throat can fall anywhere between slight discomfort and a sensation of swallowing razor blades. Sharp objects (knives, razor blades) batteries.. What Happens If You Eat Razor Blades.
From www.youtube.com
The secret of the most dangerous magic trick revealed eating razor What Happens If You Eat Razor Blades If you’ve ever felt like you were swallowing razor blades, you’re not alone. Objects that may obstruct or. The majority of ingested foreign objects will pass spontaneously, without the need for intervention [2]. Occasionally, it hurts so much to swallow that people dribble saliva from their mouths, rather than swallowing it. A sore throat is one of the most common. What Happens If You Eat Razor Blades.
From www.wired.com
Why Do Razor Blades Get Dull So Quickly? WIRED What Happens If You Eat Razor Blades Objects that may obstruct or. Sharp objects (knives, razor blades) batteries. If you’ve ever felt like you were swallowing razor blades, you’re not alone. This patient died from mediastinitis. The majority of ingested foreign objects will pass spontaneously, without the need for intervention [2]. The first patient that we managed ingested an entire razor blade wrapped in a piece of. What Happens If You Eat Razor Blades.
From imustacheyoutoshave.com
Rusty Razor Blades What Happens if You Use Them and Cut Yourself What Happens If You Eat Razor Blades The majority of ingested foreign objects will pass spontaneously, without the need for intervention [2]. A sore throat is one of the most common reasons people see their doctor, according to a 2018 report in. Occasionally, it hurts so much to swallow that people dribble saliva from their mouths, rather than swallowing it. If you’ve ever felt like you were. What Happens If You Eat Razor Blades.
From www.youtube.com
What Happens If You Eat A Razor Blade? FACTS MTV Top Amaizing What Happens If You Eat Razor Blades The majority of ingested foreign objects will pass spontaneously, without the need for intervention [2]. A 16 year old boy with a long history of self harm was admitted for the third time. A sore throat is one of the most common reasons people see their doctor, according to a 2018 report in. Bacteria and viruses can invade the thin. What Happens If You Eat Razor Blades.
From www.msn.com
The 10 Best Razors for Easy Hair Removal What Happens If You Eat Razor Blades The majority of ingested foreign objects will pass spontaneously, without the need for intervention [2]. Objects that may obstruct or. A 16 year old boy with a long history of self harm was admitted for the third time. Occasionally, it hurts so much to swallow that people dribble saliva from their mouths, rather than swallowing it. A sore throat can. What Happens If You Eat Razor Blades.
From travelonthefly.com
Can You Bring A Razor On A Plane? (Updated for 2024) What Happens If You Eat Razor Blades Bacteria and viruses can invade the thin moist skin (mucosa) lining the throat. A sore throat is one of the most common reasons people see their doctor, according to a 2018 report in. The risks of swallowing a foreign body as the knife is referred to in medical circles, include perforating the gi or respiratory tract, injury to major blood. What Happens If You Eat Razor Blades.
From bc.ctvnews.ca
'We all fear for our pets' Dogs eat meat stuffed with razor blades What Happens If You Eat Razor Blades If you’ve ever felt like you were swallowing razor blades, you’re not alone. The majority of ingested foreign objects will pass spontaneously, without the need for intervention [2]. The first patient that we managed ingested an entire razor blade wrapped in a piece of paper. A sore throat is one of the most common reasons people see their doctor, according. What Happens If You Eat Razor Blades.
From imustacheyoutoshave.com
Rusty Razor Blades What Happens if You Use Them and Cut Yourself What Happens If You Eat Razor Blades The first patient that we managed ingested an entire razor blade wrapped in a piece of paper. The risks of swallowing a foreign body as the knife is referred to in medical circles, include perforating the gi or respiratory tract, injury to major blood vessels, and. This patient died from mediastinitis. The majority of ingested foreign objects will pass spontaneously,. What Happens If You Eat Razor Blades.
From imustacheyoutoshave.com
Rusty Razor Blades What Happens if You Use Them and Cut Yourself What Happens If You Eat Razor Blades The first patient that we managed ingested an entire razor blade wrapped in a piece of paper. A sore throat is one of the most common reasons people see their doctor, according to a 2018 report in. The risks of swallowing a foreign body as the knife is referred to in medical circles, include perforating the gi or respiratory tract,. What Happens If You Eat Razor Blades.
From www.dailymail.co.uk
Britain's Got Talent hopeful swallows razor blades Daily Mail Online What Happens If You Eat Razor Blades Occasionally, it hurts so much to swallow that people dribble saliva from their mouths, rather than swallowing it. The risks of swallowing a foreign body as the knife is referred to in medical circles, include perforating the gi or respiratory tract, injury to major blood vessels, and. The first patient that we managed ingested an entire razor blade wrapped in. What Happens If You Eat Razor Blades.
From theshaveden.com
King C. Gillette Safety Razor Review TheShaveDen What Happens If You Eat Razor Blades The majority of ingested foreign objects will pass spontaneously, without the need for intervention [2]. If you’ve ever felt like you were swallowing razor blades, you’re not alone. Occasionally, it hurts so much to swallow that people dribble saliva from their mouths, rather than swallowing it. A sore throat is one of the most common reasons people see their doctor,. What Happens If You Eat Razor Blades.
