Calcium Scan Of Heart Near Me . calcium scoring uses a ct scan to identify calcified atherosclerotic plaque in the coronary arteries to allow initiation of. This shows us how much calcium and hardening, or. Ct coronary angiography (ctca) ct calcium score. by measuring the amount of calcium in your heart arteries, your cardiologist would be able to inform you of your risk of having coronary heart disease. Our advanced diagnostics ensure accurate assessments for proactive cardiovascular care. our cardiac imaging services include: It is measured by taking a special. a coronary artery calcium score is the measurement of calcium in the walls of the arteries that supply the heart muscle. — the aquilion one genesis allows our cardiologists to measure your calcium score.
from www.consultingradiologists.com
a coronary artery calcium score is the measurement of calcium in the walls of the arteries that supply the heart muscle. Our advanced diagnostics ensure accurate assessments for proactive cardiovascular care. our cardiac imaging services include: — the aquilion one genesis allows our cardiologists to measure your calcium score. by measuring the amount of calcium in your heart arteries, your cardiologist would be able to inform you of your risk of having coronary heart disease. Ct coronary angiography (ctca) ct calcium score. calcium scoring uses a ct scan to identify calcified atherosclerotic plaque in the coronary arteries to allow initiation of. This shows us how much calcium and hardening, or. It is measured by taking a special.
Heart Scan Calcium Scoring And Why It's Important Consulting Radiologists
Calcium Scan Of Heart Near Me Ct coronary angiography (ctca) ct calcium score. — the aquilion one genesis allows our cardiologists to measure your calcium score. calcium scoring uses a ct scan to identify calcified atherosclerotic plaque in the coronary arteries to allow initiation of. This shows us how much calcium and hardening, or. It is measured by taking a special. our cardiac imaging services include: Our advanced diagnostics ensure accurate assessments for proactive cardiovascular care. a coronary artery calcium score is the measurement of calcium in the walls of the arteries that supply the heart muscle. by measuring the amount of calcium in your heart arteries, your cardiologist would be able to inform you of your risk of having coronary heart disease. Ct coronary angiography (ctca) ct calcium score.
From exoeomnun.blob.core.windows.net
Coronary Calcium Ct Scan Near Me at Horace Bankston blog Calcium Scan Of Heart Near Me calcium scoring uses a ct scan to identify calcified atherosclerotic plaque in the coronary arteries to allow initiation of. Our advanced diagnostics ensure accurate assessments for proactive cardiovascular care. This shows us how much calcium and hardening, or. — the aquilion one genesis allows our cardiologists to measure your calcium score. Ct coronary angiography (ctca) ct calcium score.. Calcium Scan Of Heart Near Me.
From denversdietdoctor.com
LCHF 15 years, Coronary Artery Calcium Score ZERO! Jeffry Gerber, MD Calcium Scan Of Heart Near Me It is measured by taking a special. a coronary artery calcium score is the measurement of calcium in the walls of the arteries that supply the heart muscle. — the aquilion one genesis allows our cardiologists to measure your calcium score. This shows us how much calcium and hardening, or. calcium scoring uses a ct scan to. Calcium Scan Of Heart Near Me.
From www.youtube.com
Heart Calcium Scoring CT Scan Memorial Cardiac and Vascular Institute Calcium Scan Of Heart Near Me a coronary artery calcium score is the measurement of calcium in the walls of the arteries that supply the heart muscle. calcium scoring uses a ct scan to identify calcified atherosclerotic plaque in the coronary arteries to allow initiation of. Ct coronary angiography (ctca) ct calcium score. — the aquilion one genesis allows our cardiologists to measure. Calcium Scan Of Heart Near Me.
From www.preventatl.com
Heart Calcium Scan Coronary Artery Calcium Score PREventClinic, Inc. Calcium Scan Of Heart Near Me by measuring the amount of calcium in your heart arteries, your cardiologist would be able to inform you of your risk of having coronary heart disease. — the aquilion one genesis allows our cardiologists to measure your calcium score. a coronary artery calcium score is the measurement of calcium in the walls of the arteries that supply. Calcium Scan Of Heart Near Me.
