Bunion Metatarsal . Technically speaking, the word bunion refers specifically to an enlarged bump made of bone and sometimes including an inflamed bursa. Bunion a bunion is a bony bump that forms on the outside edge of the first mtp joint. Bunions develop at the mtp joint. Hv manifests with the proximal. This inflammation is caused by the bony. The bones of the foot and the metatarsophalangeal (mtp) joint. As a result of a bunion formation, a condition called hallux valgus may develop which is when the big toe deviates or points towards the other toes. They affect the metatarsophalangeal (mtp) joint where the base of your big toe meets your foot. Hallux valgus (hv), also known as a bunion, is one of the most common forefoot deformities. A bunion is a deformity of the metatarsophalangeal (mtp) joint at the base of the big toe. The largest of the two is the metatarsophalangeal joint (mtp), where the first long bone of the foot (metatarsal) meets the first bone of the toe (phalanx). A bunion develops when the first metatarsal bone of the foot turns outward and the big toe points inward (toward the other toes), causing the joint to jut out (see anatomy of a bunion).
from www.simplyfeet.co.uk
Bunion a bunion is a bony bump that forms on the outside edge of the first mtp joint. A bunion is a deformity of the metatarsophalangeal (mtp) joint at the base of the big toe. As a result of a bunion formation, a condition called hallux valgus may develop which is when the big toe deviates or points towards the other toes. Hv manifests with the proximal. Technically speaking, the word bunion refers specifically to an enlarged bump made of bone and sometimes including an inflamed bursa. Bunions develop at the mtp joint. The bones of the foot and the metatarsophalangeal (mtp) joint. The largest of the two is the metatarsophalangeal joint (mtp), where the first long bone of the foot (metatarsal) meets the first bone of the toe (phalanx). Hallux valgus (hv), also known as a bunion, is one of the most common forefoot deformities. A bunion develops when the first metatarsal bone of the foot turns outward and the big toe points inward (toward the other toes), causing the joint to jut out (see anatomy of a bunion).
GelX Double Bunion Metatarsal Sleeve
Bunion Metatarsal Bunion a bunion is a bony bump that forms on the outside edge of the first mtp joint. Bunions develop at the mtp joint. Technically speaking, the word bunion refers specifically to an enlarged bump made of bone and sometimes including an inflamed bursa. Hv manifests with the proximal. The largest of the two is the metatarsophalangeal joint (mtp), where the first long bone of the foot (metatarsal) meets the first bone of the toe (phalanx). A bunion develops when the first metatarsal bone of the foot turns outward and the big toe points inward (toward the other toes), causing the joint to jut out (see anatomy of a bunion). As a result of a bunion formation, a condition called hallux valgus may develop which is when the big toe deviates or points towards the other toes. Bunion a bunion is a bony bump that forms on the outside edge of the first mtp joint. They affect the metatarsophalangeal (mtp) joint where the base of your big toe meets your foot. Hallux valgus (hv), also known as a bunion, is one of the most common forefoot deformities. The bones of the foot and the metatarsophalangeal (mtp) joint. A bunion is a deformity of the metatarsophalangeal (mtp) joint at the base of the big toe. This inflammation is caused by the bony.
From boundbobskryptis.blogspot.com
Metatarsal Anatomy Anatomical Charts & Posters Bunion Metatarsal The largest of the two is the metatarsophalangeal joint (mtp), where the first long bone of the foot (metatarsal) meets the first bone of the toe (phalanx). They affect the metatarsophalangeal (mtp) joint where the base of your big toe meets your foot. A bunion is a deformity of the metatarsophalangeal (mtp) joint at the base of the big toe.. Bunion Metatarsal.
From www.totallyfeet.net
Bunions Bunion Treatment Bunion Surgery Bunion Pain Bunion Metatarsal Bunion a bunion is a bony bump that forms on the outside edge of the first mtp joint. Technically speaking, the word bunion refers specifically to an enlarged bump made of bone and sometimes including an inflamed bursa. This inflammation is caused by the bony. Hallux valgus (hv), also known as a bunion, is one of the most common forefoot. Bunion Metatarsal.
