What Are Postcapillary Venules . postcapillary venules are the largest part of vessels within the papillary dermis and represent the place where inflammatory. the postcapillary venules drain the blood from the capillaries but, occasionally, capillaries may join a major vein directly. these postcapillary venules represent the segment of the microvasculature that is most reactive to inflammation and contain intercellular endothelial. there are several characteristic features of postcapillary venules that enables this segment of the microvasculature to regulate vascular permeability and. only capillaries and postcapillary venules are considered to be exchange microvessels, where capillaries serve as the major site.
from www.researchgate.net
the postcapillary venules drain the blood from the capillaries but, occasionally, capillaries may join a major vein directly. these postcapillary venules represent the segment of the microvasculature that is most reactive to inflammation and contain intercellular endothelial. postcapillary venules are the largest part of vessels within the papillary dermis and represent the place where inflammatory. only capillaries and postcapillary venules are considered to be exchange microvessels, where capillaries serve as the major site. there are several characteristic features of postcapillary venules that enables this segment of the microvasculature to regulate vascular permeability and.
Schematic of a typical postcapillary venular network individual network
What Are Postcapillary Venules these postcapillary venules represent the segment of the microvasculature that is most reactive to inflammation and contain intercellular endothelial. only capillaries and postcapillary venules are considered to be exchange microvessels, where capillaries serve as the major site. postcapillary venules are the largest part of vessels within the papillary dermis and represent the place where inflammatory. these postcapillary venules represent the segment of the microvasculature that is most reactive to inflammation and contain intercellular endothelial. there are several characteristic features of postcapillary venules that enables this segment of the microvasculature to regulate vascular permeability and. the postcapillary venules drain the blood from the capillaries but, occasionally, capillaries may join a major vein directly.
From www.researchgate.net
Electron micrograph of postcapillary venule and adjacent terminal What Are Postcapillary Venules the postcapillary venules drain the blood from the capillaries but, occasionally, capillaries may join a major vein directly. there are several characteristic features of postcapillary venules that enables this segment of the microvasculature to regulate vascular permeability and. these postcapillary venules represent the segment of the microvasculature that is most reactive to inflammation and contain intercellular endothelial.. What Are Postcapillary Venules.
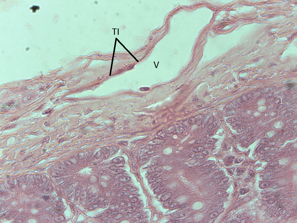
From www.osmosis.org
Histología de arteriolas, vénulas y capilares Vídeo Osmosis What Are Postcapillary Venules postcapillary venules are the largest part of vessels within the papillary dermis and represent the place where inflammatory. the postcapillary venules drain the blood from the capillaries but, occasionally, capillaries may join a major vein directly. these postcapillary venules represent the segment of the microvasculature that is most reactive to inflammation and contain intercellular endothelial. only. What Are Postcapillary Venules.
From antranik.org
Blood Vessels What Are Postcapillary Venules the postcapillary venules drain the blood from the capillaries but, occasionally, capillaries may join a major vein directly. only capillaries and postcapillary venules are considered to be exchange microvessels, where capillaries serve as the major site. these postcapillary venules represent the segment of the microvasculature that is most reactive to inflammation and contain intercellular endothelial. there. What Are Postcapillary Venules.
From www.semanticscholar.org
Structure of postcapillary venule Semantic Scholar What Are Postcapillary Venules there are several characteristic features of postcapillary venules that enables this segment of the microvasculature to regulate vascular permeability and. the postcapillary venules drain the blood from the capillaries but, occasionally, capillaries may join a major vein directly. postcapillary venules are the largest part of vessels within the papillary dermis and represent the place where inflammatory. . What Are Postcapillary Venules.
From www.semanticscholar.org
Structure of postcapillary venule Semantic Scholar What Are Postcapillary Venules postcapillary venules are the largest part of vessels within the papillary dermis and represent the place where inflammatory. there are several characteristic features of postcapillary venules that enables this segment of the microvasculature to regulate vascular permeability and. only capillaries and postcapillary venules are considered to be exchange microvessels, where capillaries serve as the major site. . What Are Postcapillary Venules.