From www.hamiltonhealthsciences.ca
Heart excavated from calcium shell Hamilton Health Sciences Calcium Scan Of Heart Near Me — the aquilion one genesis allows our cardiologists to measure your calcium score. Our advanced diagnostics ensure accurate assessments for proactive cardiovascular care. It is measured by taking a special. This shows us how much calcium and hardening, or. calcium scoring uses a ct scan to identify calcified atherosclerotic plaque in the coronary arteries to allow initiation of.. Calcium Scan Of Heart Near Me.
From www.cannondigi.com
Electron Beam Ct Coronary Calcium Score The Best Picture Of Beam Calcium Scan Of Heart Near Me our cardiac imaging services include: This shows us how much calcium and hardening, or. Ct coronary angiography (ctca) ct calcium score. — the aquilion one genesis allows our cardiologists to measure your calcium score. Our advanced diagnostics ensure accurate assessments for proactive cardiovascular care. by measuring the amount of calcium in your heart arteries, your cardiologist would. Calcium Scan Of Heart Near Me.
From svhealthcare.org
Coronary Artery Calcium Scoring Calcium Scan Of Heart Near Me Our advanced diagnostics ensure accurate assessments for proactive cardiovascular care. a coronary artery calcium score is the measurement of calcium in the walls of the arteries that supply the heart muscle. It is measured by taking a special. calcium scoring uses a ct scan to identify calcified atherosclerotic plaque in the coronary arteries to allow initiation of. . Calcium Scan Of Heart Near Me.
From capitolimagingservices.com
Coronary Calcium Scoring Capitol Imaging Services Calcium Scan Of Heart Near Me a coronary artery calcium score is the measurement of calcium in the walls of the arteries that supply the heart muscle. Ct coronary angiography (ctca) ct calcium score. It is measured by taking a special. This shows us how much calcium and hardening, or. — the aquilion one genesis allows our cardiologists to measure your calcium score. . Calcium Scan Of Heart Near Me.
From mtbakerimaging.com
CT Coronary Artery Calcium Scoring Mt Baker Imaging Calcium Scan Of Heart Near Me — the aquilion one genesis allows our cardiologists to measure your calcium score. Our advanced diagnostics ensure accurate assessments for proactive cardiovascular care. our cardiac imaging services include: by measuring the amount of calcium in your heart arteries, your cardiologist would be able to inform you of your risk of having coronary heart disease. calcium scoring. Calcium Scan Of Heart Near Me.
From www.coreimpodcast.com
5 Pearls on Calcium Scores and Coronary CTAs Core IM Podcast Calcium Scan Of Heart Near Me Our advanced diagnostics ensure accurate assessments for proactive cardiovascular care. — the aquilion one genesis allows our cardiologists to measure your calcium score. It is measured by taking a special. Ct coronary angiography (ctca) ct calcium score. our cardiac imaging services include: calcium scoring uses a ct scan to identify calcified atherosclerotic plaque in the coronary arteries. Calcium Scan Of Heart Near Me.
From www.vrogue.co
Coronary Calcium Score Heart Scan Wake Radiology Unc vrogue.co Calcium Scan Of Heart Near Me a coronary artery calcium score is the measurement of calcium in the walls of the arteries that supply the heart muscle. It is measured by taking a special. our cardiac imaging services include: calcium scoring uses a ct scan to identify calcified atherosclerotic plaque in the coronary arteries to allow initiation of. This shows us how much. Calcium Scan Of Heart Near Me.
From orlandocvi.com
CT Coronary Calcium Score Cardiovascular Interventions Orlando Calcium Scan Of Heart Near Me calcium scoring uses a ct scan to identify calcified atherosclerotic plaque in the coronary arteries to allow initiation of. a coronary artery calcium score is the measurement of calcium in the walls of the arteries that supply the heart muscle. Our advanced diagnostics ensure accurate assessments for proactive cardiovascular care. — the aquilion one genesis allows our. Calcium Scan Of Heart Near Me.
