What Is A Mri Negative Stroke . Brain mri with dwi has the most sensitivity and specificity and is the best option to diagnose acute stroke. Neuroimaging in the evaluation of acute stroke is used to differentiate hemorrhage from ischemic stroke, to assess the degree of. It is superior to ncct to early detection of acute ischemic. With the increasing use of dwi as the imaging of choice in acute stroke, dwi negative stroke must be considered in patients who.
from www.cureus.com
With the increasing use of dwi as the imaging of choice in acute stroke, dwi negative stroke must be considered in patients who. It is superior to ncct to early detection of acute ischemic. Neuroimaging in the evaluation of acute stroke is used to differentiate hemorrhage from ischemic stroke, to assess the degree of. Brain mri with dwi has the most sensitivity and specificity and is the best option to diagnose acute stroke.
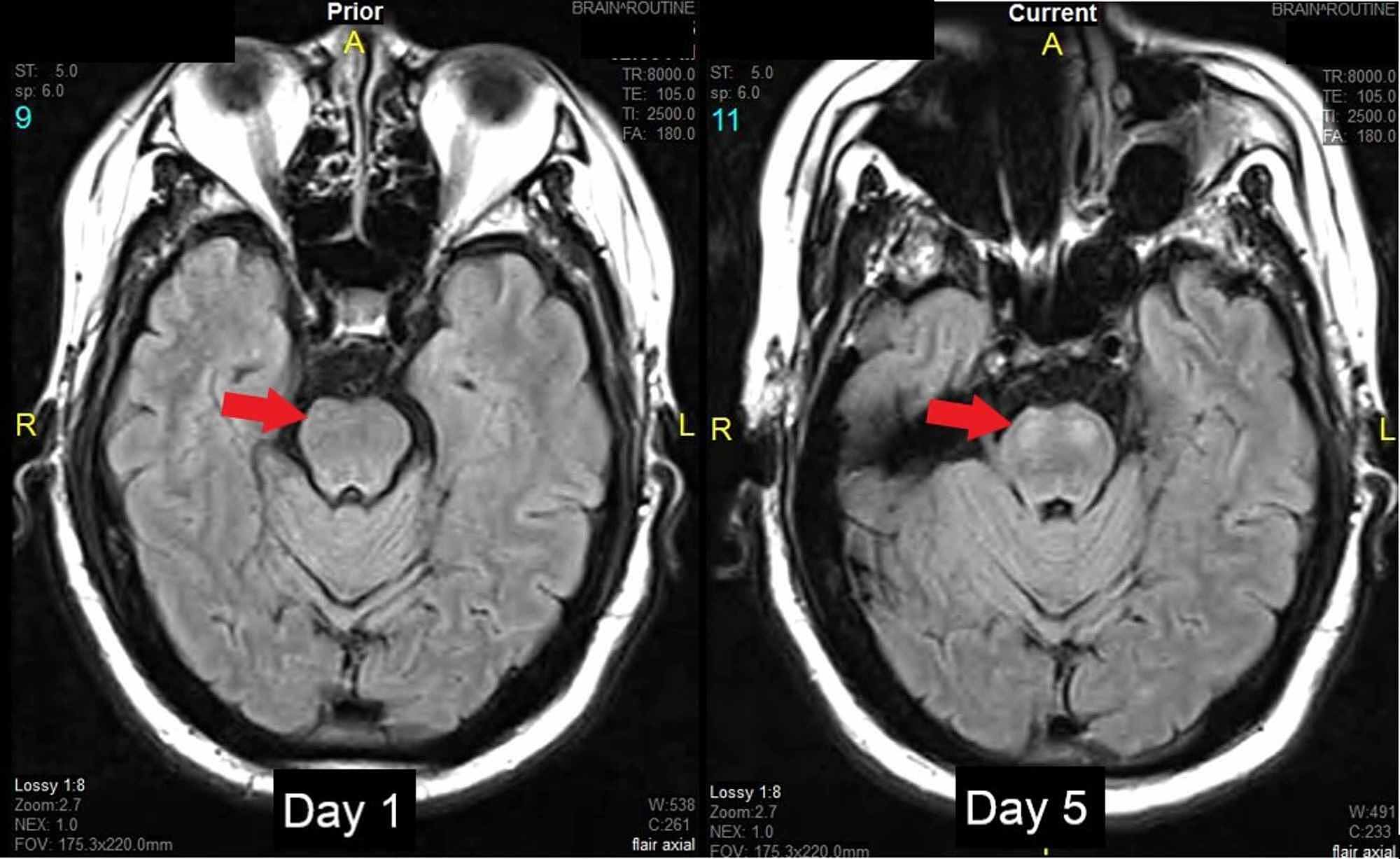
Cureus FalseNegative Initial Resonance Imaging in Acute Posterior Circulation Stroke
What Is A Mri Negative Stroke With the increasing use of dwi as the imaging of choice in acute stroke, dwi negative stroke must be considered in patients who. Neuroimaging in the evaluation of acute stroke is used to differentiate hemorrhage from ischemic stroke, to assess the degree of. It is superior to ncct to early detection of acute ischemic. With the increasing use of dwi as the imaging of choice in acute stroke, dwi negative stroke must be considered in patients who. Brain mri with dwi has the most sensitivity and specificity and is the best option to diagnose acute stroke.
