Breast Mass Meaning . While lumps in the breast don’t always mean cancer, they. A breast lump is a mass, growth, or swelling within the breast tissue. A breast lump that's painless, hard, has irregular edges and is different from the breast tissue around it might be breast cancer. Breast cancer is a kind of cancer that begins as a growth of cells in the breast tissue. While a breast lump can be a sign of breast cancer, it’s usually. Breast tissue varies in consistency, with. While finding a lump in your breast can be concerning, it is. Mastitis, or an infection of the breast. A breast lump is a mass or growth that develops in your breast. Finding a lump in your breast can be scary because your initial thought may be breast cancer. How your breasts should feel. After skin cancer, breast cancer is the most common.
from www.spandidos-publications.com
A breast lump that's painless, hard, has irregular edges and is different from the breast tissue around it might be breast cancer. While a breast lump can be a sign of breast cancer, it’s usually. How your breasts should feel. Finding a lump in your breast can be scary because your initial thought may be breast cancer. After skin cancer, breast cancer is the most common. While lumps in the breast don’t always mean cancer, they. While finding a lump in your breast can be concerning, it is. Breast cancer is a kind of cancer that begins as a growth of cells in the breast tissue. A breast lump is a mass, growth, or swelling within the breast tissue. Mastitis, or an infection of the breast.
Discrimination of malignant and benign breast masses using automatic
Breast Mass Meaning Breast cancer is a kind of cancer that begins as a growth of cells in the breast tissue. A breast lump is a mass or growth that develops in your breast. A breast lump that's painless, hard, has irregular edges and is different from the breast tissue around it might be breast cancer. How your breasts should feel. While a breast lump can be a sign of breast cancer, it’s usually. While finding a lump in your breast can be concerning, it is. While lumps in the breast don’t always mean cancer, they. Breast cancer is a kind of cancer that begins as a growth of cells in the breast tissue. Breast tissue varies in consistency, with. Finding a lump in your breast can be scary because your initial thought may be breast cancer. Mastitis, or an infection of the breast. After skin cancer, breast cancer is the most common. A breast lump is a mass, growth, or swelling within the breast tissue.
From www.researchgate.net
Mammogram of the left breast. A lobulated mass with a smooth surface Breast Mass Meaning Mastitis, or an infection of the breast. A breast lump is a mass or growth that develops in your breast. Breast cancer is a kind of cancer that begins as a growth of cells in the breast tissue. A breast lump that's painless, hard, has irregular edges and is different from the breast tissue around it might be breast cancer.. Breast Mass Meaning.
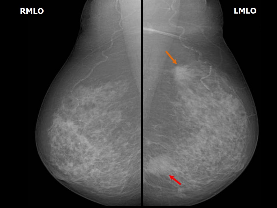
From www.frontiersin.org
Frontiers Improving the Prediction of Benign or Malignant Breast Breast Mass Meaning A breast lump that's painless, hard, has irregular edges and is different from the breast tissue around it might be breast cancer. While finding a lump in your breast can be concerning, it is. A breast lump is a mass, growth, or swelling within the breast tissue. Breast tissue varies in consistency, with. Breast cancer is a kind of cancer. Breast Mass Meaning.
From reference.medscape.com
Complex Breast Masses Is There an Echo in Here? Breast Mass Meaning While lumps in the breast don’t always mean cancer, they. While finding a lump in your breast can be concerning, it is. After skin cancer, breast cancer is the most common. Breast tissue varies in consistency, with. Mastitis, or an infection of the breast. While a breast lump can be a sign of breast cancer, it’s usually. Breast cancer is. Breast Mass Meaning.
From www.researchgate.net
MRI right breast showing the breast mass. Download Scientific Diagram Breast Mass Meaning After skin cancer, breast cancer is the most common. How your breasts should feel. A breast lump that's painless, hard, has irregular edges and is different from the breast tissue around it might be breast cancer. While finding a lump in your breast can be concerning, it is. Breast tissue varies in consistency, with. While a breast lump can be. Breast Mass Meaning.
From screening.iarc.fr
Atlas of breast cancer early detection Breast Mass Meaning How your breasts should feel. Breast cancer is a kind of cancer that begins as a growth of cells in the breast tissue. Mastitis, or an infection of the breast. Finding a lump in your breast can be scary because your initial thought may be breast cancer. A breast lump is a mass, growth, or swelling within the breast tissue.. Breast Mass Meaning.
