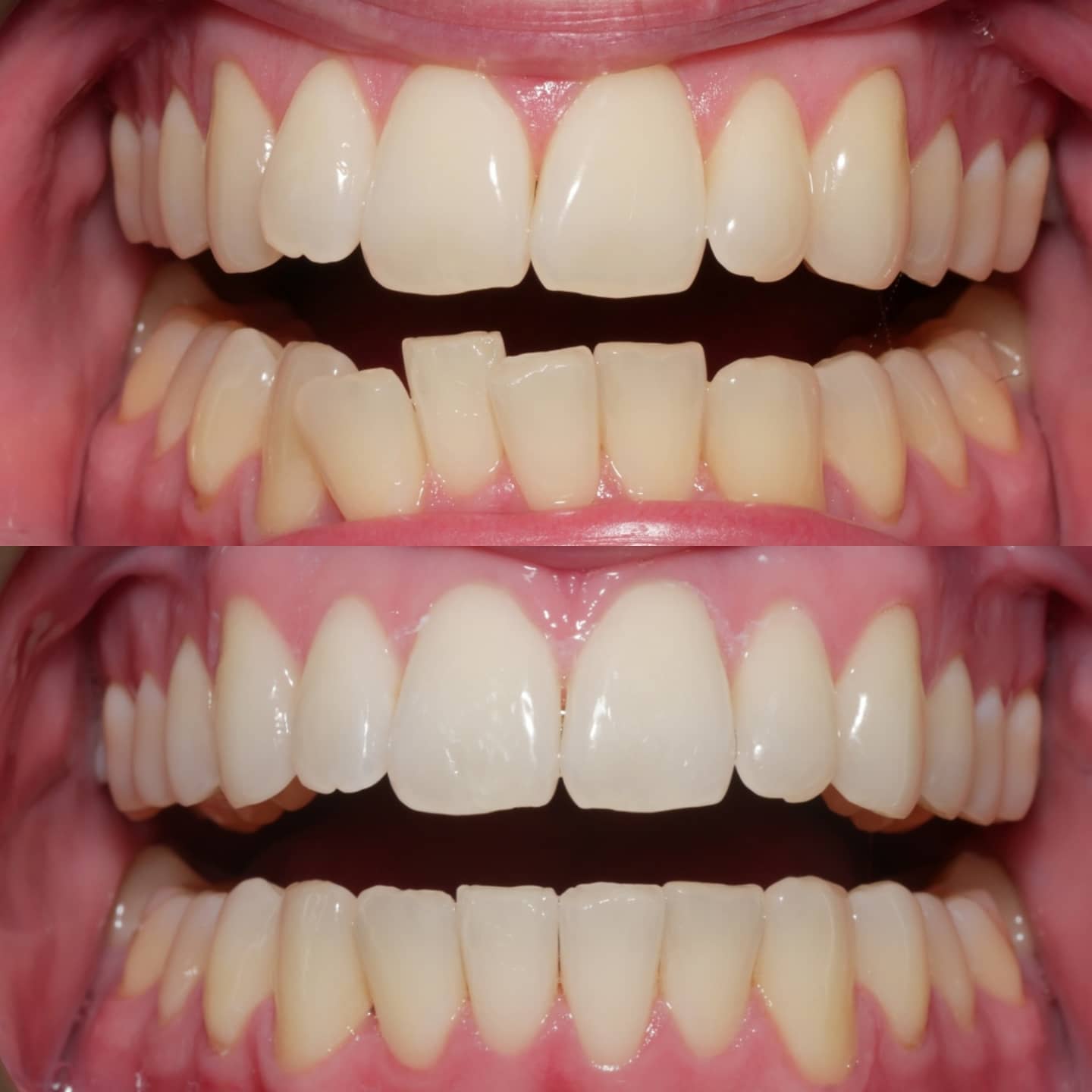
Invisalign Aligners Before And After . Meet three invisalign patients whose before and after results will inspire you to take your next step in invisalign treatment. Invisalign aligners are an excellent solution for teeth alignment problems. Invisalign aligners treat kids, teens, and adults. Luckily, invisalign aligners can treat simple to complex cases for all types of people. See the power of invisalign ®️ treatment in these real before & after photos, 1 and simulate your own. Invis is discovering your confident smile. Invisalign has improved the smiles of over 10 million customers. Below, discover the stories of real invisalign patients,. Watch invisalign reviews, and view before and after results from invisalign treatment. See the power of invisalign treatment in these real before & after photos, 2 and simulate your own potential smile transformation with invisalign. In this guide, we will explore the before and after transformations of.
