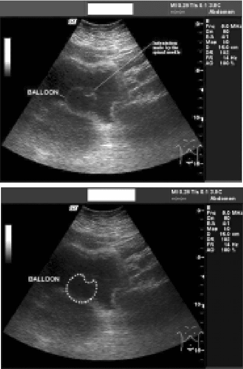
Balloon Catheter Ultrasound . This is indicative of an obstructed catheter, which can occur from a blood clot or other stricture. The sonographic image demonstrates the transverse view of the bladder distended with urine despite having a foley balloon in place (arrow). Balloon angioplasty, also known as percutaneous transluminal angioplasty (pta), is a minimally invasive procedure done to widen narrowed or obstructed blood vessels. The procedure accesses a blood vessel via a catheter inserted through an incision in the skin. Ultrasound can be used to watch inflation of the. An internal echo within the balloon due to the tubing as it runs through can usually also be seen on ultrasound. A patient’s anuria can be treated by simply flushing the catheter. Percutaneous transluminal balloon angioplasty represents the basic endovascular technique for the treatment of arterial or venous. Validation of imaging, analysis of.
from vdocuments.mx
Ultrasound can be used to watch inflation of the. Validation of imaging, analysis of. The procedure accesses a blood vessel via a catheter inserted through an incision in the skin. The sonographic image demonstrates the transverse view of the bladder distended with urine despite having a foley balloon in place (arrow). A patient’s anuria can be treated by simply flushing the catheter. Balloon angioplasty, also known as percutaneous transluminal angioplasty (pta), is a minimally invasive procedure done to widen narrowed or obstructed blood vessels. An internal echo within the balloon due to the tubing as it runs through can usually also be seen on ultrasound. This is indicative of an obstructed catheter, which can occur from a blood clot or other stricture. Percutaneous transluminal balloon angioplasty represents the basic endovascular technique for the treatment of arterial or venous.
Percutaneous Balloon Catheter Nephrostomy Guided by Ultrasound [PDF
Balloon Catheter Ultrasound The procedure accesses a blood vessel via a catheter inserted through an incision in the skin. The sonographic image demonstrates the transverse view of the bladder distended with urine despite having a foley balloon in place (arrow). Percutaneous transluminal balloon angioplasty represents the basic endovascular technique for the treatment of arterial or venous. Balloon angioplasty, also known as percutaneous transluminal angioplasty (pta), is a minimally invasive procedure done to widen narrowed or obstructed blood vessels. An internal echo within the balloon due to the tubing as it runs through can usually also be seen on ultrasound. Validation of imaging, analysis of. A patient’s anuria can be treated by simply flushing the catheter. Ultrasound can be used to watch inflation of the. The procedure accesses a blood vessel via a catheter inserted through an incision in the skin. This is indicative of an obstructed catheter, which can occur from a blood clot or other stricture.
From www.nysora.com
Ultrasound for Foley Catheter Positioning & Obstruction Identification Balloon Catheter Ultrasound Validation of imaging, analysis of. A patient’s anuria can be treated by simply flushing the catheter. An internal echo within the balloon due to the tubing as it runs through can usually also be seen on ultrasound. The sonographic image demonstrates the transverse view of the bladder distended with urine despite having a foley balloon in place (arrow). The procedure. Balloon Catheter Ultrasound.
From mavink.com
Bladder Catheter Ultrasound Balloon Catheter Ultrasound Ultrasound can be used to watch inflation of the. Balloon angioplasty, also known as percutaneous transluminal angioplasty (pta), is a minimally invasive procedure done to widen narrowed or obstructed blood vessels. An internal echo within the balloon due to the tubing as it runs through can usually also be seen on ultrasound. The procedure accesses a blood vessel via a. Balloon Catheter Ultrasound.
From pmc.ph
Urosenz Silicone Foley Balloon Catheter Progressive Medical Corporation Balloon Catheter Ultrasound The procedure accesses a blood vessel via a catheter inserted through an incision in the skin. The sonographic image demonstrates the transverse view of the bladder distended with urine despite having a foley balloon in place (arrow). Ultrasound can be used to watch inflation of the. An internal echo within the balloon due to the tubing as it runs through. Balloon Catheter Ultrasound.
