What Is A Hinge Skull Fracture . — a basilar skull fracture is a type of traumatic head injury that involves a break in one or more bones at the base of the skull. A depressed fracture is one where the bone displaces toward. — a hinge fracture crosses the skull base transversely and involves the temporal and sphenoid bones. — learn about the causes, symptoms, diagnosis, and treatment of skull fractures, which are breaks in one or more. Learn about the different types of skull fractures, including. basilar fractures of the skull, also known as base of skull fractures, are a common form of skull fracture, particularly in the setting. — a skull fracture is a break in a skull bone caused by head trauma. a skull fracture is a bone break in your skull that can affect your brain.
from www.osmosis.org
— a hinge fracture crosses the skull base transversely and involves the temporal and sphenoid bones. a skull fracture is a bone break in your skull that can affect your brain. — learn about the causes, symptoms, diagnosis, and treatment of skull fractures, which are breaks in one or more. — a skull fracture is a break in a skull bone caused by head trauma. basilar fractures of the skull, also known as base of skull fractures, are a common form of skull fracture, particularly in the setting. A depressed fracture is one where the bone displaces toward. Learn about the different types of skull fractures, including. — a basilar skull fracture is a type of traumatic head injury that involves a break in one or more bones at the base of the skull.
Basilar Skull Fracture What Is It, Causes, Symptoms, and More
What Is A Hinge Skull Fracture — a skull fracture is a break in a skull bone caused by head trauma. — a basilar skull fracture is a type of traumatic head injury that involves a break in one or more bones at the base of the skull. a skull fracture is a bone break in your skull that can affect your brain. — a hinge fracture crosses the skull base transversely and involves the temporal and sphenoid bones. basilar fractures of the skull, also known as base of skull fractures, are a common form of skull fracture, particularly in the setting. — a skull fracture is a break in a skull bone caused by head trauma. — learn about the causes, symptoms, diagnosis, and treatment of skull fractures, which are breaks in one or more. A depressed fracture is one where the bone displaces toward. Learn about the different types of skull fractures, including.
From thejns.org
The Mechanism of Skull Fracture Journal of Neurosurgery What Is A Hinge Skull Fracture — a hinge fracture crosses the skull base transversely and involves the temporal and sphenoid bones. Learn about the different types of skull fractures, including. A depressed fracture is one where the bone displaces toward. — a basilar skull fracture is a type of traumatic head injury that involves a break in one or more bones at the. What Is A Hinge Skull Fracture.
From pixels.com
Xray Image Of A Fractured Skull Photograph by Science Photo Library Pixels What Is A Hinge Skull Fracture — a basilar skull fracture is a type of traumatic head injury that involves a break in one or more bones at the base of the skull. — a skull fracture is a break in a skull bone caused by head trauma. — learn about the causes, symptoms, diagnosis, and treatment of skull fractures, which are breaks. What Is A Hinge Skull Fracture.
From anatomicaljustice.com
Right Craniotomy and Repair of Skull Fractures What Is A Hinge Skull Fracture — a skull fracture is a break in a skull bone caused by head trauma. — a hinge fracture crosses the skull base transversely and involves the temporal and sphenoid bones. Learn about the different types of skull fractures, including. — a basilar skull fracture is a type of traumatic head injury that involves a break in. What Is A Hinge Skull Fracture.
From radiopaedia.org
Skull fracture (linear) Image What Is A Hinge Skull Fracture — learn about the causes, symptoms, diagnosis, and treatment of skull fractures, which are breaks in one or more. Learn about the different types of skull fractures, including. — a basilar skull fracture is a type of traumatic head injury that involves a break in one or more bones at the base of the skull. A depressed fracture. What Is A Hinge Skull Fracture.
From www.emdocs.net
Emergency Medicine EducationBursting at the Skull Skull Fractures What Is A Hinge Skull Fracture — learn about the causes, symptoms, diagnosis, and treatment of skull fractures, which are breaks in one or more. A depressed fracture is one where the bone displaces toward. — a skull fracture is a break in a skull bone caused by head trauma. — a hinge fracture crosses the skull base transversely and involves the temporal. What Is A Hinge Skull Fracture.
From www.vrogue.co
Types Of Skull Fractures Diagnosis Em Ent Nsg Skull G vrogue.co What Is A Hinge Skull Fracture a skull fracture is a bone break in your skull that can affect your brain. — a basilar skull fracture is a type of traumatic head injury that involves a break in one or more bones at the base of the skull. basilar fractures of the skull, also known as base of skull fractures, are a common. What Is A Hinge Skull Fracture.