from www.animalia-life.club
See the power of invisalign ®️ treatment in these real before & after photos, 1 and simulate your own. Invis is discovering your confident smile. Meet three invisalign patients whose before and after results will inspire you to take your next step in invisalign treatment. Below, discover the stories of real invisalign patients,. Invisalign aligners treat kids, teens, and adults. Invisalign aligners are an excellent solution for teeth alignment problems. Invisalign has improved the smiles of over 10 million customers. Luckily, invisalign aligners can treat simple to complex cases for all types of people. In this guide, we will explore the before and after transformations of. See the power of invisalign treatment in these real before & after photos, 2 and simulate your own potential smile transformation with invisalign.
Invisalign Before And After Overjet
Invisalign Aligners Before And After Meet three invisalign patients whose before and after results will inspire you to take your next step in invisalign treatment. See the power of invisalign ®️ treatment in these real before & after photos, 1 and simulate your own. Invisalign aligners are an excellent solution for teeth alignment problems. See the power of invisalign treatment in these real before & after photos, 2 and simulate your own potential smile transformation with invisalign. Below, discover the stories of real invisalign patients,. Invisalign aligners treat kids, teens, and adults. In this guide, we will explore the before and after transformations of. Watch invisalign reviews, and view before and after results from invisalign treatment. Invis is discovering your confident smile. Luckily, invisalign aligners can treat simple to complex cases for all types of people. Invisalign has improved the smiles of over 10 million customers. Meet three invisalign patients whose before and after results will inspire you to take your next step in invisalign treatment.
From animalia-life.club
Invisalign Before And After Crowding Invisalign Aligners Before And After Invisalign has improved the smiles of over 10 million customers. In this guide, we will explore the before and after transformations of. Meet three invisalign patients whose before and after results will inspire you to take your next step in invisalign treatment. Invisalign aligners are an excellent solution for teeth alignment problems. Below, discover the stories of real invisalign patients,.. Invisalign Aligners Before And After.
From www.parklanedental.net
Invisalign Clear Aligners in Arcadia & Temple City Parklane Dental Invisalign Aligners Before And After Watch invisalign reviews, and view before and after results from invisalign treatment. Luckily, invisalign aligners can treat simple to complex cases for all types of people. Below, discover the stories of real invisalign patients,. Invis is discovering your confident smile. See the power of invisalign treatment in these real before & after photos, 2 and simulate your own potential smile. Invisalign Aligners Before And After.
From www.freshbreathdentalclinic.in
Invisalign treatment in Kalyan nagar Invisible Braces treatment in Invisalign Aligners Before And After Invisalign aligners are an excellent solution for teeth alignment problems. Invisalign aligners treat kids, teens, and adults. Meet three invisalign patients whose before and after results will inspire you to take your next step in invisalign treatment. See the power of invisalign treatment in these real before & after photos, 2 and simulate your own potential smile transformation with invisalign.. Invisalign Aligners Before And After.
From www.queenscrowndental.com
Invisalign in Honolulu, HI Queen's Crown Dental Invisalign Aligners Before And After Invisalign aligners are an excellent solution for teeth alignment problems. Invisalign aligners treat kids, teens, and adults. Luckily, invisalign aligners can treat simple to complex cases for all types of people. Watch invisalign reviews, and view before and after results from invisalign treatment. Invisalign has improved the smiles of over 10 million customers. Below, discover the stories of real invisalign. Invisalign Aligners Before And After.
From www.braceplace.com
Invisalign® Before & After Freehold Hightstown Manalapan NJ Invisalign Aligners Before And After Below, discover the stories of real invisalign patients,. See the power of invisalign ®️ treatment in these real before & after photos, 1 and simulate your own. Meet three invisalign patients whose before and after results will inspire you to take your next step in invisalign treatment. Invis is discovering your confident smile. Invisalign aligners are an excellent solution for. Invisalign Aligners Before And After.
From cincinnatiareadentist.com
Invisalign® Cincinnati Area Dentist Invisalign Aligners Before And After Watch invisalign reviews, and view before and after results from invisalign treatment. See the power of invisalign ®️ treatment in these real before & after photos, 1 and simulate your own. Invisalign aligners are an excellent solution for teeth alignment problems. Below, discover the stories of real invisalign patients,. Invisalign aligners treat kids, teens, and adults. Meet three invisalign patients. Invisalign Aligners Before And After.