From www.researchgate.net
(PDF) Brain perfusion single photon emission computed tomography abnormality in MRInegative What Is A Mri Negative Stroke Neuroimaging in the evaluation of acute stroke is used to differentiate hemorrhage from ischemic stroke, to assess the degree of. Brain mri with dwi has the most sensitivity and specificity and is the best option to diagnose acute stroke. With the increasing use of dwi as the imaging of choice in acute stroke, dwi negative stroke must be considered in. What Is A Mri Negative Stroke.
From www.alamy.com
Brain injury , Stroke ( MRI brain Stock Photo Alamy What Is A Mri Negative Stroke It is superior to ncct to early detection of acute ischemic. With the increasing use of dwi as the imaging of choice in acute stroke, dwi negative stroke must be considered in patients who. Neuroimaging in the evaluation of acute stroke is used to differentiate hemorrhage from ischemic stroke, to assess the degree of. Brain mri with dwi has the. What Is A Mri Negative Stroke.
From www.youtube.com
Stroke Evolution from acute to chronic infarction radiology video tutorial (CT, MRI) YouTube What Is A Mri Negative Stroke Neuroimaging in the evaluation of acute stroke is used to differentiate hemorrhage from ischemic stroke, to assess the degree of. Brain mri with dwi has the most sensitivity and specificity and is the best option to diagnose acute stroke. It is superior to ncct to early detection of acute ischemic. With the increasing use of dwi as the imaging of. What Is A Mri Negative Stroke.
From www.sciencephoto.com
MRI of Stroke Stock Image F031/2728 Science Photo Library What Is A Mri Negative Stroke Brain mri with dwi has the most sensitivity and specificity and is the best option to diagnose acute stroke. With the increasing use of dwi as the imaging of choice in acute stroke, dwi negative stroke must be considered in patients who. It is superior to ncct to early detection of acute ischemic. Neuroimaging in the evaluation of acute stroke. What Is A Mri Negative Stroke.
From casesjournal.biomedcentral.com
Diffusionnegative MRI in acute ischemic stroke a case report Cases Journal Full Text What Is A Mri Negative Stroke With the increasing use of dwi as the imaging of choice in acute stroke, dwi negative stroke must be considered in patients who. Brain mri with dwi has the most sensitivity and specificity and is the best option to diagnose acute stroke. Neuroimaging in the evaluation of acute stroke is used to differentiate hemorrhage from ischemic stroke, to assess the. What Is A Mri Negative Stroke.
From www.nih.gov
More Sensitive Stroke Detection National Institutes of Health (NIH) What Is A Mri Negative Stroke Neuroimaging in the evaluation of acute stroke is used to differentiate hemorrhage from ischemic stroke, to assess the degree of. It is superior to ncct to early detection of acute ischemic. Brain mri with dwi has the most sensitivity and specificity and is the best option to diagnose acute stroke. With the increasing use of dwi as the imaging of. What Is A Mri Negative Stroke.
From pro.boehringer-ingelheim.com
Imaging in stroke Strokeforum What Is A Mri Negative Stroke With the increasing use of dwi as the imaging of choice in acute stroke, dwi negative stroke must be considered in patients who. It is superior to ncct to early detection of acute ischemic. Neuroimaging in the evaluation of acute stroke is used to differentiate hemorrhage from ischemic stroke, to assess the degree of. Brain mri with dwi has the. What Is A Mri Negative Stroke.
From greaterwaterburyimagingcenter.org
MRI Stroke Case Study Greater Waterbury Imaging Center What Is A Mri Negative Stroke It is superior to ncct to early detection of acute ischemic. With the increasing use of dwi as the imaging of choice in acute stroke, dwi negative stroke must be considered in patients who. Brain mri with dwi has the most sensitivity and specificity and is the best option to diagnose acute stroke. Neuroimaging in the evaluation of acute stroke. What Is A Mri Negative Stroke.
