What Is A Hand Knob Stroke . — clinical manifestation: Left hand weakness and sensory deficit. This anatomic landmark is responsible for intricate control of hand motor movements and has often been implicated in motor weakness following stroke. — hand knob stroke is a rare stroke with a good prognosis and a low stroke recurrence rate. — cortical ischemic stroke affecting the precentral “hand knob” area is a rare but well known stroke entity.
from www.researchgate.net
Left hand weakness and sensory deficit. — clinical manifestation: — cortical ischemic stroke affecting the precentral “hand knob” area is a rare but well known stroke entity. This anatomic landmark is responsible for intricate control of hand motor movements and has often been implicated in motor weakness following stroke. — hand knob stroke is a rare stroke with a good prognosis and a low stroke recurrence rate.
AC) Identification and delineation of the hand knob regions and... Download Scientific Diagram
What Is A Hand Knob Stroke Left hand weakness and sensory deficit. — cortical ischemic stroke affecting the precentral “hand knob” area is a rare but well known stroke entity. — hand knob stroke is a rare stroke with a good prognosis and a low stroke recurrence rate. This anatomic landmark is responsible for intricate control of hand motor movements and has often been implicated in motor weakness following stroke. — clinical manifestation: Left hand weakness and sensory deficit.
From www.cureus.com
Positive of Early TaskSpecific Training and Action Observation Mirror Therapy What Is A Hand Knob Stroke — hand knob stroke is a rare stroke with a good prognosis and a low stroke recurrence rate. — cortical ischemic stroke affecting the precentral “hand knob” area is a rare but well known stroke entity. This anatomic landmark is responsible for intricate control of hand motor movements and has often been implicated in motor weakness following stroke.. What Is A Hand Knob Stroke.
From rd.springer.com
Ischemic stroke of the cortical “hand knob” area stroke mechanisms and prognosis Springer for What Is A Hand Knob Stroke Left hand weakness and sensory deficit. — hand knob stroke is a rare stroke with a good prognosis and a low stroke recurrence rate. This anatomic landmark is responsible for intricate control of hand motor movements and has often been implicated in motor weakness following stroke. — cortical ischemic stroke affecting the precentral “hand knob” area is a. What Is A Hand Knob Stroke.
From www.academia.edu
(PDF) Cortical Hand Knob Stroke Report of 25 Cases András Folyovich Academia.edu What Is A Hand Knob Stroke — cortical ischemic stroke affecting the precentral “hand knob” area is a rare but well known stroke entity. — clinical manifestation: This anatomic landmark is responsible for intricate control of hand motor movements and has often been implicated in motor weakness following stroke. Left hand weakness and sensory deficit. — hand knob stroke is a rare stroke. What Is A Hand Knob Stroke.
From jnnp.bmj.com
“Hand Knob” infarction Journal of Neurology, Neurosurgery & Psychiatry What Is A Hand Knob Stroke — clinical manifestation: — hand knob stroke is a rare stroke with a good prognosis and a low stroke recurrence rate. This anatomic landmark is responsible for intricate control of hand motor movements and has often been implicated in motor weakness following stroke. Left hand weakness and sensory deficit. — cortical ischemic stroke affecting the precentral “hand. What Is A Hand Knob Stroke.
From www.researchgate.net
AC) Identification and delineation of the hand knob regions and... Download Scientific Diagram What Is A Hand Knob Stroke — hand knob stroke is a rare stroke with a good prognosis and a low stroke recurrence rate. Left hand weakness and sensory deficit. — clinical manifestation: — cortical ischemic stroke affecting the precentral “hand knob” area is a rare but well known stroke entity. This anatomic landmark is responsible for intricate control of hand motor movements. What Is A Hand Knob Stroke.