From www.youtube.com
SureSmile Update // Invisalign Invisible Aligner Tips and Tricks YouTube Invisalign Aligners Before And After See the power of invisalign ®️ treatment in these real before & after photos, 1 and simulate your own. Luckily, invisalign aligners can treat simple to complex cases for all types of people. See the power of invisalign treatment in these real before & after photos, 2 and simulate your own potential smile transformation with invisalign. Meet three invisalign patients. Invisalign Aligners Before And After.
From www.newburydentalgroup.com
Invisalign vs. Clear Aligner Kit How To Get Straight Teeth Invisalign Aligners Before And After Below, discover the stories of real invisalign patients,. In this guide, we will explore the before and after transformations of. Meet three invisalign patients whose before and after results will inspire you to take your next step in invisalign treatment. Invisalign has improved the smiles of over 10 million customers. Invisalign aligners are an excellent solution for teeth alignment problems.. Invisalign Aligners Before And After.
From www.youtube.com
Invisalign Braces Before and After Overbite, Crowding Teeth Cost Invisalign Aligners Before And After Watch invisalign reviews, and view before and after results from invisalign treatment. Invis is discovering your confident smile. Luckily, invisalign aligners can treat simple to complex cases for all types of people. In this guide, we will explore the before and after transformations of. See the power of invisalign ®️ treatment in these real before & after photos, 1 and. Invisalign Aligners Before And After.
From www.animalia-life.club
Invisalign Before And After Overjet Invisalign Aligners Before And After Meet three invisalign patients whose before and after results will inspire you to take your next step in invisalign treatment. Invisalign has improved the smiles of over 10 million customers. In this guide, we will explore the before and after transformations of. Below, discover the stories of real invisalign patients,. Watch invisalign reviews, and view before and after results from. Invisalign Aligners Before And After.
From riverdistrictdentistry.com
SureSmile & Invisalign Clear Aligners River District Dentistry Invisalign Aligners Before And After See the power of invisalign ®️ treatment in these real before & after photos, 1 and simulate your own. Meet three invisalign patients whose before and after results will inspire you to take your next step in invisalign treatment. Watch invisalign reviews, and view before and after results from invisalign treatment. Invisalign aligners are an excellent solution for teeth alignment. Invisalign Aligners Before And After.
From www.pinterest.com
Clear aligners in orthodontics Invisalign Attachments, Dentist Reviews Invisalign Aligners Before And After Invis is discovering your confident smile. In this guide, we will explore the before and after transformations of. Invisalign aligners treat kids, teens, and adults. See the power of invisalign ®️ treatment in these real before & after photos, 1 and simulate your own. Meet three invisalign patients whose before and after results will inspire you to take your next. Invisalign Aligners Before And After.
From www.animalia-life.club
Invisalign Before And After Overjet Invisalign Aligners Before And After Meet three invisalign patients whose before and after results will inspire you to take your next step in invisalign treatment. In this guide, we will explore the before and after transformations of. See the power of invisalign ®️ treatment in these real before & after photos, 1 and simulate your own. Luckily, invisalign aligners can treat simple to complex cases. Invisalign Aligners Before And After.
From www.rollinghillsdental.com
Invisalign in Palos Verdes and South Bay, California Invisalign Aligners Before And After Invisalign aligners treat kids, teens, and adults. Invisalign aligners are an excellent solution for teeth alignment problems. Below, discover the stories of real invisalign patients,. Invisalign has improved the smiles of over 10 million customers. In this guide, we will explore the before and after transformations of. Invis is discovering your confident smile. Luckily, invisalign aligners can treat simple to. Invisalign Aligners Before And After.
From drjacquiesmiles.com
Invisalign Before and After PicturesDr. Jacquie Invisalign Aligners Before And After Invisalign has improved the smiles of over 10 million customers. Invisalign aligners treat kids, teens, and adults. See the power of invisalign ®️ treatment in these real before & after photos, 1 and simulate your own. Invisalign aligners are an excellent solution for teeth alignment problems. See the power of invisalign treatment in these real before & after photos, 2. Invisalign Aligners Before And After.
From animalia-life.club
Invisalign Before And After Crowding Invisalign Aligners Before And After Meet three invisalign patients whose before and after results will inspire you to take your next step in invisalign treatment. Below, discover the stories of real invisalign patients,. Invisalign aligners are an excellent solution for teeth alignment problems. Invisalign aligners treat kids, teens, and adults. Invis is discovering your confident smile. Luckily, invisalign aligners can treat simple to complex cases. Invisalign Aligners Before And After.