From www.vrogue.co
Pictures Of Base Of Skull vrogue.co What Is A Hinge Skull Fracture — a skull fracture is a break in a skull bone caused by head trauma. — learn about the causes, symptoms, diagnosis, and treatment of skull fractures, which are breaks in one or more. Learn about the different types of skull fractures, including. — a hinge fracture crosses the skull base transversely and involves the temporal and. What Is A Hinge Skull Fracture.
From birthinjuryadvocate.com
Infant Skull Fracture Lawsuit Types Of Skull Fracture In Babies What Is A Hinge Skull Fracture Learn about the different types of skull fractures, including. — a basilar skull fracture is a type of traumatic head injury that involves a break in one or more bones at the base of the skull. — a skull fracture is a break in a skull bone caused by head trauma. basilar fractures of the skull, also. What Is A Hinge Skull Fracture.
From www.youtube.com
Regional Injuries Part 2 Skull Fracture and complications Forensic Medicine Lecture YouTube What Is A Hinge Skull Fracture — a basilar skull fracture is a type of traumatic head injury that involves a break in one or more bones at the base of the skull. — a skull fracture is a break in a skull bone caused by head trauma. A depressed fracture is one where the bone displaces toward. Learn about the different types of. What Is A Hinge Skull Fracture.
From www.researchgate.net
A case of complete hinge fracture. The arrow indicates comp lete hinge... Download Scientific What Is A Hinge Skull Fracture — a basilar skull fracture is a type of traumatic head injury that involves a break in one or more bones at the base of the skull. A depressed fracture is one where the bone displaces toward. a skull fracture is a bone break in your skull that can affect your brain. — a hinge fracture crosses. What Is A Hinge Skull Fracture.
From www.animalia-life.club
Simple Skull Fracture What Is A Hinge Skull Fracture — a hinge fracture crosses the skull base transversely and involves the temporal and sphenoid bones. a skull fracture is a bone break in your skull that can affect your brain. — a skull fracture is a break in a skull bone caused by head trauma. — learn about the causes, symptoms, diagnosis, and treatment of. What Is A Hinge Skull Fracture.
From radiopaedia.org
Skull fractures Image What Is A Hinge Skull Fracture A depressed fracture is one where the bone displaces toward. — a skull fracture is a break in a skull bone caused by head trauma. basilar fractures of the skull, also known as base of skull fractures, are a common form of skull fracture, particularly in the setting. — a hinge fracture crosses the skull base transversely. What Is A Hinge Skull Fracture.
From mungfali.com
Hinge Fracture Skull What Is A Hinge Skull Fracture — a hinge fracture crosses the skull base transversely and involves the temporal and sphenoid bones. Learn about the different types of skull fractures, including. — a skull fracture is a break in a skull bone caused by head trauma. — learn about the causes, symptoms, diagnosis, and treatment of skull fractures, which are breaks in one. What Is A Hinge Skull Fracture.
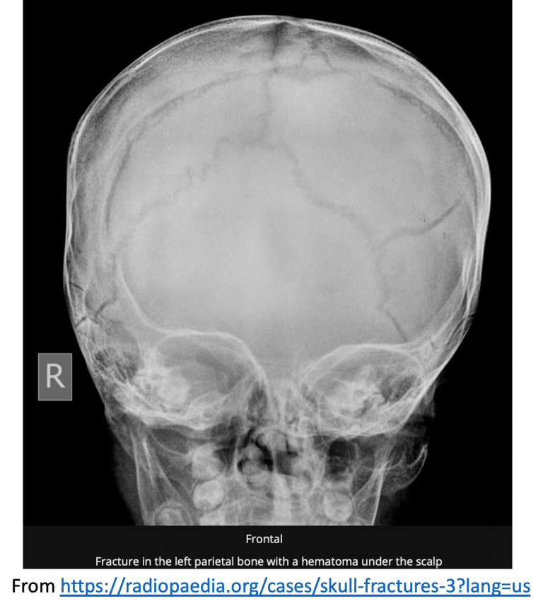
From radiopaedia.org
Image What Is A Hinge Skull Fracture — a basilar skull fracture is a type of traumatic head injury that involves a break in one or more bones at the base of the skull. A depressed fracture is one where the bone displaces toward. — a hinge fracture crosses the skull base transversely and involves the temporal and sphenoid bones. — a skull fracture. What Is A Hinge Skull Fracture.