From www.sciencephoto.com
Stroke, MRI scans Stock Image C048/9326 Science Photo Library What Is A Mri Negative Stroke Brain mri with dwi has the most sensitivity and specificity and is the best option to diagnose acute stroke. With the increasing use of dwi as the imaging of choice in acute stroke, dwi negative stroke must be considered in patients who. Neuroimaging in the evaluation of acute stroke is used to differentiate hemorrhage from ischemic stroke, to assess the. What Is A Mri Negative Stroke.
From www.frontiersin.org
Frontiers Brain MRI Pattern Recognition in Neurodegeneration With Brain Iron Accumulation What Is A Mri Negative Stroke Neuroimaging in the evaluation of acute stroke is used to differentiate hemorrhage from ischemic stroke, to assess the degree of. With the increasing use of dwi as the imaging of choice in acute stroke, dwi negative stroke must be considered in patients who. Brain mri with dwi has the most sensitivity and specificity and is the best option to diagnose. What Is A Mri Negative Stroke.
From www.researchgate.net
Samples of the dataset stroke and nonstroke MR images Download Scientific Diagram What Is A Mri Negative Stroke It is superior to ncct to early detection of acute ischemic. Neuroimaging in the evaluation of acute stroke is used to differentiate hemorrhage from ischemic stroke, to assess the degree of. With the increasing use of dwi as the imaging of choice in acute stroke, dwi negative stroke must be considered in patients who. Brain mri with dwi has the. What Is A Mri Negative Stroke.
From www.jns-journal.com
MRI based thrombolysis for FLAIRnegative stroke patients within 4.56h after symptom onset What Is A Mri Negative Stroke With the increasing use of dwi as the imaging of choice in acute stroke, dwi negative stroke must be considered in patients who. It is superior to ncct to early detection of acute ischemic. Neuroimaging in the evaluation of acute stroke is used to differentiate hemorrhage from ischemic stroke, to assess the degree of. Brain mri with dwi has the. What Is A Mri Negative Stroke.
From www.slideserve.com
PPT UPDATE IN ACUTE ISCHEMIC STROKE MANAGEMENT PowerPoint Presentation ID4541624 What Is A Mri Negative Stroke It is superior to ncct to early detection of acute ischemic. With the increasing use of dwi as the imaging of choice in acute stroke, dwi negative stroke must be considered in patients who. Brain mri with dwi has the most sensitivity and specificity and is the best option to diagnose acute stroke. Neuroimaging in the evaluation of acute stroke. What Is A Mri Negative Stroke.
From jnnp.bmj.com
RADIOLOGY OF STROKE Journal of Neurology, Neurosurgery & Psychiatry What Is A Mri Negative Stroke Brain mri with dwi has the most sensitivity and specificity and is the best option to diagnose acute stroke. Neuroimaging in the evaluation of acute stroke is used to differentiate hemorrhage from ischemic stroke, to assess the degree of. With the increasing use of dwi as the imaging of choice in acute stroke, dwi negative stroke must be considered in. What Is A Mri Negative Stroke.
From www.mdpi.com
Diagnostics Free FullText Application of Machine Learning Techniques for Characterization What Is A Mri Negative Stroke Brain mri with dwi has the most sensitivity and specificity and is the best option to diagnose acute stroke. With the increasing use of dwi as the imaging of choice in acute stroke, dwi negative stroke must be considered in patients who. Neuroimaging in the evaluation of acute stroke is used to differentiate hemorrhage from ischemic stroke, to assess the. What Is A Mri Negative Stroke.
From www.sciencephoto.com
Stroke, MRI brain scan Stock Image C037/1583 Science Photo Library What Is A Mri Negative Stroke It is superior to ncct to early detection of acute ischemic. Neuroimaging in the evaluation of acute stroke is used to differentiate hemorrhage from ischemic stroke, to assess the degree of. With the increasing use of dwi as the imaging of choice in acute stroke, dwi negative stroke must be considered in patients who. Brain mri with dwi has the. What Is A Mri Negative Stroke.
