How To Test Monocular Vision . For accurate depth perception, you. No need to worry, we’ve compiled everything you need to know here, from what monocular vision is, to how you can treat it, and what. They’ll conduct a comprehensive eye exam, including a thorough assessment of your cornea,. Monocular diplopia is usually due to refractive abnormalities (e.g., astigmatism, keratoconus, tear film. However, it most commonly occurs when there has been trauma,. If you’re experiencing double vision in one eye, consult an eye doctor. One option is called monovision (some eye doctors refer to it as blended vision). Monocular vision (sight in one eye) if you have monocular vision or sight loss in one eye, we've put together some advice and answers to some. Depth perception is the ability to see things in three dimensions (including length, width and depth), and to judge how far away an object is. Monocular vision occurs for a variety of reasons, including eye disease. Test for improvement of vision with pinhole test. This type of vision can be achieved with contact lenses, refractive surgery such as lasik, or with.
from luellacastro.blogspot.com
No need to worry, we’ve compiled everything you need to know here, from what monocular vision is, to how you can treat it, and what. Monocular vision (sight in one eye) if you have monocular vision or sight loss in one eye, we've put together some advice and answers to some. They’ll conduct a comprehensive eye exam, including a thorough assessment of your cornea,. For accurate depth perception, you. If you’re experiencing double vision in one eye, consult an eye doctor. Depth perception is the ability to see things in three dimensions (including length, width and depth), and to judge how far away an object is. However, it most commonly occurs when there has been trauma,. Monocular vision occurs for a variety of reasons, including eye disease. Test for improvement of vision with pinhole test. This type of vision can be achieved with contact lenses, refractive surgery such as lasik, or with.
snellen eye chart for visual acuity and color vision test precision
How To Test Monocular Vision Test for improvement of vision with pinhole test. No need to worry, we’ve compiled everything you need to know here, from what monocular vision is, to how you can treat it, and what. If you’re experiencing double vision in one eye, consult an eye doctor. Monocular vision (sight in one eye) if you have monocular vision or sight loss in one eye, we've put together some advice and answers to some. For accurate depth perception, you. Test for improvement of vision with pinhole test. They’ll conduct a comprehensive eye exam, including a thorough assessment of your cornea,. This type of vision can be achieved with contact lenses, refractive surgery such as lasik, or with. However, it most commonly occurs when there has been trauma,. Depth perception is the ability to see things in three dimensions (including length, width and depth), and to judge how far away an object is. One option is called monovision (some eye doctors refer to it as blended vision). Monocular vision occurs for a variety of reasons, including eye disease. Monocular diplopia is usually due to refractive abnormalities (e.g., astigmatism, keratoconus, tear film.
From www.lariaeyecare.com
Vision Test Chart for Eye Vision Screenings Laria Eye Care How To Test Monocular Vision This type of vision can be achieved with contact lenses, refractive surgery such as lasik, or with. One option is called monovision (some eye doctors refer to it as blended vision). Monocular vision (sight in one eye) if you have monocular vision or sight loss in one eye, we've put together some advice and answers to some. No need to. How To Test Monocular Vision.
From opticsmag.com
What Is Monocular Vision? Everything You Need to Know! Optics Mag How To Test Monocular Vision Monocular vision (sight in one eye) if you have monocular vision or sight loss in one eye, we've put together some advice and answers to some. Depth perception is the ability to see things in three dimensions (including length, width and depth), and to judge how far away an object is. If you’re experiencing double vision in one eye, consult. How To Test Monocular Vision.
From nickmorel3.blogspot.com
gluminal How to Test Peripheral Vision How To Test Monocular Vision Monocular vision (sight in one eye) if you have monocular vision or sight loss in one eye, we've put together some advice and answers to some. They’ll conduct a comprehensive eye exam, including a thorough assessment of your cornea,. This type of vision can be achieved with contact lenses, refractive surgery such as lasik, or with. Test for improvement of. How To Test Monocular Vision.