From www.thelancet.com
Connectivitybased approaches in stroke and recovery of function The Lancet Neurology What Is A Hand Knob Stroke — cortical ischemic stroke affecting the precentral “hand knob” area is a rare but well known stroke entity. — hand knob stroke is a rare stroke with a good prognosis and a low stroke recurrence rate. Left hand weakness and sensory deficit. — clinical manifestation: This anatomic landmark is responsible for intricate control of hand motor movements. What Is A Hand Knob Stroke.
From www.researchgate.net
Recognition of the sensorimotor cortex on conventional imaging (a)... Download Scientific Diagram What Is A Hand Knob Stroke — clinical manifestation: — hand knob stroke is a rare stroke with a good prognosis and a low stroke recurrence rate. — cortical ischemic stroke affecting the precentral “hand knob” area is a rare but well known stroke entity. This anatomic landmark is responsible for intricate control of hand motor movements and has often been implicated in. What Is A Hand Knob Stroke.
From www.thelancet.com
Atypical presentations of acute cerebrovascular syndromes The Lancet Neurology What Is A Hand Knob Stroke — clinical manifestation: This anatomic landmark is responsible for intricate control of hand motor movements and has often been implicated in motor weakness following stroke. — cortical ischemic stroke affecting the precentral “hand knob” area is a rare but well known stroke entity. Left hand weakness and sensory deficit. — hand knob stroke is a rare stroke. What Is A Hand Knob Stroke.
From www.mdpi.com
Medicina Free FullText A Narrative Review of Stroke of Cortical Hand Knob Area What Is A Hand Knob Stroke — hand knob stroke is a rare stroke with a good prognosis and a low stroke recurrence rate. — cortical ischemic stroke affecting the precentral “hand knob” area is a rare but well known stroke entity. — clinical manifestation: This anatomic landmark is responsible for intricate control of hand motor movements and has often been implicated in. What Is A Hand Knob Stroke.
From greaterwaterburyimagingcenter.org
MRI Stroke Case Study Greater Waterbury Imaging Center What Is A Hand Knob Stroke — hand knob stroke is a rare stroke with a good prognosis and a low stroke recurrence rate. This anatomic landmark is responsible for intricate control of hand motor movements and has often been implicated in motor weakness following stroke. — clinical manifestation: Left hand weakness and sensory deficit. — cortical ischemic stroke affecting the precentral “hand. What Is A Hand Knob Stroke.
From www.strokejournal.org
Cortical Hand Knob Stroke Report of 25 Cases Journal of Stroke and Cerebrovascular Diseases What Is A Hand Knob Stroke — clinical manifestation: This anatomic landmark is responsible for intricate control of hand motor movements and has often been implicated in motor weakness following stroke. Left hand weakness and sensory deficit. — cortical ischemic stroke affecting the precentral “hand knob” area is a rare but well known stroke entity. — hand knob stroke is a rare stroke. What Is A Hand Knob Stroke.
From www.cureus.com
Cureus Ischemic Infarct of the Hand Knob Gyrus Natural History, Morphology, and Localizing What Is A Hand Knob Stroke — clinical manifestation: — hand knob stroke is a rare stroke with a good prognosis and a low stroke recurrence rate. — cortical ischemic stroke affecting the precentral “hand knob” area is a rare but well known stroke entity. This anatomic landmark is responsible for intricate control of hand motor movements and has often been implicated in. What Is A Hand Knob Stroke.
From www.cmaj.ca
Hand knob stroke from cancerassociated thromboembolism CMAJ What Is A Hand Knob Stroke — cortical ischemic stroke affecting the precentral “hand knob” area is a rare but well known stroke entity. Left hand weakness and sensory deficit. — hand knob stroke is a rare stroke with a good prognosis and a low stroke recurrence rate. This anatomic landmark is responsible for intricate control of hand motor movements and has often been. What Is A Hand Knob Stroke.