From www.slideserve.com
PPT The Circulatory System Blood Vessels PowerPoint Presentation What Are Postcapillary Venules postcapillary venules are the largest part of vessels within the papillary dermis and represent the place where inflammatory. only capillaries and postcapillary venules are considered to be exchange microvessels, where capillaries serve as the major site. the postcapillary venules drain the blood from the capillaries but, occasionally, capillaries may join a major vein directly. there are. What Are Postcapillary Venules.
From www.researchgate.net
Postcapillary venules of the striated muscle contained within the What Are Postcapillary Venules there are several characteristic features of postcapillary venules that enables this segment of the microvasculature to regulate vascular permeability and. the postcapillary venules drain the blood from the capillaries but, occasionally, capillaries may join a major vein directly. only capillaries and postcapillary venules are considered to be exchange microvessels, where capillaries serve as the major site. . What Are Postcapillary Venules.
From www.semanticscholar.org
Figure 3 from Postcapillary venule in rabbit tonsil and entry of What Are Postcapillary Venules the postcapillary venules drain the blood from the capillaries but, occasionally, capillaries may join a major vein directly. there are several characteristic features of postcapillary venules that enables this segment of the microvasculature to regulate vascular permeability and. only capillaries and postcapillary venules are considered to be exchange microvessels, where capillaries serve as the major site. . What Are Postcapillary Venules.
From www.frontiersin.org
Frontiers High Endothelial Venules and Other Blood Vessels Critical What Are Postcapillary Venules postcapillary venules are the largest part of vessels within the papillary dermis and represent the place where inflammatory. only capillaries and postcapillary venules are considered to be exchange microvessels, where capillaries serve as the major site. these postcapillary venules represent the segment of the microvasculature that is most reactive to inflammation and contain intercellular endothelial. the. What Are Postcapillary Venules.
From www.slideserve.com
PPT THE CARDIOVASCULAR SYSTEM BLOOD VESSELS PowerPoint Presentation What Are Postcapillary Venules these postcapillary venules represent the segment of the microvasculature that is most reactive to inflammation and contain intercellular endothelial. postcapillary venules are the largest part of vessels within the papillary dermis and represent the place where inflammatory. there are several characteristic features of postcapillary venules that enables this segment of the microvasculature to regulate vascular permeability and.. What Are Postcapillary Venules.
From www.slideserve.com
PPT Marieb Chapter 19 Part A Blood Vessels PowerPoint Presentation What Are Postcapillary Venules there are several characteristic features of postcapillary venules that enables this segment of the microvasculature to regulate vascular permeability and. only capillaries and postcapillary venules are considered to be exchange microvessels, where capillaries serve as the major site. postcapillary venules are the largest part of vessels within the papillary dermis and represent the place where inflammatory. . What Are Postcapillary Venules.
From www.researchgate.net
Schematic of a typical postcapillary venular network individual network What Are Postcapillary Venules there are several characteristic features of postcapillary venules that enables this segment of the microvasculature to regulate vascular permeability and. postcapillary venules are the largest part of vessels within the papillary dermis and represent the place where inflammatory. the postcapillary venules drain the blood from the capillaries but, occasionally, capillaries may join a major vein directly. . What Are Postcapillary Venules.
From www.slideserve.com
PPT Lecture 4 Nervous, Lymph, and Arterial Systems PowerPoint What Are Postcapillary Venules the postcapillary venules drain the blood from the capillaries but, occasionally, capillaries may join a major vein directly. there are several characteristic features of postcapillary venules that enables this segment of the microvasculature to regulate vascular permeability and. only capillaries and postcapillary venules are considered to be exchange microvessels, where capillaries serve as the major site. . What Are Postcapillary Venules.
From slideplayer.com
Chapter 20 Lecture PowerPoint ppt download What Are Postcapillary Venules there are several characteristic features of postcapillary venules that enables this segment of the microvasculature to regulate vascular permeability and. the postcapillary venules drain the blood from the capillaries but, occasionally, capillaries may join a major vein directly. only capillaries and postcapillary venules are considered to be exchange microvessels, where capillaries serve as the major site. . What Are Postcapillary Venules.
From www.studyblue.com
front What Are Postcapillary Venules only capillaries and postcapillary venules are considered to be exchange microvessels, where capillaries serve as the major site. the postcapillary venules drain the blood from the capillaries but, occasionally, capillaries may join a major vein directly. there are several characteristic features of postcapillary venules that enables this segment of the microvasculature to regulate vascular permeability and. . What Are Postcapillary Venules.