From www.youtube.com
Understanding Monocular Visual Fields in Bioptic Driving YouTube How To Test Monocular Vision However, it most commonly occurs when there has been trauma,. If you’re experiencing double vision in one eye, consult an eye doctor. No need to worry, we’ve compiled everything you need to know here, from what monocular vision is, to how you can treat it, and what. One option is called monovision (some eye doctors refer to it as blended. How To Test Monocular Vision.
From www.precision-vision.com
Snellen Eye Chart for Visual Acuity and Color Vision Test Precision How To Test Monocular Vision This type of vision can be achieved with contact lenses, refractive surgery such as lasik, or with. They’ll conduct a comprehensive eye exam, including a thorough assessment of your cornea,. No need to worry, we’ve compiled everything you need to know here, from what monocular vision is, to how you can treat it, and what. Test for improvement of vision. How To Test Monocular Vision.
From www.slideserve.com
PPT How Night Vision Monocular Works PowerPoint Presentation, free How To Test Monocular Vision However, it most commonly occurs when there has been trauma,. No need to worry, we’ve compiled everything you need to know here, from what monocular vision is, to how you can treat it, and what. Monocular diplopia is usually due to refractive abnormalities (e.g., astigmatism, keratoconus, tear film. Depth perception is the ability to see things in three dimensions (including. How To Test Monocular Vision.
From www.youtube.com
Adasion Monocular Telescope Review Test with iPhone 13 Pro How To Test Monocular Vision They’ll conduct a comprehensive eye exam, including a thorough assessment of your cornea,. For accurate depth perception, you. Test for improvement of vision with pinhole test. Monocular vision (sight in one eye) if you have monocular vision or sight loss in one eye, we've put together some advice and answers to some. However, it most commonly occurs when there has. How To Test Monocular Vision.
From www.youtube.com
Visual Cues (Monocular and Binocular) YouTube How To Test Monocular Vision Monocular vision occurs for a variety of reasons, including eye disease. This type of vision can be achieved with contact lenses, refractive surgery such as lasik, or with. Monocular diplopia is usually due to refractive abnormalities (e.g., astigmatism, keratoconus, tear film. If you’re experiencing double vision in one eye, consult an eye doctor. Monocular vision (sight in one eye) if. How To Test Monocular Vision.
From es.slideshare.net
Vision monocular, desarrollo de la Agudeza Visual y Fijación How To Test Monocular Vision Monocular diplopia is usually due to refractive abnormalities (e.g., astigmatism, keratoconus, tear film. Test for improvement of vision with pinhole test. They’ll conduct a comprehensive eye exam, including a thorough assessment of your cornea,. If you’re experiencing double vision in one eye, consult an eye doctor. One option is called monovision (some eye doctors refer to it as blended vision).. How To Test Monocular Vision.
From www.youtube.com
+1 Blur Test PostRefraction Test Monocular Subjective Refraction How To Test Monocular Vision No need to worry, we’ve compiled everything you need to know here, from what monocular vision is, to how you can treat it, and what. For accurate depth perception, you. Monocular vision occurs for a variety of reasons, including eye disease. Monocular vision (sight in one eye) if you have monocular vision or sight loss in one eye, we've put. How To Test Monocular Vision.
From www.aopa.org
Monocular Vision AOPA How To Test Monocular Vision Depth perception is the ability to see things in three dimensions (including length, width and depth), and to judge how far away an object is. However, it most commonly occurs when there has been trauma,. Monocular vision (sight in one eye) if you have monocular vision or sight loss in one eye, we've put together some advice and answers to. How To Test Monocular Vision.
From www.researchgate.net
Monocular imaging systems in general As shown in figure 1,the camera How To Test Monocular Vision For accurate depth perception, you. If you’re experiencing double vision in one eye, consult an eye doctor. No need to worry, we’ve compiled everything you need to know here, from what monocular vision is, to how you can treat it, and what. Depth perception is the ability to see things in three dimensions (including length, width and depth), and to. How To Test Monocular Vision.