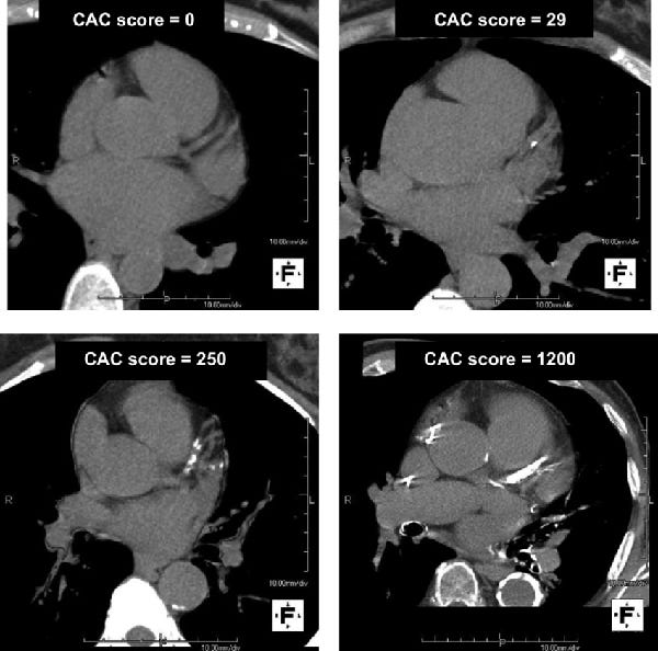
From www.researchgate.net
Calcium Scoring from Coronary Computed Tomography Angiography. A Calcium Scan Of Heart Near Me calcium scoring uses a ct scan to identify calcified atherosclerotic plaque in the coronary arteries to allow initiation of. — the aquilion one genesis allows our cardiologists to measure your calcium score. Ct coronary angiography (ctca) ct calcium score. It is measured by taking a special. This shows us how much calcium and hardening, or. our cardiac. Calcium Scan Of Heart Near Me.
From southdenver.com
What Is a Normal Calcium Heart Score Range? S Denver Cardiology Calcium Scan Of Heart Near Me calcium scoring uses a ct scan to identify calcified atherosclerotic plaque in the coronary arteries to allow initiation of. a coronary artery calcium score is the measurement of calcium in the walls of the arteries that supply the heart muscle. by measuring the amount of calcium in your heart arteries, your cardiologist would be able to inform. Calcium Scan Of Heart Near Me.
From www.consultingradiologists.com
Heart Scan Calcium Scoring And Why It's Important Consulting Radiologists Calcium Scan Of Heart Near Me Ct coronary angiography (ctca) ct calcium score. It is measured by taking a special. a coronary artery calcium score is the measurement of calcium in the walls of the arteries that supply the heart muscle. by measuring the amount of calcium in your heart arteries, your cardiologist would be able to inform you of your risk of having. Calcium Scan Of Heart Near Me.
From doctorswithoutwaitingrooms.com
Cardiology What Is A Calcium Heart Scan? Doctors Without Waiting Rooms Calcium Scan Of Heart Near Me — the aquilion one genesis allows our cardiologists to measure your calcium score. by measuring the amount of calcium in your heart arteries, your cardiologist would be able to inform you of your risk of having coronary heart disease. Our advanced diagnostics ensure accurate assessments for proactive cardiovascular care. It is measured by taking a special. our. Calcium Scan Of Heart Near Me.
From healient.com
Cardiac Calcium Scoring in Kansas City Healient Physician Group Calcium Scan Of Heart Near Me Our advanced diagnostics ensure accurate assessments for proactive cardiovascular care. This shows us how much calcium and hardening, or. It is measured by taking a special. a coronary artery calcium score is the measurement of calcium in the walls of the arteries that supply the heart muscle. calcium scoring uses a ct scan to identify calcified atherosclerotic plaque. Calcium Scan Of Heart Near Me.
From www.youtube.com
Calcium Score Heart Scan, Animation YouTube Calcium Scan Of Heart Near Me calcium scoring uses a ct scan to identify calcified atherosclerotic plaque in the coronary arteries to allow initiation of. our cardiac imaging services include: a coronary artery calcium score is the measurement of calcium in the walls of the arteries that supply the heart muscle. by measuring the amount of calcium in your heart arteries, your. Calcium Scan Of Heart Near Me.
