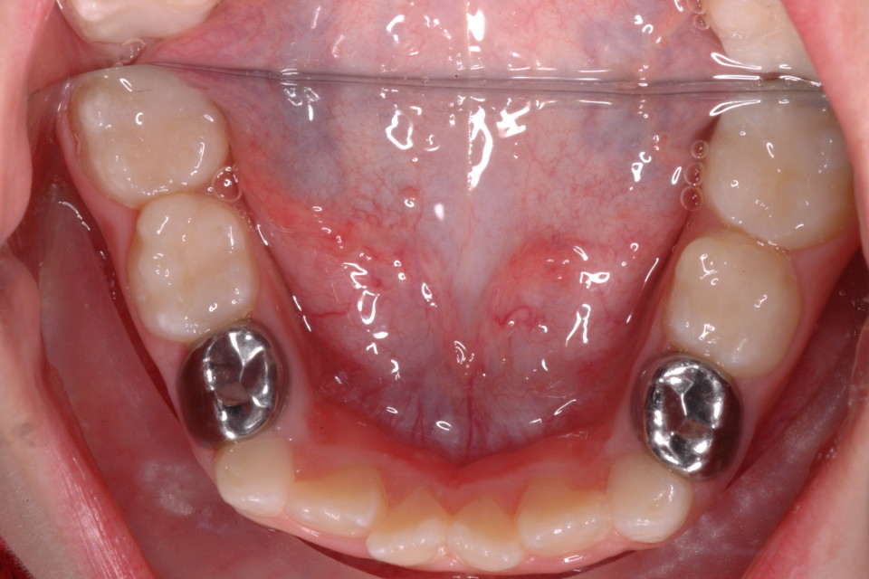
Stainless Steel Crown After Pulpotomy . Stainless steel crowns are recommended as a permanent restoration after pulpotomy, while composite resin and amalgam. Pulpotomies have been shown to have an 85%. This split mouth, randomized controlled trial compared primary molars treated with white mta pulpotomies and restored with either multi. A stainless steel crown will be cemented onto the existing tooth, which becomes its new outer surface. The stainless steel crown helps prevent the tooth from breaking down after the pulpotomy.
from 360dentalcare.com.au
Pulpotomies have been shown to have an 85%. This split mouth, randomized controlled trial compared primary molars treated with white mta pulpotomies and restored with either multi. A stainless steel crown will be cemented onto the existing tooth, which becomes its new outer surface. Stainless steel crowns are recommended as a permanent restoration after pulpotomy, while composite resin and amalgam. The stainless steel crown helps prevent the tooth from breaking down after the pulpotomy.
Stainless Steel Crown and Pulpotomy 360dentalcare
Stainless Steel Crown After Pulpotomy Stainless steel crowns are recommended as a permanent restoration after pulpotomy, while composite resin and amalgam. A stainless steel crown will be cemented onto the existing tooth, which becomes its new outer surface. The stainless steel crown helps prevent the tooth from breaking down after the pulpotomy. Stainless steel crowns are recommended as a permanent restoration after pulpotomy, while composite resin and amalgam. This split mouth, randomized controlled trial compared primary molars treated with white mta pulpotomies and restored with either multi. Pulpotomies have been shown to have an 85%.
From www.youtube.com
Biodentin Pulpotomy for Deciduous tooth in a 5 yr child followed by Stainless Steel Crown After Pulpotomy This split mouth, randomized controlled trial compared primary molars treated with white mta pulpotomies and restored with either multi. The stainless steel crown helps prevent the tooth from breaking down after the pulpotomy. A stainless steel crown will be cemented onto the existing tooth, which becomes its new outer surface. Stainless steel crowns are recommended as a permanent restoration after. Stainless Steel Crown After Pulpotomy.
From kidsworldpediatricdental.com
Pulp Treatment Kids World Pediatric Dentistry San Antonio, TX Stainless Steel Crown After Pulpotomy Pulpotomies have been shown to have an 85%. The stainless steel crown helps prevent the tooth from breaking down after the pulpotomy. This split mouth, randomized controlled trial compared primary molars treated with white mta pulpotomies and restored with either multi. A stainless steel crown will be cemented onto the existing tooth, which becomes its new outer surface. Stainless steel. Stainless Steel Crown After Pulpotomy.