From valleycreekdentalcare.com
Conventional Dental Braces vs Invisalign — Valley Creek Dental Care Invisalign Aligners Before And After Invis is discovering your confident smile. In this guide, we will explore the before and after transformations of. See the power of invisalign ®️ treatment in these real before & after photos, 1 and simulate your own. Luckily, invisalign aligners can treat simple to complex cases for all types of people. Invisalign aligners are an excellent solution for teeth alignment. Invisalign Aligners Before And After.
From www.alamodentalexcellence.com
Invisalign Alamo, CA Alamo Dental Excellence General Family Dentistry Invisalign Aligners Before And After Invis is discovering your confident smile. Invisalign has improved the smiles of over 10 million customers. Invisalign aligners treat kids, teens, and adults. Below, discover the stories of real invisalign patients,. Meet three invisalign patients whose before and after results will inspire you to take your next step in invisalign treatment. Invisalign aligners are an excellent solution for teeth alignment. Invisalign Aligners Before And After.
From www.thedentalroom.com.au
Invisalign Before and After The Dental Room Invisalign Aligners Before And After See the power of invisalign treatment in these real before & after photos, 2 and simulate your own potential smile transformation with invisalign. Watch invisalign reviews, and view before and after results from invisalign treatment. Invisalign aligners are an excellent solution for teeth alignment problems. Meet three invisalign patients whose before and after results will inspire you to take your. Invisalign Aligners Before And After.
From drjacquiesmiles.com
Invisalign Before and After PicturesDr. Jacquie Invisalign Aligners Before And After See the power of invisalign treatment in these real before & after photos, 2 and simulate your own potential smile transformation with invisalign. Luckily, invisalign aligners can treat simple to complex cases for all types of people. Watch invisalign reviews, and view before and after results from invisalign treatment. See the power of invisalign ®️ treatment in these real before. Invisalign Aligners Before And After.
From orthodont-bg.org
Invisalign невидими шини Доктор Ирена Хасара С грижа за вашата Invisalign Aligners Before And After Invisalign aligners treat kids, teens, and adults. Invisalign has improved the smiles of over 10 million customers. Below, discover the stories of real invisalign patients,. Invisalign aligners are an excellent solution for teeth alignment problems. In this guide, we will explore the before and after transformations of. Meet three invisalign patients whose before and after results will inspire you to. Invisalign Aligners Before And After.
From www.kcbracesandkids.com
Invisalign in Platte City , Gladstone , Parkville , Invisalign in Invisalign Aligners Before And After Watch invisalign reviews, and view before and after results from invisalign treatment. Luckily, invisalign aligners can treat simple to complex cases for all types of people. See the power of invisalign treatment in these real before & after photos, 2 and simulate your own potential smile transformation with invisalign. See the power of invisalign ®️ treatment in these real before. Invisalign Aligners Before And After.
From www.stanleysmiles.com
Can You Get Invisalign After Braces? Stanley Dentistry Invisalign Aligners Before And After Luckily, invisalign aligners can treat simple to complex cases for all types of people. Meet three invisalign patients whose before and after results will inspire you to take your next step in invisalign treatment. In this guide, we will explore the before and after transformations of. Watch invisalign reviews, and view before and after results from invisalign treatment. Invisalign has. Invisalign Aligners Before And After.
From www.twortho.com
Invisalign in Enterprise TW Orthodontics Andalusia Invisalign Invisalign Aligners Before And After Watch invisalign reviews, and view before and after results from invisalign treatment. Below, discover the stories of real invisalign patients,. See the power of invisalign ®️ treatment in these real before & after photos, 1 and simulate your own. Invisalign has improved the smiles of over 10 million customers. See the power of invisalign treatment in these real before &. Invisalign Aligners Before And After.
From www.pinterest.com
This patient had a severe overbite. We used Invisalign aligners with Invisalign Aligners Before And After Watch invisalign reviews, and view before and after results from invisalign treatment. Meet three invisalign patients whose before and after results will inspire you to take your next step in invisalign treatment. Invisalign aligners treat kids, teens, and adults. Invisalign aligners are an excellent solution for teeth alignment problems. Invisalign has improved the smiles of over 10 million customers. See. Invisalign Aligners Before And After.