From www.ajnr.org
New Morphologic Variants of the Hand Motor Cortex as Seen with MR Imaging in a Large Study What Is A Hand Knob Stroke — hand knob stroke is a rare stroke with a good prognosis and a low stroke recurrence rate. This anatomic landmark is responsible for intricate control of hand motor movements and has often been implicated in motor weakness following stroke. Left hand weakness and sensory deficit. — clinical manifestation: — cortical ischemic stroke affecting the precentral “hand. What Is A Hand Knob Stroke.
From www.cureus.com
Cureus Ischemic Infarct of the Hand Knob Gyrus Natural History, Morphology, and Localizing What Is A Hand Knob Stroke — clinical manifestation: — cortical ischemic stroke affecting the precentral “hand knob” area is a rare but well known stroke entity. This anatomic landmark is responsible for intricate control of hand motor movements and has often been implicated in motor weakness following stroke. Left hand weakness and sensory deficit. — hand knob stroke is a rare stroke. What Is A Hand Knob Stroke.
From www.mdpi.com
Medicina Free FullText A Narrative Review of Stroke of Cortical Hand Knob Area What Is A Hand Knob Stroke This anatomic landmark is responsible for intricate control of hand motor movements and has often been implicated in motor weakness following stroke. — clinical manifestation: — cortical ischemic stroke affecting the precentral “hand knob” area is a rare but well known stroke entity. — hand knob stroke is a rare stroke with a good prognosis and a. What Is A Hand Knob Stroke.
From www.ajnr.org
New Morphologic Variants of the Hand Motor Cortex as Seen with MR Imaging in a Large Study What Is A Hand Knob Stroke This anatomic landmark is responsible for intricate control of hand motor movements and has often been implicated in motor weakness following stroke. — cortical ischemic stroke affecting the precentral “hand knob” area is a rare but well known stroke entity. — hand knob stroke is a rare stroke with a good prognosis and a low stroke recurrence rate.. What Is A Hand Knob Stroke.
From www.jocn-journal.com
Ischemic stroke of the “hand knob area” A case series and literature review Journal of What Is A Hand Knob Stroke Left hand weakness and sensory deficit. This anatomic landmark is responsible for intricate control of hand motor movements and has often been implicated in motor weakness following stroke. — clinical manifestation: — hand knob stroke is a rare stroke with a good prognosis and a low stroke recurrence rate. — cortical ischemic stroke affecting the precentral “hand. What Is A Hand Knob Stroke.
From www.journalmc.org
Hand Monoparesis Due to Small Cortical Ischemic Stroke, Etiology, Prognosis and Medical What Is A Hand Knob Stroke — clinical manifestation: — cortical ischemic stroke affecting the precentral “hand knob” area is a rare but well known stroke entity. — hand knob stroke is a rare stroke with a good prognosis and a low stroke recurrence rate. Left hand weakness and sensory deficit. This anatomic landmark is responsible for intricate control of hand motor movements. What Is A Hand Knob Stroke.
From www.mdpi.com
Medicina Free FullText A Narrative Review of Stroke of Cortical Hand Knob Area What Is A Hand Knob Stroke — hand knob stroke is a rare stroke with a good prognosis and a low stroke recurrence rate. Left hand weakness and sensory deficit. — clinical manifestation: — cortical ischemic stroke affecting the precentral “hand knob” area is a rare but well known stroke entity. This anatomic landmark is responsible for intricate control of hand motor movements. What Is A Hand Knob Stroke.
From www.youtube.com
The Stroke Cycle Grip and Hand Placement YouTube What Is A Hand Knob Stroke This anatomic landmark is responsible for intricate control of hand motor movements and has often been implicated in motor weakness following stroke. — cortical ischemic stroke affecting the precentral “hand knob” area is a rare but well known stroke entity. Left hand weakness and sensory deficit. — clinical manifestation: — hand knob stroke is a rare stroke. What Is A Hand Knob Stroke.