From www.michiganfootdoctors.com
Tailor's Bunion Surgery Recovery Time [Causes, Symptoms & Treatment!] Bunion Metatarsal A bunion is a deformity of the metatarsophalangeal (mtp) joint at the base of the big toe. Bunion a bunion is a bony bump that forms on the outside edge of the first mtp joint. This inflammation is caused by the bony. They affect the metatarsophalangeal (mtp) joint where the base of your big toe meets your foot. The largest. Bunion Metatarsal.
From www.chirurgie-du-pied.fr
Taylor bunion Chirurgie du Pied Bunion Metatarsal Hallux valgus (hv), also known as a bunion, is one of the most common forefoot deformities. They affect the metatarsophalangeal (mtp) joint where the base of your big toe meets your foot. This inflammation is caused by the bony. A bunion is a deformity of the metatarsophalangeal (mtp) joint at the base of the big toe. A bunion develops when. Bunion Metatarsal.
From www.simplyfeet.co.uk
GelX Double Bunion Metatarsal Sleeve Bunion Metatarsal A bunion develops when the first metatarsal bone of the foot turns outward and the big toe points inward (toward the other toes), causing the joint to jut out (see anatomy of a bunion). As a result of a bunion formation, a condition called hallux valgus may develop which is when the big toe deviates or points towards the other. Bunion Metatarsal.
From www.gehwolfootcare.com
Metatarsal and bunion cushion with elastic bandage Gehwol Footcare Bunion Metatarsal They affect the metatarsophalangeal (mtp) joint where the base of your big toe meets your foot. Hv manifests with the proximal. As a result of a bunion formation, a condition called hallux valgus may develop which is when the big toe deviates or points towards the other toes. Hallux valgus (hv), also known as a bunion, is one of the. Bunion Metatarsal.
From bellevuefoot.com
The syndesmosis bunionectomy — Bellevue Podiatric Physicians Bunion Metatarsal As a result of a bunion formation, a condition called hallux valgus may develop which is when the big toe deviates or points towards the other toes. A bunion develops when the first metatarsal bone of the foot turns outward and the big toe points inward (toward the other toes), causing the joint to jut out (see anatomy of a. Bunion Metatarsal.
From anyasreviews.com
How To Help Your Bunions If You Don't Want Surgery Anya's Reviews Bunion Metatarsal They affect the metatarsophalangeal (mtp) joint where the base of your big toe meets your foot. The largest of the two is the metatarsophalangeal joint (mtp), where the first long bone of the foot (metatarsal) meets the first bone of the toe (phalanx). Bunion a bunion is a bony bump that forms on the outside edge of the first mtp. Bunion Metatarsal.
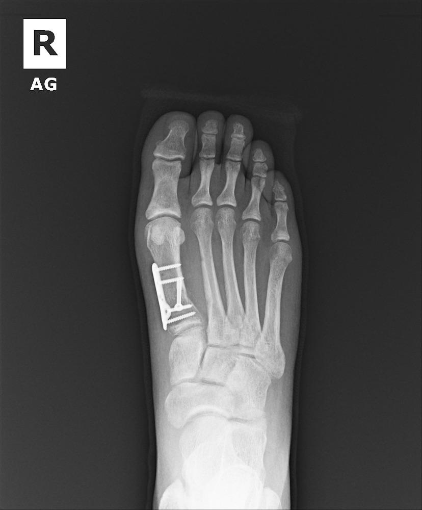
From www.reddit.com
Xray for bunionectomy and first metatarsal osteotomy r/bunions Bunion Metatarsal Bunions develop at the mtp joint. As a result of a bunion formation, a condition called hallux valgus may develop which is when the big toe deviates or points towards the other toes. This inflammation is caused by the bony. A bunion is a deformity of the metatarsophalangeal (mtp) joint at the base of the big toe. Bunion a bunion. Bunion Metatarsal.