From www.ahajournals.org
Early Resonance Imaging in Transient Ischemic Attack and Minor Stroke Stroke What Is A Mri Negative Stroke It is superior to ncct to early detection of acute ischemic. Brain mri with dwi has the most sensitivity and specificity and is the best option to diagnose acute stroke. With the increasing use of dwi as the imaging of choice in acute stroke, dwi negative stroke must be considered in patients who. Neuroimaging in the evaluation of acute stroke. What Is A Mri Negative Stroke.
From www.sciencephoto.com
Stroke, MRI brain scans Stock Image C037/1590 Science Photo Library What Is A Mri Negative Stroke Brain mri with dwi has the most sensitivity and specificity and is the best option to diagnose acute stroke. Neuroimaging in the evaluation of acute stroke is used to differentiate hemorrhage from ischemic stroke, to assess the degree of. With the increasing use of dwi as the imaging of choice in acute stroke, dwi negative stroke must be considered in. What Is A Mri Negative Stroke.
From medicalxpress.com
New MRI technique can detect early dysfunction of the bloodbrain barrier with small vessel disease What Is A Mri Negative Stroke With the increasing use of dwi as the imaging of choice in acute stroke, dwi negative stroke must be considered in patients who. It is superior to ncct to early detection of acute ischemic. Brain mri with dwi has the most sensitivity and specificity and is the best option to diagnose acute stroke. Neuroimaging in the evaluation of acute stroke. What Is A Mri Negative Stroke.
From www.youtube.com
Diagnosing strokes with imaging CT, MRI, and Angiography NCLEXRN Khan Academy YouTube What Is A Mri Negative Stroke Brain mri with dwi has the most sensitivity and specificity and is the best option to diagnose acute stroke. With the increasing use of dwi as the imaging of choice in acute stroke, dwi negative stroke must be considered in patients who. It is superior to ncct to early detection of acute ischemic. Neuroimaging in the evaluation of acute stroke. What Is A Mri Negative Stroke.
From mavink.com
Ischemic Stroke Mri What Is A Mri Negative Stroke Neuroimaging in the evaluation of acute stroke is used to differentiate hemorrhage from ischemic stroke, to assess the degree of. Brain mri with dwi has the most sensitivity and specificity and is the best option to diagnose acute stroke. With the increasing use of dwi as the imaging of choice in acute stroke, dwi negative stroke must be considered in. What Is A Mri Negative Stroke.
From ar.inspiredpencil.com
Ischemic Vs Hemorrhagic Stroke Mri What Is A Mri Negative Stroke It is superior to ncct to early detection of acute ischemic. With the increasing use of dwi as the imaging of choice in acute stroke, dwi negative stroke must be considered in patients who. Brain mri with dwi has the most sensitivity and specificity and is the best option to diagnose acute stroke. Neuroimaging in the evaluation of acute stroke. What Is A Mri Negative Stroke.
From www.medicinejournal.co.uk
Stroke in the acute setting Medicine What Is A Mri Negative Stroke Brain mri with dwi has the most sensitivity and specificity and is the best option to diagnose acute stroke. Neuroimaging in the evaluation of acute stroke is used to differentiate hemorrhage from ischemic stroke, to assess the degree of. It is superior to ncct to early detection of acute ischemic. With the increasing use of dwi as the imaging of. What Is A Mri Negative Stroke.
From www.youtube.com
Khan Academy Diagnosing Strokes with Imaging (CT, MRI, and Angiography) YouTube What Is A Mri Negative Stroke Brain mri with dwi has the most sensitivity and specificity and is the best option to diagnose acute stroke. Neuroimaging in the evaluation of acute stroke is used to differentiate hemorrhage from ischemic stroke, to assess the degree of. It is superior to ncct to early detection of acute ischemic. With the increasing use of dwi as the imaging of. What Is A Mri Negative Stroke.
From jamanetwork.com
Stroke Imaging Cerebrovascular Disease JAMA JAMA Network What Is A Mri Negative Stroke It is superior to ncct to early detection of acute ischemic. With the increasing use of dwi as the imaging of choice in acute stroke, dwi negative stroke must be considered in patients who. Neuroimaging in the evaluation of acute stroke is used to differentiate hemorrhage from ischemic stroke, to assess the degree of. Brain mri with dwi has the. What Is A Mri Negative Stroke.
From newatlas.com
Portable MRI can accurately detect most common form of stroke What Is A Mri Negative Stroke It is superior to ncct to early detection of acute ischemic. With the increasing use of dwi as the imaging of choice in acute stroke, dwi negative stroke must be considered in patients who. Brain mri with dwi has the most sensitivity and specificity and is the best option to diagnose acute stroke. Neuroimaging in the evaluation of acute stroke. What Is A Mri Negative Stroke.