From screening.iarc.fr
Atlas of breast cancer early detection Breast Mass Meaning Mastitis, or an infection of the breast. While lumps in the breast don’t always mean cancer, they. After skin cancer, breast cancer is the most common. A breast lump is a mass, growth, or swelling within the breast tissue. Finding a lump in your breast can be scary because your initial thought may be breast cancer. A breast lump that's. Breast Mass Meaning.
From www.semanticscholar.org
Textural Feature Analysis for Ultrasound Breast Tumor Images Semantic Breast Mass Meaning Mastitis, or an infection of the breast. How your breasts should feel. While finding a lump in your breast can be concerning, it is. Finding a lump in your breast can be scary because your initial thought may be breast cancer. A breast lump is a mass, growth, or swelling within the breast tissue. Breast cancer is a kind of. Breast Mass Meaning.
From nurseslabs.com
Mammography (Mammogram) Nursing Responsibilities Nurseslabs Breast Mass Meaning While finding a lump in your breast can be concerning, it is. Breast cancer is a kind of cancer that begins as a growth of cells in the breast tissue. How your breasts should feel. Breast tissue varies in consistency, with. After skin cancer, breast cancer is the most common. Finding a lump in your breast can be scary because. Breast Mass Meaning.
From drbrighten.com
Breast Tenderness What Is It & What Causes Sore Breasts? Dr. Brighten Breast Mass Meaning A breast lump is a mass or growth that develops in your breast. While finding a lump in your breast can be concerning, it is. Finding a lump in your breast can be scary because your initial thought may be breast cancer. Breast tissue varies in consistency, with. Breast cancer is a kind of cancer that begins as a growth. Breast Mass Meaning.
From www.semanticscholar.org
Figure 2 from Classification of benign and malignant masses in breast Breast Mass Meaning A breast lump that's painless, hard, has irregular edges and is different from the breast tissue around it might be breast cancer. Breast tissue varies in consistency, with. How your breasts should feel. While finding a lump in your breast can be concerning, it is. While a breast lump can be a sign of breast cancer, it’s usually. While lumps. Breast Mass Meaning.
From www.spandidos-publications.com
Discrimination of malignant and benign breast masses using automatic Breast Mass Meaning Breast cancer is a kind of cancer that begins as a growth of cells in the breast tissue. A breast lump is a mass or growth that develops in your breast. While finding a lump in your breast can be concerning, it is. Breast tissue varies in consistency, with. After skin cancer, breast cancer is the most common. Mastitis, or. Breast Mass Meaning.
From onlinelibrary.wiley.com
Malignant hyperechoic breast lesions at ultrasound A pictorial essay Breast Mass Meaning Finding a lump in your breast can be scary because your initial thought may be breast cancer. While finding a lump in your breast can be concerning, it is. A breast lump is a mass, growth, or swelling within the breast tissue. Breast tissue varies in consistency, with. A breast lump that's painless, hard, has irregular edges and is different. Breast Mass Meaning.
From screening.iarc.fr
Atlas of breast cancer early detection Breast Mass Meaning Breast cancer is a kind of cancer that begins as a growth of cells in the breast tissue. How your breasts should feel. Finding a lump in your breast can be scary because your initial thought may be breast cancer. Breast tissue varies in consistency, with. While finding a lump in your breast can be concerning, it is. While lumps. Breast Mass Meaning.
From www.mdpi.com
Diagnostics Free FullText Qualitative Versus Quantitative Breast Mass Meaning After skin cancer, breast cancer is the most common. Breast cancer is a kind of cancer that begins as a growth of cells in the breast tissue. While finding a lump in your breast can be concerning, it is. A breast lump is a mass, growth, or swelling within the breast tissue. A breast lump is a mass or growth. Breast Mass Meaning.
From www.triwiglobal.com
Fungating Breast Cancer Causes, Symptoms, Treatment, and More Breast Mass Meaning A breast lump that's painless, hard, has irregular edges and is different from the breast tissue around it might be breast cancer. How your breasts should feel. After skin cancer, breast cancer is the most common. Finding a lump in your breast can be scary because your initial thought may be breast cancer. Breast cancer is a kind of cancer. Breast Mass Meaning.