From mavink.com
Hinge Fracture Skull What Is A Hinge Skull Fracture — a hinge fracture crosses the skull base transversely and involves the temporal and sphenoid bones. — a skull fracture is a break in a skull bone caused by head trauma. — a basilar skull fracture is a type of traumatic head injury that involves a break in one or more bones at the base of the. What Is A Hinge Skull Fracture.
From anatomicaljustice.com
Anterior Skull Fractures with Left Craniotomy and Repairs What Is A Hinge Skull Fracture Learn about the different types of skull fractures, including. a skull fracture is a bone break in your skull that can affect your brain. A depressed fracture is one where the bone displaces toward. — a skull fracture is a break in a skull bone caused by head trauma. — learn about the causes, symptoms, diagnosis, and. What Is A Hinge Skull Fracture.
From ar.inspiredpencil.com
Types Of Skull Fracture What Is A Hinge Skull Fracture — a basilar skull fracture is a type of traumatic head injury that involves a break in one or more bones at the base of the skull. A depressed fracture is one where the bone displaces toward. Learn about the different types of skull fractures, including. — a hinge fracture crosses the skull base transversely and involves the. What Is A Hinge Skull Fracture.
From mavink.com
Hinge Fracture Skull What Is A Hinge Skull Fracture — learn about the causes, symptoms, diagnosis, and treatment of skull fractures, which are breaks in one or more. — a hinge fracture crosses the skull base transversely and involves the temporal and sphenoid bones. A depressed fracture is one where the bone displaces toward. — a basilar skull fracture is a type of traumatic head injury. What Is A Hinge Skull Fracture.
From www.youtube.com
SKULL FRACTURE TYPES/ HEAD INJURIES YouTube What Is A Hinge Skull Fracture basilar fractures of the skull, also known as base of skull fractures, are a common form of skull fracture, particularly in the setting. a skull fracture is a bone break in your skull that can affect your brain. — a skull fracture is a break in a skull bone caused by head trauma. — learn about. What Is A Hinge Skull Fracture.
From mungfali.com
Hinge Fracture Skull What Is A Hinge Skull Fracture basilar fractures of the skull, also known as base of skull fractures, are a common form of skull fracture, particularly in the setting. A depressed fracture is one where the bone displaces toward. Learn about the different types of skull fractures, including. — a hinge fracture crosses the skull base transversely and involves the temporal and sphenoid bones.. What Is A Hinge Skull Fracture.
From www.animalia-life.club
Simple Skull Fracture What Is A Hinge Skull Fracture basilar fractures of the skull, also known as base of skull fractures, are a common form of skull fracture, particularly in the setting. — a skull fracture is a break in a skull bone caused by head trauma. — a hinge fracture crosses the skull base transversely and involves the temporal and sphenoid bones. Learn about the. What Is A Hinge Skull Fracture.
From www.researchgate.net
A case of complete hinge fracture. The arrow indicates comp lete hinge... Download Scientific What Is A Hinge Skull Fracture basilar fractures of the skull, also known as base of skull fractures, are a common form of skull fracture, particularly in the setting. A depressed fracture is one where the bone displaces toward. — a skull fracture is a break in a skull bone caused by head trauma. Learn about the different types of skull fractures, including. . What Is A Hinge Skull Fracture.
From radiologycases.my
Frontal bone fracture and frontal sinus injury Radiology Cases What Is A Hinge Skull Fracture — a skull fracture is a break in a skull bone caused by head trauma. — a basilar skull fracture is a type of traumatic head injury that involves a break in one or more bones at the base of the skull. basilar fractures of the skull, also known as base of skull fractures, are a common. What Is A Hinge Skull Fracture.
From fracturetreatment.blogspot.com
Types Of Skull Fracture Fracture Treatment What Is A Hinge Skull Fracture basilar fractures of the skull, also known as base of skull fractures, are a common form of skull fracture, particularly in the setting. a skull fracture is a bone break in your skull that can affect your brain. — a hinge fracture crosses the skull base transversely and involves the temporal and sphenoid bones. — a. What Is A Hinge Skull Fracture.
From www.johndpascoe.com
Skull Fracture Lawyer Facial Trauma Attorney Pascoe Law Firm What Is A Hinge Skull Fracture — a skull fracture is a break in a skull bone caused by head trauma. basilar fractures of the skull, also known as base of skull fractures, are a common form of skull fracture, particularly in the setting. a skull fracture is a bone break in your skull that can affect your brain. A depressed fracture is. What Is A Hinge Skull Fracture.