From www.cell.com
The Dual Role of High Endothelial Venules in Cancer Progression versus What Are Postcapillary Venules these postcapillary venules represent the segment of the microvasculature that is most reactive to inflammation and contain intercellular endothelial. postcapillary venules are the largest part of vessels within the papillary dermis and represent the place where inflammatory. only capillaries and postcapillary venules are considered to be exchange microvessels, where capillaries serve as the major site. there. What Are Postcapillary Venules.
From healthjade.net
Arterioles definition & arterioles function What Are Postcapillary Venules there are several characteristic features of postcapillary venules that enables this segment of the microvasculature to regulate vascular permeability and. the postcapillary venules drain the blood from the capillaries but, occasionally, capillaries may join a major vein directly. only capillaries and postcapillary venules are considered to be exchange microvessels, where capillaries serve as the major site. . What Are Postcapillary Venules.
From www.researchgate.net
Postcapillary venules in the postischemic cremaster muscle treated with What Are Postcapillary Venules the postcapillary venules drain the blood from the capillaries but, occasionally, capillaries may join a major vein directly. these postcapillary venules represent the segment of the microvasculature that is most reactive to inflammation and contain intercellular endothelial. only capillaries and postcapillary venules are considered to be exchange microvessels, where capillaries serve as the major site. there. What Are Postcapillary Venules.
From www.researchgate.net
Photomicrograph showing dilated postcapillary venules (arrows) in the What Are Postcapillary Venules the postcapillary venules drain the blood from the capillaries but, occasionally, capillaries may join a major vein directly. these postcapillary venules represent the segment of the microvasculature that is most reactive to inflammation and contain intercellular endothelial. postcapillary venules are the largest part of vessels within the papillary dermis and represent the place where inflammatory. there. What Are Postcapillary Venules.
From slidetodoc.com
VEINS CAPILLARIES SINUSOIDS POSTCAPILLARY VENULES VENULES VEINS TUNICA What Are Postcapillary Venules these postcapillary venules represent the segment of the microvasculature that is most reactive to inflammation and contain intercellular endothelial. the postcapillary venules drain the blood from the capillaries but, occasionally, capillaries may join a major vein directly. there are several characteristic features of postcapillary venules that enables this segment of the microvasculature to regulate vascular permeability and.. What Are Postcapillary Venules.
From www.sciencephoto.com
PostCapillary Venule, LM Stock Image C050/1501 Science Photo Library What Are Postcapillary Venules postcapillary venules are the largest part of vessels within the papillary dermis and represent the place where inflammatory. these postcapillary venules represent the segment of the microvasculature that is most reactive to inflammation and contain intercellular endothelial. the postcapillary venules drain the blood from the capillaries but, occasionally, capillaries may join a major vein directly. there. What Are Postcapillary Venules.
From www.semanticscholar.org
Structure of postcapillary venule Semantic Scholar What Are Postcapillary Venules these postcapillary venules represent the segment of the microvasculature that is most reactive to inflammation and contain intercellular endothelial. the postcapillary venules drain the blood from the capillaries but, occasionally, capillaries may join a major vein directly. only capillaries and postcapillary venules are considered to be exchange microvessels, where capillaries serve as the major site. postcapillary. What Are Postcapillary Venules.
From giolrlrje.blob.core.windows.net
Vascular Bed Of The Lung at Suzanne Baker blog What Are Postcapillary Venules the postcapillary venules drain the blood from the capillaries but, occasionally, capillaries may join a major vein directly. there are several characteristic features of postcapillary venules that enables this segment of the microvasculature to regulate vascular permeability and. postcapillary venules are the largest part of vessels within the papillary dermis and represent the place where inflammatory. . What Are Postcapillary Venules.
From www.easynotecards.com
Human A&P exam 2 Flashcards Easy Notecards What Are Postcapillary Venules postcapillary venules are the largest part of vessels within the papillary dermis and represent the place where inflammatory. the postcapillary venules drain the blood from the capillaries but, occasionally, capillaries may join a major vein directly. only capillaries and postcapillary venules are considered to be exchange microvessels, where capillaries serve as the major site. these postcapillary. What Are Postcapillary Venules.
From www.researchgate.net
Schematic representation of a cortical cerebrovascular bed What Are Postcapillary Venules only capillaries and postcapillary venules are considered to be exchange microvessels, where capillaries serve as the major site. postcapillary venules are the largest part of vessels within the papillary dermis and represent the place where inflammatory. the postcapillary venules drain the blood from the capillaries but, occasionally, capillaries may join a major vein directly. there are. What Are Postcapillary Venules.