From www.nejm.org
Evaluation of a Palpable Breast Mass NEJM Breast Mass Meaning While a breast lump can be a sign of breast cancer, it’s usually. While finding a lump in your breast can be concerning, it is. After skin cancer, breast cancer is the most common. Breast cancer is a kind of cancer that begins as a growth of cells in the breast tissue. A breast lump is a mass, growth, or. Breast Mass Meaning.
From www.stmarysregional.com
Breast Density in Enid OK St. Mary's Regional Medical Center Breast Mass Meaning Mastitis, or an infection of the breast. Breast tissue varies in consistency, with. How your breasts should feel. Finding a lump in your breast can be scary because your initial thought may be breast cancer. While a breast lump can be a sign of breast cancer, it’s usually. After skin cancer, breast cancer is the most common. A breast lump. Breast Mass Meaning.
From reviewsfox.org
Differences Between Breast Mass and Breast Lump Breast Mass Meaning Breast tissue varies in consistency, with. Finding a lump in your breast can be scary because your initial thought may be breast cancer. A breast lump that's painless, hard, has irregular edges and is different from the breast tissue around it might be breast cancer. Breast cancer is a kind of cancer that begins as a growth of cells in. Breast Mass Meaning.
From www.slideserve.com
PPT Approach to Breast Disease PowerPoint Presentation, free download Breast Mass Meaning Breast tissue varies in consistency, with. How your breasts should feel. After skin cancer, breast cancer is the most common. A breast lump is a mass or growth that develops in your breast. A breast lump that's painless, hard, has irregular edges and is different from the breast tissue around it might be breast cancer. A breast lump is a. Breast Mass Meaning.
From www.mdpi.com
Cancers Free FullText Prediction of the Malignancy of a Breast Breast Mass Meaning A breast lump is a mass, growth, or swelling within the breast tissue. How your breasts should feel. After skin cancer, breast cancer is the most common. Mastitis, or an infection of the breast. A breast lump that's painless, hard, has irregular edges and is different from the breast tissue around it might be breast cancer. While finding a lump. Breast Mass Meaning.
From www.researchgate.net
Masses different shapes and margins (n.d.). Source (a) Mass shapes Breast Mass Meaning A breast lump is a mass or growth that develops in your breast. Finding a lump in your breast can be scary because your initial thought may be breast cancer. Breast cancer is a kind of cancer that begins as a growth of cells in the breast tissue. While a breast lump can be a sign of breast cancer, it’s. Breast Mass Meaning.
From screening.iarc.fr
Atlas of breast cancer early detection Breast Mass Meaning While finding a lump in your breast can be concerning, it is. A breast lump that's painless, hard, has irregular edges and is different from the breast tissue around it might be breast cancer. Mastitis, or an infection of the breast. While a breast lump can be a sign of breast cancer, it’s usually. Finding a lump in your breast. Breast Mass Meaning.
From www.iheartpathology.net
Benign diseases of the breast An overview Breast Mass Meaning A breast lump is a mass or growth that develops in your breast. While a breast lump can be a sign of breast cancer, it’s usually. Mastitis, or an infection of the breast. While finding a lump in your breast can be concerning, it is. A breast lump is a mass, growth, or swelling within the breast tissue. A breast. Breast Mass Meaning.
From pubs.rsna.org
US of Breast Masses Categorized as BIRADS 3, 4, and 5 Pictorial Breast Mass Meaning How your breasts should feel. A breast lump is a mass or growth that develops in your breast. A breast lump is a mass, growth, or swelling within the breast tissue. Breast tissue varies in consistency, with. Mastitis, or an infection of the breast. While finding a lump in your breast can be concerning, it is. After skin cancer, breast. Breast Mass Meaning.
From www.ncbi.nlm.nih.gov
New Breast Mass StatPearls NCBI Bookshelf Breast Mass Meaning A breast lump is a mass or growth that develops in your breast. Breast cancer is a kind of cancer that begins as a growth of cells in the breast tissue. A breast lump that's painless, hard, has irregular edges and is different from the breast tissue around it might be breast cancer. Breast tissue varies in consistency, with. While. Breast Mass Meaning.
