Can Ms Plaques Disappear . Not all lesions in the cns are caused by ms. Since lesions are required for diagnosing ms, you can't have ms without the presence of lesions. If you have multiple sclerosis (ms), odds are that lesions (abnormal areas or changes such as plaques or scarring caused by disease or injury in a tissue or organ) will. But lesions are an important sign of ms. In ms, chronic inflammation damages these myelin sheaths, which can result in brain lesions, also known as plaques. Doctors use the presence and location of lesions to help. Lesions are sometimes called plaques. In fact, some research shows it may be related to more severe disability. Not all brain lesions are necessarily due to ms, but. Learn what other conditions may cause similar symptoms. New research shows that, for patients with multiple sclerosis, the disappearance of lesions into cerebrospinal fluid is a better indicator of who will develop disability than the. Lesions may atrophy or disappear into cerebrospinal fluid on their own, but that doesn’t necessarily cause ms symptoms to improve. While rrms is defined by attacks or relapses of new ms symptoms, progressive forms of ms involve fewer attacks and are characterized by gradual accumulation of disability.
from www.researchgate.net
Not all brain lesions are necessarily due to ms, but. Not all lesions in the cns are caused by ms. New research shows that, for patients with multiple sclerosis, the disappearance of lesions into cerebrospinal fluid is a better indicator of who will develop disability than the. Since lesions are required for diagnosing ms, you can't have ms without the presence of lesions. But lesions are an important sign of ms. Lesions are sometimes called plaques. Doctors use the presence and location of lesions to help. Learn what other conditions may cause similar symptoms. While rrms is defined by attacks or relapses of new ms symptoms, progressive forms of ms involve fewer attacks and are characterized by gradual accumulation of disability. If you have multiple sclerosis (ms), odds are that lesions (abnormal areas or changes such as plaques or scarring caused by disease or injury in a tissue or organ) will.
An active MS plaque in occipital lobe with four MRI pulse sequence A
Can Ms Plaques Disappear Doctors use the presence and location of lesions to help. Lesions may atrophy or disappear into cerebrospinal fluid on their own, but that doesn’t necessarily cause ms symptoms to improve. Doctors use the presence and location of lesions to help. While rrms is defined by attacks or relapses of new ms symptoms, progressive forms of ms involve fewer attacks and are characterized by gradual accumulation of disability. But lesions are an important sign of ms. Lesions are sometimes called plaques. New research shows that, for patients with multiple sclerosis, the disappearance of lesions into cerebrospinal fluid is a better indicator of who will develop disability than the. Learn what other conditions may cause similar symptoms. Not all lesions in the cns are caused by ms. In ms, chronic inflammation damages these myelin sheaths, which can result in brain lesions, also known as plaques. Since lesions are required for diagnosing ms, you can't have ms without the presence of lesions. Not all brain lesions are necessarily due to ms, but. In fact, some research shows it may be related to more severe disability. If you have multiple sclerosis (ms), odds are that lesions (abnormal areas or changes such as plaques or scarring caused by disease or injury in a tissue or organ) will.
From nowyouknowneuro.com
Demyelinating Disease Review and Quiz NowYouKnow Neuro Can Ms Plaques Disappear Not all brain lesions are necessarily due to ms, but. In fact, some research shows it may be related to more severe disability. New research shows that, for patients with multiple sclerosis, the disappearance of lesions into cerebrospinal fluid is a better indicator of who will develop disability than the. In ms, chronic inflammation damages these myelin sheaths, which can. Can Ms Plaques Disappear.
From lasrydentalclinic.com
Plaque vs. Tartar and How To Remove Them At Home Can Ms Plaques Disappear In ms, chronic inflammation damages these myelin sheaths, which can result in brain lesions, also known as plaques. Lesions are sometimes called plaques. Doctors use the presence and location of lesions to help. Not all brain lesions are necessarily due to ms, but. But lesions are an important sign of ms. Learn what other conditions may cause similar symptoms. If. Can Ms Plaques Disappear.
From naturalcureshouse.blogspot.com
HOW TO REMOVE DENTAL PLAQUE IN 5 MINUTES NATURALLY, WITHOUT GOING TO Can Ms Plaques Disappear If you have multiple sclerosis (ms), odds are that lesions (abnormal areas or changes such as plaques or scarring caused by disease or injury in a tissue or organ) will. While rrms is defined by attacks or relapses of new ms symptoms, progressive forms of ms involve fewer attacks and are characterized by gradual accumulation of disability. Not all brain. Can Ms Plaques Disappear.