From www.dentistryforkids.com.au
Restorative Stainless Steel Crown After Pulpotomy This split mouth, randomized controlled trial compared primary molars treated with white mta pulpotomies and restored with either multi. The stainless steel crown helps prevent the tooth from breaking down after the pulpotomy. Pulpotomies have been shown to have an 85%. A stainless steel crown will be cemented onto the existing tooth, which becomes its new outer surface. Stainless steel. Stainless Steel Crown After Pulpotomy.
From velezylozano.com
¿Cuándo hacer una pulpotomía? Vélez & Lozano Stainless Steel Crown After Pulpotomy This split mouth, randomized controlled trial compared primary molars treated with white mta pulpotomies and restored with either multi. Stainless steel crowns are recommended as a permanent restoration after pulpotomy, while composite resin and amalgam. Pulpotomies have been shown to have an 85%. The stainless steel crown helps prevent the tooth from breaking down after the pulpotomy. A stainless steel. Stainless Steel Crown After Pulpotomy.
From glossdentalcitypark.com
Dentist in City Park TX Gloss Dental Stainless Steel Crown Stainless Steel Crown After Pulpotomy Pulpotomies have been shown to have an 85%. Stainless steel crowns are recommended as a permanent restoration after pulpotomy, while composite resin and amalgam. A stainless steel crown will be cemented onto the existing tooth, which becomes its new outer surface. The stainless steel crown helps prevent the tooth from breaking down after the pulpotomy. This split mouth, randomized controlled. Stainless Steel Crown After Pulpotomy.
From www.bitemagazine.com.au
Pulpotomies and Stainless Steel Crowns Bite Magazine Stainless Steel Crown After Pulpotomy The stainless steel crown helps prevent the tooth from breaking down after the pulpotomy. Pulpotomies have been shown to have an 85%. This split mouth, randomized controlled trial compared primary molars treated with white mta pulpotomies and restored with either multi. A stainless steel crown will be cemented onto the existing tooth, which becomes its new outer surface. Stainless steel. Stainless Steel Crown After Pulpotomy.
From moirawongorthodontics.co.uk
Stainless steel crowns Moira Wong trading as Moira Wong Stainless Steel Crown After Pulpotomy Pulpotomies have been shown to have an 85%. The stainless steel crown helps prevent the tooth from breaking down after the pulpotomy. Stainless steel crowns are recommended as a permanent restoration after pulpotomy, while composite resin and amalgam. This split mouth, randomized controlled trial compared primary molars treated with white mta pulpotomies and restored with either multi. A stainless steel. Stainless Steel Crown After Pulpotomy.
From doctorlib.info
Endodontic Management of Primary Teeth Pediatric Dentistry a Stainless Steel Crown After Pulpotomy A stainless steel crown will be cemented onto the existing tooth, which becomes its new outer surface. Pulpotomies have been shown to have an 85%. Stainless steel crowns are recommended as a permanent restoration after pulpotomy, while composite resin and amalgam. The stainless steel crown helps prevent the tooth from breaking down after the pulpotomy. This split mouth, randomized controlled. Stainless Steel Crown After Pulpotomy.
From www.studocu.com
Ortho Pedia SEM AUG 19 Dr. Mendoza PrelimAugust 19, 2019 PULPOTOMY Stainless Steel Crown After Pulpotomy Pulpotomies have been shown to have an 85%. A stainless steel crown will be cemented onto the existing tooth, which becomes its new outer surface. The stainless steel crown helps prevent the tooth from breaking down after the pulpotomy. This split mouth, randomized controlled trial compared primary molars treated with white mta pulpotomies and restored with either multi. Stainless steel. Stainless Steel Crown After Pulpotomy.
From www.academia.edu
(PDF) Multisurface composite vs stainless steel crown restorations Stainless Steel Crown After Pulpotomy A stainless steel crown will be cemented onto the existing tooth, which becomes its new outer surface. Stainless steel crowns are recommended as a permanent restoration after pulpotomy, while composite resin and amalgam. The stainless steel crown helps prevent the tooth from breaking down after the pulpotomy. Pulpotomies have been shown to have an 85%. This split mouth, randomized controlled. Stainless Steel Crown After Pulpotomy.