From advancedortho.org
What is a Bunion Advanced Orthopedic & Sports Medicine Specialists Bunion Metatarsal As a result of a bunion formation, a condition called hallux valgus may develop which is when the big toe deviates or points towards the other toes. Technically speaking, the word bunion refers specifically to an enlarged bump made of bone and sometimes including an inflamed bursa. Bunion a bunion is a bony bump that forms on the outside edge. Bunion Metatarsal.
From www.lapiplasty.com
What is a Bunion? Hallux Valgus Treace Medical Concepts, Inc. Bunion Metatarsal Bunions develop at the mtp joint. This inflammation is caused by the bony. As a result of a bunion formation, a condition called hallux valgus may develop which is when the big toe deviates or points towards the other toes. Hallux valgus (hv), also known as a bunion, is one of the most common forefoot deformities. The largest of the. Bunion Metatarsal.
From www.health.harvard.edu
Bunions and Harvard Health Bunion Metatarsal A bunion develops when the first metatarsal bone of the foot turns outward and the big toe points inward (toward the other toes), causing the joint to jut out (see anatomy of a bunion). Technically speaking, the word bunion refers specifically to an enlarged bump made of bone and sometimes including an inflamed bursa. Bunions develop at the mtp joint.. Bunion Metatarsal.
From www.orthoanswer.org
Bunions Orthoanswer Bunion Metatarsal Hv manifests with the proximal. As a result of a bunion formation, a condition called hallux valgus may develop which is when the big toe deviates or points towards the other toes. They affect the metatarsophalangeal (mtp) joint where the base of your big toe meets your foot. Technically speaking, the word bunion refers specifically to an enlarged bump made. Bunion Metatarsal.
From footanklecenteriowa.com
Bunions with Metatarsus Adductus in Ankeny and Des Moines, IA Foot Bunion Metatarsal Hallux valgus (hv), also known as a bunion, is one of the most common forefoot deformities. They affect the metatarsophalangeal (mtp) joint where the base of your big toe meets your foot. Bunions develop at the mtp joint. A bunion develops when the first metatarsal bone of the foot turns outward and the big toe points inward (toward the other. Bunion Metatarsal.
From www.local-physio.co.uk
Bunion Local Physio Bunion Metatarsal Bunions develop at the mtp joint. The largest of the two is the metatarsophalangeal joint (mtp), where the first long bone of the foot (metatarsal) meets the first bone of the toe (phalanx). Hv manifests with the proximal. A bunion is a deformity of the metatarsophalangeal (mtp) joint at the base of the big toe. As a result of a. Bunion Metatarsal.
From bellevuefoot.com
The syndesmosis bunionectomy — Bellevue Podiatric Physicians Bunion Metatarsal They affect the metatarsophalangeal (mtp) joint where the base of your big toe meets your foot. The largest of the two is the metatarsophalangeal joint (mtp), where the first long bone of the foot (metatarsal) meets the first bone of the toe (phalanx). A bunion is a deformity of the metatarsophalangeal (mtp) joint at the base of the big toe.. Bunion Metatarsal.
From lfaclinic.co.uk
Bunion Hallux Valgus Deformity Bunion Deformity Bunion Metatarsal Bunions develop at the mtp joint. The largest of the two is the metatarsophalangeal joint (mtp), where the first long bone of the foot (metatarsal) meets the first bone of the toe (phalanx). Hallux valgus (hv), also known as a bunion, is one of the most common forefoot deformities. This inflammation is caused by the bony. Hv manifests with the. Bunion Metatarsal.
From www.bunionsurgeryspecialistsllc.com
Bunions with Metatarsus Adductus Bunion Surgery Specialists Bunion Metatarsal Bunions develop at the mtp joint. Hallux valgus (hv), also known as a bunion, is one of the most common forefoot deformities. They affect the metatarsophalangeal (mtp) joint where the base of your big toe meets your foot. This inflammation is caused by the bony. Technically speaking, the word bunion refers specifically to an enlarged bump made of bone and. Bunion Metatarsal.