From www.researchgate.net
(A) An ultrasound showed that the dilated balloon of a Foley catheter Balloon Catheter Ultrasound The procedure accesses a blood vessel via a catheter inserted through an incision in the skin. Ultrasound can be used to watch inflation of the. The sonographic image demonstrates the transverse view of the bladder distended with urine despite having a foley balloon in place (arrow). This is indicative of an obstructed catheter, which can occur from a blood clot. Balloon Catheter Ultrasound.
From vdocuments.mx
Percutaneous Balloon Catheter Nephrostomy Guided by Ultrasound [PDF Balloon Catheter Ultrasound Percutaneous transluminal balloon angioplasty represents the basic endovascular technique for the treatment of arterial or venous. The procedure accesses a blood vessel via a catheter inserted through an incision in the skin. Validation of imaging, analysis of. An internal echo within the balloon due to the tubing as it runs through can usually also be seen on ultrasound. A patient’s. Balloon Catheter Ultrasound.
From www.researchgate.net
Fluoroscopic view showing balloon catheter in the distal duodenum Balloon Catheter Ultrasound Ultrasound can be used to watch inflation of the. This is indicative of an obstructed catheter, which can occur from a blood clot or other stricture. A patient’s anuria can be treated by simply flushing the catheter. An internal echo within the balloon due to the tubing as it runs through can usually also be seen on ultrasound. The sonographic. Balloon Catheter Ultrasound.
From www.ftmeditech.com
Lithotomy Balloons Catheter FESHIN Balloon Catheter Ultrasound The sonographic image demonstrates the transverse view of the bladder distended with urine despite having a foley balloon in place (arrow). This is indicative of an obstructed catheter, which can occur from a blood clot or other stricture. Validation of imaging, analysis of. A patient’s anuria can be treated by simply flushing the catheter. The procedure accesses a blood vessel. Balloon Catheter Ultrasound.
From www.ajog.org
A new minimally invasive treatment for cesarean scar pregnancy and Balloon Catheter Ultrasound This is indicative of an obstructed catheter, which can occur from a blood clot or other stricture. A patient’s anuria can be treated by simply flushing the catheter. Balloon angioplasty, also known as percutaneous transluminal angioplasty (pta), is a minimally invasive procedure done to widen narrowed or obstructed blood vessels. Validation of imaging, analysis of. Percutaneous transluminal balloon angioplasty represents. Balloon Catheter Ultrasound.
From www.researchgate.net
Transabdominal ultrasound after emptying the bladder. The catheter Balloon Catheter Ultrasound Balloon angioplasty, also known as percutaneous transluminal angioplasty (pta), is a minimally invasive procedure done to widen narrowed or obstructed blood vessels. This is indicative of an obstructed catheter, which can occur from a blood clot or other stricture. Percutaneous transluminal balloon angioplasty represents the basic endovascular technique for the treatment of arterial or venous. Validation of imaging, analysis of.. Balloon Catheter Ultrasound.
From www.bostonscientific.com
Procedures & Treatments Boston Scientific Balloon Catheter Ultrasound Ultrasound can be used to watch inflation of the. Validation of imaging, analysis of. A patient’s anuria can be treated by simply flushing the catheter. Balloon angioplasty, also known as percutaneous transluminal angioplasty (pta), is a minimally invasive procedure done to widen narrowed or obstructed blood vessels. Percutaneous transluminal balloon angioplasty represents the basic endovascular technique for the treatment of. Balloon Catheter Ultrasound.
From westjem.com
Ultrasoundguided Placement of a Foley Catheter Using a Hydrophilic Balloon Catheter Ultrasound A patient’s anuria can be treated by simply flushing the catheter. The procedure accesses a blood vessel via a catheter inserted through an incision in the skin. Validation of imaging, analysis of. The sonographic image demonstrates the transverse view of the bladder distended with urine despite having a foley balloon in place (arrow). An internal echo within the balloon due. Balloon Catheter Ultrasound.