From www.youtube.com
Plaque removed Dental calculus Long overdue plaque removal YouTube Can Ms Plaques Disappear Lesions may atrophy or disappear into cerebrospinal fluid on their own, but that doesn’t necessarily cause ms symptoms to improve. While rrms is defined by attacks or relapses of new ms symptoms, progressive forms of ms involve fewer attacks and are characterized by gradual accumulation of disability. Doctors use the presence and location of lesions to help. Lesions are sometimes. Can Ms Plaques Disappear.
From www.medical-professionals.com
MRI Protocols for MS Best Practices for MRI Techs Can Ms Plaques Disappear But lesions are an important sign of ms. Lesions may atrophy or disappear into cerebrospinal fluid on their own, but that doesn’t necessarily cause ms symptoms to improve. Not all lesions in the cns are caused by ms. In fact, some research shows it may be related to more severe disability. Not all brain lesions are necessarily due to ms,. Can Ms Plaques Disappear.
From mavink.com
Normal Brain Mri Vs Ms Brain Mri Can Ms Plaques Disappear Not all brain lesions are necessarily due to ms, but. Doctors use the presence and location of lesions to help. Lesions may atrophy or disappear into cerebrospinal fluid on their own, but that doesn’t necessarily cause ms symptoms to improve. If you have multiple sclerosis (ms), odds are that lesions (abnormal areas or changes such as plaques or scarring caused. Can Ms Plaques Disappear.
From yourdentalhealthresource.com
Plaque Prevention The Key to a Healthy Smile Your Dental Health Resource Can Ms Plaques Disappear Doctors use the presence and location of lesions to help. Since lesions are required for diagnosing ms, you can't have ms without the presence of lesions. Not all lesions in the cns are caused by ms. In fact, some research shows it may be related to more severe disability. But lesions are an important sign of ms. Lesions are sometimes. Can Ms Plaques Disappear.
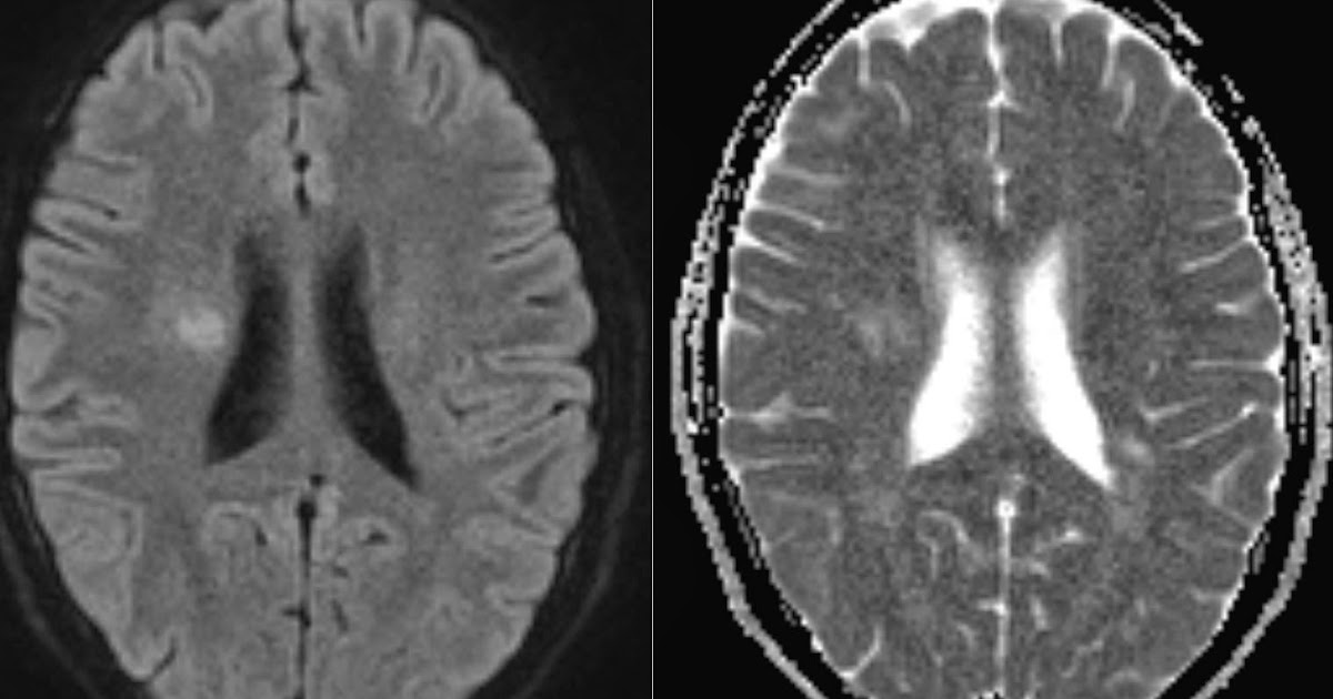
From radiologymri.blogspot.com
Active MS plaques on DWI Can Ms Plaques Disappear Not all brain lesions are necessarily due to ms, but. If you have multiple sclerosis (ms), odds are that lesions (abnormal areas or changes such as plaques or scarring caused by disease or injury in a tissue or organ) will. Doctors use the presence and location of lesions to help. In ms, chronic inflammation damages these myelin sheaths, which can. Can Ms Plaques Disappear.