From www.bunionsurgeryspecialistsllc.com
Bunions with Metatarsus Adductus Bunion Surgery Specialists Bunion Metatarsal As a result of a bunion formation, a condition called hallux valgus may develop which is when the big toe deviates or points towards the other toes. A bunion is a deformity of the metatarsophalangeal (mtp) joint at the base of the big toe. The bones of the foot and the metatarsophalangeal (mtp) joint. The largest of the two is. Bunion Metatarsal.
From www.adamperler.com
Bunion Deformities Bunion Metatarsal Bunions develop at the mtp joint. They affect the metatarsophalangeal (mtp) joint where the base of your big toe meets your foot. A bunion is a deformity of the metatarsophalangeal (mtp) joint at the base of the big toe. This inflammation is caused by the bony. Bunion a bunion is a bony bump that forms on the outside edge of. Bunion Metatarsal.
From footandankleinstitute.be
or Tailor’s bunion Foot and Ankle Institute Bunion Metatarsal They affect the metatarsophalangeal (mtp) joint where the base of your big toe meets your foot. A bunion develops when the first metatarsal bone of the foot turns outward and the big toe points inward (toward the other toes), causing the joint to jut out (see anatomy of a bunion). The bones of the foot and the metatarsophalangeal (mtp) joint.. Bunion Metatarsal.
From footanklecenteriowa.com
Bunions with Metatarsus Adductus in Ankeny and Des Moines, IA Foot Bunion Metatarsal A bunion is a deformity of the metatarsophalangeal (mtp) joint at the base of the big toe. As a result of a bunion formation, a condition called hallux valgus may develop which is when the big toe deviates or points towards the other toes. The largest of the two is the metatarsophalangeal joint (mtp), where the first long bone of. Bunion Metatarsal.
From www.wrightmeded.com
Current Concepts With Revisional Bunion Surgery VLC Bunion Metatarsal Bunions develop at the mtp joint. A bunion is a deformity of the metatarsophalangeal (mtp) joint at the base of the big toe. Bunion a bunion is a bony bump that forms on the outside edge of the first mtp joint. The largest of the two is the metatarsophalangeal joint (mtp), where the first long bone of the foot (metatarsal). Bunion Metatarsal.
From findingcentre.co.uk
Bunions A 6Part Series Finding Centre Bunion Metatarsal A bunion develops when the first metatarsal bone of the foot turns outward and the big toe points inward (toward the other toes), causing the joint to jut out (see anatomy of a bunion). This inflammation is caused by the bony. A bunion is a deformity of the metatarsophalangeal (mtp) joint at the base of the big toe. Technically speaking,. Bunion Metatarsal.
From cityfootcare.com
Painful Tailor’s bunion, surgical correction of Tailor’s bunion. City Bunion Metatarsal Bunion a bunion is a bony bump that forms on the outside edge of the first mtp joint. Technically speaking, the word bunion refers specifically to an enlarged bump made of bone and sometimes including an inflamed bursa. A bunion is a deformity of the metatarsophalangeal (mtp) joint at the base of the big toe. Hv manifests with the proximal.. Bunion Metatarsal.
From www.hmpgloballearningnetwork.com
Metatarsal Head Osteotomies For Bunion Correction Bunion Metatarsal Hallux valgus (hv), also known as a bunion, is one of the most common forefoot deformities. They affect the metatarsophalangeal (mtp) joint where the base of your big toe meets your foot. A bunion develops when the first metatarsal bone of the foot turns outward and the big toe points inward (toward the other toes), causing the joint to jut. Bunion Metatarsal.