From www.medasil.com
Epistaxis Balloon Catheter Medical Device ENT Theatre Balloon Catheter Ultrasound The procedure accesses a blood vessel via a catheter inserted through an incision in the skin. This is indicative of an obstructed catheter, which can occur from a blood clot or other stricture. Ultrasound can be used to watch inflation of the. A patient’s anuria can be treated by simply flushing the catheter. Balloon angioplasty, also known as percutaneous transluminal. Balloon Catheter Ultrasound.
From drwes.blogspot.com
Dr. Wes High Frequency Ultrasound Balloon for Ablation Balloon Catheter Ultrasound Validation of imaging, analysis of. Percutaneous transluminal balloon angioplasty represents the basic endovascular technique for the treatment of arterial or venous. A patient’s anuria can be treated by simply flushing the catheter. Balloon angioplasty, also known as percutaneous transluminal angioplasty (pta), is a minimally invasive procedure done to widen narrowed or obstructed blood vessels. An internal echo within the balloon. Balloon Catheter Ultrasound.
From french.kyphoplastyballooncatheter.com
Cathéters de dilatation de ballon de traitement d'appoint avec Balloon Catheter Ultrasound Ultrasound can be used to watch inflation of the. Validation of imaging, analysis of. Balloon angioplasty, also known as percutaneous transluminal angioplasty (pta), is a minimally invasive procedure done to widen narrowed or obstructed blood vessels. An internal echo within the balloon due to the tubing as it runs through can usually also be seen on ultrasound. The sonographic image. Balloon Catheter Ultrasound.
From revitalhcare.com
Revital Foley Balloon Catheter Revital Healthcare Balloon Catheter Ultrasound Balloon angioplasty, also known as percutaneous transluminal angioplasty (pta), is a minimally invasive procedure done to widen narrowed or obstructed blood vessels. Ultrasound can be used to watch inflation of the. Validation of imaging, analysis of. The sonographic image demonstrates the transverse view of the bladder distended with urine despite having a foley balloon in place (arrow). This is indicative. Balloon Catheter Ultrasound.
From www.researchgate.net
A 13to 15mm balloon catheter (REN, Biliary Balloon Dilation Catheter Balloon Catheter Ultrasound An internal echo within the balloon due to the tubing as it runs through can usually also be seen on ultrasound. This is indicative of an obstructed catheter, which can occur from a blood clot or other stricture. Balloon angioplasty, also known as percutaneous transluminal angioplasty (pta), is a minimally invasive procedure done to widen narrowed or obstructed blood vessels.. Balloon Catheter Ultrasound.
From westjem.com
Ultrasoundguided Placement of a Foley Catheter Using a Hydrophilic Balloon Catheter Ultrasound Percutaneous transluminal balloon angioplasty represents the basic endovascular technique for the treatment of arterial or venous. Validation of imaging, analysis of. The sonographic image demonstrates the transverse view of the bladder distended with urine despite having a foley balloon in place (arrow). A patient’s anuria can be treated by simply flushing the catheter. An internal echo within the balloon due. Balloon Catheter Ultrasound.
From dataintelo.com
Ultrasound Balloon Catheter Coating System Market Research Report 2032 Balloon Catheter Ultrasound Percutaneous transluminal balloon angioplasty represents the basic endovascular technique for the treatment of arterial or venous. An internal echo within the balloon due to the tubing as it runs through can usually also be seen on ultrasound. This is indicative of an obstructed catheter, which can occur from a blood clot or other stricture. A patient’s anuria can be treated. Balloon Catheter Ultrasound.
From www.semanticscholar.org
[PDF] TransAbdominal UltrasoundGuided Suprapubic Puncture of a Non Balloon Catheter Ultrasound Ultrasound can be used to watch inflation of the. Balloon angioplasty, also known as percutaneous transluminal angioplasty (pta), is a minimally invasive procedure done to widen narrowed or obstructed blood vessels. Validation of imaging, analysis of. The sonographic image demonstrates the transverse view of the bladder distended with urine despite having a foley balloon in place (arrow). A patient’s anuria. Balloon Catheter Ultrasound.