From loeskcfoc.blob.core.windows.net
Pain Meds For Invisalign at Marie Wu blog Invisalign Aligners Before And After Below, discover the stories of real invisalign patients,. See the power of invisalign ®️ treatment in these real before & after photos, 1 and simulate your own. Invisalign has improved the smiles of over 10 million customers. See the power of invisalign treatment in these real before & after photos, 2 and simulate your own potential smile transformation with invisalign.. Invisalign Aligners Before And After.
From prodentalclinic.london
Professional Invisalign on Harley Street Pro Dental Clinic Invisalign Aligners Before And After Below, discover the stories of real invisalign patients,. Meet three invisalign patients whose before and after results will inspire you to take your next step in invisalign treatment. See the power of invisalign treatment in these real before & after photos, 2 and simulate your own potential smile transformation with invisalign. Invisalign aligners are an excellent solution for teeth alignment. Invisalign Aligners Before And After.
From www.stachelorthodonticsnyc.com
What Is Invisalign, and How Does It Work? Stachel Orthodontics Invisalign Aligners Before And After Luckily, invisalign aligners can treat simple to complex cases for all types of people. See the power of invisalign treatment in these real before & after photos, 2 and simulate your own potential smile transformation with invisalign. Watch invisalign reviews, and view before and after results from invisalign treatment. Invisalign has improved the smiles of over 10 million customers. See. Invisalign Aligners Before And After.
From www.209nycdental.com
Invisalign NYC Free Consultation Top Invisalign Dentist in New York Invisalign Aligners Before And After See the power of invisalign ®️ treatment in these real before & after photos, 1 and simulate your own. In this guide, we will explore the before and after transformations of. Watch invisalign reviews, and view before and after results from invisalign treatment. Invisalign aligners are an excellent solution for teeth alignment problems. Invisalign aligners treat kids, teens, and adults.. Invisalign Aligners Before And After.
From talkativedesigner.blogspot.com
Invisalign Jaw Alignment Before And After Before And After Invisalign Aligners Before And After See the power of invisalign ®️ treatment in these real before & after photos, 1 and simulate your own. Invisalign has improved the smiles of over 10 million customers. Invisalign aligners are an excellent solution for teeth alignment problems. Watch invisalign reviews, and view before and after results from invisalign treatment. Invis is discovering your confident smile. Below, discover the. Invisalign Aligners Before And After.
From www.90210dentist.net
Invisalign® The Next Evolution of Braces Dr. Kevin Sands Invisalign Aligners Before And After Invisalign has improved the smiles of over 10 million customers. Invis is discovering your confident smile. See the power of invisalign ®️ treatment in these real before & after photos, 1 and simulate your own. Watch invisalign reviews, and view before and after results from invisalign treatment. Invisalign aligners are an excellent solution for teeth alignment problems. Luckily, invisalign aligners. Invisalign Aligners Before And After.
From smileee.co.uk
Invisalign London Invisalign Braces for Adults and Teens Invisalign Aligners Before And After Invis is discovering your confident smile. In this guide, we will explore the before and after transformations of. Invisalign has improved the smiles of over 10 million customers. Invisalign aligners treat kids, teens, and adults. See the power of invisalign treatment in these real before & after photos, 2 and simulate your own potential smile transformation with invisalign. See the. Invisalign Aligners Before And After.
From www.pinterest.com
Dentist Orlando Florida Invisalign Invisalign, Dental braces Invisalign Aligners Before And After See the power of invisalign treatment in these real before & after photos, 2 and simulate your own potential smile transformation with invisalign. In this guide, we will explore the before and after transformations of. Invisalign has improved the smiles of over 10 million customers. Meet three invisalign patients whose before and after results will inspire you to take your. Invisalign Aligners Before And After.
From sullivanheightsdental.ca
Invisalign Before and After Invisalign Treatment Transformation Invisalign Aligners Before And After Invis is discovering your confident smile. Invisalign aligners are an excellent solution for teeth alignment problems. See the power of invisalign ®️ treatment in these real before & after photos, 1 and simulate your own. Luckily, invisalign aligners can treat simple to complex cases for all types of people. Invisalign aligners treat kids, teens, and adults. Watch invisalign reviews, and. Invisalign Aligners Before And After.
From www.reddit.com
Before and after 14 aligner trays and 13 refinement trays D Invisalign Aligners Before And After See the power of invisalign ®️ treatment in these real before & after photos, 1 and simulate your own. See the power of invisalign treatment in these real before & after photos, 2 and simulate your own potential smile transformation with invisalign. Watch invisalign reviews, and view before and after results from invisalign treatment. Below, discover the stories of real. Invisalign Aligners Before And After.