From mungfali.com
Hinge Fracture Skull What Is A Hinge Skull Fracture a skull fracture is a bone break in your skull that can affect your brain. — a basilar skull fracture is a type of traumatic head injury that involves a break in one or more bones at the base of the skull. A depressed fracture is one where the bone displaces toward. Learn about the different types of. What Is A Hinge Skull Fracture.
From orthoimplantsindia.com
Skull Fractures Types, Symptoms, Causes & Treatment Zealmax Innovations Pvt Ltd What Is A Hinge Skull Fracture basilar fractures of the skull, also known as base of skull fractures, are a common form of skull fracture, particularly in the setting. — a basilar skull fracture is a type of traumatic head injury that involves a break in one or more bones at the base of the skull. a skull fracture is a bone break. What Is A Hinge Skull Fracture.
From skullbasesurgeryatlas.stanford.edu
Fractures of the Cranial Base Skull Base Surgery Atlas What Is A Hinge Skull Fracture — a basilar skull fracture is a type of traumatic head injury that involves a break in one or more bones at the base of the skull. Learn about the different types of skull fractures, including. basilar fractures of the skull, also known as base of skull fractures, are a common form of skull fracture, particularly in the. What Is A Hinge Skull Fracture.
From anatomicaljustice.com
Superior Lateral and Inferior Skull Fractures What Is A Hinge Skull Fracture — a hinge fracture crosses the skull base transversely and involves the temporal and sphenoid bones. a skull fracture is a bone break in your skull that can affect your brain. basilar fractures of the skull, also known as base of skull fractures, are a common form of skull fracture, particularly in the setting. — a. What Is A Hinge Skull Fracture.
From skullbasesurgeryatlas.stanford.edu
Fractures of the Cranial Base Skull Base Surgery Atlas What Is A Hinge Skull Fracture basilar fractures of the skull, also known as base of skull fractures, are a common form of skull fracture, particularly in the setting. Learn about the different types of skull fractures, including. — a hinge fracture crosses the skull base transversely and involves the temporal and sphenoid bones. a skull fracture is a bone break in your. What Is A Hinge Skull Fracture.
From www.researchgate.net
The classification of lateral hinge fractures in medial closingwedge... Download Scientific What Is A Hinge Skull Fracture A depressed fracture is one where the bone displaces toward. — a skull fracture is a break in a skull bone caused by head trauma. a skull fracture is a bone break in your skull that can affect your brain. — learn about the causes, symptoms, diagnosis, and treatment of skull fractures, which are breaks in one. What Is A Hinge Skull Fracture.
From www.cureus.com
Cureus Closed Depressed Skull Fracture in Childhood Reduced with Suction Cup Vacuum Method What Is A Hinge Skull Fracture a skull fracture is a bone break in your skull that can affect your brain. — a basilar skull fracture is a type of traumatic head injury that involves a break in one or more bones at the base of the skull. basilar fractures of the skull, also known as base of skull fractures, are a common. What Is A Hinge Skull Fracture.
From www.osmosis.org
Basilar Skull Fracture What Is It, Causes, Symptoms, and More What Is A Hinge Skull Fracture — a hinge fracture crosses the skull base transversely and involves the temporal and sphenoid bones. — learn about the causes, symptoms, diagnosis, and treatment of skull fractures, which are breaks in one or more. a skull fracture is a bone break in your skull that can affect your brain. basilar fractures of the skull, also. What Is A Hinge Skull Fracture.
From pediatricimaging.org
Pediatric Skull Fracture Pediatric Radiology Reference Article Pediatric Imaging pedsimaging What Is A Hinge Skull Fracture — a skull fracture is a break in a skull bone caused by head trauma. — learn about the causes, symptoms, diagnosis, and treatment of skull fractures, which are breaks in one or more. a skull fracture is a bone break in your skull that can affect your brain. — a basilar skull fracture is a. What Is A Hinge Skull Fracture.
From www.presentationgroup.com
Skull Fractures Medical Legal Illustration What Is A Hinge Skull Fracture basilar fractures of the skull, also known as base of skull fractures, are a common form of skull fracture, particularly in the setting. — a skull fracture is a break in a skull bone caused by head trauma. a skull fracture is a bone break in your skull that can affect your brain. — a hinge. What Is A Hinge Skull Fracture.