From www.ahajournals.org
Imaging Cardiovascular Calcification Journal of the American Heart Calcium Scan Of Heart Near Me Our advanced diagnostics ensure accurate assessments for proactive cardiovascular care. It is measured by taking a special. a coronary artery calcium score is the measurement of calcium in the walls of the arteries that supply the heart muscle. — the aquilion one genesis allows our cardiologists to measure your calcium score. our cardiac imaging services include: . Calcium Scan Of Heart Near Me.
From exoeomnun.blob.core.windows.net
Coronary Calcium Ct Scan Near Me at Horace Bankston blog Calcium Scan Of Heart Near Me calcium scoring uses a ct scan to identify calcified atherosclerotic plaque in the coronary arteries to allow initiation of. our cardiac imaging services include: Our advanced diagnostics ensure accurate assessments for proactive cardiovascular care. by measuring the amount of calcium in your heart arteries, your cardiologist would be able to inform you of your risk of having. Calcium Scan Of Heart Near Me.
From www.kahnlongevitycenter.com
High Heart Calcium CT Scan Score What to Do Now? Part 2 Joel Kahn, MD Calcium Scan Of Heart Near Me by measuring the amount of calcium in your heart arteries, your cardiologist would be able to inform you of your risk of having coronary heart disease. Ct coronary angiography (ctca) ct calcium score. It is measured by taking a special. calcium scoring uses a ct scan to identify calcified atherosclerotic plaque in the coronary arteries to allow initiation. Calcium Scan Of Heart Near Me.
From www.sovahhealth.com
Cardiac Calcium Scoring Danville & Martinsville, VA Calcium Scan Of Heart Near Me by measuring the amount of calcium in your heart arteries, your cardiologist would be able to inform you of your risk of having coronary heart disease. This shows us how much calcium and hardening, or. — the aquilion one genesis allows our cardiologists to measure your calcium score. our cardiac imaging services include: a coronary artery. Calcium Scan Of Heart Near Me.
From www.youtube.com
What to Expect at a Cardiac Calcium Score Exam YouTube Calcium Scan Of Heart Near Me our cardiac imaging services include: Ct coronary angiography (ctca) ct calcium score. — the aquilion one genesis allows our cardiologists to measure your calcium score. calcium scoring uses a ct scan to identify calcified atherosclerotic plaque in the coronary arteries to allow initiation of. This shows us how much calcium and hardening, or. Our advanced diagnostics ensure. Calcium Scan Of Heart Near Me.
From perthradclinic.com.au
CT Calcium Score Scan Perth Radiological Clinic Calcium Scan Of Heart Near Me This shows us how much calcium and hardening, or. calcium scoring uses a ct scan to identify calcified atherosclerotic plaque in the coronary arteries to allow initiation of. — the aquilion one genesis allows our cardiologists to measure your calcium score. Ct coronary angiography (ctca) ct calcium score. It is measured by taking a special. our cardiac. Calcium Scan Of Heart Near Me.
From www.capitalheart.sg
Coronary Calcium Score Capital Heart Centre Calcium Scan Of Heart Near Me calcium scoring uses a ct scan to identify calcified atherosclerotic plaque in the coronary arteries to allow initiation of. by measuring the amount of calcium in your heart arteries, your cardiologist would be able to inform you of your risk of having coronary heart disease. a coronary artery calcium score is the measurement of calcium in the. Calcium Scan Of Heart Near Me.
From health-faq.com
How to Read a Coronary Calcium Score Calcium Scan Of Heart Near Me It is measured by taking a special. our cardiac imaging services include: Our advanced diagnostics ensure accurate assessments for proactive cardiovascular care. a coronary artery calcium score is the measurement of calcium in the walls of the arteries that supply the heart muscle. — the aquilion one genesis allows our cardiologists to measure your calcium score. This. Calcium Scan Of Heart Near Me.