From www.researchgate.net
Preoperative and postoperative radiographs of mandibular second primary Stainless Steel Crown After Pulpotomy Stainless steel crowns are recommended as a permanent restoration after pulpotomy, while composite resin and amalgam. A stainless steel crown will be cemented onto the existing tooth, which becomes its new outer surface. Pulpotomies have been shown to have an 85%. The stainless steel crown helps prevent the tooth from breaking down after the pulpotomy. This split mouth, randomized controlled. Stainless Steel Crown After Pulpotomy.
From www.afdentistry.ca
stainlesssteelcrown Alderwood Family Dentistry Stainless Steel Crown After Pulpotomy This split mouth, randomized controlled trial compared primary molars treated with white mta pulpotomies and restored with either multi. A stainless steel crown will be cemented onto the existing tooth, which becomes its new outer surface. The stainless steel crown helps prevent the tooth from breaking down after the pulpotomy. Stainless steel crowns are recommended as a permanent restoration after. Stainless Steel Crown After Pulpotomy.
From www.researchgate.net
MTA pulpotomy in a primary lower molar. a Clinical examination showing Stainless Steel Crown After Pulpotomy This split mouth, randomized controlled trial compared primary molars treated with white mta pulpotomies and restored with either multi. Pulpotomies have been shown to have an 85%. Stainless steel crowns are recommended as a permanent restoration after pulpotomy, while composite resin and amalgam. The stainless steel crown helps prevent the tooth from breaking down after the pulpotomy. A stainless steel. Stainless Steel Crown After Pulpotomy.
From www.stu-dentdiaries.com
StuDENT Diaries Pedo Stainless Steel Crown Stainless Steel Crown After Pulpotomy Stainless steel crowns are recommended as a permanent restoration after pulpotomy, while composite resin and amalgam. This split mouth, randomized controlled trial compared primary molars treated with white mta pulpotomies and restored with either multi. A stainless steel crown will be cemented onto the existing tooth, which becomes its new outer surface. Pulpotomies have been shown to have an 85%.. Stainless Steel Crown After Pulpotomy.
From www.youtube.com
Stainless Steel Crown Technique for a Primary Molar Tooth YouTube Stainless Steel Crown After Pulpotomy Pulpotomies have been shown to have an 85%. Stainless steel crowns are recommended as a permanent restoration after pulpotomy, while composite resin and amalgam. A stainless steel crown will be cemented onto the existing tooth, which becomes its new outer surface. The stainless steel crown helps prevent the tooth from breaking down after the pulpotomy. This split mouth, randomized controlled. Stainless Steel Crown After Pulpotomy.
From www.stu-dentdiaries.com
StuDENT Diaries Pedo Stainless Steel Crown Stainless Steel Crown After Pulpotomy This split mouth, randomized controlled trial compared primary molars treated with white mta pulpotomies and restored with either multi. Stainless steel crowns are recommended as a permanent restoration after pulpotomy, while composite resin and amalgam. A stainless steel crown will be cemented onto the existing tooth, which becomes its new outer surface. Pulpotomies have been shown to have an 85%.. Stainless Steel Crown After Pulpotomy.
From www.tv.odontologiavirtual.com
How to cement a Stainless Steel Crown Step by Step Stainless Steel Crown After Pulpotomy A stainless steel crown will be cemented onto the existing tooth, which becomes its new outer surface. The stainless steel crown helps prevent the tooth from breaking down after the pulpotomy. Pulpotomies have been shown to have an 85%. Stainless steel crowns are recommended as a permanent restoration after pulpotomy, while composite resin and amalgam. This split mouth, randomized controlled. Stainless Steel Crown After Pulpotomy.
From friscokidsdds.com
White Zirconia Dental Crowns for Children Dr. Paul Rubin Frisco Stainless Steel Crown After Pulpotomy This split mouth, randomized controlled trial compared primary molars treated with white mta pulpotomies and restored with either multi. Pulpotomies have been shown to have an 85%. Stainless steel crowns are recommended as a permanent restoration after pulpotomy, while composite resin and amalgam. The stainless steel crown helps prevent the tooth from breaking down after the pulpotomy. A stainless steel. Stainless Steel Crown After Pulpotomy.
