Jammed Finger Dx . here, we'll give you tips on how to distinguish between a fractured and a jammed finger as well as the treatment options for. differential diagnosis hand and finger injuries. a jammed finger is when the tip of your finger is forcefully pushed toward the hand, causing the joint to become. a jammed finger is a common type of injury that occurs when a sudden impact causes the tip of your finger to be pushed inwards towards. It can cause pain, swelling, and difficulty moving the finger. As the finger is compressed, the ligaments supporting the joints are. a jammed finger occurs when the tip of the finger is compressed towards the hand. a jammed finger is an injury to the middle joint of a finger. usually the result of a jammed finger doral or volar dislocation events can tear one or both of the collateral ligaments.
from www.annemergmed.com
a jammed finger is a common type of injury that occurs when a sudden impact causes the tip of your finger to be pushed inwards towards. usually the result of a jammed finger doral or volar dislocation events can tear one or both of the collateral ligaments. a jammed finger is when the tip of your finger is forcefully pushed toward the hand, causing the joint to become. It can cause pain, swelling, and difficulty moving the finger. As the finger is compressed, the ligaments supporting the joints are. here, we'll give you tips on how to distinguish between a fractured and a jammed finger as well as the treatment options for. a jammed finger occurs when the tip of the finger is compressed towards the hand. differential diagnosis hand and finger injuries. a jammed finger is an injury to the middle joint of a finger.
A Jammed Finger and Bloody Nail Annals of Emergency Medicine
Jammed Finger Dx differential diagnosis hand and finger injuries. a jammed finger occurs when the tip of the finger is compressed towards the hand. As the finger is compressed, the ligaments supporting the joints are. differential diagnosis hand and finger injuries. a jammed finger is an injury to the middle joint of a finger. here, we'll give you tips on how to distinguish between a fractured and a jammed finger as well as the treatment options for. a jammed finger is a common type of injury that occurs when a sudden impact causes the tip of your finger to be pushed inwards towards. usually the result of a jammed finger doral or volar dislocation events can tear one or both of the collateral ligaments. a jammed finger is when the tip of your finger is forcefully pushed toward the hand, causing the joint to become. It can cause pain, swelling, and difficulty moving the finger.
From www.verywellhealth.com
Jammed Finger Symptoms and Treatments Jammed Finger Dx As the finger is compressed, the ligaments supporting the joints are. a jammed finger is an injury to the middle joint of a finger. It can cause pain, swelling, and difficulty moving the finger. here, we'll give you tips on how to distinguish between a fractured and a jammed finger as well as the treatment options for. . Jammed Finger Dx.
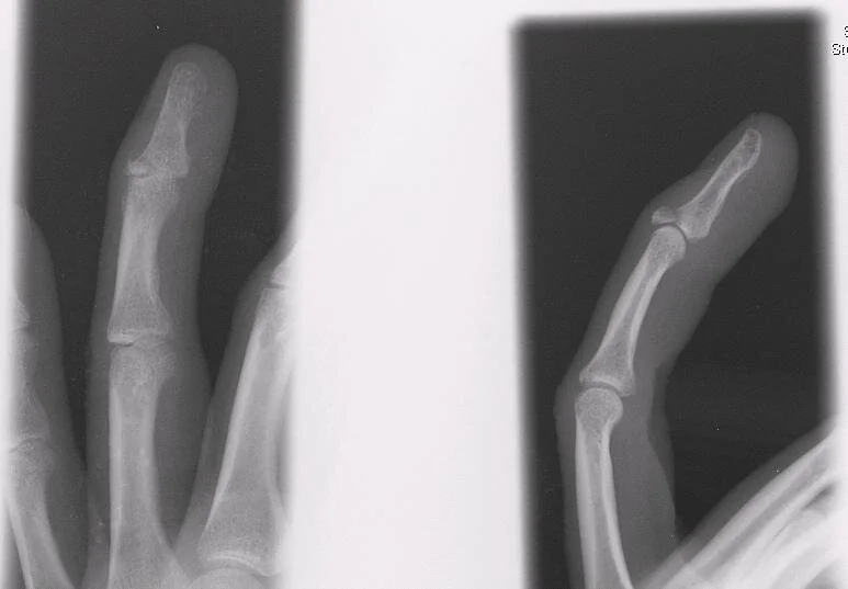
From aidpastor.weebly.com
Jammed finger xray aidpastor Jammed Finger Dx It can cause pain, swelling, and difficulty moving the finger. a jammed finger occurs when the tip of the finger is compressed towards the hand. a jammed finger is an injury to the middle joint of a finger. usually the result of a jammed finger doral or volar dislocation events can tear one or both of the. Jammed Finger Dx.