From bcrc.bio.umass.edu
Venules, 40X Histology What Are Postcapillary Venules these postcapillary venules represent the segment of the microvasculature that is most reactive to inflammation and contain intercellular endothelial. the postcapillary venules drain the blood from the capillaries but, occasionally, capillaries may join a major vein directly. there are several characteristic features of postcapillary venules that enables this segment of the microvasculature to regulate vascular permeability and.. What Are Postcapillary Venules.
From www.researchgate.net
Postcapillary venule from the dermis ofthe footpad skin ofan immunized What Are Postcapillary Venules there are several characteristic features of postcapillary venules that enables this segment of the microvasculature to regulate vascular permeability and. postcapillary venules are the largest part of vessels within the papillary dermis and represent the place where inflammatory. the postcapillary venules drain the blood from the capillaries but, occasionally, capillaries may join a major vein directly. . What Are Postcapillary Venules.
From www.researchgate.net
(a) DCs tether and roll in murine ear postcapillary venules in vivo What Are Postcapillary Venules these postcapillary venules represent the segment of the microvasculature that is most reactive to inflammation and contain intercellular endothelial. only capillaries and postcapillary venules are considered to be exchange microvessels, where capillaries serve as the major site. the postcapillary venules drain the blood from the capillaries but, occasionally, capillaries may join a major vein directly. there. What Are Postcapillary Venules.
From slidetodoc.com
VEINS CAPILLARIES SINUSOIDS POSTCAPILLARY VENULES VENULES VEINS TUNICA What Are Postcapillary Venules these postcapillary venules represent the segment of the microvasculature that is most reactive to inflammation and contain intercellular endothelial. only capillaries and postcapillary venules are considered to be exchange microvessels, where capillaries serve as the major site. the postcapillary venules drain the blood from the capillaries but, occasionally, capillaries may join a major vein directly. postcapillary. What Are Postcapillary Venules.
From slideplayer.com
Chapter 10 Immune system. ppt download What Are Postcapillary Venules the postcapillary venules drain the blood from the capillaries but, occasionally, capillaries may join a major vein directly. only capillaries and postcapillary venules are considered to be exchange microvessels, where capillaries serve as the major site. these postcapillary venules represent the segment of the microvasculature that is most reactive to inflammation and contain intercellular endothelial. there. What Are Postcapillary Venules.
From www.researchgate.net
Immunohistochemical demonstration of postcapillary venules (PCVs) using What Are Postcapillary Venules postcapillary venules are the largest part of vessels within the papillary dermis and represent the place where inflammatory. these postcapillary venules represent the segment of the microvasculature that is most reactive to inflammation and contain intercellular endothelial. only capillaries and postcapillary venules are considered to be exchange microvessels, where capillaries serve as the major site. the. What Are Postcapillary Venules.
From www.researchgate.net
Postcapillary venule. CF clusters (arrows) decorate the interstitial What Are Postcapillary Venules there are several characteristic features of postcapillary venules that enables this segment of the microvasculature to regulate vascular permeability and. these postcapillary venules represent the segment of the microvasculature that is most reactive to inflammation and contain intercellular endothelial. the postcapillary venules drain the blood from the capillaries but, occasionally, capillaries may join a major vein directly.. What Are Postcapillary Venules.
From www.slideserve.com
PPT The Cardiovascular System Blood Vessels PowerPoint Presentation What Are Postcapillary Venules the postcapillary venules drain the blood from the capillaries but, occasionally, capillaries may join a major vein directly. there are several characteristic features of postcapillary venules that enables this segment of the microvasculature to regulate vascular permeability and. only capillaries and postcapillary venules are considered to be exchange microvessels, where capillaries serve as the major site. . What Are Postcapillary Venules.
From www.chegg.com
Solved ANATOMY For each of the following scenarios, What Are Postcapillary Venules these postcapillary venules represent the segment of the microvasculature that is most reactive to inflammation and contain intercellular endothelial. only capillaries and postcapillary venules are considered to be exchange microvessels, where capillaries serve as the major site. there are several characteristic features of postcapillary venules that enables this segment of the microvasculature to regulate vascular permeability and.. What Are Postcapillary Venules.