From www.mdpi.com
IJERPH Free FullText Radiological Evaluation of Stainless Steel Stainless Steel Crown After Pulpotomy A stainless steel crown will be cemented onto the existing tooth, which becomes its new outer surface. The stainless steel crown helps prevent the tooth from breaking down after the pulpotomy. This split mouth, randomized controlled trial compared primary molars treated with white mta pulpotomies and restored with either multi. Pulpotomies have been shown to have an 85%. Stainless steel. Stainless Steel Crown After Pulpotomy.
From www.youtube.com
MTA Pulpotomy and zirconia crown by Casián, México. YouTube Stainless Steel Crown After Pulpotomy The stainless steel crown helps prevent the tooth from breaking down after the pulpotomy. Stainless steel crowns are recommended as a permanent restoration after pulpotomy, while composite resin and amalgam. A stainless steel crown will be cemented onto the existing tooth, which becomes its new outer surface. This split mouth, randomized controlled trial compared primary molars treated with white mta. Stainless Steel Crown After Pulpotomy.
From www.stu-dentdiaries.com
StuDENT Diaries Pedo Stainless Steel Crown Stainless Steel Crown After Pulpotomy This split mouth, randomized controlled trial compared primary molars treated with white mta pulpotomies and restored with either multi. Stainless steel crowns are recommended as a permanent restoration after pulpotomy, while composite resin and amalgam. Pulpotomies have been shown to have an 85%. A stainless steel crown will be cemented onto the existing tooth, which becomes its new outer surface.. Stainless Steel Crown After Pulpotomy.
From www.odontovida.com
ORTHODONTICS Serial extraction of primary teeth OdontoVida Stainless Steel Crown After Pulpotomy This split mouth, randomized controlled trial compared primary molars treated with white mta pulpotomies and restored with either multi. Stainless steel crowns are recommended as a permanent restoration after pulpotomy, while composite resin and amalgam. Pulpotomies have been shown to have an 85%. A stainless steel crown will be cemented onto the existing tooth, which becomes its new outer surface.. Stainless Steel Crown After Pulpotomy.
From ar.inspiredpencil.com
Stainless Steel Teeth Caps Stainless Steel Crown After Pulpotomy The stainless steel crown helps prevent the tooth from breaking down after the pulpotomy. A stainless steel crown will be cemented onto the existing tooth, which becomes its new outer surface. This split mouth, randomized controlled trial compared primary molars treated with white mta pulpotomies and restored with either multi. Pulpotomies have been shown to have an 85%. Stainless steel. Stainless Steel Crown After Pulpotomy.
From www.americancanyonkidsdentist.com
Zirconia Crowns American Canyon Pediatric Dentistry American Canyon CA Stainless Steel Crown After Pulpotomy The stainless steel crown helps prevent the tooth from breaking down after the pulpotomy. This split mouth, randomized controlled trial compared primary molars treated with white mta pulpotomies and restored with either multi. Pulpotomies have been shown to have an 85%. A stainless steel crown will be cemented onto the existing tooth, which becomes its new outer surface. Stainless steel. Stainless Steel Crown After Pulpotomy.
From www.youtube.com
Stainless Steel Crown Preparation and Placement Description shows Stainless Steel Crown After Pulpotomy A stainless steel crown will be cemented onto the existing tooth, which becomes its new outer surface. The stainless steel crown helps prevent the tooth from breaking down after the pulpotomy. Pulpotomies have been shown to have an 85%. Stainless steel crowns are recommended as a permanent restoration after pulpotomy, while composite resin and amalgam. This split mouth, randomized controlled. Stainless Steel Crown After Pulpotomy.
From www.facebook.com
Stainless steel crown is the prosthesis of choice for endodontically Stainless Steel Crown After Pulpotomy This split mouth, randomized controlled trial compared primary molars treated with white mta pulpotomies and restored with either multi. Stainless steel crowns are recommended as a permanent restoration after pulpotomy, while composite resin and amalgam. Pulpotomies have been shown to have an 85%. A stainless steel crown will be cemented onto the existing tooth, which becomes its new outer surface.. Stainless Steel Crown After Pulpotomy.
From dentagama.com
What is pulpotomy? News Dentagama Stainless Steel Crown After Pulpotomy Stainless steel crowns are recommended as a permanent restoration after pulpotomy, while composite resin and amalgam. Pulpotomies have been shown to have an 85%. This split mouth, randomized controlled trial compared primary molars treated with white mta pulpotomies and restored with either multi. A stainless steel crown will be cemented onto the existing tooth, which becomes its new outer surface.. Stainless Steel Crown After Pulpotomy.