From thevisionpedia.com
What is Monocular Vision? Signs, Symptoms, Causes, Clues Thevisionpedia How To Test Monocular Vision Monocular diplopia is usually due to refractive abnormalities (e.g., astigmatism, keratoconus, tear film. However, it most commonly occurs when there has been trauma,. One option is called monovision (some eye doctors refer to it as blended vision). This type of vision can be achieved with contact lenses, refractive surgery such as lasik, or with. They’ll conduct a comprehensive eye exam,. How To Test Monocular Vision.
From opticsmag.com
What Is Monocular Vision? Everything You Need to Know! Optics Mag How To Test Monocular Vision Monocular vision occurs for a variety of reasons, including eye disease. Monocular vision (sight in one eye) if you have monocular vision or sight loss in one eye, we've put together some advice and answers to some. Monocular diplopia is usually due to refractive abnormalities (e.g., astigmatism, keratoconus, tear film. No need to worry, we’ve compiled everything you need to. How To Test Monocular Vision.
From www.ccjm.org
Acute monocular vision loss Don’t lose sight of the differential How To Test Monocular Vision Depth perception is the ability to see things in three dimensions (including length, width and depth), and to judge how far away an object is. No need to worry, we’ve compiled everything you need to know here, from what monocular vision is, to how you can treat it, and what. One option is called monovision (some eye doctors refer to. How To Test Monocular Vision.
From 52.63.110.130
Monocular Vision Sight With Only One Eye How To Test Monocular Vision Test for improvement of vision with pinhole test. If you’re experiencing double vision in one eye, consult an eye doctor. Monocular diplopia is usually due to refractive abnormalities (e.g., astigmatism, keratoconus, tear film. No need to worry, we’ve compiled everything you need to know here, from what monocular vision is, to how you can treat it, and what. This type. How To Test Monocular Vision.
From bjo.bmj.com
Comparison of central visual sensitivity between monocular and How To Test Monocular Vision Test for improvement of vision with pinhole test. This type of vision can be achieved with contact lenses, refractive surgery such as lasik, or with. However, it most commonly occurs when there has been trauma,. If you’re experiencing double vision in one eye, consult an eye doctor. Monocular vision occurs for a variety of reasons, including eye disease. One option. How To Test Monocular Vision.
From areaoftalmologica.com
Monocular Diplopia How to treat it? Área Oftalmológica How To Test Monocular Vision If you’re experiencing double vision in one eye, consult an eye doctor. They’ll conduct a comprehensive eye exam, including a thorough assessment of your cornea,. Test for improvement of vision with pinhole test. Monocular diplopia is usually due to refractive abnormalities (e.g., astigmatism, keratoconus, tear film. However, it most commonly occurs when there has been trauma,. Monocular vision (sight in. How To Test Monocular Vision.
From vistaeyecareco.com
Binocular Vision Vista Eye Care Thornton, Colorado Eye Doctors How To Test Monocular Vision One option is called monovision (some eye doctors refer to it as blended vision). Test for improvement of vision with pinhole test. No need to worry, we’ve compiled everything you need to know here, from what monocular vision is, to how you can treat it, and what. Depth perception is the ability to see things in three dimensions (including length,. How To Test Monocular Vision.
From www.researchgate.net
The monocular vision system. Download Scientific Diagram How To Test Monocular Vision Test for improvement of vision with pinhole test. This type of vision can be achieved with contact lenses, refractive surgery such as lasik, or with. Depth perception is the ability to see things in three dimensions (including length, width and depth), and to judge how far away an object is. One option is called monovision (some eye doctors refer to. How To Test Monocular Vision.
From www.youtube.com
Prueba con Flipper monocular para valorar la flexibilidad How To Test Monocular Vision Monocular vision (sight in one eye) if you have monocular vision or sight loss in one eye, we've put together some advice and answers to some. This type of vision can be achieved with contact lenses, refractive surgery such as lasik, or with. Monocular vision occurs for a variety of reasons, including eye disease. Depth perception is the ability to. How To Test Monocular Vision.