From www.researchgate.net
Mammogram of the right breast (A) with tomosynthesis spot compression Breast Mass Meaning Finding a lump in your breast can be scary because your initial thought may be breast cancer. A breast lump is a mass, growth, or swelling within the breast tissue. Mastitis, or an infection of the breast. How your breasts should feel. While finding a lump in your breast can be concerning, it is. Breast tissue varies in consistency, with.. Breast Mass Meaning.
From www.huffpost.com
Breast Density How to See Clearly Through the Fog HuffPost Life Breast Mass Meaning Breast cancer is a kind of cancer that begins as a growth of cells in the breast tissue. A breast lump is a mass or growth that develops in your breast. While lumps in the breast don’t always mean cancer, they. A breast lump is a mass, growth, or swelling within the breast tissue. Finding a lump in your breast. Breast Mass Meaning.
From www.verywellhealth.com
Stage 1 Breast Cancer Diagnosis, Treatments, and Prognosis Breast Mass Meaning A breast lump is a mass or growth that develops in your breast. Breast cancer is a kind of cancer that begins as a growth of cells in the breast tissue. Finding a lump in your breast can be scary because your initial thought may be breast cancer. A breast lump that's painless, hard, has irregular edges and is different. Breast Mass Meaning.
From www.slideserve.com
PPT Workup of Palpable Breast Mass PowerPoint Presentation, free Breast Mass Meaning While finding a lump in your breast can be concerning, it is. A breast lump is a mass or growth that develops in your breast. After skin cancer, breast cancer is the most common. A breast lump that's painless, hard, has irregular edges and is different from the breast tissue around it might be breast cancer. A breast lump is. Breast Mass Meaning.
From pubs.rsna.org
Complex Cystic Breast Masses Diagnostic Approach and Imaging Breast Mass Meaning How your breasts should feel. A breast lump is a mass, growth, or swelling within the breast tissue. While a breast lump can be a sign of breast cancer, it’s usually. Finding a lump in your breast can be scary because your initial thought may be breast cancer. While finding a lump in your breast can be concerning, it is.. Breast Mass Meaning.
From www.youtube.com
US Features of Solid Breast Masses as Prognostic Biomarkers YouTube Breast Mass Meaning Breast cancer is a kind of cancer that begins as a growth of cells in the breast tissue. How your breasts should feel. Mastitis, or an infection of the breast. After skin cancer, breast cancer is the most common. A breast lump is a mass or growth that develops in your breast. Breast tissue varies in consistency, with. A breast. Breast Mass Meaning.
From www.cancertherapyadvisor.com
Enlarging Breast Mass in 69YearOld Woman With History of Cysts Breast Mass Meaning Finding a lump in your breast can be scary because your initial thought may be breast cancer. While lumps in the breast don’t always mean cancer, they. How your breasts should feel. Breast tissue varies in consistency, with. A breast lump is a mass, growth, or swelling within the breast tissue. While finding a lump in your breast can be. Breast Mass Meaning.
From www2.cooperhealth.org
Dense Breast Clinic Cooper University Health Care Breast Mass Meaning A breast lump that's painless, hard, has irregular edges and is different from the breast tissue around it might be breast cancer. Finding a lump in your breast can be scary because your initial thought may be breast cancer. Breast cancer is a kind of cancer that begins as a growth of cells in the breast tissue. A breast lump. Breast Mass Meaning.
From www.mdpi.com
Mathematics Free FullText TwoView Mammographic Breast Mass Meaning While a breast lump can be a sign of breast cancer, it’s usually. A breast lump is a mass, growth, or swelling within the breast tissue. Breast cancer is a kind of cancer that begins as a growth of cells in the breast tissue. Finding a lump in your breast can be scary because your initial thought may be breast. Breast Mass Meaning.
From www.keranews.org
Dense Breast Tissue Troubles With Mammograms And Breast Cancer KERA News Breast Mass Meaning How your breasts should feel. Mastitis, or an infection of the breast. While lumps in the breast don’t always mean cancer, they. A breast lump that's painless, hard, has irregular edges and is different from the breast tissue around it might be breast cancer. While finding a lump in your breast can be concerning, it is. A breast lump is. Breast Mass Meaning.