From www.researchgate.net
(PDF) A novel hand strength assessment method integrated into haptic knob for stroke rehabilitation What Is A Hand Knob Stroke — hand knob stroke is a rare stroke with a good prognosis and a low stroke recurrence rate. — clinical manifestation: This anatomic landmark is responsible for intricate control of hand motor movements and has often been implicated in motor weakness following stroke. Left hand weakness and sensory deficit. — cortical ischemic stroke affecting the precentral “hand. What Is A Hand Knob Stroke.
From www.slideserve.com
PPT STROKE PowerPoint Presentation, free download ID2418102 What Is A Hand Knob Stroke This anatomic landmark is responsible for intricate control of hand motor movements and has often been implicated in motor weakness following stroke. — clinical manifestation: — hand knob stroke is a rare stroke with a good prognosis and a low stroke recurrence rate. — cortical ischemic stroke affecting the precentral “hand knob” area is a rare but. What Is A Hand Knob Stroke.
From www.youtube.com
How To Stroke Your Knob YouTube What Is A Hand Knob Stroke — clinical manifestation: — cortical ischemic stroke affecting the precentral “hand knob” area is a rare but well known stroke entity. Left hand weakness and sensory deficit. This anatomic landmark is responsible for intricate control of hand motor movements and has often been implicated in motor weakness following stroke. — hand knob stroke is a rare stroke. What Is A Hand Knob Stroke.
From www.researchgate.net
Cortical representation of hand motor function in the "hand knob" area.... Download Scientific What Is A Hand Knob Stroke Left hand weakness and sensory deficit. — hand knob stroke is a rare stroke with a good prognosis and a low stroke recurrence rate. — cortical ischemic stroke affecting the precentral “hand knob” area is a rare but well known stroke entity. — clinical manifestation: This anatomic landmark is responsible for intricate control of hand motor movements. What Is A Hand Knob Stroke.
From www.academia.edu
(PDF) Ischemic stroke of the “hand knob area” A case series and literature review Miguel What Is A Hand Knob Stroke — clinical manifestation: This anatomic landmark is responsible for intricate control of hand motor movements and has often been implicated in motor weakness following stroke. Left hand weakness and sensory deficit. — hand knob stroke is a rare stroke with a good prognosis and a low stroke recurrence rate. — cortical ischemic stroke affecting the precentral “hand. What Is A Hand Knob Stroke.
From carparelliguitars.com
Left Hand Knobs What Is A Hand Knob Stroke — hand knob stroke is a rare stroke with a good prognosis and a low stroke recurrence rate. — cortical ischemic stroke affecting the precentral “hand knob” area is a rare but well known stroke entity. This anatomic landmark is responsible for intricate control of hand motor movements and has often been implicated in motor weakness following stroke.. What Is A Hand Knob Stroke.
From www.jneurosci.org
The Myelin Content of the Human Precentral Hand Knob Reflects Interindividual Differences in What Is A Hand Knob Stroke — clinical manifestation: Left hand weakness and sensory deficit. — hand knob stroke is a rare stroke with a good prognosis and a low stroke recurrence rate. — cortical ischemic stroke affecting the precentral “hand knob” area is a rare but well known stroke entity. This anatomic landmark is responsible for intricate control of hand motor movements. What Is A Hand Knob Stroke.
From www.cureus.com
Ischemic Infarct of the Hand Knob Gyrus Natural History, Morphology, and Localizing Value of What Is A Hand Knob Stroke — cortical ischemic stroke affecting the precentral “hand knob” area is a rare but well known stroke entity. — clinical manifestation: Left hand weakness and sensory deficit. This anatomic landmark is responsible for intricate control of hand motor movements and has often been implicated in motor weakness following stroke. — hand knob stroke is a rare stroke. What Is A Hand Knob Stroke.