From orthosouth.org
Jammed Fingers OrthoSouth Jammed Finger Dx a jammed finger occurs when the tip of the finger is compressed towards the hand. usually the result of a jammed finger doral or volar dislocation events can tear one or both of the collateral ligaments. a jammed finger is when the tip of your finger is forcefully pushed toward the hand, causing the joint to become.. Jammed Finger Dx.
From www.marham.pk
Have you Ever Jammed or Fractured your Finger? MarhamMarham Jammed Finger Dx a jammed finger is an injury to the middle joint of a finger. usually the result of a jammed finger doral or volar dislocation events can tear one or both of the collateral ligaments. here, we'll give you tips on how to distinguish between a fractured and a jammed finger as well as the treatment options for.. Jammed Finger Dx.
From grapplersperformance.com
Jammed Finger Treatment Grapplers Performance Jammed Finger Dx As the finger is compressed, the ligaments supporting the joints are. usually the result of a jammed finger doral or volar dislocation events can tear one or both of the collateral ligaments. a jammed finger occurs when the tip of the finger is compressed towards the hand. It can cause pain, swelling, and difficulty moving the finger. . Jammed Finger Dx.
From www.medicalnewstoday.com
Jammed finger Symptoms, treatment, and when to see a doctor Jammed Finger Dx It can cause pain, swelling, and difficulty moving the finger. differential diagnosis hand and finger injuries. a jammed finger is an injury to the middle joint of a finger. here, we'll give you tips on how to distinguish between a fractured and a jammed finger as well as the treatment options for. As the finger is compressed,. Jammed Finger Dx.
From www.clinicaladvisor.com
OrthoDx Injury to Pinky Finger Clinical Advisor Jammed Finger Dx a jammed finger occurs when the tip of the finger is compressed towards the hand. differential diagnosis hand and finger injuries. a jammed finger is when the tip of your finger is forcefully pushed toward the hand, causing the joint to become. As the finger is compressed, the ligaments supporting the joints are. It can cause pain,. Jammed Finger Dx.
From 8sportsinjuries.blogspot.com
Sports Injuries Jammed Finger Jammed Finger Dx differential diagnosis hand and finger injuries. a jammed finger is a common type of injury that occurs when a sudden impact causes the tip of your finger to be pushed inwards towards. a jammed finger is an injury to the middle joint of a finger. usually the result of a jammed finger doral or volar dislocation. Jammed Finger Dx.
From www.spineorthocenter.com
How to Treat a Jammed Finger Spine Orthopedic Center Jammed Finger Dx a jammed finger is an injury to the middle joint of a finger. differential diagnosis hand and finger injuries. here, we'll give you tips on how to distinguish between a fractured and a jammed finger as well as the treatment options for. a jammed finger is a common type of injury that occurs when a sudden. Jammed Finger Dx.
From www.nuemblog.com
Finger — Ortho Teaching Files — NUEM Blog Jammed Finger Dx differential diagnosis hand and finger injuries. usually the result of a jammed finger doral or volar dislocation events can tear one or both of the collateral ligaments. here, we'll give you tips on how to distinguish between a fractured and a jammed finger as well as the treatment options for. a jammed finger is an injury. Jammed Finger Dx.
From www.youtube.com
Discover the Diagnosis Jammed or Broken Finger? YouTube Jammed Finger Dx a jammed finger occurs when the tip of the finger is compressed towards the hand. a jammed finger is when the tip of your finger is forcefully pushed toward the hand, causing the joint to become. It can cause pain, swelling, and difficulty moving the finger. a jammed finger is a common type of injury that occurs. Jammed Finger Dx.
From www.youtube.com
how to get rid of a jammed finger naturally YouTube Jammed Finger Dx here, we'll give you tips on how to distinguish between a fractured and a jammed finger as well as the treatment options for. As the finger is compressed, the ligaments supporting the joints are. a jammed finger is when the tip of your finger is forcefully pushed toward the hand, causing the joint to become. differential diagnosis. Jammed Finger Dx.
From www.medicalnewstoday.com
Jammed finger Symptoms, treatment, and when to see a doctor Jammed Finger Dx a jammed finger is an injury to the middle joint of a finger. here, we'll give you tips on how to distinguish between a fractured and a jammed finger as well as the treatment options for. differential diagnosis hand and finger injuries. usually the result of a jammed finger doral or volar dislocation events can tear. Jammed Finger Dx.