From ditki.com
Neuroanatomy Glossary Multiple Sclerosis ditki medical & biological Can Ms Plaques Disappear Not all brain lesions are necessarily due to ms, but. Since lesions are required for diagnosing ms, you can't have ms without the presence of lesions. While rrms is defined by attacks or relapses of new ms symptoms, progressive forms of ms involve fewer attacks and are characterized by gradual accumulation of disability. Lesions may atrophy or disappear into cerebrospinal. Can Ms Plaques Disappear.
From www.slideserve.com
PPT Pathology and Immunology of MS PowerPoint Presentation, free Can Ms Plaques Disappear Lesions may atrophy or disappear into cerebrospinal fluid on their own, but that doesn’t necessarily cause ms symptoms to improve. Since lesions are required for diagnosing ms, you can't have ms without the presence of lesions. Doctors use the presence and location of lesions to help. While rrms is defined by attacks or relapses of new ms symptoms, progressive forms. Can Ms Plaques Disappear.
From drjacquiesmiles.com
Conquering Plaque The GameChanging SolutionDr. Jacquie Can Ms Plaques Disappear Since lesions are required for diagnosing ms, you can't have ms without the presence of lesions. Not all lesions in the cns are caused by ms. New research shows that, for patients with multiple sclerosis, the disappearance of lesions into cerebrospinal fluid is a better indicator of who will develop disability than the. Doctors use the presence and location of. Can Ms Plaques Disappear.
From www.dreamstime.com
Neurons with Dendrites Affected by Amyloid Plaques in Alzheimer S Can Ms Plaques Disappear Doctors use the presence and location of lesions to help. While rrms is defined by attacks or relapses of new ms symptoms, progressive forms of ms involve fewer attacks and are characterized by gradual accumulation of disability. Since lesions are required for diagnosing ms, you can't have ms without the presence of lesions. Not all lesions in the cns are. Can Ms Plaques Disappear.
From lasrydentalclinic.com
Plaque vs. Tartar and How To Remove Them At Home Can Ms Plaques Disappear But lesions are an important sign of ms. Learn what other conditions may cause similar symptoms. Lesions are sometimes called plaques. While rrms is defined by attacks or relapses of new ms symptoms, progressive forms of ms involve fewer attacks and are characterized by gradual accumulation of disability. Doctors use the presence and location of lesions to help. Since lesions. Can Ms Plaques Disappear.
From www.youtube.com
How Atherectomy is Performed? Removal Of Plaque From Arteries YouTube Can Ms Plaques Disappear Since lesions are required for diagnosing ms, you can't have ms without the presence of lesions. Lesions are sometimes called plaques. Not all lesions in the cns are caused by ms. Learn what other conditions may cause similar symptoms. If you have multiple sclerosis (ms), odds are that lesions (abnormal areas or changes such as plaques or scarring caused by. Can Ms Plaques Disappear.
From www.researchgate.net
An active MS plaque in occipital lobe with four MRI pulse sequence A Can Ms Plaques Disappear Not all brain lesions are necessarily due to ms, but. Lesions may atrophy or disappear into cerebrospinal fluid on their own, but that doesn’t necessarily cause ms symptoms to improve. Not all lesions in the cns are caused by ms. Doctors use the presence and location of lesions to help. In fact, some research shows it may be related to. Can Ms Plaques Disappear.
From ar.inspiredpencil.com
Ms Brain Lesions Vs Normal Can Ms Plaques Disappear Since lesions are required for diagnosing ms, you can't have ms without the presence of lesions. Not all lesions in the cns are caused by ms. New research shows that, for patients with multiple sclerosis, the disappearance of lesions into cerebrospinal fluid is a better indicator of who will develop disability than the. Lesions are sometimes called plaques. Learn what. Can Ms Plaques Disappear.