From cambridgefootandankle.com
Bunion Surgery Metatarsal Osteotomy Cambridge Foot and Ankle Clinic Bunion Metatarsal Hallux valgus (hv), also known as a bunion, is one of the most common forefoot deformities. Technically speaking, the word bunion refers specifically to an enlarged bump made of bone and sometimes including an inflamed bursa. A bunion develops when the first metatarsal bone of the foot turns outward and the big toe points inward (toward the other toes), causing. Bunion Metatarsal.
From www.footnankledoc.com
Bunions Foot & Ankle Doctors, Inc. Bunion Metatarsal Hallux valgus (hv), also known as a bunion, is one of the most common forefoot deformities. This inflammation is caused by the bony. The bones of the foot and the metatarsophalangeal (mtp) joint. As a result of a bunion formation, a condition called hallux valgus may develop which is when the big toe deviates or points towards the other toes.. Bunion Metatarsal.
From www.kevinrootmedical.com
Tailor’s Bunion KevinRoot Medical Bunion Metatarsal Bunion a bunion is a bony bump that forms on the outside edge of the first mtp joint. Bunions develop at the mtp joint. This inflammation is caused by the bony. Hallux valgus (hv), also known as a bunion, is one of the most common forefoot deformities. They affect the metatarsophalangeal (mtp) joint where the base of your big toe. Bunion Metatarsal.
From www.lfaclinic.co.uk
Deformity Treatment London Foot & Ankle Clinic Bunion Metatarsal Bunions develop at the mtp joint. The largest of the two is the metatarsophalangeal joint (mtp), where the first long bone of the foot (metatarsal) meets the first bone of the toe (phalanx). This inflammation is caused by the bony. Bunion a bunion is a bony bump that forms on the outside edge of the first mtp joint. As a. Bunion Metatarsal.
From www.hmpgloballearningnetwork.com
Metatarsal Head Osteotomies For Bunion Correction Bunion Metatarsal As a result of a bunion formation, a condition called hallux valgus may develop which is when the big toe deviates or points towards the other toes. Hallux valgus (hv), also known as a bunion, is one of the most common forefoot deformities. This inflammation is caused by the bony. Bunion a bunion is a bony bump that forms on. Bunion Metatarsal.
From www.alamy.com
Bunions. Foot of a patient with bunions (hallux valgus, centre left Bunion Metatarsal They affect the metatarsophalangeal (mtp) joint where the base of your big toe meets your foot. The largest of the two is the metatarsophalangeal joint (mtp), where the first long bone of the foot (metatarsal) meets the first bone of the toe (phalanx). This inflammation is caused by the bony. Hallux valgus (hv), also known as a bunion, is one. Bunion Metatarsal.
From journals.sagepub.com
Comparison of 2 Oblique Fifth Metatarsal Osteotomies for the Management Bunion Metatarsal The largest of the two is the metatarsophalangeal joint (mtp), where the first long bone of the foot (metatarsal) meets the first bone of the toe (phalanx). A bunion develops when the first metatarsal bone of the foot turns outward and the big toe points inward (toward the other toes), causing the joint to jut out (see anatomy of a. Bunion Metatarsal.
From faoj.org
metatarsophalangeal joint pain The Foot and Ankle Online Journal Bunion Metatarsal Hv manifests with the proximal. The largest of the two is the metatarsophalangeal joint (mtp), where the first long bone of the foot (metatarsal) meets the first bone of the toe (phalanx). Bunions develop at the mtp joint. A bunion develops when the first metatarsal bone of the foot turns outward and the big toe points inward (toward the other. Bunion Metatarsal.
From thetagoeclinic.co.uk
Bunion Surgery The Tagoe Clinic Bunion Metatarsal Hv manifests with the proximal. Bunions develop at the mtp joint. A bunion is a deformity of the metatarsophalangeal (mtp) joint at the base of the big toe. As a result of a bunion formation, a condition called hallux valgus may develop which is when the big toe deviates or points towards the other toes. Bunion a bunion is a. Bunion Metatarsal.