From www.wellermedical.com
disposable dilatation cervical ripening balloon catheter, Balloon Catheter Ultrasound Percutaneous transluminal balloon angioplasty represents the basic endovascular technique for the treatment of arterial or venous. Validation of imaging, analysis of. Ultrasound can be used to watch inflation of the. The sonographic image demonstrates the transverse view of the bladder distended with urine despite having a foley balloon in place (arrow). An internal echo within the balloon due to the. Balloon Catheter Ultrasound.
From www.semanticscholar.org
[PDF] Role of Balloon Guide Catheter in Modern Endovascular Balloon Catheter Ultrasound This is indicative of an obstructed catheter, which can occur from a blood clot or other stricture. An internal echo within the balloon due to the tubing as it runs through can usually also be seen on ultrasound. A patient’s anuria can be treated by simply flushing the catheter. The procedure accesses a blood vessel via a catheter inserted through. Balloon Catheter Ultrasound.
From www.heartrhythmjournal.com
Pulmonary vein isolation by highintensity focused ultrasound Firstin Balloon Catheter Ultrasound The procedure accesses a blood vessel via a catheter inserted through an incision in the skin. This is indicative of an obstructed catheter, which can occur from a blood clot or other stricture. An internal echo within the balloon due to the tubing as it runs through can usually also be seen on ultrasound. The sonographic image demonstrates the transverse. Balloon Catheter Ultrasound.
From mmt-inc.com
Balloon Catheter Medical Manufacturing Technologies (MMT) Balloon Catheter Ultrasound Ultrasound can be used to watch inflation of the. Balloon angioplasty, also known as percutaneous transluminal angioplasty (pta), is a minimally invasive procedure done to widen narrowed or obstructed blood vessels. Validation of imaging, analysis of. This is indicative of an obstructed catheter, which can occur from a blood clot or other stricture. Percutaneous transluminal balloon angioplasty represents the basic. Balloon Catheter Ultrasound.
From www.semanticscholar.org
Figure 1 from A novel ultrasound controlled paclitaxel releasing Balloon Catheter Ultrasound Percutaneous transluminal balloon angioplasty represents the basic endovascular technique for the treatment of arterial or venous. Validation of imaging, analysis of. Ultrasound can be used to watch inflation of the. This is indicative of an obstructed catheter, which can occur from a blood clot or other stricture. A patient’s anuria can be treated by simply flushing the catheter. The sonographic. Balloon Catheter Ultrasound.
From www.thecardiologyadvisor.com
Use of IkariCurve Left Guiding Catheters During Balloon Pulmonary Balloon Catheter Ultrasound The sonographic image demonstrates the transverse view of the bladder distended with urine despite having a foley balloon in place (arrow). Percutaneous transluminal balloon angioplasty represents the basic endovascular technique for the treatment of arterial or venous. Validation of imaging, analysis of. This is indicative of an obstructed catheter, which can occur from a blood clot or other stricture. The. Balloon Catheter Ultrasound.
From www.mdpi.com
Pharmaceutics Free FullText UltrasoundTriggerable Coatings for Balloon Catheter Ultrasound A patient’s anuria can be treated by simply flushing the catheter. Balloon angioplasty, also known as percutaneous transluminal angioplasty (pta), is a minimally invasive procedure done to widen narrowed or obstructed blood vessels. An internal echo within the balloon due to the tubing as it runs through can usually also be seen on ultrasound. Percutaneous transluminal balloon angioplasty represents the. Balloon Catheter Ultrasound.
From www.yingmed.com
4Way Double Balloons Foley Catheter_Urology Products_Ningbo Yingmed Balloon Catheter Ultrasound The procedure accesses a blood vessel via a catheter inserted through an incision in the skin. An internal echo within the balloon due to the tubing as it runs through can usually also be seen on ultrasound. Balloon angioplasty, also known as percutaneous transluminal angioplasty (pta), is a minimally invasive procedure done to widen narrowed or obstructed blood vessels. This. Balloon Catheter Ultrasound.