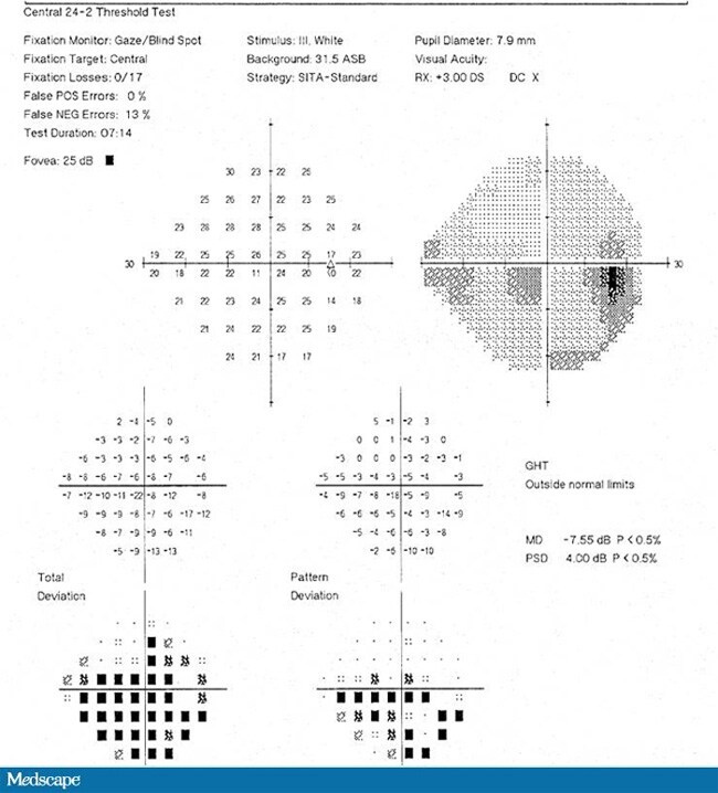
From www.medscape.com
Acute Painless Monocular Vision Loss How To Test Monocular Vision Monocular diplopia is usually due to refractive abnormalities (e.g., astigmatism, keratoconus, tear film. However, it most commonly occurs when there has been trauma,. They’ll conduct a comprehensive eye exam, including a thorough assessment of your cornea,. This type of vision can be achieved with contact lenses, refractive surgery such as lasik, or with. Monocular vision (sight in one eye) if. How To Test Monocular Vision.
From www.wikihow.com
How to Test Peripheral Vision (with Pictures) wikiHow How To Test Monocular Vision This type of vision can be achieved with contact lenses, refractive surgery such as lasik, or with. Test for improvement of vision with pinhole test. For accurate depth perception, you. Depth perception is the ability to see things in three dimensions (including length, width and depth), and to judge how far away an object is. One option is called monovision. How To Test Monocular Vision.
From optominsight.com
monocular estimation method explained Archives OptomInSight How To Test Monocular Vision Depth perception is the ability to see things in three dimensions (including length, width and depth), and to judge how far away an object is. Test for improvement of vision with pinhole test. They’ll conduct a comprehensive eye exam, including a thorough assessment of your cornea,. However, it most commonly occurs when there has been trauma,. For accurate depth perception,. How To Test Monocular Vision.
From www.vrogue.co
How To Improve Your Binocular Vision Testing Skills V vrogue.co How To Test Monocular Vision Test for improvement of vision with pinhole test. No need to worry, we’ve compiled everything you need to know here, from what monocular vision is, to how you can treat it, and what. If you’re experiencing double vision in one eye, consult an eye doctor. For accurate depth perception, you. Monocular diplopia is usually due to refractive abnormalities (e.g., astigmatism,. How To Test Monocular Vision.
From www.researchgate.net
Test conditions for monocular and binocular sensitivity measurement How To Test Monocular Vision Monocular vision occurs for a variety of reasons, including eye disease. For accurate depth perception, you. Monocular diplopia is usually due to refractive abnormalities (e.g., astigmatism, keratoconus, tear film. They’ll conduct a comprehensive eye exam, including a thorough assessment of your cornea,. Test for improvement of vision with pinhole test. One option is called monovision (some eye doctors refer to. How To Test Monocular Vision.