From www.stu-dentdiaries.com
StuDENT Diaries Pedo Stainless Steel Crown Stainless Steel Crown After Pulpotomy A stainless steel crown will be cemented onto the existing tooth, which becomes its new outer surface. Pulpotomies have been shown to have an 85%. This split mouth, randomized controlled trial compared primary molars treated with white mta pulpotomies and restored with either multi. The stainless steel crown helps prevent the tooth from breaking down after the pulpotomy. Stainless steel. Stainless Steel Crown After Pulpotomy.
From www.youtube.com
Stainless Steel Crown on radiographs YouTube Stainless Steel Crown After Pulpotomy This split mouth, randomized controlled trial compared primary molars treated with white mta pulpotomies and restored with either multi. Pulpotomies have been shown to have an 85%. The stainless steel crown helps prevent the tooth from breaking down after the pulpotomy. A stainless steel crown will be cemented onto the existing tooth, which becomes its new outer surface. Stainless steel. Stainless Steel Crown After Pulpotomy.
From 360dentalcare.com.au
Stainless Steel Crown and Pulpotomy 360dentalcare Stainless Steel Crown After Pulpotomy This split mouth, randomized controlled trial compared primary molars treated with white mta pulpotomies and restored with either multi. The stainless steel crown helps prevent the tooth from breaking down after the pulpotomy. Pulpotomies have been shown to have an 85%. A stainless steel crown will be cemented onto the existing tooth, which becomes its new outer surface. Stainless steel. Stainless Steel Crown After Pulpotomy.
From www.verywellhealth.com
Pulpotomy Uses, Side Effects, and Procedure Stainless Steel Crown After Pulpotomy The stainless steel crown helps prevent the tooth from breaking down after the pulpotomy. This split mouth, randomized controlled trial compared primary molars treated with white mta pulpotomies and restored with either multi. A stainless steel crown will be cemented onto the existing tooth, which becomes its new outer surface. Stainless steel crowns are recommended as a permanent restoration after. Stainless Steel Crown After Pulpotomy.
From www.focusdentalcare.com
Pulpectomy Dental Treatment Dental Clinic in Kukatpally Stainless Steel Crown After Pulpotomy The stainless steel crown helps prevent the tooth from breaking down after the pulpotomy. Pulpotomies have been shown to have an 85%. Stainless steel crowns are recommended as a permanent restoration after pulpotomy, while composite resin and amalgam. A stainless steel crown will be cemented onto the existing tooth, which becomes its new outer surface. This split mouth, randomized controlled. Stainless Steel Crown After Pulpotomy.
From rushabhorthodontist.blogspot.com
Case Report Single Visit Pulpectomy and Stainless Steel Crown Stainless Steel Crown After Pulpotomy This split mouth, randomized controlled trial compared primary molars treated with white mta pulpotomies and restored with either multi. Pulpotomies have been shown to have an 85%. A stainless steel crown will be cemented onto the existing tooth, which becomes its new outer surface. The stainless steel crown helps prevent the tooth from breaking down after the pulpotomy. Stainless steel. Stainless Steel Crown After Pulpotomy.
From www.youtube.com
Pediatric Dentistry Procedure Stainless Steel Crown with Dr. Ana Stainless Steel Crown After Pulpotomy Pulpotomies have been shown to have an 85%. A stainless steel crown will be cemented onto the existing tooth, which becomes its new outer surface. The stainless steel crown helps prevent the tooth from breaking down after the pulpotomy. This split mouth, randomized controlled trial compared primary molars treated with white mta pulpotomies and restored with either multi. Stainless steel. Stainless Steel Crown After Pulpotomy.
From www.riendental.com.au
Restore primary teeth with stainless steel crowns. Stainless Steel Crown After Pulpotomy This split mouth, randomized controlled trial compared primary molars treated with white mta pulpotomies and restored with either multi. Stainless steel crowns are recommended as a permanent restoration after pulpotomy, while composite resin and amalgam. A stainless steel crown will be cemented onto the existing tooth, which becomes its new outer surface. The stainless steel crown helps prevent the tooth. Stainless Steel Crown After Pulpotomy.