From www.youtube.com
Reliant MultiStage Balloon Catheter Tutorial YouTube Balloon Catheter Ultrasound This is indicative of an obstructed catheter, which can occur from a blood clot or other stricture. Percutaneous transluminal balloon angioplasty represents the basic endovascular technique for the treatment of arterial or venous. Validation of imaging, analysis of. Ultrasound can be used to watch inflation of the. An internal echo within the balloon due to the tubing as it runs. Balloon Catheter Ultrasound.
From mydevicemd.com
DeviceMD ECLIPSE 2L DUAL LUMEN BALLOON CATHETER Balloon Catheter Ultrasound Percutaneous transluminal balloon angioplasty represents the basic endovascular technique for the treatment of arterial or venous. Balloon angioplasty, also known as percutaneous transluminal angioplasty (pta), is a minimally invasive procedure done to widen narrowed or obstructed blood vessels. The procedure accesses a blood vessel via a catheter inserted through an incision in the skin. The sonographic image demonstrates the transverse. Balloon Catheter Ultrasound.
From www.researchgate.net
A. Transabdominal ultrasound image (sagittal view) of Foley catheter Balloon Catheter Ultrasound The procedure accesses a blood vessel via a catheter inserted through an incision in the skin. Percutaneous transluminal balloon angioplasty represents the basic endovascular technique for the treatment of arterial or venous. Validation of imaging, analysis of. Balloon angioplasty, also known as percutaneous transluminal angioplasty (pta), is a minimally invasive procedure done to widen narrowed or obstructed blood vessels. Ultrasound. Balloon Catheter Ultrasound.
From www.jem-journal.com
UltrasoundGuided Resuscitative Endovascular Balloon Occlusion of the Balloon Catheter Ultrasound The procedure accesses a blood vessel via a catheter inserted through an incision in the skin. Validation of imaging, analysis of. The sonographic image demonstrates the transverse view of the bladder distended with urine despite having a foley balloon in place (arrow). This is indicative of an obstructed catheter, which can occur from a blood clot or other stricture. Percutaneous. Balloon Catheter Ultrasound.
From www.researchgate.net
Ultrasound images of the subsequent and main steps of inserting double Balloon Catheter Ultrasound Balloon angioplasty, also known as percutaneous transluminal angioplasty (pta), is a minimally invasive procedure done to widen narrowed or obstructed blood vessels. A patient’s anuria can be treated by simply flushing the catheter. The sonographic image demonstrates the transverse view of the bladder distended with urine despite having a foley balloon in place (arrow). This is indicative of an obstructed. Balloon Catheter Ultrasound.
From french.kyphoplastyballooncatheter.com
3 Le ballon de cathéter de ballon de dilatation d'étape adopte multi Balloon Catheter Ultrasound Ultrasound can be used to watch inflation of the. The procedure accesses a blood vessel via a catheter inserted through an incision in the skin. Validation of imaging, analysis of. The sonographic image demonstrates the transverse view of the bladder distended with urine despite having a foley balloon in place (arrow). This is indicative of an obstructed catheter, which can. Balloon Catheter Ultrasound.
From www.researchgate.net
(PDF) Doubleballoon cervical ripening catheter works well as an Balloon Catheter Ultrasound Validation of imaging, analysis of. Percutaneous transluminal balloon angioplasty represents the basic endovascular technique for the treatment of arterial or venous. Balloon angioplasty, also known as percutaneous transluminal angioplasty (pta), is a minimally invasive procedure done to widen narrowed or obstructed blood vessels. Ultrasound can be used to watch inflation of the. This is indicative of an obstructed catheter, which. Balloon Catheter Ultrasound.
From www.youtube.com
Balloon Catheters YouTube Balloon Catheter Ultrasound A patient’s anuria can be treated by simply flushing the catheter. The sonographic image demonstrates the transverse view of the bladder distended with urine despite having a foley balloon in place (arrow). Percutaneous transluminal balloon angioplasty represents the basic endovascular technique for the treatment of arterial or venous. Balloon angioplasty, also known as percutaneous transluminal angioplasty (pta), is a minimally. Balloon Catheter Ultrasound.