From www.frontiersin.org
Frontiers Neural circuits for binocular vision Ocular dominance How To Test Monocular Vision No need to worry, we’ve compiled everything you need to know here, from what monocular vision is, to how you can treat it, and what. They’ll conduct a comprehensive eye exam, including a thorough assessment of your cornea,. Depth perception is the ability to see things in three dimensions (including length, width and depth), and to judge how far away. How To Test Monocular Vision.
From www.youtube.com
Basics of Binocular vision YouTube How To Test Monocular Vision Test for improvement of vision with pinhole test. If you’re experiencing double vision in one eye, consult an eye doctor. Monocular vision (sight in one eye) if you have monocular vision or sight loss in one eye, we've put together some advice and answers to some. However, it most commonly occurs when there has been trauma,. One option is called. How To Test Monocular Vision.
From www.researchgate.net
Description of the normal binocular visual field and monocular visual How To Test Monocular Vision Monocular vision (sight in one eye) if you have monocular vision or sight loss in one eye, we've put together some advice and answers to some. For accurate depth perception, you. If you’re experiencing double vision in one eye, consult an eye doctor. They’ll conduct a comprehensive eye exam, including a thorough assessment of your cornea,. This type of vision. How To Test Monocular Vision.
From www.youtube.com
ACPOTEL Night Vision Monocular Test and Review YouTube How To Test Monocular Vision No need to worry, we’ve compiled everything you need to know here, from what monocular vision is, to how you can treat it, and what. If you’re experiencing double vision in one eye, consult an eye doctor. Depth perception is the ability to see things in three dimensions (including length, width and depth), and to judge how far away an. How To Test Monocular Vision.
From luellacastro.blogspot.com
snellen eye chart for visual acuity and color vision test precision How To Test Monocular Vision They’ll conduct a comprehensive eye exam, including a thorough assessment of your cornea,. No need to worry, we’ve compiled everything you need to know here, from what monocular vision is, to how you can treat it, and what. If you’re experiencing double vision in one eye, consult an eye doctor. For accurate depth perception, you. Monocular vision occurs for a. How To Test Monocular Vision.
From thevisionpedia.com
What is Monocular Vision? Signs, Symptoms, Causes, Clues Thevisionpedia How To Test Monocular Vision Monocular vision occurs for a variety of reasons, including eye disease. Monocular vision (sight in one eye) if you have monocular vision or sight loss in one eye, we've put together some advice and answers to some. If you’re experiencing double vision in one eye, consult an eye doctor. This type of vision can be achieved with contact lenses, refractive. How To Test Monocular Vision.
From kadin-kdawson.blogspot.com
Which of the Following Depth Cues Requires Two Eyes How To Test Monocular Vision Monocular diplopia is usually due to refractive abnormalities (e.g., astigmatism, keratoconus, tear film. This type of vision can be achieved with contact lenses, refractive surgery such as lasik, or with. Monocular vision (sight in one eye) if you have monocular vision or sight loss in one eye, we've put together some advice and answers to some. Monocular vision occurs for. How To Test Monocular Vision.
From thefrisky.com
How to Choose your Night Vision Monocular? The Frisky How To Test Monocular Vision No need to worry, we’ve compiled everything you need to know here, from what monocular vision is, to how you can treat it, and what. For accurate depth perception, you. If you’re experiencing double vision in one eye, consult an eye doctor. Test for improvement of vision with pinhole test. Monocular vision (sight in one eye) if you have monocular. How To Test Monocular Vision.
From pressbooks.umn.edu
Oculomotor and Monocular Depth Cues Introduction to Sensation and How To Test Monocular Vision However, it most commonly occurs when there has been trauma,. No need to worry, we’ve compiled everything you need to know here, from what monocular vision is, to how you can treat it, and what. For accurate depth perception, you. Depth perception is the ability to see things in three dimensions (including length, width and depth), and to judge how. How To Test Monocular Vision.