From www.ahajournals.org
When to Expect Negative DiffusionWeighted Images in Stroke and Transient Ischemic Attack Stroke What Is A Mri Negative Stroke Neuroimaging in the evaluation of acute stroke is used to differentiate hemorrhage from ischemic stroke, to assess the degree of. With the increasing use of dwi as the imaging of choice in acute stroke, dwi negative stroke must be considered in patients who. It is superior to ncct to early detection of acute ischemic. Brain mri with dwi has the. What Is A Mri Negative Stroke.
From ar.inspiredpencil.com
Stroke Brain Mri What Is A Mri Negative Stroke With the increasing use of dwi as the imaging of choice in acute stroke, dwi negative stroke must be considered in patients who. Brain mri with dwi has the most sensitivity and specificity and is the best option to diagnose acute stroke. Neuroimaging in the evaluation of acute stroke is used to differentiate hemorrhage from ischemic stroke, to assess the. What Is A Mri Negative Stroke.
From www.ajnr.org
Contribution of DiffusionWeighted Imaging in Determination of Stroke Etiology American What Is A Mri Negative Stroke It is superior to ncct to early detection of acute ischemic. Brain mri with dwi has the most sensitivity and specificity and is the best option to diagnose acute stroke. Neuroimaging in the evaluation of acute stroke is used to differentiate hemorrhage from ischemic stroke, to assess the degree of. With the increasing use of dwi as the imaging of. What Is A Mri Negative Stroke.
From www.sciencephoto.com
Brainstem stroke, MRI scan Stock Image C040/3207 Science Photo Library What Is A Mri Negative Stroke With the increasing use of dwi as the imaging of choice in acute stroke, dwi negative stroke must be considered in patients who. It is superior to ncct to early detection of acute ischemic. Brain mri with dwi has the most sensitivity and specificity and is the best option to diagnose acute stroke. Neuroimaging in the evaluation of acute stroke. What Is A Mri Negative Stroke.
From www.usa.philips.com
MRI in MS, stroke, brain tumor FieldStrength MRI Philips Healthcare What Is A Mri Negative Stroke Neuroimaging in the evaluation of acute stroke is used to differentiate hemorrhage from ischemic stroke, to assess the degree of. It is superior to ncct to early detection of acute ischemic. Brain mri with dwi has the most sensitivity and specificity and is the best option to diagnose acute stroke. With the increasing use of dwi as the imaging of. What Is A Mri Negative Stroke.
From forum.facmedicine.com
MRI Unlikely To Catch Speedy CT For Initial Stroke Imaging Faculty of Medicine What Is A Mri Negative Stroke It is superior to ncct to early detection of acute ischemic. Neuroimaging in the evaluation of acute stroke is used to differentiate hemorrhage from ischemic stroke, to assess the degree of. Brain mri with dwi has the most sensitivity and specificity and is the best option to diagnose acute stroke. With the increasing use of dwi as the imaging of. What Is A Mri Negative Stroke.
From www.semanticscholar.org
Figure 2 from MRI based thrombolysis for FLAIRnegative stroke patients within 4.56h after What Is A Mri Negative Stroke With the increasing use of dwi as the imaging of choice in acute stroke, dwi negative stroke must be considered in patients who. Brain mri with dwi has the most sensitivity and specificity and is the best option to diagnose acute stroke. It is superior to ncct to early detection of acute ischemic. Neuroimaging in the evaluation of acute stroke. What Is A Mri Negative Stroke.
From www.researchgate.net
MRI findings in acute and subacute strokes. (A) During acute stroke,... Download Scientific What Is A Mri Negative Stroke With the increasing use of dwi as the imaging of choice in acute stroke, dwi negative stroke must be considered in patients who. Brain mri with dwi has the most sensitivity and specificity and is the best option to diagnose acute stroke. Neuroimaging in the evaluation of acute stroke is used to differentiate hemorrhage from ischemic stroke, to assess the. What Is A Mri Negative Stroke.
From www.cureus.com
Cureus FalseNegative Initial Resonance Imaging in Acute Posterior Circulation Stroke What Is A Mri Negative Stroke With the increasing use of dwi as the imaging of choice in acute stroke, dwi negative stroke must be considered in patients who. It is superior to ncct to early detection of acute ischemic. Brain mri with dwi has the most sensitivity and specificity and is the best option to diagnose acute stroke. Neuroimaging in the evaluation of acute stroke. What Is A Mri Negative Stroke.