From www.cureus.com
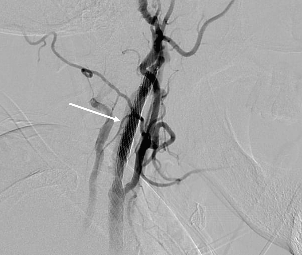
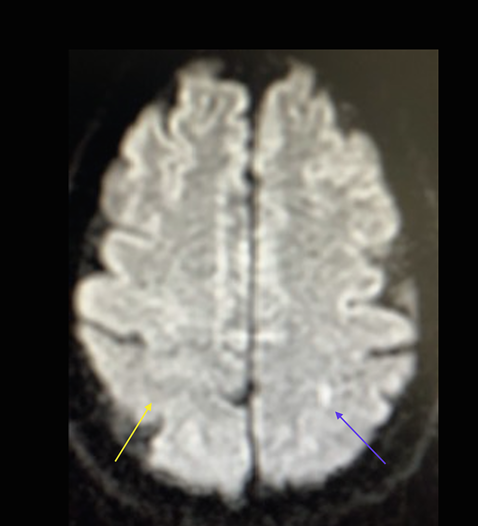
Hand Knob Syndrome Secondary to Ipsilateral Carotid Fibromuscular Dysplasia and What Is A Hand Knob Stroke Left hand weakness and sensory deficit. — cortical ischemic stroke affecting the precentral “hand knob” area is a rare but well known stroke entity. — clinical manifestation: — hand knob stroke is a rare stroke with a good prognosis and a low stroke recurrence rate. This anatomic landmark is responsible for intricate control of hand motor movements. What Is A Hand Knob Stroke.
From www.researchgate.net
resonance images of one of our patients with bilateral hand... Download Scientific What Is A Hand Knob Stroke Left hand weakness and sensory deficit. — clinical manifestation: — cortical ischemic stroke affecting the precentral “hand knob” area is a rare but well known stroke entity. — hand knob stroke is a rare stroke with a good prognosis and a low stroke recurrence rate. This anatomic landmark is responsible for intricate control of hand motor movements. What Is A Hand Knob Stroke.
From www.cureus.com
Hand Knob Syndrome Secondary to Ipsilateral Carotid Fibromuscular Dysplasia and What Is A Hand Knob Stroke — cortical ischemic stroke affecting the precentral “hand knob” area is a rare but well known stroke entity. — clinical manifestation: — hand knob stroke is a rare stroke with a good prognosis and a low stroke recurrence rate. Left hand weakness and sensory deficit. This anatomic landmark is responsible for intricate control of hand motor movements. What Is A Hand Knob Stroke.
From www.ars-neurochirurgica.com
Hand Knob Ars Neurochirurgica What Is A Hand Knob Stroke — hand knob stroke is a rare stroke with a good prognosis and a low stroke recurrence rate. — clinical manifestation: Left hand weakness and sensory deficit. This anatomic landmark is responsible for intricate control of hand motor movements and has often been implicated in motor weakness following stroke. — cortical ischemic stroke affecting the precentral “hand. What Is A Hand Knob Stroke.
From www.researchgate.net
(PDF) Clinical features, etiology, and prognosis of hand knob stroke a case series What Is A Hand Knob Stroke — hand knob stroke is a rare stroke with a good prognosis and a low stroke recurrence rate. Left hand weakness and sensory deficit. — cortical ischemic stroke affecting the precentral “hand knob” area is a rare but well known stroke entity. — clinical manifestation: This anatomic landmark is responsible for intricate control of hand motor movements. What Is A Hand Knob Stroke.
From www.researchgate.net
resonance images of one of our patients with bilateral hand... Download Scientific What Is A Hand Knob Stroke This anatomic landmark is responsible for intricate control of hand motor movements and has often been implicated in motor weakness following stroke. Left hand weakness and sensory deficit. — clinical manifestation: — cortical ischemic stroke affecting the precentral “hand knob” area is a rare but well known stroke entity. — hand knob stroke is a rare stroke. What Is A Hand Knob Stroke.