From orthosouth.org
Jammed Fingers OrthoSouth Jammed Finger Dx a jammed finger occurs when the tip of the finger is compressed towards the hand. differential diagnosis hand and finger injuries. a jammed finger is an injury to the middle joint of a finger. a jammed finger is when the tip of your finger is forcefully pushed toward the hand, causing the joint to become. It. Jammed Finger Dx.
From healthjade.com
Jammed finger causes, symptoms & jammed finger treatment Jammed Finger Dx a jammed finger occurs when the tip of the finger is compressed towards the hand. a jammed finger is an injury to the middle joint of a finger. differential diagnosis hand and finger injuries. As the finger is compressed, the ligaments supporting the joints are. It can cause pain, swelling, and difficulty moving the finger. a. Jammed Finger Dx.
From exoqszafz.blob.core.windows.net
Finger Joint Pain After Injury at Jerry Houston blog Jammed Finger Dx a jammed finger is an injury to the middle joint of a finger. It can cause pain, swelling, and difficulty moving the finger. differential diagnosis hand and finger injuries. a jammed finger is a common type of injury that occurs when a sudden impact causes the tip of your finger to be pushed inwards towards. a. Jammed Finger Dx.
From www.health.com
Jammed Finger Symptoms, Diagnosis, Treatment, and More Jammed Finger Dx differential diagnosis hand and finger injuries. a jammed finger is a common type of injury that occurs when a sudden impact causes the tip of your finger to be pushed inwards towards. As the finger is compressed, the ligaments supporting the joints are. a jammed finger is when the tip of your finger is forcefully pushed toward. Jammed Finger Dx.
From www.youtube.com
Exercises for Jammed Fingers YouTube Jammed Finger Dx It can cause pain, swelling, and difficulty moving the finger. a jammed finger occurs when the tip of the finger is compressed towards the hand. differential diagnosis hand and finger injuries. As the finger is compressed, the ligaments supporting the joints are. usually the result of a jammed finger doral or volar dislocation events can tear one. Jammed Finger Dx.
From www.newhealthguide.org
5 Effective Ways to Fix a Jammed Finger New Health Guide Jammed Finger Dx It can cause pain, swelling, and difficulty moving the finger. As the finger is compressed, the ligaments supporting the joints are. here, we'll give you tips on how to distinguish between a fractured and a jammed finger as well as the treatment options for. differential diagnosis hand and finger injuries. a jammed finger is an injury to. Jammed Finger Dx.
From www.youtube.com
How to Treat a Jammed Finger YouTube Jammed Finger Dx It can cause pain, swelling, and difficulty moving the finger. a jammed finger is an injury to the middle joint of a finger. a jammed finger is when the tip of your finger is forcefully pushed toward the hand, causing the joint to become. differential diagnosis hand and finger injuries. As the finger is compressed, the ligaments. Jammed Finger Dx.
From www.nuemblog.com
Jammed finger — NUEM Blog Jammed Finger Dx It can cause pain, swelling, and difficulty moving the finger. a jammed finger is when the tip of your finger is forcefully pushed toward the hand, causing the joint to become. a jammed finger is an injury to the middle joint of a finger. differential diagnosis hand and finger injuries. a jammed finger is a common. Jammed Finger Dx.
From www.medicalnewstoday.com
Jammed finger Symptoms, treatment, and when to see a doctor Jammed Finger Dx here, we'll give you tips on how to distinguish between a fractured and a jammed finger as well as the treatment options for. usually the result of a jammed finger doral or volar dislocation events can tear one or both of the collateral ligaments. a jammed finger occurs when the tip of the finger is compressed towards. Jammed Finger Dx.
From dubaihandsurgeon.com
When To See A Doctor For Jammed Finger? Prof Dr. Robert Jammed Finger Dx usually the result of a jammed finger doral or volar dislocation events can tear one or both of the collateral ligaments. here, we'll give you tips on how to distinguish between a fractured and a jammed finger as well as the treatment options for. a jammed finger occurs when the tip of the finger is compressed towards. Jammed Finger Dx.
From www.verywell.com
The Steps for Treating a Jammed Finger Jammed Finger Dx a jammed finger occurs when the tip of the finger is compressed towards the hand. a jammed finger is a common type of injury that occurs when a sudden impact causes the tip of your finger to be pushed inwards towards. differential diagnosis hand and finger injuries. usually the result of a jammed finger doral or. Jammed Finger Dx.