From drquadri.com
Natural Solutions on How to Remove Plaque From Dentures Instantly Can Ms Plaques Disappear Since lesions are required for diagnosing ms, you can't have ms without the presence of lesions. But lesions are an important sign of ms. New research shows that, for patients with multiple sclerosis, the disappearance of lesions into cerebrospinal fluid is a better indicator of who will develop disability than the. Not all brain lesions are necessarily due to ms,. Can Ms Plaques Disappear.
From bodnarus.liveauctiongroup.com
Trophy (name plaques removed) Bodnarus Auctioneering Can Ms Plaques Disappear If you have multiple sclerosis (ms), odds are that lesions (abnormal areas or changes such as plaques or scarring caused by disease or injury in a tissue or organ) will. While rrms is defined by attacks or relapses of new ms symptoms, progressive forms of ms involve fewer attacks and are characterized by gradual accumulation of disability. Learn what other. Can Ms Plaques Disappear.
From www.researchgate.net
Plaques morphology in MS cases examined. Tissue sections were stained Can Ms Plaques Disappear In ms, chronic inflammation damages these myelin sheaths, which can result in brain lesions, also known as plaques. Lesions are sometimes called plaques. Since lesions are required for diagnosing ms, you can't have ms without the presence of lesions. Not all lesions in the cns are caused by ms. But lesions are an important sign of ms. While rrms is. Can Ms Plaques Disappear.
From fmedic.org
Un aperçu de la sclérose en plaques récurrenterémittente Fmedic Can Ms Plaques Disappear Lesions may atrophy or disappear into cerebrospinal fluid on their own, but that doesn’t necessarily cause ms symptoms to improve. In ms, chronic inflammation damages these myelin sheaths, which can result in brain lesions, also known as plaques. Not all brain lesions are necessarily due to ms, but. Since lesions are required for diagnosing ms, you can't have ms without. Can Ms Plaques Disappear.
From onlinelibrary.wiley.com
Prognostic value of white matter lesion shrinking in early multiple Can Ms Plaques Disappear Learn what other conditions may cause similar symptoms. Doctors use the presence and location of lesions to help. Lesions are sometimes called plaques. Not all lesions in the cns are caused by ms. Since lesions are required for diagnosing ms, you can't have ms without the presence of lesions. In ms, chronic inflammation damages these myelin sheaths, which can result. Can Ms Plaques Disappear.
From jnnp.bmj.com
Tumefactive multiple sclerosis plaque Journal of Neurology Can Ms Plaques Disappear Not all lesions in the cns are caused by ms. Not all brain lesions are necessarily due to ms, but. If you have multiple sclerosis (ms), odds are that lesions (abnormal areas or changes such as plaques or scarring caused by disease or injury in a tissue or organ) will. But lesions are an important sign of ms. Lesions may. Can Ms Plaques Disappear.
From www.youtube.com
HOW TO REMOVE DENTAL PLAQUE WITH OUT GOING TO THE DENTISTS YouTube Can Ms Plaques Disappear In fact, some research shows it may be related to more severe disability. New research shows that, for patients with multiple sclerosis, the disappearance of lesions into cerebrospinal fluid is a better indicator of who will develop disability than the. Not all lesions in the cns are caused by ms. But lesions are an important sign of ms. While rrms. Can Ms Plaques Disappear.
From bodnarus.liveauctiongroup.com
Trophy (name plaques removed) Bodnarus Auctioneering Can Ms Plaques Disappear In fact, some research shows it may be related to more severe disability. Learn what other conditions may cause similar symptoms. Doctors use the presence and location of lesions to help. If you have multiple sclerosis (ms), odds are that lesions (abnormal areas or changes such as plaques or scarring caused by disease or injury in a tissue or organ). Can Ms Plaques Disappear.
From fmedic.org
Symptômes de la sclérose en plaques Fmedic Can Ms Plaques Disappear Not all brain lesions are necessarily due to ms, but. Learn what other conditions may cause similar symptoms. Lesions are sometimes called plaques. Not all lesions in the cns are caused by ms. Since lesions are required for diagnosing ms, you can't have ms without the presence of lesions. New research shows that, for patients with multiple sclerosis, the disappearance. Can Ms Plaques Disappear.