From www.dollartree.com
Razors & Shaving Cream What Happens If You Eat Razor Blades The majority of ingested foreign objects will pass spontaneously, without the need for intervention [2]. This patient died from mediastinitis. Occasionally, it hurts so much to swallow that people dribble saliva from their mouths, rather than swallowing it. If you’ve ever felt like you were swallowing razor blades, you’re not alone. Bacteria and viruses can invade the thin moist skin. What Happens If You Eat Razor Blades.
From www.youtube.com
How to keep razor blade in mouth Razer blade in mouth mouth What Happens If You Eat Razor Blades A 16 year old boy with a long history of self harm was admitted for the third time. If you’ve ever felt like you were swallowing razor blades, you’re not alone. The risks of swallowing a foreign body as the knife is referred to in medical circles, include perforating the gi or respiratory tract, injury to major blood vessels, and.. What Happens If You Eat Razor Blades.
From www.collectorsweekly.com
Vintage Gillette razor blades found Collectors Weekly What Happens If You Eat Razor Blades Objects that may obstruct or. Bacteria and viruses can invade the thin moist skin (mucosa) lining the throat. The risks of swallowing a foreign body as the knife is referred to in medical circles, include perforating the gi or respiratory tract, injury to major blood vessels, and. A sore throat can fall anywhere between slight discomfort and a sensation of. What Happens If You Eat Razor Blades.
From buyxraysonline.com
SWALLOWED RAZOR BLADES What Happens If You Eat Razor Blades A sore throat can fall anywhere between slight discomfort and a sensation of swallowing razor blades. A 16 year old boy with a long history of self harm was admitted for the third time. If you’ve ever felt like you were swallowing razor blades, you’re not alone. The first patient that we managed ingested an entire razor blade wrapped in. What Happens If You Eat Razor Blades.
From www.newscientist.com
We just figured out why shaving soft hair blunts steel razor blades What Happens If You Eat Razor Blades This patient died from mediastinitis. The first patient that we managed ingested an entire razor blade wrapped in a piece of paper. A 16 year old boy with a long history of self harm was admitted for the third time. The risks of swallowing a foreign body as the knife is referred to in medical circles, include perforating the gi. What Happens If You Eat Razor Blades.
From www.onebladeshave.com
Tips & Tricks for Single Blade Shaving OneBlade What Happens If You Eat Razor Blades A 16 year old boy with a long history of self harm was admitted for the third time. If you’ve ever felt like you were swallowing razor blades, you’re not alone. Occasionally, it hurts so much to swallow that people dribble saliva from their mouths, rather than swallowing it. The majority of ingested foreign objects will pass spontaneously, without the. What Happens If You Eat Razor Blades.
From www.wqad.com
Parents of toddler cut by razor blades in park say culprit “sick” and What Happens If You Eat Razor Blades Sharp objects (knives, razor blades) batteries. A 16 year old boy with a long history of self harm was admitted for the third time. A sore throat can fall anywhere between slight discomfort and a sensation of swallowing razor blades. The first patient that we managed ingested an entire razor blade wrapped in a piece of paper. A sore throat. What Happens If You Eat Razor Blades.
From www.indiamart.com
Zircon Global Manufacturing LLP Manufacturer of Razor Blade & SS What Happens If You Eat Razor Blades A sore throat is one of the most common reasons people see their doctor, according to a 2018 report in. A sore throat can fall anywhere between slight discomfort and a sensation of swallowing razor blades. The risks of swallowing a foreign body as the knife is referred to in medical circles, include perforating the gi or respiratory tract, injury. What Happens If You Eat Razor Blades.
From www.aliexpress.com
1set/10 pcs Razor Blade Safety Razor Shaving Blade Super Stainless What Happens If You Eat Razor Blades Objects that may obstruct or. The majority of ingested foreign objects will pass spontaneously, without the need for intervention [2]. This patient died from mediastinitis. A sore throat can fall anywhere between slight discomfort and a sensation of swallowing razor blades. A 16 year old boy with a long history of self harm was admitted for the third time. Sharp. What Happens If You Eat Razor Blades.
From www.thehealthy.com
Here's What Could Happen If You Don't Change Your Razor The Healthy What Happens If You Eat Razor Blades Bacteria and viruses can invade the thin moist skin (mucosa) lining the throat. A 16 year old boy with a long history of self harm was admitted for the third time. If you’ve ever felt like you were swallowing razor blades, you’re not alone. Sharp objects (knives, razor blades) batteries. A sore throat is one of the most common reasons. What Happens If You Eat Razor Blades.
From www.rte.ie
RTÉ Archives Entertainment Man Eats Razor Blades What Happens If You Eat Razor Blades The majority of ingested foreign objects will pass spontaneously, without the need for intervention [2]. A sore throat can fall anywhere between slight discomfort and a sensation of swallowing razor blades. Bacteria and viruses can invade the thin moist skin (mucosa) lining the throat. Occasionally, it hurts so much to swallow that people dribble saliva from their mouths, rather than. What Happens If You Eat Razor Blades.
From www.citynews.ca
Two children bite into razor blades in Halloween candy What Happens If You Eat Razor Blades Occasionally, it hurts so much to swallow that people dribble saliva from their mouths, rather than swallowing it. The first patient that we managed ingested an entire razor blade wrapped in a piece of paper. The majority of ingested foreign objects will pass spontaneously, without the need for intervention [2]. A sore throat is one of the most common reasons. What Happens If You Eat Razor Blades.