From www.annemergmed.com
A Jammed Finger and Bloody Nail Annals of Emergency Medicine Jammed Finger Dx a jammed finger is an injury to the middle joint of a finger. a jammed finger occurs when the tip of the finger is compressed towards the hand. a jammed finger is when the tip of your finger is forcefully pushed toward the hand, causing the joint to become. here, we'll give you tips on how. Jammed Finger Dx.
From www.happiesthealth.com
Unlocking relief How to treat a jammed finger? Happiest Health Jammed Finger Dx differential diagnosis hand and finger injuries. a jammed finger is a common type of injury that occurs when a sudden impact causes the tip of your finger to be pushed inwards towards. It can cause pain, swelling, and difficulty moving the finger. usually the result of a jammed finger doral or volar dislocation events can tear one. Jammed Finger Dx.
From www.aliem.com
SplintER Series A Jammed Finger Resulting in Central Slip Injury Jammed Finger Dx differential diagnosis hand and finger injuries. here, we'll give you tips on how to distinguish between a fractured and a jammed finger as well as the treatment options for. a jammed finger is a common type of injury that occurs when a sudden impact causes the tip of your finger to be pushed inwards towards. usually. Jammed Finger Dx.
From oceanortho.com
Jammed Finger Ocean Orthopedic Associates Jammed Finger Dx differential diagnosis hand and finger injuries. It can cause pain, swelling, and difficulty moving the finger. a jammed finger is a common type of injury that occurs when a sudden impact causes the tip of your finger to be pushed inwards towards. a jammed finger is when the tip of your finger is forcefully pushed toward the. Jammed Finger Dx.
From carpaltunnelpros.com
Jammed Finger 101 Symptoms, Treatment Options and Causes Jammed Finger Dx a jammed finger occurs when the tip of the finger is compressed towards the hand. differential diagnosis hand and finger injuries. a jammed finger is when the tip of your finger is forcefully pushed toward the hand, causing the joint to become. It can cause pain, swelling, and difficulty moving the finger. a jammed finger is. Jammed Finger Dx.
From www.youtube.com
How do you treat a jammed finger? YouTube Jammed Finger Dx differential diagnosis hand and finger injuries. a jammed finger occurs when the tip of the finger is compressed towards the hand. a jammed finger is when the tip of your finger is forcefully pushed toward the hand, causing the joint to become. here, we'll give you tips on how to distinguish between a fractured and a. Jammed Finger Dx.
From oceanortho.com
Jammed Finger Ocean Orthopedic Associates Jammed Finger Dx usually the result of a jammed finger doral or volar dislocation events can tear one or both of the collateral ligaments. differential diagnosis hand and finger injuries. a jammed finger is a common type of injury that occurs when a sudden impact causes the tip of your finger to be pushed inwards towards. a jammed finger. Jammed Finger Dx.
From www.primesurgicalsuites.com
Jammed vs. Broken Finger How to Tell the Difference Jammed Finger Dx a jammed finger is when the tip of your finger is forcefully pushed toward the hand, causing the joint to become. usually the result of a jammed finger doral or volar dislocation events can tear one or both of the collateral ligaments. a jammed finger is an injury to the middle joint of a finger. differential. Jammed Finger Dx.
From injuryhealthblog.com
Jammed Finger Symptoms and Treatment Injury Health Blog Jammed Finger Dx a jammed finger occurs when the tip of the finger is compressed towards the hand. It can cause pain, swelling, and difficulty moving the finger. As the finger is compressed, the ligaments supporting the joints are. differential diagnosis hand and finger injuries. a jammed finger is when the tip of your finger is forcefully pushed toward the. Jammed Finger Dx.
From www.orthoep.com
It\'s Football Training Season. That Means Jammed Fingers. Ortho El Paso Jammed Finger Dx a jammed finger is an injury to the middle joint of a finger. As the finger is compressed, the ligaments supporting the joints are. a jammed finger is a common type of injury that occurs when a sudden impact causes the tip of your finger to be pushed inwards towards. differential diagnosis hand and finger injuries. . Jammed Finger Dx.
From www.jucm.com
27yearold presents a jammed right finger Journal of Urgent Care Jammed Finger Dx As the finger is compressed, the ligaments supporting the joints are. a jammed finger is a common type of injury that occurs when a sudden impact causes the tip of your finger to be pushed inwards towards. a jammed finger is when the tip of your finger is forcefully pushed toward the hand, causing the joint to become.. Jammed Finger Dx.