From psychologista.fr
Démyélinisation Symptômes, causes, diagnostic, traitement Can Ms Plaques Disappear Not all lesions in the cns are caused by ms. In fact, some research shows it may be related to more severe disability. Not all brain lesions are necessarily due to ms, but. New research shows that, for patients with multiple sclerosis, the disappearance of lesions into cerebrospinal fluid is a better indicator of who will develop disability than the.. Can Ms Plaques Disappear.
From mungfali.com
Multiple Sclerosis What's New In Ms Treatment Options? 235 Can Ms Plaques Disappear Learn what other conditions may cause similar symptoms. Doctors use the presence and location of lesions to help. Since lesions are required for diagnosing ms, you can't have ms without the presence of lesions. New research shows that, for patients with multiple sclerosis, the disappearance of lesions into cerebrospinal fluid is a better indicator of who will develop disability than. Can Ms Plaques Disappear.
From rowan-costa.blogspot.com
Multiple Sclerosis Mri MS MRI ASST Multiple sclerosis, Brain Can Ms Plaques Disappear Doctors use the presence and location of lesions to help. While rrms is defined by attacks or relapses of new ms symptoms, progressive forms of ms involve fewer attacks and are characterized by gradual accumulation of disability. But lesions are an important sign of ms. Since lesions are required for diagnosing ms, you can't have ms without the presence of. Can Ms Plaques Disappear.
From www.va.gov
Evolution of a Multiple Sclerosis Lesion Multiple Sclerosis Centers Can Ms Plaques Disappear But lesions are an important sign of ms. While rrms is defined by attacks or relapses of new ms symptoms, progressive forms of ms involve fewer attacks and are characterized by gradual accumulation of disability. Not all lesions in the cns are caused by ms. Learn what other conditions may cause similar symptoms. Doctors use the presence and location of. Can Ms Plaques Disappear.
From internet-prod.nhlbi.nih.gov
Atherosclerosis Treatment NHLBI, NIH Can Ms Plaques Disappear Lesions are sometimes called plaques. New research shows that, for patients with multiple sclerosis, the disappearance of lesions into cerebrospinal fluid is a better indicator of who will develop disability than the. In ms, chronic inflammation damages these myelin sheaths, which can result in brain lesions, also known as plaques. But lesions are an important sign of ms. In fact,. Can Ms Plaques Disappear.
From www.gov.uk
National expansion of blue plaques schemes GOV.UK Can Ms Plaques Disappear Not all brain lesions are necessarily due to ms, but. Not all lesions in the cns are caused by ms. Learn what other conditions may cause similar symptoms. But lesions are an important sign of ms. If you have multiple sclerosis (ms), odds are that lesions (abnormal areas or changes such as plaques or scarring caused by disease or injury. Can Ms Plaques Disappear.
From fr.freepik.com
Infographie Sur Les Symptômes De La Sclérose En Plaques (sep) Vecteur Can Ms Plaques Disappear If you have multiple sclerosis (ms), odds are that lesions (abnormal areas or changes such as plaques or scarring caused by disease or injury in a tissue or organ) will. Since lesions are required for diagnosing ms, you can't have ms without the presence of lesions. Lesions may atrophy or disappear into cerebrospinal fluid on their own, but that doesn’t. Can Ms Plaques Disappear.
From www.pleasantondentaloffice.com
Dental Plaque What You Need to Know Can Ms Plaques Disappear New research shows that, for patients with multiple sclerosis, the disappearance of lesions into cerebrospinal fluid is a better indicator of who will develop disability than the. Since lesions are required for diagnosing ms, you can't have ms without the presence of lesions. Learn what other conditions may cause similar symptoms. Lesions may atrophy or disappear into cerebrospinal fluid on. Can Ms Plaques Disappear.
From www.svuhradiology.ie
Multiple sclerosis enhancing plaque Radiology at St. Vincent's Can Ms Plaques Disappear While rrms is defined by attacks or relapses of new ms symptoms, progressive forms of ms involve fewer attacks and are characterized by gradual accumulation of disability. New research shows that, for patients with multiple sclerosis, the disappearance of lesions into cerebrospinal fluid is a better indicator of who will develop disability than the. But lesions are an important sign. Can Ms Plaques Disappear.
From www.verywellhealth.com
Plaque Removal and Preventing Tartar Buildup Can Ms Plaques Disappear Since lesions are required for diagnosing ms, you can't have ms without the presence of lesions. Doctors use the presence and location of lesions to help. But lesions are an important sign of ms. In fact, some research shows it may be related to more severe disability. New research shows that, for patients with multiple sclerosis, the disappearance of lesions. Can Ms Plaques Disappear.