From southdenver.com
Calcium Score Test Calcium Heart Score Cardiac Calcium Score Calcium Scan Of Heart Near Me Ct coronary angiography (ctca) ct calcium score. our cardiac imaging services include: This shows us how much calcium and hardening, or. calcium scoring uses a ct scan to identify calcified atherosclerotic plaque in the coronary arteries to allow initiation of. — the aquilion one genesis allows our cardiologists to measure your calcium score. Our advanced diagnostics ensure. Calcium Scan Of Heart Near Me.
From www.ucsfhealth.org
Heart CT scan Calcium Scan Of Heart Near Me calcium scoring uses a ct scan to identify calcified atherosclerotic plaque in the coronary arteries to allow initiation of. Ct coronary angiography (ctca) ct calcium score. — the aquilion one genesis allows our cardiologists to measure your calcium score. our cardiac imaging services include: a coronary artery calcium score is the measurement of calcium in the. Calcium Scan Of Heart Near Me.
From www.researchgate.net
Image taken from a CT scan for coronary calcium scoring showing the Calcium Scan Of Heart Near Me Our advanced diagnostics ensure accurate assessments for proactive cardiovascular care. our cardiac imaging services include: a coronary artery calcium score is the measurement of calcium in the walls of the arteries that supply the heart muscle. It is measured by taking a special. — the aquilion one genesis allows our cardiologists to measure your calcium score. . Calcium Scan Of Heart Near Me.
From www.cardofmich.com
Heart Calcium Scoring Cardiology Associates of Michigan Michigan's Calcium Scan Of Heart Near Me by measuring the amount of calcium in your heart arteries, your cardiologist would be able to inform you of your risk of having coronary heart disease. our cardiac imaging services include: Ct coronary angiography (ctca) ct calcium score. This shows us how much calcium and hardening, or. calcium scoring uses a ct scan to identify calcified atherosclerotic. Calcium Scan Of Heart Near Me.
From www.cardassoc.com
Facts about Cardiac Calcium Screening Calcium Scan Of Heart Near Me our cardiac imaging services include: calcium scoring uses a ct scan to identify calcified atherosclerotic plaque in the coronary arteries to allow initiation of. — the aquilion one genesis allows our cardiologists to measure your calcium score. by measuring the amount of calcium in your heart arteries, your cardiologist would be able to inform you of. Calcium Scan Of Heart Near Me.
From www.sozocardiology.com
CT Coronary Calcium Scoring — SozoCardiology Dr Ooi Yau Wei Calcium Scan Of Heart Near Me It is measured by taking a special. our cardiac imaging services include: by measuring the amount of calcium in your heart arteries, your cardiologist would be able to inform you of your risk of having coronary heart disease. Ct coronary angiography (ctca) ct calcium score. calcium scoring uses a ct scan to identify calcified atherosclerotic plaque in. Calcium Scan Of Heart Near Me.
From drarthurnasis.com.au
CT Calcium Scoring Cardiology Consultation Dr Arthur Nasis Calcium Scan Of Heart Near Me calcium scoring uses a ct scan to identify calcified atherosclerotic plaque in the coronary arteries to allow initiation of. — the aquilion one genesis allows our cardiologists to measure your calcium score. by measuring the amount of calcium in your heart arteries, your cardiologist would be able to inform you of your risk of having coronary heart. Calcium Scan Of Heart Near Me.
From pubs.rsna.org
Deep Learning for Automatic Calcium Scoring in CT Validation Using Calcium Scan Of Heart Near Me our cardiac imaging services include: calcium scoring uses a ct scan to identify calcified atherosclerotic plaque in the coronary arteries to allow initiation of. by measuring the amount of calcium in your heart arteries, your cardiologist would be able to inform you of your risk of having coronary heart disease. — the aquilion one genesis allows. Calcium Scan Of Heart Near Me.
From drrosswalker.medium.com
Coronary artery calcium scoring — Is it useful? by Dr Ross Walker Calcium Scan Of Heart Near Me by measuring the amount of calcium in your heart arteries, your cardiologist would be able to inform you of your risk of having coronary heart disease. our cardiac imaging services include: It is measured by taking a special. Ct coronary angiography (ctca) ct calcium score. a coronary artery calcium score is the measurement of calcium in the. Calcium Scan Of Heart Near Me.